Purtscher-like Retinopathy in a Patient with Systemic Sclerosis: A Case Report and Narrative Review
Abstract
1. Introduction
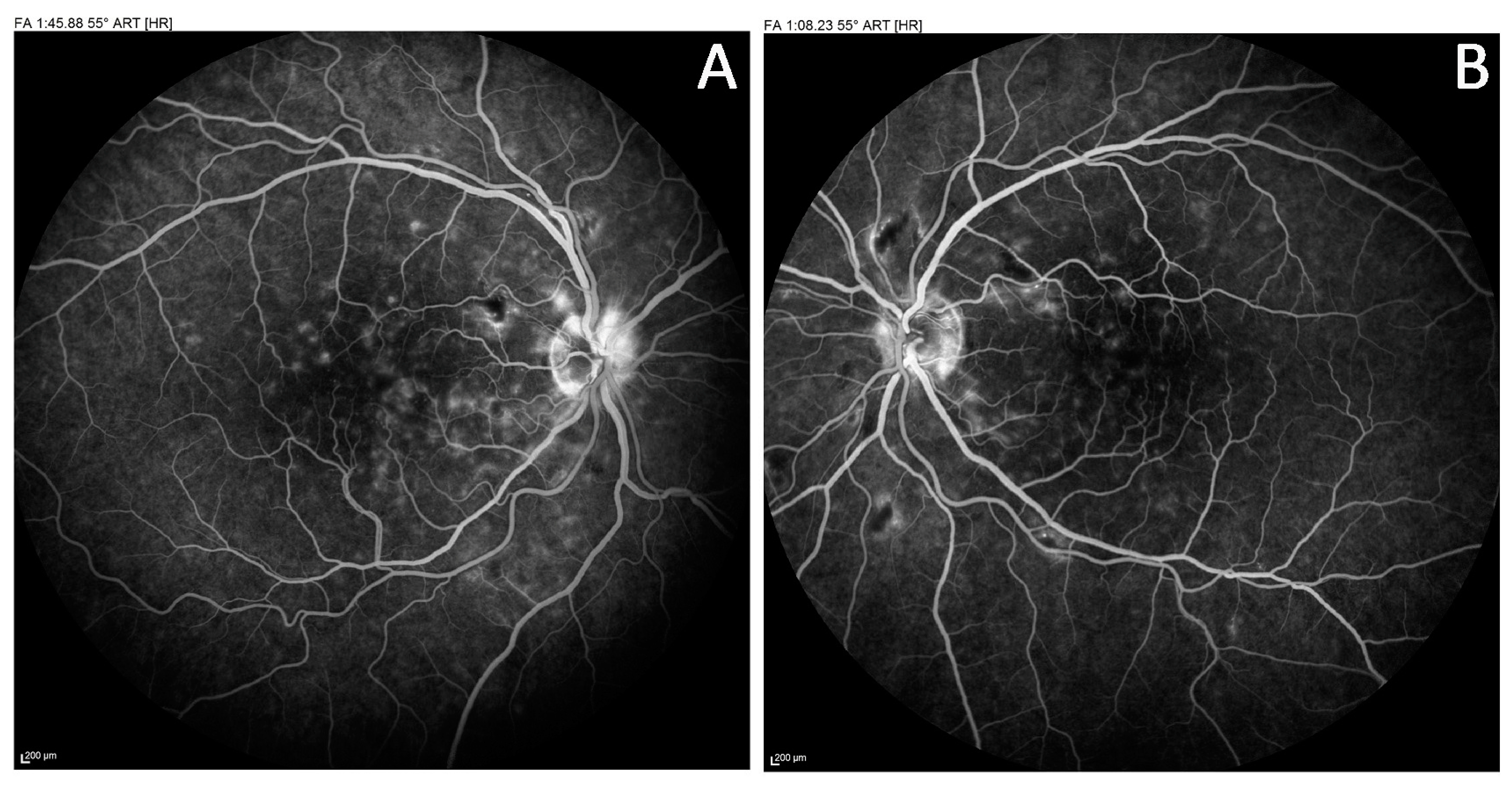
2. Case Report
3. Discussion
4. Conclusions
Author Contributions
Funding
Institutional Review Board Statement
Informed Consent Statement
Data Availability Statement
Conflicts of Interest
References
- Narang, S.; Aggarwal, P.; Bhattacharyya, A.; Singla, S.; Negi, R.; Cruz, S.D. Acute pancreatitis presenting as Purtscher-like retinopathy. Pancreatology 2022, 22, 333–334. [Google Scholar] [CrossRef] [PubMed]
- Sánchez Vicente, J.L.; Castilla Martino, M.; Contreras Díaz, M.; Rueda Rueda, T.; Molina Socola, F.E.; Muñoz Morales, A.; López Herrero, F.; Moruno Rodríguez, A.; Vizuete Rodríguez, L.; Martínez Borrego, A. Purtscher-like retinopathy preceding acute renal failure. Arch. Soc. Esp. Oftalmol. 2018, 93, 198–201. [Google Scholar] [CrossRef] [PubMed]
- Wu, C.; Dai, R.; Dong, F.; Wang, Q. Purtscher-like retinopathy in systemic lupus erythematosus. Am. J. Ophthalmol. 2014, 158, 1335–1341.e1. [Google Scholar] [CrossRef] [PubMed]
- Vezzola, D.; Allegrini, D.; Romano, M.R.; Pagano, L.; Montericcio, A.; Fogagnolo, P.; Rossetti, L.M.; De Cillà, S. Optical coherence tomography angiography in Purtscher-like retinopathy associated with dermatomyositis: A case report. J. Med. Case Rep. 2019, 13, 206. [Google Scholar] [CrossRef] [PubMed]
- Miguel, A.I.; Henriques, F.; Azevedo, L.F.; Loureiro, A.J.; Maberley, D.A. Systematic review of Purtscher’s and Purtscher-like retinopathies. Eye 2013, 27, 1–13. [Google Scholar] [CrossRef]
- Agrawal, A.; McKibbin, M.A. Purtscher’s and Purtscher-like retinopathies: A review. Surv. Ophthalmol. 2006, 51, 129–136. [Google Scholar] [CrossRef]
- Alzahrani, M.; Rehman, M.A.; Basodan, T.; Adnan, I.; Akhtar, M. Purtscher’s retinopathy in scleroderma. GMS Ophthalmol. Cases 2019, 9, Doc07. [Google Scholar] [CrossRef]
- Proença Pina, J.; Ssi-Yan-Kai, K.; de Monchy, I.; Charpentier, B.; Offret, H.; Labetoulle, M. Purtscher-like retinopathy: Case report and review of the literature. J. Fr. Ophtalmol. 2008, 31, 609–613. [Google Scholar] [CrossRef]
