Prenatal Detection and Conservative Management of Uterine Scar Dehiscence in Patient with Previous Uterine Rupture and Multiple Surgeries—A Case Report
Abstract
1. Introduction
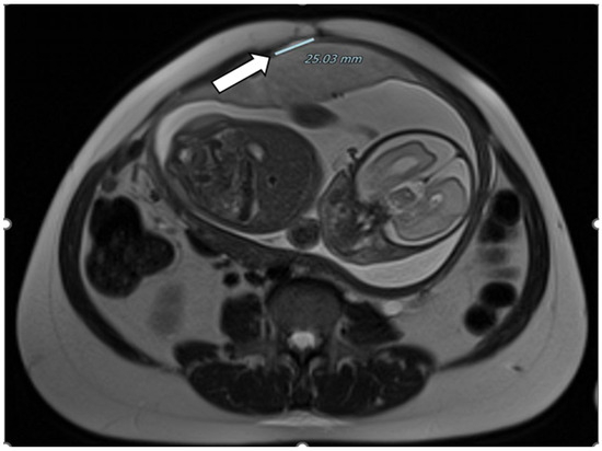
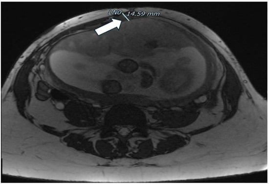
2. Case Report
3. Discussion
4. Conclusions
Author Contributions
Funding
Institutional Review Board Statement
Informed Consent Statement
Data Availability Statement
Conflicts of Interest
References
- Temesgen, T.; Abdulaziz, N.; Rut, O.; Mesfin, A.; Jafar, M. Spontaneous Caesarean Scar Dehiscence During Pregnancy: A Case Report and Review of the Literature. SAGE Open Med. Case Rep. 2023, 11, 2050313X231153520. [Google Scholar]
- Vasilios, T.; Zara, A.T. Uterine scar rupture—Prediction, prevention, diagnosis and management. Best Pract. Res. Clin. Obstet. Gynecol. 2019, 59, 115–131. [Google Scholar]
- Cecchini, F.; Tassi, A.; Londero, A.; Baccarini, G.; Driul, L.; Xodo, S. First Trimester Uterine Rupture: A Case Report and Literature Review. Int. J. Environ. Res. Public Health 2020, 17, 2976. [Google Scholar] [CrossRef] [PubMed]
- Seung-Woo, Y.; Sang-Hee, Y.; Jin-Sung, Y.; Kyoung-Chul, C.; Myeong, J.J.; Myounghwan, K. Rupture-mediated large uterine defect at 30th gestational week with protruded amniotic sack and fetal head without fetal compromise after laparoscopic electromyolysis. Case report and literature review. Med. Clin. Case Rep. 2022, 101, e32221. [Google Scholar]
- Jastrow, N.; Vikhareva, O.; Gauthier, R.J.; Irion, O.; Boulvain, M.; Bujold, E. Can third trimester assessment of uterine scar in women with prior Cesarean section predict uterine rupture? Ultrasound Obstet. Gynecol. 2016, 47, 410–414. Available online: https://obgyn.onlinelibrary.wiley.com/doi/full/10.1002/uog.15786 (accessed on 20 October 2015). [CrossRef] [PubMed]
- Hatstat, L. Sonographic Assessment of Uterine Dehiscence During Pregnancy in Women with a History of Cesarean Section: A Case Series. J. Diagn. Med. Sonogr. 2016, 32, 283–286. [Google Scholar] [CrossRef]
- Zoe, C.F.; Aaron, B.C. Pregnancy in Women with a History of Uterine Rupture. Obstet. Gynecol. Surv. 2018, 73, 703–708. [Google Scholar]
- Donati, S.; Fano, V.; Maraschini, A.; Regional Obstetric Surveillance System Working Group. Uterine rupture: Results from a prospective population-based study in Italy. Eur. J. Obstet. Gynecol. Reprod. Biol. 2021, 264, 70–75. [Google Scholar] [CrossRef] [PubMed]
- Thisted, D.L.; Steen, C.R.; Lone, K. Outcome of subsequent pregnancies in women with complete uterine rupture: A population-based case-control study. Acta Obstet. Gynecol. Scand. 2022, 101, 506–513. [Google Scholar] [CrossRef]
- Iqbal, A.; Daltveit, A.K.; Forsén, L.; Stray-Pedersen, b.; Vangen, S. Risk factors for complete uterine rupture. Am. J. Obstet. Gynecol. 2016, 216, 165.e1–165.e8. [Google Scholar]
- Royal College of Obstetricians and Gynaecolocists. Available online: https://www.rcog.org.uk/guidance/browse-all-guidance/green-top-guidelines/birth-after-previous-caesarean-birth-green-top-guideline-no-45/ (accessed on 1 October 2015).
