Mixed Neuroendocrine Non-Neuroendocrine Neoplasms of the Gastrointestinal Tract: A Case Series
Abstract
:1. Introduction
2. Materials and Methods
3. Case Presentation
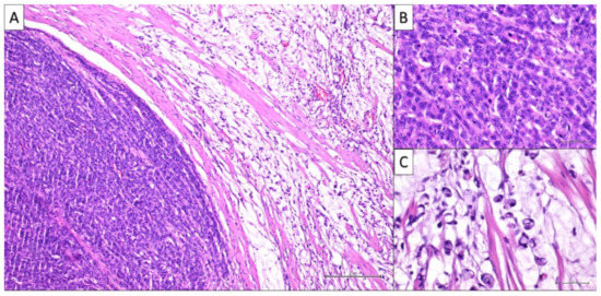
3.1. Case 1
3.2. Case 2
| Sample | Morphology | Immunohistochemistry | Sample | Morphology | Immunohistochemistry | |
|---|---|---|---|---|---|---|
| Case 1 | surgical | Two neoplastic neuroendocrine components: large-size cells (20% of the whole neoplasm, Ki 67%: 50%), and small-size cells (80% of the whole mass, Ki 67: 90%). Five out of seven nodes showed metastic involvement by the neoplastic neuroendocrine population Revision: Presence of focal epithelial high-grade dysplasia | Chromogranin A and CD56 positive in both the populations. | Surgical | Cells arranged in glands were described in tunica submucosa, muscularis, and subserosa without involving serosa and mucosa. | Positivity for CK19, CK7, and CDX2; CD56, chromogranin, and synaptophysin all negative. |
| Case 2 | bioptic | Cells characterized by scant eosinophilic cytoplasm, finely granular chromatin, arranged in the lamina propria in an organoid growth pattern. Ki 67 > 55%. Revision: Colorectal high-grade dysplasia along with cells characterized by scant eosinophilic cytoplasm, finely granular chromatin arranged in the lamina propria in an organoid growth pattern. | Not performed due to the scarcity of tumor sample. | Surgical liver | Poorly differentiated neoplasia (Ki 67: 95%). | Positivity for CDX2 and CK20; chromogranin and synaptophysin negative. |
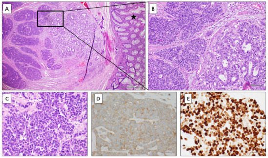
| Case 3 | surgical | Two neoplastic components: a colorectal adenocarcinoma G2 occupying 60% of the whole neoplasm and a neuroendocrine carcinoma (40% of the tumor) composed of small cells. Several necrotic areas were present Tumor deposits of neuroendocrine cells were detected. Tunica serosa was infiltrated and ulcerated by both the populations as well as one node out of 11. | Focal positivity for CK20, synaptophysin, and CDX2. | |||
| Case 4 | surgical | Two populations, each occupying 50% of the whole mass: mucinous adenocarcinoma with signet ring cells and neuroendocrine carcinoma. Tumor cells, diffusely occupied submucosa and muscolaris tunica with just focal mucosal involvement. One out of seven nodes showed neoplastic involvement by both the populations. | High and diffuse positivity for CK19 and CDX2; low but diffuse positivity for CK20; CK-7 negative. Neuroendocrine markers were just focally positive (dispersed). |
| First NGS | MS | TMB | VUS | Sample | Diagnosis | Second NGS | MS | TMB | VUS | Sample | Diagnosis | |
|---|---|---|---|---|---|---|---|---|---|---|---|---|
| Case 1 | AKT2 amplification AXL amplification CCNE1 amplification MYCL1 amplification MAP2K4 loss RB1 loss exons 1–2 TP53 R273H | MSS | Low (4 Muts/Mb) | Common: ERBB3 L1177I JAK3 E113K and I63V MED12 L1348F SDHC L14F Not shared: CD22 amplification CD79A amplification CEBPA amplification CIC amplification DOT1L T1460K TET2 F1597L | Surgical | NEC of unknown origin Revision: Presence of focal epithelial high-grade dysplasia | TP53 R273H DNMT3A R676W—subclonal | MSS | Low (1 Muts/Mb) | Common: ERBB3 L1177I JAK3 I63V MED12 L1348F SDHC L14F | Surgical | Metastases of colon adenocarcinoma |
