Expression of Colorectal Cancer Antigenic Protein Fused to IgM Fc in Chinese Cabbage (Brassica rapa)
Abstract
1. Introduction
2. Results
2.1. Agrobacterium-Mediated Transformation and Regeneration of T0 Transgenic Chinese Cabbage
2.2. Presence of Transgenes Encoding EpCAM–IgM Fc and J-Chain K in T0 Transgenic Plants
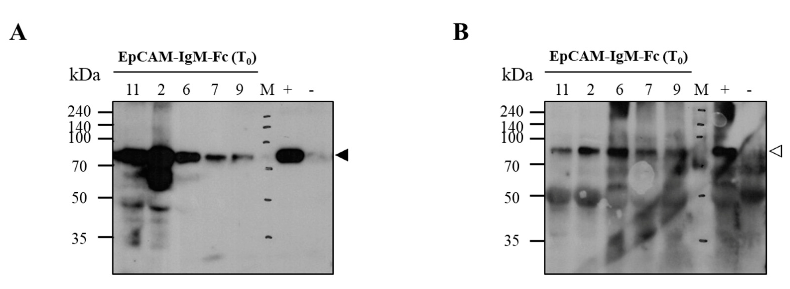
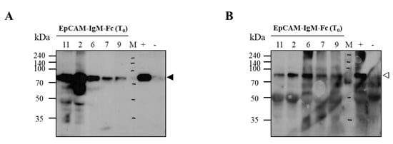
2.3. Expression of EpCAM–IgM Fc in T0 Transgenic Plants
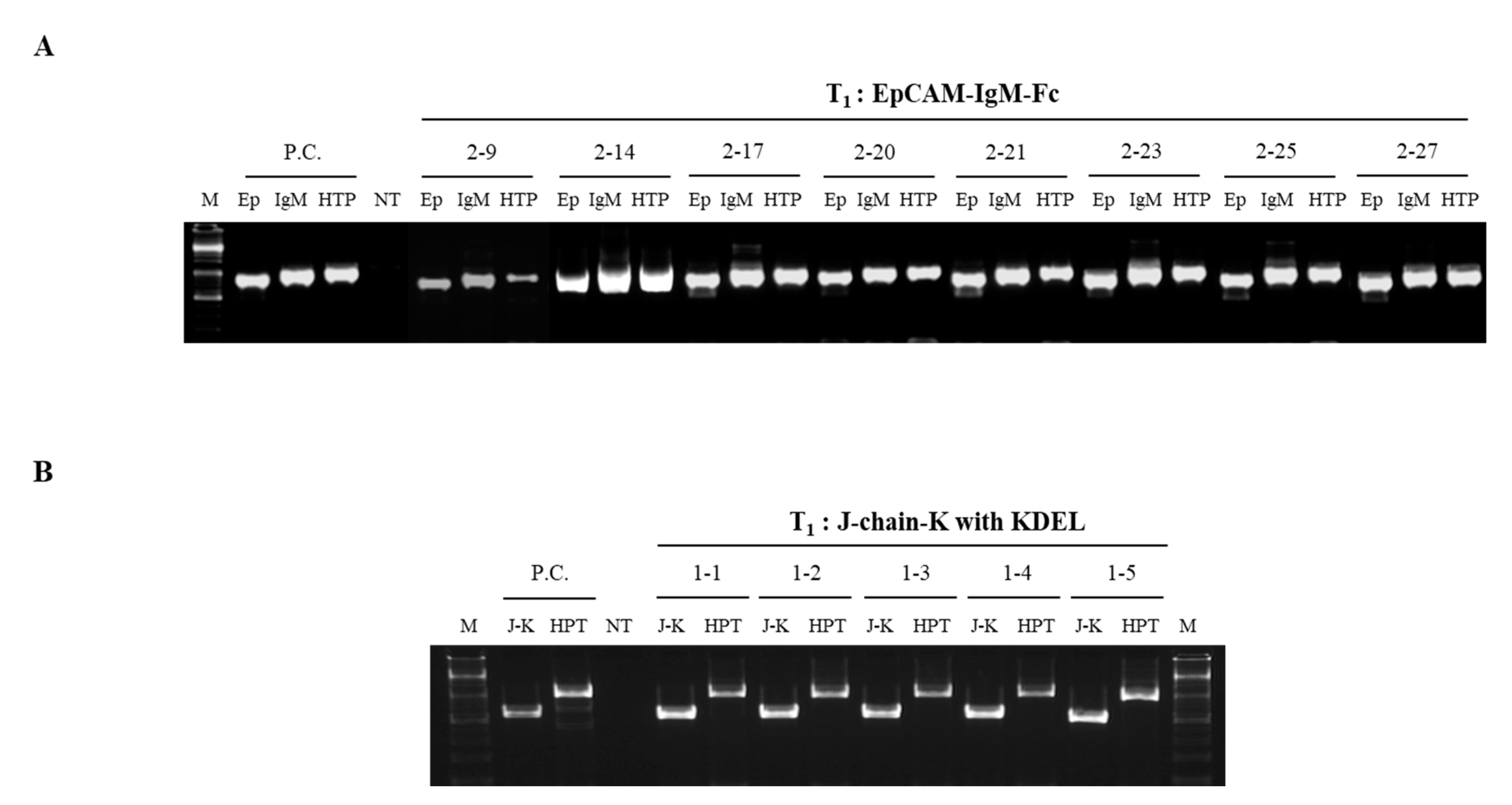
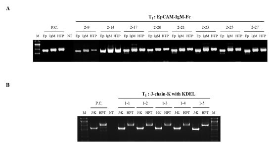
2.4. Presence of Transgenes Encoding EpCAM–IgM Fc and J-Chain K in T1 Transgenic Plants
