Stereotactic Radiotherapy in Combination with Immunotherapy in Treatment of Advanced Recurrent Squamous Cell Carcinoma of the Larynx
Abstract
1. Introduction
2. Case Presentation
2.1. Diagnostic Imaging
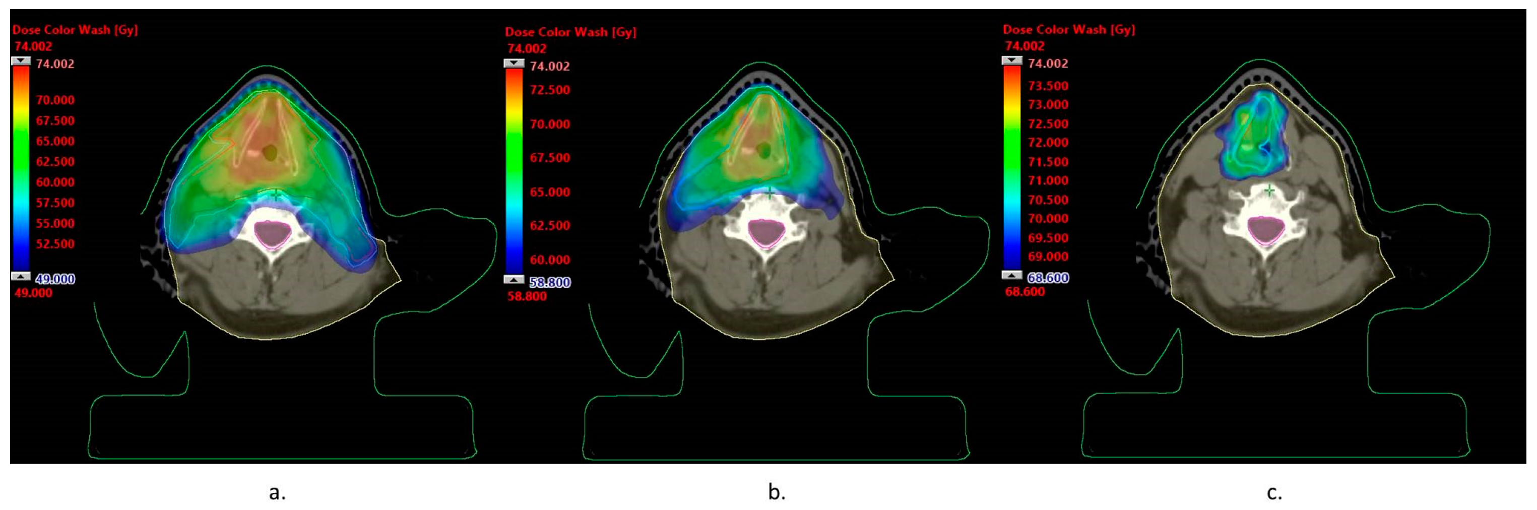
2.2. Initial Treatment Characteristics
2.3. Follow-Up Findings
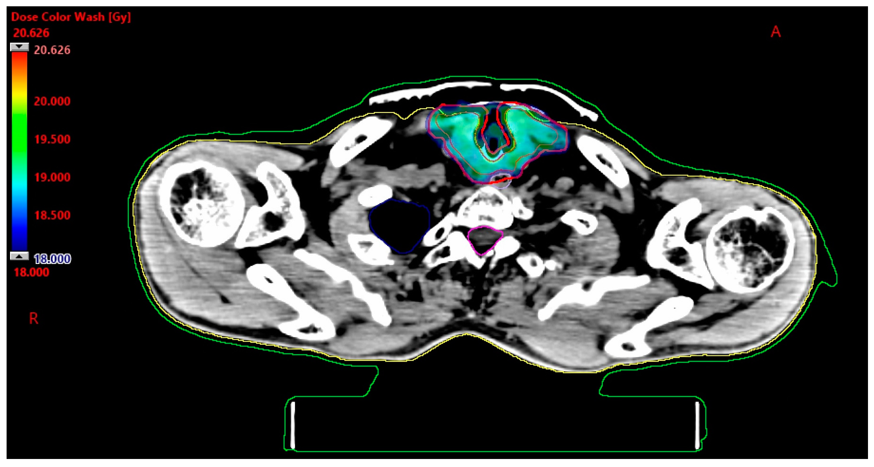
2.4. Immunotherapy + SBRT
3. Discussion
4. Conclusions
Author Contributions
Funding
Institutional Review Board Statement
Informed Consent Statement
Data Availability Statement
Conflicts of Interest
References
- Ferlay, J.; Ervik, M.; Lam, F.; Colombet, M.; Mery, L.; Piñeros, M.; Znaor, A.; Soerjomataram, I.; Bray, F. Global Cancer Observatory: Cancer Today; International Agency for Research on Cancer: Lyon, France, 2020; Available online: https://gco.iarc.fr/today (accessed on 30 May 2023).
