Purification and Characterization of Proteinaceous Thermostable α-Amylase Inhibitor from Sardinian Common Bean Nieddone Cultivar (Phaseolus vulgaris L.)
Abstract
1. Introduction
2. Results and Discussion
2.1. Extraction and Low-Resolution Techniques for α-AI Purification
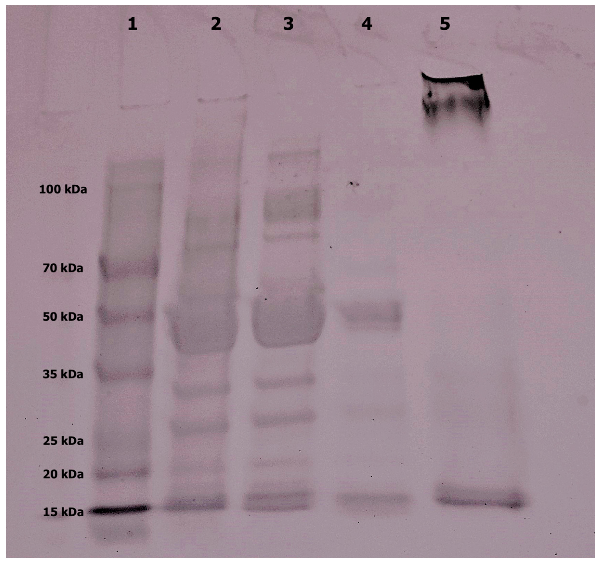
2.2. High-Resolution Techniques: Purification of α-AI
2.3. α-AI Identification
2.3.1. Prolonged Storage
2.3.2. Activity of α-AI from Nieddone cv against Mammalian, Bacterial and Insect α-Amylases
2.3.3. Time and Temperature Effects on α-AI
2.3.4. Effect of pH
2.3.5. Kinetic Analysis
3. Materials and Methods
3.1. Chemicals
3.2. Plant Materials
3.3. Purification of Amylase Inhibitor
3.4. Ion Exchange Chromatography
3.5. Size Exclusion Chromatography
3.6. α-Amylase and α-Glucosidase Inhibition Assays
3.7. Hemagglutination Assay
3.8. α-Amylase from Tenebrio Molitor
3.9. Inhibitor Characterization
3.10. Deglycosylation and Preparation for MS Analysis
3.11. Nano-RP-HPLC–High-Resolution ESI-MS/MS Analysis
3.12. Statistical Analysis
4. Conclusions
Supplementary Materials
Author Contributions
Funding
Data Availability Statement
Acknowledgments
Conflicts of Interest
References
- Obiro, W.C.; Zhang, T.; Jiang, B. The nutraceutical role of the Phaseolus vulgaris α-amylase inhibitor. Br. J. Nutr. 2008, 100, 1–12. [Google Scholar] [CrossRef] [PubMed]
- Peddio, S.; Padiglia, A.; Cannea, F.B.; Crnjar, R.; Sharifi-rad, W.Z.J.; Rescigno, A.; Zucca, P. Common bean (Phaseolus vulgaris L.) α -amylase inhibitors as safe nutraceutical strategy against diabetes and obesity: An update review. Phyther. Res. 2022, 36, 2803–2823. [Google Scholar] [CrossRef] [PubMed]
- Li, H.; Zhou, H.; Zhang, J.; Fu, X.; Ying, Z.; Liu, X. Proteinaceous α-amylase inhibitors: Purification, detection methods, types and mechanisms. Int. J. Food Prop. 2021, 24, 277–290. [Google Scholar] [CrossRef]
- Peddio, S.; Lorrai, S.; Padiglia, A.; Cannea, F.B.; Dettori, T.; Cristiglio, V.; Genovese, L.; Zucca, P.; Rescigno, A. Biochemical and Phylogenetic Analysis of Italian Phaseolus vulgaris Cultivars as Sources of α-Amylase and α-Glucosidase Inhibitors. Plants 2023, 12, 2918. [Google Scholar] [CrossRef] [PubMed]
- Singh, R.; Dobriyal, A.K.; Singh, R.D.; De los Ríos-Escalante, P. Evaluation of inhibitory activity, purification and X-ray crystallography of Alpha-Amylase inhibitor from Phaseolus vulgaris cultivars of Uttarakhand, India. Brazilian J. Biol. 2024, 84, e253180. [Google Scholar] [CrossRef]
- Rafiei, B.; Ghadamyari, M.; Imani, S.; Hosseininaveh, V.; Ahadiyat, A. Purification and characterization of α-amylase in Moroccan locust, Dociostaurus maroccanus Thunberg (Orthoptera: Acrididae) and its inhibition by inhibitors from Phaseolus vulgaris L. Toxin Rev. 2016, 35, 90–97. [Google Scholar] [CrossRef][Green Version]
- Dias, S.C.; da Silva, M.C.M.; Teixeira, F.R.; Figueira, E.L.Z.; de Oliveira-Neto, O.B.; de Lima, L.A.; Franco, O.L.; Grossi-de-Sa, M.F. Investigation of insecticidal activity of rye α-amylase inhibitor gene expressed in transgenic tobacco (Nicotiana tabacum) toward cotton boll weevil (Anthonomus grandis). Pestic. Biochem. Physiol. 2010, 98, 39–44. [Google Scholar] [CrossRef]
