Giant Sternal Chondrosarcoma in a 50-Year-Old Patient
Abstract
1. Introduction
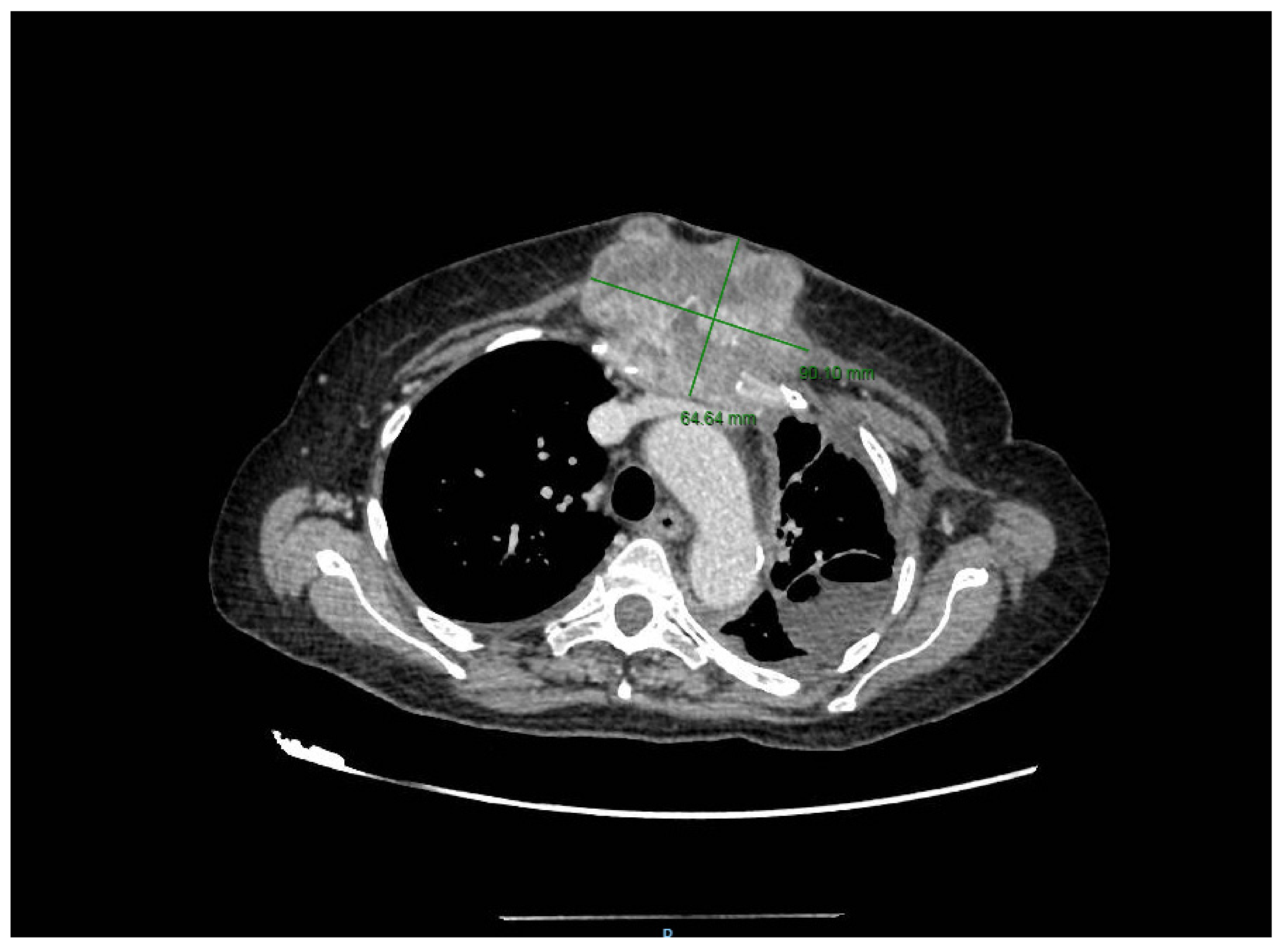
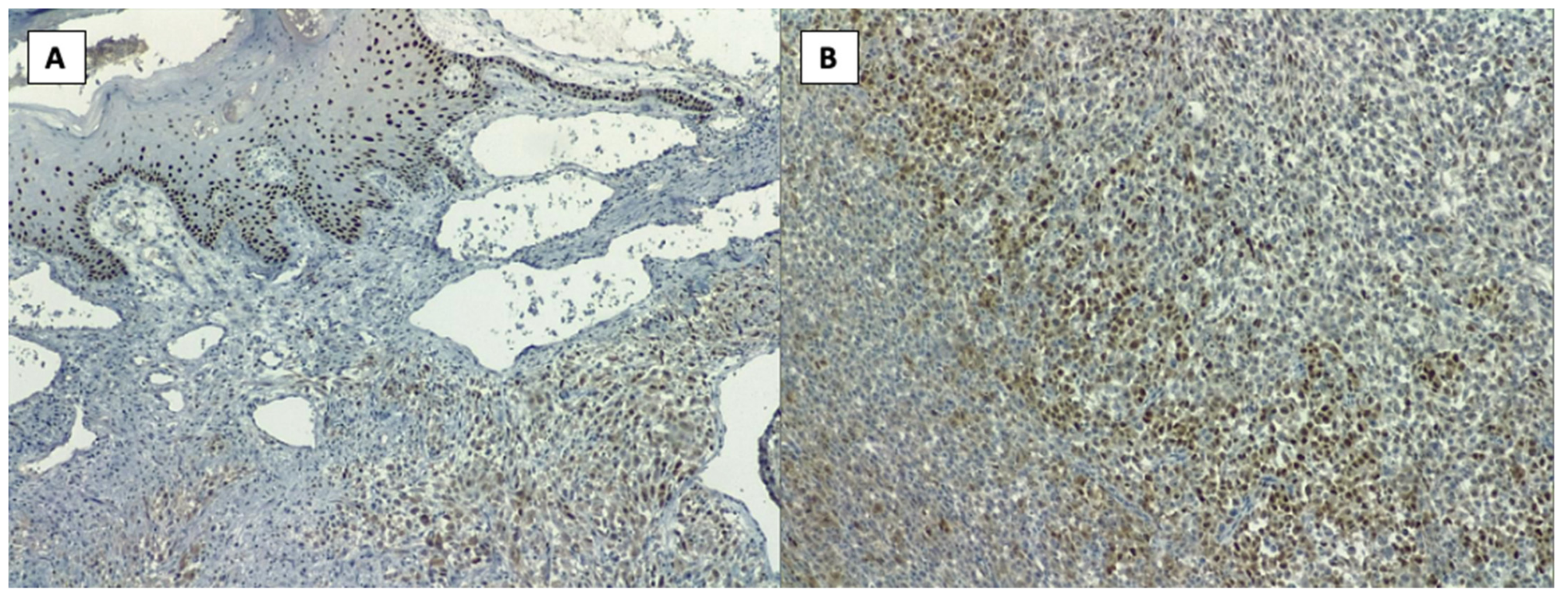
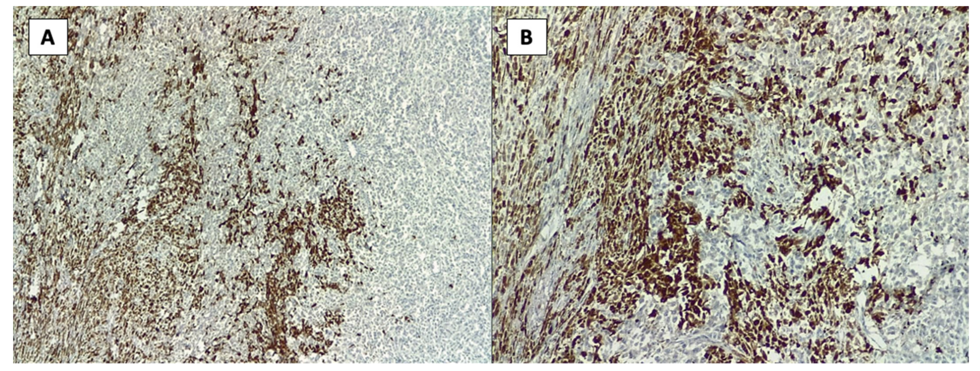
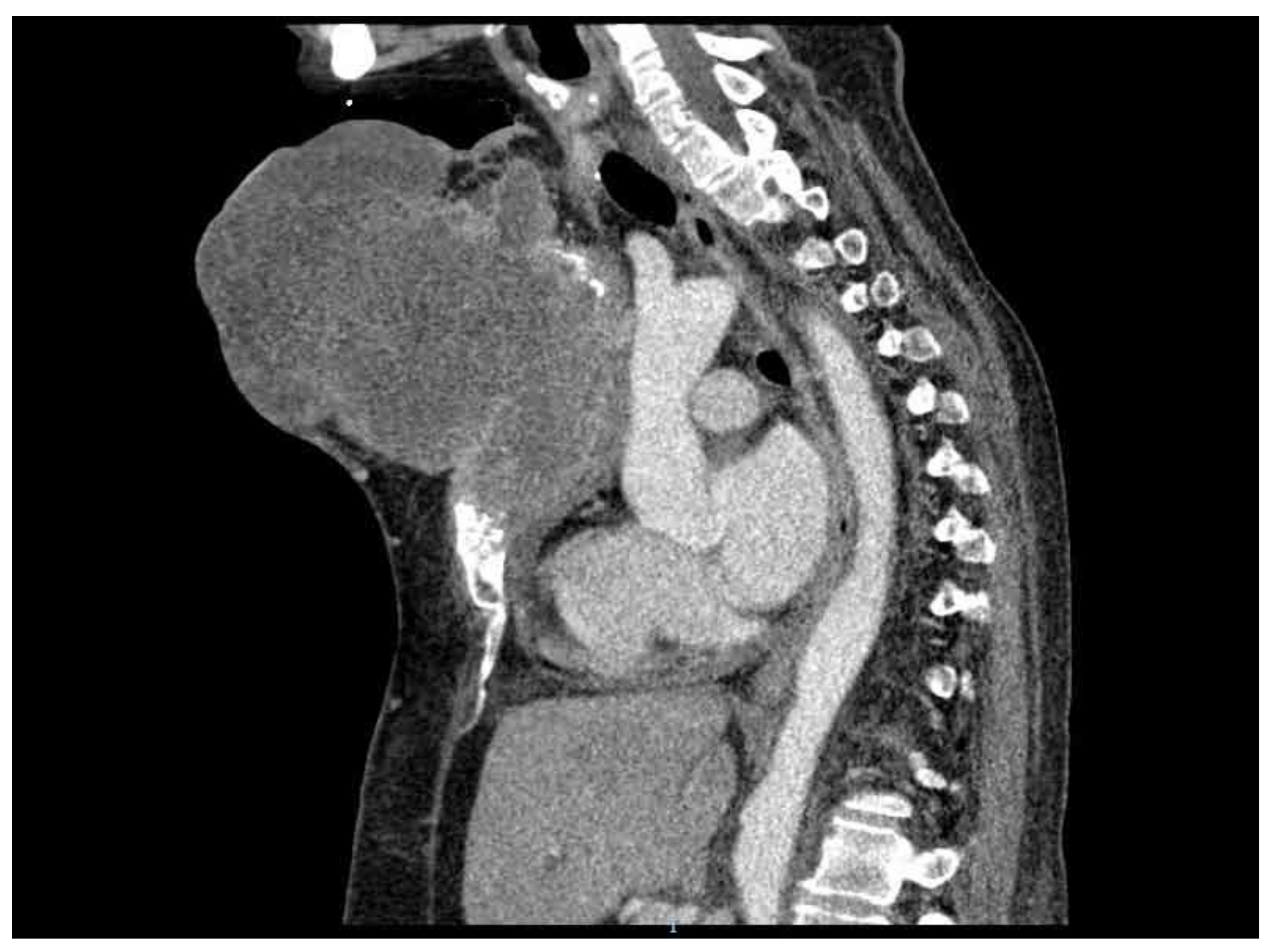
2. Case Presentation
3. Discussion
4. Conclusions
Author Contributions
Funding
Institutional Review Board Statement
Informed Consent Statement
Data Availability Statement
Acknowledgments
Conflicts of Interest
References
- Pairolero, P.C. Chest wall tumors. In General Thoracic Surgery, 5th ed.; Shields, T.W., LoCicero, J., III, Ponn, R.B., Eds.; Lippincott Williams & Wilkins: Philadelphia, PA, USA, 1999; pp. 589–598. [Google Scholar]
- Ashford, R.U.; Stanton, J.; Khan, F.; Pringle, J.A.; Cannon, S.R.; Briggs, T.W. Surgical treatment of chondrosarcoma of the sternum. Sarcoma 2001, 5, 209–213. [Google Scholar] [CrossRef] [PubMed]
- He, B.; Huang, Y.; Li, P.; Ye, X.; Lin, F.; Huang, L.; Gao, S.; Shi, H.; Shan, Y. A rare case of primary chondrosarcoma arising from the sternum: A case report. Oncol. Lett. 2014, 8, 2233–2236. [Google Scholar] [CrossRef] [PubMed][Green Version]
- Chapelier, A.R.; Missana, M.C.; Couturaud, B. Sternal resection and reconstruction for primary malignant tumors. Ann. Thorac. Surg. 2004, 77, 1001–1006. [Google Scholar] [CrossRef] [PubMed]
- Gonfiotti, A.; Santini, P.F.; Campanacci, D.; Innocenti, M.; Ferrarello, S.; Caldarella, A.; Janni, A. Malignant primary chest-wall tumours: Techniques of reconstruction and survival. Eur. J. Cardiothorac. Surg. 2010, 38, 39–45. [Google Scholar] [CrossRef] [PubMed]
