Expression Profile of mRNAs and miRNAs Related to the Oxidative-Stress Phenomenon in the Ishikawa Cell Line Treated Either Cisplatin or Salinomycin
Abstract
1. Introduction
2. Results
2.1. The Results of Cytotoxicity Assay
2.2. The Level of ROS in Ishikawa Cells Treated with Cisplatin or Salinomycin
2.3. The Results of the Microarray Analysis
2.4. The Results of the RTqPCR
2.5. Expression Pattern of Selected miRNAs
2.6. Concentrations of NR4A2, MAP3K8, CXCL8 and SLC7A11 Determined via ELISA Assay
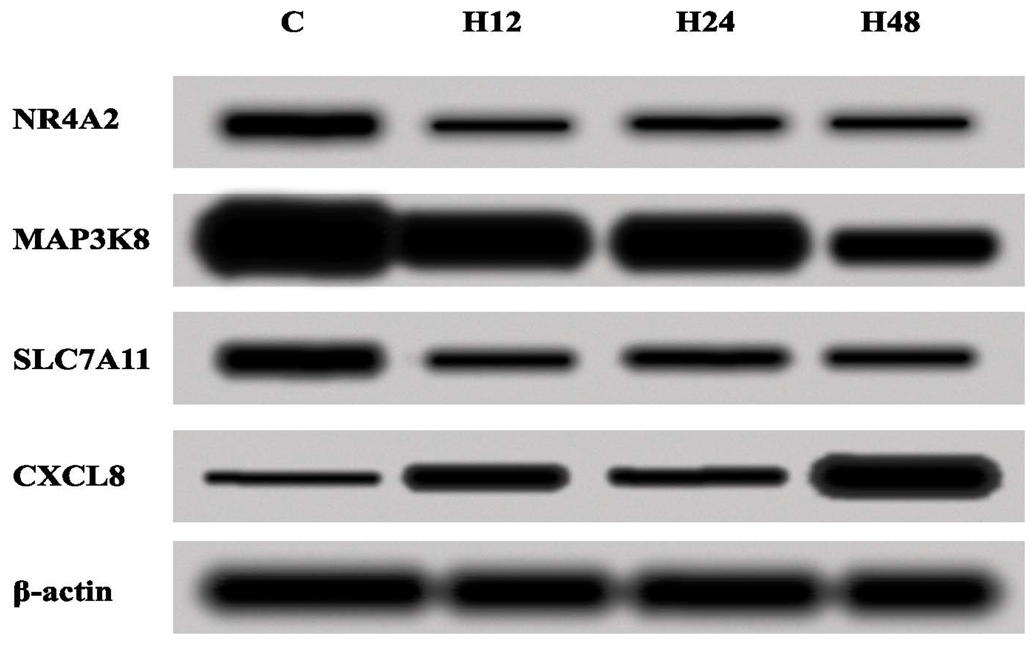
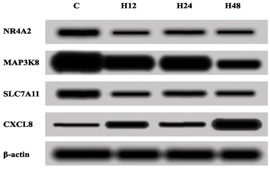
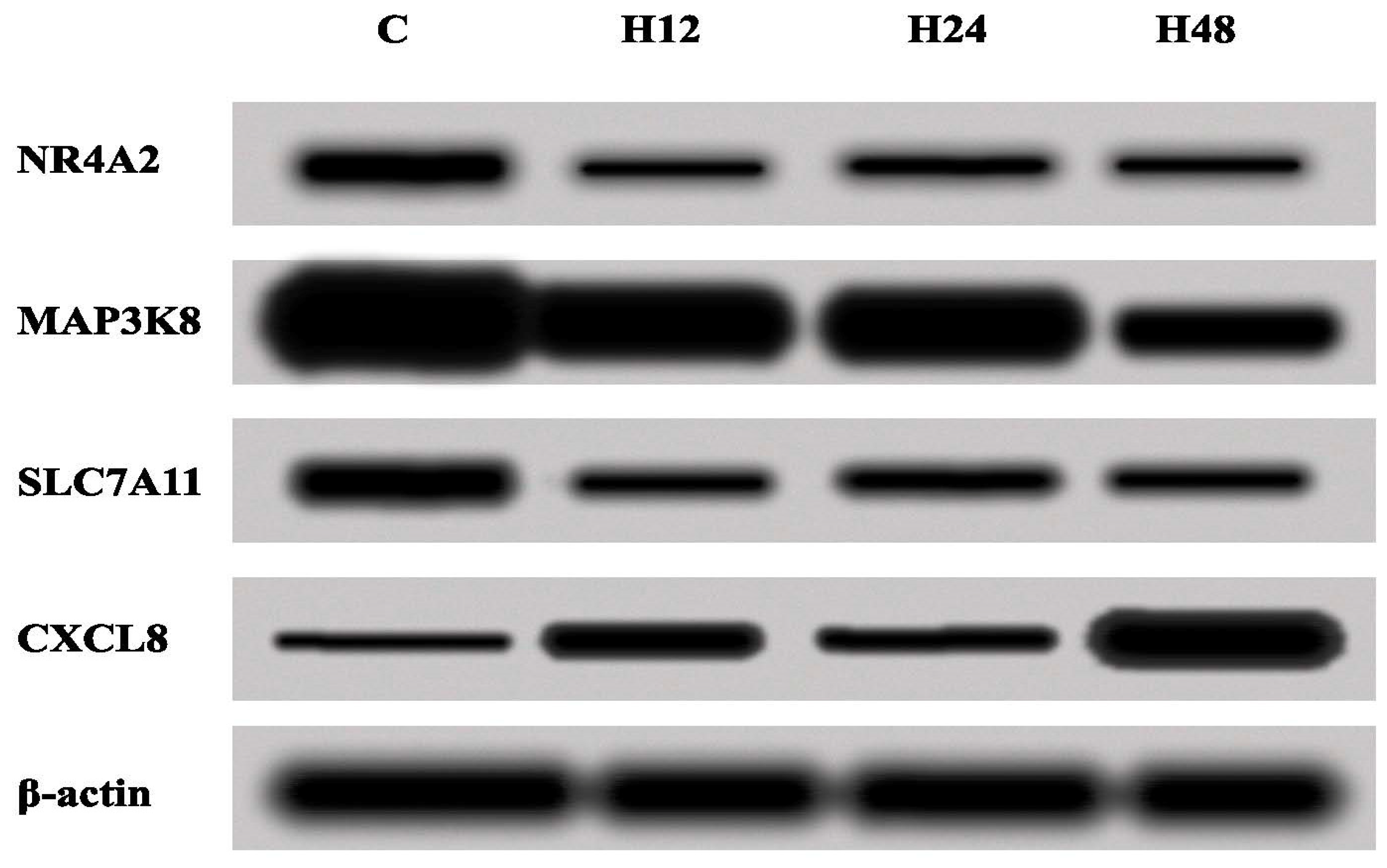
2.7. Concentration of NR4A2, MAP3K8, CXCL8 and SLC7A11 Determined via Western Blot
2.8. Summarizing the Changes in the Expression of the Selected mRNA-miRNA-Proteins
2.9. Results of the Overrepresentation Test
3. Discussion
4. Materials and Methods
4.1. Ishikawa Endometrial Cancer Cell Culture
4.2. Sulforhodamine B Cytotoxicity Test
4.3. Ribonucleic Acid Extraction
4.4. Quantitative and Qualitative Evaluation of RNA Extracts
4.5. Microarray Profile of Oxidative Stress-Related Genes
4.6. Microarray Profile of miRNAs Related to the Oxidative Stress and Potential Influence on the Expression of Analyzed Genes
4.7. Real-Time Quantitative Reverse Transcription Reaction
4.8. Enzyme-Linked Immunosorbent Assay Reaction
4.9. Western Blot Analysis
4.10. Determination of the Level of Reactive Oxygen Species (Method with Dihydroethidine)
4.11. Overrepresentative Test
5. Conclusions
Supplementary Materials
Author Contributions
Funding
Institutional Review Board Statement
Informed Consent Statement
Data Availability Statement
Acknowledgments
Conflicts of Interest
Appendix A
| Group | Biological Process | Number of Gene | Fold Change | Symbol of the Gene | p-Value |
|---|---|---|---|---|---|
| Ishikawa cells treated with cisplatin | Positive regulation of T cell activation | 6 | 12.77 | HLA-DQB1, HSPD1, HLA-DRB4, HLA-DRB5, HLA-DRB3, HLA-DRB1 | 0.018 |
| Antigen processing and presentation | 6 | 12.15 | HLA-DQB1, HLA-DRB4, MARCH8, HLA-DRB5, HLA-DRB3, HLA-DRB1 | 0.023 | |
| Cellular response to tumor necrosis factor | 6 | 11.07 | CXCL1, CCL7, CCL5, IKBKB, CCL16, TNF | 0.014 | |
| Leukocyte cell–cell adhesion | 7 | 10.20 | HLA-DQB1, HSPD1, HLA-DRB4, HLA-DRB5, TNFRSF14, HLA-DRB3, HLA-DRB1 | 0.014 | |
| Negative regulation of intracellular signal transduction | 9 | 7.95 | TSC1, DUSP3, HRH4, TNFAIP1, SRC, TNIP1, DUSP10, DUSP1, BCL2 | 0.005 | |
| Inflammatory response | 101 | 5.97 | GGT5, CXCL1, CCL7, CCL5, CXCL9, MAPKAPK2, CXCL8, NLRP2, CCL18, IL37 | 0.017 | |
| DNA repair | 13 | 2.37 | DCLRE1C, MSH2, TRRAP, OTUB1, CETN1, XPC, RAD50, GTF2H2C, RFC2, RAD51, DBRE, ERCC1, GTF2H2 | 0.022 | |
| Intracellular signal transduction | 30 | 3.04 | TSC1, ARHGEF2, ADCYAP1R1, TRIM13, CXCL1, CCL7, DUSP3, TPD52L1, HRH4, TNFAIP1, MAPKAPK2, MAPK7, SRC, TNIP1, DUSP10, NOS3, DDIT3, CCL18, PIK3CD, DUSP1, AKT1, IKBKG, BCL2, PKD2, SH2B1, AKT2, HRH1, MAP2K1, PDPK1 | 0.000 | |
| Ishikawa cells treated with salinomycin | Antimicrobial humoral immune response mediated by antimicrobial peptide | 8 | 22.69 | S100A12, CXCL3, CAMP, CXCL8, CXCL5, PF4V1, DEFA6, REG3A | 0.000 |
| Cellular response to lipopolysaccharide | 7 | 14.53 | CXCL3, CD86, CXCL8, CXCL5, PF4V1, DEFA6, LY86 | 0.002 | |
| Granulocyte chemotaxis | 8 | 13.61 | CCL17, CXCL3, CCL7, CXCL8, CXCL5, CCL22, PF4V1, IL4 | 0.001 | |
| Regulation of lymphocyte mediated immunity | 6 | 12.45 | KLRD1, MICB, C4BPA, IL4, MICA, KLRC3 | 0.020 | |
| Neutrophil migration | 7 | 12.41 | CCL17, CXCL3, CCL7, CXCL8, CXCL5, CCL22, PF4V1 | 0.004 | |
| Receptor signaling pathway via JAK-STAT | 6 | 11.60 | JAK2, INFA4, IL6R, IFNA8, IL15, IL4 | 0.030 | |
| Cytokine-mediated signaling pathway | 17 | 9.84 | MPL, CCL17, JAK2, IFNA4, CXCL3, IL12B, IL5RA, CCL7, LILRA2, IL6R, IFNA8, LILRA1, CXCL8, CXCL5, OSMR, CCL22, PF4V1 | 0.000 | |
