Imaging Methods to Quantify the Chest and Trunk Deformation in Adolescent Idiopathic Scoliosis: A Literature Review
Abstract
1. Introduction
2. Imaging Modalities
2.1. Radiography
2.2. Biplanar Stereo-Radiography
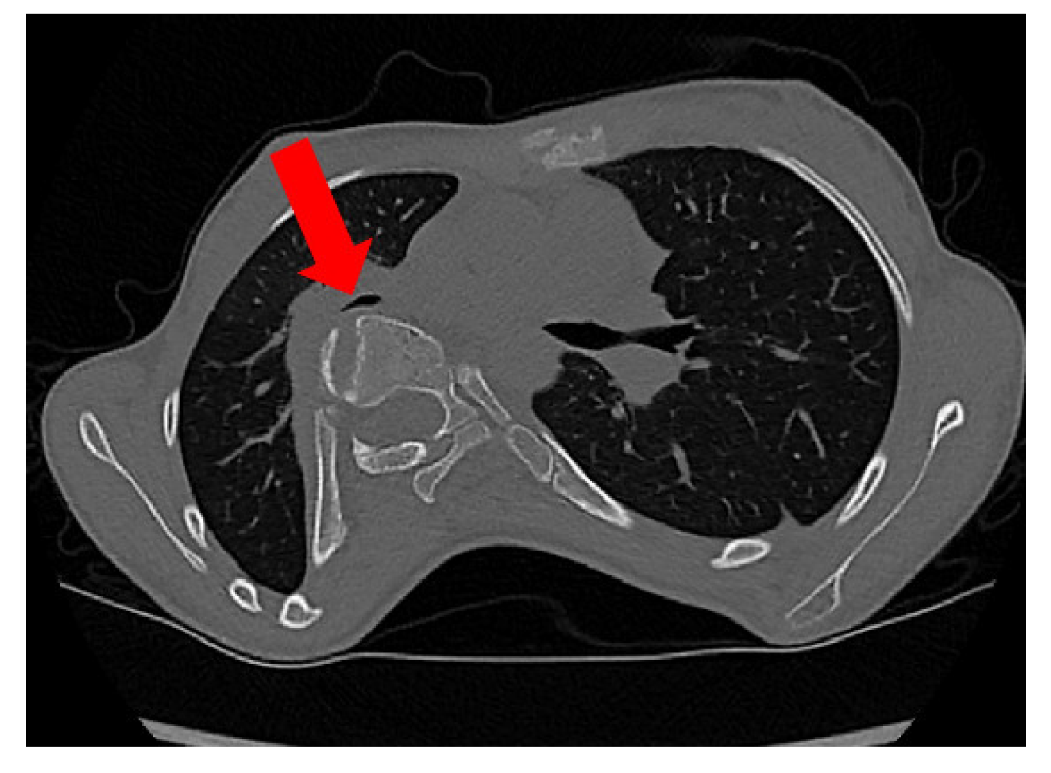
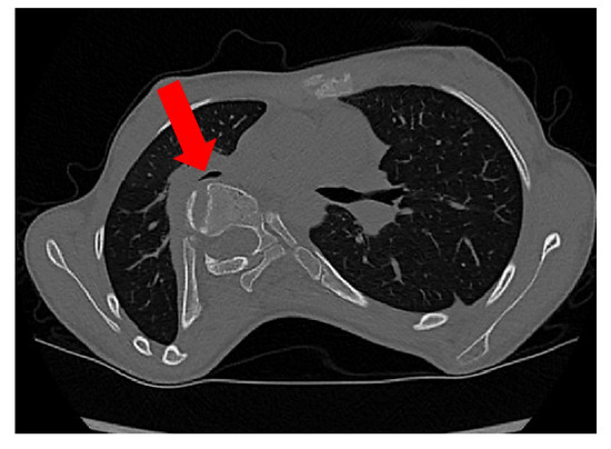
2.3. CT
2.4. MRI
2.5. Surface Topography
2.6. 3D Spinal Ultrasound
3. Methods to Quantify Thoracic Deformity
3.1. Parameters on the Relation between the Sternum and the Spine
- Distance measurements:
- Sagittal diameter and sternovertebral distance: These are two parameters for measuring the sagittal depth. The sternovertebral distance is the anterior–posterior distance between the posterior midpoint of the sternum and the anterior point of the apical vertebra [21]. The sagittal diameter is the anterior–posterior distance between the posterior midpoint of the sternum and the anterior point of the foramen. Both are measured on an axial CT scan. Takahashi et al. [22] report a significant negative correlation between the sagittal diameter and spine curvature. Measurements of the sagittal depth have been used to evaluate pre- to postoperative differences [21]. It has been shown that the sagittal diameter, as well as the sternovertebral distance, significantly decreases after spinal fusion surgery [21]. The sagittal diameter has also been used to evaluate the effect of thoracic deformity on pulmonary function [22].
