Research and Implementation of Denoising Algorithm for Brain MRIs via Morphological Component Analysis and Adaptive Threshold Estimation
Abstract
1. Introduction
2. Materials and Methods
2.1. Datasets
2.2. Noise Model for MRIs
2.3. Variance-Stabilizing Transformation (VST)
2.4. Morphological Component Analysis (MCA)


2.5. Dictionary Selection
2.6. Architecture of Proposed Method
- Step 1: Use VST to convert the Rician distribution of noise in the MRI into a Gaussian distribution.
- Step 2: Sparse decomposition of image: sparsely decompose the image by MCA, so as to separate the high frequency part and low frequency part of the image, and use the CT dictionary and the LDCT dictionary as the sub-dictionaries to represent the smooth part and texture details.
- Step 3: Design of adaptive threshold function: use the adaptive threshold estimation method based on wavelet transform to set the threshold [39] separately for the low frequency area sparsely represented by CT dictionary, and the high frequency area sparsely represented by LDCT dictionary. The threshold processing strategy we adopted is a hard threshold, and the processing is as follows:

- Step 4: Denoise each sparse layer of the image through different thresholds acquired from the adaptive threshold strategy inStep 3, separately.
- Step 5: Do inverse wavelet transform to obtain the denoised low frequency part and denoised high frequency part, and use inverse MCA to combine the two parts.
- Step 6: Construct the final denoised MRI by operating inverse VST.
2.7. Evaluation Criteria
2.8. Statistical Analysis
3. Results
3.1. Denoising Results on Synthetic MRIs
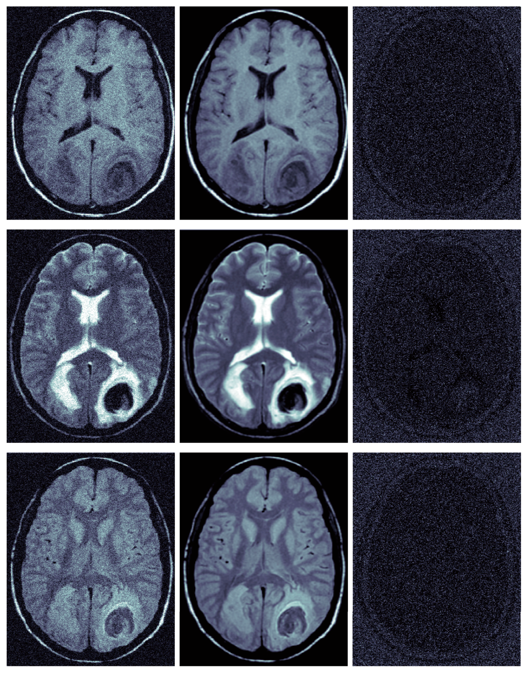
3.2. Evaluation of Real Clinical MRIs
3.3. Evaluation Focused on Diagnostic Tasks
4. Discussion
5. Conclusions
Author Contributions
Funding
Data Availability Statement
Acknowledgments
Conflicts of Interest
References
- Theodorou, D.J.; Theodorou, S.J.; Petsanas, A.P. Whole-body MR imaging for improved detection of neurofibromatosis: An integrated technical note to estimate true extent. Neurosurg. Rev. 2023, 46, 236. [Google Scholar] [CrossRef]
- Mishro, P.K.; Agrawal, S.; Panda, R.; Abraham, A. A survey on state-of-the-art denoising techniques for brain magnetic resonance images. IEEE Rev. Biomed. Eng. 2022, 15, 184–199. [Google Scholar] [CrossRef] [PubMed]
- Yu, H.; Ding, M.; Zhang, X. Laplacian eigenmaps network-based nonlocal means method for MR image denoising. Sensors 2019, 19, 2918. [Google Scholar] [CrossRef] [PubMed]
- Shukla, V.; Khandekar, P.; Khaparde, A. Noise estimation in 2D MRI using DWT coefficients and optimized neural network. Biomed. Signal Process. Control 2022, 71, 103225. [Google Scholar] [CrossRef]
- Henkelman, R.M. Measurement of signal intensities in the presence of noise in MR images. Med. Phys. 1985, 12, 232–233. [Google Scholar] [CrossRef] [PubMed]
- Hill, D.; Williams, S.; Hawkes, D.; Smith, S. IXI Dataset: IXI-Information Extraction from Images Project (EPSRC GR/S21533/02). 2021. Available online: https://brain-development.org/ixi-dataset (accessed on 1 January 2024).