- Vaporciyan, A.A.; Swisher, S.G. Thoracic malignancies. In The M.D. Anderson Surgical Oncology Handbook, 2nd ed.; Feig, B.W., Berger, D.H., Fuhrman, G.M., Eds.; Lippincott Williams & Wilkins: Houston, TX, USA, 1999; pp. 109–129. [Google Scholar]
- Pairolero, P.C.; Arnold, P.G. Chest wall tumors. Experience with 100 consecutive patients. J. Thorac. Cardiovasc. Surg. 1985, 90, 367–372. [Google Scholar] [CrossRef]
- Buzatu, M.; Geanta, V.; Stefanoiu, R.; Butu, M.; Petrescu, M.I.; Buzatu, M.; Antoniac, I.; Iacob, G.; Niculescu, F.; Ghica, S.I.; et al. Investigations into Ti-15Mo-W alloys developed for medical applications. Materials 2019, 12, 147. [Google Scholar] [CrossRef] [PubMed]
- Costache, V.; Gaudreau, G.; Houde, C.; Rodière, M.; Hacini, R.; Blin, D.; Chavanon, O. The association of VAC® therapy, titanium plates osteosynthesis and bilateral pectoral muscle flaps in the management of postoperative mediastinitis in an obese and diabetic patient. Ann. Chir. Plast. Esthet. 2010, 55, 597–602. [Google Scholar] [CrossRef] [PubMed]
- Buzatu, M.; Geanta, V.; Stefanoiu, R.; Butu, M.; Petrescu, M.I.; Buzatu, M.; Ghica, S.I.; Antoniac, I.; Iacob, G.; Niculescu, F.; et al. Mathematical modeling for correlation of the resistance to compression with the parameters Md, Bo and e/a, for the design of titanium beta alloys developed for medical applications. UPB Sci. Bull. Ser. B Chem. Mater. Sci. 2019, 81, 183–192. [Google Scholar]
