Osmophore Structure and Labellum Micromorphology in Ophrys speculum (Orchidaceae): New Interpretations of Floral Features and Implications for a Specific Sexually Deceptive Pollination Interaction
Abstract
1. Introduction
2. Results
2.1. Flower Morphology
2.2. Micromorphology of the Labellum and Stigmatic Cavity
2.2.1. Stigmatic Cavity
2.2.2. Basal Region of the Labellum
2.2.3. Lateral Labellum Lobes
2.2.4. Central Labellum Lobe
2.3. Micromorphology of the Female Wasp
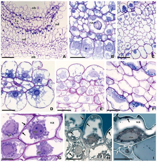
2.4. Location, Structure, and Secretion of the Osmophore
2.5. Anatomy of the Basal Field and Speculum
3. Discussion
3.1. The Basal Field of Ophrys speculum
3.2. Micromorphology and Pollination
3.2.1. Morphologically Distinct Epidermal Cell Types
3.2.2. Visual and Tactile Mimicry
3.3. The Significance of the Osmophore in Ophrys speculum
3.3.1. Osmophore Location, Structure, and Secretion
3.3.2. The Role of the Osmophore in Pollination and in an Evolutionary Context
4. Materials and Methods
4.1. Taxon Sampling
4.2. Scanning Electron Microscopy
4.3. Stereomicroscopy
4.4. Light Microscopy
5. Conclusions
Author Contributions
Funding
Data Availability Statement
Acknowledgments
Conflicts of Interest
References
- van der Pijl, L.; Dodson, C.H. Orchids Flowers, Their Pollination and Evolution; University of Miami Press: Coral Gables, FL, USA, 1966. [Google Scholar]
- Dafni, A. Mimicry and deception in pollination. Annu. Rev. Ecol. Syst. 1984, 15, 259–278. [Google Scholar] [CrossRef]
- Renner, S.S. Rewardless flowers in the angiosperms and the role of insect cognition in their evolution. In Plant-Pollinator Interactions: From Specialization to Generalization; Waser, N.M., Ollerton, J., Eds.; The University of Chicago Press: Chicago, IL, USA, 2005; pp. 123–144. [Google Scholar]
- Schiestl, F.P. On the success of a swindle: Pollination by deception in orchids. Naturwissenschaften 2005, 92, 255–264. [Google Scholar] [CrossRef]
- Jersáková, J.; Johnson, S.D.; Kindlmann, P. Mechanisms and evolution of deceptive pollination in orchids. Biol. Rev. Camb. Philos. Soc. 2006, 81, 219–235. [Google Scholar] [CrossRef]
- Peter, C.I.; Johnson, S.D. Generalized food deception: Colour signals and efficient pollen transfer in bee-pollinated species of Eulophia (Orchidaceae). Bot. J. Linn. Soc. 2013, 171, 713–729. [Google Scholar] [CrossRef]
- Gaskett, A.C. Orchid pollination by sexual deception: Pollinator perspectives. Biol. Rev. 2011, 86, 33–75. [Google Scholar] [CrossRef]
- Vereecken, N.J.; Wilson, C.A.; Hötling, S.; Schulz, S.; Banketov, S.A.; Mardulyn, P. Pre-adaptations and the evolution of pollination by sexual deception: Cope’s rule of specialization revisited. Proc. R. Soc. B 2012, 279, 4786–4794. [Google Scholar] [CrossRef] [PubMed]
- Phillips, R.D.; Scaccabarozzi, D.; Retter, B.A.; Hayes, C.; Brown, G.R.; Dixon, K.W.; Peakall, R. Caught in the act: Pollination of sexually deceptive trap-flowers by fungus gnats in Pterostylis (Orchidaceae). Ann. Bot. 2014, 113, 629–641. [Google Scholar] [CrossRef]
- Pouyanne, M. La fécondation des Ophrys par les insectes. Bull. Soc. Hist. Nat. Afr. Nord 1917, 8, 6–7. [Google Scholar]
- Kullenberg, B. Studies in Ophrys pollination. Zool. Bidr. Upps. 1961, 34, 1–340. [Google Scholar]
- Schiestl, F.P.; Ayasse, M.; Paulus, H.F.; Löfstedt, C.; Hansson, B.S.; Ibarra, F.; Francke, W. Orchid pollination by sexual swindle. Nature 1999, 399, 421–422. [Google Scholar] [CrossRef]
