Experimental Analysis of a Failed Gamma Nail: A Case Report and Literature Review
Abstract
1. Introduction
2. The Gamma Nail
3. Trochanteric Fractures
| Type 1 Fracture | Type 2 Fracture | |
|---|---|---|
| Group 1 | Undisplaced, stable fractures | Reverse oblique, unstable fractures |
| Group 2 | Displaced, but with stable medial cortical apposition | |
| Group 3 | Displaced, unstable fractures with no medial apposition |
- 31A3.1—simple oblique fracture;
- 31A3.3—simple transverse fracture;
- 31A3.3—wedge of multifragmentary fracture, and this is the most common type [25].
| Type A Fractures | ||
|---|---|---|
| A1—fractures (simple pertrochanteric fracture) | A2 fractures | A3 (intertrochanteric or reverse oblique fracture) |
| Comminuted fractures, incompetence of the lateral wall | Comminuted fractures, incompetence of the lateral wall | A3.1—simple oblique fracture |
| A1.2—two-part fracture | A3.2—simple transverse fracture | |
| A1.3—lateral wall intact | A3.3—wedge fracture or multifragmentary | |
Gamma Nails Failure
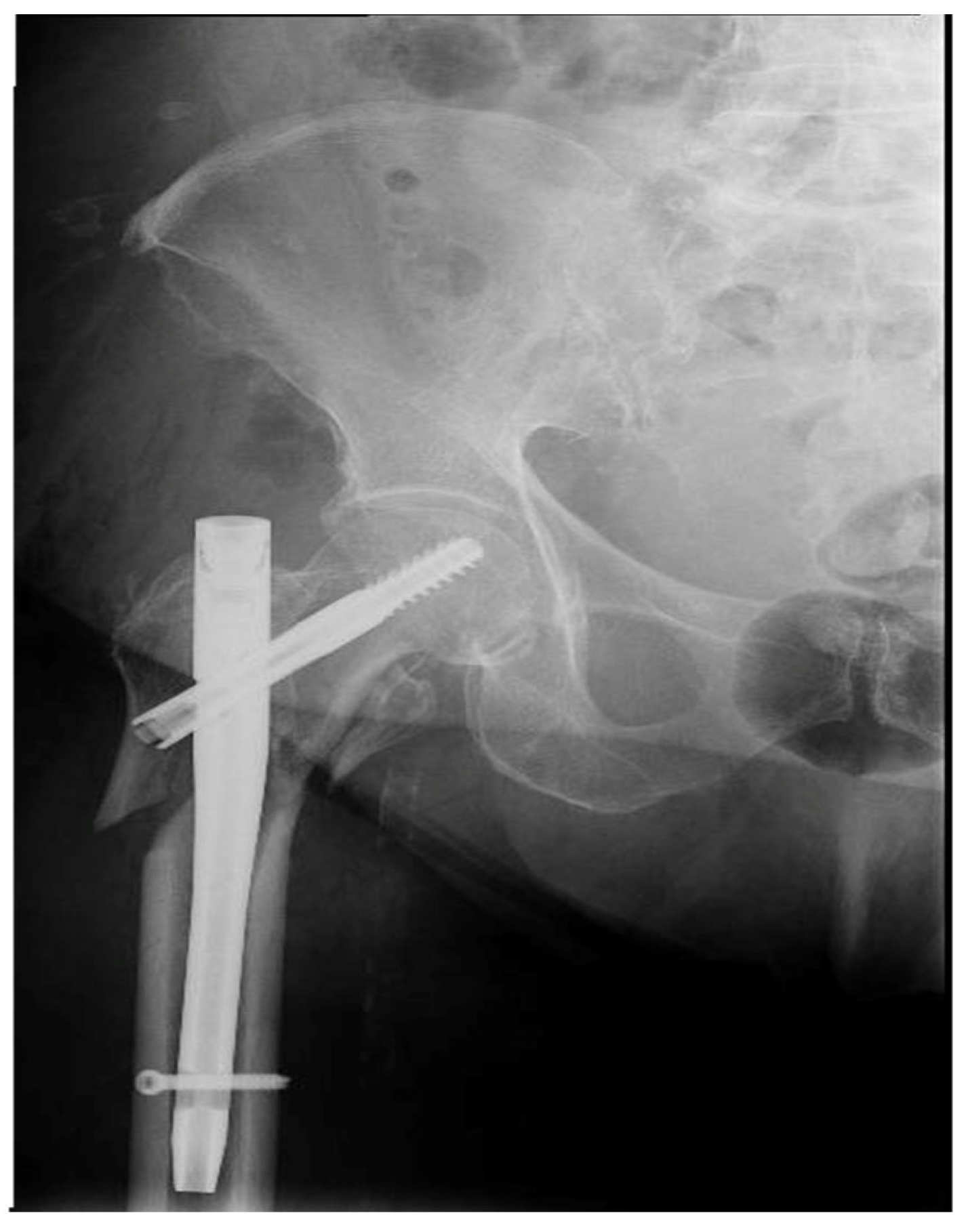
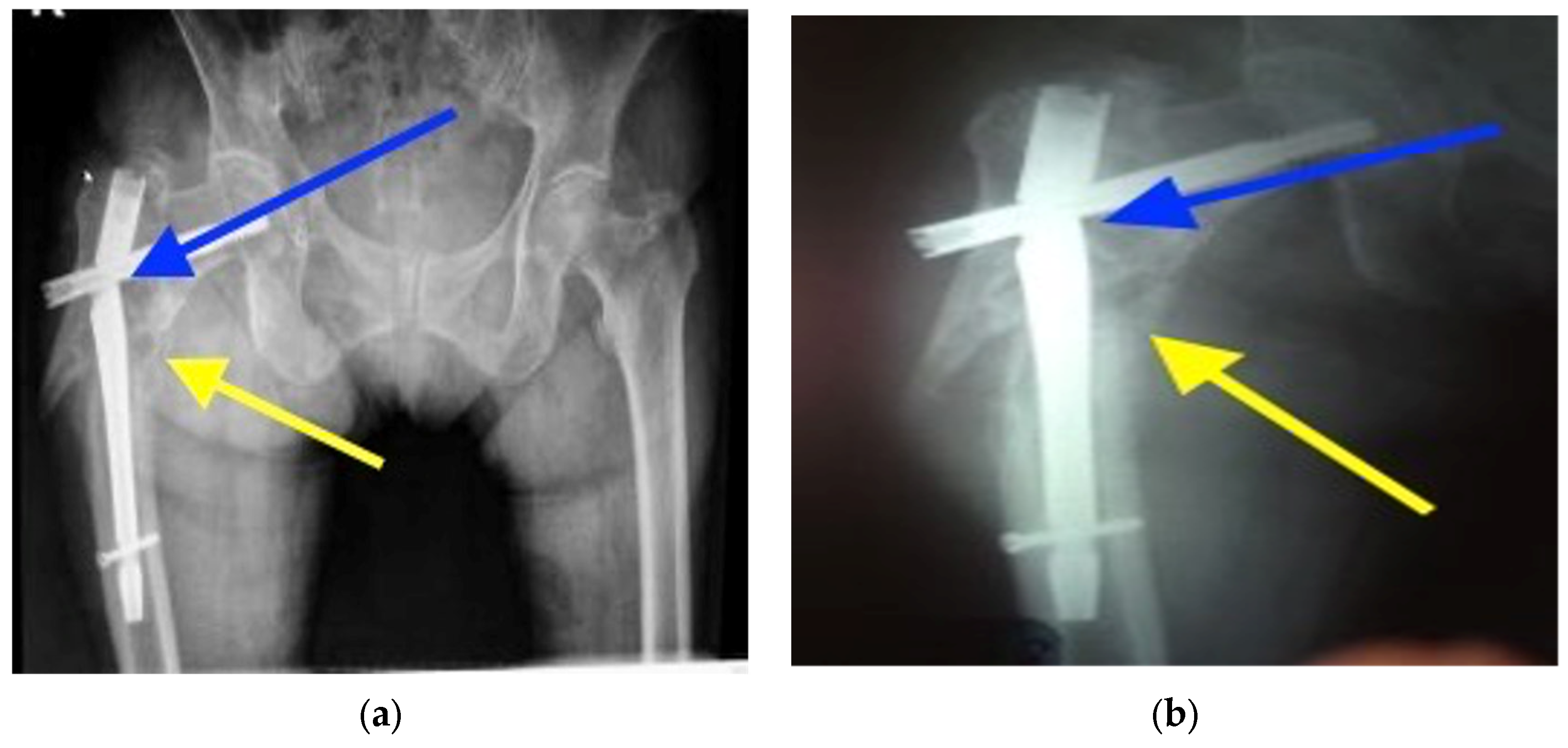
4. Case Report