- Ilesanmi, A.E.; Ilesanmi, T.O. Methods for image denoising using convolutional neural network: A review. Complex Intell. Syst. 2021, 7, 2179–2198. [Google Scholar] [CrossRef]
- Salamat, N.; Missen, M.M.S.; Prasath, V.B.S. Recent developments in computational color image denoising with PDEs to deep learning: A review. Artif. Intell. Rev. 2021, 54, 6245–6276. [Google Scholar] [CrossRef]
- Kaur, A.; Dong, G.F. A complete review on image denoising techniques for medical images. Neural. Process. Lett. 2023, 55, 7807–7850. [Google Scholar] [CrossRef]
- Singh, A.K. Major development under Gaussian filtering since unscented Kalman filter. IEEE/CAA J. Autom. Sin. 2020, 7, 1308–1325. [Google Scholar] [CrossRef]
- Liu, R.; Li, Y.; Wang, H.; Liu, J. A noisy multi-objective optimization algorithm based on mean and Wiener filters. Knowl.-Based Syst. 2021, 228, 107215. [Google Scholar] [CrossRef]
- Liang, W.; Long, J.; Li, K.C.; Xu, J.; Lei, X. A fast defogging image recognition algorithm based on Bilateral Hybrid filtering. ACM Trans. Multimed. Comput. Commun. Appl. 2021, 17, 42. [Google Scholar] [CrossRef]
- Shi, B.L.; Li, M.X.; Luo, Y.F. Adaptively weighted difference model of anisotropic and isotropic total variation for image denoising. J. Nonlinear Var. Anal. 2023, 7, 563–580. [Google Scholar] [CrossRef]
- Bhujle, H.V.; Vadavadagi, B.H. NLM based magnetic resonance image denoising—A review. Biomed. Signal Process. Control 2019, 47, 252–261. [Google Scholar] [CrossRef]
- Elaiyaraja, G.; Kumaratharan, N.; Rao, T.C.S. Fast and efficient filter using wavelet threshold for removal of Gaussian noise from MRI/CT scanned medical images/color video sequence. IETE J. Res. 2022, 68, 10–22. [Google Scholar] [CrossRef]
- Bal, A.; Banerjee, M.; Sharma, P.; Maitra, M. An efficient wavelet and Curvelet-based PET image denoising technique. Med. Biol. Eng. Comput. 2019, 57, 2567–2598. [Google Scholar] [CrossRef]
- Hemalatha, J.; Devi1, M.K.K.; Geetha, S. Improving image steganalyser performance through curvelet transform denoising. Clust. Comput. 2019, 22, 11821–11839. [Google Scholar] [CrossRef]
- Liu, P.; Basha, M.D.E.; Li, Y.J.Y.; Xiao, Y.; Sanelli, P.C.; Fang, R.G. Deep evolutionary networks with expedited genetic algorithms for medical image denoising. Med. Image Anal. 2019, 54, 306–315. [Google Scholar] [CrossRef]
- Zhang, C.J.; Huang, X.Y.; Fang, M.C. MRI denoising by NeighShrink based on chi-square unbiased risk estimation. Artif. Intell. Med. 2019, 97, 131–142. [Google Scholar] [CrossRef]
- Ji, L.L.; Guo, Q.; Zhang, M.L. Medical image denoising based on biquadratic polynomial with minimum error constraints and low-rank approximation. IEEE Access 2020, 8, 84950–84960. [Google Scholar] [CrossRef]
