Diode Laser Management of Primary Extranasopharyngeal Angiofibroma Presenting as Maxillary Epulis: Report of a Case and Literature Review
Abstract
1. Introduction
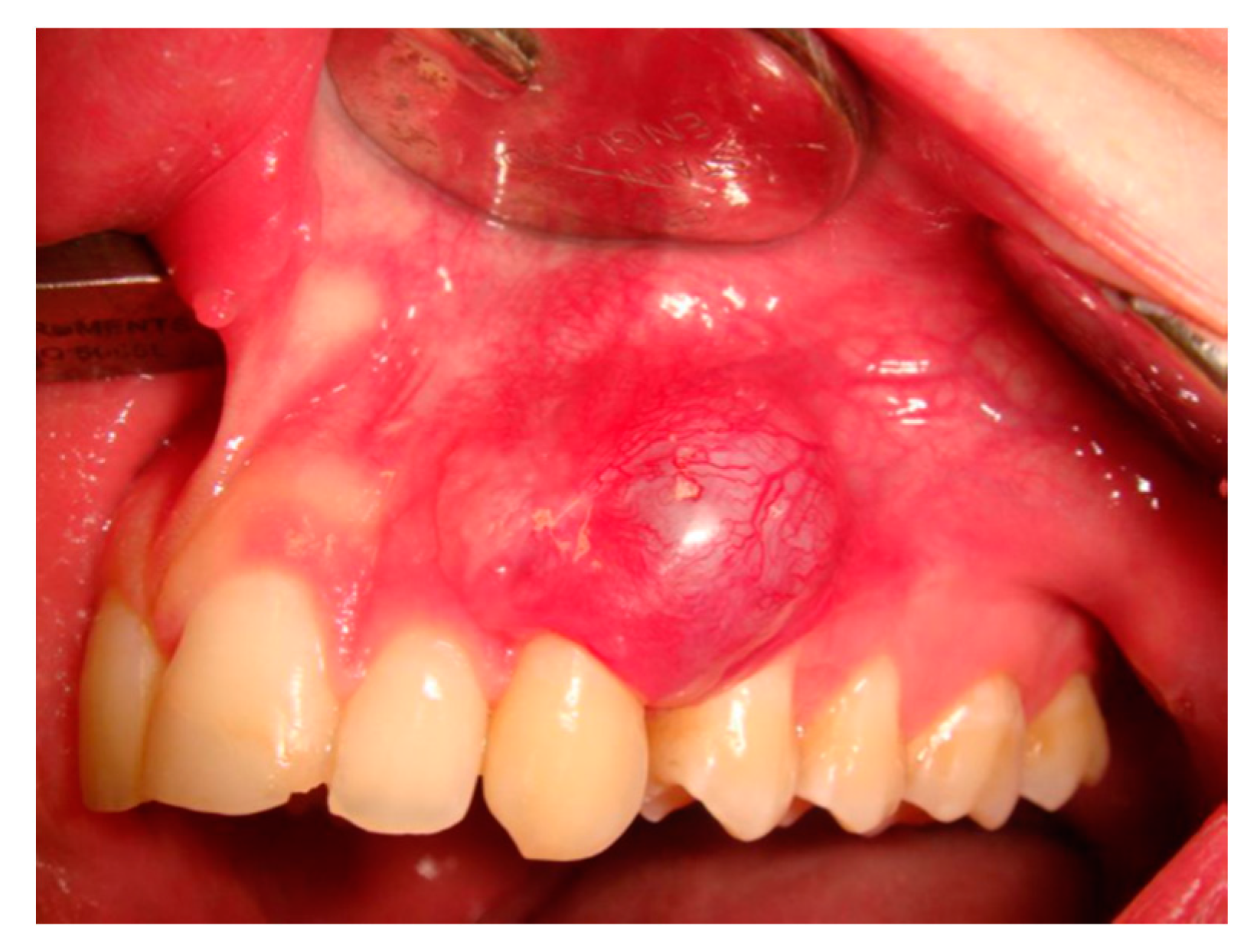
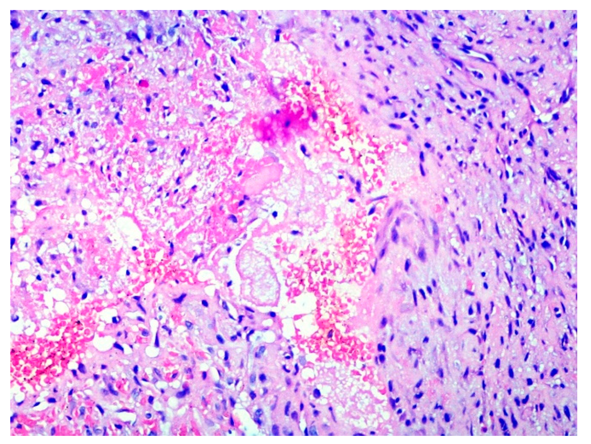
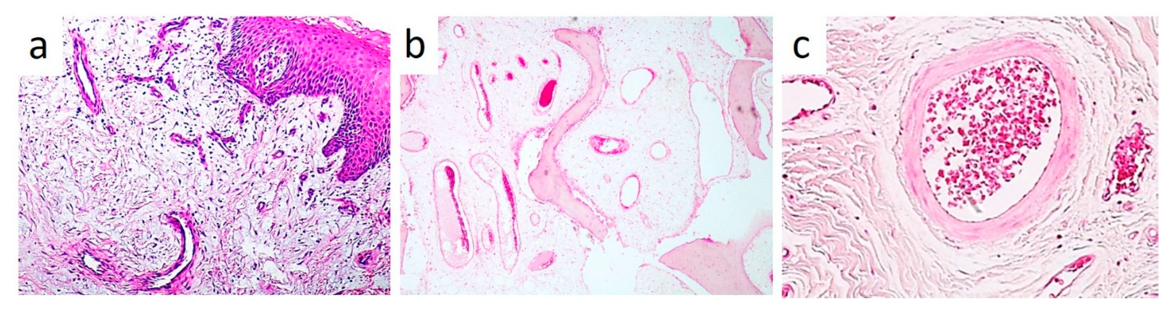
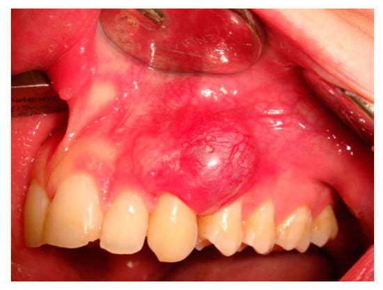
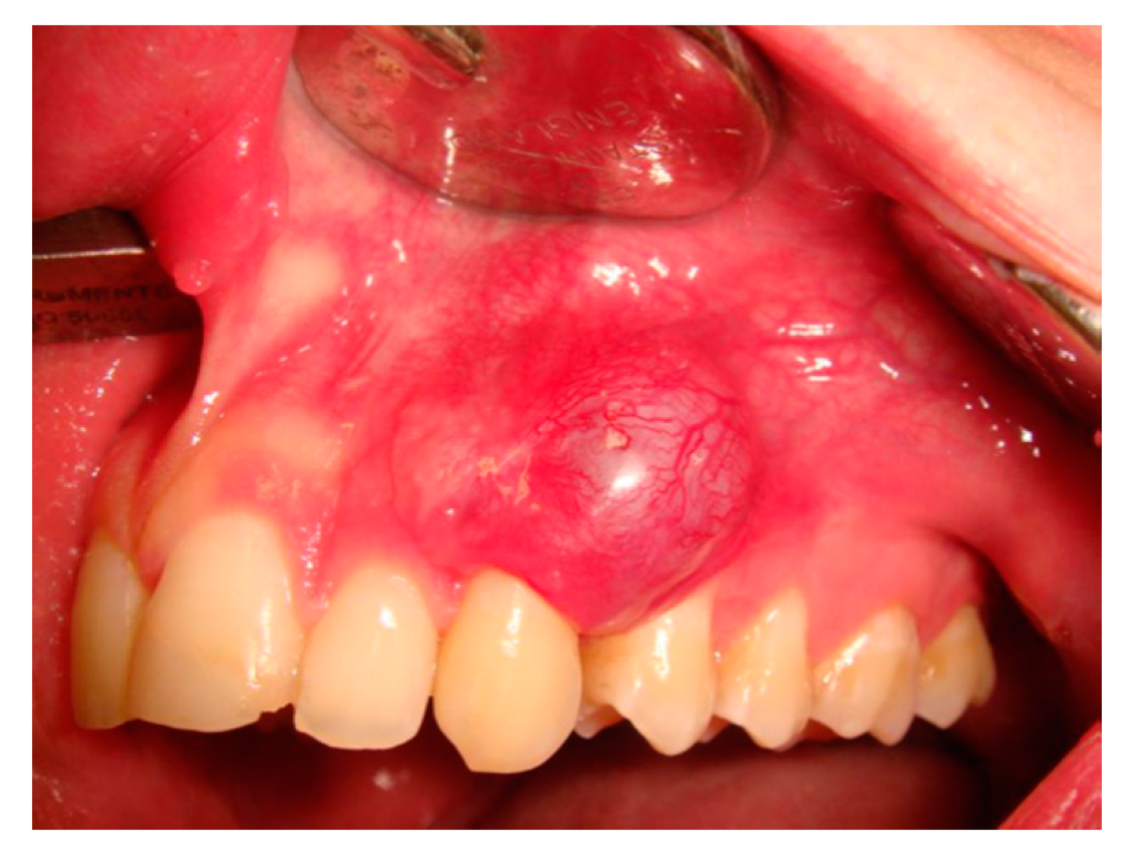
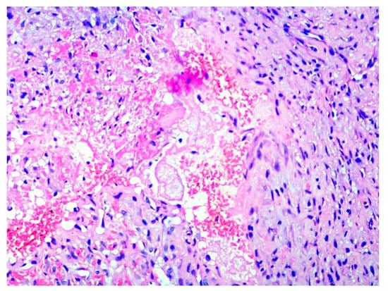
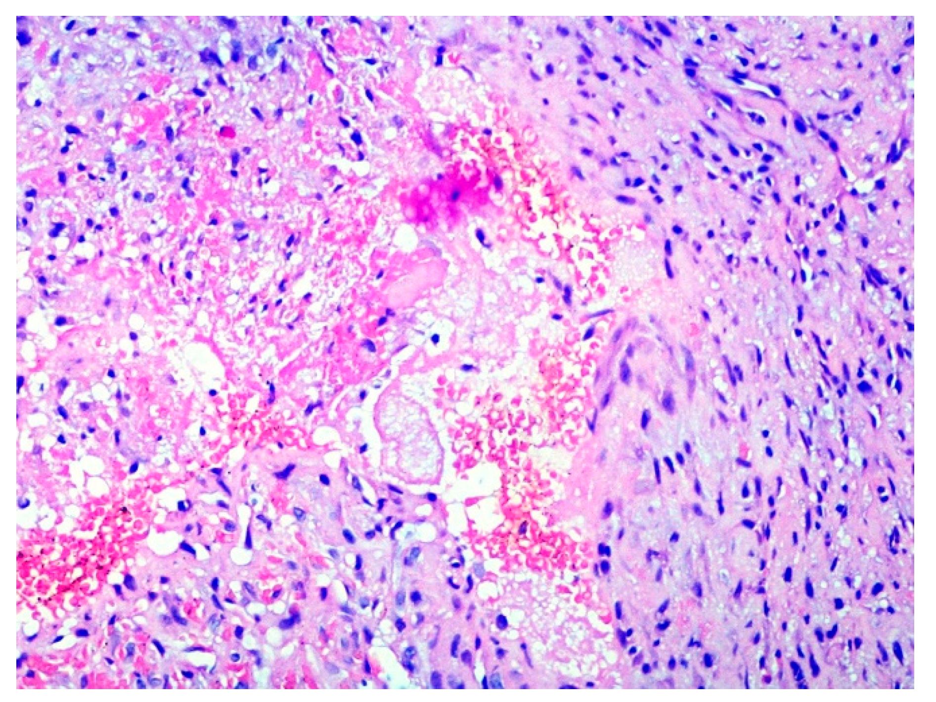
2. Case Presentation
3. Discussion
Author Contributions
Funding
Institutional Review Board Statement
Informed Consent Statement
Conflicts of Interest
References
- Witt, T.R.; Shah, J.P.; Sternberg, S.S. Juvenile nasopharyngeal angiofibroma. Am. J. Surg. 1983, 146, 521–525. [Google Scholar] [CrossRef]
- Windfuhr, J.P.; Remmert, S. Extranasopharyngeal angiofibroma: Etiology, incidence and management. Acta Otolaryngol. 2004, 124, 880–889. [Google Scholar] [CrossRef] [PubMed]
- AlShaikh, N.A.; Eleftheriadou, A. Juvenile Nasopharyngeal Angiofibroma Staging: An Overview. Ear Nose Throat. J. 2015, 94, E12–E22. [Google Scholar] [CrossRef] [PubMed]
- Stelow, E.B.; Wenig, B.M. Update from the 4th Edition of the World Health Organization Classification of Head and Neck Tumours: Nasopharynx. Head Neck Pathol. 2017, 11, 16–22. [Google Scholar] [CrossRef]
- Perić, A.; Sotirović, J.; Cerović, S.; Zivic, L. Immunohistochemistry in diagnosis of extranasopharyngeal angiofibroma originating from nasal cavity: Case presentation and review of the literature. Acta Med. (Hradec Kralove, Czech Republic) 2013, 56, 133–141. [Google Scholar] [CrossRef]
- Szymańska, A.; Szymański, M.; Morshed, K.; Czekajska-Chehab, E.; Szczerbo-Trojanowska, M. Extranasopharyngeal angiofibroma: Clinical and radiological presentation. Eur. Arch. Oto-Rhino-Laryngol. 2012, 270, 655–660. [Google Scholar] [CrossRef]
- Gołąbek, W.; Szymańska, A.; Szymański, M.; Czekajska-Chehab, E.; Jargiełło, T. Juvenile nasopharyngeal angiofibroma with intracranial extension-diagnosis and treatment. Otolaryngol. Polska 2019, 74, 1–7. [Google Scholar] [CrossRef]
