Comparative Insights into Photosynthetic, Biochemical, and Ultrastructural Mechanisms in Hibiscus and Pelargonium Plants
Abstract
1. Introduction
2. Results
2.1. Morphological Characteristics
2.2. Leaf Optical Profile


2.3. Pigments and Structural Components

2.4. Diurnal Gas Exchange

2.5. Photosynthetic Response to Light and CO2

2.6. Fluorescence Measurementsin Leaves

2.7. Chlorophyll a Fluorescence Kinetic Dynamics

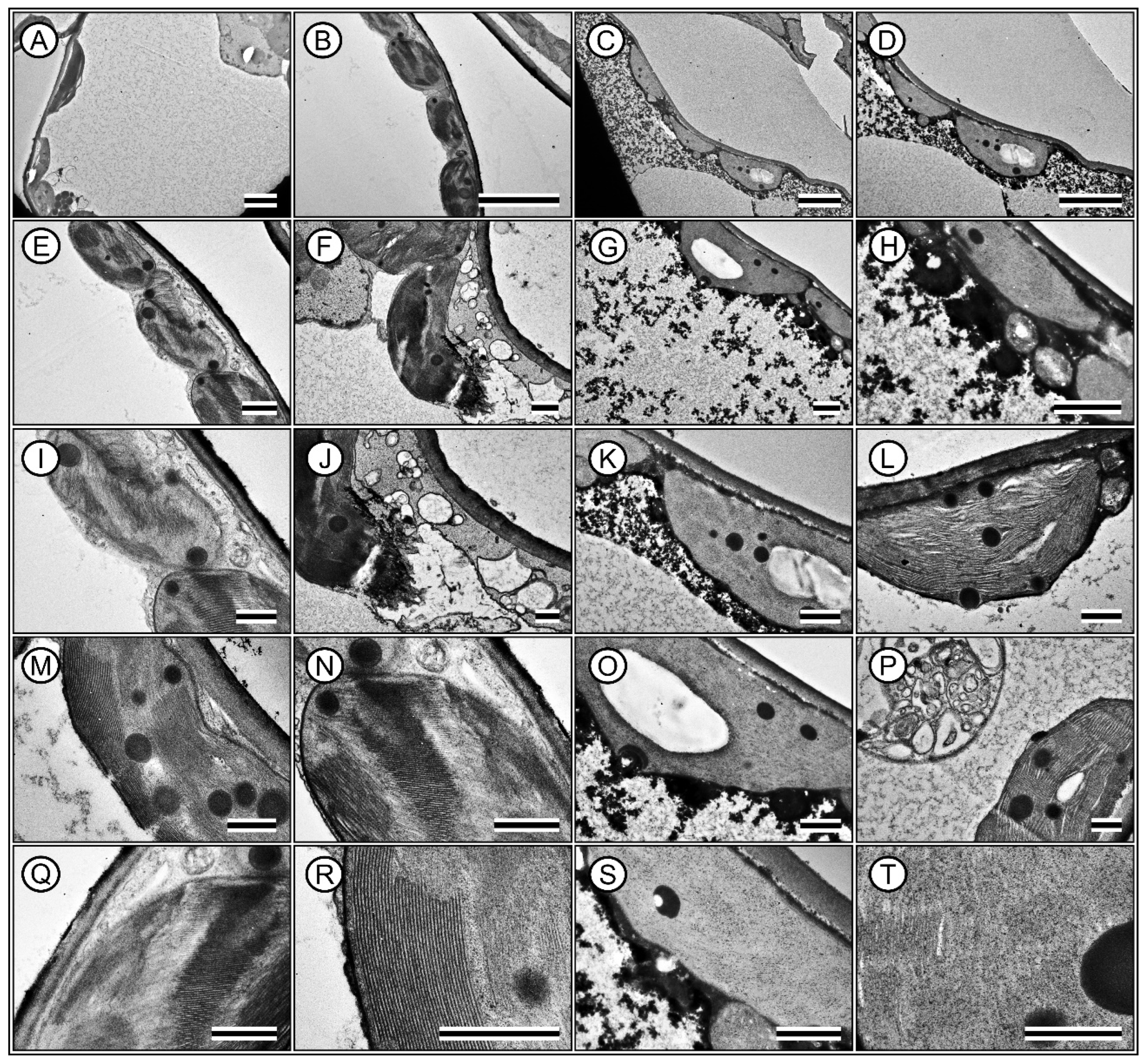
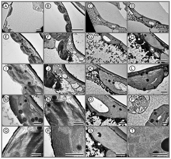
2.8. Anatomy, Structure and Ultrastructure
2.9. Principal Component Analysis
3. Discussion
3.1. Hyperspectral Leaf Optical Proprieties
3.2. Changes in Photosynthesis-Related Compound Levels
3.3. Diurnal Photosynthesis
3.4. Photosynthetic Analyses
3.5. Fluorescence Data Reveal Distinct Mechanisms of Energy Use and Dissipation
3.6. Modifications to Chloroplast Ultrastructure
3.7. Phenomenological Models
3.8. Leaf Anatomy and Ultrastructural Morphology
4. Material and Methods
4.1. Environmental Conditions for Plant Growth
4.2. Spectral Characterisation of Leaf Optical Properties by Hyperspectral Analysis
4.3. Assessment of Leaf Tissue Composition
4.3.1. Quantification of Chlorophyll and Carotenoids
4.3.2. Flavonoid and Anthocyanin Quantification
4.3.3. Analysis of Soluble Phenolic Compounds
4.3.4. Assessment of Antioxidant Capacity
4.4. Isolation of Protein-Free Cell Walls (PFCWs) and Lignin Quantification
4.5. Cellulose Quantification
4.6. Precision Assessment of Absorbance Profiles Via Optimal Wavelength Selection
4.7. Gas Exchange Measurements
4.7.1. Light Curves with Multiphase FlashTM Fluorometer
4.7.2. A−Ci Curves with Multiphase FlashTM Fluorometer
4.7.3. Daily Photosynthetic Measurements
4.7.4. Fluorescence Induction Kinetics
4.7.5. Fluorescence Measurements
4.8. Preparation and Microscopic Analysis
4.8.1. Sample Preparation
4.8.2. Optical Microscopy
4.8.3. Scanning Electron Microscopy
4.8.4. Transmission Electron Microscopy
4.9. Univariate and Multivariate Analyses
5. Concluding Remarks
Author Contributions
Funding
Data Availability Statement
Acknowledgments
Conflicts of Interest
References
- Stirbet, A.; Lazár, D.; Guo, Y.; Govindjee, G. Photosynthesis: Basics, History and Modelling. Ann. Bot. 2020, 126, 511–537. [Google Scholar] [CrossRef] [PubMed]
- Eberhard, S.; Finazzi, G.; Wollman, F.-A. The Dynamics of Photosynthesis. Annu. Rev. Genet. 2008, 42, 463–515. [Google Scholar] [CrossRef]
- Ort, D.R.; Merchant, S.S.; Alric, J.; Barkan, A.; Blankenship, R.E.; Bock, R.; Croce, R.; Hanson, M.R.; Hibberd, J.M.; Long, S.P.; et al. Redesigning Photosynthesis to Sustainably Meet Global Food and Bioenergy Demand. Proc. Natl. Acad. Sci. USA 2015, 112, 8529–8536. [Google Scholar] [CrossRef] [PubMed]
- Golovko, T.K.; Zakhozhiy, I.G.; Shelyakin, M.A.; Silina, E.V.; Tabalenkova, G.N.; Malyshev, R.V.; Dalke, I.V. Photosynthesis, Respiration, and Thermal Energy Dissipation in Leaves of Two Phenotypes of Plantago media L. under Environmental Conditions. Russ. J. Plant Physiol. 2022, 69, 115. [Google Scholar] [CrossRef]
- Valentini, R.; Epron, D.; De Angelis, P.; Matteucci, G.; Dreyer, E. In Situ Estimation of Net CO2 Assimilation, Photosynthetic Electron Flow and Photorespiration in Turkey Oak (Q. cerris L.) Leaves: Diurnal Cycles under Different Levels of Water Supply. Plant. Cell Environ. 1995, 18, 631–640. [Google Scholar] [CrossRef]
- Nikkanen, L.; Toivola, J.; Trotta, A.; Diaz, M.G.; Tikkanen, M.; Aro, E.-M.; Rintamäki, E. Regulation of Cyclic Electron Flow by Chloroplast NADPH-Dependent Thioredoxin System. Plant Direct 2018, 2, e00093. [Google Scholar] [CrossRef]
