Onabotulinum Toxin A Intradetrusor Injections in Children with Neurogenic Lower Urinary Tract Dysfunction: Long-Term Histological Effects on the Bladder Wall
Abstract
1. Introduction
2. Materials and Methods
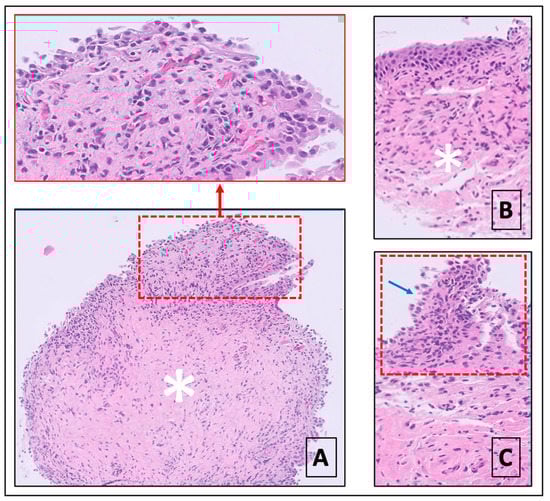
3. Results
4. Discussion
5. Conclusions
Author Contributions
Funding
Institutional Review Board Statement
Informed Consent Statement
Data Availability Statement
Conflicts of Interest
References
- Radmayr, C.; Bogaert, G.; Burgu, B.; Dogan, H.; Nijman, J.; Quaedackers, J.; Rawashdeh, Y.; Silay, M.; Stein, R.; Tekgül, S. EAU Guidelines. Edn. Presented at the EAU Annual Congress Amsterdam 2022; EAU Guidelines Office: Arnhem, The Netherlands, 2022; ISBN 536 978-94-92671-16-5. [Google Scholar]
- Greer, T.; Abbott, J.; Breytenbach, W.; McGuane, D.; Barker, A.; Khosa, J.; Samnakay, N. Ten years of experience with intravesical and intrasphincteric onabotulinumtoxinA in children. J. Pediatr. Urol. 2016, 12, 94.e1–94.e6. [Google Scholar] [CrossRef]
- Wu, S.Y.; Chang, S.J.; Yang, S.S.; Hsu, C.K. Botulinum Toxin Injection for Medically Refractory Neurogenic Bladder in Children: A Systematic Review. Toxins 2021, 13, 447. [Google Scholar] [CrossRef] [PubMed]
- Gamé, X.; Mouracade, P.; Chartier-Kastler, E.; Viehweger, E.; Moog, R.; Amarenco, G.; Denys, P.; De Seze, M.; Haab, F.; Karsenty, G.; et al. Botulinum toxin-A (Botox) intradetrusor injections in children with neurogenic detrusor overactivity/neurogenic overactive bladder: A systematic literature review. J. Pediatr. Urol. 2009, 5, 156–164. [Google Scholar] [CrossRef] [PubMed]
- Austin, P.F.; Franco, I.; Dobremez, E.; Kroll, P.; Titanji, W.; Geib, T.; Jenkins, B.; Hoebeke, P.B. OnabotulinumtoxinA for the treatment of neurogenic detrusor overactivity in children. Neurourol. Urodyn. 2021, 40, 493–501. [Google Scholar] [CrossRef] [PubMed]
- Pascali, M.P.; Mosiello, G.; Boldrini, R.; Salsano, M.L.; Castelli, E.; De Gennaro, M. Effects of botulinum toxin type a in the bladder wall of children with neurogenic bladder dysfunction: A comparison of histological features before and after injections. J. Urol. 2011, 185 (Suppl. 6), 2552–2557. [Google Scholar] [CrossRef]
- Pascali, M.P.; Mosiello, G.; Marciano, A.; Capitanucci, M.L.; Zaccara, A.M.; De Gennaro, M. A simplified technique for botulinum toxin injections in children with neurogenic bladder. J. Urol. 2011, 185 (Suppl. 6), 2558–2562. [Google Scholar] [CrossRef]
- Austin, P.F.; Bauer, S.B.; Bower, W.; Chase, J.; Franco, I.; Hoebeke, P.; Rittig, S.; Walle, J.V.; von Gontard, A.; Wright, A.; et al. The standardization of terminology of lower urinary tract function in children and adolescents: Update report from the standardization committee of the International Children’s Continence Society. Neurourol. Urodyn. 2016, 35, 471–481. [Google Scholar] [CrossRef]
