Use of a Resorbable Magnesium Membrane for Bone Regeneration After Large Radicular Cyst Removal: A Clinical Case Report
Abstract
1. Introduction
2. Case Report
2.1. Patient History and Clinical Findings
- Extraoral Findings
- Intraoral Examination
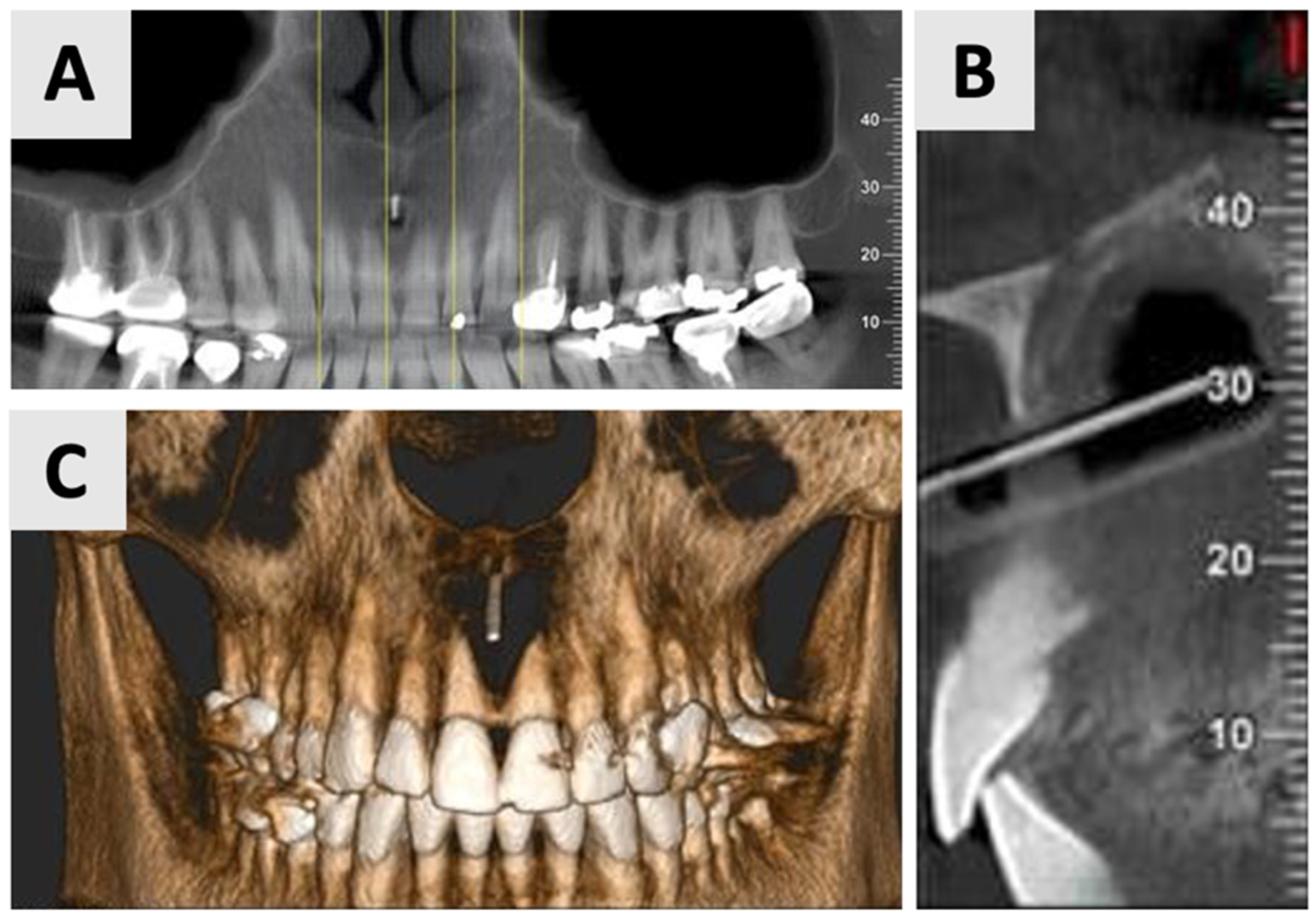
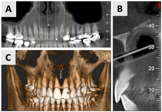
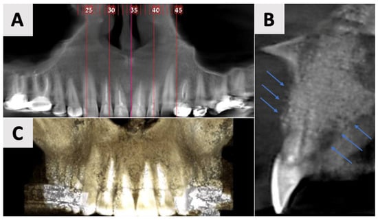
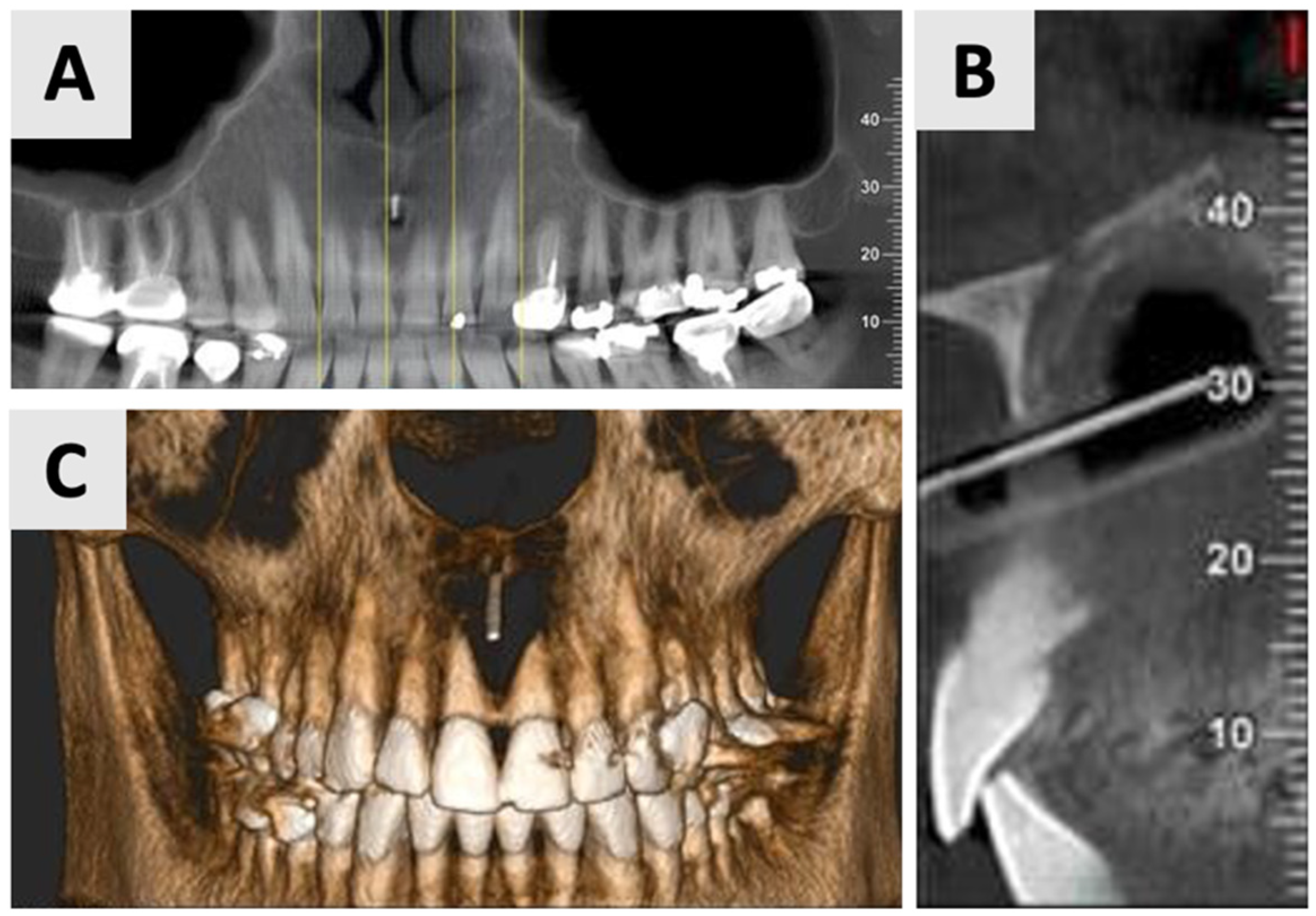
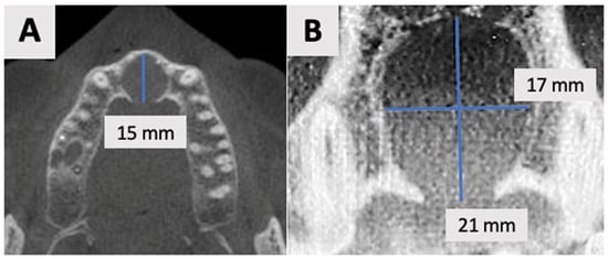
- Radiographic Evaluation
2.2. Marsupialization
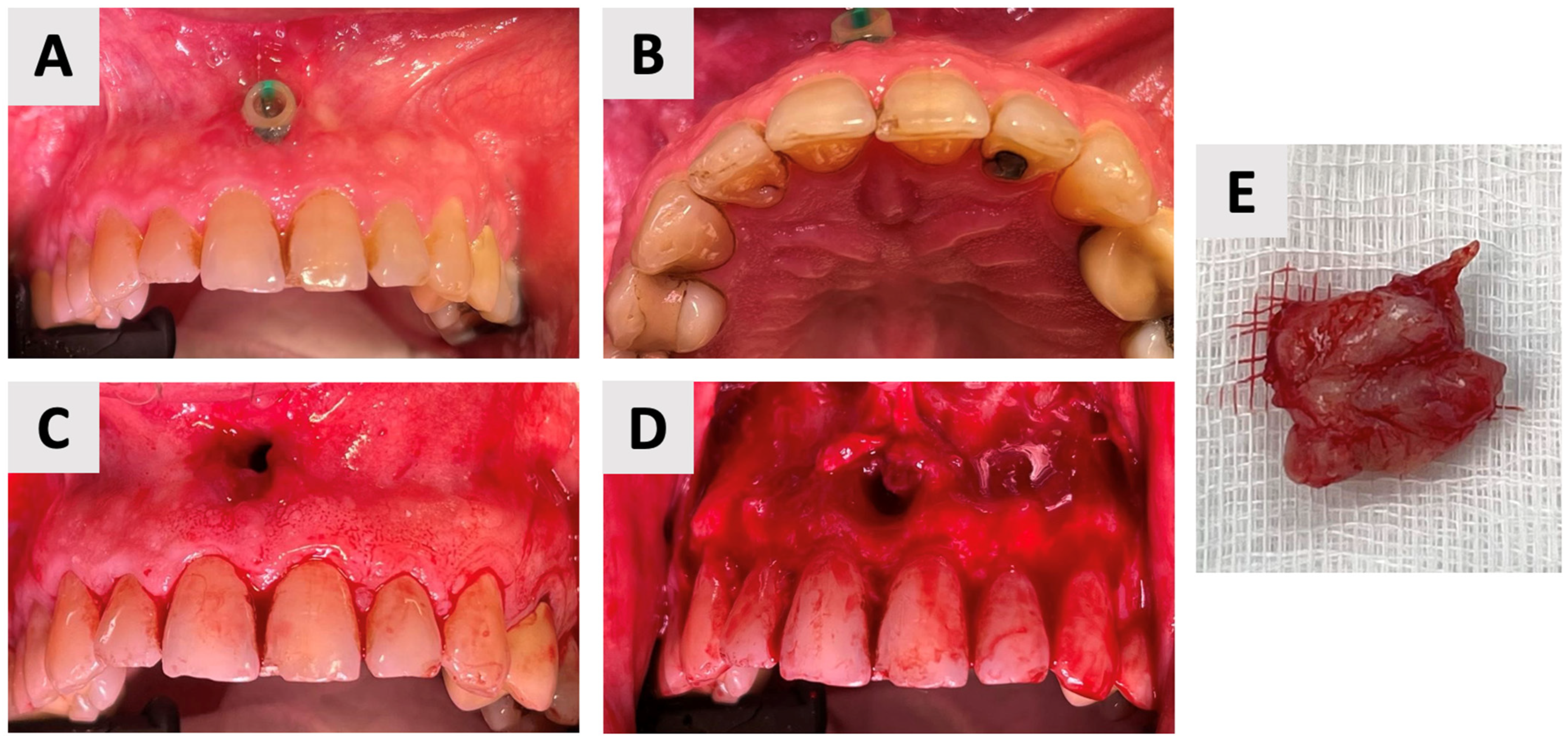
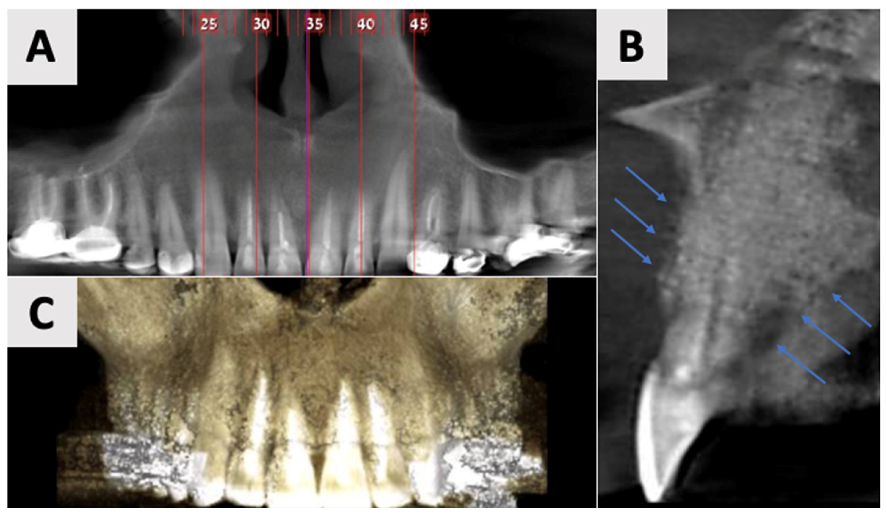
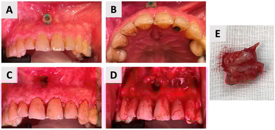
2.3. Enucleation and Augmentation of the Cystic Defect
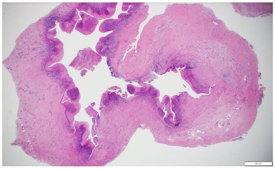
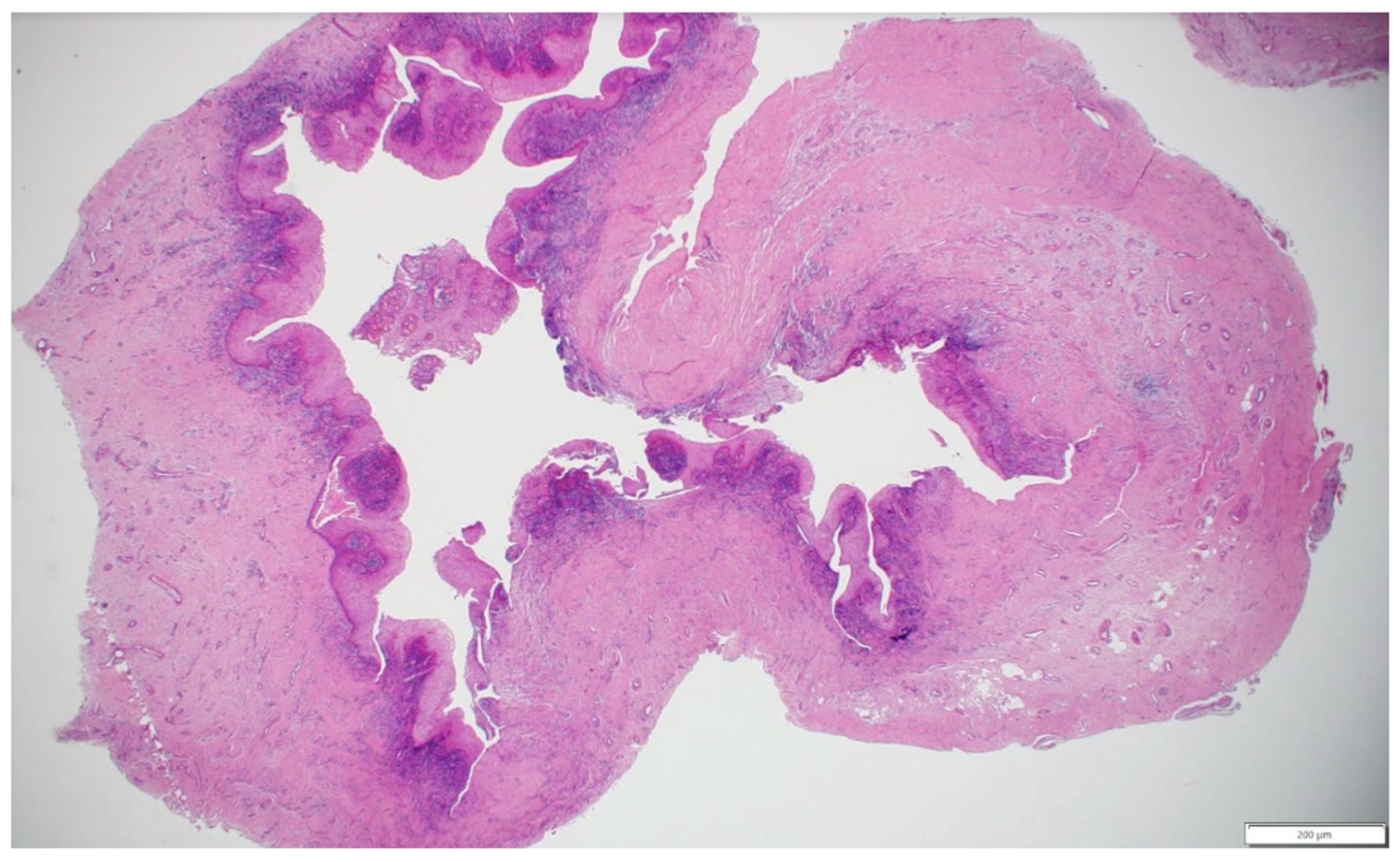
2.4. Histopathological Findings
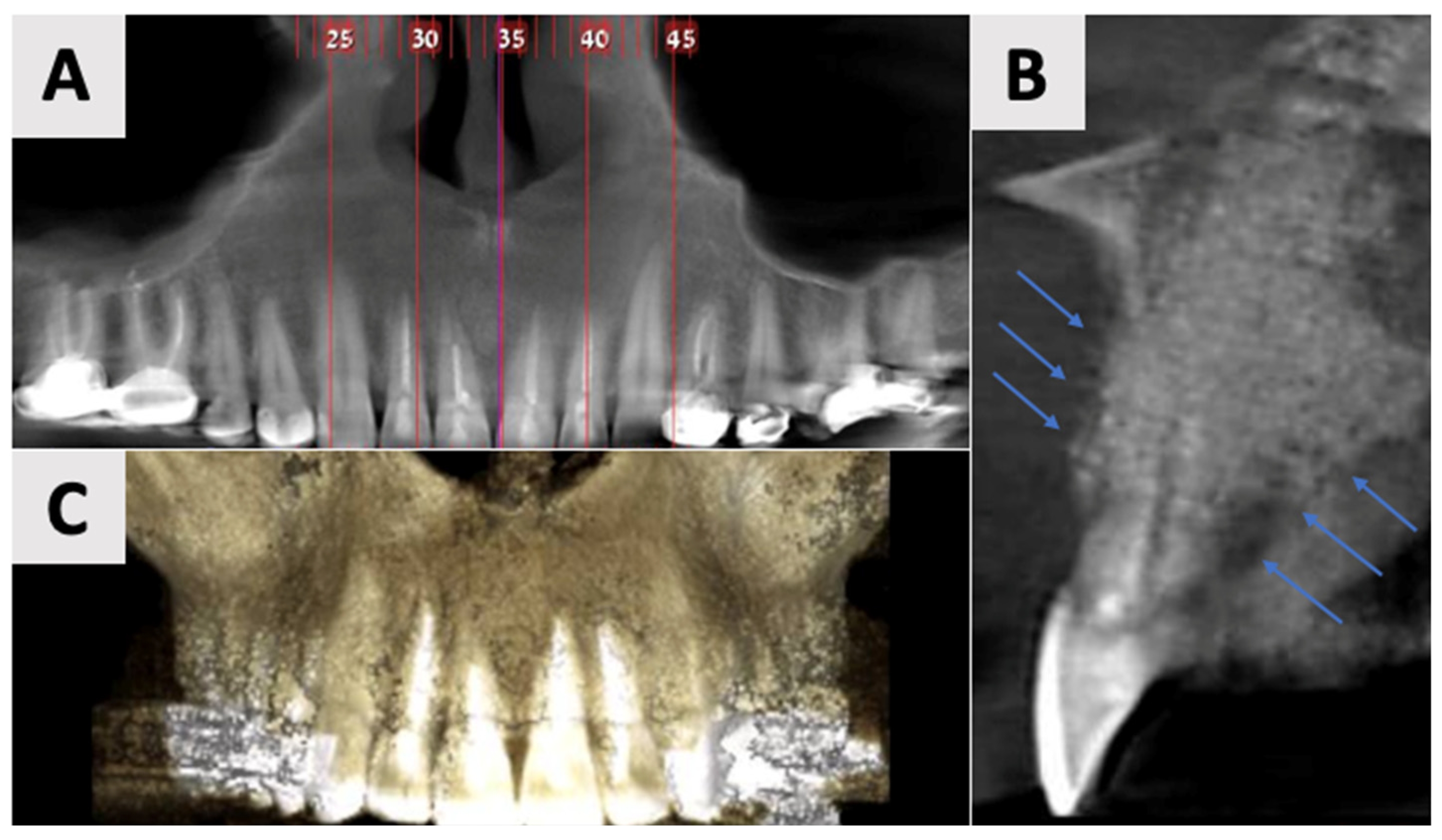
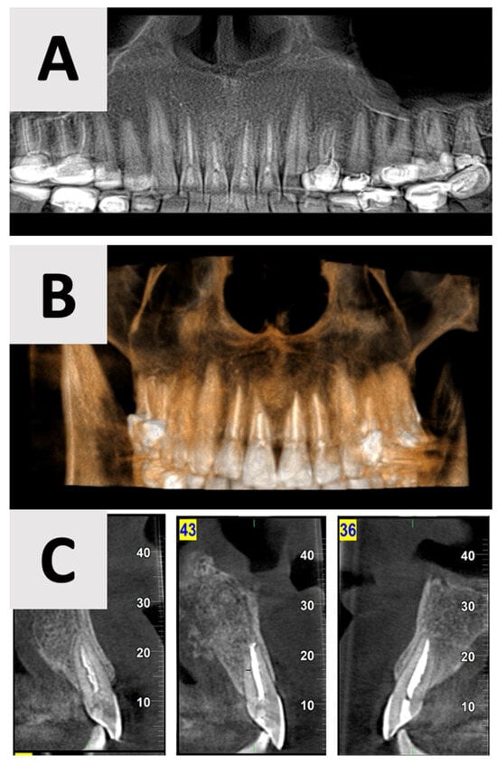
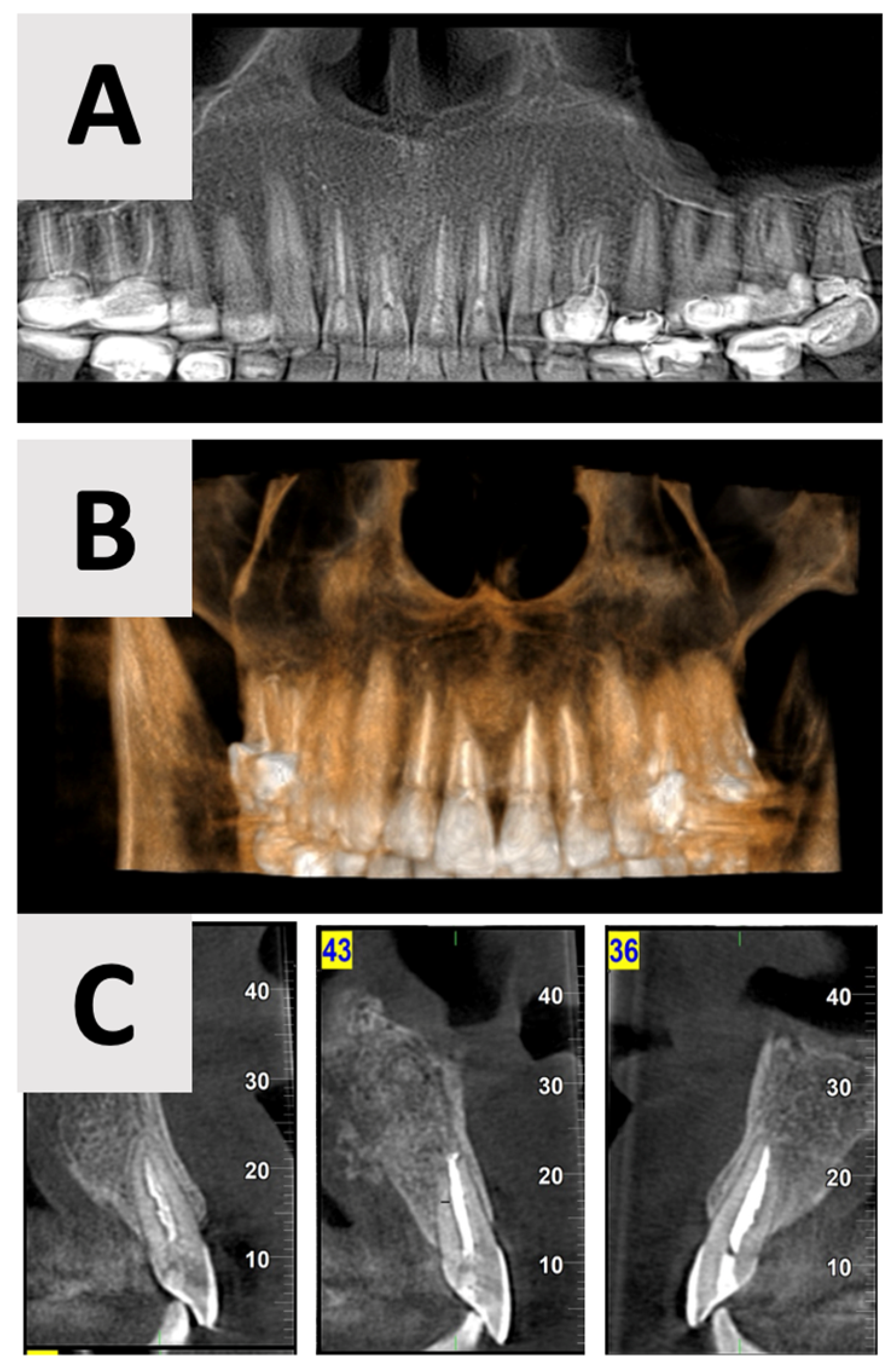
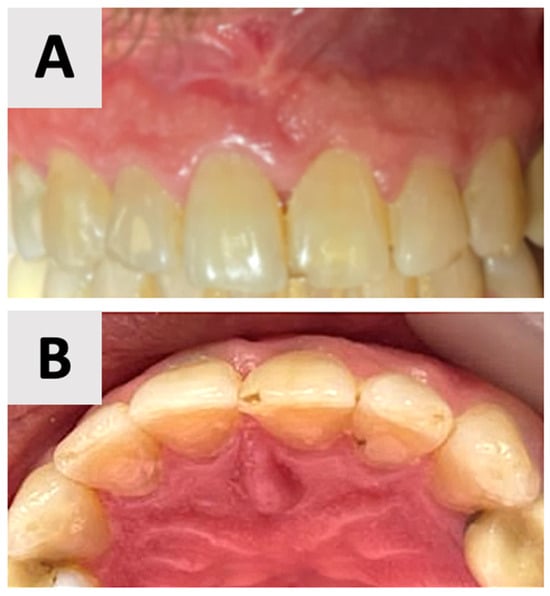
2.5. Bone and Soft Tissue Healing Follow up
3. Discussion
4. Conclusions
Supplementary Materials
Author Contributions
Funding
Institutional Review Board Statement
Informed Consent Statement
Data Availability Statement
Conflicts of Interest
References
- Wang, L.L.; Olmo, H. Odontogenic Cysts. In StatPearls; StatPearls Publishing: Treasure Island, FL, USA, 2025. [Google Scholar]
- Grossmann, S.M.; Machado, V.C.; Xavier, G.M.; Moura, M.D.; Gomez, R.S.; Aguiar, M.C.F.; Mesquita, R.A. Demographic Profile of Odontogenic and Selected Nonodontogenic Cysts in a Brazilian Population. Oral Surg. Oral Med. Oral Pathol. Oral Radiol. Endodontology 2007, 104, 35–41. [Google Scholar] [CrossRef] [PubMed]
- Hill, C.M.; Renton, T. Oral Surgery II: Part 3. Cysts of the Mouth and Jaws and Their Management. Br. Dent. J. 2017, 223, 573–584. [Google Scholar] [CrossRef] [PubMed]
