The Efficacy of Low-Level Laser Therapy Combined with Single Flap Periodontal Surgery in the Management of Intrabony Periodontal Defects: A Randomized Controlled Trial
Abstract
:1. Introduction
2. Materials and Methods
2.1. Study Design
2.2. Clinical Evaluation
2.3. Clinical Recordings and Presurgical Procedures
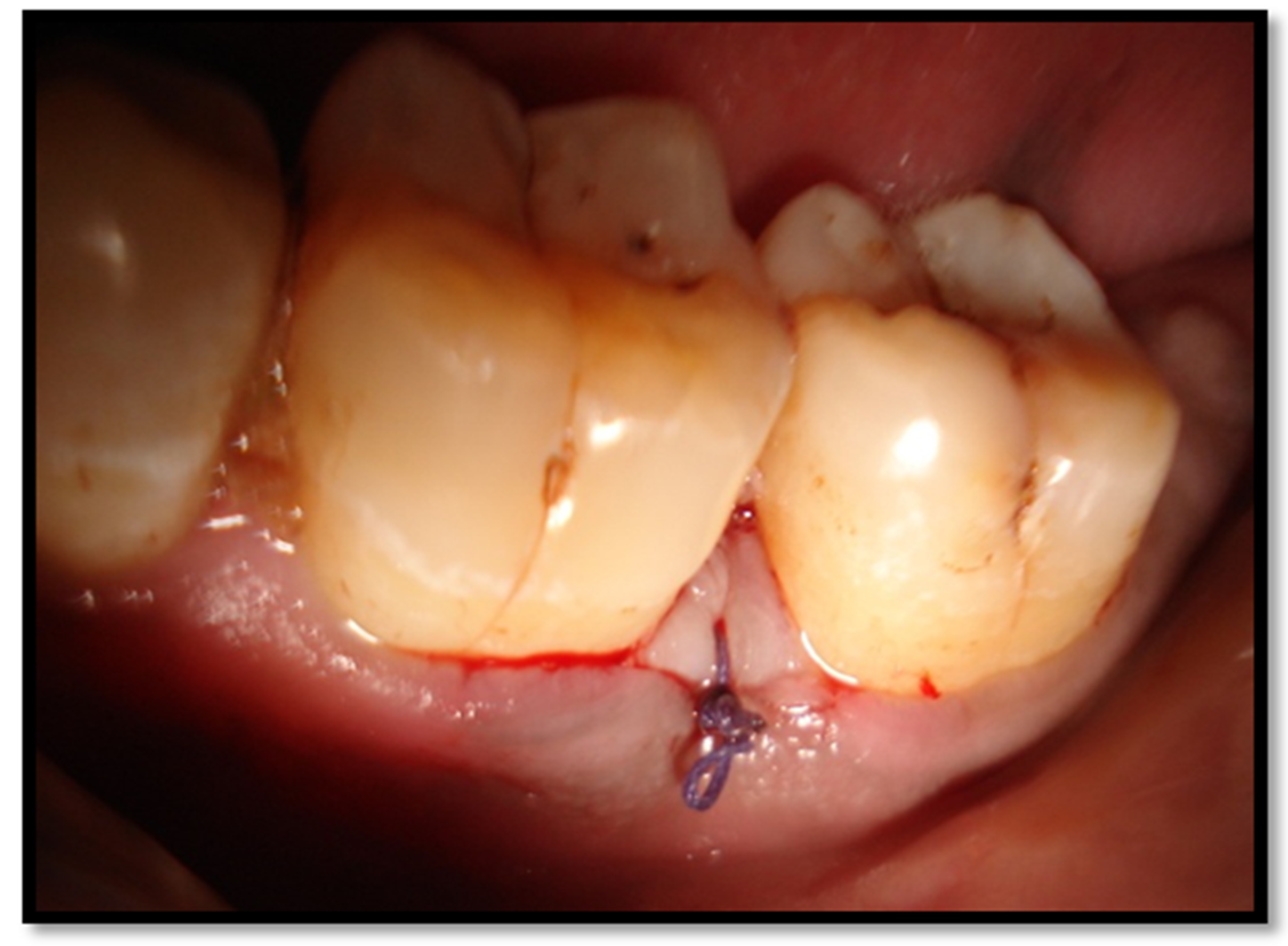
2.4. Surgical Procedures
2.5. Post-Surgical Management
- Complete flap closure—no fibrin line in the interproximal area;
- Complete flap closure—fine fibrin line in the interproximal area;
- Complete flap closure—fibrin clot in the interproximal area;
- Incomplete flap closure—partial necrosis of the interproximal tissue;
- Incomplete flap closure—complete necrosis of the interproximal tissue.
