Apocynin, an NADPH Oxidase Enzyme Inhibitor, Prevents Amebic Liver Abscess in Hamster
Abstract
1. Introduction
2. Materials and Methods
2.1. Experimental Animals
2.2. E. histolytica Culture
2.3. E. histolytica Trophozoites Incubated with Apocynin Viability Assay
2.4. Inducing ALA in Animals
2.5. Histological Processing
2.6. Treatment with Apocynin, a NADPH Oxidase Inhibitor in Hamsters
2.7. Quantification of Neutrophils in Hamster ALA
2.8. Immunohistochemistry
2.9. Total NADP/NADPH Assay Kit
2.10. Determination of O2− Production
2.11. Statistical Analysis
3. Results
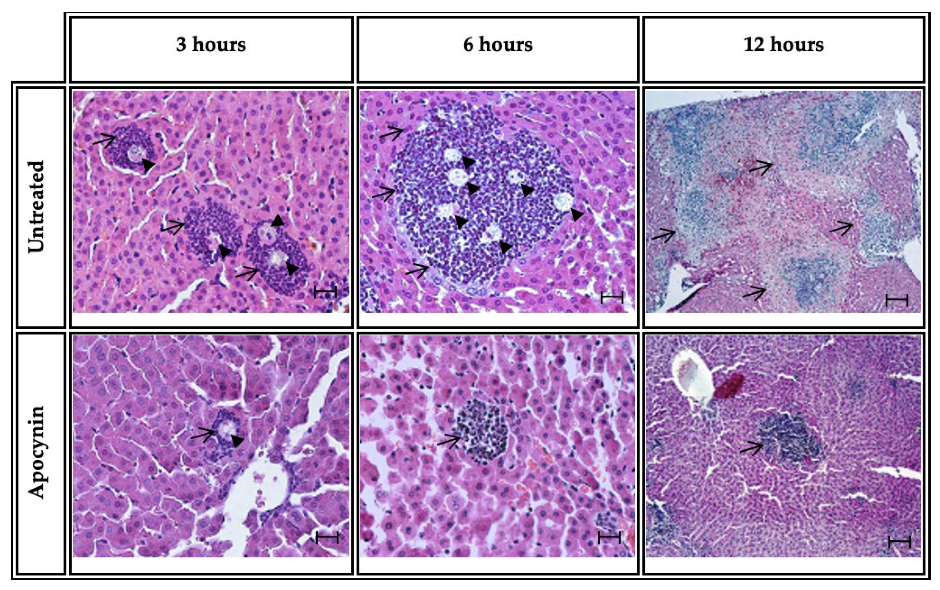
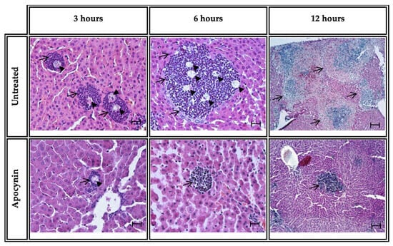
3.1. Administration of Apocynin, a NOX Inhibitor, Prevents Amebic Hepatic Lesions
3.2. Apocynin Decreases the Percentage of ALA in Hamsters Inoculated with Amoebae
3.3. Apocynin Administration Induces Histologic Changes in ALA
3.4. NOX Inhibitor Diminishes the Size of Inflammatory Foci in ALA Hamsters
3.5. Apocynin Administration Decreases the Number of Neutrophils in Hamster ALA
3.6. NOX2 Positive in ALA of Groups Untreated or Treated with Apocynin
3.7. NOX Inhibition in Hamsters Resulted in a Decrease in Total NADP/NADPH
3.8. NADPH Oxidase Enzyme Activity Was Smaller in ALA from Treated Hamsters Than in Non-Treated Hamsters
3.9. In Vitro Effect of Apocynin on the Viability of E. histolytica
4. Discussion
5. Conclusions
Author Contributions
Funding
Institutional Review Board Statement
Informed Consent Statement
Data Availability Statement
Conflicts of Interest
References
- Harries, J. Amoebiasis: A Review. J. R. Soc. Med. 1982, 75, 190–197. [Google Scholar] [CrossRef] [PubMed]
- Petri, W.A.; Haque, R.; Lyerly, D.; Vines, R.R. Estimating the Impact of Amebiasis on Health. Parasitol. Today 2000, 16, 320–321. [Google Scholar] [CrossRef] [PubMed]
- Stanley, S.L. Amoebiasis. Lancet 2003, 361, 1025–1034. [Google Scholar] [CrossRef] [PubMed]
- Wilson, I.W.; Weedall, G.D.; Hall, N. Host-Parasite Interactions in Entamoeba Histolytica and Entamoeba Dispar: What Have We Learned from Their Genomes? Parasite Immunol. 2012, 34, 90–99. [Google Scholar] [CrossRef] [PubMed]
- Serrano-Luna, J.; Piña-Vázquez, C.; Reyes-López, M.; Ortiz-Estrada, G.; De La Garza, M. Proteases from Entamoeba spp. and Pathogenic Free-Living Amoebae as Virulence Factors. J. Trop. Med. 2013, 2013, 890603. [Google Scholar] [CrossRef] [PubMed]
- Nakada-Tsukui, K.; Nozaki, T. Immune Response of Amebiasis and Immune Evasion by Entamoeba Histolytica. Front. Immunol. 2016, 7, 175. [Google Scholar] [CrossRef]