- Magdaong, N.C.M.; Blankenship, R.E. Photoprotective, Excited-State Quenching Mechanisms in Diverse Photosynthetic Organisms. J. Biol. Chem. 2018, 293, 5018–5025. [Google Scholar] [CrossRef]
- Navakoudis, E.; Stergiannakos, T.; Daskalakis, V. A Perspective on the Major Light-Harvesting Complex Dynamics under the Effect of PH, Salts, and the Photoprotective PsbS Protein. Photosynth. Res. 2023, 156, 163–177. [Google Scholar] [CrossRef]
- Yang, Y.; Liang, T.; Zhang, L.; Shao, K.; Gu, X.; Shang, R.; Shi, N.; Li, X.; Zhang, P.; Liu, H. UVR8 Interacts with WRKY36 to Regulate HY5 Transcription and Hypocotyl Elongation in Arabidopsis. Nat. Plants 2018, 4, 98–107. [Google Scholar] [CrossRef]
- Caddell, D.; Langenfeld, N.J.; Eckels, M.J.H.; Zhen, S.; Klaras, R.; Mishra, L.; Bugbee, B.; Coleman-Derr, D. Photosynthesis in Rice Is Increased by CRISPR/Cas9-Mediated Transformation of Two Truncated Light-Harvesting Antenna. Front. Plant Sci. 2023, 14, 1050483. [Google Scholar] [CrossRef]
- Borsuk, A.M.; Brodersen, C.R. The Spatial Distribution of Chlorophyll in Leaves. Plant Physiol. 2019, 180, 1406–1417. [Google Scholar] [CrossRef] [PubMed]
- Evans, J.R. Mesophyll Conductance: Walls, Membranes and Spatial Complexity. New Phytol. 2021, 229, 1864–1876. [Google Scholar] [CrossRef] [PubMed]
- Kimura, H.; Hashimoto-Sugimoto, M.; Iba, K.; Terashima, I.; Yamori, W. Improved Stomatal Opening Enhances Photosynthetic Rate and Biomass Production in Fluctuating Light. J. Exp. Bot. 2020, 71, 2339–2350. [Google Scholar] [CrossRef] [PubMed]
- Kitajima, K.; Hogan, K.P. Increases of Chlorophyll a/b Ratios during Acclimation of Tropical Woody Seedlings to Nitrogen Limitation and High Light. Plant. Cell Environ. 2016, 26, 857–865. [Google Scholar] [CrossRef] [PubMed]
- Vialet-Chabrand, S.R.; Matthews, J.S.; Simkin, A.; Raines, C.A.; Lawson, T. Importance of Fluctuations in Light on Plant Photosynthetic Acclimation. Plant Physiol. 2017, 173, 2163–2179. [Google Scholar] [CrossRef]
- Kusaka, M.; Kalaji, H.M.; Mastalerczuk, G.; Dabrowski, P.; Kowalczyk, K. Potassium Deficiency Impact on the Photosynthetic Apparatus Efficiency of Radish. Photosynthetica 2021, 59, 127–136. [Google Scholar] [CrossRef]
- Roeber, V.M.; Bajaj, I.; Rohde, M.; Schmülling, T.; Cortleven, A. Light Acts as a Stressor and Influences Abiotic and Biotic Stress Responses in Plants. Plant. Cell Environ. 2021, 44, 645–664. [Google Scholar] [CrossRef]
- Sagun, J.V.; Badger, M.R.; Chow, W.S.; Ghannoum, O. Cyclic Electron Flow and Light Partitioning between the Two Photosystems in Leaves of Plants with Different Functional Types. Photosynth. Res. 2019, 142, 321–334. [Google Scholar] [CrossRef]
- Ma, Y.; Lee, Y.; Best-Popescu, C.; Gao, L. High-Speed Compressed-Sensing Fluorescence Lifetime Imaging Microscopy of Live Cells. Proc. Natl. Acad. Sci. USA 2021, 118, e2004176118. [Google Scholar] [CrossRef]
- Bellasio, C.; Beerling, D.J.; Griffiths, H. Deriving C4 Photosynthetic Parameters from Combined Gas Exchange and Chlorophyll Fluorescence Using an Excel Tool: Theory and Practice. Plant Cell Environ. 2016, 39, 1164–1179. [Google Scholar] [CrossRef]
- McClain, A.M.; Cruz, J.A.; Kramer, D.M.; Sharkey, T.D. The Time Course of Acclimation to the Stress of Triose Phosphate Use Limitation. Plant. Cell Environ. 2023, 46, 64–75. [Google Scholar] [CrossRef] [PubMed]
- Flexas, J.; Ribas-Carbó, M.; Diaz-Espejo, A.; Galmés, J.; Medrano, H. Mesophyll Conductance to CO2: Current Knowledge and Future Prospects. Plant. Cell Environ. 2008, 31, 602–621. [Google Scholar] [CrossRef]
