Red-KPLS Feature Reduction with 1D-ResNet50: Deep Learning Approach for Multiclass Alzheimer’s Staging
Abstract
1. Introduction
2. Related Work
3. Methodology
- Preprocessing: MRI scans are aligned to a standard template, resampled for consistency, and segmented into distinct tissue types (gray matter, white matter, and cerebrospinal fluid) to ensure reliable comparisons across subjects.
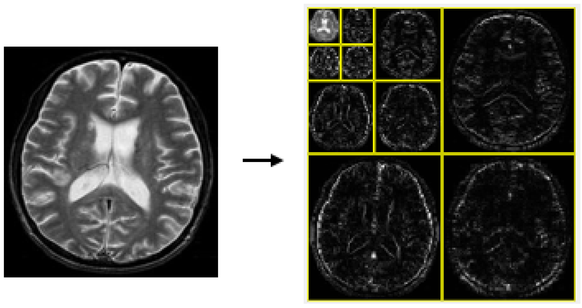
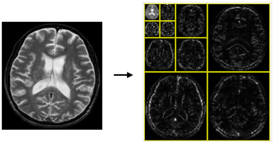
- The 2D discrete wavelet transform (DWT): Preprocessed gray matter images are decomposed into multiscale features, capturing both broad structural patterns and fine textures that may indicate early AD.
- Reduced kernel partial least squares (Red-KPLS): A newly adapted dimensionality reduction method condenses the extracted features while retaining the most diagnostically relevant information.
- Deep learning for classification: A neural network analyzes the refined features to distinguish between AD and non-AD cases with high precision.
3.1. Materials
3.1.1. Dataset
3.1.2. Preprocessing
3.2. Feature Extraction via DWT
3.3. Proposed Red-KPLS for Feature Reduction
- Smart feature selection that keeps only the most relevant patterns;
- A modified calculation process that makes results easier to interpret;
- Special optimization for handling brain scan data sizes.
| Algorithm 1 Red-KPLS Algorithm |
|
3.4. Deep Learning for Classification
4. Experiments
4.1. Experimental Setup
4.2. Model Evaluation Criteria
- True Positives (TPs): Correctly predicted positive cases.
- True Negatives (TNs): Correctly predicted negative cases.
- False Positives (FPs): Negative cases incorrectly predicted as positive.
- False Negatives (FNs): Positive cases incorrectly predicted as negative.
Key Metrics
4.3. Results and Discussion
| Authors | Biomarker | Database | Methodology | Accuracy |
|---|---|---|---|---|
| Puete-Castro A. et al. (2020) [30] | MRI | ADNI | Resnet18 + SVM | 78.72% |
| Parmar H. et al. (2020) [17] | MRI | ADNI | 3D CNN | 93.00% |
| Fu’adah Y. N. et al. (2021) [37] | MRI | ADNI | AlexNet | 95.00% |
| Murugan S. et al. (2021) [38] | MRI | ADNI | CNN | 95.23% |
| Buvaneswari P. R. et al. (2021) [34] | VBM | ADNI | VGGNet | 96.08% |
| ResNet | 94.60% | |||
| Çelebi, S. B. et al. (2023) [35] | TBM | ADNI | Xception architecture | 95.81% |
| Noh J. H. et al. (2023) [36] | fMRI | ADNI | 3D-CNN-LSTM | 96.43% |
| classification model | ||||
| based deep | ||||
| dense block | ||||
| Allada A. et al. (2023) [31] | MRI | Kaggle | neuro-fuzzy | 89.9% |
| Awarayi, N. S. et al.(2024) [39] | MRI | ADNI | Custum CNN | 93.45% |
| Assmi A. et al. (2025) [33] | MRI | Kaggle | VGG-19 | 92.86% |
| VGG-16 | 92.83% | |||
| Inception-V3 | 91.04% | |||
| Xception | 90.57% | |||
| ResNet-50 | 85.99% | |||
| DenseNet169 | 88.64% | |||
| Kumar, K. P. V. et al. (2025) [32] | MRI | Kaggle | AlexNet | 95% |
| Proposed Method | MRI | Kaggle | Red-KPLS + ResNet-50 | 96.9% |
4.4. Clinical Relevance and Limitations
5. Ethical Considerations in AI-Assisted AD
6. Conclusions and Future Work
Author Contributions
Funding
Institutional Review Board Statement
Informed Consent Statement
Data Availability Statement
Conflicts of Interest
References