- Vertebral translation: This is a measure of the lateral displacement between the spine and the sternum. For a healthy person, where the sternum is in front of the spine, this distance is zero. Vertebral translation measurements have been used for pre- and postoperative comparison of the thorax as well as in research for comparison with other parameters. A correlation of the vertebral translation with the coronal Cobb angle has been shown by Easwar et al. [20]. The vertebral translation was used to measure the effect of spine fusion surgery on the thoracic shape. It has also been shown that the parameter decreases significantly after spinal fusion surgery [21].
- Spinal intrusion ratio: This parameter represents the sagittal intrusion of the thoracic spine into the chest and has been demonstrated to be related to the size of the airways [5,23]. SIr is the ratio between the distance from the anterior vertebral column contour to the interior contour of the convex ribs and the distance from the internal sternal surface to the anterior contour of the vertebral column.
- Angular measurements:
- Angle from sternum to apical vertebra: This angle is provides information about the chest wall deformity. It is measured by drawing a lateral line through the sternum and a posterior–anterior line through the apical vertebra. In a healthy person, the line through the vertebra crosses the sternum at its center, and the angle is 90 degrees. The smaller the angle the more severe the deformity. The angle from the sternum to apical vertebra has been used to compare the pre- and postoperative shape of the thorax. Significant correlations between this angle and the coronal curve severity have been found [24].
- Midline deviation: This is the angle between the anterior–posterior line and a line that connects the anterior midpoint of the sternum with the posterior point of the foramen. In older studies, a significant correlation between the coronal curve severity and the midline deviation has been shown [25]. More recent studies also show that the midline deviation improves after spinal fusion surgery [21].
- Thoracic rotation: This is another way to measure the angle between the vertebra and the ribs [26]. It is measured between a line that connects the sternum with the anterior point of the vertebra and an anterior–posterior line through the vertebra. It has not been investigated if this parameter is correlated with the coronal curve severity [19]. It has, however, been shown that the thoracic rotation decreases significantly after spinal fusion surgery [21].
3.2. Parameters on the Relation between the Ribs and the Spine
- Distance measurements:
- Posterior hemithoracic symmetry ratio: This ratio can be measured on an axial image of the thorax. A line is drawn through the anterior tips of the ribs where they are connected to the vertebra. Then the distance is measured from the connection point to the vertebra and the border of the hemithorax is measured. In a symmetrical thorax, the distance is equal in both directions. The ratio of the distances is 1. The more the thorax is deformed, the bigger the difference in the distances and the more the ratio is different from 1 [26].
- Apical vertebral body rib ratio and sternum rib ratio: An anterior–posterior radiograph is sufficient to measure the apical vertebral body rib ratio. From the apical body, the distance to the lateral borders of the ribs is measured in both directions [27]. While Kulko et al. describe it for an anterior–posterior radiograph, Mao et al. measure it on an axial reconstruction. Both parameters have been used to evaluate the pre- to postoperative shape of the thorax.
- Angular measurements:
- Rib hump and chest wall angle: The rib hump and the chest wall angle are both an indicator of rib rotation. The chest wall angle is measured on the anterior part of the rib [24], whereas the rib hump is measured on the posterior parts of the ribs or sometimes also on Moiré topographs of the back [22]. Aaro et al. [25], Kuklo et al. [27] and Takahashi et al. [22] define the rib hump or the rib hump index slightly differently. However, the measured structures remain the same. On the posterior parts of the ribs, the distance in the anterior–posterior direction between the two prominences of the ribs is measured. This can be performed on a lateral radiograph [27] or on an axial CT scan [22]. The chest wall angle is a similar measurement but for the anterior rib prominences instead of the posterior rib prominence. In addition, instead of measuring a distance, the angle of the line connecting the prominences and the lateral plane is measured. Both the rib hump and the chest wall angle have significant correlations with the spinal curvature [22,24,25]. In addition, these parameters have been used for intraoperative comparisons of the thorax. It has been shown that the effect of surgery on the chest wall shape is very hard to predict [24].