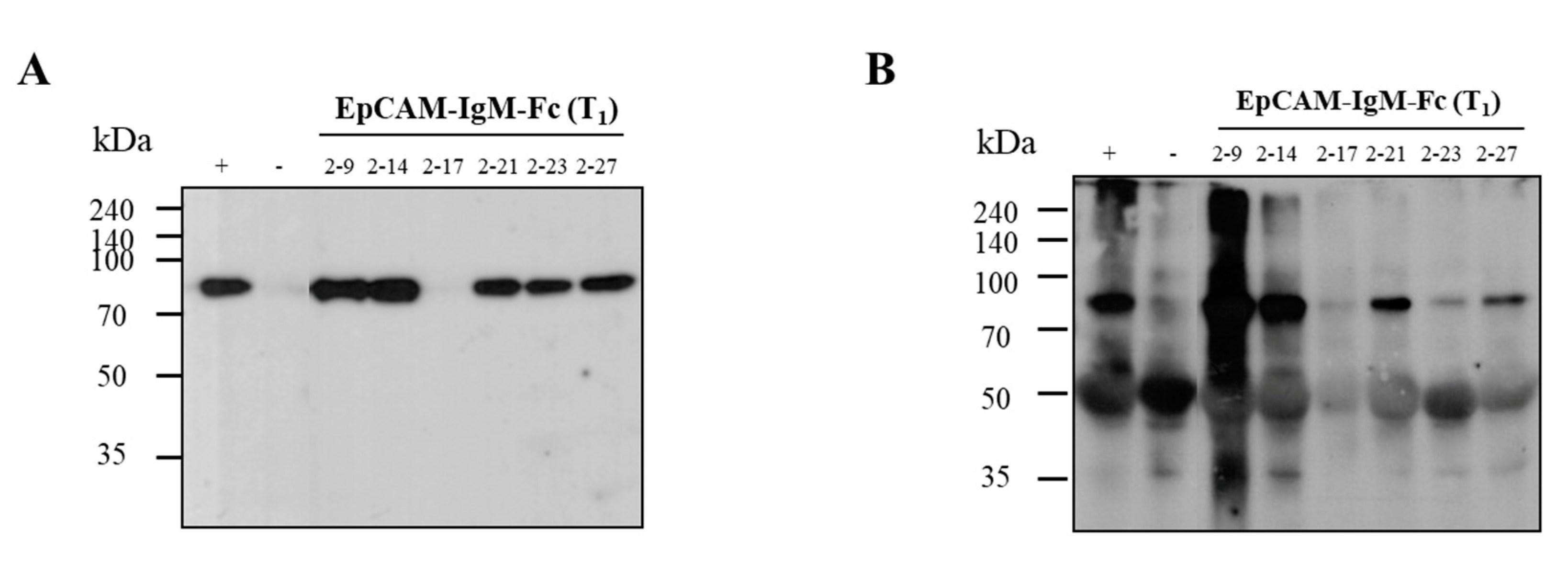
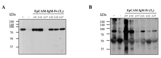
2.5. Expression of EpCAM–IgM Fc in T1 Transgenic Plants
2.6. Presence of Transgenes Encoding EpCAM–IgM Fc and J-Chain K in F1 Transgenic Plants Obtained between EpCAM–IgM Fc and J-Chain K T1 Plants
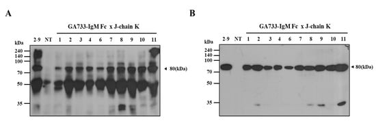
2.7. Expression of EpCAM–IgM Fc in F1 Transgenic Plants Obtained by Crossing EpCAM–IgM Fc and J-Chain K T1 Plants
2.8. Binding Affinity of the Anti-IgM Fc µ-Chain Antibody to Chinese Cabbage-Derived EpCAM-IgM Fc × J-Chain K (EpCAM-IgM FcC × J-Chain KC).