- Clarke, V.C.; Danila, F.R.; von Caemmerer, S. CO(2) Diffusion in Tobacco: A Link between Mesophyll Conductance and Leaf Anatomy. Interface Focus 2021, 11, 20200040. [Google Scholar] [CrossRef] [PubMed]
- Sharkey, T.D. What Gas Exchange Data Can Tell Us about Photosynthesis. Plant Cell Environ. 2016, 39, 1161–1163. [Google Scholar] [CrossRef] [PubMed]
- Baker, N.R. Chlorophyll Fluorescence: A Probe of Photosynthesis in Vivo. Annu. Rev. Plant Biol. 2008, 59, 89–113. [Google Scholar] [CrossRef] [PubMed]
- Falcioni, R.; Chicati, M.L.; de Oliveira, R.B.; Antunes, W.C.; Hasanuzzaman, M.; Demattê, J.A.M.; Nanni, M.R. Decreased Photosynthetic Efficiency in Nicotiana Tabacum L. under Transient Heat Stress. Plants 2024, 13, 395. [Google Scholar] [CrossRef]
- Maxwell, K.; Johnson, G.N. Chlorophyll Fluorescence—A Practical Guide. J. Exp. Bot. 2000, 51, 659–668. [Google Scholar] [CrossRef]
- Moore, C.E.; Meacham-Hensold, K.; Lemonnier, P.; Slattery, R.A.; Benjamin, C.; Bernacchi, C.J.; Lawson, T.; Cavanagh, A.P. The Effect of Increasing Temperature on Crop Photosynthesis: From Enzymes to Ecosystems. J. Exp. Bot. 2021, 72, 2822–2844. [Google Scholar] [CrossRef]
- Stirbet, A. Govindjee On the Relation between the Kautsky Effect (Chlorophyll a Fluorescence Induction) and Photosystem II: Basics and Applications of the OJIP Fluorescence Transient. J. Photochem. Photobiol. B Biol. 2011, 104, 236–257. [Google Scholar] [CrossRef]
- Strasser, R.J.; Michael, M.T. Analysis of the Fluorescence Transient Alaka Srivastava Summary II. The Theoretical Background; Springer: New York, NY, USA, 2005. [Google Scholar]
- Sakamoto, W.; Uno, Y.; Zhang, Q.; Miura, E.; Kato, Y. Sodmergen Arrested Differentiation of Proplastids into Chloroplasts in Variegated Leaves Characterized by Plastid Ultrastructure and Nucleoid Morphology. Plant Cell Physiol. 2009, 50, 2069–2083. [Google Scholar] [CrossRef]
- Liu, J.; Iersel, M.W. Van Photosynthetic Physiology of Blue, Green, and Red Light: Light Intensity Effects and Underlying Mechanisms. Front. Plant Sci. 2021, 12, 14. [Google Scholar]
- Barnes, M.L.; Breshears, D.D.; Law, D.J.; van Leeuwen, W.J.D.; Monson, R.K.; Fojtik, A.C.; Barron-Gafford, G.A.; Moore, D.J.P. Beyond Greenness: Detecting Temporal Changes in Photosynthetic Capacity with Hyperspectral Reflectance Data. PLoS ONE 2017, 12, e0189539. [Google Scholar] [CrossRef]
- Montero, J.I.; Antón, A.; Muñoz, P.; Lorenzo, P. Transpiration from Geranium Grown under High Temperatures and Low Humidities in Greenhouses. Agric. For. Meteorol. 2001, 107, 323–332. [Google Scholar] [CrossRef]
- Falcioni, R.; Moriwaki, T.; Bonato, C.M.; de Souza, L.A.; Nanni, M.R.; Antunes, W.C. Distinct Growth Light and Gibberellin Regimes Alter Leaf Anatomy and Reveal Their Influence on Leaf Optical Properties. Environ. Exp. Bot. 2017, 140, 86–95. [Google Scholar] [CrossRef]
- Falcioni, R.; Moriwaki, T.; Antunes, W.C.; Nanni, M.R. Rapid Quantification Method for Yield, Calorimetric Energy and Chlorophyll a Fluorescence Parameters in Nicotiana Tabacum L. Using Vis-NIR-SWIR Hyperspectroscopy. Plants 2022, 11, 2406. [Google Scholar] [CrossRef] [PubMed]
- Giordano, M.; El-Nakhel, C.; Carillo, P.; Colla, G.; Graziani, G.; Di Mola, I.; Mori, M.; Kyriacou, M.C.; Rouphael, Y.; Soteriou, G.A.; et al. Plant-Derived Biostimulants Differentially Modulate Primary and Secondary Metabolites and Improve the Yield Potential of Red and Green Lettuce Cultivars. Agronomy 2022, 12, 1361. [Google Scholar] [CrossRef]
- Vogelmann, T.C.; Han, T. Measurement of Gradients of Absorbed Light in Spinach Leaves from Chlorophyll Fluorescence Profiles. Plant Cell Environ. 2000, 23, 1303–1311. [Google Scholar] [CrossRef]