- Coutinho-Camillo, C.M.; Brentani, M.M.; Nagai, M.A. Genetic malformations in juvenile nasopharyngeal angiofibromas. Head Neck. Head Neck J. Sci. Spec. 2008, 30, 390–400. [Google Scholar] [CrossRef]
- Abboud, F.Z.; Youssoufi, M.A.; Zoukal, S.; Bouhafa, T.; Hassouni, K. Recurrent pterygo-palatal angiofibroma with intracranial extension: Case report. Pan Afr. Med. J. 2020, 36, 128. [Google Scholar] [CrossRef]
- Akbaş, Y.; Anadolu, Y. Extranasopharyngeal angiofibroma of the head and neck in women. Am. J. Otolaryngol. 2003, 24, 413–416. [Google Scholar] [CrossRef]
- Windfuhr, J.P.; Vent, J. Extranasopharyngeal angiofibroma revisited. Clin. Otolaryngol. 2018, 43, 199–222. [Google Scholar] [CrossRef] [PubMed]
- Amini-Salari, A.; Glomski, K.; Ahn, D.; Tannyhill, R.J. Mandibular Intraosseous Angiofibroma—A Rare Clinical Entity. J. Oral Maxillofac. Surg. 2020, 78, 1343–1348. [Google Scholar] [CrossRef] [PubMed]
- Goud, S. Extra Nasopharyngeal Angiofibroma Simulating a Mucocele: A New Location for the Rare Entity. J. Clin. Diagn. Res. 2017, 11, ZD28–ZD30. [Google Scholar] [CrossRef] [PubMed]
- Jeong, J.; Kono, M.; Hasegawa-Murakami, Y.; Motoi, T.; Yokota, K.; Matsumoto, T.; Kaibuchi-Ando, K.; Kato, Y.; Tada, T.; Akiyama, M. Angiofibroma of Soft Tissue on the Cheek: Diagnosis Confirmed by Gene Rearrangement in NCOA. Acta Derm. Venereol. 2017, 97, 133–134. [Google Scholar] [CrossRef][Green Version]
- Thakur, R.K.; Madan, E.; Tomar, A.; Arora, M. Angiofibroma on cheek mucosa: A rare entity and its management with laser. J. Cutan. Aesthet. Surg. 2014, 7, 227–228. [Google Scholar] [CrossRef]
- Crespo del Hierro, J.; Gete García, P.; Coello Casariego, G.; Rivas, E.; Monge Jodrá, R.; Alvarez-Vicent, J.J. Extra-naso-pharyngeal angiofibroma: report of a new case and review of literature. Acta Otorrinolaringol Esp. 2002, 4, 297–301. [Google Scholar] [CrossRef]
- Singh, V.; Ramesh, V.; Rohilla, K.; Sriram, K. Angiofibroma masquerading as a cheek swelling-a diagnostic dilemma. J. Int. Med. Sci. Acad. 2013, 26, 111–112. [Google Scholar]