- Shibayama, M.; Rivera-Aguilar, V.; Barbosa-Cabrera, E.; Rojas-Hernández, S.; Jarillo-Luna, A.; Tsutsumi, V.; Pacheco-Yepez, J.; Campos-Rodríguez, R. Innate Immunity Prevents Tissue Invasion by Entamoeba histolytica. Can. J. Microbiol. 2008, 54, 1032–1042. [Google Scholar] [CrossRef][Green Version]
- Shibayama, M.; Campos-Rodríguez, R.; Ramírez, C.; Pacheco-Yépez, J.; Tsutsumi, V. Studies on the Natural Immunity in Hamsters Using the Intraperitoneal Model of Amebic Liver Abscess. Arch. Med. Res. 2000, 31, S78–S80. [Google Scholar] [CrossRef]
- Shibayama, M.; Campos-Rodríguez, R.; Ramírez-Rosales, A.; Flores-Romo, L.; Espinosa-Cantellano, M.; Martínez-Palomo, A.; Tsutsumi, V. Entamoeba histolytica: Liver Invasion and Abscess Production by Intraperitoneal Inoculation of Trophozoites in Hamsters, Mesocricetus auratus. Exp. Parasitol. 1998, 88, 20–27. [Google Scholar] [CrossRef]
- Wong-Baeza, I.; Alcántara-Hernández, M.; Mancilla-Herrera, I.; Ramírez-Saldívar, I.; Arriaga-Pizano, L.; Ferat-Osorio, E.; López-Macías, C.; Isibasi, A. The Role of Lipopeptidophosphoglycan in the Immune Response to Entamoeba histolytica. J. Biomed. Biotechnol. 2010, 2010, 254521. [Google Scholar] [CrossRef]
- Jarumilinta, R. A Simple Method of Inducing Amoebic Liver Abscess in Hamsters. Ann. Trop. Med. Parasitol. 1966, 60, 139–145. [Google Scholar] [CrossRef] [PubMed]
- Tsutsumi, V.; Mena-Lopez, R.; Anaya-Velazquez, F.; Martinez-Palomo, A. Cellular Bases of Experimental Amebic Liver Abscess Formation. Am. J. Pathol. 1984, 117, 81–91. [Google Scholar] [PubMed]
- Campos-Rodríguez, R.; Gutiérrez-Meza, M.; Jarillo-Luna, R.A.; Drago-Serrano, M.E.; Abarca-Rojano, E.; Ventura-Juárez, J.; Cárdenas-Jaramillo, L.M.; Pacheco-Yepez, J. A Review of the Proposed Role of Neutrophils in Rodent Amebic Liver Abscess Models. Parasite 2016, 23, 6. [Google Scholar] [CrossRef] [PubMed]
- Lacy, P. Mechanisms of Degranulation in Neutrophils. Allergy Asthma Clin. Immunol. 2006, 2, 98–108. [Google Scholar] [CrossRef] [PubMed]
- Nguyen, G.T.; Green, E.R.; Mecsas, J. Neutrophils to the ROScue: Mechanisms of NADPH Oxidase Activation and Bacterial Resistance. Front. Cell. Infect. Microbiol. 2017, 7, 373. [Google Scholar] [CrossRef]
- Faurschou, M.; Borregaard, N. Neutrophil Granules and Secretory Vesicles in Inflammation. Microbes Infect. 2003, 5, 1317–1327. [Google Scholar] [CrossRef]
- Borregaard, N.; Cowland, J.B. Granules of the Human Neutrophilic Polymorphonuclear Leukocyte. Blood 1997, 89, 3503–3521. [Google Scholar] [CrossRef]