- Speight, P.M. Shear’s Cysts of the Oral and Maxillofacial Regions; Wiley: Hoboken, NJ, USA, 2022; pp. 1–384. [Google Scholar] [CrossRef]
- Schvartzman Cohen, R.; Goldberger, T.; Merzlak, I.; Tsesis, I.; Chaushu, G.; Avishai, G.; Rosen, E. The Development of Large Radicular Cysts in Endodontically Versus Non-Endodontically Treated Maxillary Teeth. Medicina 2021, 57, 991. [Google Scholar] [CrossRef]
- Chen, J.H.; Tseng, C.H.; Wang, W.C.; Chen, C.Y.; Chuang, F.H.; Chen, Y.K. Clinicopathological Analysis of 232 Radicular Cysts of the Jawbone in a Population of Southern Taiwanese Patients. Kaohsiung J. Med. Sci. 2018, 34, 249–254. [Google Scholar] [CrossRef]
- Lustig, J.P.; Schwartz-Arad, D.; Shapira, A. Odontogenic Cysts Related to Pulpotomized Deciduous Molars: Clinical Features and Treatment Outcome. Oral Surg. Oral Med. Oral Pathol. Oral Radiol. Endod. 1999, 87, 499–503. [Google Scholar] [CrossRef]
- Nyimi, B.F.; Zhao, Y.; Liu, B. The Changing Landscape in Treatment of Cystic Lesions of the Jaws. J. Int. Soc. Prev. Community Dent. 2019, 9, 328. [Google Scholar] [CrossRef]
- Al-Qurmoti, S.; Mahyoub, M.A.; Elhoumed, M.; Al-Moraissi, E.A.; Tao, Z.-Y.; Hou, X.; Li, J.; Bi, S.; Wu, H.; Zhang, J.; et al. Volumetric Reduction in Large Cystic Jaw Lesions Postoperative Enucleation: A Longitudinal Clinical Study. BMC Oral Health 2023, 23, 660. [Google Scholar] [CrossRef]
- Kadam, N.S.; de Ataide, I.d.N.; Raghava, P.; Fernandes, M.; Hede, R. Management of Large Radicular Cyst by Conservative Surgical Approach: A Case Report. J. Clin. Diagn. Res. 2014, 8, 239. [Google Scholar] [CrossRef] [PubMed]
- Singh, S.; Kaur, K.; Kochhar, G.K.; Gupta, A. Marsupialisation: A Treatment Modality of a Dentigerous Cyst. BMJ Case Rep. 2014, 2014, bcr2014205150. [Google Scholar] [CrossRef]