- Ustaoğlu, M.; Önder, F.; Solmaz, N.; Öztürk, S.; Ayer, M. Purtscher-like Retinopathy Associated with Atypical Hemolytic Uremic Syndrome. Turk J. Ophthalmol. 2017, 47, 348–350. [Google Scholar] [CrossRef]
- Stewart, M.W.; Brazis, P.W.; Guier, C.P.; Thota, S.H.; Wilson, S.D. Purtscher-like retinopathy in a patient with HELLP syndrome. Am. J. Ophthalmol. 2007, 143, 886–887. [Google Scholar] [CrossRef]
- Ozdamar Erol, Y.; Inanc, M. Purtscher-like retinopathy with serous macular detachment in pre-eclampsia. Oxf. Med. Case Rep. 2018, 2018, omx086. [Google Scholar] [CrossRef] [PubMed]
- Ting, D.S.J.; Smith, J.; Talks, S.J. Purtscher-like retinopathy associated with squamous cell carcinoma of the cervix. Int. Ophthalmol. 2018, 38, 389–393. [Google Scholar] [CrossRef] [PubMed]
- Lujan, B.J.; Coady, P.A.; McDonald, H.R. Spectral domain optical coherence tomography imaging of Purtscher-like retinopathy. Retin. Cases Brief Rep. 2014, 8, 283–285. [Google Scholar] [CrossRef] [PubMed]
- Bottini, A.R.; Steinmetz, S.; Blinder, K.J.; Shah, G.K. Purtscher-like Retinopathy in a Patient with COVID-19. Case Rep. Ophthalmol. Med. 2021, 2021, 6661541. [Google Scholar] [CrossRef]
- Durrani, A.K.; Mehta, V.J.; Kim, S.J. Postinfluenza Purtscher-like Retinopathy with Acute Macular Neuroretinopathy. Ophthalmol. Retina 2018, 2, 95. [Google Scholar] [CrossRef]
- Lima, L.H.; Vianello, S.; Pimentel, S.; Costa de Andrade, G.; Zett, C.; Muller, L.; Farah, M.E.; Belfort, R., Jr. Dengue Fever Presenting as Purtscher-like Retinopathy. Ocul. Immunol. Inflamm. 2018, 26, 660–665. [Google Scholar] [CrossRef]
- Fairbanks, J.L.; Lloyd, R.E.; Dempsey, S.P. Case Report: Postpartum Purtscher-like Retinopathy. Optom. Vis. Sci. 2021, 98, 1304–1308. [Google Scholar] [CrossRef]
- Lim, B.A.; Ang, C.L. Purtscher-like retinopathy after retrobulbar injection. Ophthalmic. Surg. Lasers 2001, 32, 477–478. [Google Scholar] [CrossRef]
- Nor-Masniwati, S.; Azhany, Y.; Zunaina, E. Purtscher-like retinopathy following valsalva maneuver effect: Case report. J. Med. Case Rep. 2011, 5, 338. [Google Scholar] [CrossRef]
- Brown, G.C.; Brown, M.M.; Hiller, T.; Fischer, D.; Benson, W.E.; Magargal, L.E. Cotton-wool spots. Retina 1985, 5, 206–214. [Google Scholar] [CrossRef]