- Hampton, M.B.; Hervidor, A.J.; Winterbourn, C.C. Inside the Neutrophil Phagosome: Oxidants, Myeloperoxidase, and Bacterial Killing. J. Am. Soc. Hematol. 2008, 94, 1043–1052. [Google Scholar] [CrossRef]
- Vermot, A.; Petit-Härtlein, I.; Smith, S.M.E.; Fieschi, F. Nadph Oxidases (Nox): An Overview from Discovery, Molecular Mechanisms to Physiology and Pathology. Antioxidants 2021, 10, 890. [Google Scholar] [CrossRef]
- Brandes, R.P.; Weissmann, N.; Schröder, K. Nox Family NADPH Oxidases: Molecular Mechanisms of Activation. Free Radic. Biol. Med. 2014, 76, 208–226. [Google Scholar] [CrossRef]
- Cheng, G.; Cao, Z.; Xu, X.; Van Meir, E.G.; Lambeth, J.D. Homologs of Gp91phox: Cloning and Tissue Expression of Nox3, Nox4, and Nox5. Gene 2001, 269, 131–140. [Google Scholar] [CrossRef] [PubMed]
- Bedard, K.; Krause, K.H. The NOX Family of ROS-Generating NADPH Oxidases: Physiology and Pathophysiology. Physiol. Rev. 2007, 87, 245–313. [Google Scholar] [CrossRef] [PubMed]
- Nauseef, W.M. Biological Roles for the NOX Family NADPH Oxidases. J. Biol. Chem. 2008, 283, 16961–16965. [Google Scholar] [CrossRef]
- Takac, I.; Schröder, K.; Brandes, R.P. The Nox Family of NADPH Oxidases: Friend or Foe of the Vascular System? Curr. Hypertens. Rep. 2012, 14, 70–78. [Google Scholar] [CrossRef]
- Crane, F.L.; Low, H. Reactive Oxygen Species Generation at the Plasma Membrane for Antibody Control. Autoimmun. Rev. 2008, 7, 518–522. [Google Scholar] [CrossRef]
- Carneiro, M.B.H.; Roma, E.H.; Ranson, A.J.; Doria, N.A.; Debrabant, A.; Sacks, D.L.; Vieira, L.Q.; Peters, N.C. NOX2-Derived Reactive Oxygen Species Control Inflammation during Leishmania amazonensis Infection by Mediating Infection-Induced Neutrophil Apoptosis. J. Immunol. 2018, 200, 196–208. [Google Scholar] [CrossRef]
- Prolo, C.; Estrada, D.; Piacenza, L.; Benítez, D.; Comini, M.A.; Radi, R.; Álvarez, M.N. NOX2-Derived Superoxide Radical Is Crucial to Control Acute Trypanosoma cruzi Infection. Redox Biol. 2021, 46, 102085. [Google Scholar] [CrossRef] [PubMed]
- Stefanska, J.; Pawliczak, R. Apocynin: Molecular Aptitudes. Mediat. Inflamm. 2008, 2008, 106507. [Google Scholar] [CrossRef]
- Kinoshita, H.; Matsumura, T.; Ishii, N.; Fukuda, K.; Senokuchi, T.; Motoshima, H.; Kondo, T.; Taketa, K.; Kawasaki, S.; Hanatani, S.; et al. Apocynin Suppresses the Progression of Atherosclerosis in ApoE-Deficient Mice by Inactivation of Macrophages. Biochem. Biophys. Res. Commun. 2013, 431, 124–130. [Google Scholar] [CrossRef]