3. Discussion
4. Materials and Methods
4.1. Plant Expression Vector and Agrobacterium Strain
4.2. Plant Material and Preparation
4.3. Transformation and Selection Procedures
4.4. PCR Amplification from Genomic DNA of Plant Leaf
4.5. Western Blot
4.6. Cross-Fertilization
4.7. Enzyme-Linked Immunosorbent Assay (ELISA)
4.8. Statistical Analysis
Author Contributions
Funding
Conflicts of Interest
Abbreviations
| ELISA | Enzyme-linked immunosorbent assay |
| ER | Endoplasmic reticulum |
| EpCAM | Epithelial cell adhesion molecule |
| Fc | Fragment crystallizable |
| IgM | Immunoglobulin M |
| J-chain | Joining-chain |
| HRP | Horseradish peroxidase |
| MS | Murashige and skoog |
| PBS | Phosphate-buffered saline |
| PCR | Polymerase chain reaction |
| TAA | Tumor-associated antigen |
References
- Pogrebnyak, N.; Golovkin, M.; Andrianov, V.; Spitsin, S.; Smirnov, Y.; Egolf, R.; Koprowski, H. Severe acute respiratory syndrome (SARS) S protein production in plants: Development of recombinant vaccine. Proc. Natl. Acad. Sci. USA 2005, 102, 9062–9067. [Google Scholar] [CrossRef] [PubMed]
- Kantor, M.; Sestras, R.; Chowdhury, K. Transgenic tomato plants expressing the antigen gene PfCP-2.9 of Plasmodium falciparum. Pesqui. Agropecuária Bras. 2013, 48, 73–79. [Google Scholar] [CrossRef]
- Shaaltiel, Y.; Tzaban, S.; Fiks, N.; Tekoah, Y.; Aviezer, D.; Gingis-Velitski, S. Plant-based oral delivery of β-glucocerebrosidase as an enzyme replacement therapy for Gaucher’s disease. Plant Biotechnol. J. 2015, 13, 1033–1040. [Google Scholar] [CrossRef] [PubMed]
- Sharma, M.; Sood, B. A banana or a syringe: Journey to edible vaccines. World J. Microbiol. Biotechnol. 2010, 27, 471–477. [Google Scholar] [CrossRef]
- Tacket, C.O.; Mason, H.S.; Losonsky, G.; Estes, M.K.; Levine, M.M.; Arntzen, C.J. Human Immune Responses to a Novel Norwalk Virus Vaccine Delivered in Transgenic Potatoes. J. Infect. Dis. 2000, 182, 302–305. [Google Scholar] [CrossRef] [PubMed]
- Yusibov, V. Expression in plants and immunogenicity of plant virus-based experimental rabies vaccine. Vaccine 2002, 20, 3155–3164. [Google Scholar] [CrossRef]
- Shin, C.; Kang, Y.; Kim, H.-S.; Shin, Y.K.; Ko, K. Immune response of heterologous recombinant antigenic protein of viral hemorrhagic septicemia virus (VHSV) in mice. Anim. Cells Syst. 2019, 23, 97–105. [Google Scholar] [CrossRef]
- Lee, J.H.; Park, S.R.; Phoolcharoen, W.; Eko, K. Expression, function, and glycosylation of anti-colorectal cancer large single-chain antibody (LSC) in plant. Plant Biotechnol. Rep. 2020, 14, 363–371. [Google Scholar] [CrossRef]
- Song, I.; Park, S.-A.; Han, D.; Lee, H.K.; Perlman, D.H.; Eko, K. Expression, glycosylation, and function of an anti-rabies virus monoclonal antibody in tobacco and Arabidopsis plants. Hortic. Environ. Biotechnol. 2018, 59, 285–292. [Google Scholar] [CrossRef]
