Ochronotic Chondropathy: A Case Report
Abstract
:1. Introduction
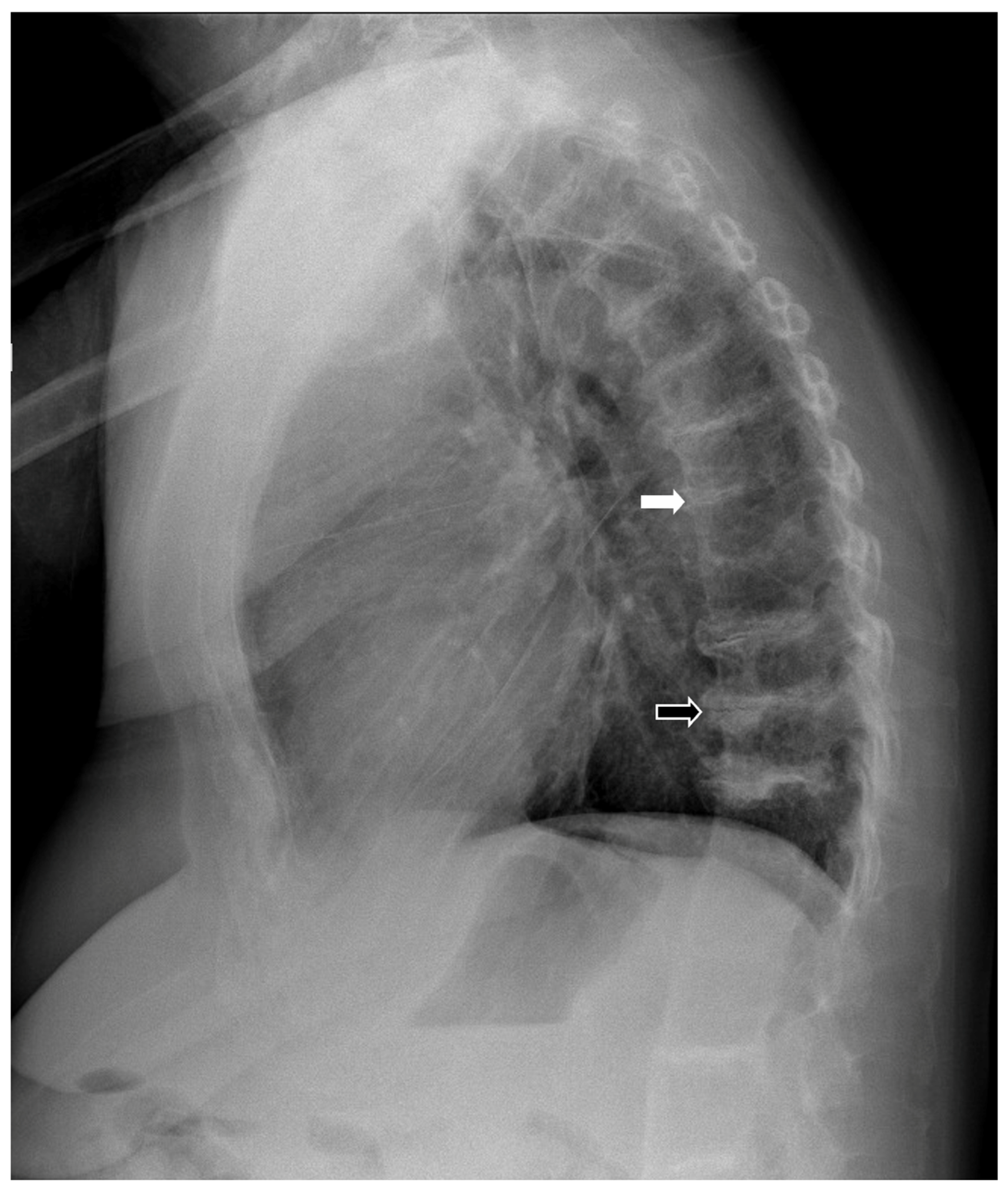
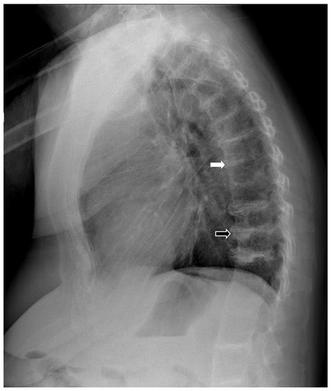
2. Case Report
3. Pathophysiology
3.1. Cellular-Level Changes in Chondrocytes
3.2. Alterations to the Extracellular Matrix
3.3. Patterns of Structural Damage Observed in Cartilage
4. Conclusions
Author Contributions
Funding
Institutional Review Board Statement
Informed Consent Statement
Data Availability Statement
Conflicts of Interest
References
- Phornphutkul, C.; Introne, W.J.; Perry, M.B.; Bernardini, I.; Murphey, M.D.; Fitzpatrick, D.L.; Anderson, P.D.; Huizing, M.; Anikster, Y.; Gerber, L.H.; et al. Natural history of alkaptonuria. N. Engl. J. Med. 2002, 347, 2111–2121. [Google Scholar] [CrossRef] [PubMed]
- Selvi, E.; Manganelli, S.; Mannoni, A.; Benucci, M.; Minacci, C.; Marcolongo, R. Chronic ochronotic arthritis: Clinical, arthroscopic, and pathologic findings. J. Rheumatol. 2000, 27, 2272–2274. [Google Scholar] [PubMed]
- Hamdi, N.; Cooke, T.D.V.; Hassan, B. Ochronotic arthropathy: Case report and review of the literature. Int. Orthop. 1999, 23, 122–125. [Google Scholar] [CrossRef]