- Inclination angle [28]: This angle is measured by connecting the tips of one rib at the sternum and at the vertebra with a line. The angle from this line to the horizontal plane is the inclination angle. Schlager et al. [28] concluded that the rib hump in AIS could result from a more ventral position of the ribs on the concave side rather than on the bulging position of the ribs on the convex side.
4. Image Processing Techniques for Chest Deformity Analyses
4.1. Segmentation
4.2. D Reconstruction Techniques
4.3. Deep Learning Techniques
5. Conclusions
Author Contributions
Funding
Institutional Review Board Statement
Informed Consent Statement
Data Availability Statement
Conflicts of Interest
References
- Schlösser, T.P.C.; van Stralen, M.; Chu, W.C.W.; Lam, T.-P.; Ng, B.K.W.; Vincken, K.L.; Cheng, J.C.Y.; Castelein, R.M. Anterior Overgrowth in Primary Curves, Compensatory Curves and Junctional Segments in Adolescent Idiopathic Scoliosis. PLoS ONE 2016, 11, e0160267. [Google Scholar] [CrossRef] [PubMed]
- Noshchenko, A. Predictors of spine deformity progression in adolescent idiopathic scoliosis: A systematic review with meta-analysis. World J. Orthop. 2015, 6, 537–558. [Google Scholar] [CrossRef] [PubMed]
- Girdler, S.; Cho, B.; Mikhail, C.M.; Cheung, Z.B.; Maza, N.; Cho, S.K.-W. Emerging Techniques in Diagnostic Imaging for Idiopathic Scoliosis in Children and Adolescents: A Review of the Literature. World Neurosurg. 2020, 136, 128–135. [Google Scholar] [CrossRef] [PubMed]
- Winter, R.B. Excessive Thoracic Lordosis and Loss of Pulmonary Function in Patients with IS. J. Bone Jt. Surg. Am. 1975, 57, 927. Available online: https://cir.nii.ac.jp/crid/1574231875281765760 (accessed on 23 March 2023). [CrossRef]
- Farrell, J.; Garrido, E.; Vavruch, L.; Schlösser, T.P. Thoracic Morphology and Bronchial Narrowing Are Related to Pulmonary Function in Adolescent Idiopathic Scoliosis. J. Bone Jt. Surg. 2021, 103, 2014–2023. [Google Scholar] [CrossRef] [PubMed]
- Newton, P.O.; Faro, F.D.; Gollogly, S.; Betz, R.R.; Lenke, L.G.; Lowe, T.G. Results of Preoperative Pulmonary Function Testing of Adolescents with Idiopathic Scoliosis: A study of six hundred and thirty-one patients. J. Bone Jt. Surg. 2005, 87, 1937–1946. [Google Scholar] [CrossRef] [PubMed]
- Koumbourlis, A.C. Scoliosis and the respiratory system. Paediatr. Respir. Rev. 2006, 7, 152–160. [Google Scholar] [CrossRef] [PubMed]
- Illés, T.S.; Lavaste, F.; Dubousset, J.F. The third dimension of scoliosis: The forgotten axial plane. Orthop. Traumatol. Surg. Res. 2019, 105, 351–359. [Google Scholar] [CrossRef] [PubMed]
- Ng, S.-Y.; Bettany-Saltikov, J. Imaging in the Diagnosis and Monitoring of Children with Idiopathic Scoliosis. Open Orthop. J. 2017, 11, 1500–1520. [Google Scholar] [CrossRef] [PubMed]
- Kim, H.; Kim, H.S.; Moon, E.S.; Yoon, C.S.; Chung, T.S.; Song, H.T.; Suh, J.S.; Lee, Y.H.; Kim, S. Scoliosis Imaging: What Radiologists Should Know. Radiographics 2010, 30, 1823–1842. [Google Scholar] [CrossRef] [PubMed]
- Karpiel, I.; Ziębiński, A.; Kluszczyński, M.; Feige, D. A Survey of Methods and Technologies Used for Diagnosis of Scoliosis. Sensors 2021, 21, 8410. [Google Scholar] [CrossRef] [PubMed]