- Adu-Bredu, T.K.; Owusu, Y.G.; Owusu-Bempah, A.; Collins, S.L. Absence of abnormal vascular changes on prenatal imaging aids in differentiating simple uterine scar dehiscence from placenta accreta spectrum: A case series. Front. Reprod. Health Front. Reprod. Health 2023, 5, 1068377. [Google Scholar] [CrossRef] [PubMed]
- McLeish, S.F.; Murchison, A.B.; Smith, D.M.; Ghahremani, T.; Johnson, I.M.; Magann, E.F. Predicting Uterine Rupture Risk Using Lower Uterine Segment Measurement During Pregnancy with Cesarean History: How Reliable Is It? A Review. Obstet. Gynecol. Surv. 2023, 78, 302–308. [Google Scholar] [CrossRef] [PubMed]
- Kok, N.; Wiersma, I.C.; Opmeer, B.C.; de Graaf, I.M.; Mol, B.W.; Pajkrt, E. Sonographic measurement of lower uterine segment thickness to predict uterine rupture during a trial of labor in women with previous Cesarean section: A meta-analysis. Ultrasound Obstet. Gynecol. 2013, 42, 132–139. [Google Scholar] [CrossRef] [PubMed]
- Tomoyuki, K.; Shigeki, M.; Rie, U.; Shin-Ichiro, U.; Naohiro, S.; Mitsuaki, S. Intestinal adhesion due to previous uterine surgery as a risk factor for delayed diagnosis of uterine rupture: A case report. J. Med. Case Rep. 2011, 5, 523. [Google Scholar]
- Larrea, N.A.; Metz, T.D. Pregnancy after Uterine Rupture. Obstet. Gynecol. 2018, 131, 135–137. [Google Scholar] [CrossRef]
- Zhu, Z.; Li, H.; Zhang, J. Uterine dehiscence in pregnant with previous caesarean delivery. Ann. Med. 2021, 53, 1265–1269. [Google Scholar] [CrossRef]
- Jastrow, N.; Chaillet, N.; Roberge, S.; Morency, A.M.; Lacasse, Y.; Bujold, E. Sonographic lower uterine segment thickness and risk of uterine scar defect: A systematic review. J. Obstet. Gynaecol. Can. 2010, 32, 321–327. [Google Scholar] [CrossRef] [PubMed]
- Peker, N.; Aydın, E.; Evsen, M.S.; Hançer, F.N.; Bademkıran, M.H.; Ege, S.; Kahveci, B.; Karaçor, T.; Gül, T. Unscarred uterine rupture and subsequent pregnancy outcome—A tertiary centre experience. Ginekolgia Pol. 2020, 91, 95–99. [Google Scholar] [CrossRef]
- Maggiore, U.L.R.; Inversetti, A.; Schimberni, M.; Viganò, P.; Giorgione, V.; Candiani, M. Obstetrical complications of endometriosis, particularly deep endometriosis. Am. Soc. Reprod. Med. 2018, 108, 895–912. [Google Scholar]
- Iemura, A.; Kondoh, E.; Kawasaki, K.; Fujita, K.; Ueda, A.; Mogami, H.; Baba, T.; Konishi, I. Expectant management of a herniated amniotic sac presenting as silent uterine rupture: A case report and literature review. J. Matern. Fetal Neonatal Med. 2015, 28, 106–112. [Google Scholar] [CrossRef]
- Cui, X.; Wu, S. Ultrasonic assessment has high sensitivity for pregnant women with previous cesarean section occurring uterine dehiscence and rupture: A STARD-compliant article. Medicine 2020, 31, e21448. [Google Scholar] [CrossRef] [PubMed]
- Edwards, D.; Mathur, S.; Flores, H.; Whittle, W.; Murji, A. Uterine dehiscence: A laparoscopic uterine repair in early pregnancy. Fertil. Steril. 2022, 118, 591–592. [Google Scholar] [CrossRef]
- Eleje, G.U.; Udigwe, G.O.; Okafor, C.G.; Njoku, T.K.; Okoro, C.C.; Onyejiaka, C.C.; Igbodike, E.P.; Ekwebene, O.C.; Nwankwo, E.U.; Okolie, P.C.; et al. Intra-operative Diagnosis of Lower Segment Scar Dehiscence in a Second Gravida After One Previous Lower Segment Cesarean Section: Should We Advocate for Routine Antenatal Uterine Scar Thickness Testing? Clin. Med. Insights Case Rep. 2023, 16, 11795476231164379. [Google Scholar] [CrossRef] [PubMed]