| Inflammatory response | 14 | 8.57 | CCL17, CXCL3, NFKB2, TBXA2R, PTGER3, AOAH, CCL7, CXCL8, CXCL5, CCL22, PF4V1, TNFRSF1A, IL4, IL1RL2 | 0.000 | |
| Positive regulation of cell population proliferation | 8 | 7.48 | CD38, CD86, IL6R, IL15, FGF7, IL4, REG3A, PTK2 | 0.001 | |
| Cell population proliferation | 11 | 5.20 | IFNA4, CD38, CD86, IL6R, IFNA8, IL15, FGF7, IL4, REG3A, CDKN2D, PTK2 | 0.16 | |
| Cellular response to DNA damage stimulus | 13 | 4.39 | WRN, RAD1, MSH3, OGG1, XPA, RECQL5, KIN, BCL2A1, BLM, MUTYH, RAD52, POLQ, CUL4B | 0.022 | |
| Protein phosphorylation | 18 | 3.62 | JAK2, IFNA4, PDK4, PAK2, LEFTY2, IL6R, TAB2, TPD52L1, IFNAB, TLK1, IL15, FGF7, IL4, PRKAA2, CDKN2D, PTK2, PPM1E, PRKCB | 0.007 | |
| Intracellular signal transduction | 26 | 2.70 | S100A12, CCL17, RAD1, JAK2, NFAT5, ADGRE2, NPRL2, PAK2, NFKB2, TBXA2R, ARHGEF2, RAPGEF4, PTGER3, CCL7, TPD52L1, PRKD1, ADORA2B, TLK1, DGKZ, RAP1B, BCL2A1, CCL22, BLNK, PRKAA2, NGFR, PRKCB | 0.010 | |
| Regulation of molecular function | 23 | 2.67 | S100A12, CCL7, STAC, ADGRE2, NFKB2, TBXA2R, RAPGEF4, PTGER3, CCL7, IL6R, TAB2, TPD52L1, ADORA2B, OASL, SERPINH1, CCL22, IL4, CRHBP, CASP8, CDKN2D, EPHA1, IL1RAP, PPM1E | 0.011 | |
| Regulation of response to stimulus | 29 | 2.49 | KLRD1, S100A12, CCL17, THEMIS2, IFNA4, ADGRE2, NPRL2, PAK2, LEFTY2, TBXA2R, ARHGEF2, PTGER3, MICB, AOAH, F2, CCL7, IL6R, C4BPA, TPD52L1, ADORA2B, IFNA8, IL15, CCL22, IL4, CRHBP, MICA, KLRC3, IL1RL2, LY86 | 0.012 |
Appendix B
| Group | Signaling Pathway | Number of Gene | Fold Change | Symbol of the Gene | p-Value |
|---|---|---|---|---|---|
| Ishikawa cells treated with cisplatin | Blood coagulation | 9 | 16.65 | F12, F13B, F2, PROZ, GP5, F10, PROS1, FGA, F8 | 0.000 |
| Interleukin signaling pathway | 7 | 6.69 | ELK1, IL21, IL5RA, IL6R, CXCL8, IL15, IL4 | 0.018 | |
| CCKR8 signaling map | 12 | 5.90 | ELK1, RYR2, JAK2, SCL18A2, PTPN11, CD38, PRKD1, MEF2C, CXCL8, CCK, PTK2, PRKC3 | 0.000 | |
| Inflammation mediated by chemokine and cytokine signaling pathway | 17 | 5.54 | SOCS7, CAMK2A, JAK2, CXCR1, NFAT5, PAK2, NFKB2, CCL7, SOCS6, CXCL8, IL15, ITGAM, ITGA4, CCL22, PF4V1, ITGA9, PRKCB | 0.000 | |
| Ishikawa cells treated with salinomycin | Blood coagulation | 11 | 13.71 | F12, F13B, F2, GP5, F10, PROS1, FGA, F8, KNG1, PLAU | 0.000 |
| Interferon-gamma signaling pathway | 7 | 13.38 | SOCS6, JAK2, IFNGR1, PTPN11, MAPK11, SOCS7, MAPK14 | 0.000 | |
| CCKR8 signaling map | 21 | 6.96 | ELK1, RYR2, ITGB1, BAX, JAK2, PTEN, SLC18A2, PTPN11, CD38, PRKD1, PRKCD, MEF2C, CXCL8, MAPK14, PXN, BRAF, CCK, PTK2, PP3CA, PRKCB, PLAU | 0.000 | |
| VEGF signaling pathway | 8 | 6.75 | PRKD1, PRKCD, MAPK14, PXN, BRAF, PTK, HSPB2, PRKCB | 0.000 | |
| B-cell activation | 8 | 6.46 | NFKB2, MAPK11, PRKCD, MAPK14, BLNK, BRAF, PPP3CA, PRKCB | 0.000 | |
| Apoptosis signaling pathway | 13 | 5.96 | AFT6B, HSPA5, BAX, NFKB2, HSPA1B, HSPA1A, PRKCD, FADD, TNFRSF1, CASP8, HSPA13, PRKCB | 0.000 | |
| Inflammation mediated by chemokine and cytokine signaling pathway | 25 | 5.49 | SOCS6, CXCR4, ITGB1, CAMK2A, JAK2, PTEN, CXCR1, IFNGR1, NFAT5, PAK2, NFKB2, MYH9, CCL7, SOCS7, PTAFR, CXCL8, ITGAM, IL15, MYLK, ITGA4, CCL22, PF4V1, ITGA9, BRAF, PRKCB | 0.000 | |
| Interleukin signaling pathway | 8 | 5.16 | ELK1, IL21, IL5RA, IL6R, CXCL8, IL15, IL4, BRAF | 0.030 | |
| Parkinson disease | 9 | 5.11 | ELK1, HSPA5, CUL1, HSPA1B, HCK, MAPK14, SNCA, HSPA13 | 0.013 | |
| T-cell activation | 8 | 4.99 | PAK2, NFKB2, CD86, CD28, TRBV19, BRAF, TRBC2, PP3CA | 0.037 | |
| Gonadotropin-releasing hormone receptor pathway | 17 | 4.11 | ELK1, ITGB1, DRD2, PTGER3, HSPA1B, MAP3K8, MAPK11, HSPA1A, PRKCD, DGKZ, RAP1B, MAPK14, PXN, EGFR, PTK2, PPP3CA, PRKCB | 0.000 |
References
- World Cancer Research Fund. Available online: https://www.wcrf.org/dietandcancer/endometrial-cancer-statistics/ (accessed on 1 January 2022).
