Optical Coherence Tomography Angiography Changes in Macular Area in Patients with Proliferative Diabetic Retinopathy Treated with Panretinal Photocoagulation
Abstract
:1. Introduction
2. Materials and Methods
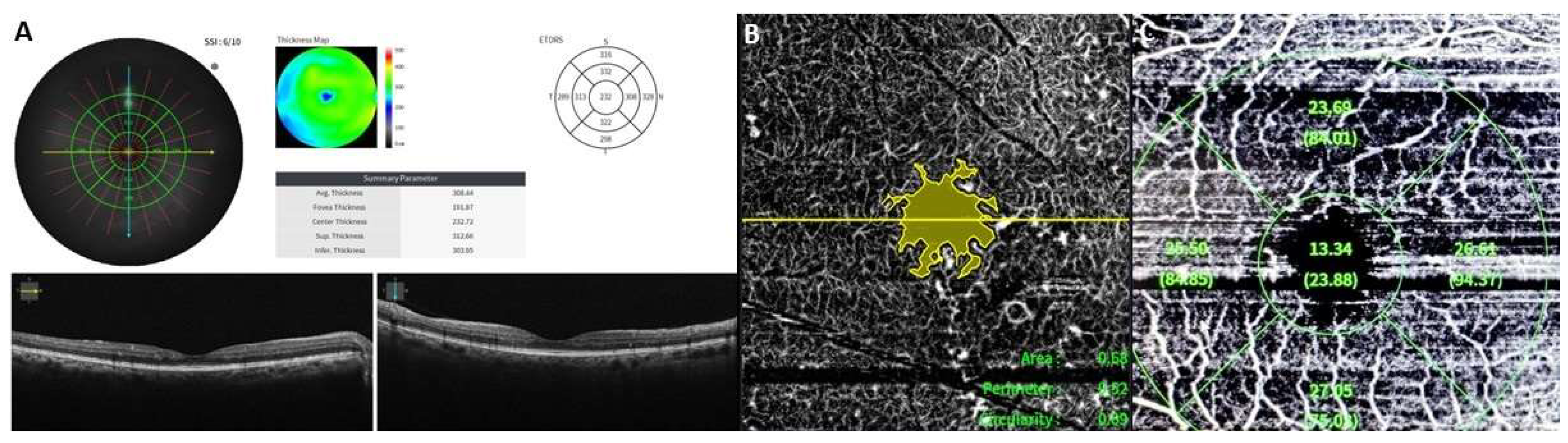
2.1. Optical Coherence Tomography (OCT) and OCT Angiography Protocol
2.2. Statistical Analysis
3. Results
4. Discussion
5. Conclusions
Author Contributions
Funding
Institutional Review Board Statement
Informed Consent Statement
Data Availability Statement
Acknowledgments
Conflicts of Interest
References
- International Diabetes Federation. IDF Diabetes Atlas, 10th ed.; International Diabetes Federation: Brussels, Belgium, 2021; Available online: https://www.diabetesatlas.org (accessed on 10th November 2023).
- Antonetti, D.A.; Klein, R.; Gardner, T.W. Diabetic retinopathy. N. Engl. J. Med. 2012, 366, 1227–1239. [Google Scholar] [CrossRef] [PubMed]
- The Diabetic Retinopathy Study Research Group. Photocoagulation treatment of proliferative diabetic retinopathy. Clinical application of Diabetic Retinopathy Study (DRS) findings, DRS Report Number 8. Ophthalmology 1981, 88, 583–600. [Google Scholar]
- Funatsu, H.; Hori, S.; Yamashita, H.; Kitano, S. Effective mechanisms of laser photocoagulation for neovascularization in diabetic retinopathy. Nippon. Ganka Gakkai Zasshi 1996, 100, 339–349. [Google Scholar] [PubMed]
- Luttrull, J.K. Lasers in Medicine: The Changing Role of Therapeutic Laser-Induced Retinal Damage—From de rigeuer to Nevermore. Photonics 2023, 10, 999. [Google Scholar] [CrossRef]
- Moriarty, A.P.; Spalton, D.J.; Shilling, J.S.; Ffytche, T.J.; Bulsara, M. Breakdown of the blood-aqueous barrier after argon laser panretinal photocoagulation for proliferative diabetic retinopathy. Ophthalmology 1996, 103, 833–838. [Google Scholar] [CrossRef] [PubMed]
- Mendivil, A. Ocular blood flow velocities in patients with proliferative diabetic retinopathy after panretinal photocoagulation. Surv. Ophthalmol. 1997, 42, S89–S95. [Google Scholar] [CrossRef] [PubMed]
- Yamada, Y.; Suzuma, K.; Onizuka, N.; Uematsu, M.; Mohamed, Y.H.; Kitaoka, T. Evaluation of retinal blood flow before and after panretinal photocoagulation using pattern scan laser for diabetic retinopathy. Curr. Eye Res. 2017, 42, 1707–1712. [Google Scholar] [CrossRef] [PubMed]
- Iwase, T.; Kobayashi, M.; Yamamoto, K.; Ra, E.; Terasaki, H. Effects of photocoagulation on ocular blood flow in patients with severe non-proliferative diabetic retinopathy. PLoS ONE 2017, 12, e0174427. [Google Scholar] [CrossRef]
- Cicinelli, M.V.; Cavalleri, M.; Brambati, M.; Lattanzio, R.; Bandello, F. New imaging systems in diabetic retinopathy. Acta Diabetol. 2019, 56, 981–994. [Google Scholar] [CrossRef]
- Russell, J.F.; Al-Khersan, H.; Shi, Y.; Scott, N.L.; Hinkle, J.W.; Fan, K.C.; Lyu, C.; Feuer, W.J.; Gregori, G.; Rosenfeld, P.J. Retinal Nonperfusion in Proliferative Diabetic Retinopathy Before and After Panretinal Photocoagulation Assessed by Widefield OCT Angiography. Am. J. Ophthalmol. 2020, 213, 177–185. [Google Scholar] [CrossRef]
