The Impact of Temperature on the Surface Colour of Gas Turbine Blades Heated in the Presence of Kerosene
Abstract
1. Introduction
- Creeping
 - Overheating and melting
 - Corrosion and fatigue cracking
 - Intercristalline and thermal corrosion
 - Low- and high-cycle fatigue: thermal and thermal-mechanical
 - Erosion
 - Burn-through.
 
- the visual testing of all blades;
 - heating blades, in a laboratory furnace, over a temperature range of T = 1123–1523 K, in increments of 100 K;
 - the visual testing of all blades after heating-cooling;
 - the microstructural analysis of blades’ coating and alloy.
 
2. Characteristics of the Research Object
3. Blade Heating in the Presence of Aviation Kerosene Exhaust Gases
3.1. Blade Heating Time Determination
3.2. Blade Heating
- No. 5, T = 1123 K;
 - No. 1, T = 1223 K;
 - No. 2, T = 1323 K;
 - No. 3, T = 1423 K;
 - No. 4, T = 1523 K.
 
4. Model for Assessing Gas Turbine Blade Condition Based on the Digital Processing of Their Surface Images
4.1. Image Acquisition and Parameters Describing Colour Changes of Tested Blade Surfaces Using an Optoelectronic System
4.2. Heated Blade Surface Image Analysis
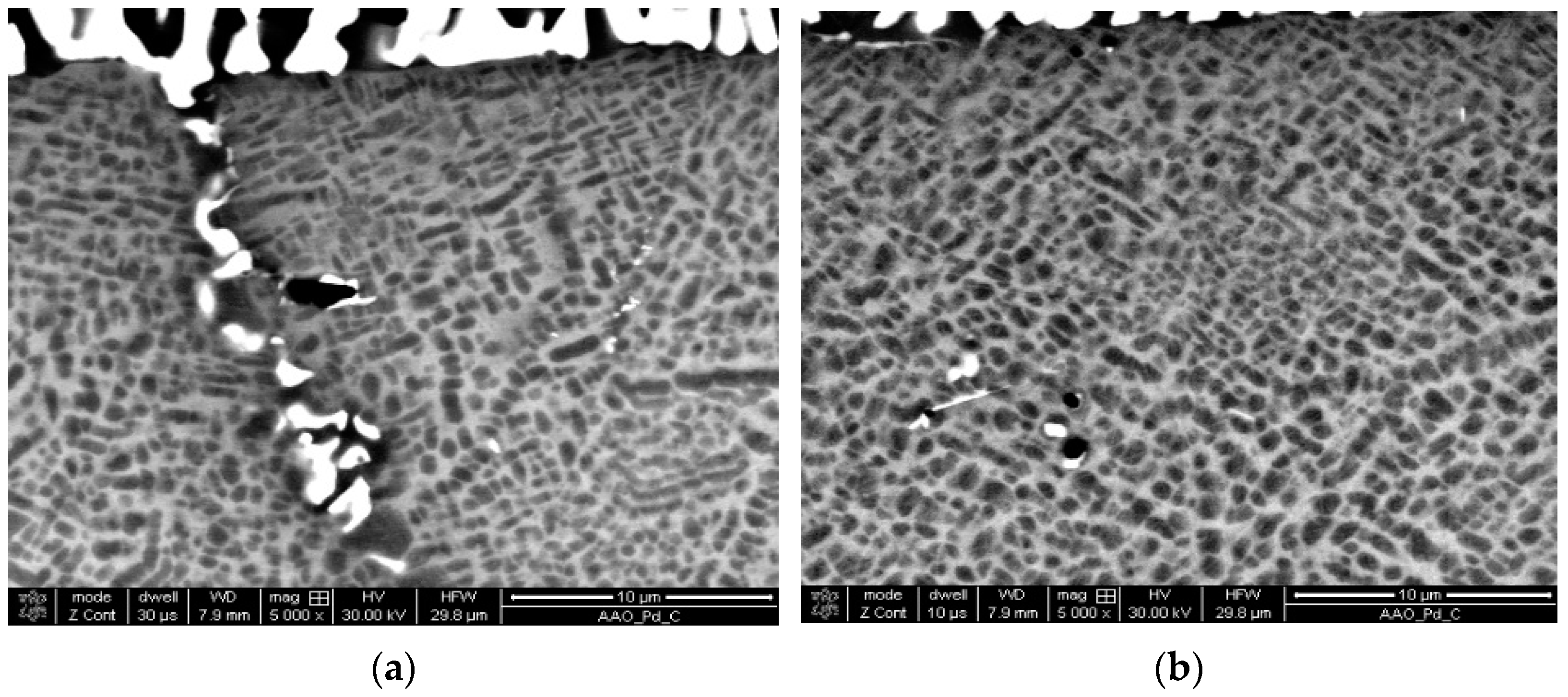
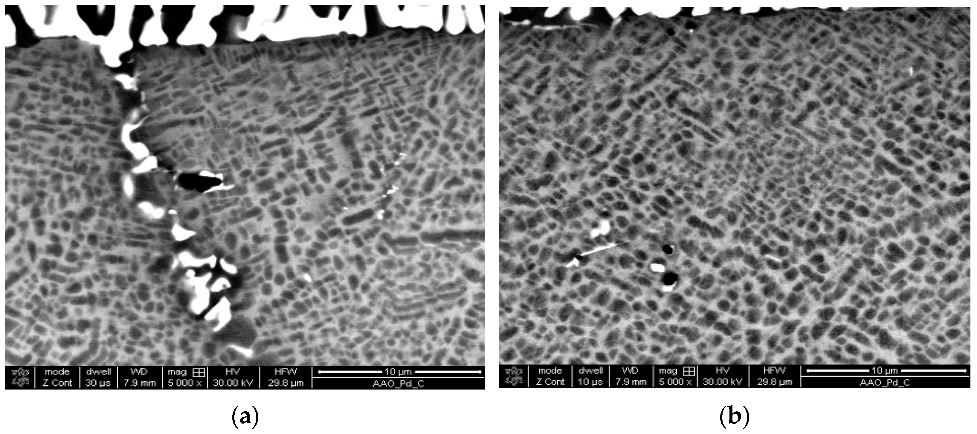
5. Discussion of Research Results
- surface images
 - microstructures
 - correlation of surface image parameters and blade microstructure
 