- Zhang, Y.; Ji, F.; Liu, E.; Wen, J.G. Mechanism and Priority of Botulinum Neurotoxin A versus Sacral Neuromodulation for Refractory Overactive Bladder: A Review. Urol. Int. 2021, 105, 929–934. [Google Scholar] [CrossRef]
- Chen, J.L.; Kuo, H.C. Clinical application of intravesical botulinum toxin type A for overactive bladder and interstitial cystitis. Investig. Clin. Urol. 2020, 61 (Suppl. 1), S33–S42. [Google Scholar] [CrossRef]
- Ingham, J.; Angotti, R.; Lewis, M.; Goyal, A. Onabotulinum toxin A in children with refractory idiopathic overactive bladder: Medium-term outcomes. J. Pediatr. Urol. 2019, 15, 32.e1–32.e5. [Google Scholar] [CrossRef]
- Capitanucci, M.L.; Silveri, M.; Nappo, S.; Mosiello, G.; Capozza, N.; De Gennaro, M. Agenesia totale del sacro e disfunzione vescicale neurogena [Total agenesis of the sacrum and neurogenic bladder dysfunction]. Pediatr. Med. Chir. 1997, 19, 113–116. [Google Scholar] [PubMed]
- Mosiello, G.; Gatti, C.; De Gennaro, M.; Capitanucci, M.L.; Silveri, M.; Inserra, A.; Milano, G.M.; De Laurentis, C.; Boglino, C. Neurovesical dysfunction in children after treating pelvic neoplasms. BJU Int. 2003, 92, 289–292. [Google Scholar] [CrossRef] [PubMed]
- Stein, R.; Bogaert, G.; Dogan, H.S.; Hoen, L.; Kocvara, R.; Nijman, R.J.M.; Quadackers, J.S.L.T.; Rawashdeh, Y.F.; Silay, M.S.; Tekgul, S.; et al. EAU/ESPU guidelines on the management of neurogenic bladder in children and adolescent part I diagnostics and conservative treatment. Neurourol. Urodyn. 2020, 39, 45–57. [Google Scholar] [CrossRef] [PubMed]
- Akbar, M.; Abel, R.; Seyler, T.M.; Bedke, J.; Haferkamp, A.; Gerner, H.J.; Möhring, K. Repeated botulinum-A toxin injections in the treatment of myelodysplastic children and patients with spinal cord injuries with neurogenic bladder dysfunction. BJU Int. 2007, 100, 639–645, Erratum in 2007, 100, 719. [Google Scholar] [CrossRef]
- Capitanucci, M.L.; Iacobelli, B.D.; Silveri, M.; Mosiello, G.; De Gennaro, M. Long-term urological follow-up of occult spinal dysraphism in children. Eur. J. Pediatr. Surg. 1996, 6 (Suppl. 1), 25–26. [Google Scholar] [CrossRef]
- Silveri, M.; Capitanucci, M.L.; Capozza, N.; Mosiello, G.; Silvano, A.; Gennaro, M.D. Occult spinal dysraphism: Neurogenic voiding dysfunction and long-term urologic follow-up. Pediatr. Surg. Int. 1997, 12, 148–150. [Google Scholar] [CrossRef]
- Amarante, M.A.; Shrensel, J.A.; Tomei, K.L.; Carmel, P.W.; Gandhi, C.D. Management of urological dysfunction in pediatric patients with spinal dysraphism: Review of the literature. Neurosurg. Focus 2012, 33, E4. [Google Scholar] [CrossRef]
- Lew, S.M.; Kothbauer, K.F. Tethered cord syndrome: An updated review. Pediatr. Neurosurg. 2007, 43, 236–248. [Google Scholar] [CrossRef]