- Khanicheh, E.; Qi, Y.; Xie, A.; Mitterhuber, M.; Xu, L.; Mochizuki, M.; Daali, Y.; Jaquet, V.; Krause, K.H.; Ruggeri, Z.M.; et al. Molecular Imaging Reveals Rapid Reduction of Endothelial Activation in Early Atherosclerosis With Apocynin Independent of Antioxidative Properties. Arter. Thromb. Vasc. Biol. 2013, 33, 2187–2192. [Google Scholar] [CrossRef]
- Yang, X.; Zhao, K.; Deng, W.; Zhao, L.; Jin, H.; Mei, F.; Zhou, Y.; Li, M.; Wang, W. Apocynin Attenuates Acute Kidney Injury and Inflammation in Rats with Acute Hypertriglyceridemic Pancreatitis. Dig. Dis. Sci. 2020, 65, 1735–1747. [Google Scholar] [CrossRef] [PubMed]
- Li, Z.; Wang, Y. Effect of NADPH Oxidase Inhibitor-Apocynin on the Expression of Src Homology-2 Domain-Containing Phosphatase-1 (SHP-1) Exposed Renal Ischemia/Reperfusion Injury in Rats. Toxicol. Rep. 2015, 2, 1111–1116. [Google Scholar] [CrossRef] [PubMed]
- Stefanska, J.; Sokolowska, M.; Sarniak, A.; Wlodarczyk, A.; Doniec, Z.; Nowak, D.; Pawliczak, R. Apocynin Decreases Hydrogen Peroxide and Nirtate Concentrations in Exhaled Breath in Healthy Subjects. Pulm. Pharmacol. Ther. 2010, 23, 48–54. [Google Scholar] [CrossRef] [PubMed]
- Komiya, M.; Fujii, G.; Miyamoto, S.; Takahashi, M.; Ishigamori, R.; Onuma, W.; Ishino, K.; Totsuka, Y.; Fujimoto, K.; Mutoh, M. Suppressive Effects of the NADPH Oxidase Inhibitor Apocynin on Intestinal Tumorigenesis in Obese KK-Ay and Apc Mutant Min Mice. Cancer Sci. 2015, 106, 1499–1505. [Google Scholar] [CrossRef] [PubMed]
- Simons, J.M.; ’T Hart, B.A.; Theo, R.A.M.; Ching, I.V.; Van Dijk, H.; Labadie, R.P. Metabolic Activation of Natural Phenols into Selective Oxidative Burnst Agonist by Actived Human Neutrophils. Free Radic. Biol. Med. 1990, 8, 251–258. [Google Scholar] [CrossRef]
- Stolk, J.; Hiltermann, T.J.N.; Dijkman, J.H.; Verhoeven, A.J.; Dijkrnan, H. Characteristics of the Inhibition of NADPH Oxidase Activation in Neutrophils by Apocynin, a Methoxy-Substituted Catechol. Am. J. Respir. Cell Mol. Biol. 1994, 11, 95–102. [Google Scholar] [CrossRef]
- Hart, B.A.; Simons, J.M. Metabolic Activation of Phenols by Stimulated Neutrophils: A Concept for a Selective Type of Anti-Inflammatory Drug. Biotechnol. Ther. 1992, 3, 119–135. [Google Scholar]
- Kanegae, M.P.P.; da Fonseca, L.M.; Brunetti, I.L.; de Oliveira Silva, S.; Ximenes, V.F. The Reactivity of Ortho-Methoxy-Substituted Catechol Radicals with Sulfhydryl Groups: Contribution for the Comprehension of the Mechanism of Inhibition of NADPH Oxidase by Apocynin. Biochem. Pharmacol. 2007, 74, 457–464. [Google Scholar] [CrossRef]