- Huseyin, K.; Esin, A.; Aycan, K. Outcome of Dentigerous Cysts Treated with Marsupialization. J. Clin. Pediatr. Dent. 2009, 34, 165–168. [Google Scholar] [CrossRef]
- Kirtaniya, B.C.; Sachdev, V.; Singla, A.; Sharma, A.K. Marsupialization: A Conservative Approach for Treating Dentigerous Cyst in Children in the Mixed Dentition. J. Indian Soc. Pedod. Prev. Dent. 2010, 28, 203–208. [Google Scholar] [CrossRef] [PubMed]
- Mastromihalis, N.; Goldstein, S.; Greenberg, M.; Friedman, S. Applications for Guided Bone Regeneration in Endodontic Surgery. N. Y. State Dent. J. 1999, 65, 30–32. [Google Scholar]
- Elgali, I.; Omar, O.; Dahlin, C.; Thomsen, P. Guided Bone Regeneration: Materials and Biological Mechanisms Revisited. Eur. J. Oral Sci. 2017, 125, 315. [Google Scholar] [CrossRef]
- Lee, S.-W.; Kim, S.-G. Membranes for the Guided Bone Regeneration. Maxillofac. Plast. Reconstr. Surg. 2014, 36, 239. [Google Scholar] [CrossRef]
- Abtahi, S.; Chen, X.; Shahabi, S.; Nasiri, N. Resorbable Membranes for Guided Bone Regeneration: Critical Features, Potentials, and Limitations. ACS Mater. Au 2023, 3, 394. [Google Scholar] [CrossRef] [PubMed]
- Mizraji, G.; Davidzohn, A.; Gursoy, M.; Gursoy, U.; Shapira, L.; Wilensky, A. Membrane Barriers for Guided Bone Regeneration: An Overview of Available Biomaterials. Periodontol. 2000 2023, 93, 56–76. [Google Scholar] [CrossRef]
- Elad, A.; Rider, P.; Rogge, S.; Witte, F.; Tadić, D.; Kačarević, Ž.P.; Steigmann, L. Application of Biodegradable Magnesium Membrane Shield Technique for Immediate Dentoalveolar Bone Regeneration. Biomedicines 2023, 11, 744. [Google Scholar] [CrossRef] [PubMed]