- He, J.F.; Gao, P.; Zheng, X.N.; Zhou, Y.T.; He, H. Denoising 3D magnetic resonance images based on weighted tensor nuclear norm minimization using balanced nonlocal patch tensors. Biomed. Signal Process. Control 2022, 74, 103524. [Google Scholar] [CrossRef]
- Tian, Q.Y.; Li, Z.Y.; Fan, Q.Y.; Polimeni, J.R.; Bilgic, B.; Salat, D.H.; Huang, S.Y. SDnDTI: Self-supervised deep learning-based denoising for diffusion tensor MRI. Neuroimage 2022, 253, 119033. [Google Scholar] [CrossRef]
- Lin, T.T.; Wei, M.; Zhang, Y. Deep learning for denoising: An attempt to recover the effective magnetic resonance sounding signal in the presence of high level noise. IEEE Trans. Geosci. Remote Sens. 2022, 60, 5910613. [Google Scholar] [CrossRef]
- Nowak, R.D. Wavelet-based Rician noise removal for magnetic resonance imaging. IEEE Trans. Image Process. 1999, 8, 1408–1419. [Google Scholar] [CrossRef]
- Foi, A. Noise estimation and removal in MR imaging: The variance-stabilization approach. In Proceedings of the 2011 IEEE International Symposium on Biomedical Imaging: From Nano to Macro, Chicago, IL, USA, 30 March–2 April 2011; pp. 1809–1814. [Google Scholar] [CrossRef]
- Yang, J.; Fan, J.F.; Ai, D.; Zhou, S.J.; Tang, S.Y.; Wang, Y.T. Brain MR image denoising for Rician noise using pre-smooth non-local means filter. Biomed. Eng. Online 2015, 14, 2. [Google Scholar] [CrossRef]
- Khaleel, H.S.; Sagheer, S.V.M.; Baburaj, M.; George, S.N. Denoising of Rician corrupted 3D magnetic resonance images using tensor-SVD. Biomed. Signal Process. Control 2018, 44, 82–95. [Google Scholar] [CrossRef]
- Fadili, J.M.; Starck, J.L.; Elad, M.; Donoho, D.L. MCALab: Reproducible research in signal and image decomposition and inpainting. Comput. Sci. Eng. 2010, 12, 44–62. [Google Scholar] [CrossRef]
- BrainWeb: Simulated Brain Database. 2011. Available online: http://mouldy.bic.mni.mcgill.ca/brainweb/ (accessed on 1 January 2024).
- Johnson, K.A.; Becker, J.A. The Whole Brain Atlas, 20 August 1997. Available online: http://www.med.harvard.edu/AANLIB (accessed on 1 January 2024).
- Watson, G.N. Bessel Functions. In A Treatise on the Theory of Bessel Functions, 2nd ed.; Cambridge University Press: Cambridge, UK, 1945; Chapter 3; pp. 38–84. [Google Scholar] [CrossRef]
- Routray, S.; Ray, A.K.; Mishra, C. Image denoising by preserving geometric components based on weighted Bilateral filter and Curvelet transform. Optik 2018, 159, 333–343. [Google Scholar] [CrossRef]
- Saudagar, A.K.J.; Syed, A.S. Image compression approach with Ridgelet transformation using modified neuro modeling for biomedical images. Neural Comput. Appl. 2014, 24, 1725–1734. [Google Scholar] [CrossRef]
- Yang, S.Y.; Min, W.; Zhao, L.F.; Wang, Z.Y. Image noise reduction via geometric multiscale Ridgelet support vector transform and dictionary learning. IEEE Trans. Image Process. 2013, 22, 4161–4169. [Google Scholar] [CrossRef] [PubMed]