2.6. Recall Visits
2.7. Statistical Analysis
3. Results
4. Discussion
5. Conclusions
Author Contributions
Funding
Institutional Review Board Statement
Informed Consent Statement
Data Availability Statement
Conflicts of Interest
References
- Ferrillo, M.; Migliario, M.; Roccuzzo, A.; Molinero-Mourelle, P.; Falcicchio, G.; Umano, G.R.; Pezzotti, F.; Bonda, P.L.F.; Calafiore, D.; de Sire, A. Periodontal Disease and Vitamin D Deficiency in Pregnant Women: Which Correlation with Preterm and Low-Weight Birth? J. Clin. Med. 2021, 10, 4578. [Google Scholar] [CrossRef] [PubMed]
- de Sire, A.; Invernizzi, M.; Ferrillo, M.; Gimigliano, F.; Baricich, A.; Cisari, C.; De Marchi, F.; Bonda, P.L.F.; Mazzini, L.; Migliario, M. Functional status and oral health in patients with amyotrophic lateral sclerosis: A cross-sectional study. NeuroRehabilitation 2021, 48, 49–57. [Google Scholar] [CrossRef] [PubMed]
- Barrientos, S.; Stojadinovic, O.; Golinko, M.S.; Brem, H.; Tomic-Canic, M. Perspective Article: Growth factors and cytokines in wound healing. Wound Repair Regen. 2008, 16, 585–601. [Google Scholar] [CrossRef]
- Walsh, L.J. The current status of low level laser therapy in dentistry, Part 1. Soft tissue applications. Aust. Dent. J. 1997, 42, 247–254. [Google Scholar] [CrossRef]
- Hopkins, J.T.; McLoda, T.A.; Seegmiller, J.G.; Baxter, G.D. Low-Level Laser Therapy Facilitates Superficial Wound Healing in Humans: A Triple-Blind, Sham-Controlled Study. J. Athl. Train. 2004, 39, 223–229. [Google Scholar] [PubMed]
- Tominaga, R. Effects of He-Ne Laser Irradiation on Fibroblasts Derived from Scar Tissue of Rat Palatal Mucosa. J. Stomatol. Soc. 1990, 57, 580–594. [Google Scholar] [CrossRef]
- Tadakuma, T. Possible Application of the Laser in Immunobiology. Keio J. Med. 1993, 42, 180–182. [Google Scholar] [CrossRef]
- Yamada, K. Biological effects of low power laser irradiation on clonal osteoblastic cells (MC3T3-E1). Nihon Seikeigeka Gakkai zasshi 1991, 65, 787–799. [Google Scholar]
- Harrel, S.K.; Rees, T.D. Granulation tissue removal in routine and minimally invasive procedures. Compend. Contin. Educ. Dent. 1995, 16, 960–962. [Google Scholar]
- O’Leary, T.J.; Drake, R.B.; Naylor, J.E. The Plaque Control Record. J. Periodontol. 1972, 43, 38. [Google Scholar] [CrossRef]
- Alyahya, A.; Aldubayan, A.; Swennen, G.R.J.; Almoraissi, E. Effectiveness of different protocols to reduce postoperative pain fol-lowing orthognathic surgery: A systematic review and meta-analysis. Br. J. Oral Maxillofac Surg. 2022; online ahead of print. [Google Scholar] [CrossRef] [PubMed]
- Meneses-Santos, D.; Costa, M.D.M.A.; Inocêncio, G.S.G.; Almeida, A.C.; Vieira, W.A.; Lima, I.F.P.; Paranhos, L.R. Effects of low-level laser therapy on reducing pain, edema, and trismus after orthognathic surgery: A systematic review. Lasers Med. Sci. 2021, 37, 1471–1485. [Google Scholar] [CrossRef] [PubMed]
- Perego, R.; Proverbio, D.; Zuccaro, A.; Spada, E. Low Level Laser Therapy: Case Control Study in dogs withsterile pyogranulomatous pododermatitis. Vetinary World 2016, 9, 882–887. [Google Scholar] [CrossRef] [Green Version]
- Ainamo, J.; Bay, I. Problems and proposals for recording gingivitis and plaque. Int. Dent. J. 1975, 25, 229–235. [Google Scholar] [PubMed]
