Patient-Orientated Evaluation of Treatment of Non-Melanoma Skin Cancer with Rhenium-188 Compared to Surgery
Abstract
1. Introduction
2. Materials and Methods
2.1. Study Design and Ethics Approval
2.2. Setting and Participants
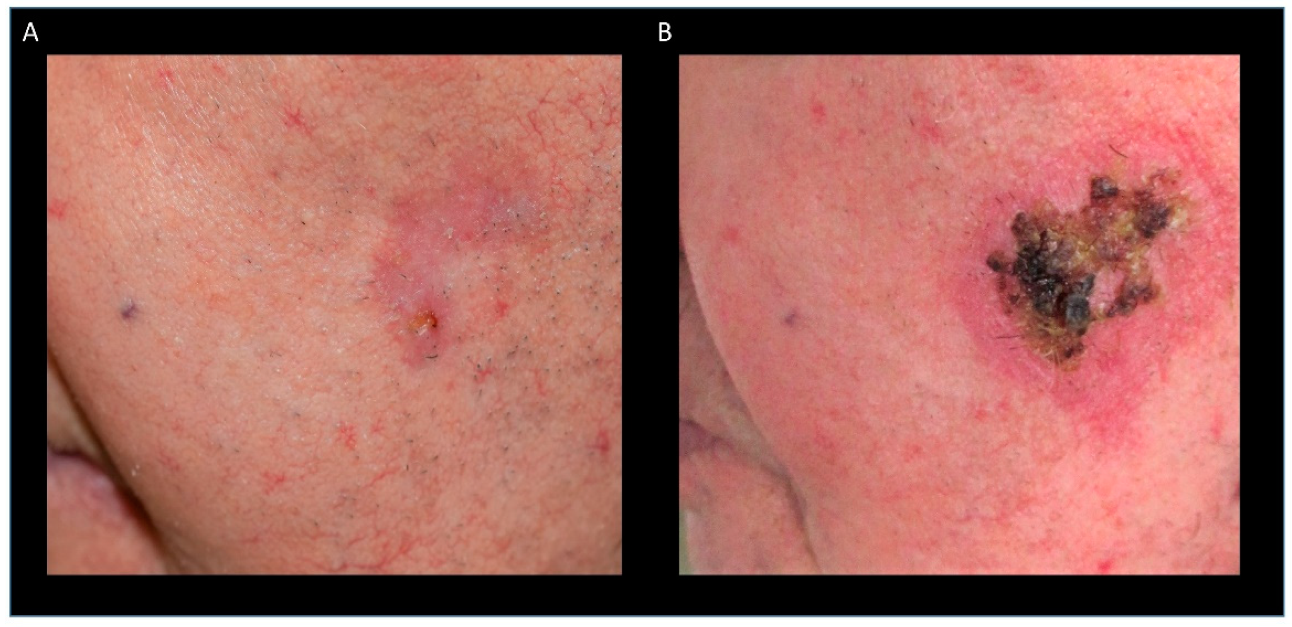
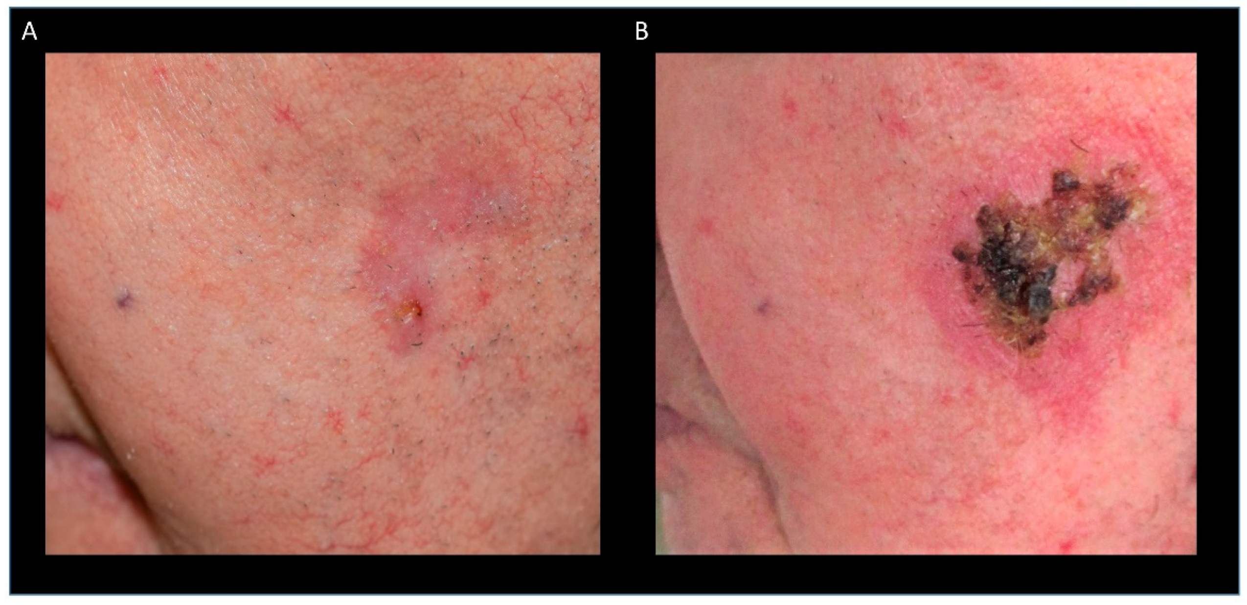
2.3. Therapy Details
2.4. Details of the Questionnaire
2.5. Validation of the Questionnaire
2.6. Data Analysis
3. Results
3.1. Population Characteristics
3.2. Treatment Decision
3.3. Fear of the Procedure
3.4. Reported Adverse Events
3.5. Assessment of Restriction after Therapy
3.6. Evaluation of Aesthetic Outcome
3.7. Treatment of Choice
4. Discussion
5. Conclusions
Supplementary Materials
Author Contributions
Funding
Institutional Review Board Statement
Informed Consent Statement
Data Availability Statement
Acknowledgments
Conflicts of Interest
Abbreviations
References
- Nehal, K.S.; Bichakjian, C.K. Update on Keratinocyte Carcinomas. N. Engl. J. Med. 2018, 379, 363–374. [Google Scholar] [CrossRef] [PubMed]
- Rogers, H.W.; Weinstock, M.A.; Feldman, S.R.; Coldiron, B.M. Incidence Estimate of Nonmelanoma Skin Cancer (Keratinocyte Carcinomas) in the U.S. Population, 2012. JAMA Dermatol. 2015, 151, 1081–1086. [Google Scholar] [CrossRef]
- Leiter, U.; Keim, U.; Eigentler, T.; Katalinic, A.; Holleczek, B.; Martus, P.; Garbe, C. Incidence, Mortality, and Trends of Nonmelanoma Skin Cancer in Germany. J. Investig. Dermatol. 2017, 137, 1860–1867. [Google Scholar] [CrossRef] [PubMed]
- WHO. Radiation: Ultraviolet (UV) Radiation and Skin Cancer. Available online: https://www.who.int/news-room/questions-and-answers/item/radiation-ultraviolet-(uv)-radiation-and-skin-cancer (accessed on 27 April 2023).