- Cloninger, A.; Li, H.T.; Saito, N. Natural graph wavelet packet dictionaries. J. Fourier Anal. Appl. 2021, 27, 41. [Google Scholar] [CrossRef]
- Khmag, A.; Ramli, A.R.; Kamarudin, N. Clustering-based natural image denoising using dictionary learning approach in wavelet domain. Soft Comput. 2019, 23, 8013–8027. [Google Scholar] [CrossRef]
- He, H.J.; Liang, J.Z.; Hou, Z.J.; Di, L.; Xia, Y.F. Multi-pose face reconstruction and Gabor-based dictionary learning for face recognition. Appl. Intell. 2023, 53, 16648–16662. [Google Scholar] [CrossRef]
- Koley, S.; Roy, H.; Dhar, S.; Bhattacharjee, D. Cross-modal face recognition with illumination-invariant local discrete cosine transform binary pattern (LDCTBP). Pattern Anal. Appl. 2023, 26, 847–859. [Google Scholar] [CrossRef]
- Si, W.; Qin, B.Y.; Li, Q.G.; Liu, H.X. A novel adaptive wavelet threshold estimation based on hybrid particle swarm optimization for partial discharge signal denoising. Optik 2019, 181, 175–184. [Google Scholar] [CrossRef]
- Tanchenko, A. Visual-PSNR measure of image quality. J. Vis. Commun. Image Represent. 2014, 25, 874–878. [Google Scholar] [CrossRef]
- Wang, Z.; Bovik, A.C.; Sheikh, H.R.; Simoncelli, E.P. Image quality assessment: From error visibility to structural similarity. IEEE Trans. Image Process. 2004, 13, 600–612. [Google Scholar] [CrossRef] [PubMed]
- Kalaiyarasi, M.; Janaki, R.; Sampath, A.; Ganage, D.; Chincholkar, Y.D.; Budaraju, S. Non-additive noise reduction in medical images using bilateral filtering and modular neural networks. Soft Comput. 2023; early access. [Google Scholar] [CrossRef]
- Gupta, B.; Lamba, S.S. An efficient anisotropic diffusion model for image denoising with edge preservation. Comput. Math. Appl. 2021, 93, 106–119. [Google Scholar] [CrossRef]
- Sharma, A.; Chaurasia, V. MRI denoising using advanced NLM filtering with non-subsampled Shearlet transform. Signal Image Video Process. 2021, 15, 1331–1339. [Google Scholar] [CrossRef]
- Tyagi, V. Image Denoising. In Understanding Digital Image Processing, 1st ed.; CRC Press: London, UK; New York, NY, USA, 2018; Chapter 6; pp. 76–84. [Google Scholar] [CrossRef]
- Yahya, A.A.; Tan, J.Q.; Su, B.Y.; Hu, M.; Wang, Y.B.; Liu, K.; Hadi, A.N. BM3D image denoising algorithm based on an adaptive filtering. Multimed. Tools Appl. 2020, 79, 20391–20427. [Google Scholar] [CrossRef]
- Wang, L.; Xiao, D.; Hou, W.S.; Wu, X.Y.; Jiang, B.; Chen, L. A nonlocal enhanced Low-Rank tensor approximation framework for 3D magnetic resonance image denoising. Biomed. Signal Process. Control 2022, 72, 103302. [Google Scholar] [CrossRef]
- Chow, L.S.; Rajagopal, H. Modified-BRISQUE as no reference image quality assessment for structural MR images. Magn. Reson. Imag. 2017, 43, 74–87. [Google Scholar] [CrossRef] [PubMed]