- Melhem, E.; Assi, A.; El Rachkidi, R.; Ghanem, I. EOS® biplanar X-ray imaging: Concept, developments, benefits, and limitations. J. Child. Orthop. 2016, 10, 1–14. [Google Scholar] [CrossRef] [PubMed]
- Dietrich, T.J.; Pfirrmann, C.W.A.; Schwab, A.; Pankalla, K.; Buck, F.M. Comparison of radiation dose, workflow, patient comfort and financial break-even of standard digital radiography and a novel biplanar low-dose X-ray system for upright full-length lower limb and whole spine radiography. Skelet. Radiol. 2013, 42, 959–967. [Google Scholar] [CrossRef]
- Rios, F.; Akbarnia, B.A.; Mundis, G.M. Experience of EOS Management in Two Worlds-II. In Early-Onset Scoliosis; CRC Press: Boca Raton, FL, USA, 2020; pp. 237–246. [Google Scholar] [CrossRef]
- Lam, G.C.; Hill, D.L.; Le, L.H.; Raso, J.V.; Lou, E.H. Vertebral rotation measurement: A summary and comparison of common radiographic and CT methods. Scoliosis 2008, 3, 16. [Google Scholar] [CrossRef] [PubMed]
- Johnson, M.A.; Gohel, S.; Mitchell, S.L.; Flynn, J.J.M.; Baldwin, K.D. Entire-spine Magnetic Resonance Imaging Findings and Costs in Children with Presumed Adolescent Idiopathic Scoliosis. J. Pediatr. Orthop. 2021, 41, 585–590. [Google Scholar] [CrossRef]
- van der Kolk, B.B.Y.; Slotman, D.J.J.; Nijholt, I.M.; van Osch, J.A.; Snoeijink, T.J.; Podlogar, M.; van Hasselt, B.A.; Boelhouwers, H.J.; van Stralen, M.; Seevinck, P.R.; et al. Bone visualization of the cervical spine with deep learning-based synthetic CT compared to conventional CT: A single-center noninferiority study on image quality. Eur. J. Radiol. 2022, 154, 110414. [Google Scholar] [CrossRef] [PubMed]
- Effatparvar, M.R.; Pierre, M.-O.S.; Sobczak, S. Assessment and Improvement of a Novel ultrasound-based 3D Reconstruction Method: Registered for Lumbar Spine. J. Med. Biol. Eng. 2022, 42, 790–799. [Google Scholar] [CrossRef]
- Harris, J.A.; Mayer, O.H.; Shah, S.A.; Campbell, R.M.; Balasubramanian, S. A comprehensive review of thoracic deformity parameters in scoliosis. Eur. Spine J. 2014, 23, 2594–2602. [Google Scholar] [CrossRef]
- Easwar, T.R.; Hong, J.Y.; Yang, J.H.; Suh, S.W.; Modi, H.N. Does lateral vertebral translation correspond to Cobb angle and relate in the same way to axial vertebral rotation and rib hump index? A radiographic analysis on idiopathic scoliosis. Eur. Spine J. 2011, 20, 1095–1105. [Google Scholar] [CrossRef]
- Wada, K.M.; Kumagai, G.; Kudo, H.; Tanaka, S.; Asari, T.; Fjita, Y.; Ishibashi, Y. Association between intra-operative hemodynamic changes and corrective procedures during posterior spinal fusion in adolescent patients with scoliosis. Medicine 2021, 100, e28324. [Google Scholar] [CrossRef]
- Takahashi, S.; Suzuki, N.; Asazuma, T.; Kono, K.; Ono, T.; Toyama, Y. Factors of Thoracic Cage Deformity That Affect Pulmonary Function in Adolescent Idiopathic Thoracic Scoliosis. Spine 2007, 32, 106–112. [Google Scholar] [CrossRef] [PubMed]
- Farrell, J.; Garrido, E. Predicting preoperative pulmonary function in patients with thoracic adolescent idiopathic scoliosis from spinal and thoracic radiographic parameters. Eur. Spine J. 2020, 30, 634–644. [Google Scholar] [CrossRef] [PubMed]
- Mao, S.-H.; Qiu, Y.; Zhu, Z.-Z.; Zhu, F.; Liu, Z.; Wang, B. Clinical Evaluation of the Anterior Chest Wall Deformity in Thoracic Adolescent Idiopathic Scoliosis. Spine 2012, 37, E540–E548. [Google Scholar] [CrossRef] [PubMed]