- Singer, R.B.; Flach, A.; Koehler, S.; Marsaioli, A.J.; Amaral, M.C.E. Sexual mimicry in Mormolyca ringens (Lindl.) Schltr. (Orchidaceae: Maxillariinae). Ann. Bot. 2004, 93, 755–762. [Google Scholar] [CrossRef] [PubMed]
- Ciotek, L.; Giorgis, P.; Benitez-Vieyra, S.; Cocucci, A.A. First confirmed case of pseudocopulation in terrestrial orchids of South America: Pollination of Geoblasta pennicillata (Orchidaceae) by Campsomeris bistrimacula (Hymenoptera, Scoliidae). Flora 2006, 201, 365–369. [Google Scholar] [CrossRef]
- Peakall, R.; Ebert, D.; Poldy, J.; Barrow, R.A.; Francke, W.; Bower, C.C.; Schiestl, F.P. Pollinator specificity, floral odour chemistry and the phylogeny of Australian sexually deceptive Chiloglottis orchids: Implications for pollinator-driven speciation. New Phytol. 2010, 188, 437–450. [Google Scholar] [CrossRef] [PubMed]
- Gaskett, A.C. Floral shape mimicry and variation in sexually deceptive orchids with a shared pollinator. Biol. J. Linn. Soc. 2012, 106, 469–481. [Google Scholar] [CrossRef]
- Cuervo, M.; Rakosy, D.; Martel, C.; Schulz, S.; Ayasse, M. Sexual deception in the Eucera-pollinated Ophrys leochroma: A chemical intermediate between wasp- and Andrena-pollinated species. J. Chem. Ecol. 2017, 43, 469–479. [Google Scholar] [CrossRef] [PubMed]
- Baguette, M.; Bertrand, J.A.M.; Stevens, V.M.; Schatz, B. Why are there so many bee-orchid species? Adaptive radiation by intra-specific competition for mnesic pollinators. Biol. Rev. 2020, 95, 1630–1663. [Google Scholar] [CrossRef] [PubMed]
- Ayasse, M.; Paxton, R.J.; Tengö, J. Mating behavior and chemical communication in the order Hymenoptera. Annu. Rev. Entomol. 2001, 46, 31–78. [Google Scholar] [CrossRef] [PubMed]
- Paulus, H.F.; Gack, C. Pollinators as prepollinating isolation factors: Evolution and speciation in Ophrys (Orchidaceae). Isr. J. Bot. 1990, 39, 43–79. [Google Scholar]
- Singer, R.B. The pollination mechanism in Trigonidium obtusum Lindl (Orchidaceae: Maxillariinae): Sexual mimicry and trap-flowers. Ann. Bot. 2002, 89, 157–163. [Google Scholar] [CrossRef]
- Flach, A.; Marsaioli, A.J.; Singer, R.B.; Amaral, M.C.E.; Menezes, C.; Kerr, W.E.; Batista-Pereira, L.G.; Corrêa, A.G. Pollination by sexual mimicry in Mormolyca ringens: A floral chemistry that remarkably matches the pheromones of virgin queens of Scaptotrigona sp. J. Chem. Ecol. 2006, 32, 59–70. [Google Scholar] [CrossRef]
- Schiestl, F.P.; Schlüter, P.M. Floral isolation, specialized pollination, and pollinator behavior in orchids. Annu. Rev. Entomol. 2009, 54, 425–446. [Google Scholar] [CrossRef]
- Perkins, J.; Hayashi, T.; Peakall, R.; Flematti, G.R.; Bohman, B. The volatile chemistry of orchid pollination. Nat. Prod. Rep. 2023, 40, 819–839. [Google Scholar] [CrossRef]
- Scopece, G.; Musacchio, A.; Widmer, A.; Cozzolino, S. Patterns of reproductive isolation in mediterranean deceptive orchids. Evolution 2007, 61, 2623–2642. [Google Scholar] [CrossRef] [PubMed]
- Xu, S.; Schlüter, P.M.; Scopece, G.; Breitkopf, H.; Gross, K.; Cozzolino, S.; Schiestl, F.P. Floral isolation is the main reproductive barrier among closely related sexually deceptive orchids. Evolution 2011, 65, 2606–2620. [Google Scholar] [CrossRef]
- Xu, S.; Schlüter, P.M.; Grossniklaus, U.; Schiestl, F.P. The genetic basis of pollinator adaptation in a sexually deceptive orchid. PLoS Genet. 2012, 8, e1002889. [Google Scholar] [CrossRef]