- Compérat, E.; Reitz, A.; Delcourt, A.; Capron, F.; Denys, P.; Chartier-Kastler, E. Histologic features in the urinary bladder wall affected from neurogenic overactivity—A comparison of inflammation, oedema and fibrosis with and without injection of botulinum toxin type A. Eur. Urol. 2006, 50, 1058–1064. [Google Scholar] [CrossRef]
- Palleschi, G.; Mosiello, G.; Iacovelli, V.; Musco, S.; Del Popolo, G.; Giannantoni, A.; Carbone, A.; Carone, R.; Tubaro, A.; De Gennaro, M.; et al. Adolescence transitional care in neurogenic detrusor overactivity and the use of OnabotulinumtoxinA: A clinical algorithm from an Italian consensus statement. Neurourol. Urodyn. 2018, 37, 904–915. [Google Scholar] [CrossRef]
- Apostolidis, A.; Jacques, T.S.; Freeman, A.; Kalsi, V.; Popat, R.; Gonzales, G.; Datta, S.N.; Ghazi-Noori, S.; Elneil, S.; Dasgupta, P.; et al. Histological changes in the urothelium and suburothelium of human overactive bladder following intradetrusor injections of botulinum neurotoxin type A for the treatment of neurogenic or idiopathic detrusor overactivity. Eur. Urol. 2008, 53, 1245–1253. [Google Scholar] [CrossRef] [PubMed]
- Jia, C.; Xing, T.; Shang, Z.; Cui, X.; Wang, Q.; Ou, T. Botulinum toxin A improves neurogenic bladder fibrosis by suppressing transforming growth factor β1 expression in rats. Transl. Androl. Urol. 2021, 10, 2000–2007. [Google Scholar] [CrossRef] [PubMed]
- Temeltas, G.; Tikiz, C.; Dagci, T.; Tuglu, I.; Yavasoglu, A. The effects of botulinum-A toxin on bladder function and histology in spinal cord injured rats: Is there any difference between early and late application? J. Urol. 2005, 174, 2393–2396. [Google Scholar] [CrossRef] [PubMed]
- Bushnell, J.Y.; Cates, L.N.; Hyde, J.E.; Hofstetter, C.P.; Yang, C.C.; Khaing, Z.Z. Early Detrusor Application of Botulinum Toxin A Results in Reduced Bladder Hypertrophy and Fibrosis after Spinal Cord Injury in a Rodent Model. Toxins 2022, 14, 777. [Google Scholar] [CrossRef] [PubMed]
- Leitner, L.; Guggenbühl-Roy, S.; Knüpfer, S.C.; Walter, M.; Schneider, M.P.; Tornic, J.; Sammer, U.; Mehnert, U.; Kessler, T.M. More Than 15 Years of Experience with Intradetrusor OnabotulinumtoxinA Injections for Treating Refractory Neurogenic Detrusor Overactivity: Lessons to Be Learned. Eur. Urol. 2016, 70, 522–528. [Google Scholar] [CrossRef]
- Baron, M.; Peyronnet, B.; Aublé, A.; Hascoet, J.; Castel-Lacanal, E.; Miget, G.; Le Doze, S.; Prudhomme, T.; Manunta, A.; Cornu, J.N.; et al. Long-Term Discontinuation of Botulinum Toxin A Intradetrusor Injections for Neurogenic Detrusor Overactivity: A Multicenter Study. J. Urol. 2019, 201, 769–776. [Google Scholar] [CrossRef]
- Franco, I.; Hoebeke, P.B.; Dobremez, E.; Titanji, W.; Geib, T.; Jenkins, B.; Yushmanova, I.; Austin, P.F. Long-term Safety and Tolerability of Repeated Treatments With OnabotulinumtoxinA in Children With Neurogenic Detrusor Overactivity. J. Urol. 2023, 209, 774–784. [Google Scholar] [CrossRef]