- Trojano, G.; Olivieri, C.; Tinelli, R.; Damiani, G.R.; Pellegrino, A.; Cicinelli, E. Conservative treatment in early stage endometrial cancer: A review. Acta Bio Med. Atenei Parm. 2019, 90, 405–410. [Google Scholar] [CrossRef]
- Moore, K.; Brewer, M.A. Endometrial Cancer: Is This a New Disease? Am. Soc. Clin. Oncol. Educ. Book 2018, 37, 435–442. [Google Scholar] [CrossRef] [PubMed]
- International Agency for Research on Cancer. World Cancer Report; World Health Organization: Geneva, Switzerland, 2014; Chapter 5.12; ISBN 9789283204299. [Google Scholar]
- National Cancer Institute. General Information about Endometrial Cancer. Available online: https://www.cancer.gov/types/uterine/patient/endometrial-treatment-pdq#section/all (accessed on 1 January 2022).
- Galaal, K.; Al Moundhri, M.; Bryant, A.; Lopes, A.D.; Lawrie, T.A. Adjuvant chemotherapy for advanced endometrial cancer. Cochrane Database Syst. Rev. 2014, 5, CD010681. [Google Scholar] [CrossRef]
- Emons, G.; Vordermark, D. Adjuvant treatment for endometrial cancer. Curr. Opin. Oncol. 2019, 5, 404–410. [Google Scholar] [CrossRef]
- Kozak, J.; Wdowiak, P.; Maciejewski, R.; Torres, A. A guide for endometrial cancer cell lines functional assays using the measurements of electronic impedance. Cytotechnology 2018, 70, 339–350. [Google Scholar] [CrossRef] [PubMed]
- Miyazaki, Y.; Shibuya, M.; Sugawara, H.; Kawaguchi, O.; Hirsoe, C. Salinomycin, a new polyether antibiotic. J. Antibiot. 1974, 27, 814–821. [Google Scholar] [CrossRef]
- Naujokat, C.; Fuchs, D.; Opelz, G. Salinomycin in cancer: A new mission for an old agent. Mol. Med. Rep. 2010, 3, 555–559. [Google Scholar] [CrossRef]
- Makovec, T. Cisplatin and beyond: Molecular mechanisms of action and drug resistance development in cancer chemotherapy. Radiol. Oncol. 2019, 53, 148–158. [Google Scholar] [CrossRef]
- Sznurkowski, J.J.; Knapp, P.; Bodnar, L.; Bidziński, M.; Jach, R.; Misiek, M.; Basta, A. Zalecenia Polskiego Towarzystwa Ginekologii Onkologicznej Dotyczące Diagnostyki i Leczenia Raka Endometrium. Curr. Gyn. Oncol. 2017, 15, 34–44. [Google Scholar] [CrossRef]
- Sánchez-Rodríguez, M.A.; Mendoza-Núñez, V.M. Oxidative Stress Indexes for Diagnosis of Health or Disease in Humans. Oxidative Med. Cell. Longev. 2019, 2019, 4128152. [Google Scholar] [CrossRef]
- Kawamura, T.; Muraoka, I. Exercise-Induced Oxidative Stress and the Effects of Antioxidant Intake from a Physiological Viewpoint. Antioxidants 2018, 7, 119. [Google Scholar] [CrossRef] [PubMed]
- Birnboin, H.C. DNA strand breaks in human leukocytes induced by super-oxide anion, hydrogen peroxide and tumor promoters are repaired slowly compared to breaks induced by ionizing radiation. Carcinogenesis 1986, 7, 1511–1517. [Google Scholar] [CrossRef] [PubMed]
- Halliwell, B. Oxidative stress and cancer: Have we moved forward? Biochem. J. 2007, 401, 1–11. [Google Scholar] [CrossRef] [PubMed]
- Valko, M.; Leibfritz, D.; Moncol, J.; Cronin, M.T.; Mazur, M.; Telser, J. Free radicals and antioxidants in normal physiological functions and human disease. Int. J. Biochem. Cell Biol. 2007, 39, 44–84. [Google Scholar] [CrossRef] [PubMed]
- Hwang, O. Role of oxidative stress in Parkinson’s disease. Exp. Neurobiol. 2013, 22, 11. [Google Scholar] [CrossRef]
- Bonomini, F.; Tengattini, S.; Fabiano, A.; Bianchi, R.; Rezzani, R. Atherosclerosis and oxidative stress. Histol. Histopathol. 2008, 23, 381–390. [Google Scholar] [CrossRef]
- Kobayashi, S.; Homma, T. Nitric oxide produced by NOS2 copes with the cytotoxic effects of superoxide in macrophages. Biochem. Biophys. Rep. 2021, 26, 100942. [Google Scholar] [CrossRef]
- Karpińska, A.; Gromadzka, G. Oxidative stress and natural antioxidant mechanisms: The role in neurodegeneration. From molecular mechanisms to therapeutic strategies. Postepy Hig. Med. Dosw. 2013, 67, 43–53. [Google Scholar] [CrossRef]
- Gadhikar, M.A.; Sciuto, M.R.; Alves, M.V.O.; Pickering, C.R.; Osman, A.A.; Neskey, D.M.; Zhao, M.; Fitzgerald, A.L.; Myers, J.N.; Frederick, M.J. Chk1/2 inhibition overcomes the cisplatin resistance of head and neck cancer cells secondary to the loss of functional p53. Mol. Cancer Ther. 2013, 12, 1860–1873. [Google Scholar] [CrossRef]
- Yu, W.; Chen, Y.; Dubrulle, J.; Stossi, F.; Putluri, V.; Sreekumar, A.; Putluri, N.; Baluya, D.; Lai, S.Y.; Sandulache, V.C. Cisplatin generates oxidative stress which is accompanied by rapid shifts in central carbon metabolism. Sci. Rep. 2018, 8, 4306. [Google Scholar] [CrossRef]
- Chen, X.; Wei, W.; Li, Y.; Huang, J.; Ci, X. Hesperetin relieves cisplatin-induced acute kidney injury by mitigating oxidative stress, inflammation and apoptosis. Chem.-Biol. Interact. 2019, 308, 269–278. [Google Scholar] [CrossRef] [PubMed]
- Ibrahim, A.; Al-Hizab, F.A.; Abushouk, A.I.; Abdel-Daim, M.M. Nephroprotective Effects of Benzyl Isothiocyanate and Resveratrol against Cisplatin-Induced Oxidative Stress and Inflammation. Front. Pharmacol. 2018, 9, 1268. [Google Scholar] [CrossRef] [PubMed]
- Soni, H.; Kaminski, D.; Gangaraju, R.; Adebiyi, A. Cisplatin-induced oxidative stress stimulates renal Fas ligand shedding. Ren. Fail. 2018, 40, 314–322. [Google Scholar] [CrossRef] [PubMed]
- Martins, N.M.; Santos, N.A.; Curti, C.; Bianchi, M.L.; Santos, A.C. Cisplatin induces mitochondrial oxidative stress with resultant energetic metabolism impairment, membrane rigidification and apoptosis in rat liver. J. Appl. Toxicol. 2008, 28, 337–344. [Google Scholar] [CrossRef] [PubMed]