6. Research Conclusions
- Individual RGB colours and greyscale levels (Sz) in blade surface images change due to heating.
 - Image features determined based on histograms constitute a source of information on the impact of temperature on blade surface colour change.
 - Blade surface colour differences at each heating temperature result from the microstructural changes in the material of these blades.
 - In light of the above, the surface colour of heated blades is a diagnostic signal regarding their microstructural changes.
 
Author Contributions
Funding
Data Availability Statement
Conflicts of Interest
References
- Błachnio, J.; Bogdan, M.; Kułaszka, A. New Non-Destructive Methods of Diagnosing Health of Gas Turbine Blades. In Advances in Gas Turbine Technology; Ernesto, B., Ed.; IntechOpen: Rijeka, Croatia, 2011; p. 36. [Google Scholar] [CrossRef]
 - Database of the Air Force Institute of Technology 2000–2022 (Unpublished); Air Force Institute of Technology: Warsaw, Poland, 2022.
 - Błachnio, J.; Spychała, J.; Zasada, D. Analysis of structural changes in a gas turbine blade as a result of high temperature and stress. Eng. Fail. Anal. 2021, 127, 1–19. [Google Scholar] [CrossRef]
 - Aust, J.; Pons, D. Taxonomy of Gas Turbine Blade Defects. Aerospace 2019, 6, 58. [Google Scholar] [CrossRef]
 - Mevissen, F.; Meo, M. A Review of NDT/Structural Health Monitoring Techniques for Hot Gas Components in Gas Turbines. Sensors 2019, 19, 711. [Google Scholar] [CrossRef] [PubMed]
 - Błachnio, J. Technical Analysis of Inefficiency and Failures of Aircrafts. In Fundamentals of Aircraft Operation; Lewitowicz, J., Ed.; Publishing House of the Air Force Institute of Technology: Warsaw, Poland, 2007; Volume 4. [Google Scholar]
 - Błachnio, J.; Spychała, J.; Pawlak, W.; Kułaszka, A. Assessment of Technical Condition Demonstrated by Gas Turbine Blades by Processing of Images for Their Surfaces. J. KONBiN 2013, 21, 41–50. [Google Scholar] [CrossRef]
 - Kułaszka, A. Detection of Early Stages of Damage to Gas Turbine Blades. Ph.D. Thesis, Air Force Institute of Technology, Warsaw, Poland, 2022. [Google Scholar]
 - Dzięgielewski, W.; Gawron, B. The Problem of Thermal Stability of Present Aviation Turbine Fuels—Preliminary Study. J. KONBiN 2013, 21, 121–130. [Google Scholar] [CrossRef]
 - Błachnio, J.; Pawlak, W.I. Damageability of Gas Turbine Blades—Evaluation of Exhaust Gas Temperature in Front of the Turbine Using a Non-Linear Observer. In Advances in Gas Turbine Technology; Ernesto, B., Ed.; IntechOpen: Rijeka, Croatia, 2011; p. 31. [Google Scholar] [CrossRef]
 - Szczepankowski, A.; Przysowa, R.; Perczyński, J.; Kułaszka, A. Health and Durability of Protective and Thermal Barrier Coatings Monitored in Service by Visual Inspection. Coatings 2022, 12, 624. [Google Scholar] [CrossRef]
 - Bogdan, M.; Błachnio, J.; Kułaszka, A.; Derlatka, M. Assessing the Condition of Gas Turbine Rotor Blades with the Optoelectronic and Thermographic Methods. Metals 2019, 9, 31. [Google Scholar] [CrossRef]
 - Błachnio, J.; Bogdan, M. A non-destructive method to assess condition of gas turbine blades, based on the analysis of blade-surface image. Russ. J. Nondestruct. Testing 2010, 46, 7. [Google Scholar] [CrossRef]
 - Aust, J.; Pons, D. Comparative Analysis of Human Operators and Advanced Technologies in the Visual Inspection of Aero Engine Blades. Appl. Sci. 2022, 12, 2250. [Google Scholar] [CrossRef]
 - Aust, J.; Shankland, S.; Pons, D.; Mukundan, R.; Mitrovic, A. Automated Defect Detection and Decision-Support in Gas Turbine Blade Inspection. Aerospace 2021, 8, 30. [Google Scholar] [CrossRef]