- Blašković, M.; Butorac Prpić, I.; Aslan, S.; Gabrić, D.; Blašković, D.; Cvijanović Peloza, O.; Čandrlić, M.; Perić Kačarević, Ž. Magnesium Membrane Shield Technique for Alveolar Ridge Preservation: Step-by-Step Representative Case Report of Buccal Bone Wall Dehiscence with Clinical and Histological Evaluations. Biomedicines 2024, 12, 2537. [Google Scholar] [CrossRef]
- Elad, A.; Pul, L.; Rider, P.; Rogge, S.; Witte, F.; Tadić, D.; Mijiritsky, E.; Kačarević, Ž.P.; Steigmann, L. Resorbable Magnesium Metal Membrane for Sinus Lift Procedures: A Case Series. BMC Oral. Health 2023, 23, 1006. [Google Scholar] [CrossRef]
- Song, Q.; Yang, L.; Yi, F.; Chen, C.; Guo, J.; Qi, Z.; Song, Y. Antibacterial Pure Magnesium and Magnesium Alloys for Biomedical Materials—A Review. Crystals 2024, 14, 939. [Google Scholar] [CrossRef]
- Riley, D.S.; Barber, M.S.; Kienle, G.S.; Aronson, J.K.; von Schoen-Angerer, T.; Tugwell, P.; Kiene, H.; Helfand, M.; Altman, D.G.; Sox, H.; et al. CARE Guidelines for Case Reports: Explanation and Elaboration Document. J. Clin. Epidemiol. 2017, 89, 218–235. [Google Scholar] [CrossRef]
- Vidal, L.; Kampleitner, C.; Brennan, M.; Hoornaert, A.; Layrolle, P. Reconstruction of Large Skeletal Defects: Current Clinical Therapeutic Strategies and Future Directions Using 3D Printing. Front. Bioeng. Biotechnol. 2020, 8, 512193. [Google Scholar] [CrossRef] [PubMed]
- Kalish, B.T.; Kieran, M.W.; Puder, M.; Panigrahy, D. The Growing Role of Eicosanoids in Tissue Regeneration, Repair, and Wound Healing. Prostaglandins Other Lipid Mediat. 2013, 104–105, 130–138. [Google Scholar] [CrossRef] [PubMed]
- Ren, Y.; Fan, L.; Alkildani, S.; Liu, L.; Emmert, S.; Najman, S.; Rimashevskiy, D.; Schnettler, R.; Jung, O.; Xiong, X.; et al. Barrier Membranes for Guided Bone Regeneration (GBR): A Focus on Recent Advances in Collagen Membranes. Int. J. Mol. Sci. 2022, 23, 14987. [Google Scholar] [CrossRef]