- Ximenes, V.F.; Kanegae, M.P.P.; Rissato, S.R.; Galhiane, M.S. The Oxidation of Apocynin Catalyzed by Myeloperoxidase: Proposal for NADPH Oxidase Inhibition. Arch. Biochem. Biophys. 2007, 457, 134–141. [Google Scholar] [CrossRef]
- Rindler-Ludwig, R.; Schmalzl, F.; Braunsteiner, H. Esterases in Human Neutrophil Granulocytes: Evidence for Their Protease Nature. Br. J. Hematol. 1974, 27, 27–57. [Google Scholar] [CrossRef]
- Uchida, Y.; Freitas, M.C.S.; Zhao, D.; Busuttil, R.W.; Kupiec-Weglinski, J.W. The Inhibition of Neutrophil Elastase Ameliorates Mouse Liver Damage Due to Ischemia and Reperfusion. Liver Transplant. 2009, 15, 939–947. [Google Scholar] [CrossRef] [PubMed]
- Tan, A.S.; Berridge, M.V. Superoxide Produced by Activated Neutrophils Efficiently Reduces the Tetrazolium Salt, WST-1 to Produce a Soluble Formazan: A Simple Colorimetric Assay for Measuring Respiratory Burst Activation and for Screening Anti-Inflammatory Agents. J. Immunol. Methods 2000, 238, 59–68. [Google Scholar] [CrossRef] [PubMed]
- Ukeda, H.; Kawana, D.; Maeda, S.; Sawamura, M. Spectrophotometric Assay for Superoxide Dismutase Based on the Reduction of Highly Water-Soluble Tetrazolium Salts by Xanthine-Xanthine Oxidase. Biosci. Biotechnol. Biochem. 1999, 63, 485–488. [Google Scholar] [CrossRef] [PubMed]
- Cruz-Baquero, A.; Jaramillo, L.M.C.; Gutiérrez-Meza, M.; Jarillo-Luna, R.A.; Campos-Rodríguez, R.; Rivera-Aguilar, V.; Miliar-García, A.; Pacheco-Yepez, J. Different Behavior of Myeloperoxidase in Two Rodent Amoebic Liver Abscess Models. PLoS ONE 2017, 12, e0182480. [Google Scholar] [CrossRef] [PubMed]
- Li, J.-M.; Shah, A.M. Endothelial Cell Superoxide Generation: Regulation and Relevance for Cardiovascular Pathophysiology. Am. J. Physiol. Regul. Integr. Comp. Physiol. 2004, 287, 1014–1030. [Google Scholar] [CrossRef]
- Pacheco-Yepez, J.; Jarillo-Luna, R.A.; Gutierrez-Meza, M.; Abarca-Rojano, E.; Larsen, B.A.; Campos-Rodriguez, R. Peroxynitrite and Peroxiredoxin in the Pathogenesis of Experimental Amebic Liver Abscess. Biomed. Res. Int. 2014, 2014, 324230. [Google Scholar] [CrossRef]
- Campos-Rodríguez, R.; Jarillo-Luna, R.A.; Larsen, B.A.; Rivera-Aguilar, V.; Ventura-Juárez, J. Invasive Amebiasis: A Microcirculatory Disorder? Med. Hypotheses 2009, 73, 687–697. [Google Scholar] [CrossRef]
- Olivos-García, A.; Saavedra, E.; Nequiz Avendaño, M.; Pérez-Tamayo, R. Amibiasis: Mecanismos Moleculares de La Patogenicidad de Entamoeba histolytica. Rev. Fac. Med. 2011, 54, 10–20. [Google Scholar]