- Moon, K.-B.; Park, J.-S.; Park, Y.-I.; Song, I.-J.; Lee, H.; Cho, H.S.; Jeon, J.H.; Kim, H.-S. Development of Systems for the Production of Plant-Derived Biopharmaceuticals. Plants 2019, 9, 30. [Google Scholar] [CrossRef]
- Vanjildorj, E.; Song, S.Y.; Yang, Z.H.; Choi, J.E.; Noh, Y.S.; Park, S.; Lim, W.J.; Cho, K.M.; Yun, H.D.; Lim, Y.P. Enhancement of tolerance to soft rot disease in the transgenic Chinese cabbage (Brassica rapa L. ssp. Pekinensis) inbred line, Kenshin. Plant Cell Rep. 2009, 28, 1581–1591. [Google Scholar] [CrossRef] [PubMed]
- Kim, J.; Kang, W.-H.; Hwang, J.; Yang, H.-B.; Dosun, K.; Oh, C.-S.; Kang, B.-C. Transgenic Brassica rapa plants over-expressing eIF(iso)4E variants show broad-spectrum Turnip mosaic virus (TuMV) resistance. Mol. Plant Pathol. 2014, 15, 615–626. [Google Scholar] [CrossRef]
- Yi, D.; Yang, W.; Tang, J.; Wang, L.; Fang, Z.; Liu, Y.; Zhuang, M.; Zhang, Y.; Yang, L. High resistance of transgenic cabbage plants with a synthetic cry1Ia8 gene from Bacillus thuringiensis against two lepidopteran species under field conditions. Pest Manag. Sci. 2015, 72, 315–321. [Google Scholar] [CrossRef]
- Park, J.-S.; Yu, J.-G.; Park, Y.-D. Characterization of a drought tolerance-related gene of Chinese cabbage in a transgenic tobacco plant. Hortic. Environ. Biotechnol. 2017, 58, 48–55. [Google Scholar] [CrossRef]
- Qiu, N.; Liu, Q.; Li, J.; Zhang, Y.; Wang, F.; Gao, J. Physiological and Transcriptomic Responses of Chinese Cabbage (Brassica rapa L. ssp. Pekinensis) to Salt Stress. Int. J. Mol. Sci. 2017, 18, 1953. [Google Scholar] [CrossRef]
- Pavlović, I.; Petřík, I.; Tarkowská, D.; Lepeduš, H.; Bok, V.V.; Brkanac, S.R.; Novak, O.; Salopek-Sondi, B. Correlations between Phytohormones and Drought Tolerance in Selected Brassica Crops: Chinese Cabbage, White Cabbage and Kale. Int. J. Mol. Sci. 2018, 19, 2866. [Google Scholar] [CrossRef] [PubMed]
- Su, T.; Li, P.; Wang, H.; Wang, W.; Zhao, X.; Yu, Y.; Zhang, D.; Yu, S.; Zhang, F.; Wang, H. Natural variation in a calreticulin gene causes reduced resistance to Ca2+ deficiency-induced tipburn in Chinese cabbage (Brassica rapa ssp. Pekinensis). Plant Cell Environ. 2019, 42, 3044–3060. [Google Scholar] [CrossRef] [PubMed]
- Murakami, K. Selective fertilization in relation to plant breeding.: I. Chinese cabbage (Brassica pekinensis RUPR.).: 3. Inheritance of self and cross-incompatibility. Jpn. J. Breed. 1965, 15, 97–109. [Google Scholar] [CrossRef]
- Spizzo, G.; Fong, D.; Wurm, M.; Ensinger, C.; Obrist, P.; Hofer, C.; Mazzoleni, G.; Gastl, G.; Went, P. EpCAM expression in primary tumour tissues and metastases: An immunohistochemical analysis. J. Clin. Pathol. 2011, 64, 415–420. [Google Scholar] [CrossRef]
- Huang, L.; Yang, Y.; Yang, F.; Liu, S.; Zhu, Z.; Lei, Z.; Guo, J. Functions of EpCAM in physiological processes and diseases (Review). Int. J. Mol. Med. 2018, 42, 1771–1785. [Google Scholar] [CrossRef]
- Park, S.R.; Ko, K.; Lim, S.; Cha, S.Y.; Chung, H.J.; Park, S.J.; Myung, S.; Kim, M.K. In vitro wound healing: Inhibition activity of insect-derived mAb CO17-1A in human colorectal cancer cell migration. Èntomol. Res. 2020, 50, 199–204. [Google Scholar] [CrossRef]