- Xu, S.; Schlüter, P.M.; Schiestl, F.P. Pollinator-driven speciation in sexually deceptive orchids. Int. J. Ecol. 2012, 2012, 285081. [Google Scholar] [CrossRef]
- Peakall, R.; Whitehead, M.R. Floral odour chemistry defines species boundaries and underpins strong reproductive isolation in sexually deceptive orchids. Ann. Bot. 2014, 113, 341–355. [Google Scholar] [CrossRef] [PubMed]
- Spaethe, J.; Moser, W.H.; Paulus, H.F. Increase of pollinator attraction by means of a visual signal in the sexually deceptive orchid, Ophrys heldreichii (Orchidaceae). Plant Syst. Evol. 2007, 264, 31–40. [Google Scholar] [CrossRef]
- Benitez-Vieyra, S.; Medina, A.M.; Cocucci, A.A. Variable selection patterns on the labellum shape of Geoblasta pennicillata, a sexually deceptive orchid. J. Evol. Biol. 2009, 22, 2354–2362. [Google Scholar] [CrossRef]
- Streinzer, M.; Paulus, H.F.; Spaethe, J. Floral colour signal increases short-range detectability of a sexually deceptive orchid to its bee pollinator. J. Exp. Biol. 2009, 212, 1365–1370. [Google Scholar] [CrossRef]
- Gaskett, A.C.; Herberstein, M.E. Colour mimicry and sexual deception by Tongue orchids (Cryptostylis). Naturwissenschaften 2010, 97, 97–102. [Google Scholar] [CrossRef]
- Phillips, R.D.; Xu, T.; Hutchinson, M.F.; Dixon, K.W.; Peakall, R. Convergent specialization—The sharing of pollinators by sympatric genera of sexually deceptive orchids. J. Ecol. 2013, 101, 826–835. [Google Scholar] [CrossRef]
- Sedeek, K.E.M.; Scopece, G.; Staedler, Y.M.; Schönenberger, J.; Cozzolino, S.; Schiestl, F.P.; Schlüter, P.M. Genic rather than genome-wide differences between sexually deceptive Ophrys orchids with different pollinators. Mol. Ecol. 2014, 23, 6192–6205. [Google Scholar] [CrossRef]
- Stejskal, K.; Streinzer, M.; Dyer, A.; Paulus, H.F.; Spaethe, J. Functional significance of labellum pattern variation in a sexually deceptive orchid (Ophrys heldreichii): Evidence of individual signature learning effects. PLoS ONE 2015, 10, e0142971. [Google Scholar] [CrossRef] [PubMed]
- Rakosy, D.; Cuervo, M.; Paulus, H.F.; Ayasse, M. Looks matter: Changes in flower form affect pollination effectiveness in a sexually deceptive orchid. J. Evol. Biol. 2017, 30, 1978–1993. [Google Scholar] [CrossRef] [PubMed]
- Ayasse, M.; Stökl, J.; Francke, W. Chemical ecology and pollinator-driven speciation in sexually deceptive orchids. Phytochemistry 2011, 72, 1667–1677. [Google Scholar] [CrossRef]
- Bateman, R.M.; Rudall, P.J. Morphological continua make poor species: Genus-wide morphometric survey of the European bee orchids (Ophrys, L.). Biology 2023, 12, 136. [Google Scholar] [CrossRef] [PubMed]
- Darwin, C. On the Various Contrivances by Which BRITISH and Foreign Orchids Are Fertilised by Insects, and on the Good Effects of Intercrossing; John Murray: London, UK, 1862. [Google Scholar]
- Correvon, H.; Pouyanne, M. Un curieux cas de mimétisme chez les Ophrydées. J. Soc. Nat. Hort. Fr. 1916, 17, 29–31, 41–47, 84–85. [Google Scholar]
- Vereecken, N.J.; Francisco, A. Ophrys pollination: From Darwin to the present day. In Darwin’s Orchids: Then and Now; Edens-Meier, R., Bernhardt, P., Eds.; The University of Chicago Press: Chicago, IL, USA, 2014; pp. 47–67. [Google Scholar]