- Laskar, F.H.; Sargison, K.D. Ochronotic arthropathy: A review with four case reports. J. Bone Jt. Surg. Br. 1970, 52, 653–666. [Google Scholar] [CrossRef]
- Taylor, A.M.; Boyde, A.; Wilson, P.J.M.; Jarvis, J.C.; Davidson, J.S.; Hunt, J.A.; Ranganath, L.R.; Gallagher, J.A. The role of calcified cartilage and subchondral bone in the initiation and progression of ochronotic arthropathy in alkaptonuria. Arthritis Rheum. 2011, 63, 3887–3896. [Google Scholar] [CrossRef] [PubMed]
- Vilboux, T.; Kayser, M.; Introne, W.; Suwannarat, P.; Bernardini, I.; Fischer, R.; O’Brien, K.; Kleta, R.; Huizing, M.; Gahl, W.A. Mutation spectrum of homogentisic acid oxidase (HGD) in alkaptonuria. Hum. Mutat. 2009, 30, 1611–1619. [Google Scholar] [CrossRef]
- Introne, W.J.; Perry, M.; Chen, M. Alkaptonuria. In GeneReviews®; Adam, M.P., Mirzaa, G.M., Pagon, R.A., Wallace, S.E., Bean, L.J.H., Gripp, K.W., Amemiya, A., Eds.; University of Washington: Seattle, WA, USA, 1993. Available online: https://www.ncbi.nlm.nih.gov/books/NBK1454/ (accessed on 5 September 2023).