- Liu, L.; Wang, F.; Song, W.; Zhang, D.; Lin, W.; Yin, Q.; Wang, Q.; Li, H.; Yuan, Q.; Zhang, S. Magnesium Promotes Vascularization and Osseointegration in Diabetic States. Int. J. Oral. Sci. 2024, 16, 10. [Google Scholar] [CrossRef] [PubMed]
- Maier, J.A.M.; Bernardini, D.; Rayssiguier, Y.; Mazur, A. High Concentrations of Magnesium Modulate Vascular Endothelial Cell Behaviour in Vitro. Biochim. Biophys. Acta (BBA)—Mol. Basis Dis. 2004, 1689, 6–12. [Google Scholar] [CrossRef]
- Zhou, H.; Liang, B.; Jiang, H.; Deng, Z.; Yu, K. Magnesium-Based Biomaterials as Emerging Agents for Bone Repair and Regeneration: From Mechanism to Application. J. Magnes. Alloys 2021, 9, 779–804. [Google Scholar] [CrossRef]
- He, L.Y.; Zhang, X.M.; Liu, B.; Tian, Y.; Ma, W.H. Effect of Magnesium Ion on Human Osteoblast Activity. Braz. J. Med. Biol. Res. 2016, 49, e5257. [Google Scholar] [CrossRef]
- Choi, S.; Kim, K.J.; Cheon, S.; Kim, E.M.; Kim, Y.A.; Park, C.; Kim, K.K. Biochemical Activity of Magnesium Ions on Human Osteoblast Migration. Biochem. Biophys. Res. Commun. 2020, 531, 588–594. [Google Scholar] [CrossRef]
- Vitale, A.; Battaglia, S.; Crimi, S.; Ricceri, C.; Cervino, G.; Cicciù, M.; De Ponte, F.S.; Leonardi, R.M.; Bianchi, A. Spontaneous Bone Regeneration after Enucleation of Mandibular Cysts: Retrospective Analysis of the Volumetric Increase with a Full-3D Measurement Protocol. Appl. Sci. 2021, 11, 4731. [Google Scholar] [CrossRef]
- La Rosa, G.R.M.; Priolo, C.Y.; Abiad, R.S.; Romeo, V.R.; Ambu, E.; Pedullà, E. Assessment of Bone Regeneration after Maxillary Radicular Cyst Enucleation with or without Bone Grafting Materials: A Retrospective Cohort Study. Clin. Oral. Investig. 2024, 28, 213. [Google Scholar] [CrossRef] [PubMed]