- Olivos-García, A.; Nequiz-Avendaño, M.; Tello, E.; Martínez, R.D.; González-Canto, A.; López-Vancell, R.; García De León, M.C.; Montfort, I.; Pérez-Tamayo, R. Inflammation, Complement, Ischemia and Amoebic Survival in Acute Experimental Amoebic Liver Abscesses in Hamsters. Exp. Mol. Pathol. 2004, 77, 66–71. [Google Scholar] [CrossRef]
- Cortes, A.; Nequiz, M.; Sandoval, J.; Mendoza, E.; Gudiño, M.; López-Velázquez, G.; Enríquez-Flores, S.; Saavedra, E.; Pérez-Tamayo, R.; Olivos-García, A. Mechanisms of Natural Resistance of Balb/c Mice to Experimental Liver Amoebiasis. Biosci. Rep. 2019, 39, BSR20182333. [Google Scholar] [CrossRef]
- Dhiman, M.; Garg, N.J. NADPH Oxidase Inhibition Ameliorates Trypanosoma Cruzi-Induced Myocarditis during Chagas Disease. J. Pathol. 2011, 225, 583–596. [Google Scholar] [CrossRef] [PubMed]
- Goes, G.R.; Rocha, P.S.; Diniz, A.R.S.; Aguiar, P.H.N.; Machado, C.R.; Vieira, L.Q. Trypanosoma cruzi Needs a Signal Provided by Reactive Oxygen Species to Infect Macrophages. PLoS Negl. Trop. Dis. 2016, 10, e0004555. [Google Scholar] [CrossRef]
- Zhao, L.; Zhao, H.; Sun, M.; Chen, M.; Wu, X.; Deng, C.; Yang, W.; Tian, Y.; Wang, Q.; Liang, Z.; et al. Kudzu Celery Decoction Exerts Protection against Sepsis-Induced Myocardial Injury. Oxidative Med. Cell. Longev. 2022, 2022, 2886932. [Google Scholar] [CrossRef] [PubMed]
- Sorce, S.; Nuvolone, M.; Keller, A.; Falsig, J.; Varol, A.; Schwarz, P.; Bieri, M.; Budka, H.; Aguzzi, A. The Role of the NADPH Oxidase NOX2 in Prion Pathogenesis. PLoS Pathog. 2014, 10, e1004531. [Google Scholar] [CrossRef] [PubMed]
- Babior, B.M. NADPH Oxidase. Curr. Opin. Immunol. 2004, 16, 42–47. [Google Scholar] [CrossRef]
- Taylor, J.P.; Tse, H.M. The Role of NADPH Oxidases in Infectious and Inflammatory Diseases. Redox Biol. 2021, 48, 102159. [Google Scholar] [CrossRef]
- Ying, W. NAD+/NADH and NADP+/NADPH in Cellular Functions and Cell Death: Regulation and Biological Consequences. Antioxid. Redox Signal. 2008, 10, 179–206. [Google Scholar] [CrossRef]
- Andrés, C.M.C.; Pérez de la Lastra, J.M.; Andrés Juan, C.; Plou, F.J.; Pérez-Lebeña, E. Superoxide Anion Chemistry—Its Role at the Core of the Innate Immunity. Int. J. Mol. Sci. 2023, 24, 1841. [Google Scholar] [CrossRef]
- Lee, S.H.; Choi, B.Y.; Kho, A.R.; Jeong, J.H.; Hong, D.K.; Kang, D.H.; Kang, B.S.; Song, H.K.; Choi, H.C.; Suh, S.W. Inhibition of NADPH Oxidase Activation by Apocynin Rescues Seizure-Induced Reduction of Adult Hippocampal Neurogenesis. Int. J. Mol. Sci. 2018, 19, 3087. [Google Scholar] [CrossRef]