- Macdonald, J.; Henri, J.; Roy, K.; Hays, E.; Bauer, M.; Veedu, R.N.; Pouliot, N.; Shigdar, S. EpCAM Immunotherapy versus Specific Targeted Delivery of Drugs. Cancers 2018, 10, 19. [Google Scholar] [CrossRef]
- Went, P.T.; Lugli, A.; Meier, S.; Bundi, M.; Mirlacher, M.; Sauter, G.; Dirnhofer, S. Frequent EpCam Protein Expression in Human Carcinomas. Hum. Pathol. 2004, 35, 122–128. [Google Scholar] [CrossRef]
- Lu, Z.; Lee, K.-J.; Shao, Y.; Lee, J.-H.; So, Y.; Choo, Y.-K.; Oh, D.-B.; Hwang, K.-A.; Oh, S.H.; Han, Y.S.; et al. Expression of GA733-Fc Fusion Protein as a Vaccine Candidate for Colorectal Cancer in Transgenic Plants. J. Biomed. Biotechnol. 2012, 2012, 1–11. [Google Scholar] [CrossRef]
- Brodzik, R.; Spitsin, S.; Golovkin, M.; Bandurska, K.; Portocarrero, C.; Okulicz, M.; Steplewski, Z.; Koprowski, H. Plant-derived EpCAM antigen induces protective anti-cancer response. Cancer Immunol. Immunother. 2007, 57, 317–323. [Google Scholar] [CrossRef]
- Chung, I.S.; Fu, Y.-Y.; Zhao, J.; Park, J.-H.; Choi, G.-W.; Park, K.Y.; Lee, Y.H. Human colorectal cancer antigen GA733-2-Fc fused to endoplasmic reticulum retention motif KDEL enhances its immunotherapeutic effects. J. Cancer Res. Ther. 2018, 14, 748–S757. [Google Scholar] [CrossRef] [PubMed]
- Perrar, A.; Dissmeyer, N.; Huesgen, P.F. New beginnings and new ends: Methods for large-scale characterization of protein termini and their use in plant biology. J. Exp. Bot. 2019, 70, 2021–2038. [Google Scholar] [CrossRef]
- Schilling, S.; Stenzel, I.; Bohlen, A.; Wermann, M.; Schulz, K.; Demuth, H.-U.; Wasternack, C. Isolation and characterization of the glutaminyl cyclases from Solanum tuberosum and Arabidopsis thaliana: Implications for physiological functions. Biol. Chem. 2007, 388, 145–153. [Google Scholar] [CrossRef]
- Yang, C.; Gao, X.; Gong, R. Engineering of Fc Fragments with Optimized Physicochemical Properties Implying Improvement of Clinical Potentials for Fc-Based Therapeutics. Front. Immunol. 2018, 8, 1860. [Google Scholar] [CrossRef] [PubMed]
- Kang, Y.J.; Kim, D.-S.; Myung, S.-C.; Eko, K. Expression of a Human Prostatic Acid Phosphatase (PAP)-IgM Fc Fusion Protein in Plants Using In vitro Tissue Subculture. Front. Plant Sci. 2017, 8, 274. [Google Scholar] [CrossRef] [PubMed][Green Version]
- Moussavou, G.; Lee, J.-H.; Qiao, L.; Noh, Y.H.; Shin, Y.K.; Lee, T.J.; Lee, S.H.; Eko, K. Baculovirus titration method based on MOI values for optimizing recombinant protein expression of the anti-cancer vaccine candidate GA733-Fc using Sf9 insect cells. Èntomol. Res. 2018, 48, 73–79. [Google Scholar] [CrossRef]
- Lee, J.H.; Ko, K. Production of Recombinant Anti-Cancer Vaccines in Plants. Biomol. Ther. 2017, 25, 345–353. [Google Scholar] [CrossRef]