- Zatkova, A. An update on molecular genetics of Alkaptonuria (AKU). J. Inherit. Metab. Dis. 2011, 34, 1127–1136. [Google Scholar] [CrossRef]
- Garrod, A.E. The incidence of alkaptonuria: A study in chemical individuality. Mol. Med. 1996, 2, 274–282. [Google Scholar] [CrossRef]
- Zatkova, A.; Sedlackova, T.; Radvansky, J.; Polakova, H.; Nemethova, M.; Aquaron, R.; Dursun, I.; Usher, J.L.; Kadasi, L. Identification of 11 Novel Homogentisate 1,2 Dioxygenase Variants in Alkaptonuria Patients and Establishment of a Novel LOVD-Based HGD Mutation Database. In JIMD Reports-Case and Research Reports, 2012/1; Springer: Berlin/Heidelberg, Germany, 2011; Volume 4, pp. 55–65. [Google Scholar] [CrossRef]
- Ranganath, L.R.; Norman, B.P.; Gallagher, J.A. Ochronotic pigmentation is caused by homogentisic acid and is the key event in alkaptonuria leading to the destructive consequences of the disease—A review. J. Inherit. Metab. Dis. 2019, 42, 776–792. [Google Scholar] [CrossRef]
- Tharini, G.; Ravindran, V.; Hema, N.; Prabhavathy, D.; Parveen, B. Alkaptonuria. Indian J. Dermatol. 2011, 56, 194–196. [Google Scholar] [CrossRef]
- Bruce, S.; Tschen, J.A.; Chow, D. Exogenous ochronosis resulting from quinine injections. J. Am. Acad. Dermatol. 1986, 15 Pt 2, 357–361. [Google Scholar] [CrossRef] [PubMed]
- Levin, C.Y.; Maibach, H. Exogenous ochronosis. An update on clinical features, causative agents and treatment options. Am. J. Clin. Dermatol. 2001, 2, 213–217. [Google Scholar] [CrossRef] [PubMed]
- Findlay, G.H.; Morrison, J.G.; Simson, I.W. Exogenous ochronosis and pigmented colloid milium from hydroquinone bleaching creams. Br. J. Dermatol. 1975, 93, 613–622. [Google Scholar] [CrossRef] [PubMed]
- Sharabi, A.F.; Goudar, R.B. Alkaptonuria. In StatPearls; StatPearls Publishing: St. Petersburg, FL, USA, 2023. Available online: https://www.ncbi.nlm.nih.gov/books/NBK560571/ (accessed on 5 September 2023).
- Mistry, J.B.; Bukhari, M.; Taylor, A.M. Alkaptonuria. Rare Dis. 2013, 1, e27475. [Google Scholar] [CrossRef] [PubMed]
- Bhattar, P.A.; Zawar, V.P.; Godse, K.V.; Patil, S.P.; Nadkarni, N.J.; Gautam, M.M. Exogenous Ochronosis. Indian J. Dermatol. 2015, 60, 537–543. [Google Scholar] [CrossRef]
- Gallagher, J.A.; Dillon, J.P.; Sireau, N.; Timmis, O.; Ranganath, L.R. Alkaptonuria: An example of a “fundamental disease”—A rare disease with important lessons for more common disorders. Semin. Cell Dev. Biol. 2016, 52, 53–57. [Google Scholar] [CrossRef]
- Gambassi, S.; Geminiani, M.; Thorpe, S.D.; Bernardini, G.; Millucci, L.; Braconi, D.; Orlandini, M.; Thompson, C.L.; Petricci, E.; Manetti, F.; et al. Smoothened-antagonists reverse homogentisic acid-induced alterations of Hedgehog signaling and primary cilium length in alkaptonuria. J. Cell. Physiol. 2017, 232, 3103–3111. [Google Scholar] [CrossRef]
- Gallagher, J.A.; Dillon, J.P.; Ranganath, L.R. Development of an Effective Therapy for Alkaptonuria—Lessons for Osteoarthritis. Rheumatol. Immunol. Res. 2021, 2, 79–85. [Google Scholar] [CrossRef]
- Chow, W.Y.; Norman, B.P.; Roberts, N.B.; Ranganath, L.R.; Teutloff, C.; Bittl, R.; Duer, M.J.; Gallagher, J.A.; Oschkinat, H. Pigmentation Chemistry and Radical-Based Collagen Degradation in Alkaptonuria and Osteoarthritic Cartilage. Angew. Chem. Int. Ed. 2020, 59, 11937–11942. [Google Scholar] [CrossRef]