- Aaro, S.; Dahlborn, M. Estimation of Vertebral Rotation and the Spinal and Rib Cage Deformity in Scoliosis by Computer Tomography. Spine 1981, 6, 460–467. [Google Scholar] [CrossRef] [PubMed]
- Campbell, R.M.; Smith, M.D.; Mayes, T.C.; Mangos, J.A.; Willey-Courand, D.B.; Kose, N.; Pinero, R.F.; Alder, M.E.; Duong, H.L.; Surber, J.L. The characteristics of thoracic insufficiency syndrome associated with fused ribs and congenital scoliosis. J. Bone Jt. Surg. 2003, 85, 399–408. [Google Scholar] [CrossRef] [PubMed]
- Kuklo, T.R.; Potter, B.K.; Lenke, L.G. Vertebral Rotation and Thoracic Torsion in Adolescent Idiopathic Scoliosis: What is the best radiographic correlate? J. Spinal Disord. Technol. 2005, 18, 139–147. [Google Scholar] [CrossRef] [PubMed]
- Schlager, B.; Krump, F.; Boettinger, J.; Jonas, R.; Liebsch, C.; Ruf, M.; Beer, M.; Wilke, H. Morphological patterns of the rib cage and lung in the healthy and adolescent idiopathic scoliosis. J. Anat. 2021, 240, 120–130. [Google Scholar] [CrossRef]
- Thalengala, A.; Bhat, S.N.; Anitha, H. Computerized image understanding system for reliable estimation of spinal curvature in idiopathic scoliosis. Sci. Rep. 2021, 11, 7144. [Google Scholar] [CrossRef]
- Banik, S.; Rangayyan, R.M.; Boag, G.S. Automatic Segmentation of the Ribs, the Vertebral Column, and the Spinal Canal in Pediatric Computed Tomographic Images. J. Digit. Imaging 2009, 23, 301–322. [Google Scholar] [CrossRef]
- Vergari, C.; Aubert, B.; Lallemant-Dudek, P.; Haen, T.X.; Skalli, W. A novel method of anatomical landmark selection for rib cage 3D reconstruction from biplanar radiography. Comput. Methods Biomech. Biomed. Eng. Imaging Vis. 2018, 8, 15–23. [Google Scholar] [CrossRef]
- Machino, M.; Kawakami, N.; Ohara, T.; Saito, T.; Tauchi, R.; Imagama, S. Three-dimensional reconstruction image by biplanar stereoradiography reflects pulmonary functional states in adolescent idiopathic scoliosis. J. Clin. Neurosci. 2021, 88, 178–184. [Google Scholar] [CrossRef] [PubMed]
- Jolivet, E.; Sandoz, B.; Laporte, S.; Mitton, D.; Skalli, W. Fast 3D reconstruction of the rib cage from biplanar radiographs. Med. Biol. Eng. Comput. 2010, 48, 821–828. [Google Scholar] [CrossRef] [PubMed]
- Lenga, M.; Klinder, T.; Bürger, C.; von Berg, J.; Franz, A.; Lorenz, C. Deep learning based Rib centerline extraction and labeling. In Computational Methods and Clinical Applications in Musculoskeletal Imaging; Lecture Notes in Computer Science; Springer: Cham, Switzerland, 2019; Volume 11404, pp. 99–113. [Google Scholar] [CrossRef]
- Silva, B.; Pessanha, I.; Correia-Pinto, J.; Fonseca, J.C.; Queiros, S. Automatic Assessment of Pectus Excavatum Severity from CT Images Using Deep Learning. IEEE J. Biomed. Health Inform. 2021, 26, 324–333. [Google Scholar] [CrossRef] [PubMed]
- Caesarendra, W.; Rahmaniar, W.; Mathew, J.; Thien, A. Automated Cobb Angle Measurement for Adolescent Idiopathic Scoliosis Using Convolutional Neural Network. Diagnostics 2022, 12, 396. [Google Scholar] [CrossRef] [PubMed]




| Modality | Radiation Exposure | Assessment of Rib Deformity | Costs | Principle Clinical Role |
|---|---|---|---|---|
| Radiography | Low | Planar evaluation of rib deformity. | Low | Evaluation of scoliosis severity and progression during follow-up. |