- Lorusso, M.; Milano, V.; Nikolopoulou, E.; Ferrari, L.M.; Cicinelli, M.V.; Querques, G.; Ferrari, T.M. Panretinal Photocoagulation Does Not Change Macular Perfusion in Eyes With Proliferative Diabetic Retinopathy. Ophthalmic Surg. Lasers Imaging Retin. 2019, 50, 174–178. [Google Scholar] [CrossRef]
- Mirshahi, A.; Ghassemi, F.; Fadakar, K.; Mirshahi, R.; Bazvand, F.; Riazi-Esfahani, H. Effects of panretinal photocoagulation on retinal vasculature and foveal avascular zone in diabetic retinopathy using optical coherence tomography angiography: A pilot study. J. Curr. Ophthalmol. 2019, 31, 287–291. [Google Scholar] [CrossRef] [PubMed]
- Fawzi, A.A.; Fayed, A.E.; Linsenmeier, R.A.; Gao, J.; Yu, F. Improved Macular Capillary Flow on Optical Coherence Tomography Angiography after Panretinal Photocoagulation for Proliferative Diabetic Retinopathy. Am. J. Ophthalmol. 2019, 206, 217–227. [Google Scholar] [CrossRef] [PubMed]
- Early Treatment Diabetic Retinopathy Study Research Group. Grading diabetic retinopathy from stereoscopic color fundus photographs—An extension of the modified Airlie House classification. ETDRS report number 10. Ophthalmology 1991, 98, 786–806. [Google Scholar] [CrossRef]
- Lee, J.C.; Wong, B.J.; Tan, O.; Srinivas, S.; Sadda, S.R.; Huang, D.; Fawzi, A.A. Pilot study of Doppler optical coherence tomography of retinal blood flow following laser photocoagulation in poorly controlled diabetic patients. Investig. Ophthalmol. Vis. Sci. 2013, 54, 6104–6111. [Google Scholar] [CrossRef] [PubMed]
- Grunwald, J.E.; Brucker, A.J.; Grunwald, S.E.; Riva, C.E. Retinal hemodynamics in proliferative diabetic retinopathy. A laser Doppler velocimetry study. Investig. Ophthalmol. Vis. Sci. 1993, 34, 66–71. [Google Scholar]
- Feke, G.T.; Green, G.J.; Goger, D.G.; McMeel, J.W. Laser Doppler measurements of the effect of panretinal photocoagulation on retinal blood flow. Ophthalmology 1982, 89, 757–762. [Google Scholar] [CrossRef]
- Augsten, R.; Königsdörffer, E.; Schweitzer, D.; Strobel, J. Nonproliferative diabetic retinopathy-reflection spectra of the macula before and after laser photocoagulation. Ophthalmologica 1998, 212, 105–111. [Google Scholar] [CrossRef]
- Takahashi, A.; Nagaoka, T.; Sato, E.; Yoshida, A. Effect of panretinal photocoagulation on choroidal circulation in the foveal region in patients with severe diabetic retinopathy. Br. J. Ophthalmol. 2008, 92, 1369–1373. [Google Scholar] [CrossRef]
- Flower, R.W.; Fryczkowski, A.W.; McLeod, D.S. Variability in choriocapillaris blood flow distribution. Investig. Ophthalmol. Vis. Sci. 1995, 36, 1247–1258. [Google Scholar]
- Zhao, T.; Chen, Y.; Liu, D.; Stewart, J.M. Optical Coherence Tomography Angiography Assessment of Macular Choriocapillaris and Choroid Following Panretinal Photocoagulation in a Diverse Population With Advanced Diabetic Retinopathy. Asia Pac. J. Ophthalmol. 2020, 10, 203–207. [Google Scholar] [CrossRef]