- Hatier, J.H.B.; Gould, K.S. Black Coloration in Leaves of Ophiopogon Planiscapus “Nigrescens”. Leaf Optics, Chromaticity, and Internal Light Gradients. Funct. Plant Biol. 2007, 34, 130–138. [Google Scholar] [CrossRef]
- Lang, C.; Costa, F.R.C.; Camargo, J.L.C.; Durgante, F.M.; Vicentini, A. Near Infrared Spectroscopy Facilitates Rapid Identification of Both Young and Mature Amazonian Tree Species. PLoS ONE 2015, 10, e0134521. [Google Scholar] [CrossRef]
- Chen, M.; Zhang, Y.; Kong, X.; Du, Z.; Zhou, H.; Yu, Z.; Qin, J.; Chen, C. Leaf Cuticular Transpiration Barrier Organization in Tea Tree Under Normal Growth Conditions. Front. Plant Sci. 2021, 12, 655799. [Google Scholar] [CrossRef]
- Watts, S.; Kariyat, R. Morphological Characterization of Trichomes Shows Enormous Variation in Shape, Density and Dimensions across the Leaves of 14 Solanum Species. AoB Plants 2021, 13, plab071. [Google Scholar] [CrossRef] [PubMed]
- Kharshiing, E.; Sinha, S.P. Deficiency in Phytochrome A Alters Photosynthetic Activity, Leaf Starch Metabolism and Shoot Biomass Production in Tomato. J. Photochem. Photobiol. B Biol. 2016, 165, 157–162. [Google Scholar] [CrossRef] [PubMed]
- Wang, Y.; Wu, W.-H. Potassium Transport and Signaling in Higher Plants. Annu. Rev. Plant Biol. 2013, 64, 451–476. [Google Scholar] [CrossRef]
- Terashima, I.; Hiroki, O.; Takashi, F.; Riichi, O. Light Environment within a Leaf. II. Progress in the Past One-Third Century. J. Plant Res. 2016, 129, 353–363. [Google Scholar]
- Fiorucci, A.S.; Fankhauser, C. Plant Strategies for Enhancing Access to Sunlight. Curr. Biol. 2017, 27, R931–R940. [Google Scholar] [CrossRef] [PubMed]
- Qian, M.; Rosenqvist, E.; Prinsen, E.; Pescheck, F.; Flygare, A.-M.; Kalbina, I.; Jansen, M.A.K.; Strid, Å. Downsizing in Plants-UV Light Induces Pronounced Morphological Changes in the Absence of Stress. Plant Physiol. 2021, 187, 378–395. [Google Scholar] [CrossRef]
- Lee, M.; Kim, J.; Oh, M.-M.; Lee, J.-H.; Rajashekar, C.B. Effects of Supplemental UV-A LEDs on the Nutritional Quality of Lettuce: Accumulation of Protein and Other Essential Nutrients. Horticulturae 2022, 8, 680. [Google Scholar] [CrossRef]
- Yang, K.; Chen, G.; Xian, J.; Chang, H. Divergent Adaptations of Leaf Functional Traits to Light Intensity across Common Urban Plant Species in Lanzhou, Northwestern China. Front. Plant Sci. 2023, 14, 1000647. [Google Scholar] [CrossRef]
- Simlat, M.; Ślęzak, P.; Moś, M.; Warchoł, M.; Skrzypek, E.; Ptak, A. The Effect of Light Quality on Seed Germination, Seedling Growth and Selected Biochemical Properties of Stevia Rebaudiana Bertoni. Sci. Hortic. 2016, 211, 295–304. [Google Scholar] [CrossRef]
- Gitelson, A.; Solovchenko, A.; Viña, A. Foliar Absorption Coefficient Derived from Reflectance Spectra: A Gauge of the Efficiency of in Situ Light-Capture by Different Pigment Groups. J. Plant Physiol. 2020, 254, 153277. [Google Scholar] [CrossRef]
- Falcioni, R.; Antunes, W.C.; Demattê, J.A.M.; Nanni, M.R. Biophysical, Biochemical, and Photochemical Analyses Using Reflectance Hyperspectroscopy and Chlorophyll a Fluorescence Kinetics in Variegated Leaves. Biology 2023, 12, 704. [Google Scholar] [CrossRef] [PubMed]
- Chaudhry, S.; Sidhu, G.P.S. Climate Change Regulated Abiotic Stress Mechanisms in Plants: A Comprehensive Review. Plant Cell Rep. 2022, 41, 1–31. [Google Scholar] [CrossRef] [PubMed]
- Raza, A. Metabolomics: A Systems Biology Approach for Enhancing Heat Stress Tolerance in Plants. Plant Cell Rep. 2022, 41, 741–763. [Google Scholar] [CrossRef] [PubMed]