- Paulus, H.F. Deceived males—Pollination biology of the Mediterranean orchid genus Ophrys (Orchidaceae). J. Eur. Orchid. 2006, 38, 303–353. [Google Scholar]
- Joffard, N.; Massol, F.; Grenié, M.; Montgelard, C.; Schatz, B. Effect of pollination strategy, phylogeny and distribution on pollination niches of Euro-Mediterranean orchids. J. Ecol. 2019, 107, 478–490. [Google Scholar] [CrossRef]
- Godfery, M.J. Classification of the genus Ophrys. J. Bot. 1928, 66, 33–36. [Google Scholar]
- Kullenberg, B.; Borg-Karlson, A.-K.; Kullenberg, A.-L. Field studies on the behaviour of the Eucera nigrilabris male in the odour flow from flower labellum extract of Ophrys tenthredinifera. Nova Acta Regiae Soc. Sci. Ups. Ser. V:C 1984, 3, 79–110. [Google Scholar]
- Borg-Karlson, A.-K. Chemical and ethological studies of pollination in the genus Ophrys (Orchidaceae). Phytochemistry 1990, 29, 1359–1387. [Google Scholar] [CrossRef]
- Ayasse, M.; Schiestl, F.P.; Paulus, H.F.; Ibarra, F.; Francke, W. Pollinator attraction in a sexually deceptive orchid by means of unconventional chemicals. Proc. R. Soc. B 2003, 270, 517–522. [Google Scholar] [CrossRef] [PubMed]
- Mant, J.G.; Brändli, C.; Vereecken, N.J.; Schulz, C.M.; Francke, W.; Schiestl, F.P. Cuticular hydrocarbons as sex pheromone of Colletes cunicularius (Hymenoptera: Colletidae) and the key to its mimicry by the sexually deceptive orchid, Ophrys exaltata. J. Chem. Ecol. 2005, 31, 1765–1787. [Google Scholar] [CrossRef] [PubMed]
- Stökl, J.; Twele, R.; Erdmann, D.H.; Francke, W.; Ayasse, M. Comparison of the flower scent of the sexually deceptive orchid Ophrys iricolor and the female sex pheromone of its pollinator Andrena morio. Chemoecology 2008, 17, 231–233. [Google Scholar] [CrossRef]
- Gögler, J.; Twele, R.; Francke, W.; Ayasse, M. Two phylogenetically distinct species of sexually deceptive orchids mimic the sex pheromone of their single common pollinator, the cuckoo bumblebee Bombus vestalis. Chemoecology 2011, 21, 243–252. [Google Scholar] [CrossRef]
- Francisco, A.; Ascensão, L. Structure of the osmophore and labellum micromorphology in the sexually deceptive orchids Ophrys bombyliflora and Ophrys tenthredinifera (Orchidaceae). Int. J. Plant Sci. 2013, 174, 619–636. [Google Scholar] [CrossRef]
- Vogel, S. The Role of Scent Glands in Pollination: On the Structure and Function of Osmophores; A. A. Balkema: Rotterdam, Germany, 1990. [Google Scholar]
- Ascensão, L.; Francisco, A.; Cotrim, H.; Pais, M.S. Comparative structure of the labellum in Ophrys fusca and O. lutea (Orchidaceae). Am. J. Bot. 2005, 92, 1059–1067. [Google Scholar] [CrossRef]
- Soliva, M.; Kocyan, A.; Widmer, A. Molecular phylogenetics of the sexually deceptive orchid genus Ophrys (Orchidaceae) based on nuclear and chloroplast DNA sequences. Mol. Phylogenet. Evol. 2001, 20, 78–88. [Google Scholar] [CrossRef]
- Devey, D.S.; Bateman, R.M.; Fay, M.F.; Hawkins, J.A. Friends or relatives? Phylogenetics and species delimitation in the controversial European orchid genus Ophrys. Ann. Bot. 2008, 101, 385–402. [Google Scholar] [CrossRef]
- Breitkopf, H.; Onstein, R.E.; Cafasso, D.; Schlüter, P.M.; Cozzolino, S. Multiple shifts to different pollinators fuelled rapid diversification in sexually deceptive Ophrys orchids. New Phytol. 2015, 207, 377–389. [Google Scholar] [CrossRef] [PubMed]