- Birder, L.A.; de Groat, W.C. Mechanisms of disease: Involvement of the urothelium in bladder dysfunction. Nat. Clin. Pract. Urol. 2007, 4, 46–54. [Google Scholar] [CrossRef]
- Jafari, N.V.; Rohn, J.L. The urothelium: A multi-faceted barrier against a harsh environment. Mucosal Immunol. 2022, 15, 1127–1142. [Google Scholar] [CrossRef]
- Lin, Y.H.; Chiang, B.J.; Liao, C.H. Mechanism of Action of Botulinum Toxin A in Treatment of Functional Urological Disorders. Toxins 2020, 12, 129. [Google Scholar] [CrossRef]





| Congenital Condition: 25 Patients | Number of Patients | |
|---|---|---|
| Myelomeningocele | 6 | |
| Lipomyelocele | 3 | |
| Caudal regression syndrome | 2 | |
| Occult spinal dysraphism | 13 | |
| Congenital disorders of glycosylation (CDG) | 1 | |
| Acquired condition: 11 patients | ||
| Spinal cord injury | 3 | |
| Peripheral nerve lesions | 1 | |
| Central nervous system tumors | 2 | |
| Sacrococcygeal teratoma | 3 | |
| Neuroblastoma | 2 | |
| T1 | T5 | T6 | T7 | |
|---|---|---|---|---|
| Patients (number) | 36 | 36 | 25 | 17 |
| EDEMA score: No. of pts (%) | 20 (56%) | 24 (67%) | 19 (76%) | 13 (76%) |
| 0 | 0 | 0 | 0 | |
| 1 | 15 (75%) | 19 (79%) | 19 (100%) | 12 (92%) |
| 2 | 3 (15%) | 4 (17%) | 0 | 1 (8%) |
| 3 | 2 (10%) | 1 (4%) | 0 | 0 |
| p-value (vs. T1) * | 0.47 | 0.12 | 0.23 | |
| INFLAMMATION score: No. of pts (%) | 27 (75%) | 32 (89%) | 19 (76%) | 15 (88%) |
| 0 | 0 | 0 | 0 | |
| 1 | 20 (74%) | 22 (69%) | 17 (89%) | 13 (87%) |
| 2 | 5 (19%) | 9 (28%) | 2 (11%) | 2 (13%) |
| 3 | 2 (7%) | 1 (3%) | 0 | 0 |
| p-value (vs. T1) * | 0.22 | 1 | 0.47 | |
| FIBROSIS score: No. of pts (%) | 12 (33%) | 8 (22%) | 8 (32%) | 5 (29%) |
| 0 | 0 | 0 | 0 | |
| 1 | 10 (83%) | 8 (100%) | 8 (100%) | 5 (100%) |
| 2 | 2 (17%) | 0 | 0 | 0 |
| 3 | 0 | 0 | 0 | 0 |
| p-value (vs. T1) * | 0.43 | 1 | 1 |
| Congenital | Acquired | |||||||
|---|---|---|---|---|---|---|---|---|
| T1 | T5 | T6 | T7 | T1 | T5 | T6 | T7 | |
| Patients (number) | 25 | 25 | 17 | 12 | 11 | 11 | 8 | 5 |
| EDEMA: No. of pts (%) | 12 (48%) | 19 (76%) | 14 (82%) | 10 (83%) | 8 (73%) | 5 (45%) | 5 (63%) | 3 (60%) |
| p-value (vs. T1) * | 0.08 | 0.05 | 0.07 | 0.39 | 1 | 1 | ||
| p-value (vs. CONGENITAL) * | 0.28 | 0.12 | 0.34 | 0.54 | ||||
| INFLAMMATION: No. of pts (%) | 25 (70%) | 23 (90%) | 13 (76%) | 11 (92%) | 10 (91%) | 9 (82%) | 6 (75%) | 4 (80%) |
| p-value (vs. T1) * | 0.07 | 0.73 | 0.22 | 1 | 0.55 | 0.54 | ||
| p-value (vs. CONGENITAL) * | 0.22 | 0.57 | 1 | 0.51 | ||||
| FIBROSIS: No. of pts (%) | 9 (36%) | 5 (20%) | 5 (29%) | 3 (25%) | 3 (27%) | 2 (18%) | 3 (38%) | 2 (40%) |
| p-value (vs. T1) * | 0.35 | 0.75 | 0.71 | 1 | 1 | 1 | ||
| p-value (vs. CONGENITAL) * | 0.71 | 1 | 1 | 0.60 | ||||
| NDO | LCB | |||||||
|---|---|---|---|---|---|---|---|---|