- Acar, M.; Şeker, B.; Uğur, S. Radio-Anatomical Assessment of Cerebellum Volume in Individuals with Alzheimer’s Disease. Curr. Alzheimer Res. 2024, 21, 599–606. [Google Scholar] [CrossRef] [PubMed]
- Mrdjen, D.; Fox, E.J.; Bukhari, S.A.; Montine, K.S.; Bendall, S.C.; Montine, T.J. The basis of cellular and regional vulnerability in Alzheimer’s disease. Acta Neuropathol. 2019, 138, 729–749. [Google Scholar] [CrossRef] [PubMed]
- Hong, S.; Baek, S.H.; Lai, M.K.; Arumugam, T.V.; Jo, D.G. Aging-associated sensory decline and Alzheimer’s disease. Mol. Neurodegener. 2024, 19, 1–28. [Google Scholar] [CrossRef]
- Zhang, N.; Chai, S.; Wang, J. Assessing and projecting the global impacts of Alzheimer’s disease. Front. Public Health 2025, 12, 1453489. [Google Scholar] [CrossRef]
- Vogt, A.C.S.; Jennings, G.T.; Mohsen, M.O.; Vogel, M.; Bachmann, M.F. Alzheimer’s disease: A brief history of immunotherapies targeting amyloid β. Int. J. Mol. Sci. 2023, 24, 3895. [Google Scholar] [CrossRef]
- Neffati, S.; Ben Abdellafou, K.; Aljuhani, A.; Taouali, O. An enhanced CAD system based on machine Learning Algorithm for brain MRI classification. J. Intell. Fuzzy Syst. 2021, 41, 1845–1854. [Google Scholar] [CrossRef]
- Muir, R.T.; Hill, M.D.; Black, S.E.; Smith, E.E. Minimal clinically important difference in Alzheimer’s disease: Rapid review. Alzheimer’s Dement. 2024, 20, 3352–3363. [Google Scholar] [CrossRef] [PubMed]
- Ponce de Leon-Sanchez, E.R.; Mendiola-Santibañez, J.D.; Dominguez-Ramirez, O.A.; Herrera-Navarro, A.M.; Vazquez-Cervantes, A.; Jimenez-Hernandez, H.; Cordova-Esparza, D.M.; Hernández, M.d.A.C.; Senties-Madrid, H. Training Artificial Neural Networks to Detect Multiple Sclerosis Lesions Using Granulometric Data from Preprocessed Magnetic Resonance Images with Morphological Transformations. Technologies 2024, 12, 145. [Google Scholar] [CrossRef]
- Jack, C.R.; Knopman, D.S.; Jagust, W.J.; Shaw, L.M.; Aisen, P.S.; Weiner, M.W.; Petersen, R.C.; Trojanowski, J.Q. Hypothetical model of dynamic biomarkers of the Alzheimer’s pathological cascade. Lancet Neurol. 2010, 9, 119–128. [Google Scholar] [CrossRef]
- Neffati, S.; Ben Abdellafou, K.; Taouali, O.; Bouzrara, K. A new Bio-CAD system based on the optimized KPCA for relevant feature selection. Int. J. Adv. Manuf. Technol. 2019, 102, 1023–1034. [Google Scholar] [CrossRef]
- Bhandarkar, A.; Naik, P.; Vakkund, K.; Junjappanavar, S.; Bakare, S.; Pattar, S. Deep learning based computer aided diagnosis of Alzheimer’s disease: A snapshot of last 5 years, gaps, and future directions. Artif. Intell. Rev. 2024, 57, 30. [Google Scholar] [CrossRef]
- Pedroli, E.; Bruni, F.; Mancuso, V.; Cavedoni, S.; Bigotto, F.; Panigada, J.; Rossi, M.; Boilini, L.; Goulene, K.; Stramba-Badiale, M.; et al. Training Cognitive Functions Using DUAL-REHAB, a New Dual-Task Application in MCI and SMC: A Study Protocol of a Randomized Control Trial. Technologies 2025, 13, 96. [Google Scholar] [CrossRef]
- Fayaz, M.; Torokeldiev, N.; Turdumamatov, S.; Qureshi, M.S.; Qureshi, M.B.; Gwak, J. An efficient methodology for brain MRI classification based on DWT and convolutional neural network. Sensors 2021, 21, 7480. [Google Scholar] [CrossRef]
- Kaggle Dataset. Available online: https://www.kaggle.com/ (accessed on 7 February 2025).