- Kim, K.; Kim, E.S.; Yu, S.Y. Longitudinal changes in retinal microvasculature after panretinal photocoagulation in diabetic retinopathy using swept-source OCT angiography. Sci. Rep. 2021, 11, 216. [Google Scholar] [CrossRef] [PubMed]
- Takase, N.; Nozaki, M.; Kato, A.; Ozeki, H.; Yoshida, M.; Ogura, Y. Enlargement of foveal avascular zone in diabetic eyes evaluated by en face optical coherence tomography angiography. Retina 2015, 35, 2377–2383. [Google Scholar] [CrossRef]
- Early Treatment Diabetic Retinopathy Study Research Group. Classification of diabetic retinopathy from fluorescein angiograms. ETDRS report number 11. Ophthalmology 1991, 98, 807–822. [Google Scholar] [CrossRef]
- Krawitz, B.D.; Mo, S.; Geyman, L.S.; Agemy, S.A.; Scripsema, N.K.; Garcia, P.M.; Chui, T.Y.; Rosen, R.B. Acircularity index and axis ratio of the foveal avascular zone in diabetic eyes and healthy controls measured by optical coherence tomography angiography. Vis. Res. 2017, 139, 177–186. [Google Scholar] [CrossRef] [PubMed]
- Salz, D.A.; de Carlo, T.E.; Adhi, M.; Moult, E.; Choi, W.; Baumal, C.R.; Witkin, A.J.; Duker, J.S.; Fujimoto, J.G.; Waheed, N.K. Select Features of Diabetic Retinopathy on Swept-Source Optical Coherence Tomographic Angiography Compared with Fluorescein Angiography and Normal Eyes. JAMA Ophthalmol. 2016, 134, 644–650. [Google Scholar] [CrossRef] [PubMed]
- Sabaner, M.C.; Dogan, M.; Akdogan, M.; Şimşek, M. Panretinal laser photocoagulation decreases large foveal avascular zone area in non-proliferative diabetic retinopathy: A prospective OCTA study. Photodiagnosis Photodyn. Ther. 2021, 34, 102298. [Google Scholar] [CrossRef]
- Abdelhalim, A.S.; Abdelkader, M.F.S.O.; Mahmoud, M.S.E.-D.; Mohamed Mohamed, A.A. Macular vessel density before and after panretinal photocoagulation in patients with proliferative diabetic retinopathy. Int. J. Retin. Vitr. 2022, 8, 21. [Google Scholar] [CrossRef]
- Faghihi, H.; Riazi-Esfahani, H.; Khodabande, A.; Khalili Pour, E.; Mirshahi, A.; Ghassemi, F.; Mirshahi, R.; Khojasteh, H.; Bazvand, F.; Hashemi, A.; et al. Effect of panretinal photocoagulation on macular vasculature using optical coherence tomography angiography. Eur. J. Ophthalmol. 2021, 31, 1877–1884. [Google Scholar] [CrossRef] [PubMed]
- Theodossiadis, P.G.; Theodossiadis, G.P.; Charonis, A.; Emfietzoglou, I.; Grigoropoulos, V.G.; Liarakos, V.S. The photoreceptor layer as a prognostic factor for visual acuity in the secondary epiretinal membrane after retinal detachment surgery: Imaging analysis by spectral-domain optical coherence tomography. Am. J. Ophthalmol. 2011, 151, 973–980. [Google Scholar] [CrossRef]