| T1 | T5 | T6 | T7 | T1 | T5 | T6 | T7 | |
| Patients (n) | 27 | 27 | 20 | 12 | 9 | 9 | 5 | 5 |
| EDEMA: No. of pts (%) | 15 (56%) | 19 (70%) | 15 (75%) | 11 (92%) | 5 (56%) | 5 (56%) | 4 (80%) | 2 (40%) |
| p-value (vs. T1) * | 0.4 | 0.23 | 0.03 | 1 | 0.58 | 1 | ||
| p-value (vs. NDO) * | 1 | 0.44 | 1 | 0.05 | ||||
| INFLAMMATION: No. of pts (%) | 21 (78%) | 25 (93%) | 15 (75%) | 12 (100%) | 6 (67%) | 7 (78%) | 4 (80%) | 3 (60%) |
| p-value (vs. T1) * | 0.75 | 1 | 0.15 | 1 | 1 | 1 | ||
| p-value (vs. NDO) * | 0.66 | 1 | 1 | 0.07 | ||||
| FIBROSIS: No. of pts (%) | 8 (30%) | 5 (19%) | 5 (25%) | 4 (33%) | 4 (44%) | 3 (33%) | 3 (60%) | 1 (20%) |
| p-value (vs. T1) * | 0.53 | 0.76 | 1 | 1 | 1 | 1 | ||
| p-value (vs. NDO) * | 0.44 | 0.38 | 0.28 | 0.59 | ||||
Disclaimer/Publisher’s Note: The statements, opinions and data contained in all publications are solely those of the individual author(s) and contributor(s) and not of MDPI and/or the editor(s). MDPI and/or the editor(s) disclaim responsibility for any injury to people or property resulting from any ideas, methods, instructions or products referred to in the content. |
© 2023 by the authors. Licensee MDPI, Basel, Switzerland. This article is an open access article distributed under the terms and conditions of the Creative Commons Attribution (CC BY) license (https://creativecommons.org/licenses/by/4.0/).
Share and Cite
Pellegrino, C.; Forlini, V.; Lena, F.; Capitanucci, M.L.; Diomedi Camassei, F.; Castelli, E.; Mosiello, G. Onabotulinum Toxin A Intradetrusor Injections in Children with Neurogenic Lower Urinary Tract Dysfunction: Long-Term Histological Effects on the Bladder Wall. Biomedicines 2023, 11, 1300. https://doi.org/10.3390/biomedicines11051300
Pellegrino C, Forlini V, Lena F, Capitanucci ML, Diomedi Camassei F, Castelli E, Mosiello G. Onabotulinum Toxin A Intradetrusor Injections in Children with Neurogenic Lower Urinary Tract Dysfunction: Long-Term Histological Effects on the Bladder Wall. Biomedicines. 2023; 11(5):1300. https://doi.org/10.3390/biomedicines11051300
Chicago/Turabian StylePellegrino, Chiara, Valentina Forlini, Federica Lena, Maria Luisa Capitanucci, Francesca Diomedi Camassei, Enrico Castelli, and Giovanni Mosiello. 2023. "Onabotulinum Toxin A Intradetrusor Injections in Children with Neurogenic Lower Urinary Tract Dysfunction: Long-Term Histological Effects on the Bladder Wall" Biomedicines 11, no. 5: 1300. https://doi.org/10.3390/biomedicines11051300
APA StylePellegrino, C., Forlini, V., Lena, F., Capitanucci, M. L., Diomedi Camassei, F., Castelli, E., & Mosiello, G. (2023). Onabotulinum Toxin A Intradetrusor Injections in Children with Neurogenic Lower Urinary Tract Dysfunction: Long-Term Histological Effects on the Bladder Wall. Biomedicines, 11(5), 1300. https://doi.org/10.3390/biomedicines11051300