- Christopher, D.M.; Fletcher, K.; Unni, K.; Mertens, F. Pathology and Genetics of Tumours of Soft Tissue and Bone. In World Health Organization Classification of Tumours; Paul, K., Sobin, L.H., Eds.; IARC Press: Lyon, France, 2002; pp. 247–251. [Google Scholar]
- Matsumoto, K.; Sano, I.; Nakamura, A.; Morino, S.; Yamasaki, N.; Tsuchiya, T.; Miyazaki, T.; Nagayasu, T. Anterior chest wall reconstruction with titanium plate sandwiched between two polypropylene sheets. Gen. Thorac. Cardiovasc. Surg. 2012, 60, 590–592. [Google Scholar] [CrossRef] [PubMed]
- McAfee, M.K.; Pairolero, P.C.; Bergstralh, E.J.; Piehler, J.M.; Unni, K.K.; McLeod, R.A.; Bernatz, P.E.; Payne, W.S. Chondrosarcoma of the chest wall: Factors affecting survival. Ann. Thorac. Surg. 1985, 40, 535–541. [Google Scholar] [CrossRef]
- Eng, J.; Sabanathan, S.; Pradhan, G.N.; Mearns, A.J. Primary bony chest wall tumours. J. R. Coll. Surg. Edinb. 1990, 35, 44–47. [Google Scholar] [PubMed]
- Oprea, A.; Molnar, A.; Turturica, S.; Mot, S.; Iancu, A.; Kovacs, E.; Marc, M.; Cocoi, M.; Sacui, D.; Trifan, C.; et al. The best approach for patients with stable coronary disease: The importance of a multidisciplinary heart team. Chirurgia 2020, 115, 626–634. [Google Scholar] [CrossRef] [PubMed]
- Suzuki, K.; Park, B.J.; Adusumilli, P.S.; Rizk, N.P.; Huang, J.; Jones, D.R.; Bains, M.S. Chest Wall Reconstruction Using a Methyl Methacrylate Neo-Rib and Mesh. Ann. Thorac. Surg. 2015, 100, 744–747. [Google Scholar] [CrossRef] [PubMed][Green Version]