- Ozcelik, O.; Haytac, M.C.; Kunin, A.; Seydaoglu, G. Improved wound healing by low-level laser irradiation after gingivectomy operations: A controlled clinical pilot study. J. Clin. Periodontol. 2008, 35, 250–254. [Google Scholar] [CrossRef]
- Wachtel, H.; Schenk, G.; Böhm, S.; Weng, D.; Zuhr, O.; Hürzeler, M.B. Microsurgical access flap and enamel matrix derivative for the treatment of periodontal intrabony defects: A controlled clinical study. J. Clin. Periodontol. 2003, 30, 496–504. [Google Scholar] [CrossRef]
- Kornman, K.S.; Löe, H. The role of local factors in the etiology of periodontal diseases. Periodontology 1993, 2, 83–97. [Google Scholar] [CrossRef]
- Kreisler, M.; Al Haj, H.; D’Hoedt, B. Clinical efficacy of semiconductor laser application as an adjunct to conventional scaling and root planing. Lasers Surg. Med. 2005, 37, 350–355. [Google Scholar] [CrossRef]
- Kreisler, M.; Christoffers, A.B.; Willershausen, B.; D’Hoedt, B. Effect of low-level GaAlAs laser irradiation on the proliferation rate of human periodontal ligament fibroblasts: An in vitro study. J. Clin. Periodontol. 2003, 30, 353–358. [Google Scholar] [CrossRef]
- Yu, W.; Naim, J.O.; Lanzafame, R.J. The effect of laser irradiation on the release of bFGF from 3T3 fibroblasts. Photochem. Photobiol. 1994, 59, 167–170. [Google Scholar] [CrossRef]
- Retzepi, M.; Tonetti, M.; Donos, N. Comparison of gingival blood flow during healing of simplified papilla preservation and modified Widman flap surgery: A clinical trial using laser Doppler flowmetry. J. Clin. Periodontol. 2007, 34, 903–911. [Google Scholar] [CrossRef] [PubMed]
- Woodruff, L.D.; Bounkeo, J.M.; Brannon, W.M.; Dawes, K.S.; Barham, C.D.; Waddell, D.L.; Enwemeka, C.S. The Efficacy of Laser Therapy in Wound Repair: A Meta-Analysis of the Literature. Photomed. Laser Surg. 2004, 22, 241–247. [Google Scholar] [CrossRef] [PubMed] [Green Version]
- Becker, J. Biostimulation der Wundheilung bei Ratten durch kombinierten Soft- und Middlepower-Laser-Biostimulation of Wound Healing in Rats with combined Soft- and Middle-Power Laser. Biomed. Eng. Biomed. Technol. 1990, 35, 98–101. [Google Scholar] [CrossRef] [PubMed]
- Aykol, G.; Baser, U.; Maden, I.; Kazak, Z.; Onan, U.; Tanrikulu-Kucuk, S.; Ademoglu, E.; Issever, H.; Yalcin, F. The Effect of Low-Level Laser Therapy as an Adjunct to Non-Surgical Periodontal Treatment. J. Periodontol. 2011, 82, 481–488. [Google Scholar] [CrossRef]
- Cortellini, P.; Tonetti, M.S. A minimally invasive surgical technique with an enamel matrix derivative in the regenerative treatment of intra-bony defects: A novel approach to limit morbidity. J. Clin. Periodontol. 2007, 34, 87–93. [Google Scholar] [CrossRef]
- Mishra, A.; Avula, H.; Pathakota, K.R.; Avula, J. Efficacy of modified minimally invasive surgical technique in the treatment of human intrabony defects with or without use of rhPDGF-BB gel—A randomized controlled trial. J. Clin. Periodontol. 2012, 40, 172–179. [Google Scholar] [CrossRef]
- Trombelli, L.; Farina, R.; Franceschetti, G.; Calura, G. Single-Flap Approach with Buccal Access in Periodontal Reconstructive Procedures. J. Periodontol. 2009, 80, 353–360. [Google Scholar] [CrossRef]