- Landi, M.; Tattini, M.; Gould, K.S. Multiple Functional Roles of Anthocyanins in Plant-Environment Interactions. Environ. Exp. Bot. 2015, 119, 4–17. [Google Scholar] [CrossRef]
- Llorach, R.; Martínez-Sánchez, A.; Tomás-Barberán, F.A.; Gil, M.I.; Ferreres, F. Characterisation of Polyphenols and Antioxidant Properties of Five Lettuce Varieties and Escarole. Food Chem. 2008, 108, 1028–1038. [Google Scholar] [CrossRef]
- Oi, T.; Enomoto, S.; Nakao, T.; Arai, S.; Yamane, K.; Taniguchi, M. Three-Dimensional Ultrastructural Change of Chloroplasts in Rice Mesophyll Cells Responding to Salt Stress. Ann. Bot. 2020, 125, 833–840. [Google Scholar] [CrossRef]
- Zahra, N.; Hafeez, M.B.; Ghaffar, A.; Kausar, A.; Zeidi, M.A.; Siddique, K.H.M.; Farooq, M. Plant Photosynthesis under Heat Stress: Effects and Management. Environ. Exp. Bot. 2023, 206, 105178. [Google Scholar] [CrossRef]
- Vanholme, R.; Demedts, B.; Morreel, K.; Ralph, J.; Boerjan, W. Lignin Biosynthesis and Structure. Plant Physiol. 2010, 153, 895–905. [Google Scholar] [CrossRef]
- Mizokami, Y.; Noguchi, K.; Kojima, M.; Sakakibara, H.; Terashima, I. Effects of Instantaneous and Growth CO2 Levels and Abscisic Acid on Stomatal and Mesophyll Conductances. Plant Cell Environ. 2019, 42, 1257–1269. [Google Scholar] [CrossRef]
- Song, T.; Xu, H.; Sun, N.; Jiang, L.; Tian, P.; Yong, Y.; Yang, W. Metabolomic Analysis of Alfalfa (Medicago Sativa L.) Root-Symbiotic Rhizobia Responses under Alkali Stress. Front. Plant Sci. 2017, 8, 1–20. [Google Scholar] [CrossRef]
- António, C. Plant Metabolomics, 1st ed.; Humana Press: New York, NY, USA, 2018. [Google Scholar]
- Fine, P.V.A.; Salazar, D.; Martin, R.E.; Metz, M.R.; Misiewicz, T.M.; Asner, G.P. Exploring the Links between Secondary Metabolites and Leaf Spectral Reflectance in a Diverse Genus of Amazonian Trees. Ecosphere 2021, 12, e03362. [Google Scholar] [CrossRef]
- Falcioni, R.; Moriwaki, T.; Pattaro, M.; Herrig Furlanetto, R.; Nanni, M.R.; Camargos Antunes, W. High Resolution Leaf Spectral Signature as a Tool for Foliar Pigment Estimation Displaying Potential for Species Differentiation. J. Plant Physiol. 2020, 249, 153161. [Google Scholar] [CrossRef] [PubMed]
- Lepetit, B.; Dietzel, L. Light Signaling in Photosynthetic Eukaryotes with “green” and “Red” Chloroplasts. Environ. Exp. Bot. 2015, 114, 30–47. [Google Scholar] [CrossRef]
- Hikosaka, K. Optimality of Nitrogen Distribution among Leaves in Plant Canopies. J. Plant Res. 2016, 129, 299–311. [Google Scholar] [CrossRef] [PubMed]
- Ahmed, H.F.A.; Elnaggar, S.; Abdel-Wahed, G.A.; Taha, R.S.; Ahmad, A.; Al-Selwey, W.A.; Ahmed, H.M.H.; Khan, N.; Seleiman, M.F. Induction of Systemic Resistance in Hibiscus Sabdariffa Linn. to Control Root Rot and Wilt Diseases Using Biotic and Abiotic Inducers. Biology 2023, 12, 789. [Google Scholar] [CrossRef] [PubMed]
- Leotta, L.; Toscano, S.; Ferrante, A.; Romano, D.; Francini, A. New Strategies to Increase the Abiotic Stress Tolerance in Woody Ornamental Plants in Mediterranean Climate. Plants 2023, 12, 2022. [Google Scholar] [CrossRef]
- Ge, Y.; Bai, G.; Stoerger, V.; Schnable, J.C. Temporal Dynamics of Maize Plant Growth, Water Use, and Leaf Water Content Using Automated High Throughput RGB and Hyperspectral Imaging. Comput. Electron. Agric. 2016, 127, 625–632. [Google Scholar] [CrossRef]
- Kutsher, Y.; Evenor, D.; Reuveni, M. Water Stress Enhances Geranium (Pelargonium) Cuttings Rooting Quality. Ornam. Hortic. 2022, 28, 212–219. [Google Scholar] [CrossRef]
- Pierce, S.; Maffi, D.; Faoro, F.; Cerabolini, B.E.L.; Spada, A. The Leaf Anatomical Trade-Offs Associated with Plant Ecological Strategy Variation. Plant Ecol. 2022, 223, 1233–1246. [Google Scholar] [CrossRef]
