Choice of Polymer, but Not Mesh Structure Variation, Reduces the Risk of Bacterial Infection with Staphylococcus aureus In Vivo
Abstract
1. Introduction
2. Material and Methods
2.1. Animals
2.2. Mesh Materials
2.3. Surgical Procedure
2.4. Histological Assessment and Immunohistochemical Analysis
2.5. Statistical Analysis
3. Results
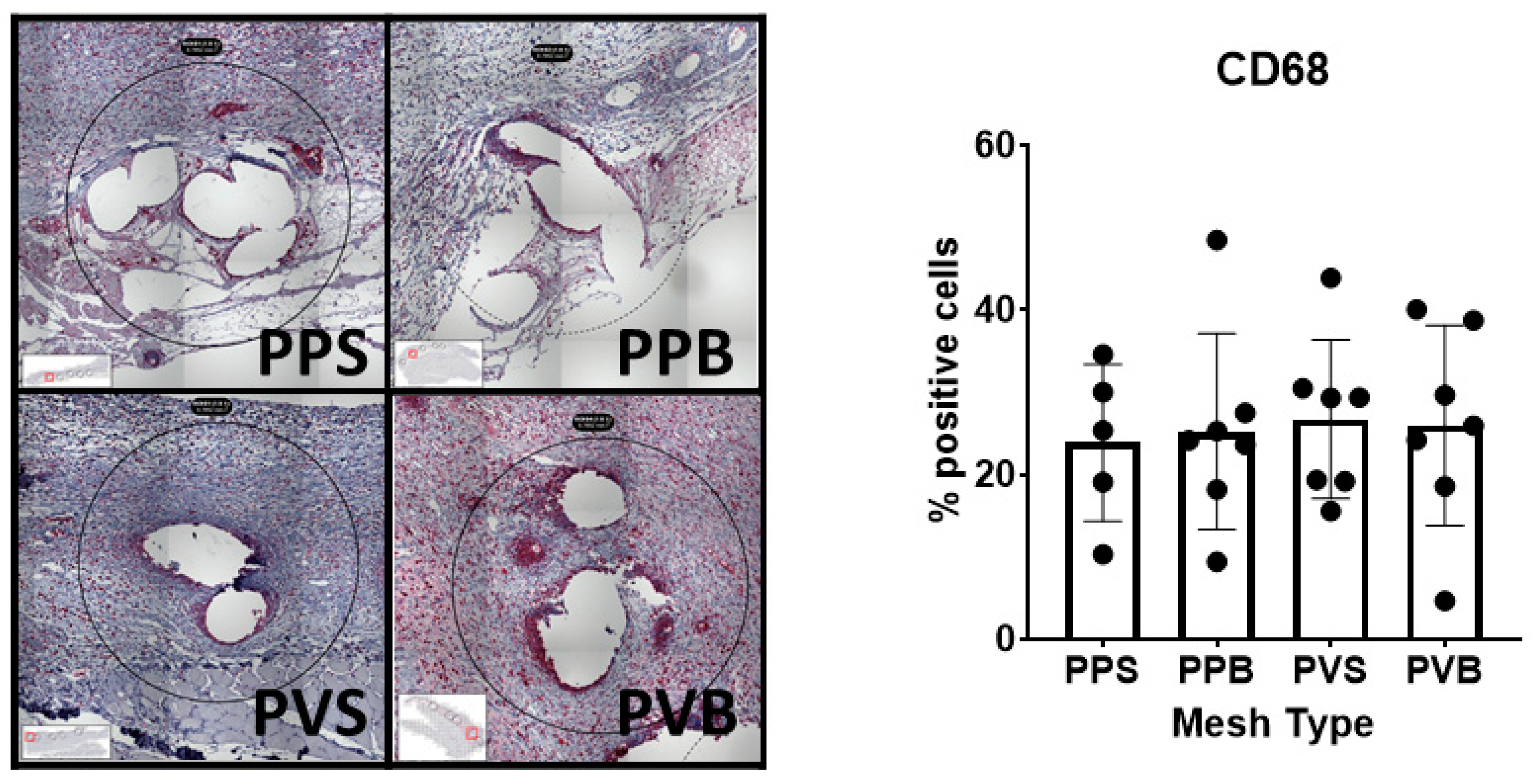
Histological Inflammation Score and Immunohistochemical Observations
4. Discussion
5. Conclusions
Author Contributions
Funding
Institutional Review Board Statement
Informed Consent Statement
Data Availability Statement
Conflicts of Interest
References
- Klinge, U.; Klosterhalfen, B. Mesh implants for hernia repair: An update. Expert Rev. Med. Devices 2018, 15, 735–746. [Google Scholar] [CrossRef]
- Falagas, M.E.; Kasiakou, S.K. Mesh-related infections after hernia repair surgery. Clin. Microbiol. Infect. Off. Publ. Eur. Soc. Clin. Microbiol. Infect. Dis. 2005, 11, 3–8. [Google Scholar] [CrossRef] [PubMed]
- Mavros, M.N.; Athanasiou, S.; Alexiou, V.G.; Mitsikostas, P.K.; Peppas, G.; Falagas, M.E. Risk factors for mesh-related infections after hernia repair surgery: A meta-analysis of cohort studies. World J. Surg. 2011, 35, 2389–2398. [Google Scholar] [CrossRef] [PubMed]
- Burger, J.W.; Halm, J.A.; Wijsmuller, A.R.; ten Raa, S.; Jeekel, J. Evaluation of new prosthetic meshes for ventral hernia repair. Surg. Endosc. 2006, 20, 1320–1325. [Google Scholar] [CrossRef] [PubMed]
- Junge, K.; Binnebosel, M.; Rosch, R.; Jansen, M.; Kammer, D.; Otto, J.; Schumpelick, V.; Uwe Klinge, U. Adhesion formation of a polyvinylidenfluoride/polypropylene mesh for intra-abdominal placement in a rodent animal model. Surg. Endosc. 2009, 23, 327–333. [Google Scholar] [CrossRef]
- Perez-Kohler, B.; Sotomayor, S.; Rodriguez, M.; Gegundez, M.I.; Pascual, G.; Bellon, J.M. Bacterial adhesion to biological versus polymer prosthetic materials used in abdominal wall defect repair: Do these meshes show any differences in vitro? Hernia J. Hernias Abdom. Wall Surg. 2015, 19, 965–973. [Google Scholar] [CrossRef]
- Perez-Tanoira, R.; Isea-Pena, M.C.; Celdran, A.; Garcia-Vasquez, C.; Esteban, J. Bacterial adherence to different meshes used in abdominal surgery. Surg. Infect. 2014, 15, 90–93. [Google Scholar] [CrossRef]
- Klinge, U.; Junge, K.; Stumpf, M.; Öttinger, A.P.; Klosterhalfen, B. Functional and morphological evaluation of a low-weight, monofilament polypropylene mesh for hernia repair. J. Biomed. Mater. Res. 2002, 63, 129–136. [Google Scholar] [CrossRef]
- Engelsman, A.F.; van Dam, G.M.; van der Mei, H.C.; Busscher, H.J.; Ploeg, R.J. In vivo evaluation of bacterial infection involving morphologically different surgical meshes. Ann. Surg. 2010, 251, 133–137. [Google Scholar] [CrossRef]
- Sanders, D.; Lambie, J.; Bond, P.; Moate, R.; Steer, J.A. An in vitro study assessing the effect of mesh morphology and suture fixation on bacterial adherence. Hernia J. Hernias Abdom. Wall Surg. 2013, 17, 779–789. [Google Scholar] [CrossRef]