| Case 2 | KRASG12V FBXW7W673* PTEN N276K RICTOR amplification—equivocal APC D1486fs*21 TP53 R175H | MSS | Intermediate (13 Muts/Mb) | Common: BCORL1 N1473I DOT1L P1354L FANCC D306E KDR A379V MAP3K1 S939C MED12 Q2119_Q2120insHQQQ PIK3C2G F89Y SMAD4 Y353H RICTOR I253V Not shared: NTRK3 H521D | bioptic | NEC of colon Revision: Presence of high-grade dysplasia in a context of neuronendocrine cells | KRAS G12V FBXW7 W673* PTEN N276K APC D1486fs*21 TP53 R175H | MSS | Intermediate (12 Muts/Mb) | Common: BCORL1 N1473I DOT1L P1354L FANCC D306E KDR A379V MAP3K1 S939C MED12 Q2119_Q2120insHQQQ PIK3C2G F89Y SMAD4 Y353H RICTOR I253V + amplification Not shared: FGF10 amplification SDHA amplification RICTOR amplification | Surgical liver | Colorectal adenocarcinoma |
| Case 3 | KRAS G12D APC R876* I1557fs*1 FAM123B R601* TP53 R196* C242F Not shared: SMAD4 P356L MYC-N amplification | MSS | 8 Muts/Mb | Common ATR D331G BRIP1 R106C CD79A T75M HGF W329L LTK V113L Not shared: DIS3 amplification FGF14 amplification FGF6 G187R IRS2 amplification | Surgical | MINEC (colorectal adenocarcinoma G2+ NEC) | KRAS G12D APC R876*, I1557fs*1 FAM123B R601* TP53 R196* Not shared: ASXL1 R1415* DNMT3A W440*, N552fs*99 ERBB2 S310Y STAG2 splice site 2924+2T>G | MSS | 8 Muts/Mb | Common: ATR D331G BRIP1 R106C CD79A T75M HGF W329L LTK V113L Not shared: DNMT3A I369F EPHB1 P844S MAP3K13 R474Q ATM F2485G PDGFRA H425R RICTOR V120fs*2 | Blood | Colorectal MINEC |
| Case 4 | NF1 loss exons 1–36 CTNNB1 D32N TP53 K382fs*40 IRS2 amplification | MSS | 8 Muts/Mb | CDH1 D587N DIS3 K923N ERBB4 M887I FGF12 G82* NTRK1 G714S NTRK3 I533L PIK3C2B D777A PIK3C2G I232T STK11 S240L TEK I591V | Surgical | MINEC (mucinous adenocarcinoma + NEC) of unknown primary origin (gastric, colon?) | Not available |
3.3. Case 3
3.4. Case 4
4. Discussion
5. Conclusions
Author Contributions
Funding
Institutional Review Board Statement
Informed Consent Statement
Data Availability Statement
Acknowledgments
Conflicts of Interest
References
- De Mestier, L.; Cros, J.; Neuzillet, C.; Hentic, O.; Egal, A.; Muller, N.; Bouché, O.; Cadiot, G.; Ruszniewski, P.; Couvelard, A.; et al. Digestive System Mixed Neuroendocrine-Non-Neuroendocrine Neoplasms. Neuroendocrinology 2017, 105, 412–425. [Google Scholar] [CrossRef] [PubMed]
- Lloyd, R.V.; Osamura, R.Y.; Klöppel, G.; Rosai, J. Who Classification of Tumours of Endocrine Organs, 4th ed.; International Agency for Research on Cancer (IARC): Lyon, France, 2017. [Google Scholar]
- WHO Classification of Tumours Editorial Board. WHO Classification of Tumours. Digestive System Tumours, 5th ed.; International Agency for Research on Cancer (IARC): Lyon, France, 2019. [Google Scholar]
- Brathwaite, S.A.; Smith, S.M.; Wai, L.; Frankel, W.; Hays, J.; Yearsley, M.M.; Abdel-Misih, S. Mixed adenoneuroendocrine carcinoma: A review of pathologic characteristics. Hum. Pathol. 2018, 73, 184–191. [Google Scholar] [CrossRef] [PubMed]
- Frizziero, M.; Chakrabarty, B.; Nagy, B.; Lamarca, A.; Hubner, R.A.; Valle, J.W.; McNamara, M.G. Mixed Neuroendocrine Non-Neuroendocrine Neoplasms: A Systematic Review of a Controversial and Underestimated Diagnosis. J. Clin. Med. 2020, 9, 273. [Google Scholar] [CrossRef] [PubMed] [Green Version]