- Sheahan, P. Management of advanced laryngeal cancer. Rambam Maimonides Med. J. 2014, 5, e0015. [Google Scholar] [CrossRef] [PubMed]
- Machiels, J.P.; René Leemans, C.; Golusinski, W.; Grau, C.; Licitra, L.; Gregoire, V.; EHNS Executive Board. Squamous cell carcinoma of the oral cavity, larynx, oropharynx and hypopharynx: EHNS-ESMO-ESTRO Clinical Practice Guidelines for diagnosis, treatment and follow-up. Ann. Oncol. 2020, 31, 1462–1475. [Google Scholar] [CrossRef] [PubMed]
- Sindhu, S.K.; Bauman, J.E. Current Concepts in Chemotherapy for Head and Neck Cancer. Oral Maxillofac. Surg. Clin. N. Am. 2019, 31, 145–154. [Google Scholar] [CrossRef] [PubMed]
- Siddiqui, F.; Patel, M.; Khan, M.; McLean, S.; Dragovic, J.; Jin, J.Y.; Movsas, B.; Ryu, S. Stereotactic body radiation therapy for primary, recurrent, and metastatic tumors in the head-and-neck region. Int. J. Radiat. Oncol. Biol. Phys. 2009, 74, 1047–1053. [Google Scholar] [CrossRef] [PubMed]
- Sari, S.Y.; Yilmaz, M.T.; Aktas, B.Y.; Aksoy, S.; Gullu, I.; Cengiz, M.; Ozyigit, G.; Yazici, G. Results of concurrent radiotherapy and immunotherapy in recurrent and metastatic head and neck cancer: A single-center experience. Oral Oncol. 2022, 124, 105658. [Google Scholar] [CrossRef] [PubMed]
- Wu, J.S.; Jen, C.W.; Chen, H.H.; Cheng, S.H. Stereotactic body radiotherapy and checkpoint inhibitor for locally recurrent unresectable nasopharyngeal carcinoma. BMJ Case Rep. 2021, 14, e240806. [Google Scholar] [CrossRef] [PubMed]
- McBride, S.; Sherman, E.; Tsai, C.J.; Baxi, S.; Aghalar, J.; Eng, J.; Zhi, W.I.; McFarland, D.; Michel, L.S.; Young, R.; et al. Randomized Phase II Trial of Nivolumab with Stereotactic Body Radiotherapy Versus Nivolumab Alone in Metastatic Head and Neck Squamous Cell Carcinoma. J. Clin. Oncol. 2021, 39, 30–37. [Google Scholar] [CrossRef] [PubMed]
- Forastiere, A.A.; Zhang, Q.; Weber, R.S.; Maor, M.H.; Goepfert, H.; Pajak, T.F.; Morrison, W.; Glisson, B.; Trotti, A.; Ridge, J.A.; et al. Long-term results of RTOG 91-11: A comparison of three nonsurgical treatment strategies to preserve the larynx in patients with locally advanced larynx cancer. J. Clin. Oncol. 2013, 31, 845–852. [Google Scholar] [CrossRef] [PubMed]
- Vander Poorten, V.; Meulemans, J.; Beitler, J.J.; Piazza, C.; Kowalski, L.P.; Mäkitie, A.A.; Paleri, V.; Rinaldo, A.; Robbins, K.T.; Rodrigo, J.P.; et al. Salvage surgery for residual or recurrent laryngeal squamous cell carcinoma after (Chemo)radiotherapy: Oncological outcomes and prognostic factors. Eur. J. Surg. Oncol. 2021, 47, 2711–2721. [Google Scholar] [CrossRef] [PubMed]
- Specenier, P.M.; Vermorken, J.B. Current concepts for the management of head and neck cancer: Chemotherapy. Oral Oncol. 2009, 45, 409–415. [Google Scholar] [CrossRef] [PubMed]
- Jacobs, C.; Lyman, G.; Velez-García, E.; Sridhar, K.S.; Knight, W.; Hochster, H.; Goodnough, L.T.; Mortimer, J.E.; Einhorn, L.H.; Schacter, L.; et al. A phase III randomized study comparing cisplatin and fluorouracil as single agents and in combination for advanced squamous cell carcinoma of the head and neck. J. Clin. Oncol. 1992, 10, 257–263. [Google Scholar] [CrossRef] [PubMed]
- Ferris, R.L.; Blumenschein GJr Fayette, J.; Guigay, J.; Colevas, A.D.; Licitra, L.; Harrington, K.; Kasper, S.; Vokes, E.E.; Even, C.; Worden, F.; et al. Nivolumab for Recurrent Squamous-Cell Carcinoma of the Head and Neck. N. Engl. J. Med. 2016, 375, 1856–1867. [Google Scholar] [CrossRef] [PubMed]
- Cengiz, M.; Özyiğit, G.; Yazici, G.; Doğan, A.; Yildiz, F.; Zorlu, F.; Gürkaynak, M.; Gullu, I.H.; Hosal, S.; Akyol, F. Salvage reirradiaton with stereotactic body radiotherapy for locally recurrent head-and-neck tumors. Int. J. Radiat. Oncol. Biol. Phys. 2011, 81, 104–109. [Google Scholar] [CrossRef] [PubMed]