4.1. Clinical Case History of the Failed Gamma Nail
4.2. Materials and Method Used for the Analysis of the Failed Gamma Nail
4.3. Experimental Results Obtained by Microscopical Techniques Regarding the Analysis of the Failed Gamma Nail
4.3.1. Stereomicroscopic Analysis (Figure 6a–d)

4.3.2. Optical Microscopy Analysis
4.3.3. Scanning Electron Microscopy Analysis
5. Conclusions
Author Contributions
Funding
Institutional Review Board Statement
Informed Consent Statement
Data Availability Statement
Acknowledgments
Conflicts of Interest
References
- Williams, B.M.; Kayange, L.; Purcell, L.; Charles, A.; Gallaher, J. Elderly trauma mortality in a resource-limited setting: A benchmark for process improvement. Injury 2021, 52, 2651–2656. [Google Scholar] [CrossRef] [PubMed] [PubMed Central]
- Walter, N.; Szymski, D.; Kurtz, S.M.; Lowenberg, D.W.; Alt, V.; Lau, E.C.; Rupp, M. Epidemiology and treatment of proximal femoral fractures in the elderly U.S. population. Sci. Rep. 2023, 13, 12734. [Google Scholar] [CrossRef] [PubMed] [PubMed Central]
- Adam, P. Treatment of recent trochanteric fracture in adults. Orthop. Traumatol. Surg. Res. 2014, 100, S75–S83. [Google Scholar] [CrossRef] [PubMed]