- Niinemets, Ü. Photosynthesis and Resource Distribution through Plant Canopies. Plant Cell Environ. 2007, 30, 1052–1071. [Google Scholar] [CrossRef]
- Dalod, P.V.; Nehete, J.Y. Review on Hibiscus Rosa-Sinensis Flowers. Int. J. Recent Sci. Res. 2022, 13, 1405–1411. [Google Scholar]
- Kováč, D.; Veselovská, P.; Klem, K.; Večeřová, K.; Ač, A.; Peñuelas, J.; Urban, O. Potential of Photochemical Reflectance Index for Indicating Photochemistry and Light Use Efficiency in Leaves of European Beech and Norway Spruce Trees. Remote Sens. 2018, 10, 1202. [Google Scholar] [CrossRef]
- Zavafer, A.; Mancilla, C. Concepts of Photochemical Damage of Photosystem II and the Role of Excessive Excitation. J. Photochem. Photobiol. C Photochem. Rev. 2021, 47, 100421. [Google Scholar] [CrossRef]
- Zubik, M.; Luchowski, R.; Kluczyk, D.; Grudzinski, W.; Maksim, M.; Nosalewicz, A.; Gruszecki, W.I. Recycling of Energy Dissipated as Heat Accounts for High Activity of Photosystem II. J. Phys. Chem. Lett. 2020, 11, 3242–3248. [Google Scholar] [CrossRef] [PubMed]
- Guidi, L.; Lo Piccolo, E.; Landi, M. Chlorophyll Fluorescence, Photoinhibition and Abiotic Stress: Does It Make Any Difference the Fact to Be a C3 or C4 Species? Front. Plant Sci. 2019, 10, 174. [Google Scholar] [CrossRef]
- Dall’Osto, L.; Cazzaniga, S.; Zappone, D.; Bassi, R. Monomeric Light Harvesting Complexes Enhance Excitation Energy Transfer from LHCII to PSII and Control Their Lateral Spacing in Thylakoids. Biochim. Biophys. Acta Bioenerg. 2019, 1861, 148035. [Google Scholar] [CrossRef]
- Gururani, M.A.; Venkatesh, J.; Ganesan, M.; Strasser, R.J.; Han, Y.; Kim, J.I.; Lee, H.Y.; Song, P.S. In Vivo Assessment of Cold Tolerance through Chlorophyll-a Fluorescence in Transgenic Zoysiagrass Expressing Mutant Phytochrome A. PLoS ONE 2015, 10, e0127200. [Google Scholar] [CrossRef]
- Staehelin, L.A.; Paolillo, D.J. A Brief History of How Microscopic Studies Led to the Elucidation of the 3D Architecture and Macromolecular Organization of Higher Plant Thylakoids. Photosynth. Res. 2020, 145, 237–258. [Google Scholar] [CrossRef]
- Xiao, Y.; Tholen, D.; Zhu, X.G. The Influence of Leaf Anatomy on the Internal Light Environment and Photosynthetic Electron Transport Rate: Exploration with a New Leaf Ray Tracing Model. J. Exp. Bot. 2016, 67, 6021–6035. [Google Scholar] [CrossRef]
- Lawlor, D. Limitation to Photosynthesis in Water-Stressed Leaves: Stomata vs. Metabolism and the Role of ATP. Ann. Bot. 2002, 89, 871–885. [Google Scholar] [CrossRef]
- Chen, T.; Riaz, S.; Davey, P.; Zhao, Z.; Sun, Y.; Dykes, G.F.; Zhou, F.; Hartwell, J.; Lawson, T.; Nixon, P.J.; et al. Producing Fast and Active Rubisco in Tobacco to Enhance Photosynthesis. Plant Cell 2023, 35, 795–807. [Google Scholar] [CrossRef] [PubMed]
- Fortineau, A.; Bancal, P. An Innovative Light Chamber for Measuring Photosynthesis by Three-Dimensional Plant Organs. Plant Methods 2018, 14, 1–12. [Google Scholar] [CrossRef] [PubMed]
- Hayes, P.E.; Nge, F.J.; Cramer, M.D.; Finnegan, P.M.; Fu, P.; Hopper, S.D.; Oliveira, R.S.; Turner, B.L.; Zemunik, G.; Zhong, H.; et al. Traits Related to Efficient Acquisition and Use of Phosphorus Promote Diversification in Proteaceae in Phosphorus-impoverished Landscapes. Plant Soil 2021, 462, 67–88. [Google Scholar] [CrossRef]
- Zhong, H.; Zhou, J.; Wong, W.S.; Cross, A.; Lambers, H. Exceptional Nitrogen-Resorption Efficiency Enables Maireana Species (Chenopodiaceae) to Function as Pioneers at a Mine-Restoration Site. Sci. Total Environ. 2021, 779, 146420. [Google Scholar] [CrossRef]