- Farias, L.R.; Costa, F.T.; Souza, L.A.; Pelegrini, P.B.; Grossi-de-Sá, M.F.; Neto, S.M.; Bloch, C.; Laumann, R.A.; Noronha, E.F.; Franco, O.L. Isolation of a novel Carica papaya α-amylase inhibitor with deleterious activity toward Callosobruchus maculatus. Pestic. Biochem. Physiol. 2007, 87, 255–260. [Google Scholar] [CrossRef]
- Gupta, M.; Sharma, P.; Nath, A.K. Purification of a novel α-amylase inhibitor from local Himalayan bean (Phaseolus vulgaris) seeds with activity towards bruchid pests and human salivary amylase. J. Food Sci. Technol. 2014, 51, 1286–1293. [Google Scholar] [CrossRef]
- Yang, M.Y.; Zhang, X.Q.; Ma, Y.; Shen, J.; Song, J.R.; Zhu, H.L. Purification and partial characterization of a glycoprotein alpha-amylase inhibitor from white kidney bean (Phaseolus vulgaris L). J. Food Biochem. 2008, 32, 72–84. [Google Scholar] [CrossRef]
- Landi, N.; Alberico, L.; Clemente, A.; Peddio, S.; Hussain, H.Z.F.; Ragucci, S.; Zucca, P.; Woodrow, P.; Di, A. Food Bioscience Nutritional, metabolic and genetic profiling of ‘Cerato’ and ‘Curniciello’ bean landraces from Caserta, Southern Italy. Food Biosci. 2023, 55, 102975. [Google Scholar] [CrossRef]
- Kocyigit, E.; Kocaadam-Bozkurt, B.; Bozkurt, O.; Ağagündüz, D.; Capasso, R. Plant Toxic Proteins: Their Biological Activities, Mechanism of Action and Removal Strategies. Toxins 2023, 15, 356. [Google Scholar] [CrossRef] [PubMed]
- Marzo, F.; Alonso, R.; Urdaneta, E.; Arricibita, F.J.; Ibáñez, F. Nutritional quality of extruded kidney bean (Phaseolus vulgaris L. var. Pinto) and its effects on growth and skeletal muscle nitrogen fractions in rats. J. Anim. Sci. 2002, 80, 875–879. [Google Scholar] [CrossRef] [PubMed]
- de Moya, C.C.; Grant, G.; Frühbeck, G.; Urdaneta, E.; García, M.; Marzo, F.; Santidrián, S. Local (gut) and systemic metabolism of rats is altered by consumption of raw bean (Phaseolus vulgaris L. var. athropurpurea). Br. J. Nutr. 2003, 89, 311–318. [Google Scholar] [CrossRef] [PubMed]
- Bosi, S.; Bregola, V.; Dinelli, G.; Trebbi, G.; Truzzi, F.; Marotti, I. The nutraceutical value of grain legumes: Characterisation of bioactives and antinutritionals related to diabesity management. Int. J. Food Sci. Technol. 2019, 54, 2863–2871. [Google Scholar] [CrossRef]
- Fois, M.; Farris, E.; Calvia, G.; Campus, G.; Fenu, G.; Porceddu, M.; Bacchetta, G. The Endemic Vascular Flora of Sardinia: A Dynamic Checklist with an Overview of Biogeography and Conservation Status. Plants 2022, 11, 601. [Google Scholar] [CrossRef]
- Cusworth, G.; Garnett, T.; Lorimer, J. Legume dreams: The contested futures of sustainable plant-based food systems in Europe. Glob. Environ. Chang. 2021, 69, 102321. [Google Scholar] [CrossRef]
- Burgess, R.R. Chapter 20 Protein Precipitation Techniques. In Guide to Protein Purification, 2nd ed.; Burgess, R.R., Deutscher, M.P.B.T.-M., Eds.; Academic Press: Cambridge, MA, USA, 2009; Volume 463, pp. 331–342. ISBN 0076-6879. [Google Scholar]
- Bharadwaj, R.P.; Raju, N.G.; Chandrashekharaiah, K.S. Purification and characterization of alpha-amylase inhibitor from the seeds of underutilized legume, Mucuna pruriens. J. Food Biochem. 2018, 42, e12686. [Google Scholar] [CrossRef]