- Klink, C.D.; Junge, K.; Binnebosel, M.; Alizai, H.P.; Otto, J.; Neumann, U.P.; Klinge, U. Comparison of long-term biocompability of PVDF and PP meshes. J. Investig. Surg. 2011, 24, 292–299. [Google Scholar] [CrossRef]
- Birolini, C.; Tanaka, E.Y.; de Miranda, J.S.; Murakami, A.H.; Damous, S.H.B.; Utiyama, E.M. The early outcomes of complex abdominal wall reconstruction with polyvinylidene (PVDF) mesh in the setting of active infection: A prospective series. Langenbecks Arch. Surg. 2022, 407, 3089–3099. [Google Scholar] [CrossRef]
- Aydinuraz, K.; Agalar, C.; Agalar, F.; Ceken, S.; Duruyurek, N.; Vural, T. In vitro S. epidermidis and S. aureus adherence to composite and lightweight polypropylene grafts. J. Surg. Res. 2009, 157, e79–e86. [Google Scholar] [CrossRef] [PubMed]
- Klinge, U.; Park, J.K.; Klosterhalfen, B. ‘The ideal mesh?’. Pathobiol. J. Immunopathol. Mol. Cell. Biol. 2013, 80, 169–175. [Google Scholar] [CrossRef] [PubMed]
- Klinge, U.; Junge, K.; Spellerberg, B.; Piroth, C.; Klosterhalfen, B.; Schumpelick, V. Do multifilament alloplastic meshes increase the infection rate? Analysis of the polymeric surface, the bacteria adherence, and the in vivo consequences in a rat model. J. Biomed. Mater. Res. 2002, 63, 765–771. [Google Scholar] [CrossRef] [PubMed]
- Bellows, C.F.; Wheatley, B.M.; Moroz, K.; Rosales, S.C.; Morici, L.A. The effect of bacterial infection on the biomechanical properties of biological mesh in a rat model. PLoS ONE 2011, 6, e21228. [Google Scholar] [CrossRef][Green Version]
- Blatnik, J.A.; Krpata, D.M.; Jacobs, M.R.; Gao, Y.; Novitsky, Y.W.; Rosen, M.J. In vivo analysis of the morphologic characteristics of synthetic mesh to resist MRSA adherence. J. Gastrointest. Surg. 2012, 16, 2139–2144. [Google Scholar] [CrossRef]
- Perez-Tanoira, R.; Levano-Linares, C.; Celdran-Uriarte, A.; Isea-Pena, M.C.; De Molina, M.S.; Garcia-Vasquez, C.; Esteban-Moreno, J. Use of an experimental model to evaluate infection resistance of meshes in abdominal wall surgery. J. Surg. Res. 2016, 206, 435–441. [Google Scholar] [CrossRef]
- Cole, W.C.; Balent, E.M.; Masella, P.C.; Kajiura, L.N.; Matsumoto, K.W.; Pierce, L.M. An experimental comparison of the effects of bacterial colonization on biologic and synthetic meshes. Hernia J. Hernias Abdom. Wall Surg. 2015, 19, 197–205. [Google Scholar] [CrossRef]
- Klinge, U.; Dievernich, A.; Tolba, R.; Klosterhalfen, B.; Davies, L. CD68+ macrophages as crucial components of the foreign body reaction demonstrate an unconventional pattern of functional markers quantified by analysis with double fluorescence staining. J. Biomed. Mater. Res. Part B Appl. Biomater. 2020, 108, 3134–3146. [Google Scholar] [CrossRef]
- Klinge, U.; Dietz, U.; Fet, N.; Klosterhalfen, B. Characterisation of the cellular infiltrate in the foreign body granuloma of textile meshes with its impact on collagen deposition. Hernia J. Hernias Abdom. Wall Surg. 2014, 18, 571–578. [Google Scholar] [CrossRef] [PubMed]