- Mendoza-Ramírez, S.; Martínez-Hernández, J.; Vicuña-Honorato, I.; Mendoza-Ramírez, M.; Murguía-Pérez, M. Angiofibroma atıpico de la amıgdala palatina. Rev. Esp. Patol. 2012, 45, 125–127. [Google Scholar] [CrossRef]
- Bakhshi, M.; Basir Shabestari, S.; Eshghyar, N. Nasopharyngeal angiofibroma in the oral cavity in a 50-year-old man: A Case Report. Shiraz Univ. Dent. J. 2011, 12, 90–94. [Google Scholar]
- Eftekharian, A.; Samiei, F.; Rakhshan, M. Angiofibroma with oropharyngeal origin. Pak. J. Med. Sci. 2008, 24, 319–320. [Google Scholar]
- Dere, H.; Ozcan, K.M.; Ergul, G.; Bahar, S.; Ozcan, I.; Kulacoglu, S. Extranasopharyngeal angiofibroma of the cheek. J. Laryngol. Otol. 2005, 120, 141–144. [Google Scholar] [CrossRef] [PubMed]
- Celik, B.; Erisen, L.; Saraydaroglu, O.; Coskun, H. Atypical angiofibromas: A report of four cases. Int. J. Pediatr. Otorhinolaryngol. 2005, 69, 415–421. [Google Scholar] [CrossRef] [PubMed]
- Andreadis, D.A.; Rizos, C.B.; Belazi, M.; Peneva, M.; Antoniades, D.Z. Encephalocraniocutaneous lipomatosis accompanied by maxillary compound odontoma and juvenile angiofibroma: Report of a case. Birth Defects Res. Part A: Clin. Mol. Teratol. 2004, 70, 889–891. [Google Scholar] [CrossRef] [PubMed]
- Antoniades, K.; Antoniades, D.Z.; Antoniades, V. Juvenile angiofibroma: Report of a case with intraoral resentation. Oral Surg. Oral Med. Oral Pathol. Oral Radiol. Endod. 2002, 94, 228–232. [Google Scholar] [CrossRef]
- Kintarak, S.; Natiella, J.; Aguirre, A.; Brooks, J. Giant cell angiofibroma of the buccal mucosa. Oral Surg. Oral Med. Oral Pathol. Oral Radiol. Endodontol. 1999, 88, 707–713. [Google Scholar] [CrossRef]
- Chung, Y.S.; Kim, J.K.; Kweon, H.W.; Lee, W.S.; Lee, H.H. Angiofibroma: An unusual presentation in soft palate. Korean J. Otolaryngol. 1995, 38, 779–785. [Google Scholar]
- Manjalay, G.; Hoare, T.; Pearman, K.; Green, N. A case of congenital angiofibroma. Int. J. Pediatr. Otorhinolaryngol. 1992, 24, 275–278. [Google Scholar] [CrossRef]