- Muehlberger, T.F.R.C.S.; Fischer, P.M.R.C.S.; Lehnhardt, M.M.D. Chondroma or Chondrosarcoma? An Indication for Sternum Resection. Plast. Reconstr. Surg. 2008, 121, 145e–146e. [Google Scholar] [CrossRef] [PubMed]
- Moldovan, H.; Plopeanu, E.; Dan, G.; Vasilescu, M.; Dobrescu, M.; Milea, C.; Earar, K.; Gheorghita, D. Contributions on biodegradability of Mg-Ca alloys for orthopedic implants. Univ. Politeh. Buchar. Sci. Bull. Ser. B Chem. Mater. Sci. 2018, 80, 229–246. [Google Scholar]
- Yousefi, Y.; Sadrizadeh, A.; Sadrizadeh, S. Huge sternal chondrosarcoma: A case report. Asian Cardiovasc. Thorac. Ann. 2018, 26, 632–634. [Google Scholar] [CrossRef] [PubMed]
- Incarbone, M.; Nava, M.; Lequaglie, C.; Ravasi, G.; Pastorino, U. Sternal resection for primary or secondary tumors. J. Thorac. Cardiovasc. Surg. 1997, 114, 93–99. [Google Scholar] [CrossRef]
- Soysal, O.; Walsh, G.L.; Nesbitt, J.C.; McMurtrey, M.J.; Roth, J.A.; Putnam, J.B. Resection of sternal tumors: Extent, reconstruction, and survival. Ann. Thorac. Surg. 1995, 60, 1353–1359. [Google Scholar] [CrossRef]
- Nosotti, M.; Rosso, L.; Mendogni, P.; Tosi, D.; Palleschi, A.; Parafioriti, A.; Santambrogio, L. Sternal reconstruction for unusual chondrosarcoma: Innovative technique. J. Cardiothorac. Surg. 2012, 7, 40. [Google Scholar] [CrossRef] [PubMed]
- Haraguchi, S.; Hioki, M.; Hisayoshi, T.; Yamashita, K.; Yamashita, Y.; Kawamura, J.; Hirata, T.; Yamagishi, S.; Koizumi, K.; Shimizu, K. Resection of sternal tumors and reconstruction of the thorax: A review of 15 patients. Surg. Today 2006, 36, 225–229. [Google Scholar] [CrossRef] [PubMed]