| Biplanar stereo-radiography | Ultra-Low | Deformity evaluation of the bone structures. Possibility for 3D reconstruction. | Low | Evaluation of scoliosis severity and progression during follow-up. |
| Surface Topography | None | External contour of the trunk. No direct insight into the rib cage deformity. | Medium | Mostly used in research settings for objective trunk deformity assessment. |
| 3D Ultrasound | None | Visualization of spinal posterior elements. Only first dorsal part of rib deformity included. | Low | Mostly used in research settings for screening for scoliosis and evaluation of scoliosis severity. |
| CT | High | High accuracy of rib cage and internal organ structures. Possibility for 3D reconstructions and automatic segmentation. | High | Sometimes used for visualizing complex osseous abnormalities, for preoperative planning or as input for spinal navigation surgery. |
| MRI | None | Mainly used to assess soft tissue rather than bone structures. | High | Evaluation for abnormalities of the spinal cord. |
| Sagittal diameter | Length 3 |
| Sternovertebral distance | Length 2 |
| Vertebral translation | Length 5 |
| Angle from sternum to apical vertebra | Angle between 7 and 8 |
| Midline deviation | Angle between 9 and anterior posterior plane |
| Thoracic rotation | Angle between 8 and 10 |
| Posterior hemithoracic symmetry ratio | Ratio of both 6 |
| Sternum rib ratio | Ratio of both 1 |
| Rib hump | Length 4 |
Disclaimer/Publisher’s Note: The statements, opinions and data contained in all publications are solely those of the individual author(s) and contributor(s) and not of MDPI and/or the editor(s). MDPI and/or the editor(s) disclaim responsibility for any injury to people or property resulting from any ideas, methods, instructions or products referred to in the content. |
© 2023 by the authors. Licensee MDPI, Basel, Switzerland. This article is an open access article distributed under the terms and conditions of the Creative Commons Attribution (CC BY) license (https://creativecommons.org/licenses/by/4.0/).
Share and Cite
San Román Gaitero, A.; Shoykhet, A.; Spyrou, I.; Stoorvogel, M.; Vermeer, L.; Schlösser, T.P.C. Imaging Methods to Quantify the Chest and Trunk Deformation in Adolescent Idiopathic Scoliosis: A Literature Review. Healthcare 2023, 11, 1489. https://doi.org/10.3390/healthcare11101489
San Román Gaitero A, Shoykhet A, Spyrou I, Stoorvogel M, Vermeer L, Schlösser TPC. Imaging Methods to Quantify the Chest and Trunk Deformation in Adolescent Idiopathic Scoliosis: A Literature Review. Healthcare. 2023; 11(10):1489. https://doi.org/10.3390/healthcare11101489
Chicago/Turabian StyleSan Román Gaitero, Ana, Andrej Shoykhet, Iraklis Spyrou, Martijn Stoorvogel, Lars Vermeer, and Tom P. C. Schlösser. 2023. "Imaging Methods to Quantify the Chest and Trunk Deformation in Adolescent Idiopathic Scoliosis: A Literature Review" Healthcare 11, no. 10: 1489. https://doi.org/10.3390/healthcare11101489
APA StyleSan Román Gaitero, A., Shoykhet, A., Spyrou, I., Stoorvogel, M., Vermeer, L., & Schlösser, T. P. C. (2023). Imaging Methods to Quantify the Chest and Trunk Deformation in Adolescent Idiopathic Scoliosis: A Literature Review. Healthcare, 11(10), 1489. https://doi.org/10.3390/healthcare11101489