- Johnson, D.K.; Schillinger, K.J.; Kwait, D.M.; Hughes, C.V.; Mcnamara, E.J.; Ishmael, F.; O’donnell, R.W.; Chang, M.-M.; Hogg, M.G.; Dordick, J.S.; et al. Inhibition of NADPH Oxidase Activation in Endothelial Cells by Ortho-Methoxy-Substituted Catechols. Endothelium 2002, 9, 191–203. [Google Scholar] [CrossRef]
- Petrônio, M.S.; Zeraik, M.L.; Da Fonseca, L.M.; Ximenes, V.F. Apocynin: Chemical and Biophysical Properties of a NADPH Oxidase Inhibitor. Molecules 2013, 18, 2821–2839. [Google Scholar] [CrossRef] [PubMed]










Disclaimer/Publisher’s Note: The statements, opinions and data contained in all publications are solely those of the individual author(s) and contributor(s) and not of MDPI and/or the editor(s). MDPI and/or the editor(s) disclaim responsibility for any injury to people or property resulting from any ideas, methods, instructions or products referred to in the content. |
© 2023 by the authors. Licensee MDPI, Basel, Switzerland. This article is an open access article distributed under the terms and conditions of the Creative Commons Attribution (CC BY) license (https://creativecommons.org/licenses/by/4.0/).
Share and Cite
Higuera-Martínez, G.; Arciniega-Martínez, I.M.; Jarillo-Luna, R.A.; Cárdenas-Jaramillo, L.M.; Levaro-Loquio, D.; Velásquez-Torres, M.; Abarca-Rojano, E.; Reséndiz-Albor, A.A.; Pacheco-Yépez, J. Apocynin, an NADPH Oxidase Enzyme Inhibitor, Prevents Amebic Liver Abscess in Hamster. Biomedicines 2023, 11, 2322. https://doi.org/10.3390/biomedicines11082322
Higuera-Martínez G, Arciniega-Martínez IM, Jarillo-Luna RA, Cárdenas-Jaramillo LM, Levaro-Loquio D, Velásquez-Torres M, Abarca-Rojano E, Reséndiz-Albor AA, Pacheco-Yépez J. Apocynin, an NADPH Oxidase Enzyme Inhibitor, Prevents Amebic Liver Abscess in Hamster. Biomedicines. 2023; 11(8):2322. https://doi.org/10.3390/biomedicines11082322
Chicago/Turabian StyleHiguera-Martínez, Germán, Ivonne Maciel Arciniega-Martínez, Rosa Adriana Jarillo-Luna, Luz María Cárdenas-Jaramillo, David Levaro-Loquio, Maritza Velásquez-Torres, Edgar Abarca-Rojano, Aldo Arturo Reséndiz-Albor, and Judith Pacheco-Yépez. 2023. "Apocynin, an NADPH Oxidase Enzyme Inhibitor, Prevents Amebic Liver Abscess in Hamster" Biomedicines 11, no. 8: 2322. https://doi.org/10.3390/biomedicines11082322
APA StyleHiguera-Martínez, G., Arciniega-Martínez, I. M., Jarillo-Luna, R. A., Cárdenas-Jaramillo, L. M., Levaro-Loquio, D., Velásquez-Torres, M., Abarca-Rojano, E., Reséndiz-Albor, A. A., & Pacheco-Yépez, J. (2023). Apocynin, an NADPH Oxidase Enzyme Inhibitor, Prevents Amebic Liver Abscess in Hamster. Biomedicines, 11(8), 2322. https://doi.org/10.3390/biomedicines11082322