- Le Berre-Anton, V.; Bompard-Gilles, C.; Payan, F.; Rougé, P. Characterization and functional properties of the α-amylase inhibitor (α-AI) from kidney bean (Phaseolus vulgaris) seeds. Biochim. Biophys. Acta Protein Struct. Mol. Enzymol. 1997, 1343, 31–40. [Google Scholar] [CrossRef] [PubMed]
- Marshall, J.J.; Lauda, C.M. Lauda Purification and properties of phaseolamin, an inhibitor of alpha-amylase, from the kidney bean, Phaseolus vulgaris. J. Biol. Chem. 1975, 250, 8030–8037. [Google Scholar] [CrossRef]
- Gibbs, B.F.; Alli, I. Characterization of a purified α-amylase inhibitor from white kidney beans (Phaseolus vulgaris). Food Res. Int. 1998, 31, 217–225. [Google Scholar] [CrossRef]
- Yamaguchi, H. Isolation and characterization of the subunits of Phaseolus vulgaris α-amylase inhibitor. J. Biochem. 1991, 110, 785–789. [Google Scholar] [CrossRef] [PubMed]
- Moreno, J.; Altabella, T.; Chrispeels, M.J. Characterization of α-amylase-inhibitor, a lectin-like protein in the seeds of Phaseolus vulgaris. Plant Physiol. 1990, 92, 703–709. [Google Scholar] [CrossRef] [PubMed]
- Iulek, J.; Franco, O.L.; Silva, M.; Slivinski, C.T.; Bloch, C.J.; Rigden, D.J.; Grossi de Sá, M.F. Purification, biochemical characterisation and partial primary structure of a new alpha-amylase inhibitor from Secale cereale (rye). Int. J. Biochem. Cell Biol. 2000, 32, 1195–1204. [Google Scholar] [CrossRef] [PubMed]
- Yamaguchi, H. Isolation and Characterization of the Subunits of a Heat-labile α-Amylase Inhibitor from Phaseolus vulgaris White Kidney Bean. Biosci. Biotechnol. Biochem. 1993, 57, 297–302. [Google Scholar] [CrossRef] [PubMed]
- Suzuki, K.; Ishimoto, M. Characterization of the Third α-Amylase Inhibitor, αAI-3, in the Common Bean (Phaseolus vulgaris L.). Breed. Sci. 1999, 49, 275–280. [Google Scholar] [CrossRef]
- Yamada, T.; Hattori, K.; Ishimoto, M. Purification and characterization of two α-amylase inhibitors from seeds of tepary bean (Phaseolus acutifolius A. Gray). Phytochemistry 2001, 58, 59–66. [Google Scholar] [CrossRef]
- Hivrale, V.K.; Chougule, N.P.; Giri, A.P.; Chhabda, P.J.; Kachole, M.S. Biochemical characterisation of α-amylase inhibitors from Achyranthes aspera and their interactions with digestive amylases of coleopteran and lepidopteran insects. J. Sci. Food Agric. 2011, 91, 1773–1780. [Google Scholar] [CrossRef]
- Lee, S.-C.; Gepts, P.L.; Whitaker, J.R. Protein structures of common bean (Phaseolus vulgaris) alpha-amylase inhibitors. J. Agric. Food Chem. 2002, 50, 6618–6627. [Google Scholar] [CrossRef]
- Mirkov, T.E.; Wahlstrom, J.M.; Hagiwara, K.; Finardi-Filho, F.; Kjemtrup, S.; Chrispeels, M.J. Evolutionary relationships among proteins in the phytohemagglutinin-arcelin-α-amylase inhibitor family of the common bean and its relatives. Plant Mol. Biol. 1994, 26, 1103–1113. [Google Scholar] [CrossRef]
- Xu, P.; Chen, L.; Wang, Y. Effect of storage time on antioxidant activity and inhibition on α-Amylase and α-Glucosidase of white tea. Food Sci. Nutr. 2019, 7, 636–644. [Google Scholar] [CrossRef] [PubMed]