- Trombelli, L.; Simonelli, A.; Pramstraller, M.; Wikesjö, U.M.; Farina, R. Single Flap Approach With and Without Guided Tissue Regeneration and a Hydroxyapatite Biomaterial in the Management of Intraosseous Periodontal Defects. J. Periodontol. 2010, 81, 1256–1263. [Google Scholar] [CrossRef]
- Trombelli, L.; Simonelli, A.; Schincaglia, G.P.; Cucchi, A.; Farina, R. Single-Flap Approach for Surgical Debridement of Deep Intraosseous Defects: A Randomized Controlled Trial. J. Periodontol. 2012, 83, 27–35. [Google Scholar] [CrossRef]
- Farina, R.; Simonelli, A.; Rizzi, A.; Pramstraller, M.; Cucchi, A.; Trombelli, L. Early postoperative healing following buccal single flap approach to access intraosseous periodontal defects. Clin. Oral Investig. 2012, 17, 1573–1583. [Google Scholar] [CrossRef]
- Nomura, K.; Yamaguchi, M.; Abiko, Y. Inhibition of Interleukin-1β Production and Gene Expression in Human Gingival Fibroblasts by Low-energy Laser Irradiation. Lasers Med. Sci. 2001, 16, 218–223. [Google Scholar] [CrossRef] [PubMed]
- Aukhil, I. Biology of wound healing. Periodontology 2000, 22, 44–50. [Google Scholar] [CrossRef] [PubMed]
- Dörtbudak, O.; Haas, R.; Mailath-Pokorny, G. Biostimulation of bone marrow cells with a diode soft laser. Clin. Oral Implant. Res. 2000, 11, 540–545. [Google Scholar] [CrossRef] [PubMed]
- Wikesj, U.M.E.; Nilvéus, R. Periodontal Repair in Dogs: Effect of Wound Stabilization on Healing. J. Periodontol. 1990, 61, 719–724. [Google Scholar] [CrossRef]




| Parameters | Baseline (Mean ± SD) | 3 Months (Mean ± SD) | 6 Months (Mean ± SD) | Baseline to 3 Months (Mean ± SD) | Baseline to 6 Months (Mean ± SD) | 3 to 6 Months (Mean ± SD) |
|---|---|---|---|---|---|---|
| FMPS(%) [Control group] | 17.86 ± 1.109 | 25.22 ± 6.863 | 22.98 ± 6.030 | NA | NA | NA |
| FMPS(%) [Test group] | 18.36 ± 1.375 | 24.31 ± 5.229 | 20.42 ± 5.799 | NA | NA | NA |
| FMBS(%) [Control] | 18.19 ± 2.806 | 12.26 ± 3.404 | 10.75 ± 3.696 | NA | NA | NA |
| FMBS(%) [TEST] | 6.30 ± 1.196 | 3.12 ± 0.559 | 2.62 ± 0.406 | 3.25 ± 1.14 | 3.75 ± 0.910 | 0.88 ± 0.67 |
| PPD(mm) [Control] | 6.30 ± 1.196 | 3.12 ± 0.559 | 2.62 ± 0.406 | 3.25 ± 1.14 | 3.75 ± 0.910 | 0.88 ± 0.67 |
| PPD(mm) [Test] | 6.68 ± 0.963 | 3.08 ± 0.684 | 2.38 ± 0.582 | 3.60 ± 1.14 | 4.30 ± 0.95 | 0.70 ± 0.52 |
| CAL(mm) [Control] | 3.58 ± 1.042 | 1.48 ± 0.819 | 0.88 ± 0.626 | 2.10 ± 1.05 | 2.70 ± 1.36 | 0.60 ± 0.74 |
| CAL(mm) [Test] | 4.25 ± 1.323 | 1.32 ± 1.270 | 0.80 ± 1.342 | 2.93 ± 1.54 | 3.45 ± 1.22 | 0.53 ± 0.87 |
| t-Test for Equality of Means | ||||||
|---|---|---|---|---|---|---|
| Comparing FMPS Scores between Control and Test | ||||||
| FMPS | t | Df | Sig. (2-Tailed) | Mean Difference | 95% Confidence Interval of the Difference | |
| Lower | Upper | |||||
| Comparing control and test at baseline | −1.258 | 38 | 0.216 (NS) | −0.497 | −1.297 | 0.303 |
| Comparing control and test at 3 months | 0.472 | 38 | 0.639 (NS) | 0.912 | −2.994 | 4.817 |
| Comparing control and test at 6 months | 1.370 | 38 | 0.179 (NS) | 2.563 | −1.224 | 6.349 |
| FMBS | t | Df | Sig(2 Tailed) | Mean Difference | 95% Confidence Interval of the Difference | |
|---|---|---|---|---|---|---|
| Lower | Upper | |||||
| Comparing control and test at baseline | 2.166 | 38 | 0.037(sig) | 4.417 | 0.289 | 8.545 |