- Gupta, R. Tissue Specific Disruption of Photosynthetic Electron Transport Rate in Pigeonpea (Cajanus cajan L.) under Elevated Temperature. Plant Signal. Behav. 2019, 14, 1601952. [Google Scholar] [CrossRef]
- Miglani, G.S.; Kaur, R.; Sharma, P.; Gupta, N. Leveraging Photosynthetic Efficiency toward Improving Crop Yields. J. Crop Improv. 2020, 35, 361–402. [Google Scholar] [CrossRef]
- Evans, J.R.; Terashima, I. Photosynthetic Characteristics of Spinach Leaves Grown with Different Nitrogen Treatments. Plant Cell Physiol. 1988, 29, 157–165. [Google Scholar]
- Gitelson, A.; Solovchenko, A. Non-Invasive Quantification of Foliar Pigments: Possibilities and Limitations of Reflectance- and Absorbance-Based Approaches. J. Photochem. Photobiol. B Biol. 2018, 178, 537–544. [Google Scholar] [CrossRef]
- Espinoza-Corral, R.; Lundquist, P.K. The Plastoglobule-Localized Protein AtABC1K6 Is a Mn(2+)-Dependent Kinase Necessary for Timely Transition to Reproductive Growth. J. Biol. Chem. 2022, 298, 101762. [Google Scholar] [CrossRef]
- Roussel, D.; Voituron, Y. Mitochondrial Costs of Being Hot: Effects of Acute Thermal Change on Liver Bioenergetics in Toads (Bufo Bufo). Front. Physiol. 2020, 11, 153. [Google Scholar] [CrossRef]
- Zadražnik, T.; Moen, A.; Šuštar-Vozlič, J. Chloroplast Proteins Involved in Drought Stress Response in Selected Cultivars of Common Bean (Phaseolus vulgaris L.). 3 Biotech. 2019, 9, 331. [Google Scholar] [CrossRef] [PubMed]
- Falcioni, R.; de Oliveira, R.B.; Chicati, M.L.; Antunes, W.C.; Demattê, J.A.M.; Nanni, M.R. Estimation of Biochemical Compounds in Tradescantia Leaves Using VIS-NIR-SWIR Hyperspectral and Chlorophyll a Fluorescence Sensors. Remote Sens. 2024, 16, 1910. [Google Scholar] [CrossRef]
- Falcioni, R.; Antunes, W.C.; de Oliveira, R.B.; Chicati, M.L.; Demattê, J.A.M.; Nanni, M.R. Hyperspectral and Chlorophyll Fluorescence Analyses of Comparative Leaf Surfaces Reveal Cellular Influences on Leaf Optical Properties in Tradescantia Plants. Cells 2024, 13, 952. [Google Scholar] [CrossRef] [PubMed]
- Ragaee, S. Antioxidant Activity and Nutrient Composition of Selected Cereals for Food Use. Food Chem. 2006, 98, 32–38. [Google Scholar] [CrossRef]
- Falcioni, R.; Moriwaki, T.; Furlanetto, R.H.; Nanni, M.R.; Antunes, W.C. Simple, Fast and Efficient Methods for Analysing the Structural, Ultrastructural and Cellular Components of the Cell Wall. Plants 2022, 11, 995. [Google Scholar] [CrossRef]
- Nagler, P.L.; Inoue, Y.; Glenn, E.P.; Russ, A.L.; Daughtry, C.S.T. Cellulose Absorption Index (CAI) to Quantify Mixed Soil–Plant Litter Scenes. Remote Sens. Environ. 2003, 87, 310–325. [Google Scholar] [CrossRef]
- Crusiol, L.G.T.; Nanni, M.R.; Furlanetto, R.H.; Sibaldelli, R.N.R.; Sun, L.; Gonçalves, S.L.; Foloni, J.S.S.; Mertz-Henning, L.M.; Nepomuceno, A.L.; Neumaier, N.; et al. Assessing the Sensitive Spectral Bands for Soybean Water Status Monitoring and Soil Moisture Prediction Using Leaf-Based Hyperspectral Reflectance. Agric. Water Manag. 2023, 277, 108089. [Google Scholar] [CrossRef]
- Sitko, K.; Rusinowski, S.; Kalaji, H.M.; Szopiński, M.; Małkowski, E. Photosynthetic Efficiency as Bioindicator of Environmental Pressure in A. Halleri. Plant Physiol. 2017, 175, 290–302. [Google Scholar] [CrossRef]
- Karnovsky, M.J. A formaldehyde-glutaraldehyde fixative of high osmolarity for use in electron microscopy. J. Cell Biol. 1965, 27, 137A. [Google Scholar]
- Reynolds, E.S. The Use of Lead Citrate at High PH as an Electron-Opaque Stain in Electron Microscopy. J. Cell Biol. 1963, 17, 208–212. [Google Scholar] [CrossRef]