- Mittal, A.; Moorthy, A.K.; Bovik, A.C. No-reference image quality assessment in the spatial domain. IEEE Trans. Image Process. 2012, 21, 4695–4708. [Google Scholar] [CrossRef]
- Ardakani, A.A.; Mohammadi, A.; Faeghi, F.; Acharya, U.R. Performance evaluation of 67 denoising filters in ultrasound images: A systematic comparison analysis. Int. J. Imaging Syst. Technol. 2023, 33, 445–464. [Google Scholar] [CrossRef]
- Lim, A.; Lo, J.; Wagner, M.W.; Ertl-Wagner, B.; Sussman, D. Motion artifact correction in fetal MRI based on a Generative Adversarial network method. Biomed. Signal Process. Control 2022, 81, 104484. [Google Scholar] [CrossRef]
- Simi, V.R.; Edla, D.R.; Joseph, J. A no-reference metric to assess quality of denoising for Magnetic Resonance images. Biomed. Signal Process. Control 2021, 70, 102962. [Google Scholar] [CrossRef]
- Wiedermann, W.; Hagmann, M. Asymmetric properties of the Pearson correlation coefficient: Correlation as the negative association between linear regression residuals. Commun. Stat.-Theory Methods 2016, 45, 6263–6283. [Google Scholar] [CrossRef]








| Methods | 3% | 5% | 7% | 9% | ||||
|---|---|---|---|---|---|---|---|---|
| PSNR (dB) | MSSIM | PSNR (dB) | MSSIM | PSNR (dB) | MSSIM | PSNR (dB) | MSSIM | |
| Noisy images’ | 28.9690 | 0.7543 | 24.8977 | 0.6965 | 22.6711 | 0.6475 | 20.6069 | 0.5828 |
| Bilateral filtering [42] | 31.5046 | 0.8472 | 28.4792 | 0.7928 | 27.8130 | 0.7281 | 25.6071 | 0.6812 |
| AD [43] | 29.5920 | 0.8563 | 25.9117 | 0.7388 | 23.0982 | 0.6855 | 21.1842 | 0.6532 |
| NST–NLM filtering [44] | 37.2181 | 0.9631 | 34.6471 | 0.9428 | 32.4252 | 0.9371 | 31.6326 | 0.8972 |
| Gaussian filtering [45] | 30.0812 | 0.7932 | 26.7601 | 0.7371 | 25.7025 | 0.6931 | 22.7249 | 0.6280 |
| ABM3D filtering [46] | 36.2561 | 0.9581 | 34.0411 | 0.9355 | 31.9732 | 0.9176 | 29.0452 | 0.8526 |
| NLRTA–LSR [47] | 38.9526 | 0.9795 | 36.1028 | 0.9549 | 34.2501 | 0.9408 | 32.8904 | 0.9247 |
| VST–MCAATE | 40.2310 | 0.9862 | 39.4210 | 0.9830 | 38.7711 | 0.9820 | 37.8901 | 0.9738 |
| Methods | 3% | 5% | 7% | 9% | ||||
|---|---|---|---|---|---|---|---|---|
| PSNR (dB) | MSSIM | PSNR (dB) | MSSIM | PSNR (dB) | MSSIM | PSNR (dB) | MSSIM | |
| Noisy images’ | 27.3811 | 0.7592 | 23.4627 | 0.5319 | 21.2795 | 0.5018 | 20.6259 | 0.4075 |
| Bilateral filtering [42] | 30.6059 | 0.7906 | 27.4632 | 0.6801 | 27.3607 | 0.6428 | 25.0978 | 0.6096 |
| AD [43] | 29.7682 | 0.8573 | 25.8647 | 0.6036 | 23.1638 | 0.5307 | 21.8560 | 0.4769 |
| NST–NLM filtering [44] | 35.7480 | 0.9582 | 30.2139 | 0.9174 | 28.0752 | 0.8918 | 26.4628 | 0.8734 |
| Gaussian filtering [45] | 26.2501 | 0.7756 | 25.9355 | 0.6501 | 24.0371 | 0.6478 | 23.4001 | 0.5863 |
| ABM3D filtering [46] | 35.7634 | 0.9463 | 33.0832 | 0.9325 | 30.8031 | 0.8934 | 28.3591 | 0.8758 |