- Pratibha, R.; Sameer, R.; Rataboli, P.V.; Bhiwgade, D.A.; Dhume, C.Y. Enzymatic studies of cisplatin induced oxidative stress in hepatic tissue of rats. Eur. J. Pharmacol. 2006, 532, 290–293. [Google Scholar] [CrossRef] [PubMed]
- Li, J.; Min, Y. Pre-clinical evidence that salinomycin is active against retinoblastoma via inducing mitochondrial dysfunction, oxidative damage and AMPK activation. J. Bioenerg. Biomembr. 2021, 53, 513–523. [Google Scholar] [CrossRef]
- Yu, J.; Yang, Y.; Li, S.; Meng, P. Salinomycin triggers prostate cancer cell apoptosis by inducing oxidative and endoplasmic reticulum stress via suppressing Nrf2 signaling. Exp. Ther. Med. 2021, 22, 946. [Google Scholar] [CrossRef]
- Zhou, L.; Zhang, H.; Davies, K.J.A.; Forman, H.J. Aging-related decline in the induction of Nrf2-regulated antioxidant genes in human bronchial epithelial cells. Redox Biol. 2018, 14, 35–40. [Google Scholar] [CrossRef]
- Zhang, G.; Wang, W.; Yao, C.; Ren, J.; Zhang, S.; Han, M. Salinomycin overcomes radioresistance in nasopharyngeal carcinoma cells by inhibiting Nrf2 level and promoting ROS generation. Biomed. Pharmacother. 2017, 91, 147–154. [Google Scholar] [CrossRef]
- Ketola, K.; Hilvo, M.; Hyötyläinen, T.; Vuoristo, A.; Ruskeepää, A.; Orešič, M.; Kallioniemi, O.; Iljin, K. Salinomycin inhibits prostate cancer growth and migration via induction of oxidative stress. Br. J. Cancer 2012, 106, 99–106. [Google Scholar] [CrossRef]
- Kim, K.Y.; Park, K.I.; Kim, S.H.; Yu, S.N.; Lee, D.; Kim, Y.W.; Noh, K.T.; Ma, J.Y.; Seo, Y.K.; Ahn, S.C. Salinomycin Induces Reactive Oxygen Species and Apoptosis in Aggressive Breast Cancer Cells as Mediated with Regulation of Autophagy. Anticancer Res. 2017, 37, 1747–1758. [Google Scholar] [CrossRef] [PubMed]
- Lin, C.-K.; Liu, S.-T.; Wu, Z.-S.; Wang, Y.-C.; Huang, S.-M. Mechanisms of Cisplatin in Combination with Repurposed Drugs against Human Endometrial Carcinoma Cells. Life 2021, 11, 160. [Google Scholar] [CrossRef] [PubMed]
- Bayat Mokhtari, R.; Homayouni, T.S.; Baluch, N.; Morgatskaya, E.; Kumar, S.; Das, B.; Yeger, H. Combination therapy in combating cancer. Oncotarget 2017, 8, 38022–38043. [Google Scholar] [CrossRef] [PubMed]
- Vasanthi, P.; Nalini, G.; Rajasekhar, G. Status of oxidative stress in rheumatoid arthritis. Int. J. Rheum. Dis. 2009, 1, 29–33. [Google Scholar] [CrossRef] [PubMed]
- Canli, Ö.; Nicolas, A.M.; Gupta, J.; Finkelmeier, F.; Goncharova, O.; Pesic, M.; Neumann, T.; Horst, D.; Löwer, M.; Sahin, U.; et al. Myeloid Cell-Derived Reactive Oxygen Species Induce Epithelial Mutagenesis. Cancer Cell. 2017, 32, 869–883.e5. [Google Scholar] [CrossRef]
- Filippin, L.I.; Vercelino, R. Redox signalling and the inflammatory response in rheumatoid arthritis. Clin. Exp. Immunol. 2008, 152, 415–422. [Google Scholar] [CrossRef]
- Hayes, J.D.; Dinkova-Kostova, A.T.; Tew, K.D. Oxidative Stress in Cancer. Cancer Cell 2020, 38, 167–197. [Google Scholar] [CrossRef]
- Gill, J.G.; Piskounova, E. Cancer, Oxidative Stress and Metastasis. Cold Spring Harb. Symp. Quant. Biol. 2016, 81, 163–175. [Google Scholar] [CrossRef]
- Si, W.; Shen, J. The role and mechanisms of action of microRNAs in cancer drug resistance. Clin. Epigenet. 2019, 11, 25. [Google Scholar] [CrossRef]
- Yanokura, M.; Banno, K.; Kobayashi, Y.; Kisu, I.; Ueki, A.; Ono, A.; Masuda, K.; Nomura, H.; Hirasawa, A.; Susumu, N.; et al. MicroRNA and endometrial cancer: Roles of small RNAs in human tumors and clinical applications. Oncol. Lett. 2010, 1, 935–940. [Google Scholar] [CrossRef]
- Tan, W.; Liu, B.; Qu, S.; Liang, G.; Luo, W.; Gong, C. MicroRNAs and cancer: Key paradigms in molecular therapy. Oncol. Lett. 2017, 15, 2735–2742. [Google Scholar] [CrossRef] [PubMed]
- Donkers, H.; Bekkers, R. Diagnostic value of microRNA panel in endometrial cancer: A systematic review. Oncotarget 2020, 11, 2010. [Google Scholar] [CrossRef] [PubMed]
- Wang, J.; Zhang, L.; Jiang, W.; Zhang, R.; Zhang, B.; Silayiding, A.; Duan, X. MicroRNA-135a promotes proliferation, migration, invasion and induces chemoresistance of endometrial cancer cells. Eur. J. Obstet. Gynecol. Reprod. Biol. X 2019, 5, 100103. [Google Scholar] [CrossRef] [PubMed]
- Czerwiński, M.; Bednarska-Czerwińska, A.; Ordon, P.; Gradzik, M.; Oplawski, M.; Boroń, D.; Zientek, H.; Ogloszka, O.; Grabarek, B.O. Variances in the Expression of mRNAs and miRNAs Related to the Histaminergic System in Endometrioid Endometrial Cancer. Biomedicines 2021, 9, 1535. [Google Scholar] [CrossRef]
- Widjaya, A.S.; Liu, Y.; Yang, Y.; Yin, W.; Liang, J.; Jiang, Y. Tumor-permeable smart liposomes by modulating the tumor microenvironment to improve the chemotherapy. J. Control. Release 2022, 344, 62–79. [Google Scholar] [CrossRef]
- Pisoschi, A.M.; Pop, A. The role of antioxidants in the chemistry of oxidative stress: A review. Eur. J. Med. Chem. 2015, 97, 55–74. [Google Scholar] [CrossRef]
- Saha, S.K.; Lee, S.B.; Won, J.; Choi, H.Y.; Kim, K.; Yang, G.M.; Dayem, A.A.; Cho, S.G. Correlation between Oxidative Stress, Nutrition and Cancer Initiation. Int. J. Mol. Sci. 2017, 18, 1544. [Google Scholar] [CrossRef]
- Klaunig, J.E. Oxidative stress and cancer. Curr. Pharm. Des. 2018, 24, 4771–4778. [Google Scholar] [CrossRef]
- Forcados, G.E.; James, D.B.; Sallau, A.B.; Muhammad, A.; Mabeta, P. Oxidative stress and carcinogenesis: Potential of phytochemicals in breast cancer therapy. Nutr. Cancer 2017, 69, 365–374. [Google Scholar] [CrossRef]
- Sova, H.; Jukkola-Vuorinen, A.; Puistola, U.; Kauppila, S.; Karihtala, P. 8-Hydroxydeoxyguanosine: A new potential independent prognostic factor in breast cancer. Br. J. Cancer 2010, 102, 1018–1023. [Google Scholar] [CrossRef]