- Buchbender, M.; Koch, B.; Kesting, M.R.; Matta, R.E.; Adler, W.; Seidel, A.; Schmitt, C.M. Retrospective 3D Analysis of Bone Regeneration after Cystectomy of Odontogenic Cysts. J. X-Ray Sci. Technol. 2020, 28, 1141–1155. [Google Scholar] [CrossRef] [PubMed]
- Shi, J.; Zhou, J.; Liu, C.; Liu, Y.; Si, M. Radiographic Bone Volume Alteration after Jaw Cyst Enucleation with or without Simultaneous Bone Grafts: A Prospective Randomized Study. Clin. Implant Dent. Relat. Res. 2022, 24, 468–474. [Google Scholar] [CrossRef]
- Murphy, W.K.; Kaugars, G.E.; Collett, W.K.; Dodds, R.N. Healing of Periapical Radiolucencies after Nonsurgical Endodontic Therapy. Oral Surg. Oral Med. Oral Pathol. 1991, 71, 620–624. [Google Scholar] [CrossRef] [PubMed]
- Talpos-Niculescu, R.M.; Popa, M.; Rusu, L.C.; Pricop, M.O.; Nica, L.M.; Talpos-Niculescu, S. Conservative Approach in the Management of Large Periapical Cyst-Like Lesions. A Report of Two Cases. Medicina 2021, 57, 497. [Google Scholar] [CrossRef]
- di Lauro, A.E.; Valletta, A.; Aliberti, A.; Cangiano, M.; Dolce, P.; Sammartino, G.; Gasparro, R. The Effectiveness of Autologous Platelet Concentrates in the Clinical and Radiographic Healing after Endodontic Surgery: A Systematic Review. Materials 2023, 16, 7187. [Google Scholar] [CrossRef]
- Mireles, J.C.G.; Carrillo, E.K.M.; Barbosa, K.A.; Cortés, E.G.; Ramos, J.G.; Gómez, L.A.G.; González, R.A.B.; Martínez, S.M.L. Microsurgical Management of Radicular Cyst Using Guided Tissue Regeneration Technique: A Case Report. World J. Clin. Cases 2024, 12, 1346. [Google Scholar] [CrossRef]