- Epark, S.-R.; Elim, C.-Y.; Ekim, D.-S.; Eko, K. Optimization of Ammonium Sulfate Concentration for Purification of Colorectal Cancer Vaccine Candidate Recombinant Protein GA733-FcK Isolated from Plants. Front. Plant Sci. 2015, 6, 1040. [Google Scholar] [CrossRef]
- Lim, C.-Y.; Lee, K.J.; Oh, D.-B.; Eko, K. Effect of the developmental stage and tissue position on the expression and glycosylation of recombinant glycoprotein GA733-FcK in transgenic plants. Front. Plant Sci. 2015, 5, 778. [Google Scholar] [CrossRef] [PubMed]
- Sørensen, V.; Rasmussen, I.B.; Sundvold, V.; Michaelsen, T.E.; Sandlie, I. Structural requirements for incorporation of J chain into human IgM and IgA. Int. Immunol. 2000, 12, 19–27. [Google Scholar] [CrossRef]
- Webster, G.; Van Dolleweerd, C.; Guerra, T.; Stelter, S.; Hofmann, S.; Kim, M.-Y.; Teh, A.Y.-H.; Diogo, G.R.; Copland, A.; Paul, M.J.; et al. A polymeric immunoglobulin—Antigen fusion protein strategy for enhancing vaccine immunogenicity. Plant Biotechnol. J. 2018, 16, 1983–1996. [Google Scholar] [CrossRef]
- Czajkowsky, D.M.; Hu, J.; Shao, Z.; Pleass, R.J. Fc-fusion proteins: New developments and future perspectives. EMBO Mol. Med. 2012, 4, 1015–1028. [Google Scholar] [CrossRef] [PubMed]
- Nakanishi, K.; Narimatsu, S.; Ichikawa, S.; Tobisawa, Y.; Kurohane, K.; Niwa, Y.; Kobayashi, H.; Imai, Y. Production of Hybrid-IgG/IgA Plantibodies with Neutralizing Activity against Shiga Toxin 1. PLoS ONE 2013, 8, e80712. [Google Scholar] [CrossRef] [PubMed]
- Yui, S.; Yoshikawa, H. Bolting resistant breeding of Chinese cabbage. 1. Flower induction of late bolting variety without chilling treatment. Euphytica 1991, 52, 171–176. [Google Scholar] [CrossRef]
- Park, B.-J.; Liu, Z.; Kanno, A.; Kameya, T. Genetic improvement of Chinese cabbage for salt and drought tolerance by constitutive expression of a B. napus LEA gene. Plant Sci. 2005, 169, 553–558. [Google Scholar] [CrossRef]
- Niemann, J.; Kaczmarek, J.; Książczyk, T.; Wojciechowski, A.; Jedryczka, M. Chinese cabbage (Brassica rapa ssp. Pekinensis)—A valuable source of resistance to clubroot (Plasmodiophora brassicae). Eur. J. Plant Pathol. 2016, 147, 181–198. [Google Scholar] [CrossRef]
- Park, S.R.; Lee, J.-H.; Kim, K.; Kim, T.M.; Lee, S.H.; Choo, Y.-K.; Kim, K.S.; Ko, K. Expression and In Vitro Function of Anti-Breast Cancer Llama-Based Single Domain Antibody VHH Expressed in Tobacco Plants. Int. J. Mol. Sci. 2020, 21, 1354. [Google Scholar] [CrossRef] [PubMed]
- Pyzik, M.; Sand, K.M.K.; Hubbard, J.J.; Andersen, J.T.; Sandlie, I.; Blumberg, R.S. The Neonatal Fc Receptor (FcRn): A Misnomer? Front. Immunol. 2019, 10, 1540. [Google Scholar] [CrossRef] [PubMed]
- Wang, X.-Y.; Wang, B.; Wen, Y.-M. From therapeutic antibodies to immune complex vaccines. NPJ Vaccines 2019, 4, 1–8. [Google Scholar] [CrossRef]
- Kim, D.-S.; Kang, Y.J.; Lee, K.J.; Qiao, L.; Ko, K.; Kim, D.H.; Myung, S.C.; Eko, K. A Plant-Derived Antigen–Antibody Complex Induces Anti-Cancer Immune Responses by Forming a Large Quaternary Structure. Int. J. Mol. Sci. 2020, 21, 5603. [Google Scholar] [CrossRef]