- Karray, A.; Alonazi, M.; Jallouli, R.; Alanazi, H.; Bacha, A. Ben A Proteinaceous Alpha-Amylase Inhibitor from Moringa Oleifera Leaf Extract: Purification, Characterization, and Insecticide Effects against C. maculates Insect Larvae. Molecules 2022, 27, 4222. [Google Scholar] [CrossRef] [PubMed]
- Le Berre-Anton, V.; Nahoum, V.; Payan, F.; Rougé, P. Molecular basis for the specific binding of different α-amylase inhibitors from Phaseolus vulgaris seeds to the active site of α-amylase. Plant Physiol. Biochem. 2000, 38, 657–665. [Google Scholar] [CrossRef]
- Pueyo, J.J.; Morgan, T.D.; Ameenuddin, N.; Liang, C.; Reeck, G.R.; Chrispeels, M.J.; Kramer, K.J. Effects of bean and wheat α-amylase inhibitors on α-amylase activity and growth of stored product insect pests. Entomol. Exp. Appl. 1995, 75, 237–244. [Google Scholar] [CrossRef]
- Sabeghi Khosroshahi, Z.; Abbasipour, H.; Reza Zadeh, A. Inhibitory effect of aqueous bean extract, Phaseolus vulgaris (Fabaceae), on α-amylase of the cabbage aphid, Brevicoryne brassicae. Arch. Agron. Soil Sci. 2020, 67, 1425–1433. [Google Scholar] [CrossRef]
- Viega de Andrade, E.K.; Rodrigues, R.; da Costa Vieira Bard, G.; da Silva Pereira, L.; Ventury Baptista, K.E.; Menezes Cavalcanti, T.F.; Amâncio Oliveira, A.E.; Melo Souza, T.A.; Gomes, V.M. Identification, biochemical characterization and biological role of defense proteins from common bean genotypes seeds in response to Callosobruchus maculatus infestation. J. Stored Prod. Res. 2020, 87, 87101580. [Google Scholar] [CrossRef]
- Powers, J.R.; Whitaker, J.R. Effect of Several Experimental Parameters on Combination of Red Kidney Bean (Phaseolus vulgaris) A-Amylase Inhibitor with Porcine Pancreatic A-Amylase. J. Food Biochem. 1978, 1, 239–260. [Google Scholar] [CrossRef]
- Altabella, T.; Chrispeels, M.J. Tobacco Plants Transformed with the Bean alphaai Gene Express an Inhibitor of Insect alpha-Amylase in Their Seeds. Plant Physiol. 1990, 93, 805–810. [Google Scholar] [CrossRef] [PubMed]
- Sun, L.; Warren, F.J.; Gidley, M.J. Natural products for glycaemic control: Polyphenols as inhibitors of alpha-amylase. Trends Food Sci. Technol. 2019, 91, 262–273. [Google Scholar] [CrossRef]
- El-Latif, A.O.A.; Mohieldeen, N.; Salman, A.M.A.; Elpidina, E.N. Isolation and purification of α-amylase inhibitors and their in vitro and in vivo effects on Tribolium castaneum (Herbst) and Callosobruchus maculatus (F.). J. Plant Prot. Res. 2020, 60, 377–388. [Google Scholar] [CrossRef]
- Valencia, A.; Bustillo, A.E.; Ossa, G.E.; Chrispeels, M.J. α-amylases of the coffee berry borer (Hypothenemus hampei) and their inhibition by two plant amylase inhibitors. Insect Biochem. Mol. Biol. 2000, 30, 207–213. [Google Scholar] [CrossRef] [PubMed]
- Grossi de Sa, M.F.; Mirkov, T.E.; Ishimoto, M.; Colucci, G.; Bateman, K.S.; Chrispeels, M.J. Molecular characterization of a bean alpha-amylase inhibitor that inhibits the alpha-amylase of the mexican bean weevil Zabrotes subfasciatus. Planta 1997, 203, 295–303. [Google Scholar] [CrossRef] [PubMed]
- Ishikawa, K.; Matsui, I.; Honda, K.; Nakatani, H. Substrate-dependent shift of optimum pH in porcine pancreatic alpha-amylase-catalyzed reactions. Biochemistry 1990, 29, 7119–7123. [Google Scholar] [CrossRef] [PubMed]