- Supiyaphun, P.; Sastarasadhit, V.; Chochaipanichnon, L.; Tonsakulrungruang, K. Intraoral angiofibroma: A case report. J. Med. Assoc. Thail. Chotmaihet Thangphaet 1986, 69, 382–385. [Google Scholar]
- Ali, S.; Jones, W.I. Extranasophryngeal Angiofibromas (Sex incidence and age distribution). J. Laryngol. Otol. 1982, 96, 559–565. [Google Scholar] [CrossRef]
- Reddy, B.K.; Isaac, V.; Nayak, M.N.; Prabhu, S.R. Juvenile oral angiofibroma in a female. J. Oral Surg. Am. Dent. Assoc. 1979, 37, 338–341. [Google Scholar]
- Stewart, D.J.; O’Brien, F.V. Juvenile angiofibroma. Report of a case occurring within the mouth. J. Dent. 1973, 1, 150–152. [Google Scholar] [CrossRef]
- Chauveau, C. Juvenile nasopharyngeal angiofibroma. Arch. Int. Laryng. 1906, 21, 889. [Google Scholar]
- Fisch, U.G.O. The infratemporal fossa approach for nasopharyngeal tumors. Laryngoscope 1983, 93, 36–44. [Google Scholar] [CrossRef] [PubMed]
- Andrews, J.C.; Fisch, U.; Valavanis, A.; Aeppli, U.; Makek, M.S. The Surgical Management of Extensive Nasopharyngeal Angiofibromas with the Infratemporal Fossa Approach. Laryngoscope 1989, 99, 429–437. [Google Scholar] [CrossRef] [PubMed]
- Nicolai, P.; Villaret, A.B.; Farina, D.; Nadeau, S.; Yakirevitch, A.; Berlucchi, M.; Galtelli, C. Endoscopic Surgery for Juvenile Angiofibroma: A Critical Review of Indications after 46 Cases. Am. J. Rhinol. Allergy 2010, 24, e67–e72. [Google Scholar] [CrossRef] [PubMed]
- Nandhini, J.; Ramasamy, S.; Kaul, R.N.; Austin, R.D. Juvenile primary extranasopharyngeal angiofibroma, presenting as cheek swelling. J. Oral Maxillofac. Pathol. JOMFP 2018, 22, S73–S76. [Google Scholar] [CrossRef]
- Capodiferro, S.; Favia, G.; Lacaita, M.; Muzio, L.L.; Favia, G. Juvenile angiofibroma: Report of a case with primary intra-oral presentation. Oral Oncol. Extra 2005, 41, 1–6. [Google Scholar] [CrossRef]
- Capodiferro, S.; Tempesta, A.; Limongelli, L.; Ingravallo, G.; Favia, G.; Sfasciotti, G.L.; Bossù, M.; Polimeni, A.; Favia, G. Primary Oro-Facial Manifestations of Langerhans Cell Histiocytosis in Pediatric Age: A Bi-Institutional Retrospective Study on 45 Cases. Child 2020, 7, 104. [Google Scholar] [CrossRef]