- Huang, H.; Liu, J.; Wu, H.; Liu, F.; Zhou, X. Ferroptosis-associated gene SLC7A11 is upregulated in NSCLC and correlated with patien’s poor prognosis: An integrated bioinformatics analysis. Pteridines 2021, 32, 106–116. [Google Scholar] [CrossRef]
- Yu, M.; Lin, Z.; Tian, X.; Chen, S.; Liang, X.; Qin, M.; Zhu, Q.; Wu, Y.; Zhong, S. Downregulation of Cx43 reduces cisplatin-induced acute renal injury by inhibiting ferroptosis. Food Chem. Toxicol. 2021, 158, 112672. [Google Scholar] [CrossRef] [PubMed]
- Koppula, P.; Zhang, Y.; Zhuang, L.; Gan, B. Amino acid transporter SLC7A11/xCT at the crossroads of regulating redox homeostasis and nutrient dependency of cancer. Cancer Commun. 2018, 38, 12. [Google Scholar] [CrossRef] [PubMed]
- Lou, J.S.; Bi, W.C.; Chan, G.K.L.; Jin, Y.; Wong, C.W.; Zhou, Z.Y.; Wang, H.Y.; Yao, P.; Dong, T.T.X.; Tsim, K.W.K. Ginkgetin induces autophagic cell death through p62/SQSTM1-mediated autolysosome formation and redox setting in non-small cell lung cancer. Oncotarget 2017, 8, 93131–93148. [Google Scholar] [CrossRef] [PubMed]
- Lou, J.S.; Zhao, L.P.; Huang, Z.H.; Chen, X.Y.; Xu, J.T.; Tai, W.C.; Tsim, K.W.K.; Chen, Y.T.; Xie, T. Ginkgetin derived from Ginkgo biloba leaves enhances the therapeutic effect of cisplatin via ferroptosis-mediated disruption of the Nrf2/HO-1 axis in EGFR wild-type non-small-cell lung cancer. Phytomedicine 2021, 80, 153370. [Google Scholar] [CrossRef]
- Li, H.; Shen, Y.; Xiao, H.; Sun, W. Resveratrol attenuates rotenone-induced inflammation and oxidative stress via STAT1 and Nrf2/Keap1/SLC7A11 pathway in a microglia cell line. Pathol.-Res. Pract. 2021, 225, 153576. [Google Scholar] [CrossRef]
- Xie, Y.; Hou, W.; Song, X.; Yu, Y.; Huang, J.; Sun, X.; Kang, R.; Tang, D. Ferroptosis: Process and function. Cell Death Differ. 2016, 23, 369–379. [Google Scholar] [CrossRef]
- Shi, Z.Z.; Fan, Z.W.; Chen, Y.X.; Xie, X.F.; Jiang, W.; Wang, W.J.; Qiu, Y.T.; Bai, J. Ferroptosis in Carcinoma: Regulatory Mechanisms and New Method for Cancer Therapy. OncoTargets Ther. 2019, 12, 11291–11304. [Google Scholar] [CrossRef]
- Mahajan, S.; Saini, A.; Chandra, V. Nuclear Receptor Nr4a2 Promotes Alternative Polarization of Macrophages and Confers Protection in Sepsis. J. Biol. Chem. 2015, 290, 18304–18314. [Google Scholar] [CrossRef]
- Han, Y.F.; Cao, G.W. Role of nuclear receptor NR4A2 in gastrointestinal inflammation and cancers. World J. Gastroenterol. 2012, 18, 6865–6873. [Google Scholar] [CrossRef]
- Raveney, B.J.E.; Oki, S.; Yamamura, T. Nuclear Receptor NR4A2 Orchestrates Th17 Cell-Mediated Autoimmune Inflammation via IL-21 Signalling. PLoS ONE 2013, 8, e56595. [Google Scholar] [CrossRef] [PubMed]
- Safe, S.; Karki, K. The Paradoxical Roles of Orphan Nuclear Receptor 4A (NR4A) in Cancer. Mol. Cancer Res. 2021, 19, 2. [Google Scholar] [CrossRef] [PubMed]
- Beard, J.A.; Tenga, A.; Chen, T. The interplay of NR4A receptors and the oncogene-tumor suppressor networks in cancer. Cell. Signal. 2015, 27, 257–266. [Google Scholar] [CrossRef] [PubMed]
- Shigeishi, H.; Hashikata, M.; Yokoyama, S.; Sakuma, M.; Murozumi, H.; Kato, H.; Rahman, M.Z.; Seino, S.; Ishioka, Y.; Ohta, K.; et al. CD44high/ESAlow squamous cell carcinoma cell-derived prostaglandin E2 confers resistance to 5-fluorouracil-induced apoptosis in CD44high/ESAhigh cells. Int. J. Clin. Exp. Pathol. 2018, 11, 2356–2363. [Google Scholar]
- Lee, J.H.; Jeong, J.H.; Kim, T.H.; Kim, S.Y.; Kim, K.E.; Seong, J.K.; Lee, S.H. Induction of squamous cell carcinoma after MAP3K8 overexpression in murine salivry gland epithelial cells. Head Neck 2019, 41, 924–929. [Google Scholar] [CrossRef]
- Aparecida Alves, C.; Silva, I.D.; Villanova, F.E.; Nicolau, S.M.; Custódio, M.A.; Bortoletto, C.; Gonçalves, W.J. Differential gene expression profile reveals overexpression of MAP3K8 in invasive endometrioid carcinoma. Eur. J. Gynaecol. Oncol. 2006, 27, 589–593. [Google Scholar]
- Jaykumar, A.B.; Karra, A.S.; Cobb, M.H. Pulling a MAST1 on Cisplatin Resistance. Cancer Cell 2018, 34, 183–185. [Google Scholar] [CrossRef]
- Zhang, J.; Sang, X.; Zhang, R.; Chi, J.; Bai, W. CD105 expression is associated with invasive capacity in ovarian cancer and promotes invasiveness by inhibiting NDRG1 and regulating the epithelial-mesenchymal transition. Am. J. Transl. Res. 2021, 13, 12461–12479. [Google Scholar]
- Hosono, M.; Koma, Y.I.; Takase, N.; Urakawa, N.; Higashino, N.; Suemune, K.; Kodaira, H.; Nishio, M.; Shigeoka, M.; Kakeji, Y.; et al. CXCL8 derived from tumor-associated macrophages and esophageal squamous cell carcinomas contributes to tumor progression by promoting migration and invasion of cancer cells. Oncotarget 2017, 8, 106071–106088. [Google Scholar] [CrossRef]
- Ha, H.; Debnath, B.; Neamati, N. Role of the CXCL8-CXCR1/2 Axis in Cancer and Inflammatory Diseases. Theranostics 2017, 7, 1543–1588. [Google Scholar] [CrossRef]
- Wang, K.; Jia, Z.; Zou, J.; Zhang, A.; Wang, G.; Hao, J.; Wang, Y.; Yang, S.; Pu, P. Analysis of hsa-miR-30a-5p Expression in Human Gliomas. Pathol. Oncol. Res. 2013, 19, 405–411. [Google Scholar] [CrossRef] [PubMed]
- Świtlik, W.; Karbownik, M.S.; Suwalski, M.; Kozak, J.; Szemraj, J. miR-30a-5p together with miR-210-3p as a promising biomarker for non-small cell lung cancer: A preliminary study. Cancer Biomark. 2018, 21, 479–488. [Google Scholar] [CrossRef] [PubMed]
- Zhu, J.; Zeng, Y.; Xu, C.; Qin, H.; Lei, Z.; Shen, D.; Liu, Z.; Huang, J.A. Expression profile analysis of microRNAs and downregulated miR-486-5p and miR-30a-5p in non-small cell lung cancer. Oncol. Rep. 2015, 34, 1779–1786. [Google Scholar] [CrossRef]