- Roh, K.W.; Jang, J.S.; Kim, M.S.; Sun, D.I.; Kim, B.S.; Jung, S.L.; Kang, J.H.; Yoo, E.J.; Yoon, S.C.; Jang, H.S.; et al. Fractionated stereotactic radiotherapy as reirradiation for locally recurrent head and neck cancer. Int. J. Radiat. Oncol. Biol. Phys. 2009, 74, 1348–1355. [Google Scholar] [CrossRef] [PubMed]
- Manukian, G.; Bar-Ad, V.; Lu, B.; Argiris, A.; Johnson, J.M. Combining Radiation and Immune Checkpoint Blockade in the Treatment of Head and Neck Squamous Cell Carcinoma. Front. Oncol. 2019, 9, 122. [Google Scholar] [CrossRef] [PubMed]





| Dmin [Gy] | Dmax [Gy] | Dmean [Gy] | |
|---|---|---|---|
| CTV 50 | 48.8 | 74.0 | 61.5 |
| PTV 50 | 41.7 | 74.0 | 60.3 |
| CTV 60 | 59.5 | 74.0 | 68.5 |
| PTV 60 | 57.9 | 74.0 | 67.9 |
| CTV 70 | 69.0 | 74.0 | 71.2 |
| PTV 70 | 68.6 | 74.0 | 71.2 |
| Spinal canal | 0.0 | 44.8 | 17.8 |
| Brainstem | 1.0 | 20.8 | 3.0 |
| Brain | 0.4 | 11.7 | 1.4 |
| Parotid gland left | 4.9 | 57.7 | 25.1 |
| Parotid gland right | 4.2 | 64.0 | 26.5 |
| Cochlea left | 2.3 | 4.6 | 3.3 |
| Cochlea right | 2.2 | 3.4 | 2.7 |
| Eye left | 0.7 | 2.3 | 1.3 |
| Eye right | 0.7 | 1.8 | 1.1 |
| Lens left | 0.9 | 1.3 | 1.1 |
| Lens right | 0.8 | 1.1 | 1.0 |
| Chiasm | 1.5 | 1.9 | 1.6 |
| Mandible | 2.8 | 70.9 | 30.7 |
| Thyroid | 40.3 | 56.0 | 46.7 |
| Lung left | 0.0 | 47.7 | 1.7 |
| Lung right | 0.0 | 48.4 | 2.0 |
| Vessels left | 48.9 | 67.6 | 59.2 |
| Vessels right | 48.9 | 72.6 | 63.2 |
| Dmin [Gy] | Dmax [Gy] | Dmean [Gy] | |
|---|---|---|---|
| GTV | 17.0 | 20.6 | 19.0 |
| PTV | 16.2 | 20.6 | 18.9 |
| Spinal canal | 0.0 | 4.9 | 1.1 |
| Esophagus | 1.0 | 18.5 | 13.7 |
| Lung left | 0.0 | 13.3 | 0.7 |
| Lung right | 0.0 | 19.5 | 0.7 |
| Vessels left | 0.4 | 19.5 | 12.7 |
| Vessels right | 0.4 | 19.2 | 11.4 |
Disclaimer/Publisher’s Note: The statements, opinions and data contained in all publications are solely those of the individual author(s) and contributor(s) and not of MDPI and/or the editor(s). MDPI and/or the editor(s) disclaim responsibility for any injury to people or property resulting from any ideas, methods, instructions or products referred to in the content. |
© 2023 by the authors. Licensee MDPI, Basel, Switzerland. This article is an open access article distributed under the terms and conditions of the Creative Commons Attribution (CC BY) license (https://creativecommons.org/licenses/by/4.0/).
Share and Cite
Polanowski, P.; Nasiek, A.; Grządziel, A.; Pietruszka, A.; Składowski, K.; Polanowska, K. Stereotactic Radiotherapy in Combination with Immunotherapy in Treatment of Advanced Recurrent Squamous Cell Carcinoma of the Larynx. Biomedicines 2023, 11, 2067. https://doi.org/10.3390/biomedicines11072067
Polanowski P, Nasiek A, Grządziel A, Pietruszka A, Składowski K, Polanowska K. Stereotactic Radiotherapy in Combination with Immunotherapy in Treatment of Advanced Recurrent Squamous Cell Carcinoma of the Larynx. Biomedicines. 2023; 11(7):2067. https://doi.org/10.3390/biomedicines11072067
Chicago/Turabian StylePolanowski, Paweł, Aleksandra Nasiek, Aleksandra Grządziel, Agnieszka Pietruszka, Krzysztof Składowski, and Katarzyna Polanowska. 2023. "Stereotactic Radiotherapy in Combination with Immunotherapy in Treatment of Advanced Recurrent Squamous Cell Carcinoma of the Larynx" Biomedicines 11, no. 7: 2067. https://doi.org/10.3390/biomedicines11072067
APA StylePolanowski, P., Nasiek, A., Grządziel, A., Pietruszka, A., Składowski, K., & Polanowska, K. (2023). Stereotactic Radiotherapy in Combination with Immunotherapy in Treatment of Advanced Recurrent Squamous Cell Carcinoma of the Larynx. Biomedicines, 11(7), 2067. https://doi.org/10.3390/biomedicines11072067