- Mattisson, L.; Bojan, A.; Enocson, A. Epidemiology, treatment and mortality of trochanteric and subtrochanteric hip fractures: Data from the Swedish fracture register. BMC Musculoskelet. Disord. 2018, 19, 369. [Google Scholar] [CrossRef] [PubMed] [PubMed Central]
- Iwakura, T.; Niikura, T.; Lee, S.Y.; Sakai, Y.; Nishida, K.; Kuroda, R.; Kurosaka, M. Breakage of a third generation gamma nail: A case report and review of the literature. Case Rep. Orthop. 2013, 2013, 172352. [Google Scholar] [CrossRef] [PubMed] [PubMed Central]
- Lana, D.; Mobilia, G.; Ortolani, A.; Stallone, S.; Comitini, S.; Tigani, D. Positioning a navigation guided cephalic screw standard gamma 3 nail in intertrochanteric fractures: Preliminary experience. Lo Scalpello-J. 2021, 35, 151–156. [Google Scholar] [CrossRef]
- Bojan, A.J.; Beimel, C.; Speitling, A. 3066 consecutive Gamma Nails. 12 years experience at a single centre. BMC Musculoskelet. Disord. 2010, 11, 133. [Google Scholar] [CrossRef] [PubMed]
- Feger, J.; Sharma, R.; Campos, A. Gamma Nail. Available online: https://radiopaedia.org/ (accessed on 19 May 2024).