- Capodiferro, S.; Limongelli, L.; Mastropasqua, M.G.; Favia, G.; Lajolo, C.; Colella, G.; Tempesta, A.; Favia, G. Metastatic Tumors of the Oro-Facial Tissues: Clear Cell Renal Cell Carcinoma. A Clinico-Pathological and Immunohistochemical Study of Seven Cases. J. Clin. Med. 2020, 9, 1151. [Google Scholar] [CrossRef]
- Marshall, A.H.; Bradley, P.J. Management Dilemmas in the Treatment and Follow-Up of Advanced Juvenile Nasopharyngeal Angiofibroma. ORL 2006, 68, 273–278. [Google Scholar] [CrossRef]
- Capodiferro, S.; Ingravallo, G.; Limongelli, L.; Mastropasqua, M.G.; Tempesta, A.; Favia, G.; Favia, G. Intra-Cystic (In Situ) Mucoepidermoid Carcinoma: A Clinico-Pathological Study of 14 Cases. J. Clin. Med. 2020, 9, 1157. [Google Scholar] [CrossRef] [PubMed]
- McDaniel, R.K.; Houston, G.D. Juvenile nasopharyngeal angiofibroma with lateral extension into the cheek: Report of case. J. Oral Maxillofac. Surg. 1995, 53, 473–476. [Google Scholar] [CrossRef]
- Kim, J.S.; Kwon, S.H.; Kim, J.S.; Jung, J.Y.; Heo, S.J. Extranasopharyngeal Angiofibroma of the Frontal Sinus. J. Craniofacial. Surg. 2019, 30, e432–e433. [Google Scholar] [CrossRef] [PubMed]
- Schick, B.; Plinkert, P.K.; Prescher, A. Aetiology of angiofibromas: Reflection on their specific vascular component. Laryngorhinootologie 2000, 81, 280–284. [Google Scholar] [CrossRef]
- Limongelli, L.; Tempesta, A.; Capodiferro, S.; Maiorano, E.; Favia, G. Oral maxillary exostosis. Clin. Case Rep. 2018, 7, 222–223. [Google Scholar] [CrossRef]
- Panesar, J.; Vadgama, B.; Rogers, G.; Ramsay, A.D.; Hartley, B.J. Juvenile angiofibroma of the maxillary sinus. Rhinol. J. 2004, 42, 171–174. [Google Scholar]
- Limongelli, L.; Tempesta, A.; De Caro, A.; Maiorano, E.; Angelelli, G.; Capodiferro, S.; Favia, G. Diode Laser Photocoagulation of Intraoral and Perioral Venous Malformations After Tridimensional Staging by High Definition Ultrasonography. Photobiomodulation Photomed. Laser Surg. 2019, 37, 722–728. [Google Scholar] [CrossRef]