- Safiri, S.; Ghaffari, J.A.; Fazlollahi, A.; Morsali, S.; Sarkesh, A.; Daei, S.A.; Golabi, B.; Aletaha, R.; Motlagh, A.K.; Hamidi, S.; et al. Alzheimer’s disease: A comprehensive review of epidemiology, risk factors, symptoms diagnosis, management, caregiving, advanced treatments and associated challenges. Front. Med. 2024, 11, 1474043. [Google Scholar] [CrossRef] [PubMed]
- Golovanevsky, M.; Eickhoff, C.; Singh, R. Multimodal attention-based deep learning for Alzheimer’s disease diagnosis. J. Am. Med. Inform. Assoc. 2022, 29, 2014–2022. [Google Scholar] [CrossRef]
- Parmar, H.; Nutter, B.; Long, R.; Antani, S.; Mitra, S. Spatiotemporal feature extraction and classification of Alzheimer’s disease using deep learning 3D-CNN for fMRI data. J. Med. Imaging 2020, 7, 056001. [Google Scholar] [CrossRef] [PubMed]
- Angkoso, C.V.; Agustin Tjahyaningtijas, H.P.; Purnama, I.; Purnomo, M.H. Multiplane Convolutional Neural Network (Mp-CNN) for Alzheimer’s Disease Classification. Int. J. Intell. Eng. Syst. 2022, 15, 1. [Google Scholar]
- Hedayati, R.; Khedmati, M.; Taghipour-Gorjikolaie, M. Deep feature extraction method based on ensemble of convolutional auto encoders: Application to Alzheimer’s disease diagnosis. Biomed. Signal Process. Control 2021, 66, 102397. [Google Scholar] [CrossRef]
- Saratxaga, C.L.; Moya, I.; Picón, A.; Acosta, M.; Moreno-Fernandez-de-Leceta, A.; Garrote, E.; Bereciartua-Perez, A. MRI deep learning-based solution for Alzheimer’s disease prediction. J. Pers. Med. 2021, 11, 902. [Google Scholar] [CrossRef]
- Jabason, E.; Ahmad, M.O.; Swamy, M.N.S. Classification of Alzheimer’s disease from MRI data using an ensemble of hybrid deep convolutional neural networks. In Proceedings of the 2019 IEEE 62nd International Midwest Symposium on Circuits and Systems (MWSCAS), Dallas, TX, USA, 4–7 August 2019; pp. 481–484. [Google Scholar]
- Hazarika, R.A.; Kandar, D.; Maji, A.K. An experimental analysis of different deep learning based models for Alzheimer’s disease classification using brain magnetic resonance images. J. King Saud Univ.-Comput. Inf. Sci. 2022, 34, 8576–8598. [Google Scholar] [CrossRef]
- Oktavian, M.W.; Yudistira, N.; Ridok, A. Classification of Alzheimer’s disease using the Convolutional Neural Network (CNN) with transfer learning and weighted loss. arXiv 2022, arXiv:2207.01584. [Google Scholar]
- Hazarika, R.A.; Abraham, A.; Kandar, D.; Maji, A.K. An improved LeNet-deep neural network model for Alzheimer’s disease classification using brain magnetic resonance images. IEEE Access 2021, 9, 161194–161207. [Google Scholar] [CrossRef]
- Kutlu, H.; Avcı, E. A novel method for classifying liver and brain tumors using convolutional neural networks, discrete wavelet transform and long short-term memory networks. Sensors 2019, 19, 1992. [Google Scholar] [CrossRef] [PubMed]