| Comparing control and test at 3 months | 2.260 | 38 | 0.030(sig) | 3.630 | 0.378 | 6.882 |
| Comparing control and test at 6 months | 2.710 | 38 | 0.010(sig) | 5.749 | 1.454 | 10.043 |
| Variable | Group | N | Mean | Std. Deviation | t-Test | p-Value |
|---|---|---|---|---|---|---|
| Baseline to 3 months | Control | 20 | 3.25 | 1.14 | −0.969 | 0.34(NS) |
| Test | 20 | 3.60 | 1.14 | |||
| Baseline to 6 months | Control | 20 | 3.75 | 0.91 | −1.868 | 0.07(sig) |
| Test | 20 | 4.30 | 0.95 | |||
| 3 to 6 months | Control | 20 | 0.88 | 0.67 | 0.924 | 0.36(NS) |
| Test | 20 | 0.70 | 0.52 |
| Variable | Group | N | Mean | Std. Deviation | t-Test | p-Value |
|---|---|---|---|---|---|---|
| Baseline to 3 months | Control | 20 | 2.10 | 1.05 | −1.981 | 0.05(sig) |
| Test | 20 | 2.93 | 1.54 | |||
| Baseline to 6 months | Control | 20 | 2.70 | 1.36 | −1.833 | 0.07(NS) |
| Test | 20 | 3.45 | 1.22 | |||
| 3 to 6 months | Control | 20 | 0.60 | 0.74 | 0.295 | 0.77(NS) |
| Test | 20 | 0.53 | 0.87 |
| EHI | t-Test for Equality of Means | |||||
| t | Df | Sig. (2-tailed) | Mean Difference | 95% Confidence Interval of the Difference | ||
| 1.453 | 38 | 0.154(NS) | 0.100 | lower | Upper | |
| −0.039 | 0.239 | |||||
Publisher’s Note: MDPI stays neutral with regard to jurisdictional claims in published maps and institutional affiliations. |
© 2022 by the authors. Licensee MDPI, Basel, Switzerland. This article is an open access article distributed under the terms and conditions of the Creative Commons Attribution (CC BY) license (https://creativecommons.org/licenses/by/4.0/).
Share and Cite
Silviya, S.; C.M., A.; Prakash, P.S.G.; Bahammam, S.A.; Bahammam, M.A.; Almarghlani, A.; Assaggaf, M.; Kamil, M.A.; Subramanian, S.; Balaji, T.M.; et al. The Efficacy of Low-Level Laser Therapy Combined with Single Flap Periodontal Surgery in the Management of Intrabony Periodontal Defects: A Randomized Controlled Trial. Healthcare 2022, 10, 1301. https://doi.org/10.3390/healthcare10071301
Silviya S, C.M. A, Prakash PSG, Bahammam SA, Bahammam MA, Almarghlani A, Assaggaf M, Kamil MA, Subramanian S, Balaji TM, et al. The Efficacy of Low-Level Laser Therapy Combined with Single Flap Periodontal Surgery in the Management of Intrabony Periodontal Defects: A Randomized Controlled Trial. Healthcare. 2022; 10(7):1301. https://doi.org/10.3390/healthcare10071301
Chicago/Turabian StyleSilviya, S., Anitha C.M., P.S.G. Prakash, Sarah Ahmed Bahammam, Maha A. Bahammam, Ammar Almarghlani, Mohammad Assaggaf, Mona Awad Kamil, Sangeetha Subramanian, Thodur Madapusi Balaji, and et al. 2022. "The Efficacy of Low-Level Laser Therapy Combined with Single Flap Periodontal Surgery in the Management of Intrabony Periodontal Defects: A Randomized Controlled Trial" Healthcare 10, no. 7: 1301. https://doi.org/10.3390/healthcare10071301
APA StyleSilviya, S., C.M., A., Prakash, P. S. G., Bahammam, S. A., Bahammam, M. A., Almarghlani, A., Assaggaf, M., Kamil, M. A., Subramanian, S., Balaji, T. M., & Patil, S. (2022). The Efficacy of Low-Level Laser Therapy Combined with Single Flap Periodontal Surgery in the Management of Intrabony Periodontal Defects: A Randomized Controlled Trial. Healthcare, 10(7), 1301. https://doi.org/10.3390/healthcare10071301