- Tatullo, M.; Codispoti, B.; Pacifici, A.; Palmieri, F.; Marrelli, M.; Pacifici, L.; Paduano, F. Potential Use of Human Periapical Cyst-Mesenchymal Stem Cells (HPCy-MSCs) as a Novel Stem Cell Source for Regenerative Medicine Applications. Front. Cell Dev. Biol. 2017, 5, 311777. [Google Scholar] [CrossRef]
- Lo Giudice, R.; Nicita, F.; Puleio, F.; Alibrandi, A.; Cervino, G.; Lizio, A.S.; Pantaleo, G. Accuracy of Periapical Radiography and CBCT in Endodontic Evaluation. Int. J. Dent. 2018, 2018, 2514243. [Google Scholar] [CrossRef]
- Husain, A.A.H.; Döbelin, Q.; Giacomelli-Hiestand, B.; Wiedemeier, D.B.; Stadlinger, B.; Valdec, S. Diagnostic Accuracy of Cystic Lesions Using a Pre-Programmed Low-Dose and Standard-Dose Dental Cone-Beam Computed Tomography Protocol: An Ex Vivo Comparison Study. Sensors 2021, 21, 7402. [Google Scholar] [CrossRef]
- Estrela, C.; Bueno, M.R.; De Alencar, A.H.G.; Mattar, R.; Valladares Neto, J.; Azevedo, B.C.; De Araújo Estrela, C.R. Method to Evaluate Inflammatory Root Resorption by Using Cone Beam Computed Tomography. J. Endod. 2009, 35, 1491–1497. [Google Scholar] [CrossRef] [PubMed]
- Jurado Patrón, O.D.; Vargas López, A.; Vega Lizama, E.M.; Alvarado Cárdenas, G.; López Villanueva, M.E.; Ramírez Salomón, M.; Jurado Patrón, O.D.; Vargas López, A.; Vega Lizama, E.M.; Alvarado Cárdenas, G.; et al. Radiographic Characteristics in the Periapical Healing Post Endodontic Treatment in Patients of the Autonomous University of Yucatan, School of Dentistry. Nova Sci. 2018, 10, 379–390. [Google Scholar] [CrossRef][Green Version]
- Karamifar, K.; Tondari, A.; Saghiri, M.A. Endodontic Periapical Lesion: An Overview on the Etiology, Diagnosis and Current Treatment Modalities. Eur. Endod. J. 2020, 5, 54. [Google Scholar] [CrossRef] [PubMed]