- La Rosa, S.; Sessa, F.; Uccella, S. Mixed Neuroendocrine-Nonneuroendocrine Neoplasms (MiNENs): Unifying the Concept of a Heterogeneous Group of Neoplasms. Endocr. Pathol. 2016, 27, 284–311. [Google Scholar] [CrossRef]
- Uccella, S.; La Rosa, S. Looking into digestive mixed neuroendocrine-nonneuroendocrine neoplasms: Subtypes, prognosis, and predictive factors. Histopathology 2020, 77, 700–717. [Google Scholar] [CrossRef]
- La Rosa, S.; Marando, A.; Sessa, F.; Capella, C. Mixed Adenoneuroendocrine Carcinomas (MANECs) of the Gastrointestinal Tract: An Update. Cancers 2012, 4, 11–30. [Google Scholar] [CrossRef] [Green Version]
- Scardoni, M.; Vittoria, E.; Volante, M.; Rusev, B.; Bersani, S.; Mafficini, A.; Gottardi, M.; Giandomenico, V.; Malleo, G.; Butturini, G.; et al. Mixed Adenoneuroendocrine Carcinomas of the Gastrointestinal Tract: Targeted Next-Generation Sequencing Suggests a Monoclonal Origin of the Two Components. Neuroendocrinology 2014, 100, 310–316. [Google Scholar] [CrossRef]
- Woischke, C.; Schaaf, C.W.; Yang, H.-M.; Vieth, M.; Veits, L.; Geddert, H.; Märkl, B.; Stömmer, P.; Schaeffer, D.F.; Frölich, M.; et al. In-depth mutational analyses of colorectal neuroendocrine carcinomas with adenoma or adenocarcinoma components. Mod. Pathol. 2017, 30, 95–103. [Google Scholar] [CrossRef]
- Jesinghaus, M.; Konukiewitz, B.; Keller, G.; Kloor, M.; Steiger, K.; Reiche, M.; Penzel, R.; Endris, V.; Arsenic, R.; Hermann, G.; et al. Colorectal mixed adenoneuroendocrine carcinomas and neuroendocrine carcinomas are genetically closely related to colorectal adenocarcinomas. Mod. Pathol. 2017, 30, 610–619. [Google Scholar] [CrossRef] [Green Version]
- Ishida, S.; Akita, M.; Fujikura, K.; Komatsu, M.; Sawada, R.; Matsumoto, H.; Saegusa, J.; Itoh, T.; Kakeji, Y.; Zen, Y. Neuroendocrine carcinoma and mixed neuroendocrine-non-neuroendocrine neoplasm of the stomach: A clinicopathological and exome sequencing study. Hum. Pathol. 2021, 110, 1–10. [Google Scholar] [CrossRef]
- Vanacker, L.; Smeets, D.; Hoorens, A.; Teugels, E.; Algaba, R.; Dehou, M.F.; De Becker, A.; Lambrechts, D.; De Greve, J. Mixed adenoneuroendocrine carcinoma of the colon: Molecular pathogenesis and treatment. Anticancer Res. 2014, 34, 5517–5521. [Google Scholar]
- Sinha, N.; Gaston, D.; Manders, D.; Goudie, M.; Matsuoka, M.; Xie, T.; Huang, W.-Y. Characterization of genome-wide copy number aberrations in colonic mixed adenoneuroendocrine carcinoma and neuroendocrine carcinoma reveals recurrent amplification of PTGER4 and MYC genes. Hum. Pathol. 2018, 73, 16–25. [Google Scholar] [CrossRef]
- Garcia-Carbonero, R.; Sorbye, H.; Baudin, E.; Raymond, E.; Wiedenmann, B.; Niederle, B.; Sedlackova, E.; Toumpanakis, C.; Anlauf, M.; Cwikla, J.M.; et al. Vienna Consensus Conference participants. ENETS Consensus Guidelines for High-Grade Gastroenteropancreatic Neuroendocrine Tumors and Neuroendocrine Carcinomas. Neuroendocrinology 2016, 103, 186–194. [Google Scholar] [CrossRef] [Green Version]
- FoundationOne Medicine Site. Available online: https://www.foundationmedicine.it/ (accessed on 30 October 2021).