- Mutiso, S.K.; Oindi, F.M.; Mundia, D.M. Uterine rupture in the first trimester: A case report and review of the literature. J. Med. Case Rep. 2024, 18, 5. [Google Scholar] [CrossRef] [PubMed]
- Zhang, J.; Chen, S.F.; Luo, Y.E. Asymptomatic spontaneous complete uterine rupture in a term pregnancy after uterine packing during previous caesarean section: A case report. Clin. Exp. Obstet. Gynecol. 2014, 41, 597–598. [Google Scholar] [CrossRef] [PubMed]
- Wye, D.; Magotti, R.; Al-Mashat, D.; Benzie, R.; Condous, G. Sonographic diagnosis of spontaneous uterine rupture at the site of cornual wedge resection scar—A case report. Australas. J. Ultrasound Med. 2014, 17, 45–48. [Google Scholar] [CrossRef] [PubMed]
- Hamar, B.D.; Levine, D.; Katz, N.L.; Lim, K.H. Expectant management of uterine dehiscence in the second trimester of pregnancy. Obstet Gynecol. 2003, 102 Pt 2, 1139–1142. [Google Scholar] [PubMed]
- Fox, N.S.; Gerber, R.S.; Mourad, M.; Saltzman, D.H.; Klauser, C.K.; Gupta, S.; Rebarber, A. Pregnancy outcomes in patients with prior uterine rupture or dehiscence. Obstet. Gynecol. 2014, 123, 785–789. [Google Scholar] [CrossRef] [PubMed]
- Tischner, I.; Tan, T.L.; Uchil, D.; Brown, R.N. Prelabor uterine rupture after laparoscopic repair of uterine perforation. J. Minim. Invasive Gynecol. 2010, 17, 265–267. [Google Scholar] [CrossRef]
- Filipcikova, R.; Oborna, I.; Brezinova, J.; Bezdickova, M.; Laichman, S.; Dobias, M.; Blazkova, Z.; Hladikova, B.; Pastucha, D. Dehiscent scar in the lower uterine segment after Caesarean section and IVF infertility treatment: A case report. Biomed. Pap. Med. Fac. Univ. Palacky Olomouc Czech Repub. 2014, 158, 654–658. [Google Scholar] [CrossRef]
- Sbarra, M.; Boyd, M.; Dardarian, T.S. Complications due to adhesion formation following cesarean sections: A review of deliveries in three cases. Fertil. Steril. 2009, 92, 394.e13-6. [Google Scholar] [CrossRef] [PubMed]
- Balachandran Nair, D.; Beard, M.; Majoko, F. Cocooned by complications: Fetal survival through placental adherence. BMJ Case Rep. 2016, 2016, bcr2015213427. [Google Scholar] [CrossRef] [PubMed]
- Inovay, J.; Marton, T.; Urbancsek, J.; Kádár, Z.; Altdorfer, K.; Papp, Z. Spontaneous bilateral cornual uterine dehiscence early in the second trimester after bilateral laparoscopic salpingectomy and in-vitro fertilization: Case report. Hum. Reprod. 1999, 14, 2471–2473. [Google Scholar] [CrossRef] [PubMed]
- Zuckerwise, L.C.; Cakmak, H.; Sfakianaki, A.K. Uterine dehiscence in early second trimester. Obstet. Gynecol. 2011, 118, 497–500. [Google Scholar] [CrossRef] [PubMed]









| Author | Year | PMID | Type | Number of Patients | Number of Previous Surgery | Type of Previous Surgery | |
|---|---|---|---|---|---|---|---|
| Zermano S. et al. | 2024 | Case report | 1 | 6 | LPT for pelviperitonitis and hemoperitoneum, LPS with eradication of deep pelvic endometriosis, bilateral ureterolysis with bladder shaving, excision of the uterine adenomyoma ileocecal resection and resection of the rectosigma with nerve-sparing technique; LPT for surgical repair of laparocele; LPT for uterine rupture, LPS for lysis of several abdomino-pelvic adhesions. | ||