- Fuchs Wightman, F.; Giono, L.E.; Fededa, J.P.; de la Mata, M. Target RNAs Strike Back on MicroRNAs. Front. Genet. 2018, 9, 435. [Google Scholar] [CrossRef] [PubMed]
- Curtale, G.; Rubino, M.; Locati, M. MicroRNAs as Molecular Switches in Macrophage Activation. Front. Immunol. 2019, 10, 799. [Google Scholar] [CrossRef] [PubMed]
- David, C.J.; Massagué, J. Contextual determinants of TGFβ action in development, immunity and cancer. Nat. Rev. Mol. Cell Biol. 2018, 19, 419–435. [Google Scholar] [CrossRef]
- Lu, W.; Wu, Y.; Lu, C.X.; Zhu, T.; Ren, Z.L.; Yu, Z. Bioinformatics analysis of prognostic value and prospective pathway signal of miR-30a in ovarian cancer. J. Ovarian Res. 2020, 13, 120. [Google Scholar] [CrossRef]
- Wang, Y.; Li, L.; Qu, Z.; Li, R.; Bi, T.; Jiang, J.; Zhao, H. The expression of miR-30a* and miR-30e* is associated with a dualistic model for grading ovarian papillary serious carcinoma. Int. J. Oncol. 2014, 44, 1904–1914. [Google Scholar] [CrossRef][Green Version]
- Han, X.; Zhen, S.; Ye, Z.; Lu, J.; Wang, L.; Li, P.; Li, J.; Zheng, X.; Li, H.; Chen, W.; et al. A Feedback Loop Between miR-30a/c-5p and DNMT1 Mediates Cisplatin Resistance in Ovarian Cancer Cells. Cell. Physiol. Biochem. 2017, 41, 973–986. [Google Scholar] [CrossRef]
- Kulkarni, B.; Gondaliya, P.; Kirave, P.; Rawal, R.; Jain, A.; Garg, R.; Kalia, K. Exosome-mediated delivery of miR-30a sensitize cisplatin-resistant variant of oral squamous carcinoma cells via modulating Beclin1 and Bcl2. Oncotarget 2020, 11, 1832–1845. [Google Scholar] [CrossRef]
- Liu, J.; Wu, X.; Liu, H.; Liang, Y.; Gao, X.; Cai, Z.; Wang, W.; Zhang, H. Expression of microRNA-30a-5p in drug-resistant and drug-sensitive ovarian cancer cell lines. Oncol. Lett. 2016, 12, 2065–2070. [Google Scholar] [CrossRef] [PubMed]
- Zhou, C.; Gu, H.; Fan, R.; Wang, B.; Lou, J. MicroRNA 302/367 Cluster Effectively Facilitates Direct Reprogramming from Human Fibroblasts into Functional Neurons. Stem Cells Dev. 2015, 24, 2746–2755. [Google Scholar] [CrossRef] [PubMed]
- Yang, C.M.; Chiba, T.; Brill, B.; Delis, N.; von Manstein, V.; Vafaizadeh, V.; Oellerich, T.; Groner, B. Expression of the miR-302/367 cluster in glioblastoma cells suppresses tumorigenic gene expression patterns and abolishes transformation related phenotypes. Int. J. Cancer. 2015, 137, 2296–2309. [Google Scholar] [CrossRef] [PubMed]
- Chen, W.; Zhang, J.; Xu, H.; Dai, J.; Zhang, X. The negative regulation of miR-149-5p in melanoma cell survival and apoptosis by targeting LRIG2. Am. J. Transl. Res. 2017, 9, 4331–4340. [Google Scholar] [PubMed]
- Yang, L.; Shen, Q.; Xia, Y.; Lei, X.; Peng, J. Sevoflurane-induced neurotoxicity is driven by OXR1 post-transcriptional downregulation involving hsa-miR-302e. Mol. Med. Rep. 2018, 18, 4657–4665. [Google Scholar] [CrossRef]
- Chen, X.; Xu, Y.; Liao, X.; Liao, R.; Zhang, L.; Niu, K.; Li, T.; Li, D.; Chen, Z.; Duan, Y.; et al. Plasma miRNAs in predicting radiosensitivity in non-small cell lung cancer. Tumor Biol. 2016, 37, 11927–11936. [Google Scholar] [CrossRef]
- Turut, F.A.; Acidereli, H.; Cevik, O. Suppression of MicroRNA-144 Promotes CXCR4 and CXCL12 Expression and Downregulates Apoptosis in Ovarian Cancer Cells. bioRxiv 2020. [Google Scholar] [CrossRef]
- Chu, K.J.; Ma, Y.S.; Jiang, X.H.; Wu, T.M.; Wu, Z.J.; Li, Z.Z.; Wang, J.H.; Gao, Q.X.; Yi, B.; Shi, Y.; et al. Whole-Transcriptome Sequencing Identifies Key Differentially Expressed mRNAs, miRNAs, lncRNAs, and circRNAs Associated with CHOL. Mol. Ther.-Nucleic Acids 2020, 21, 592–603. [Google Scholar] [CrossRef]
- Wang, Y.; Zhang, Y.; Yang, T.; Zhao, W.; Wang, N.; Li, P.; Zeng, X.; Zhang, W. Long non-coding RNA MALAT1 for promoting metastasis and proliferation by acting as a ceRNA of miR-144-3p in osteosarcoma cells. Oncotarget 2017, 8, 59417–59434. [Google Scholar] [CrossRef]
- Kapodistrias, N.; Bobori, C.; Theocharopoulou, G. MiR-140-3p Downregulation in Association with PDL-1 Overexpression in Many Cancers: A Review from the Literature Using Predictive Bioinformatics Tools. GeNeDis 2017, 2016, 225–233. [Google Scholar] [CrossRef]
- Skok, K.; Maver, U.; Gradišnik, L.; Kozar, N.; Takač, I.; Arko, D. Endometrial cancer and its cell lines. Mol. Biol. Rep. 2020, 47, 1399–1411. [Google Scholar] [CrossRef] [PubMed]
- Filipowicz, W.; Bhattacharyya, S.; Sonenberg, N. Mechanisms of post-transcriptional regulation by microRNAs: Are the answers in sight? Nat. Rev. Genet. 2008, 9, 102–114. [Google Scholar] [CrossRef] [PubMed]
- Li, M.; Yu, B. Recent advances in the regulation of plant miRNA biogenesis. RNA Biol. 2021, 18, 2087–2096. [Google Scholar] [CrossRef] [PubMed]
- Pu, M.; Chen, J.; Tao, Z.; Miao, L.; Qi, X.; Wang, Y.; Ren, J. Regulatory network of miRNA on its target: Coordination between transcriptional and post-transcriptional regulation of gene expression. Cell. Mol. Life Sci. 2019, 76, 441–451. [Google Scholar] [CrossRef] [PubMed]
- Mie, Y.; Hirano, Y.; Kowata, K.; Nakamura, A.; Yasunaga, M.; Nakajima, Y.; Komatsu, Y. Function Control of Anti-microRNA Oligonucleotides Using Interstrand Cross-Linked Duplexes. Mol. Ther.-Nucleic Acids 2018, 10, 64–74. [Google Scholar] [CrossRef]
- Ai, Z.; Lu, Y.; Qiu, S.; Fan, Z. Overcoming cisplatin resistance of ovarian cancer cells by targeting HIF-1-regulated cancer metabolism. Cancer Lett. 2016, 373, 36–44. [Google Scholar] [CrossRef]
- Song, X.; Liu, X.; Chi, W.; Liu, Y.; Wei, L.; Wang, X.; Yu, J. Hypoxia-induced resistance to cisplatin and doxorubicin in non-small cell lung cancer is inhibited by silencing of HIF-1α gene. Cancer Chemother. Pharmacol. 2006, 58, 776–784. [Google Scholar] [CrossRef]