Publisher’s Note: MDPI stays neutral with regard to jurisdictional claims in published maps and institutional affiliations. |
© 2022 by the authors. Licensee MDPI, Basel, Switzerland. This article is an open access article distributed under the terms and conditions of the Creative Commons Attribution (CC BY) license (https://creativecommons.org/licenses/by/4.0/).
Share and Cite
Pavelescu, C.; Bebliuc, A.; Asmarandei, R.; Safta, M.S.; Zaharia, O.; Costache, V.S.; Molnar, A.; Gheorghiță, D.; Voica, C.; Moldovan, H. Giant Sternal Chondrosarcoma in a 50-Year-Old Patient. Healthcare 2022, 10, 158. https://doi.org/10.3390/healthcare10010158
Pavelescu C, Bebliuc A, Asmarandei R, Safta MS, Zaharia O, Costache VS, Molnar A, Gheorghiță D, Voica C, Moldovan H. Giant Sternal Chondrosarcoma in a 50-Year-Old Patient. Healthcare. 2022; 10(1):158. https://doi.org/10.3390/healthcare10010158
Chicago/Turabian StylePavelescu, Cezar, Alexandru Bebliuc, Rareș Asmarandei, Maria Sabina Safta, Ondin Zaharia, Victor Sebastian Costache, Adrian Molnar, Daniela Gheorghiță, Cristian Voica, and Horațiu Moldovan. 2022. "Giant Sternal Chondrosarcoma in a 50-Year-Old Patient" Healthcare 10, no. 1: 158. https://doi.org/10.3390/healthcare10010158
APA StylePavelescu, C., Bebliuc, A., Asmarandei, R., Safta, M. S., Zaharia, O., Costache, V. S., Molnar, A., Gheorghiță, D., Voica, C., & Moldovan, H. (2022). Giant Sternal Chondrosarcoma in a 50-Year-Old Patient. Healthcare, 10(1), 158. https://doi.org/10.3390/healthcare10010158