Disclaimer/Publisher’s Note: The statements, opinions and data contained in all publications are solely those of the individual author(s) and contributor(s) and not of MDPI and/or the editor(s). MDPI and/or the editor(s) disclaim responsibility for any injury to people or property resulting from any ideas, methods, instructions or products referred to in the content. |
© 2025 by the authors. Licensee MDPI, Basel, Switzerland. This article is an open access article distributed under the terms and conditions of the Creative Commons Attribution (CC BY) license (https://creativecommons.org/licenses/by/4.0/).
Share and Cite
Chaushu, G.; Reiser, V.; Rosenfeld, E.; Masri, D.; Chaushu, L.; Čandrlić, M.; Rider, P.; Perić Kačarević, Ž. Use of a Resorbable Magnesium Membrane for Bone Regeneration After Large Radicular Cyst Removal: A Clinical Case Report. Healthcare 2025, 13, 1068. https://doi.org/10.3390/healthcare13091068
Chaushu G, Reiser V, Rosenfeld E, Masri D, Chaushu L, Čandrlić M, Rider P, Perić Kačarević Ž. Use of a Resorbable Magnesium Membrane for Bone Regeneration After Large Radicular Cyst Removal: A Clinical Case Report. Healthcare. 2025; 13(9):1068. https://doi.org/10.3390/healthcare13091068
Chicago/Turabian StyleChaushu, Gabi, Vadim Reiser, Eli Rosenfeld, Daya Masri, Liat Chaushu, Marija Čandrlić, Patrick Rider, and Željka Perić Kačarević. 2025. "Use of a Resorbable Magnesium Membrane for Bone Regeneration After Large Radicular Cyst Removal: A Clinical Case Report" Healthcare 13, no. 9: 1068. https://doi.org/10.3390/healthcare13091068
APA StyleChaushu, G., Reiser, V., Rosenfeld, E., Masri, D., Chaushu, L., Čandrlić, M., Rider, P., & Perić Kačarević, Ž. (2025). Use of a Resorbable Magnesium Membrane for Bone Regeneration After Large Radicular Cyst Removal: A Clinical Case Report. Healthcare, 13(9), 1068. https://doi.org/10.3390/healthcare13091068