- Gao, W.; Wu, M.H.; Wang, N.; Ying, M.Z.; Zhang, Y.Y.; Hua, J.; Chuan, L.; Wang, Y.J. Mitochondrial transcription factor A contributes to cisplatin resistance in patients with estrogen receptor-positive breast cancer. Mol. Med. Rep. 2016, 14, 5304–5310. [Google Scholar] [CrossRef]
- Lima, J.F.; Cerqueira, L.; Figueiredo, C.; Oliveira, C.; Azevedo, N.F. Anti-miRNA oligonucleotides: A comprehensive guide for design. RNA Biol. 2018, 15, 338–352. [Google Scholar] [CrossRef]
- Friel, A.M.; Sergent, P.A.; Patnaude, C.; Szotek, P.P.; Oliva, E.; Scadden, D.T.; Seiden, M.V.; Foster, R.; Rueda, B.R. Functional analyses of the cancer stem cell-like properties of human endometrial tumor initiating cells. Cell Cycle 2008, 7, 242–249. [Google Scholar] [CrossRef]
- Dąbruś, D.; Kiełbasiński, R.; Grabarek, B.O.; Boroń, D. Evaluation of the impact of cisplatin on variances in the expression pattern of leptin-related genes in endometrial cancer cells. Int. J. Mol. Sci. 2020, 21, 4135. [Google Scholar] [CrossRef] [PubMed]
- Talkowski, K.; Peszek, W.; Grabarek, B.O.; Oplawski, M. Salinomycin Modulates the Expression of mRNAs and miRNAs Related to Stemness in Endometrial Cancer. Curr. Pharm. Biotech. 2021, 22, 317–326. [Google Scholar] [CrossRef] [PubMed]
- Chen, Y.; Wang, X. miRDB: An online database for prediction of functional microRNA targets. Nucleic Acids Res. 2020, 48, D127–D131. [Google Scholar] [CrossRef] [PubMed]
- Mi, H.; Ebert, D.; Muruganujan, A.; Mills, C.; Albou, L.P.; Mushayamaha, T.; Thomas, P.D. PANTHER version 16: A revised family classification, tree-based classification tool, enhancer regions and extensive API. Nucleic Acids Res. 2021, 49, D394–D403. [Google Scholar] [CrossRef]




| Drug | Time [Hours] | Time with DCF | |||||
|---|---|---|---|---|---|---|---|
| Control | 30 min | 60 min | 90 min | 120 min | p < 0.05 | ||
| cisplatin | 0 | 100% | 98.12 ± 9.31 | 94.16 ± 7.52 | 90.34 ± 12.94 | 81.58 ± 10.73 | 0.8930 |
| 12 | 100% | 127.45 ± 8.65 | 132.09 ± 12.76 | 145.89 ± 15.11 | 123.09 ± 17.34 | 0.0421 | |
| 24 | 100% | 131.76 ± 21.09 | 156.99 ± 24.09 | 150.18 ± 12.99 | 141.92 ± 16.51 | 0.0034 | |
| 48 | 100% | 198.34 ± 32.98 | 211.13 ± 10.31 | 232.09 ± 15.01 | 198.33 ± 32.54 | 0.0221 | |
| salinomycin | 0 | 100% | 101.98 ± 8.91 | 95.12 ± 8.11 | 91.15 ± 8.96 | 82.99 ± 11.59 | 0.8712 |
| 12 | 100% | 187.09 ± 12.98 | 287.13 ± 12.01 | 265.02 ± 45.17 | 212.71 ± 18.45 | 0.0039 | |
| 24 | 100% | 268.11 ± 11.09 | 264.12 ± 18.49 | 276.12 ± 19.99 | 270.12 ± 31.05 | 0.0031 | |
| 48 | 100% | 278.12 ± 13.87 | 256.99 ± 17.58 | 280.19 ± 19.98 | 289.19 ± 21.04 | 0.0023 | |
| mRNA | ID | Ishikawa Cell Line Treated with Cisplatin | Ishikawa Cell Line Treated with Salinomycin | ||||
|---|---|---|---|---|---|---|---|
| H_12 vs. C | H_24 vs. C | H_48 vs. C | H_12 vs. C | H_24 vs. C | H_48 vs. C | ||
| NR4A2 | 204621_s_at | +18.41 (p = 0.0000) | +24.11 (p = 0.0000) | +20.07 (p = 0.0000) | +14.14 (p = 0.0000) | +16.99 (p = 0.0000) | +15.45 (p = 0.0000) |
| 204622_x_at | +17.52 (p = 0.0000) | +23.69 (p = 0.0000) | +21.11 (p = 0.0000) | +14.88 (p = 0.0000) | +16.75 (p = 0.0000) | +15.96 (p = 0.0000) | |
| 216248_s_at | +18.36 (p = 0.0000) | +22.89 (p = 0.0000) | +20.18 (p = 0.0000) | +14.78 (p = 0.0000) | +16.99 (p = 0.0000) | +16.01 (p = 0.0000) | |
| MAP3K8 | 205027_s_at | +10.11 (p = 0.0000) | +10.84 (p = 0.0000) | +14.11 (p = 0.0000) | +24.11 (p = 0.0000) | +27.14 (p = 0.0000) | +23.08 (p = 0.0000) |
| ICAM1 | 213191_at | +14.04 (p = 0.0000) | +12.01 (p = 0.0000) | +3.41 (p = 0.0089) | +3.99 (p = 0.0073) | +2.22 (p = 0.0123) | +2.01 (p = 0.0200) |
| CXCL8 | 202859_x_at | +4.14 (p = 0.0099) | +6.12 (p = 0.0077) | +2.01 (p = 0.0201) | +7.17 (p = 0.0044) | +7.14 (p = 0.041) | +3.00 (p = 0.0109) |
| 211506_s_at | +4.08 (p = 0.0012) | +6.22 (p = 0.0074) | +1.87 (p = 0.0418) | +7.14 (p = 0.0065) | +7.01 (p = 0.0066) | +3.21 (p = 0.00209) | |
| CCL7 | 208075_s_at | +3.11 (p = 0.0121) | +9.41 (p = 0.0001) | +6.14 (p = 0.0009) | +12.01 (p = 0.0000) | +3.75 (p = 0.0230) | +3.01 (p = 0.0231) |
| IL21 | 221271_at | −12.44 (p = 0.0000) | −6.41 (p = 0.0077) | −3.07 (p = 0.0019) | −5.99 (p = 0.0010) | −4.47 (p = 0.0077) | −5.07 (p = 0.0021) |
| SLC7A11 | 207528_s_at | −2.99 (p = 0.0238) | −3.48 (p = 0.0099) | −5.17 (p = 0.0001) | +3.25 (p = 0.0088) | +6.14 (p = 0.0076) | +5.02 (p = 0.0028) |
| 209921_at | −2.98 (p = 0.0236) | −3.42 (p = 0.0096) | −5.11 (p = 0.0076) | +3.41 (p = 0.0232) | +6.11 (p = 0.0072) | +4.99 (p = 0.0034) | |
| 217678_at | −3.04 (p = 0.0277) | −3.49 (p = 0.0211) | −5.09 (p = 0.0011) | +3.21 (p = 0.0199) | +6.17 (p = 0.0051) | +4.14 (p = 0.0077) | |
| TNF-α | 207113_s_at | +3.76 (p = 0.0131) | +4.07 (p = 0.0112) | +3.14 (p = 0.0520) | +1.54 (p = 0.0531) | +1.98 (p = 0.0502) | +1.11 (p = 0.0653) |
| NRF1 | 211280_s_at | −1.78 (p = 0.0570) | −1.99 (p = 0.0591) | −2.12 (p = 0.0499) | −1.98 (p = 0.0513) | −2.32 (p = 0.0517) | −1.97 (p = 0.0741) |
| 204651_at | −1.91 (p = 0.0528) | −2.02 (p = 0.0522) | −1.91 (p = 0.0513) | −2.12 (p = 0.0527) | −2.31 (p = 0.0510) | −2.01 (p = 0.0491) | |
| 204652_s_at | −1.66 (p = 0.0615) | −1.74 (p = 0.0618) | −2.08 (p = 0.0518) | −2.13 (p = 0.0517) | −2.19 (p = 0.0516) | −1.71 (p = 0.0618) | |
| HIF1A | 200989_at | −2.89 (p = 0.0501) | −2.76 (p = 0.0501) | −2.98 (p = 0.0501) | −3.87 (p = 0.0456) | −3.90 (p = 0.0502) | −3.12 (p = 0.0501) |
| HIF3A | 219319_at | −2.15 (p = 0.0542) | −2.87 (p = 0.0512) | −1.78 (p = 0.0541) | −2.19 (p = 0.0518) | −2.44 (p = 0.0510) | −2.12 (p = 0.0521) |