- Akindele, R.G.; Yu, M.; Kanda, P.S.; Owoola, E.O.; Aribilola, I. Denoising of nifti (mri) images with a regularized neighborhood pixel similarity wavelet algorithm. Sensors 2023, 23, 7780. [Google Scholar] [CrossRef]
- Janghel, R.R.; Rathore, Y.K. Deep convolution neural network based system for early diagnosis of Alzheimer’s disease. IRBM 2021, 42, 258–267. [Google Scholar] [CrossRef]
- Yan, H.; Mubonanyikuzo, V.; Komolafe, T.E.; Zhou, L.; Wu, T.; Wang, N. Hybrid-RViT: Hybridizing ResNet-50 and Vision Transformer for Enhanced Alzheimer’s disease detection. PLoS ONE 2025, 20, e0318998. [Google Scholar] [CrossRef]
- Yu, H.; Yang, L.T.; Zhang, Q.; Armstrong, D.; Deen, M.J. Convolutional neural networks for medical image analysis: State-of-the-art, comparisons, improvement and perspectives. Neurocomputing 2021, 444, 92–110. [Google Scholar] [CrossRef]
- Puente-Castro, A.; Fernandez-Blanco, E.; Pazos, A.; Munteanu, C.R. Automatic assessment of Alzheimer’s disease diagnosis based on deep learning techniques. Comput. Biol. Med. 2020, 120, 103764. [Google Scholar] [CrossRef]
- Allada, A.; Bhavani, R.; Chaduvula, K.; Priya, R. Alzheimer’s disease classification using competitive swarm multi-verse optimizer-based deep neuro-fuzzy network. Concurr. Comput. Pract. Exp. 2023, 35, e7696. [Google Scholar] [CrossRef]
- Kumar, K.P.V.; Charan, P.; Kayalvili, S.; Santhi, M.V.B.T. Deep Learning–Based Medical Image Classification and Web Application Framework to Identify Alzheimer’s Disease. Artif. Intell. Cybersecur. Healthc. 2025, 1, 397–412. [Google Scholar] [CrossRef]
- Assmi, A.; Elhabyb, K.; Benba, A.; Jilbab, A. Alzheimer’s disease classification: A comprehensive study. Multimed. Tools Appl. 2024, 83, 70193–70216. [Google Scholar] [CrossRef]
- Buvaneswari, P.R.; Gayathri, R. Deep learning-based segmentation in classification of Alzheimer’s disease. Arab. J. Sci. Eng. 2021, 46, 5373–5383. [Google Scholar] [CrossRef]
- Çelebi, S.B.; Emiroğlu, B.G. A novel deep dense block-based model for detecting Alzheimer’s Disease. Appl. Sci. 2023, 13, 8686. [Google Scholar] [CrossRef]
- Noh, J.H.; Kim, J.H.; Yang, H.D. Classification of Alzheimer’s progression using fMRI data. Sensors 2023, 23, 6330. [Google Scholar] [CrossRef]
- Fu’adah, Y.N.; Wijayanto, I.; Pratiwi, N.K.C.; Taliningsih, F.F.; Rizal, S.; Pramudito, M.A. Automated classification of Alzheimer’s disease based on MRI image processing using convolutional neural network (CNN) with AlexNet architecture. J. Phys. Conf. Ser. 2021, 1844, 012020. [Google Scholar] [CrossRef]
- Murugan, S.; Venkatesan, C.; Sumithra, M.G.; Gao, X.Z.; Elakkiya, B.; Akila, M.; Manoharan, S. DEMNET: A deep learning model for early diagnosis of Alzheimer diseases and dementia from MR images. IEEE Access 2021, 9, 90319–90329. [Google Scholar] [CrossRef]