- Capodiferro, S.; Limongelli, L.; Tempesta, A.; Maiorano, E.; Favia, G. Diode laser treatment of venous lake of the lip. Clin. Case Rep. 2018, 6, 1923–1924. [Google Scholar] [CrossRef]
- Luke, A.; Mathew, S.; Altawash, M.M.; Madan, B.M. Lasers: A Review with Their Applications in Oral Medicine. J. Lasers Med. Sci. 2019, 10, 324–329. [Google Scholar] [CrossRef]
- Capodiferro, S.; Limongelli, L.; Tempesta, A.; Maiorano, E.; Favia, G. Diode laser photocoagulation of sublingual varices in 706 patients on antithrombotic therapy without drug discontinuation. Ann. Ital. Chir. 2020, 91, 100–104. [Google Scholar]
- Derikvand, N.; Chinipardaz, Z.; Ghasemi, S.; Chiniforush, N. The Versatility of 980 nm Diode Laser in Dentistry: A Case Series. J. Lasers Med. Sci. 2016, 7, 205–208. [Google Scholar] [CrossRef] [PubMed]
- Capodiferro, S.; Tempesta, A.; Limongelli, L.; Favia, G.; Benedicenti, S.; Favia, G. Nonsurgical Periodontal Treatment by Erbium:YAG Laser Promotes Regression of Gingival Overgrowth in Patient Taking Cyclosporine A: A Case Report. Photobiomodulation Photomed. Laser Surg. 2019, 37, 53–56. [Google Scholar] [CrossRef] [PubMed]
- Limongelli, L.; Capodiferro, S.; Tempesta, A.; Sportelli, P.; Dell’Olio, F.; Angelelli, G.; Maiorano, E.; Favia, G. Early tongue carcinomas (clinical stage I and II): Echo-guided three-dimensional diode laser mini-invasive surgery with evaluation of histological prognostic parameters. A study of 85 cases with prolonged follow-up. Lasers Med. Sci. 2020, 35, 751–758. [Google Scholar] [CrossRef] [PubMed]
- Gullane, P.J.; Davidson, J.; O’Dwyer, T.; Forte, V. Juvenile Angiofibroma: A Review of the Literature and a Case Series Report. Laryngoscope 1992, 102, 928–933. [Google Scholar] [CrossRef]
- Osborn, D.A. The So-Called Juvenile Angio-Fibroma of the Nasopharynx. J. Laryngol. Otol. 1959, 73, 295–316. [Google Scholar] [CrossRef]
- Liang, J.; Yi, Z.; Lianq, P. The Nature of Juvenile Nasopharyngeal Angiofibroma. Otolaryngol. Neck Surg. 2000, 123, 475–481. [Google Scholar] [CrossRef]