- Dragulescu, D.; Demian, C.; Rusu, L.; Rǎduţǎ, A.; Pepescu, M.; Cucuruz, L.R.; Prejbeanu, R.; Simiti, I.V. Properties and Behaviour of an Orthopedic Implant. Mater. Pruefung/Mater. Test. 2008, 50, 250–255. [Google Scholar] [CrossRef]
- Liu, M.; Yang, Z.; Pei, F.; Huang, F.; Chen, S.; Xiang, Z. A meta-analysis of the Gamma nail and dynamic hip screw in treating peritrochanteric fractures. Int. Orthop. 2010, 34, 323–328. [Google Scholar] [CrossRef] [PubMed] [PubMed Central]
- Kempf, I.; Grosse, A.; Taglang, G.; Favreul, E. Gamma nail in the treatment of closed trochanteric fractures. Results and indications of 121 cases. Orthop. Traumatol. Surg. Res. 2014, 100, 75–83. [Google Scholar] [CrossRef]
- Najibi, S.; Mark, L.; Fehnel, D. Mechanical failure of the long gamma nail in two proximal femur fractures. Iowa Orthop J. 2010, 30, 205–210. [Google Scholar] [PubMed] [PubMed Central]
- Boriani, S.; Bettelli, G. The Gamma nail. A preliminary note. Chir. Organi Mov. 1990, 75, 67–70. [Google Scholar] [PubMed]
- Fan, J.; Xu, X.; Zhou, F.; Zhang, Z.; Tian, Y.; Ji, H.; Guo, Y.; Lv, Y.; Yang, Z.; Hou, G. Risk factors for implant failure of intertrochanteric fractures with lateral femoral wall fracture after intramedullary nail fixation. Injury 2021, 52, 3397–3403. [Google Scholar] [CrossRef] [PubMed]
- Schell, H.; Duda, G.N.; Peters, A.; Tsitsilonis, S.; Johnson, K.A.; Schmidt-Bleek, K. The haematoma and its role in bone healing. J. Exp. Orthop. 2017, 4, 5. [Google Scholar] [CrossRef] [PubMed] [PubMed Central]
- Kasimatis, G.B.; Lambiris, E.; Tyllianakis, M.; Giannikas, D.; Mouzakis, D.; Panagiotopoulos, E. Gamma Nail Breakage: A Report of Four Cases. J. Orthop. Surg. 2008, 15, 368–372. [Google Scholar] [CrossRef] [PubMed]
- Han, L.; Liu, J.-J.; Hu, Y.-G.; Quan, R.-F.; Fang, W.-L.; Jin, B.; Lin, W.-L. Controlled study on Gamma nail and proximal femoral locking plate for unstable intertrochanteric femoral fractures with broken lateral wall. Sci. Rep. 2018, 8, 11114. [Google Scholar] [CrossRef] [PubMed]
- Shetty, A.; Lustosa, L.; Weerakkody, Y. Trochanteric Fracture. Available online: https://radiopaedia.org/articles/trochanteric-fracture?lang=us (accessed on 19 May 2024).
- Attum, B.; Pilson, H. Intertrochanteric Femur Fracture. In StatPearls; Updated 8 August 2023; StatPearls Publishing: Treasure Island, FL, USA, 2024. Available online: https://www.ncbi.nlm.nih.gov/books/NBK493161/ (accessed on 20 May 2024).
- Papachristos, I.V.; Giannoudis, P.V. Overview of classification and surgical management of hip fractures. Orthop. Trauma 2020, 34, 56–63. [Google Scholar] [CrossRef]
- Yildirim, C.; Muratoğlu, O.G.; Turan, K.; Ergün, T.; Misir, A.; Aydin, M. The intra- and interobserver reliability of five commonly used intertrochanteric femur fracture classification systems. Jt. Dis. Relat. Surg. 2022, 33, 187–192. [Google Scholar] [CrossRef] [PubMed] [PubMed Central]
- Pervez, H.; Parker, M.J.; Pryor, G.A.; Lutchman, L.; Chirodian, N. Classification of trochanteric fracture of the proximal femur: A study of the reliability of current systems. Injury 2002, 33, 713–715. [Google Scholar] [CrossRef] [PubMed]
- Klaber, I.; Besa, P.; Sandoval, F.; Lobos, D.; Zamora, T.; Schweitzer, D.; Urrutia, J. The new AO classification system for intertrochanteric fractures allows better agreement than the original AO classification. An inter- and intra-observer agreement evaluation. Injury 2021, 52, 102–105. [Google Scholar] [CrossRef]
- Mokawem, M.; Bobak, P.; Aderinto, J. The management of pertrochanteric fractures of the hip. Orthop. Trauma 2012, 26, 112–123. [Google Scholar] [CrossRef]
- Available online: https://surgeryreference.aofoundation.org/orthopedic-trauma/adult-trauma/proximal-femur/trochanteric-fracture-intertrochanteric/definition#further-characteristics (accessed on 20 May 2024).
- Feger, J. AO/OTA Classification of Proximal Femoral Fractures. Available online: https://radiopaedia.org/articles/aoota-classification-of-proximal-femoral-fractures?lang=us (accessed on 19 May 2024).
- Feger, J.; Skalski, M. Hardware Failure. Available online: https://radiopaedia.org/articles/hardware-failure-2?lang=us (accessed on 20 May 2024).