- Chatziralli, I.; Theodossiadis, G.; Dimitriou, E.; Kazantzis, D.; Theodossiadis, P. Association between the patterns of diabetic macular edema and photoreceptors’ response after intravitreal ranibizumab treatment: A spectral-domain optical coherence tomography study. Int. Ophthalmol. 2020, 40, 2441–2448. [Google Scholar] [CrossRef] [PubMed]

| Age (years, mean ± SD) (min–max) | 57.3 ± 8.9 (48–68) |
| Gender (n, %) | |
| Male | 15 (53.6%) |
| Female | 13 (46.4%) |
| Duration of diabetes mellitus (years, mean ± SD) (min–max) | 12.4 ± 5.4 (7–19) |
| HbA1c (%, mean ± SD) (min–max) | 7.8 ± 1.3 (6–10.5) |
| Hypertension (n, %) | 18 (64.3%) |
| Dyslipidemia (n, %) | 12 (42.9%) |
| Smoking (n, %) | 11 (39.2%) |
| Best-corrected visual acuity (logMAR, mean ± SD) (min–max) | 0.41 ± 0.11 (0.3–0.6) |
| Intraocular pressure (mmHg, mean ± SD) (min–max) | 15.7 ± 4.2 (11–18) |
| Lens status (n, %) | |
| Phakic | 22 (78.6%) |
| Pseudophakic | 6 (21.4%) |
| Refractive error (spherical equivalent in D, mean ± SD) | −1.25 ± 0.75 |
| Central subfield thickness (μm, mean ± SD) (min–max) | 262.4 ± 35.2 (223–309) |
| Ellipsoid zone condition (n, %) | |
| Intact | 20 (71.4%) |
| Disrupted | 8 (28.6%) |
| External limiting membrane condition (n, %) | |
| Intact | 22 (78.6%) |
| Disrupted | 6 (21.4%) |
| Baseline | Month 1 | Month 6 | Month 12 | |
|---|---|---|---|---|
| Best-corrected visual acuity (logMAR, mean ± SD) (min–max) | 0.41 ± 0.11 (0.3–0.6) | 0.41 ± 0.13 (0.3–0.6) (p = 0.030) | 0.40 ± 0.12 (0.3–0.6) (p = 0.103) | 0.39 ± 0.12 (0.3–0.6) (p = 0.032) |
| Central subfield thickness (μm, mean ± SD) (min–max) | 262.4 ± 35.2 (223–309) | 299.1 ± 42.7 (242–350) (p < 0.001) | 274.3 ± 37.7 (231–315) (p = 0.228) | 270.1 ± 34.1 (232–311) (p = 0.409) |
| Ellipsoid zone integrity intact (n, %) | 20/28 (71.4%) | 21/28 (75%) (p = 0.763) | 22/28 (78.6%) (p = 0.537) | 22/28 (78.6%) (p = 0.537) |
| External limiting membrane integrity intact (n, %) | 22/28 (78.6%) | 22/28 (78.6%) | 22/28 (78.6%) | 22/28 (78.6%) |
| Baseline | Month 1 | Month 6 | Month 12 | |
|---|---|---|---|---|
| FAZ area (mm2, mean ± SD) | 0.51 ± 0.18 | 0.51 ± 0.19 (p = 0.952) | 0.40 ± 0.13 (p = 0.014) | 0.41 ± 0.10 (p = 0.011) |
| FAZ perimeter (mm, mean ± SD) | 6.43 ± 2.41 | 6.45 ± 2.03 (p = 0.973) | 5.02 ± 1.73 (p = 0.015) | 5.01 ± 1.88 (p = 0.017) |
| FAZ circularity (mean ± SD) | 0.21 ± 0.09 | 0.21 ± 0.10 (p > 0.999) | 0.27 ± 0.08 (p = 0.009) | 0.27 ± 0.10 (p = 0.015) |
| Superficial capillary plexus (mean ± SD) | ||||
| Vessel density, central | 9.07 ± 4.92 | 10.91 ± 4.01 (p = 0.102) | 12.96 ± 4.06 (p = 0.002) | 13.15 ± 4.89 (p = 0.003) |
| Vessel density, superior | 26.05 ± 10.21 | 30.97 ± 7.17 (p = 0.028) | 32.21 ± 7.56 (p = 0.013) | 32.45 ± 7.74 (p = 0.010) |
| Vessel density, inferior | 24.71 ± 11.63 | 26.95 ± 8.14 (p = 0.289) | 31.99 ± 7.85 (p = 0.008) | 32.12 ± 7.76 (p = 0.007) |
| Vessel density, temporal | 19.52 ± 9.35 | 24.96 ± 9.55 (p = 0.036) | 25.67 ± 9.40 (p = 0.017) | 26.13 ± 9.42 (p = 0.010) |