- Zatkova, A.; Ranganath, L.; Kadasi, L. Alkaptonuria: Current Perspectives. Appl. Clin. Genet. 2020, 13, 37–47. [Google Scholar] [CrossRef]
- Preston, A.J.; Keenan, C.M.; Sutherland, H.; Wilson, P.J.; Wlodarski, B.; Taylor, A.M.; Williams, D.P.; Ranganath, L.R.; A Gallagher, J.; Jarvis, J.C. Ochronotic osteoarthropathy in a mouse model of alkaptonuria, and its inhibition by nitisinone. Ann. Rheum. Dis. 2014, 73, 284–289. [Google Scholar] [CrossRef] [PubMed]
- Liu, Y.; Zhang, Z.; Li, T.; Xu, H.; Zhang, H. Senescence in osteoarthritis: From mechanism to potential treatment. Arthritis Res. Ther. 2022, 24, 174. [Google Scholar] [CrossRef] [PubMed]
- Tinti, L.; Taylor, A.M.; Santucci, A.; Wlodarski, B.; Wilson, P.J.; Jarvis, J.C.; Fraser, W.D.; Davidson, J.S.; Ranganath, L.R.; Gallagher, J.A. Development of an in vitro model to investigate joint ochronosis in alkaptonuria. Rheumatology 2011, 50, 271–277. [Google Scholar] [CrossRef] [PubMed]
- Galderisi, S.; Cicaloni, V.; Milella, M.S.; Millucci, L.; Geminiani, M.; Salvini, L.; Tinti, L.; Tinti, C.; Vieira, O.V.; Alves, L.S.; et al. Homogentisic acid induces cytoskeleton and extracellular matrix alteration in alkaptonuric cartilage. J. Cell. Physiol. 2021, 236, 6011–6024. [Google Scholar] [CrossRef] [PubMed]
- Lin, A.C.; Seeto, B.L.; Bartoszko, J.M.; Khoury, M.A.; Whetstone, H.; Ho, L.; Hsu, C.; Ali, S.A.; Alman, B.A. Modulating hedgehog signaling can attenuate the severity of osteoarthritis. Nat. Med. 2009, 15, 1421–1425, Erratum in Nat. Med. 2010, 16, 129. [Google Scholar] [CrossRef] [PubMed]
- Wann, A.K.; Chapple, J.P.; Knight, M.M. The primary cilium influences interleukin-1β-induced NFκB signalling by regulating IKK activity. Cell. Signal. 2014, 26, 1735–1742. [Google Scholar] [CrossRef]
- Arra, M.; Abu-Amer, Y. Cross-talk of inflammation and chondrocyte intracellular metabolism in osteoarthritis. Osteoarthr. Cartil. 2023, 31, 1012–1021. [Google Scholar] [CrossRef]
- Galderisi, S.; Milella, M.S.; Rossi, M.; Cicaloni, V.; Rossi, R.; Giustarini, D.; Spiga, O.; Tinti, L.; Salvini, L.; Tinti, C.; et al. Homogentisic acid induces autophagy alterations leading to chondroptosis in human chondrocytes: Implications in Alkaptonuria. Arch. Biochem. Biophys. 2022, 717, 109137. [Google Scholar] [CrossRef]
- Roach, H.I.; Aigner, T.; Kouri, J.B. Chondroptosis: A variant of apoptotic cell death in chondrocytes? Apoptosis 2004, 9, 265–277. [Google Scholar] [CrossRef]
- Salucci, S.; Falcieri, E.; Battistelli, M. Chondrocyte death involvement in osteoarthritis. Cell Tissue Res. 2022, 389, 159–170. [Google Scholar] [CrossRef]
- Battistelli, M.; Salucci, S.; Olivotto, E.; Facchini, A.; Minguzzi, M.; Guidotti, S.; Pagani, S.; Flamigni, F.; Borzì, R.M.; Falcieri, E. Cell death in human articular chondrocyte: A morpho-functional study in micromass model. Apoptosis 2014, 19, 1471–1483. [Google Scholar] [CrossRef] [PubMed]
- Millucci, L.; Giorgetti, G.; Viti, C.; Ghezzi, L.; Gambassi, S.; Braconi, D.; Marzocchi, B.; Paffetti, A.; Lupetti, P.; Bernardini, G.; et al. Chondroptosis in Alkaptonuric Cartilage. J. Cell. Physiol. 2015, 230, 1148–1157. [Google Scholar] [CrossRef] [PubMed]