| NLRTA–LSR [47] | 39.1127 | 0.9704 | 37.4088 | 0.9631 | 36.3431 | 0.9459 | 33.4136 | 0.9206 |
| VST–MCAATE | 40.2260 | 0.9861 | 39.3893 | 0.9798 | 38.6811 | 0.9779 | 37.8560 | 0.9622 |
| Methods | 3% | 5% | 7% | 9% | ||||
|---|---|---|---|---|---|---|---|---|
| PSNR (dB) | MSSIM | PSNR (dB) | MSSIM | PSNR (dB) | MSSIM | PSNR (dB) | MSSIM | |
| Noisy images’ | 27.3551 | 0.7358 | 23.0532 | 0.6207 | 21.3520 | 0.5805 | 20.6149 | 0.4855 |
| Bilateral filtering [42] | 29.3853 | 0.7863 | 28.3904 | 0.7318 | 28.0345 | 0.7204 | 25.9146 | 0.6908 |
| AD [43] | 29.3790 | 0.8302 | 25.7041 | 0.7501 | 22.5302 | 0.6094 | 20.8501 | 0.4905 |
| NST–NLM filtering [44] | 35.5427 | 0.9363 | 31.2087 | 0.9227 | 29.1058 | 0.8943 | 27.5675 | 0.8901 |
| Gaussian filtering [45] | 28.0325 | 0.7812 | 26.1740 | 0.6738 | 24.6259 | 0.6031 | 23.6306 | 0.5703 |
| ABM3D filtering [46] | 34.2550 | 0.9492 | 31.3185 | 0.9204 | 29.0350 | 0.9154 | 28.5041 | 0.8926 |
| NLRTA–LSR [47] | 37.8633 | 0.9804 | 34.7425 | 0.9572 | 32.5816 | 0.9488 | 31.5804 | 0.9437 |
| VST–MCAATE | 40.0342 | 0.9859 | 39.4430 | 0.9829 | 38.7560 | 0.9792 | 36.8791 | 0.9803 |
| Methods | T1w | PDw | T2w | Mean ± SD/SE * | ||||
|---|---|---|---|---|---|---|---|---|
| PSNR (dB) | MSSIM | PSNR (dB) | MSSIM | PSNR (dB) | MSSIM | PSNR (dB) | MSSIM | |
| Noisy images’ | 24.2862 | 0.6703 | 23.1873 | 0.5501 | 23.0938 | 0.6056 | 23.5224 ± 0.5414/0.6631 | 0.6087 ± 0.0491/0.0602 |
| Bilateral filtering [42] | 28.3510 | 0.7623 | 27.6319 | 0.6808 | 27.9312 | 0.7323 | 27.9714 ± 0.2949/0.3612 | 0.7251 ± 0.0337/0.0412 |
| AD [43] | 24.9465 | 0.7335 | 25.1632 | 0.6171 | 24.6159 | 0.6701 | 24.9085 ± 0.2250/0.2756 | 0.6735 ± 0.0476/0.0583 |
| NST-NLM filtering [44] | 33.9808 | 0.9351 | 30.1250 | 0.9102 | 30.8562 | 0.9109 | 31.6540 ± 1.6722/2.0480 | 0.9187 ± 0.0116/0.0142 |
| Gaussian filtering [45] | 26.3172 | 0.7129 | 24.9057 | 0.6650 | 25.6158 | 0.6571 | 25.6129 ± 0.5762/0.7058 | 0.6783 ± 0.0247/0.0302 |
| ABM3D filtering [46] | 32.8289 | 0.9160 | 32.0022 | 0.9120 | 30.7782 | 0.9194 | 31.8698 ± 0.8424/1.0317 | 0.9158 ± 0.0030/0.0037 |
| NLRTA-LSR [47] | 35.5490 | 0.9500 | 36.5696 | 0.9500 | 34.1920 | 0.9575 | 35.4368 ± 0.9739/1.1928 | 0.9525 ± 0.0035/0.0043 |
| VST-MCAATE | 39.0783 | 0.9813 | 39.0381 | 0.9765 | 38.7781 | 0.9821 | 38.9648 ± 0.1331/0.1630 | 0.9799 ± 0.0025/0.0030 |
| Methods | PSNR (dB) | MSSIM |
|---|---|---|
| Bilateral filtering [42] | 27.2930 | 0.7196 |
| AD [43] | 24.6760 | 0.6456 |
| NST-NLM filtering [44] | 31.5442 | 0.9021 |
| Gaussian filtering [45] | 25.5867 | 0.6612 |
| ABM3D filtering [46] | 31.4061 | 0.8913 |
| NLRTA-LSR [47] | 35.1065 | 0.9486 |
| VST-MCAATE | 38.7532 | 0.9781 |
| Methods | PSNR | MSSIM | OMQDI | M-BRISQUE | T * | Mean Score | R | ||||||||||||||||||||||
|---|---|---|---|---|---|---|---|---|---|---|---|---|---|---|---|---|---|---|---|---|---|---|---|---|---|---|---|---|---|