- Girgis, I.H.; Fahmy, S.A. Nasopharyngeal fibroma: Its histo-pathological nature. J. Laryngol. Otol. 1973, 87, 1107–1123. [Google Scholar] [CrossRef]
- Saylam, G.; Yücel, O.T.; Sungur, A.; Önerci, M. Proliferation, angiogenesis and hormonal markers in juvenile nasopharyngeal angiofibroma. Int. J. Pediatr. Otorhinolaryngol. 2006, 70, 227–234. [Google Scholar] [CrossRef]
- Beham, A.; Beham-Schmid, C.; Regauer, S.; Auböck, L.; Stammberger, H. Nasopharyngeal Angiofibroma: True Neoplasm or Vascular Malformation? Adv. Anat. Pathol. 2000, 7, 36–46. [Google Scholar] [CrossRef]
- Kairo, A.; Kumar, R.; Sharma, S. Can palatovaginal canal be the site of origin of juvenile nasopharyngeal angiofibroma? Med. Hypotheses 2020, 144, 110300. [Google Scholar] [CrossRef]
- Moss, W.J.; Faraji, F.; Jafari, A.; DeConde, A.S. A systematic review of the nasal septal turbinate: An overlooked surgical target. Am. J. Otolaryngol. 2019, 40, 102188. [Google Scholar] [CrossRef] [PubMed]






| CASE | AUTHOR/YEAR | AGE | SEX | SITE | MAIN SYMPTOMS |
|---|---|---|---|---|---|
| 1 | Amini-Salari/2020 | 23 | M | Mandibular ramus (intraosseous) | None |
| 2 | Goud/2018 | 30 | M | Upper lip | Previous trauma, swelling |
| 3 | Jeong/2017 | 50 | F | Cheek (intramural) | Swelling |
| 4 | Thakur/2014 | 87 | F | Buccal mucosa | Difficulties in chewing |
| 5 | Szymańska/2013 | 49 | M | Palatine tonsil | Dysphagia |
| 6 | Singh/2013 | 51 | M | Buccal mucosa | Difficulties in chewing |
| 7 | Mendoza-Ramirez/2012 | 60 | M | Tonsil | Dysphagia |
| 8 | Bakhshi/2011 | 50 | M | Buccal mucosa | Bleeding and pain |
| 9 | Eftekharian/2008 | 19 | M | Posterior tonsillar pillar | Foreign body sensation |
| 10 | Dere/2006 | 17 | M | Cheek | Swelling |
| 11 | Celik/2005 | 15 | M | Tonsil | Dysphagia |
| 12 | Andreadis/2004 | 6 months | M | Hard palate | Unavailable |
| 13 | Antoniades/2002 | 14 | M | Hard palate | Difficulties in chewing/speech, bleeding on mastication |
| 14 | Kintarak/1999 | 46 | F | buccal mucosa | None |
| 15 | Chung/1995 | 21 | M | Soft palate | None |