- Woof, J.M.; Russell, M.W. Structure and function relationships in IgA. Mucosal Immunol. 2011, 4, 590–597. [Google Scholar] [CrossRef]
- Kumar, N.; Arthur, C.P.; Ciferri, C.; Matsumoto, M.L. Structure of the secretory immunoglobulin A core. Science 2020, 367, 1008–1014. [Google Scholar] [CrossRef]
- Sharp, T.H.; Boyle, A.L.; Diebolder, C.A.; Kros, A.; Koster, A.J.; Gros, P. Insights into IgM-mediated complement activation based on in situ structures of IgM-C1-C4b. Proc. Natl. Acad. Sci. USA 2019, 116, 11900–11905. [Google Scholar] [CrossRef]
- Sieg, F.; Schroder, W.; Schmitt, J.M.; Hincha, D.K. Purification and Characterization of a Cryoprotective Protein (Cryoprotectin) from the Leaves of Cold-Acclimated Cabbage. Plant Physiol. 1996, 11, 215–221. [Google Scholar] [CrossRef]
- Li, J.; Gao, G.; Zhang, T.; Wu, X. The putative phytocyanin genes in Chinese cabbage (Brassica rapa L.): Genome-wide identification, classification and expression analysis. Mol. Genet. Genom. 2013, 288, 1–20. [Google Scholar] [CrossRef]
- Murashige, T.; Skoog, F. A Revised Medium for Rapid Growth and Bio-Assays with Tobacco Tissue Cultures. Physiol. Plant 1962, 15, 473–497. [Google Scholar] [CrossRef]
- Lim, S. Modification of Protein and Glycan Structures to Enhance Efficacy of Vaccine Against Cancer in Plant Expression System. Ph.D. Thesis, The Graduate School Chung-Ang University, Seoul, Korea, 23 August 2019. [Google Scholar]









Publisher’s Note: MDPI stays neutral with regard to jurisdictional claims in published maps and institutional affiliations. |
© 2020 by the authors. Licensee MDPI, Basel, Switzerland. This article is an open access article distributed under the terms and conditions of the Creative Commons Attribution (CC BY) license (http://creativecommons.org/licenses/by/4.0/).
Share and Cite
Lee, Y.-R.; Lim, C.-Y.; Lim, S.; Park, S.R.; Hong, J.-P.; Kim, J.; Lee, H.-E.; Ko, K.; Kim, D.-S. Expression of Colorectal Cancer Antigenic Protein Fused to IgM Fc in Chinese Cabbage (Brassica rapa). Plants 2020, 9, 1466. https://doi.org/10.3390/plants9111466
Lee Y-R, Lim C-Y, Lim S, Park SR, Hong J-P, Kim J, Lee H-E, Ko K, Kim D-S. Expression of Colorectal Cancer Antigenic Protein Fused to IgM Fc in Chinese Cabbage (Brassica rapa). Plants. 2020; 9(11):1466. https://doi.org/10.3390/plants9111466
Chicago/Turabian StyleLee, Ye-Rin, Chae-Yeon Lim, Sohee Lim, Se Ra Park, Jong-Pil Hong, Jinhee Kim, Hye-Eun Lee, Kisung Ko, and Do-Sun Kim. 2020. "Expression of Colorectal Cancer Antigenic Protein Fused to IgM Fc in Chinese Cabbage (Brassica rapa)" Plants 9, no. 11: 1466. https://doi.org/10.3390/plants9111466
APA StyleLee, Y.-R., Lim, C.-Y., Lim, S., Park, S. R., Hong, J.-P., Kim, J., Lee, H.-E., Ko, K., & Kim, D.-S. (2020). Expression of Colorectal Cancer Antigenic Protein Fused to IgM Fc in Chinese Cabbage (Brassica rapa). Plants, 9(11), 1466. https://doi.org/10.3390/plants9111466