- Zhang, J.; Yang, C.; Wu, C.; Cui, W.; Wang, L. DNA Methyltransferases in Cancer: Biology, Paradox, Aberrations, and Targeted Therapy. Cancers 2020, 12, 2123. [Google Scholar] [CrossRef]
- Rahman, M.; Qian, Z.R.; Wang, E.L.; Yoshimoto, K.; Nakasono, M.; Sultana, R.; Yoshida, T.; Hayashi, T.; Haba, R.; Ishida, M.; et al. DNA methyltransferases 1, 3a, and 3b overexpression and clinical significance in gastroenteropancreatic neuroendocrine tumors. Hum. Pathol. 2010, 41, 1069–1078. [Google Scholar] [CrossRef]
- Gao, J.; Aksoy, B.A.; Dogrusoz, U.; Dresdner, G.; Gross, B.E.; Sumer, S.O.; Sun, Y.; Jacobsen, A.; Sinha, R.; Larsson, E.; et al. Integrative Analysis of Complex Cancer Genomics and Clinical Profiles Using the cBioPortal. Sci. Signal. 2013, 6, pl1. [Google Scholar] [CrossRef] [Green Version]
- Tate, J.G.; Bamford, S.; Jubb, H.C.; Sondka, Z.; Beare, D.M.; Bindal, N.; Boutselakis, H.; Cole, C.G.; Creatore, C.; Dawson, E.; et al. COSMIC: The Catalogue of Somatic Mutations in Cancer. Nucleic Acids Res. 2019, 47, D941–D947. [Google Scholar] [CrossRef] [Green Version]
- Anastas, J.N.; Moon, R.T. WNT signalling pathways as therapeutic targets in cancer. Nat. Rev. Cancer 2013, 13, 11–26. [Google Scholar] [CrossRef]
- Galván, J.A.; Astudillo, A.; Vallina, A.; Fonseca, P.J.; Gomez-Izquierdo, L.; Garcia-Carbonero, R.; González, M.A.A. Epithelial-Mesenchymal Transition Markers in the Differential Diagnosis of Gastroenteropancreatic Neuroendocrine Tumors. Am. J. Clin. Pathol. 2013, 140, 61–72. [Google Scholar] [CrossRef] [Green Version]
- Pei, X.; Xiang, L.; Chen, W.; Jiang, W.; Yin, L.; Shen, X.; Zhou, X.; Yang, H. The next generation sequencing of cancer-related genes in small cell neuroendocrine carcinoma of the cervix. Gynecol. Oncol. 2021, 161, 779–786. [Google Scholar] [CrossRef]
- Lee, M.-S.; Jung, K.; Song, J.-Y.; Sung, M.-J.; Ahn, S.-B.; Lee, B.; Oh, D.-Y.; Choi, Y.-L. IRS2 Amplification as a Predictive Biomarker in Response to Ceritinib in Small Cell Lung Cancer. Mol. Ther. Oncolytics 2020, 16, 188–196. [Google Scholar] [CrossRef] [PubMed] [Green Version]
- Kim, K.-B.; Dunn, C.T.; Park, K.-S. Recent progress in mapping the emerging landscape of the small-cell lung cancer genome. Exp. Mol. Med. 2019, 51, 1–13. [Google Scholar] [CrossRef] [PubMed] [Green Version]
- Derks, J.L.; Leblay, N.; Lantuejoul, S.; Dingemans, A.-M.C.; Speel, E.-J.M.; Fernandez-Cuesta, L. New Insights into the Molecular Characteristics of Pulmonary Carcinoids and Large Cell Neuroendocrine Carcinomas, and the Impact on Their Clinical Management. J. Thorac. Oncol. 2018, 13, 752–766. [Google Scholar] [CrossRef] [PubMed] [Green Version]



Publisher’s Note: MDPI stays neutral with regard to jurisdictional claims in published maps and institutional affiliations. |
© 2022 by the authors. Licensee MDPI, Basel, Switzerland. This article is an open access article distributed under the terms and conditions of the Creative Commons Attribution (CC BY) license (https://creativecommons.org/licenses/by/4.0/).
Share and Cite
Guerrera, L.P.; Suarato, G.; Napolitano, R.; Perrone, A.; Caputo, V.; Ventriglia, A.; Martini, G.; Della Corte, C.M.; Orditura, M.; Martinelli, E.; et al. Mixed Neuroendocrine Non-Neuroendocrine Neoplasms of the Gastrointestinal Tract: A Case Series. Healthcare 2022, 10, 708. https://doi.org/10.3390/healthcare10040708
Guerrera LP, Suarato G, Napolitano R, Perrone A, Caputo V, Ventriglia A, Martini G, Della Corte CM, Orditura M, Martinelli E, et al. Mixed Neuroendocrine Non-Neuroendocrine Neoplasms of the Gastrointestinal Tract: A Case Series. Healthcare. 2022; 10(4):708. https://doi.org/10.3390/healthcare10040708
Chicago/Turabian StyleGuerrera, Luigi Pio, Gabriella Suarato, Rossella Napolitano, Alessandra Perrone, Vincenza Caputo, Anna Ventriglia, Giulia Martini, Carminia Maria Della Corte, Michele Orditura, Erika Martinelli, and et al. 2022. "Mixed Neuroendocrine Non-Neuroendocrine Neoplasms of the Gastrointestinal Tract: A Case Series" Healthcare 10, no. 4: 708. https://doi.org/10.3390/healthcare10040708
APA StyleGuerrera, L. P., Suarato, G., Napolitano, R., Perrone, A., Caputo, V., Ventriglia, A., Martini, G., Della Corte, C. M., Orditura, M., Martinelli, E., Ciardiello, F., Montella, M., Franco, R., Troiani, T., & Napolitano, S. (2022). Mixed Neuroendocrine Non-Neuroendocrine Neoplasms of the Gastrointestinal Tract: A Case Series. Healthcare, 10(4), 708. https://doi.org/10.3390/healthcare10040708