- Winn-Deen, E.S.; David, H.; Sigler, G.; Chavez, R. Development of a direct assay for α-amylase. Clin. Chem. 1988, 34, 2005–2008. [Google Scholar] [CrossRef] [PubMed]
- Bradford, M.M. A Rapid and Sensitive Method for the Quantitation of Microgram Quantities of Protein Utilizing the Principle of Protein-Dye Binding. Anal. Biochem. 1976, 72, 248–254. [Google Scholar] [CrossRef] [PubMed]
- Laemmli, U.K. Cleavage of structural proteins during the assembly of the head of bacteriophage T4. Nature 1970, 227, 680–685. [Google Scholar] [CrossRef]
- Gundry, R.L.; White, M.Y.; Murray, C.I.; Kane, L.A.; Fu, Q.; Stanley, B.A.; Van Eyk, J.E. Preparation of proteins and peptides for mass spectrometry analysis in a bottom-up proteomics workflow. Curr. Protoc. Mol. Biol. 2009, 90, 10–25. [Google Scholar] [CrossRef]









| Amylase Inhibiting Activity (IAU) | Total Protein (mg) | Recovery | Specific Activity (IAU/mg) | Purification Fold | |
|---|---|---|---|---|---|
| Raw extract | 242 | 60.22 | 100% | 4 | 1.0 |
| Solvent precipitation | 147 | 15.68 | 61% | 9 | 2.3 |
| IEC | 59 | 3.24 | 24% | 18 | 4.5 |
| SEC | 80 | 0.24 | 33% | 328 | 81.8 |
| α-AI = 0 | α-AI = 0.25 μM | α-AI = 0.50 μM | |
|---|---|---|---|
| Vmax (µM/min) | 30.9 | 28.8 | 21.8 |
| KM (mM) | 0.85 | 1.01 | 1.10 |
Disclaimer/Publisher’s Note: The statements, opinions and data contained in all publications are solely those of the individual author(s) and contributor(s) and not of MDPI and/or the editor(s). MDPI and/or the editor(s) disclaim responsibility for any injury to people or property resulting from any ideas, methods, instructions or products referred to in the content. |
© 2024 by the authors. Licensee MDPI, Basel, Switzerland. This article is an open access article distributed under the terms and conditions of the Creative Commons Attribution (CC BY) license (https://creativecommons.org/licenses/by/4.0/).
Share and Cite
Peddio, S.; Lorrai, S.; Dettori, T.; Contini, C.; Olianas, A.; Manconi, B.; Rescigno, A.; Zucca, P. Purification and Characterization of Proteinaceous Thermostable α-Amylase Inhibitor from Sardinian Common Bean Nieddone Cultivar (Phaseolus vulgaris L.). Plants 2024, 13, 2074. https://doi.org/10.3390/plants13152074
Peddio S, Lorrai S, Dettori T, Contini C, Olianas A, Manconi B, Rescigno A, Zucca P. Purification and Characterization of Proteinaceous Thermostable α-Amylase Inhibitor from Sardinian Common Bean Nieddone Cultivar (Phaseolus vulgaris L.). Plants. 2024; 13(15):2074. https://doi.org/10.3390/plants13152074
Chicago/Turabian StylePeddio, Stefania, Sonia Lorrai, Tinuccia Dettori, Cristina Contini, Alessandra Olianas, Barbara Manconi, Antonio Rescigno, and Paolo Zucca. 2024. "Purification and Characterization of Proteinaceous Thermostable α-Amylase Inhibitor from Sardinian Common Bean Nieddone Cultivar (Phaseolus vulgaris L.)" Plants 13, no. 15: 2074. https://doi.org/10.3390/plants13152074
APA StylePeddio, S., Lorrai, S., Dettori, T., Contini, C., Olianas, A., Manconi, B., Rescigno, A., & Zucca, P. (2024). Purification and Characterization of Proteinaceous Thermostable α-Amylase Inhibitor from Sardinian Common Bean Nieddone Cultivar (Phaseolus vulgaris L.). Plants, 13(15), 2074. https://doi.org/10.3390/plants13152074