- Harrison, T.J.; Abbasi, C.O.; Khraishi, T.A. Purtscher retinopathy: An alternative etiology supported by computer fluid dynamic simulations. Investig. Ophthalmol. Vis. Sci. 2011, 52, 8102–8107. [Google Scholar] [CrossRef] [PubMed]
- Delaey, C.; Van De Voorde, J. Regulatory mechanisms in the retinal and choroidal circulation. Ophthalmic. Res. 2000, 32, 249–256. [Google Scholar] [CrossRef] [PubMed]
- Gomez-Ulla, F.; Fente, B.; Torreiro, M.G.; Salorio, M.S.; Gonzalez, F. Choroidal vascular abnormality in Purtscher’s retinopathy shown by indocyanine green angiography. Am. J. Ophthalmol. 1996, 122, 261–263. [Google Scholar] [CrossRef] [PubMed]
- Li, B.; Li, D.; Chen, Y. Purtscher-like retinopathy presented a honeycomb-like pattern in optical coherence topography angiography. BMC Ophthalmol. 2019, 19, 232. [Google Scholar] [CrossRef]
- Kreps, E.O.; Carton, C.; Cutolo, M.; Cutolo, C.A.; Vanhaecke, A.; Leroy, B.P.; Smith, V. Ocular involvement in systemic sclerosis: A systematic literature review, it’s not all scleroderma that meets the eye. Semin. Arthritis Rheum. 2019, 49, 119–125. [Google Scholar] [CrossRef]
- Cutolo, M.; Soldano, S.; Smith, V. Pathophysiology of systemic sclerosis: Current understanding and new insights. Expert Rev. Clin. Immunol. 2019, 15, 753–764. [Google Scholar] [CrossRef] [PubMed]
- Champion, H.C. The heart in scleroderma. Rheum. Dis. Clin. N. Am. 2008, 34, 181–190. [Google Scholar] [CrossRef]
- Ang, L.; Chang, B.C.M. Purtscher-like retinopathy—A rare complication of acute myocardial infarction and a review of the literature. Saudi J. Ophthalmol. 2017, 31, 250–256. [Google Scholar] [CrossRef]
- Lee, D.H.; Hwang, C.K.; Cukras, C.A.; Wiley, H.E.; Malik, F.F.; Chew, E.Y.; Keenan, T.D. Two cases of severe Purtscher-like retinopathy demonstrating recurrence and progression to neovascularization and vitreous hemorrhage. Am. J. Ophthalmol. Case Rep. 2020, 18, 100664. [Google Scholar] [CrossRef]








| Parameter, Unit | Normal Range | At Initial | 6-Month Follow-Up | 12-Month Follow-Up |
|---|---|---|---|---|
| High-sensitivity troponine [ng/L] | up to 32 | 911.80 | 190 | 31.40 |
| NT-proBNP [pg/mL] | 0.0–125.0 | 4344 | 1765 | 1289 |
| Creatine Kinase-MB (activity) [IU/L] | 0.0–25.0 | 188 | 35 | 27 |