- Awarayi, N.S.; Twum, F.; Hayfron-Acquah, J.B.; Owusu-Agyemang, K. A bilateral filtering-based image enhancement for Alzheimer disease classification using CNN. PLoS ONE 2024, 19, e0302358. [Google Scholar] [CrossRef]
- Dang, V.N.; Casamitjana, A.; Hernández-González, J.; Lekadir, K.; Alzheimer’s Disease Neuroimaging Initiative. Mitigating Overdiagnosis Bias in CNN-Based Alzheimer’s Disease Diagnosis for the Elderly. In MICCAI Workshop on Fairness of AI in Medical Imaging; Springer: Cham, Switzerland, 2024; pp. 46–55. [Google Scholar]
- Alievska, B. Ethical Challenges Arising from the Underrepresentation of the Elderly in the Development of Artificial Intelligence (AI) for Medical Applications: Exclusion, Bias, and the Limits of Accessibility. Ph.D. Dissertation, McMaster University, Hamilton, ON, Canada, 2023. [Google Scholar]
- Petti, U.; Nyrup, R.; Skopek, J.M.; Korhonen, A. Ethical considerations in the early detection of Alzheimer’s disease using speech and AI. In Proceedings of the 2023 ACM Conference on Fairness, Accountability, and Transparency, Chicago, IL, USA, 12–15 June 2023; pp. 1062–1075. [Google Scholar]
- Matheen, M.A.; Hasan, Z.; Lodhi, A.K.; Waheed, S.A. Ethical and Privacy Considerations in AI-Driven AD Research. In AI-Driven Alzheimer’s Disease Detection and Prediction; IGI Global: Hershey, PA, USA, 2024; pp. 403–418. [Google Scholar]
- Babu, B.; Parvathy, G.; Bawa, F.S.M.; Gill, G.S.; Patel, J.; Sibia, D.S.; Sureddi, J.; Patel, V.; Bawa, F.M.; Sibia, D.; et al. Comparing the Artificial Intelligence Detection Models to Standard Diagnostic Methods and Alternative Models in Identifying Alzheimer’s Disease in At-Risk or Early Symptomatic Individuals: A Scoping Review. Cureus 2024, 16, e75389. [Google Scholar] [CrossRef]
- Kothinti, R.R. Artificial intelligence in healthcare: Revolutionizing precision medicine, predictive analytics, and ethical considerations in autonomous diagnostics. World J. Adv. Res. Rev. 2024, 19, 3395–3406. [Google Scholar]










| Component | Specification |
|---|---|
| Input shape | |
| Initial convolution | 64 filters, kernel = 7, stride = 2 |
| Residual stages | bottleneck blocks |
| Bottleneck pattern | |
| Channel dimensions | per stage |
| Squeeze–excitation | Reduction ratio = 16 |
| Output layer | 4 units, softmax activation |
| Loss function | Weighted categorical cross-entropy |
| Optimization | AdamW (, cosine decay) |
| Regularization | Dropout = , label smoothing = |
| Class | Accuracy (%) | Sensitivity (Recall) (%) | Specificity (%) | Precision (%) | F1-Score (%) | Samples |
|---|---|---|---|---|---|---|
| ND | 97.1 | 98.0 | 97.2 | 97.5 | 97.7 | 640 |