| Cui X. et al. [22] | 2020 | 32756164 | Retrospective case-control study | 107 | 1 | Cesarean section | |
| Edwards D. et al. [23] | 2023 | 35786305 | Video article | 1 | 1 | Cesarean section | |
| Eleje G.U. et al. [24] | 2023 | 37009324 | Case report | 1 | 1 | Cesarean section | |
| Mutiso SK. et al. [25] | 2024 | 38183151 | Case report | 1 | 4 | 4 cesarean section | |
| Zhang J. et al. [26] | 2014 | 25864270 | Case report | 1 | 1 | Cesarean section | |
| Wye D. et al. [27] | 2014 | 28191206 | Case report | 1 | 3 | Interstitial pregnancy treated by laparoscopic, Myomectomy laparotomy | |
| Hamar B.D. et al. [28] | 2003 | 14607034 | Case report | 1 | 1 | Cesarean section | |
| Zhu Y. et al. [17] | 2021 | 34309465 | Retrospective review | 6 | 1–2 | Cesarean section | |
| Fox NS. et al. [29] | 2014 | 24785605 | Retrospective study | 44 | 1–2 | Cesarean section | |
| Tischner I. et al. [30] | 2010 | 20226423 | Case report | 1 | 1 | Laparoscopically repaired uterine perforation | |
| Filipcikovaa R. et al. [31] | 2014 | 23446209 | Case series | 4 | 1–4 | Cesarean section | |
| Sbarra M.et al. [32] | 2009 | 19482275 | Case series | 3 | 1 | Cesarean section | |
| Balachandran Nair D. et al. [33] | 2016 | 27358091 | Case report | 1 | 2 | Cesarean section | |
| Inovay J. et al. [34] | 1999 | 10527971 | Case report | 1 | 1 | LPS ovarian wedge resection and bilateral salpingectomy | |
| Zuckerwise L.C. et al. [35] | 2011 | 21768866 | Case report | 1 | 2 | Cesarean section | |
| Author | Year | PMID | Previous uterine rupture | Endometriosis | Adenomyosis | Gestational weeks at diagnosis | |
| Zermano S. et al. | 2024 | Yes | Yes | Yes | 24 5/7 | ||
| Cui X. et al. [22] | 2020 | 32756164 | No | No | No | During surgery (18 patient with US findings suggestive of LUS rupture and dehiscence) | |
| Edwards D. et al. [23] | 2023 | 35786305 | No | No | No | 10/3 | |
| Eleje G.U. et al. [24] | 2023 | 37009324 | No | No | No | 38 2/7 during surgery | |
| Mutiso SK. et al. [25] | 2024 | 38183151 | Yes | No | No | 11 0/7 | |
| Zhang J. et al. [26] | 2014 | 25864270 | No | No | No | 38 1/7 during surgery | |
| Wye D. et al. [27] | 2014 | 28191206 | No | No | No | 30 0/7 | |
| Hamar B.D. et al. [28] | 2003 | 14607034 | No | No | No | 20 0/7 | |
| Zhu Y. et al. [17] | 2021 | 34309465 | No | No | No | 24 0/7-37 0/7 | |
| Fox NS. et al. [30] | 2014 | 24785605 | 20 | No | No | During surgery | |
| Tischner I. et al. [30] | 2010 | 20226423 | Yes | No | No | 27 0/7 | |
| Filipcikovaa R. et al. [31] | 2014 | 23446209 | No | No | No | Before pregnancy | |
| Sbarra M.et al. [32] | 2009 | 19482275 | No | No | No | During surgery | |
| Balachandran Nair D. et al. [33] | 2016 | 27358091 | No | No | No | During surgery | |
| Inovay J. et al. [34] | 1999 | 10527971 | No | Yes | No | 15 | |
| Zuckerwise L.C. et al. [35] | 2011 | 21768866 | No | No | No | 19 | |
| Author | Year | PMID | Gestational weeks at birth | Fetal demise | US images | RMN images | Surgery images |
| Zermano S. et al. | 2024 | 29 1/7 | No | Yes | Yes | Yes | |
| Cui X. et al. [22] | 2020 | 32756164 | >37 (64 patients) <37 (43 patients) | No | No | No | No |