- Peivandi, M.T.; Yusof-Sani, M.R.; Amel-Farzad, H. Exploring the reasons for orthopedic implant failure in traumatic fractures of the lower limb. Arch. Iran. Med. 2013, 16, 478–482. [Google Scholar] [PubMed]
- Cyteval, C.; Bourdon, A. Imaging orthopedic implant infections. Diagn. Interv. Imaging 2012, 93, 547–557. [Google Scholar] [CrossRef]
- Ribeiro, M.; Monteiro, F.J.; Ferraz, M.P. Infection of orthopedic implants with emphasis on bacterial adhesion process and techniques used in studying bacterial-material interactions. Biomatter 2012, 2, 176–194. [Google Scholar] [CrossRef] [PubMed] [PubMed Central]
- Inam, S.M. An Audit of Implant Failure in Orthopedic Surgery. J. Pak. Orthop. Assoc. 2014, 26, 5–9. [Google Scholar]
- Wawrzynski, J.; Gil, J.A.; Goodman, A.D.; Waryasz, G.R. Hypersensitivity to Orthopedic Implants: A Review of the Literature. Rheumatol Ther. 2017, 4, 45–56. [Google Scholar] [CrossRef] [PubMed] [PubMed Central]
- Wee, J.L.H.; Sathappan, S.S.; Yeo, M.S.W.; Low, Y.P. Management of gamma nail breakage with bipolar hemi-arthroplasty. Singap. Med. J. 2009, 50, e44–e47. [Google Scholar]
- Álvarez, D.B.; Aparicio, J.P.; Fernandez, E.L.A.; Mugica, I.G.B.; Batalla, D.N.; Jiménez, J.P. Implant breakage, a rare complication with the Gamma nail A review of 843 fractures of the proximal femur treated with a Gamma nail. Acta Orthop. Belg. 2004, 70, 435–443. [Google Scholar]
- Docquier, P.L.; Manche, E.; Autrique, J.C.; Geulette, B. Complications Associated With Gamma Nailing a Review of 439 Cases. Acta Orthop. Belg. 2002, 68, 251–257. [Google Scholar]
- Hao, Y.; Zhang, Z.; Zhou, F.; Ji, H.; Tian, Y.; Guo, Y.; Lv, Y.; Yang, Z.; Hou, G. Risk factors for implant failure in reverse oblique and transverse intertrochanteric fractures treated with proximal femoral nail antirotation (PFNA). J. Orthop. Surg. Res. 2019, 14, 350. [Google Scholar] [CrossRef]
- Kreindler, R.J. The Stereo Microscope, Part 1: Introduction and Background, 3rd ed.; Micscape: Oxfordshire, UK, 2012. [Google Scholar]
- Okazaki, Y.; Gotoh, E.; Mori, J. Strength⁻Durability Correlation of Osteosynthesis Devices Made by 3D Layer Manufacturing. Materials 2019, 12, 436. [Google Scholar] [CrossRef] [PubMed] [PubMed Central]
- Abd-Elaziem, W.; Darwish, M.A.; Hamada, A.; Daoush, W.M. Titanium-Based alloys and composites for orthopedic implants Applications: A comprehensive review. Mater. Des. 2024, 241, 112850. [Google Scholar] [CrossRef]
- Dichio, G.; Calì, M.; Terzini, M.; Putame, G.; Zanetti, E.M.; Costa, P.; Audenino, A.L. Engineering and Manufacturing of a Dynamizable Fracture Fixation Device System. Appl. Sci. 2020, 10, 6844. [Google Scholar] [CrossRef]
- Pascoletti, G.; Cianetti, F.; Putame, G.; Terzini, M.; Zanetti, E.M. Numerical Simulation of an Intramedullary Elastic Nail: Expansion Phase and Load-Bearing Behavior. Front. Bioeng. Biotechnol. 2018, 6, 174. [Google Scholar] [CrossRef] [PubMed] [PubMed Central]
- Mori, Y.; Kamimura, M.; Ito, K.; Koguchi, M.; Tanaka, H.; Kurishima, H.; Koyama, T.; Mori, N.; Masahashi, N.; Aizawa, T. A Review of the Impacts of Implant Stiffness on Fracture Healing. Appl. Sci. 2024, 14, 2259. [Google Scholar] [CrossRef]
- Moore, P.; Booth, G. Failure modes and analysis in metals. In The Welding Engineer’s Guide to Fracture and Fatigue; Woodhead Publishing: Cambridge, UK, 2015; pp. 95–110. [Google Scholar] [CrossRef]