- Engelhardt, E.; Toksoy, A.; Goebeler, M.; Debus, S.; Brocker, E.B.; Gillitzer, R. Chemokines IL-8, GROalpha, MCP-1, IP-10, and Mig are sequentially and differentially expressed during phase-specific infiltration of leukocyte subsets in human wound healing. Am. J. Pathol. 1998, 153, 1849–1860. [Google Scholar] [CrossRef] [PubMed]
- Barbul, A.; Breslin, R.J.; Woodyard, J.P.; Wasserkrug, H.L.; Efron, G. The effect of in vivo T helper and T suppressor lymphocyte depletion on wound healing. Ann. Surg. 1989, 209, 479–483. [Google Scholar] [CrossRef] [PubMed]











| Standard Structure | Bold Structure | |||
|---|---|---|---|---|
| Material | PP | PVDF | PP | PVDF |
| Filament linking | 1.82 | 1.85 | 3.25 | 3.33 |
| Filament diameter (µm) | 165 | 165 | 165 | 165 |
| Filament length (m/m2) | 3641 | 3690 | 3692 | 3684 |
| Filament surface (m2/m2) | 1.85 | 1.87 | 1.85 | 1.86 |
Disclaimer/Publisher’s Note: The statements, opinions and data contained in all publications are solely those of the individual author(s) and contributor(s) and not of MDPI and/or the editor(s). MDPI and/or the editor(s) disclaim responsibility for any injury to people or property resulting from any ideas, methods, instructions or products referred to in the content. |
© 2023 by the authors. Licensee MDPI, Basel, Switzerland. This article is an open access article distributed under the terms and conditions of the Creative Commons Attribution (CC BY) license (https://creativecommons.org/licenses/by/4.0/).
Share and Cite
Schmitz, S.M.; Helmedag, M.J.; Kroh, A.; Heise, D.; Klinge, U.; Lambertz, A.; Hornef, M.W.; Neumann, U.P.; Eickhoff, R.M. Choice of Polymer, but Not Mesh Structure Variation, Reduces the Risk of Bacterial Infection with Staphylococcus aureus In Vivo. Biomedicines 2023, 11, 2083. https://doi.org/10.3390/biomedicines11072083
Schmitz SM, Helmedag MJ, Kroh A, Heise D, Klinge U, Lambertz A, Hornef MW, Neumann UP, Eickhoff RM. Choice of Polymer, but Not Mesh Structure Variation, Reduces the Risk of Bacterial Infection with Staphylococcus aureus In Vivo. Biomedicines. 2023; 11(7):2083. https://doi.org/10.3390/biomedicines11072083
Chicago/Turabian StyleSchmitz, Sophia M., Marius J. Helmedag, Andreas Kroh, Daniel Heise, Uwe Klinge, Andreas Lambertz, Mathias W. Hornef, Ulf P. Neumann, and Roman M. Eickhoff. 2023. "Choice of Polymer, but Not Mesh Structure Variation, Reduces the Risk of Bacterial Infection with Staphylococcus aureus In Vivo" Biomedicines 11, no. 7: 2083. https://doi.org/10.3390/biomedicines11072083
APA StyleSchmitz, S. M., Helmedag, M. J., Kroh, A., Heise, D., Klinge, U., Lambertz, A., Hornef, M. W., Neumann, U. P., & Eickhoff, R. M. (2023). Choice of Polymer, but Not Mesh Structure Variation, Reduces the Risk of Bacterial Infection with Staphylococcus aureus In Vivo. Biomedicines, 11(7), 2083. https://doi.org/10.3390/biomedicines11072083