| Edwards D. et al. [23] | 2023 | 35786305 | >37 | No | Yes | No | No |
| Eleje G.U. et al. [24] | 2023 | 37009324 | 38 2/7 | No | No | No | Yes |
| Mutiso SK. et al. [25] | 2024 | 38183151 | 11 0/7 | No | Yes | No | Yes |
| Zhang J. et al. [26] | 2014 | 25864270 | 38 1/7 | Yes | No | No | Yes |
| Wye D. et al. [27] | 2014 | 28191206 | 30 0/7 | Yes | Yes | No | Yes |
| Hamar B.D. et al. [28] | 2003 | 14607034 | 31 0/7 | No | Yes | Yes | No |
| Zhu Y. et al. [17] | 2021 | 34309465 | 33 0/7–37 0/7 | 3 cases | Yes | No | No |
| Fox NS. et al. [29] | 2014 | 24785605 | 34 0/7–39 0/7 | No | No | No | No |
| Tischner I. et al. [30] | 2010 | 20226423 | 27 0/7 | Yes | No | No | Yes |
| Filipcikovaa R. et al. [31] | 2014 | 23446209 | 31 0/7–38 0/7 | No | Yes | No | No |
| Sbarra M.et al. [32] | 2009 | 19482275 | 38 0/7 | No | No | No | No |
| Balachandran Nair D. et al. [33] | 2016 | 27358091 | 34 5/7 | No | No | No | Yes |
| Inovay J. et al. [34] | 1999 | 10527971 | 15 0/7 | Yes | No | No | No |
| Zuckerwise L.C. et al. [35] | 2011 | 21768866 | 21 0/7 | Pregnancy termination | Yes | No | No |
Disclaimer/Publisher’s Note: The statements, opinions and data contained in all publications are solely those of the individual author(s) and contributor(s) and not of MDPI and/or the editor(s). MDPI and/or the editor(s) disclaim responsibility for any injury to people or property resulting from any ideas, methods, instructions or products referred to in the content. |
© 2024 by the authors. Licensee MDPI, Basel, Switzerland. This article is an open access article distributed under the terms and conditions of the Creative Commons Attribution (CC BY) license (https://creativecommons.org/licenses/by/4.0/).
Share and Cite
Zermano, S.; Seminara, G.; Parisi, N.; Serantoni, V.; Arcieri, M.; Biasioli, A.; Della Martina, M.; Restaino, S.; Vizzielli, G.; Driul, L. Prenatal Detection and Conservative Management of Uterine Scar Dehiscence in Patient with Previous Uterine Rupture and Multiple Surgeries—A Case Report. Healthcare 2024, 12, 988. https://doi.org/10.3390/healthcare12100988
Zermano S, Seminara G, Parisi N, Serantoni V, Arcieri M, Biasioli A, Della Martina M, Restaino S, Vizzielli G, Driul L. Prenatal Detection and Conservative Management of Uterine Scar Dehiscence in Patient with Previous Uterine Rupture and Multiple Surgeries—A Case Report. Healthcare. 2024; 12(10):988. https://doi.org/10.3390/healthcare12100988
Chicago/Turabian StyleZermano, Silvia, Giuseppina Seminara, Nadia Parisi, Valentina Serantoni, Martina Arcieri, Anna Biasioli, Monica Della Martina, Stefano Restaino, Giuseppe Vizzielli, and Lorenza Driul. 2024. "Prenatal Detection and Conservative Management of Uterine Scar Dehiscence in Patient with Previous Uterine Rupture and Multiple Surgeries—A Case Report" Healthcare 12, no. 10: 988. https://doi.org/10.3390/healthcare12100988
APA StyleZermano, S., Seminara, G., Parisi, N., Serantoni, V., Arcieri, M., Biasioli, A., Della Martina, M., Restaino, S., Vizzielli, G., & Driul, L. (2024). Prenatal Detection and Conservative Management of Uterine Scar Dehiscence in Patient with Previous Uterine Rupture and Multiple Surgeries—A Case Report. Healthcare, 12(10), 988. https://doi.org/10.3390/healthcare12100988