- Katalinic, A.; Kunze, U.; Schafer, T. Epidemiology of cutaneous melanoma and non-melanoma skin cancer in Schleswig-Holstein, Germany: Incidence, clinical subtypes, tumour stages and localization (epidemiology of skin cancer). Br. J. Dermatol. 2003, 149, 1200–1206. [Google Scholar] [CrossRef] [PubMed]
- Rudolph, C.; Schnoor, M.; Eisemann, N.; Katalinic, A. Incidence trends of nonmelanoma skin cancer in Germany from 1998 to 2010. J. Dtsch. Dermatol. Ges. 2015, 13, 788–797. [Google Scholar] [CrossRef]
- McCusker, M.; Basset-Seguin, N.; Dummer, R.; Lewis, K.; Schadendorf, D.; Sekulic, A.; Hou, J.; Wang, L.; Yue, H.; Hauschild, A. Metastatic basal cell carcinoma: Prognosis dependent on anatomic site and spread of disease. Eur. J. Cancer 2014, 50, 774–783. [Google Scholar] [CrossRef]
- Cameron, M.C.; Lee, E.; Hibler, B.P.; Barker, C.A.; Mori, S.; Cordova, M.; Nehal, K.S.; Rossi, A.M. Basal cell carcinoma: Epidemiology; pathophysiology; clinical and histological subtypes; and disease associations. J. Am. Acad. Dermatol. 2019, 80, 303–317. [Google Scholar] [CrossRef]
- Burton, K.A.; Ashack, K.A.; Khachemoune, A. Cutaneous Squamous Cell Carcinoma: A Review of High-Risk and Metastatic Disease. Am. J. Clin. Dermatol. 2016, 17, 491–508. [Google Scholar] [CrossRef]
- Kashyap, M.P.; Sinha, R.; Mukhtar, M.S.; Athar, M. Epigenetic regulation in the pathogenesis of non-melanoma skin cancer. Semin. Cancer Biol. 2022, 83, 36–56. [Google Scholar] [CrossRef]
- Cives, M.; Mannavola, F.; Lospalluti, L.; Sergi, M.C.; Cazzato, G.; Filoni, E.; Cavallo, F.; Giudice, G.; Stucci, L.S.; Porta, C.; et al. Non-Melanoma Skin Cancers: Biological and Clinical Features. Int. J. Mol. Sci. 2020, 21, 5394. [Google Scholar] [CrossRef]
- Kauvar, A.N.; Arpey, C.J.; Hruza, G.; Olbricht, S.M.; Bennett, R.; Mahmoud, B.H. Consensus for Nonmelanoma Skin Cancer Treatment, Part II: Squamous Cell Carcinoma, Including a Cost Analysis of Treatment Methods. Dermatol. Surg. 2015, 41, 1214–1240. [Google Scholar] [CrossRef]
- van Loo, E.; Mosterd, K.; Krekels, G.A.; Roozeboom, M.H.; Ostertag, J.U.; Dirksen, C.D.; Steijlen, P.M.; Neumann, H.M.; Nelemans, P.J.; Kelleners-Smeets, N.W. Surgical excision versus Mohs’ micrographic surgery for basal cell carcinoma of the face: A randomised clinical trial with 10 year follow-up. Eur. J. Cancer 2014, 50, 3011–3020. [Google Scholar] [CrossRef]
- Dirr, M.A.; Christensen, R.E.; Anvery, N.; Nadir, U.; Schaeffer, M.; Veledar, E.; Minkis, K.; Nodzenski, M.; Whittington, A.; Brieva, J.C.; et al. Pain of local anesthetic injection of lidocaine during subsequent stages of Mohs micrographic surgery: A multicenter prospective cohort study. J. Am. Acad. Dermatol. 2023, 89, 114–118. [Google Scholar] [CrossRef]
- Alam, M.; Goldberg, L.H.; Silapunt, S.; Gardner, E.S.; Strom, S.S.; Rademaker, A.W.; Margolis, D.J. Delayed treatment and continued growth of nonmelanoma skin cancer. J. Am. Acad. Dermatol. 2011, 64, 839–848. [Google Scholar] [CrossRef]
- Lee, E.B.; Ford, A.; Clarey, D.; Wysong, A.; Sutton, A.V. Patient Outcomes and Satisfaction after Mohs Micrographic Surgery in Patients with Nonmelanoma Skin Cancer. Dermatol. Surg. 2021, 47, 1190–1194. [Google Scholar] [CrossRef]