| T1w | PDw | T2w | T1w | PDw | T2w | Mixed | Mixed | ||||||||||||||||||||||
| Bilateral filtering [42] | 5 | 5 | 5 | 5 | 5 | 5 | 5 | 5 | 5 | 5 | 5 | 5 | 6 | 5 | 5 | 5 | 6 | 5 | 6 | 5 | 6 | 6 | 6 | 5 | 6 | 6 | 137 | 5.2692 ± 0.4436 | 5 |
| AD [43] | 7 | 7 | 7 | 7 | 6 | 7 | 7 | 7 | 6 | 7 | 7 | 7 | 5 | 6 | 7 | 6 | 5 | 7 | 7 | 7 | 5 | 5 | 5 | 7 | 3 | 5 | 163 | 6.2692 ± 1.0212 | 6 |
| NST-NLM filtering [44] | 3 | 3 | 3 | 3 | 4 | 4 | 4 | 4 | 3 | 4 | 3 | 4 | 3 | 3 | 3 | 3 | 3 | 4 | 4 | 4 | 4 | 3 | 4 | 4 | 4 | 3 | 91 | 3.5 ± 0.5 | 3 |
| Gaussian filtering [45] | 6 | 6 | 6 | 6 | 7 | 6 | 6 | 6 | 7 | 6 | 6 | 6 | 7 | 7 | 6 | 7 | 7 | 6 | 5 | 6 | 7 | 7 | 7 | 6 | 7 | 7 | 166 | 6.3846 ± 0.56 | 7 |
| ABM3D filtering [46] | 4 | 4 | 4 | 4 | 3 | 3 | 3 | 3 | 4 | 3 | 4 | 3 | 4 | 4 | 4 | 4 | 4 | 3 | 3 | 3 | 3 | 4 | 3 | 3 | 5 | 4 | 93 | 3.5769 ± 0.5666 | 4 |
| NLRTA-LSR [47] | 2 | 2 | 2 | 2 | 2 | 2 | 2 | 2 | 2 | 2 | 2 | 2 | 2 | 2 | 2 | 2 | 2 | 2 | 2 | 2 | 2 | 2 | 2 | 2 | 2 | 2 | 52 | 2 ± 0 | 2 |
| VST-MCAATE | 1 | 1 | 1 | 1 | 1 | 1 | 1 | 1 | 1 | 1 | 1 | 1 | 1 | 1 | 1 | 1 | 1 | 1 | 1 | 1 | 1 | 1 | 1 | 1 | 1 | 1 | 24 | 1 ± 0 | 1 |
Disclaimer/Publisher’s Note: The statements, opinions and data contained in all publications are solely those of the individual author(s) and contributor(s) and not of MDPI and/or the editor(s). MDPI and/or the editor(s) disclaim responsibility for any injury to people or property resulting from any ideas, methods, instructions or products referred to in the content. |
© 2024 by the authors. Licensee MDPI, Basel, Switzerland. This article is an open access article distributed under the terms and conditions of the Creative Commons Attribution (CC BY) license (https://creativecommons.org/licenses/by/4.0/).
Share and Cite
Awudong, B.; Yakupu, P.; Yan, J.; Li, Q. Research and Implementation of Denoising Algorithm for Brain MRIs via Morphological Component Analysis and Adaptive Threshold Estimation. Mathematics 2024, 12, 748. https://doi.org/10.3390/math12050748
Awudong B, Yakupu P, Yan J, Li Q. Research and Implementation of Denoising Algorithm for Brain MRIs via Morphological Component Analysis and Adaptive Threshold Estimation. Mathematics. 2024; 12(5):748. https://doi.org/10.3390/math12050748
Chicago/Turabian StyleAwudong, Buhailiqiemu, Paerhati Yakupu, Jingwen Yan, and Qi Li. 2024. "Research and Implementation of Denoising Algorithm for Brain MRIs via Morphological Component Analysis and Adaptive Threshold Estimation" Mathematics 12, no. 5: 748. https://doi.org/10.3390/math12050748
APA StyleAwudong, B., Yakupu, P., Yan, J., & Li, Q. (2024). Research and Implementation of Denoising Algorithm for Brain MRIs via Morphological Component Analysis and Adaptive Threshold Estimation. Mathematics, 12(5), 748. https://doi.org/10.3390/math12050748