 - Aust, J.; Pons, D.; Mitrovic, A. Evaluation of Influence Factors on the Visual Inspection Performance of Aircraft Engine Blades. Aerospace 2022, 9, 18. [Google Scholar] [CrossRef]
 - Czimmermann, T.; Ciuti, G.; Milazzo, M.; Chiurazzi, M.; Roccella, S.; Oddo, C.M.; Dario, P. Visual-Based Defect Detection and Classification Approaches for Industrial Applications—A SURVEY. Sensors 2020, 20, 1459. [Google Scholar] [CrossRef]
 - Bogdan, M.; Błachnio, J.; Kułaszka, A.; Zasada, D. Investigation of the Relationship between Degradation of the Coating of Gas Turbine Blades and Its Surface Color. Materials 2021, 14, 7843. [Google Scholar] [CrossRef] [PubMed]
 - Mohamed, M.; Bonello, P.; Russhard, P. A novel method for the determination of the change in blade tip timing probe sensing position due to steady movements. Mech. Syst. Signal Process. 2019, 126, 686–710. [Google Scholar] [CrossRef]
 - Ao, C.; Qiao, B.; Liu, M.; Zhu, W.; Zhu, Y.; Wang, Y.; Chen, X. Non-contact full-field dynamic strain reconstruction of rotating blades under multi-mode vibration. Mech. Syst. Signal Process. 2023, 186, 109840. [Google Scholar] [CrossRef]
 - Zhu, Y.; Wang, Y.; Qiao, B.; Fu, S.; Liu, M.; Luo, X.; Chen, X. Full-field dynamic strain reconstruction of rotor blades under multi-mode vibration. Measurement 2022, 201, 111670. [Google Scholar] [CrossRef]
 - Swadźba, L. Shaping the Structure and Properties of Protective Coatings on Selected Alloys Used in Aircraft Turbine Engines; Silesian University of Technology: Katowice, Poland, 2007. [Google Scholar]
 - Poznańska, A. Lifetime of Aircraft Engine Blades Made of EI-867 Alloy in Terms of Heterogeneous Deformation and Structural Changes; Rzeszów University of Technology: Rzeszów, Poland, 2000. [Google Scholar]
 - Majka, H.; Sieniawski, J. Investigation of the coarsening and gamma’-phase coagulation kinetics in the nickel-base superalloy EI-867. Archiwum Nauki o Materiałach 1998, 4, 18. [Google Scholar]
 - Image Processing Toolbox™ User’s Guide; The MathWorks, Inc.: Natick, MA, USA, 2016.
 - MATLAB R2016b Update 7; The MathWorks, Inc.: Natick, MA, USA, 2018.
 
















Disclaimer/Publisher’s Note: The statements, opinions and data contained in all publications are solely those of the individual author(s) and contributor(s) and not of MDPI and/or the editor(s). MDPI and/or the editor(s) disclaim responsibility for any injury to people or property resulting from any ideas, methods, instructions or products referred to in the content.  | 
© 2023 by the authors. Licensee MDPI, Basel, Switzerland. This article is an open access article distributed under the terms and conditions of the Creative Commons Attribution (CC BY) license (https://creativecommons.org/licenses/by/4.0/).
Share and Cite
Kułaszka, A.; Błachnio, J.; Borowczyk, H. The Impact of Temperature on the Surface Colour of Gas Turbine Blades Heated in the Presence of Kerosene. Aerospace 2023, 10, 375. https://doi.org/10.3390/aerospace10040375
Kułaszka A, Błachnio J, Borowczyk H. The Impact of Temperature on the Surface Colour of Gas Turbine Blades Heated in the Presence of Kerosene. Aerospace. 2023; 10(4):375. https://doi.org/10.3390/aerospace10040375
Chicago/Turabian StyleKułaszka, Artur, Józef Błachnio, and Henryk Borowczyk. 2023. "The Impact of Temperature on the Surface Colour of Gas Turbine Blades Heated in the Presence of Kerosene" Aerospace 10, no. 4: 375. https://doi.org/10.3390/aerospace10040375
APA StyleKułaszka, A., Błachnio, J., & Borowczyk, H. (2023). The Impact of Temperature on the Surface Colour of Gas Turbine Blades Heated in the Presence of Kerosene. Aerospace, 10(4), 375. https://doi.org/10.3390/aerospace10040375
        