| 16 | Manjalay/1992 | 0-congenital | M | Premaxilla | Swelling and bleeding during biopsy |
| 17 | Supiyaphun/1986 | 14 | M | Mandible | Bleeding, impaired teeth closure |
| 18 | Ali/1982 | 28 | F | Tonsil | Foreign body sensation, occasional bleeding |
| 19 | Reddy/1979 | 14 | F | Mandible/retromolar area | Swelling and bleeding |
| 20 | Stewart/1973 | 10 | M | Oral cavity/retromolar | Bleeding |
Publisher’s Note: MDPI stays neutral with regard to jurisdictional claims in published maps and institutional affiliations. |
© 2021 by the authors. Licensee MDPI, Basel, Switzerland. This article is an open access article distributed under the terms and conditions of the Creative Commons Attribution (CC BY) license (http://creativecommons.org/licenses/by/4.0/).
Share and Cite
Capodiferro, S.; Limongelli, L.; D’Agostino, S.; Tempesta, A.; Dolci, M.; Maiorano, E.; Favia, G. Diode Laser Management of Primary Extranasopharyngeal Angiofibroma Presenting as Maxillary Epulis: Report of a Case and Literature Review. Healthcare 2021, 9, 33. https://doi.org/10.3390/healthcare9010033
Capodiferro S, Limongelli L, D’Agostino S, Tempesta A, Dolci M, Maiorano E, Favia G. Diode Laser Management of Primary Extranasopharyngeal Angiofibroma Presenting as Maxillary Epulis: Report of a Case and Literature Review. Healthcare. 2021; 9(1):33. https://doi.org/10.3390/healthcare9010033
Chicago/Turabian StyleCapodiferro, Saverio, Luisa Limongelli, Silvia D’Agostino, Angela Tempesta, Marco Dolci, Eugenio Maiorano, and Gianfranco Favia. 2021. "Diode Laser Management of Primary Extranasopharyngeal Angiofibroma Presenting as Maxillary Epulis: Report of a Case and Literature Review" Healthcare 9, no. 1: 33. https://doi.org/10.3390/healthcare9010033
APA StyleCapodiferro, S., Limongelli, L., D’Agostino, S., Tempesta, A., Dolci, M., Maiorano, E., & Favia, G. (2021). Diode Laser Management of Primary Extranasopharyngeal Angiofibroma Presenting as Maxillary Epulis: Report of a Case and Literature Review. Healthcare, 9(1), 33. https://doi.org/10.3390/healthcare9010033