- Jolliffe, I.; Cadima, J. Principal Component Analysis: A Review and Recent Developments. Philos. Trans. R. Soc. A Math. Phys. Eng. Sci. 2016, 374, 20150202. [Google Scholar] [CrossRef] [PubMed]







| Parameters | Species | ||
|---|---|---|---|
| Hibiscus | Pelargonium | ||
| Photochemical | Rd | 1.10 ± 0.050 | 1.00 ± 0.020 |
| LCP | 15.00 ± 0.440 | 18.00 ± 0.130 | |
| LSP | 322.00 ± 12.130 | 258.00 ± 5.460 | |
| PnMAX | 10.60 ± 0.110 | 6.30 ± 0.150 | |
| AMAX | 9.60 ± 0.130 | 5.30 ± 0.150 | |
| α | 0.08 ± 0.003 | 0.06 ± 0.001 | |
| Carboxilative | iWUE | 50.70 ± 1.100 | 89.00 ± 5.400 |
| Rd* | 6.40 ± 0.660 | 4.00 ± 0.030 | |
| VCMAX | 24.30 ± 2.990 | 32.90 ± 1.470 | |
| ΓCO2 | 1.90 ± 0.210 | 2.60 ± 0.160 | |
| JMAX | 52.30 ± 1.370 | 55.90 ± 1.790 | |
| gs | 0.10 ± 0.009 | 0.10 ± 0.003 | |
| gm | 9.60 ± 0.020 | 9.60 ± 0.010 | |
| Cc | 10.10 ± 1.240 | 13.60 ± 0.610 | |
| AJ | 10.50 ± 0.880 | 11.20 ± 0.360 | |
| Fluorescence | Fv’/Fm’ | 0.590 ± 0.006 | 0.59 ± 0.002 |
| ETR | 53.63 ± 1.070 | 50.86 ± 0.250 | |
| NPQ | 1.30 ± 0.071 | 1.41 ± 0.019 | |
| qP | 0.59 ± 0.009 | 0.64 ± 0.003 | |
| qN | 0.61 ± 0.012 | 0.58 ± 0.005 | |
| ΦPSII | 0.38 ± 0.006 | 0.46 ± 0.002 | |
| Parameters | Species | |
|---|---|---|
| Hibiscus | Pelargonium | |
| LFT | 294.2 ± 3.61 | 280.2 ± 3.75 |
| PLT | 83.6 ± 1.88 | 71.7 ± 1.43 |
| SPT | 163.5 ± 2.92 | 153.6 ± 3.37 |
| AdLE | 29.5 ± 1.09 | 32.6 ± 0.94 |
| AbLLE | 17.5 ± 1.17 | 22.3 ± 0.90 |
| SPL ratio | 1.96 ± 0.06 | 2.15 ± 0.08 |
| ASD | nd ± nd | 39 ± 1.4 |
| ABD | 201 ± 3.6 | 101 ± 2.4 |
| Stoz | 25.1 ± 0.71 | 22.3 ± 0.35 |
| AdTT | 0 ± 0.0 | 4 ± 0.4 |
| AbTT | 2 ± 0.1 | 6 ± 0.4 |
| AdGT | 5 ± 0.3 | 11 ± 0.7 |
| AbGT | 10 ± 0.3 | 22 ± 0.6 |
| PLC | 14 ± 0.5 | 9 ± 0.4 |
| SPC | 7 ± 0.3 | 4 ± 0.2 |
| SPC ratio | 0.52 ± 0.03 | 0.42 ± 0.03 |
Disclaimer/Publisher’s Note: The statements, opinions and data contained in all publications are solely those of the individual author(s) and contributor(s) and not of MDPI and/or the editor(s). MDPI and/or the editor(s) disclaim responsibility for any injury to people or property resulting from any ideas, methods, instructions or products referred to in the content. |
© 2024 by the authors. Licensee MDPI, Basel, Switzerland. This article is an open access article distributed under the terms and conditions of the Creative Commons Attribution (CC BY) license (https://creativecommons.org/licenses/by/4.0/).
Share and Cite
Falcioni, R.; Antunes, W.C.; de Oliveira, R.B.; Chicati, M.L.; Demattê, J.A.M.; Nanni, M.R. Comparative Insights into Photosynthetic, Biochemical, and Ultrastructural Mechanisms in Hibiscus and Pelargonium Plants. Plants 2024, 13, 2831. https://doi.org/10.3390/plants13192831
Falcioni R, Antunes WC, de Oliveira RB, Chicati ML, Demattê JAM, Nanni MR. Comparative Insights into Photosynthetic, Biochemical, and Ultrastructural Mechanisms in Hibiscus and Pelargonium Plants. Plants. 2024; 13(19):2831. https://doi.org/10.3390/plants13192831
Chicago/Turabian StyleFalcioni, Renan, Werner Camargos Antunes, Roney Berti de Oliveira, Marcelo Luiz Chicati, José Alexandre M. Demattê, and Marcos Rafael Nanni. 2024. "Comparative Insights into Photosynthetic, Biochemical, and Ultrastructural Mechanisms in Hibiscus and Pelargonium Plants" Plants 13, no. 19: 2831. https://doi.org/10.3390/plants13192831
APA StyleFalcioni, R., Antunes, W. C., de Oliveira, R. B., Chicati, M. L., Demattê, J. A. M., & Nanni, M. R. (2024). Comparative Insights into Photosynthetic, Biochemical, and Ultrastructural Mechanisms in Hibiscus and Pelargonium Plants. Plants, 13(19), 2831. https://doi.org/10.3390/plants13192831