- Taylor, A.M.; Wlodarski, B.; Prior, I.A.; Wilson, P.J.M.; Jarvis, J.C.; Ranganath, L.R.; Gallagher, J.A. Ultrastructural examination of tissue in a patient with alkaptonuric arthropathy reveals a distinct pattern of binding of ochronotic pigment. Rheumatology 2010, 49, 1412–1414. [Google Scholar] [CrossRef] [PubMed]
- Roberts, N.B.; Curtis, S.A.; Milan, A.M.; Ranganath, L.R. The Pigment in Alkaptonuria Relationship to Melanin and Other Coloured Substances: A Review of Metabolism, Composition and Chemical Analysis. JIMD Rep. 2015, 24, 51–66. [Google Scholar] [CrossRef]
- Taylor, A.M.; Hsueh, M.-F.; Ranganath, L.R.; Gallagher, J.A.; Dillon, J.P.; Huebner, J.L.; Catterall, J.B.; Kraus, V.B. Cartilage biomarkers in the osteoarthropathy of alkaptonuria reveal low turnover and accelerated ageing. Rheumatology 2017, 56, 156–164. [Google Scholar] [CrossRef]
- Bernardini, G.; Leone, G.; Millucci, L.; Consumi, M.; Braconi, D.; Spiga, O.; Galderisi, S.; Marzocchi, B.; Viti, C.; Giorgetti, G.; et al. Homogentisic acid induces morphological and mechanical aberration of ochronotic cartilage in alkaptonuria. J. Cell. Physiol. 2019, 234, 6696–6708. [Google Scholar] [CrossRef]
- Hughes, J.H.; Keenan, C.M.; Sutherland, H.; Edwards, H.R.; Wilson, P.J.M.; Ranganath, L.R.; Jarvis, J.C.; Bou-Gharios, G.; Gallagher, J.A. Anatomical Distribution of Ochronotic Pigment in Alkaptonuric Mice is Associated with Calcified Cartilage Chondrocytes at Osteochondral Interfaces. Calcif. Tissue Int. 2021, 108, 207–218. [Google Scholar] [CrossRef]
- Vigorita, V.W.; Marino, P.D.; Lucas, P.A. The Distribution of Ochronosis in Osteoarthritic Articular Cartilage in a Knee. HSS J. 2016, 12, 76–80. [Google Scholar] [CrossRef]






Disclaimer/Publisher’s Note: The statements, opinions and data contained in all publications are solely those of the individual author(s) and contributor(s) and not of MDPI and/or the editor(s). MDPI and/or the editor(s) disclaim responsibility for any injury to people or property resulting from any ideas, methods, instructions or products referred to in the content. |
© 2023 by the authors. Licensee MDPI, Basel, Switzerland. This article is an open access article distributed under the terms and conditions of the Creative Commons Attribution (CC BY) license (https://creativecommons.org/licenses/by/4.0/).
Share and Cite
Littman, J.; Pietro, J.; Olansen, J.; Phornphutkul, C.; Aaron, R.K. Ochronotic Chondropathy: A Case Report. Biomedicines 2023, 11, 2625. https://doi.org/10.3390/biomedicines11102625
Littman J, Pietro J, Olansen J, Phornphutkul C, Aaron RK. Ochronotic Chondropathy: A Case Report. Biomedicines. 2023; 11(10):2625. https://doi.org/10.3390/biomedicines11102625
Chicago/Turabian StyleLittman, Jake, John Pietro, Jon Olansen, Chanika Phornphutkul, and Roy K. Aaron. 2023. "Ochronotic Chondropathy: A Case Report" Biomedicines 11, no. 10: 2625. https://doi.org/10.3390/biomedicines11102625
APA StyleLittman, J., Pietro, J., Olansen, J., Phornphutkul, C., & Aaron, R. K. (2023). Ochronotic Chondropathy: A Case Report. Biomedicines, 11(10), 2625. https://doi.org/10.3390/biomedicines11102625