- Nierich, J.; Corten, E.M.L.; de Jong, T.; Mureau, M.A.M. Long-Term Patient-Reported Outcomes following Oncological Facial Reconstructive Surgery using the FACE-Q Skin Cancer Module. JPRAS Open 2024, 39, 262–270. [Google Scholar] [CrossRef]
- Drucker, A.M.; Adam, G.P.; Rofeberg, V.; Gazula, A.; Smith, B.; Moustafa, F.; Weinstock, M.A.; Trikalinos, T.A. Treatments of Primary Basal Cell Carcinoma of the Skin: A Systematic Review and Network Meta-analysis. Ann. Intern. Med. 2018, 169, 456–466. [Google Scholar] [CrossRef]
- Stratigos, A.; Garbe, C.; Lebbe, C.; Malvehy, J.; del Marmol, V.; Pehamberger, H.; Peris, K.; Becker, J.C.; Zalaudek, I.; Saiag, P.; et al. Diagnosis and treatment of invasive squamous cell carcinoma of the skin: European consensus-based interdisciplinary guideline. Eur. J. Cancer 2015, 51, 1989–2007. [Google Scholar] [CrossRef]
- Tietze, J.K.; Heuschkel, M.; Kronert, M.I.C.; Kurth, J.; Bandow, G.; Ojak, G.; Grünwald, P.; Herold, J.I.; Thiem, A.; Dreßler, M.; et al. Topical 188Re Ionizing Radiation Therapy Exerts High Efficacy in Curing Nonmelanoma Skin Cancer. Clin. Nucl. Med. 2023, 48, 869–876. [Google Scholar] [CrossRef]
- Carrozzo, A.M.; Sedda, A.F.; Muscardin, L.; Donati, P.; Cipriani, C. Dermo beta brachytherapy with 188-Re in squamous cell carcinoma of the penis: A new therapy. Eur. J. Dermatol. 2013, 23, 183–188. [Google Scholar] [CrossRef]
- Castellucci, P.; Savoia, F.; Farina, A.; Lima, G.M.; Patrizi, A.; Baraldi, C.; Zagni, F.; Vichi, S.; Pettinato, C.; Morganti, A.G.; et al. High dose brachytherapy with non sealed (188)Re (rhenium) resin in patients with non-melanoma skin cancers (NMSCs): Single center preliminary results. Eur. J. Nucl. Med. Mol. Imaging 2021, 48, 1511–1521. [Google Scholar] [CrossRef]
- Cipriani, C.; Desantis, M.; Dahlhoff, G.; Brown, S.D., 3rd; Wendler, T.; Olmeda, M.; Pietsch, G.; Eberlein, B. Personalized irradiation therapy for NMSC by rhenium-188 skin cancer therapy: A long-term retrospective study. J. Dermatol. Treat. 2022, 33, 969–975. [Google Scholar] [CrossRef]
- Fahradyan, A.; Howell, A.C.; Wolfswinkel, E.M.; Tsuha, M.; Sheth, P.; Wong, A.K. Updates on the Management of Non-Melanoma Skin Cancer (NMSC). Healthcare 2017, 5, 82. [Google Scholar] [CrossRef]
- Firoz, B.F.; Goldberg, L.H.; Arnon, O.; Mamelak, A.J. An analysis of pain and analgesia after Mohs micrographic surgery. J. Am. Acad. Dermatol. 2010, 63, 79–86. [Google Scholar] [CrossRef]
- Kokoska, R.E.; Szeto, M.D.; Steadman, L.; Au, J.H.; Somani, A.K. Analysis of Factors Contributing to Perioperative Mohs Micrographic Surgery Anxiety: Patient Survey Study at an Academic Center. Dermatol. Surg. 2022, 48, 1279–1282. [Google Scholar] [CrossRef]
- Coady-Fariborzian, L.; Anstead, C.; Anna Paul, S. Surgical Treatment of Nonmelanoma Skin Cancer in Older Adult Veterans. Fed. Pract. 2022, 39, S45–S49. [Google Scholar] [CrossRef]
- Albert, A.; Knoll, M.A.; Conti, J.A.; Zbar, R.I.S. Non-Melanoma Skin Cancers in the Older Patient. Curr. Oncol. Rep. 2019, 21, 79. [Google Scholar] [CrossRef]







| patient data | number of patients | 22 |
| sex | f: 60% m: 40% | |
| skin type | Caucasian | |
| age | 39–90 median: 83 | |
| specific tumor data | number of lesions | 38 |