| 222123_s_at | −2.18 (p = 0.0541) | −2.91 (p = 0.0500) | −1.61 (p = 0.0608) | −2.13 (p = 0.0512) | −2.41 (p = 0.0519) | −1.99 (p = 0.0611) | |
| 222124_s_at | −2.02 (p = 0.0503) | −2.32 (p = 0.0519) | −1.74 (p = 0.0614) | −2.19 (p = 0.0511) | −2.59 (p = 0.0516) | −2.07 (p = 0.0512) | |
| mRNA | Ishikawa Cell Line Treated with Cisplatin | Ishikawa Cell Line Treated with Salinomycin | ||||
|---|---|---|---|---|---|---|
| H_12 vs. C | H_24 vs. C | H_48 vs. C | H_12 vs. C | H_24 vs. C | H_48 vs. C | |
| NR4A2 | p = 0.0000 | p = 0.0000 | p = 0.0000 | p = 0.0000 | p = 0.0000 | p = 0.0000 |
| MAP3K8 | p = 0.0000 | p = 0.0000 | p = 0.0000 | p = 0.0000 | p = 0.0000 | p = 0.0000 |
| ICAM1 | p = 0.0000 | p = 0.0000 | p = 0.0086 | p = 0.0071 | p = 0.0130 | p = 0.0204 |
| CXCL8 | p = 0.0099 | p = 0.0072 | p = 0.0199 | p = 0.0054 | p = 0.048 | p = 0.0101 |
| CCL7 | p = 0. 0121 | p = 0. 0002 | p = 0. 0000 | p = 0.0000 | p = 0.0231 | p = 0.0233 |
| IL21 | p = 0.0000 | p = 0.0072 | p = 0.0012 | p = 0.0012 | p = 0.0069 | p = 0.00219 |
| SLC7A11 | p = 0.0238 | p = 0.0091 | p = 0.0001 | p = 0.0083 | p = 0.0071 | p = 0.0024 |
| TNF-α | p = 0.0026 | p = 0.0015 | p = 0.0034 | p = 0.0269 | p = 0.0328 | p = 0.0692 |
| mRNA | miRNA | Target Score mRNA:miRNA | Ishikawa Cell Line Treated with Cisplatin | Ishikawa Cell Line Treated with Salinomycin | ||||
|---|---|---|---|---|---|---|---|---|
| miRNA | miRNA | |||||||
| H_12 vs. C | H_24 vs. C | H_48 vs. C | H_12 vs. C | H_24 vs. C | H_48 vs. C | |||
| NR4A2 | hsa-miR-30a-5p | 88 | −4.41 * (p = 0.0017) | −4.85 * (p = 0.0016) | −4.96 * (p = 0.0015) | −10.02 * (p = 0.0000) | −7.11 * (p = 0.0000) | −8.54 * (p = 0.0000) |
| hsa-miR-302e | 82 | −12.01 * (p = 0.0000) | −11.41 * (p = 0.0000) | −3.41 * (p = 0.0065) | −2.01 * (p = 0.0072) | −3.44 * (p = 0.0063) | −3.84 * (p = 0.0062) | |
| MAP3K8 | hsa-miR-144-3p | 90 | +6.15 * (p = 0.0001) | +9.39 * (p = 0.0000) | +8.74 * (p = 0.0000) | −8.12 * (p = 0.0000) | −12.01 * (p = 0.0000) | −2.03 * (p = 0.0208) |
| SLC7A11 | 96 | |||||||
| CXCL8 | hsa-miR-140-3p | 98 | +3.69 * (p = 0.0065) | +2.01 * (p = 0.0213) | +3.14 * (p = 0.0076) | +2.11 * (p = 0.0223) | +4.01 * (p = 0.0035) | +4.53 * (p = 0.0023) |
| Protein | Ishikawa Cell Line Treated with Cisplatin | Ishikawa Cell Line Treated with Salinomycin | ||||
|---|---|---|---|---|---|---|
| H_12 vs. C | H_24 vs. C | H_48 vs. C | H_12 vs. C | H_24 vs. C | H_48 vs. C | |
| NR4A2 | p = 0.0000 | p = 0.0000 | p = 0.0000 | p = 0.0000 | p = 0.0000 | p = 0.0000 |
| MAP3K8 | p = 0.0000 | p = 0.0000 | p = 0.0000 | p = 0.0000 | p = 0.0000 | p = 0.0000 |
| SLC7A11 | p = 0.0000 | p = 0.0000 | p = 0.0000 | p = 0.0000 | p = 0.0000 | p = 0.0000 |
| CXCL8 | p = 0.0000 | p = 0.0000 | p = 0.0000 | p = 0.0000 | p = 0.0000 | p = 0.0000 |
| ICAM1 | p = 0.0000 | p = 0.0000 | p = 0.0000 | p = 0.6145 | p = 0.9676 | p = 0.9182 |
| IL21 | p = 0.0441 | p = 0.0408 | p = 0.0398 | p = 0.0312 | p = 0.0241 | p = 0.0198 |
| CCL7 | p = 0.0782 | p = 0.0517 | p = 0.0471 | p = 0.00137 | p =0.9841 | p = 0.9136 |
| Group | Ishikawa Cells Treated with Cisplatin in Comparison to a Control | Ishikawa Cells Treated with Salinomycin in Comparison to a Control | ||||
|---|---|---|---|---|---|---|
| Expression | mRNA | miRNA Related to mRNA | Protein | mRNA | miRNA Related to mRNA | Protein |
| NR4A2 | up | down | down | up | down | down |
| MAP3K8 | up | up | down | up | down | down |
| SLC7A11 | down | up | down | up | down | down |
| CXCL8 | up | up | up | down | up | up |
| mRNA | Nucleotide Sequence | |
|---|---|---|
| NR4A2 | Forward | 5′-TATATGATCGAGTAGAGGAAAACGT-3′ |
| Reverse | 5′-TACGAATAAAATTAAACACAACGAA-3′ | |
| MAP3K8 | Forward | 5′-TCGTCGGATTTTAGTGGTTC-3′ |
| Reverse | 5′-AAAAATTACATCTACGACCTTAACG-3′ | |
| CXCL8 | Forward | 5′-TCGTCGGATTTTAGTGGTTC-3′ |
| Reverse | 5′-AAAAATTACATCTACGACCTTAACG-3′ | |
| SLC7A11 | Forward | 5′-TAGTTTGAAAGTAGAGGAAGATATCGA-3′ |
| Reverse | 5′-TCTAACCATAATAAAAACACACGAA-3′ | |
Publisher’s Note: MDPI stays neutral with regard to jurisdictional claims in published maps and institutional affiliations. |
© 2022 by the authors. Licensee MDPI, Basel, Switzerland. This article is an open access article distributed under the terms and conditions of the Creative Commons Attribution (CC BY) license (https://creativecommons.org/licenses/by/4.0/).
Share and Cite
Januszyk, S.; Mieszczański, P.; Lurka, H.; Sagan, D.; Boroń, D.; Grabarek, B.O. Expression Profile of mRNAs and miRNAs Related to the Oxidative-Stress Phenomenon in the Ishikawa Cell Line Treated Either Cisplatin or Salinomycin. Biomedicines 2022, 10, 1190. https://doi.org/10.3390/biomedicines10051190
Januszyk S, Mieszczański P, Lurka H, Sagan D, Boroń D, Grabarek BO. Expression Profile of mRNAs and miRNAs Related to the Oxidative-Stress Phenomenon in the Ishikawa Cell Line Treated Either Cisplatin or Salinomycin. Biomedicines. 2022; 10(5):1190. https://doi.org/10.3390/biomedicines10051190
Chicago/Turabian StyleJanuszyk, Szymon, Paweł Mieszczański, Hubert Lurka, Dorota Sagan, Dariusz Boroń, and Beniamin Oskar Grabarek. 2022. "Expression Profile of mRNAs and miRNAs Related to the Oxidative-Stress Phenomenon in the Ishikawa Cell Line Treated Either Cisplatin or Salinomycin" Biomedicines 10, no. 5: 1190. https://doi.org/10.3390/biomedicines10051190
APA StyleJanuszyk, S., Mieszczański, P., Lurka, H., Sagan, D., Boroń, D., & Grabarek, B. O. (2022). Expression Profile of mRNAs and miRNAs Related to the Oxidative-Stress Phenomenon in the Ishikawa Cell Line Treated Either Cisplatin or Salinomycin. Biomedicines, 10(5), 1190. https://doi.org/10.3390/biomedicines10051190