| Vessel density, nasal | 22.15 ± 10.61 | 27.13 ± 9.23 (p = 0.067) | 28.77 ± 9.06 (p = 0.015) | 28.93 ± 9.57 (p = 0.015) |
| Deep capillary plexus (mean ± SD) | ||||
| Vessel density, central | 5.01 ± 2.73 | 5.12 ± 2.96 (p = 0.886) | 6.31 ± 2.57 (p = 0.059) | 6.69 ± 3.17 (p = 0.038) |
| Vessel density, superior | 12.99 ± 6.81 | 14.73 ± 6.62 (p = 0.337) | 16.57 ± 7.59 (p = 0.069) | 16.96 ± 6.53 (p = 0.030) |
| Vessel density, inferior | 15.61 ± 5.53 | 16.06 ± 6.12 (p = 0.774) | 17.89 ± 6.41 (p = 0.160) | 18.15 ± 5.94 (p = 0.104) |
| Vessel density, temporal | 16.11 ± 4.90 | 17.03 ± 4.51 (p = 0.468) | 17.98 ± 4.99 (p = 0.163) | 19.29 ± 5.23 (p = 0.023) |
| Vessel density, nasal | 15.17 ± 3.78 | 15.88 ± 3.91 (p = 0.493) | 16.91 ± 4.07 (p = 0.103) | 17.52 ± 4.90 (p = 0.050) |
Disclaimer/Publisher’s Note: The statements, opinions and data contained in all publications are solely those of the individual author(s) and contributor(s) and not of MDPI and/or the editor(s). MDPI and/or the editor(s) disclaim responsibility for any injury to people or property resulting from any ideas, methods, instructions or products referred to in the content. |
© 2023 by the authors. Licensee MDPI, Basel, Switzerland. This article is an open access article distributed under the terms and conditions of the Creative Commons Attribution (CC BY) license (https://creativecommons.org/licenses/by/4.0/).
Share and Cite
Chatziralli, I.; Dimitriou, E.; Agapitou, C.; Kazantzis, D.; Kapsis, P.; Morogiannis, N.; Kandarakis, S.; Theodossiadis, G.; Theodossiadis, P. Optical Coherence Tomography Angiography Changes in Macular Area in Patients with Proliferative Diabetic Retinopathy Treated with Panretinal Photocoagulation. Biomedicines 2023, 11, 3146. https://doi.org/10.3390/biomedicines11123146
Chatziralli I, Dimitriou E, Agapitou C, Kazantzis D, Kapsis P, Morogiannis N, Kandarakis S, Theodossiadis G, Theodossiadis P. Optical Coherence Tomography Angiography Changes in Macular Area in Patients with Proliferative Diabetic Retinopathy Treated with Panretinal Photocoagulation. Biomedicines. 2023; 11(12):3146. https://doi.org/10.3390/biomedicines11123146
Chicago/Turabian StyleChatziralli, Irini, Eleni Dimitriou, Chrysa Agapitou, Dimitrios Kazantzis, Petros Kapsis, Nick Morogiannis, Stylianos Kandarakis, George Theodossiadis, and Panagiotis Theodossiadis. 2023. "Optical Coherence Tomography Angiography Changes in Macular Area in Patients with Proliferative Diabetic Retinopathy Treated with Panretinal Photocoagulation" Biomedicines 11, no. 12: 3146. https://doi.org/10.3390/biomedicines11123146
APA StyleChatziralli, I., Dimitriou, E., Agapitou, C., Kazantzis, D., Kapsis, P., Morogiannis, N., Kandarakis, S., Theodossiadis, G., & Theodossiadis, P. (2023). Optical Coherence Tomography Angiography Changes in Macular Area in Patients with Proliferative Diabetic Retinopathy Treated with Panretinal Photocoagulation. Biomedicines, 11(12), 3146. https://doi.org/10.3390/biomedicines11123146