- Eberle, S.; Bauer, C.; Gerber, C.; Von Oldenburg, G.; Augat, P. The stability of a hip fracture determines the fatigue of an intramedullary nail. Proc. Inst. Mech. Eng. Part H J. Eng. Med. 2009, 224, 577–584. [Google Scholar] [CrossRef]










| Method | Estimated Results |
|---|---|
| Patient medical data | Patient clinic examination, history, and bone structure information. |
| Radiologic images study | Visualization of the bone and implant. |
| EDS microscopy | Determination of the chemical composition and of the metallic material. |
| Macroscopic analyses by macrophotography and stereomicroscopy | Identification of the failure mechanism. Implant surface failure observation. |
| Optical microscopy | Identification of microstructural characteristics of the alloys and of the potential structural defects. |
| Scanning electron microscopy | Identification of the failure mechanisms of the implant. Surface failure observation and considerations about the type of failure. Identification of eventual structural defects in the failure area. |
| Inclusion Parameters | |
|---|---|
| Heating time = 8 min | Temperature = 180 °C (350 °F) |
| Cooling time = 13 min | Phenolic resin |
| Pressure = 4 atm | Shell size = 40 mm |
| Polishing 1 | Polishing 2 | Polishing 3 | Polishing 4 | Polishing 5 | Polishing 6 | |
|---|---|---|---|---|---|---|
| Time [min] | 3 | 3 | 3 | 3 | 3 | 3 |
| The force of application [Lb/N] | 6 | 6 | 6 | 6 | 6 | 6 |
| P [particles/inch] of the Carbi Met paper | 400 | 600 | 800 | 1000 | 1200 | 2500 |
| Smoothing 1 | Smoothing 2 | Smoothing 3 | |
|---|---|---|---|
| Time [min] | 10 | 10 | 10 |
| Application force [LB/N] | 6 | 6 | 6 |
| Material | Tex Met Felt | Tex Met Felt | Tex Met Felt |
| Smoothing agent | Topol 1* | Topol 2** | Topol 3*** |
Disclaimer/Publisher’s Note: The statements, opinions and data contained in all publications are solely those of the individual author(s) and contributor(s) and not of MDPI and/or the editor(s). MDPI and/or the editor(s) disclaim responsibility for any injury to people or property resulting from any ideas, methods, instructions or products referred to in the content. |
© 2024 by the authors. Licensee MDPI, Basel, Switzerland. This article is an open access article distributed under the terms and conditions of the Creative Commons Attribution (CC BY) license (https://creativecommons.org/licenses/by/4.0/).
Share and Cite
Cordunianu, M.A.; Vulcu Cordunianu, A.G.; Antoniac, I.; Luca, A.; Niculescu, M.; Chiriac, C.O.; Corneschi, I.; Mohor, C.I. Experimental Analysis of a Failed Gamma Nail: A Case Report and Literature Review. Healthcare 2024, 12, 1578. https://doi.org/10.3390/healthcare12161578
Cordunianu MA, Vulcu Cordunianu AG, Antoniac I, Luca A, Niculescu M, Chiriac CO, Corneschi I, Mohor CI. Experimental Analysis of a Failed Gamma Nail: A Case Report and Literature Review. Healthcare. 2024; 12(16):1578. https://doi.org/10.3390/healthcare12161578
Chicago/Turabian StyleCordunianu, Mihai Alexandru, Alina Georgiana Vulcu Cordunianu, Iulian Antoniac, Andrei Luca, Marius Niculescu, Cristian Ovidiu Chiriac, Iuliana Corneschi, and Cosmin Ioan Mohor. 2024. "Experimental Analysis of a Failed Gamma Nail: A Case Report and Literature Review" Healthcare 12, no. 16: 1578. https://doi.org/10.3390/healthcare12161578
APA StyleCordunianu, M. A., Vulcu Cordunianu, A. G., Antoniac, I., Luca, A., Niculescu, M., Chiriac, C. O., Corneschi, I., & Mohor, C. I. (2024). Experimental Analysis of a Failed Gamma Nail: A Case Report and Literature Review. Healthcare, 12(16), 1578. https://doi.org/10.3390/healthcare12161578