| CRP [mg/L] | 0.0–10.0 | 34.5 | <1 | 11.1 |
| ESR [mm/1 h] | up to 8 | 52 | 1 | 19 |
| ESR [mm/2 h] | up to 8 | 84 | 2 | 39 |
| Creatinine [mg/dL] | 0.73–1.18 | 0.70 | 0.67 | 0.68 |
| Uric Acid [mg/dL] | 3.5–7.2 | 6.7 | 8.8 | 4.5 |
| IL-6 [pg/mL] | 1.5–7.0 | 296.5 | 148.4 | 18.3 |
Disclaimer/Publisher’s Note: The statements, opinions and data contained in all publications are solely those of the individual author(s) and contributor(s) and not of MDPI and/or the editor(s). MDPI and/or the editor(s) disclaim responsibility for any injury to people or property resulting from any ideas, methods, instructions or products referred to in the content. |
© 2023 by the authors. Licensee MDPI, Basel, Switzerland. This article is an open access article distributed under the terms and conditions of the Creative Commons Attribution (CC BY) license (https://creativecommons.org/licenses/by/4.0/).
Share and Cite
Pieklarz, B.; Gińdzieńska-Sieśkiewicz, E.; Zawadzka, I.; Bagrowska, M.; Daniluk, J.; Konopińska, J.; Kowal-Bielecka, O.; Dmuchowska, D.A. Purtscher-like Retinopathy in a Patient with Systemic Sclerosis: A Case Report and Narrative Review. Biomedicines 2023, 11, 839. https://doi.org/10.3390/biomedicines11030839
Pieklarz B, Gińdzieńska-Sieśkiewicz E, Zawadzka I, Bagrowska M, Daniluk J, Konopińska J, Kowal-Bielecka O, Dmuchowska DA. Purtscher-like Retinopathy in a Patient with Systemic Sclerosis: A Case Report and Narrative Review. Biomedicines. 2023; 11(3):839. https://doi.org/10.3390/biomedicines11030839
Chicago/Turabian StylePieklarz, Barbara, Ewa Gińdzieńska-Sieśkiewicz, Izabela Zawadzka, Magdalena Bagrowska, Joanna Daniluk, Joanna Konopińska, Otylia Kowal-Bielecka, and Diana Anna Dmuchowska. 2023. "Purtscher-like Retinopathy in a Patient with Systemic Sclerosis: A Case Report and Narrative Review" Biomedicines 11, no. 3: 839. https://doi.org/10.3390/biomedicines11030839
APA StylePieklarz, B., Gińdzieńska-Sieśkiewicz, E., Zawadzka, I., Bagrowska, M., Daniluk, J., Konopińska, J., Kowal-Bielecka, O., & Dmuchowska, D. A. (2023). Purtscher-like Retinopathy in a Patient with Systemic Sclerosis: A Case Report and Narrative Review. Biomedicines, 11(3), 839. https://doi.org/10.3390/biomedicines11030839