| VMiD | 96.4 | 96.1 | 96.8 | 96.5 | 96.3 | 448 |
| MiD | 96.9 | 97.3 | 96.1 | 97.1 | 97.2 | 179 |
| MoD | 100.0 | 100.0 | 100.0 | 100.0 | 100.0 | 12 |
| Overall | 96.9 | 97.9 | 97.6 | 97.8 | 97.8 | 1278 |
| Class | Accuracy (%) | Recall (%) | Specificity (%) | Precision (%) | F1-Score (%) |
|---|---|---|---|---|---|
| ND | 99.5 | 99.2 | 99.7 | 99.3 | 99.2 |
| VMiD | 98.2 | 97.8 | 98.5 | 98.0 | 97.9 |
| MiD | 99.0 | 98.7 | 99.2 | 98.9 | 98.8 |
| MoD | 100.0 | 100.0 | 100.0 | 100.0 | 100.0 |
| Overall | 99.2 | 99.0 | 99.4 | 99.1 | 99.0 |
| Class | Accuracy (%) | Recall (%) | Specificity (%) | Precision (%) | F1-Score (%) |
|---|---|---|---|---|---|
| ND | 98.3 | 98.5 | 98.1 | 98.4 | 98.4 |
| VMiD | 97.1 | 96.8 | 97.3 | 97.0 | 96.9 |
| MiD | 97.8 | 97.9 | 97.7 | 97.8 | 97.8 |
| MoD | 100.0 | 100.0 | 100.0 | 100.0 | 100.0 |
| Overall | 97.9 | 98.0 | 97.8 | 97.9 | 97.9 |
| Method | Sensitivity | Specificity | Accuracy | F1 Score |
|---|---|---|---|---|
| PCA | 85.2% | 91.8% | 86.5% | 86.3% |
| PLS | 87.6% | 88.4% | 87.1% | 87.0% |
| KPCA | 89.3% | 88.2% | 88.1% | 88.4% |
| KPLS | 89.6% | 88.7% | 90.3% | 89.4% |
| Proposed Method | 97.9% | 97.6% | 96.9% | 97.8% |
Disclaimer/Publisher’s Note: The statements, opinions and data contained in all publications are solely those of the individual author(s) and contributor(s) and not of MDPI and/or the editor(s). MDPI and/or the editor(s) disclaim responsibility for any injury to people or property resulting from any ideas, methods, instructions or products referred to in the content. |
© 2025 by the authors. Licensee MDPI, Basel, Switzerland. This article is an open access article distributed under the terms and conditions of the Creative Commons Attribution (CC BY) license (https://creativecommons.org/licenses/by/4.0/).
Share and Cite
Neffati, S.; Filali, A.; Mekki, K.; Bouzrara, K. Red-KPLS Feature Reduction with 1D-ResNet50: Deep Learning Approach for Multiclass Alzheimer’s Staging. Technologies 2025, 13, 258. https://doi.org/10.3390/technologies13060258
Neffati S, Filali A, Mekki K, Bouzrara K. Red-KPLS Feature Reduction with 1D-ResNet50: Deep Learning Approach for Multiclass Alzheimer’s Staging. Technologies. 2025; 13(6):258. https://doi.org/10.3390/technologies13060258
Chicago/Turabian StyleNeffati, Syrine, Ameni Filali, Kawther Mekki, and Kais Bouzrara. 2025. "Red-KPLS Feature Reduction with 1D-ResNet50: Deep Learning Approach for Multiclass Alzheimer’s Staging" Technologies 13, no. 6: 258. https://doi.org/10.3390/technologies13060258
APA StyleNeffati, S., Filali, A., Mekki, K., & Bouzrara, K. (2025). Red-KPLS Feature Reduction with 1D-ResNet50: Deep Learning Approach for Multiclass Alzheimer’s Staging. Technologies, 13(6), 258. https://doi.org/10.3390/technologies13060258