| size cm2 | 0.09–9.28 median: 1.4 | |
| Kind of NMSC | ||
| Bowen’s disease | 18.4% | |
| BCC | 65.8% | |
| cSCC | 15.8% | |
| localization | ||
| face | 29% | |
| ear | 5% | |
| head without face | 29% | |
| trunk | 26% | |
| lower extremity | 11% |
| Age | Gender | Kind of Tumor Treated with RSCT | Localization Lesion RSCT | Kind of Tumor Treated with Surgery | Localization Lesions Surgery |
|---|---|---|---|---|---|
| 88 | female | SCC | face | BCC | face |
| 74 | female | BCC | trunk | Bowens disease | face |
| 80 | female | Bowen’s disease | lower leg | BCC | trunk |
| 87 | female | BCC | lower leg | SCC | trunk |
| 85 | female | SCC | face | BCC | face |
| 54 | male | BCC | head | ||
| 55 | male | BCC | head | ||
| 90 | male | Bowen’s disease | head | BCC | face |
| 89 | female | BCC | face | BCC | trunk |
| 88 | male | Bowen’s disease | face | SCC | face |
| 55 | female | BCC | trunk | BCC | trunk |
| 86 | male | BCC | trunk | BCC | trunk |
| 60 | female | BCC | face | ||
| 59 | female | BCC | face | ||
| 87 | female | Bowen’s disease | head | BCC | head |
| 89 | male | Bowen’s disease | head | ||
| 80 | male | BCC | head | ||
| 74 | male | BCC | trunk | BCC | trunk |
| 80 | male | SCC | ear | SCC | ear |
| 82 | male | BCC | lower leg | Bowen’s disease | lower leg |
| 89 | female | BCC | head | BCC | head |
| 84 | male | BCC | head | BCC | head |
Disclaimer/Publisher’s Note: The statements, opinions and data contained in all publications are solely those of the individual author(s) and contributor(s) and not of MDPI and/or the editor(s). MDPI and/or the editor(s) disclaim responsibility for any injury to people or property resulting from any ideas, methods, instructions or products referred to in the content. |
© 2024 by the authors. Licensee MDPI, Basel, Switzerland. This article is an open access article distributed under the terms and conditions of the Creative Commons Attribution (CC BY) license (https://creativecommons.org/licenses/by/4.0/).
Share and Cite
Krönert, M.I.C.; Schwarzenböck, S.M.; Kurth, J.; Heuschkel, M.; Krause, B.J.; Emmert, S.; Tietze, J.K. Patient-Orientated Evaluation of Treatment of Non-Melanoma Skin Cancer with Rhenium-188 Compared to Surgery. Healthcare 2024, 12, 921. https://doi.org/10.3390/healthcare12090921
Krönert MIC, Schwarzenböck SM, Kurth J, Heuschkel M, Krause BJ, Emmert S, Tietze JK. Patient-Orientated Evaluation of Treatment of Non-Melanoma Skin Cancer with Rhenium-188 Compared to Surgery. Healthcare. 2024; 12(9):921. https://doi.org/10.3390/healthcare12090921
Chicago/Turabian StyleKrönert, Maila I. C., Sarah M. Schwarzenböck, Jens Kurth, Martin Heuschkel, Bernd J. Krause, Steffen Emmert, and Julia K. Tietze. 2024. "Patient-Orientated Evaluation of Treatment of Non-Melanoma Skin Cancer with Rhenium-188 Compared to Surgery" Healthcare 12, no. 9: 921. https://doi.org/10.3390/healthcare12090921
APA StyleKrönert, M. I. C., Schwarzenböck, S. M., Kurth, J., Heuschkel, M., Krause, B. J., Emmert, S., & Tietze, J. K. (2024). Patient-Orientated Evaluation of Treatment of Non-Melanoma Skin Cancer with Rhenium-188 Compared to Surgery. Healthcare, 12(9), 921. https://doi.org/10.3390/healthcare12090921