- Bateman, R.M.; Sramkó, G.; Paun, O. Integrating restriction site-associated DNA sequencing (RAD-seq) with morphological cladistic analysis clarifies evolutionary relationships among major species groups of bee orchids. Ann. Bot. 2018, 121, 85–105. [Google Scholar] [CrossRef] [PubMed]
- Francisco, A.; Porto, M.; Ascensão, L. Morphological phylogenetic analysis of Ophrys (Orchidaceae): Insights from morpho-anatomical floral traits into the interspecific relationships in an unresolved clade. Bot. J. Linn. Soc. 2015, 179, 454–476. [Google Scholar] [CrossRef]
- Ågren, L.; Kullenberg, B.; Sensenbaugh, T. Congruences in pilosity between three species of Ophrys (Orchidaceae) and their hymenopteran pollinators. Nova Acta Regiae Soc. Sci. Ups. Ser. V:C 1984, 3, 15–25. [Google Scholar]
- Borg-Karlson, A.-K.; Groth, I.; Ägren, L.; Kullenberg, B. Form-specific fragrances from Ophrys insectifera L. (Orchidaceae) attract species of different pollinator genera. Evidence of sympatric speciation? Chemoecology 1993, 4, 39–45. [Google Scholar] [CrossRef]
- Servettaz, O.; Bino Maleci, L.; Grünanger, P. Labellum micromorphology in the Ophrys bertolinii agg. and some related taxa (Orchidaceae). Plant Syst. Evol. 1994, 189, 123–131. [Google Scholar] [CrossRef]
- Cortis, P.; Vereecken, N.J.; Schiestl, F.P.; Lumaga, M.R.B.; Scrugli, A.; Cozzolino, S. Pollinator convergence and the nature of species’ boundaries in sympatric Sardinian Ophrys (Orchidaceae). Ann. Bot. 2009, 104, 497–506. [Google Scholar] [CrossRef]
- Bradshaw, E.; Rudall, P.J.; Devey, D.S.; Thomas, M.M.; Glover, B.J.; Bateman, R.M. Comparative labellum micromorphology of the sexually deceptive temperate orchid genus Ophrys: Diverse epidermal cell types and multiple origins of structural colour. Bot. J. Linn. Soc. 2010, 162, 504–540. [Google Scholar] [CrossRef]
- Vignolini, S.; Davey, M.P.; Bateman, R.M.; Rudall, P.J.; Moyroud, E.; Tratt, J.; Malmgren, S.; Steiner, U.; Glover, B.J. The mirror crack’d: Both pigment and structure contribute to the glossy blue appearance of the mirror orchid, Ophrys speculum. New Phytol. 2012, 196, 1038–1047. [Google Scholar] [CrossRef]
- Devillers, P.; Devillers-Terschuren, J. Essai d’analyse systématique du genre Ophrys. Nat. Belg. 1994, 75, 273–400. [Google Scholar]
- Aldasoro, J.J.; Sáez, L. Ophrys, L. In Flora Iberica: Plantas Vasculares de la Península Ibérica e Islas Baleares; Aedo, C., Herrero, A., Eds.; Real Jardín Botánico, CSIC: Madrid, Spain, 2005; Volume XXI, pp. 165–195. [Google Scholar]
- Delforge, P. Guide des Orchidées d’Europe, d’Afrique du Nord et du Proche-Orient; Delachaux et Niestlé: Paris, France, 2005. [Google Scholar]
- Sattler, R. Homology, homeosis, and process morphology in plants. In Homology: The Hierarchical Basis of Comparative Biology; Hall, B.K., Ed.; Academic Press: San Diego, CA, USA, 1994; pp. 424–476. [Google Scholar]
- Chin, S.-w.; Lutz, S.; Wen, J.; Potter, D. The bitter and the sweet: Inference of homology and evolution of leaf glands in Prunus (Rosaceae) through anatomy, micromorphology, and ancestral–character state reconstruction. Int. J. Plant Sci. 2013, 174, 27–46. [Google Scholar] [CrossRef]
- Kearney, M.; Rieppel, O. Rejecting “the given” in systematics. Cladistics 2006, 22, 369–377. [Google Scholar] [CrossRef] [PubMed]
- Nixon, K.C.; Carpenter, J.M. On homology. Cladistics 2012, 28, 160–169. [Google Scholar] [CrossRef] [PubMed]
- Koch, K.; Bhushan, B.; Barthlott, W. Diversity of structure, morphology and wetting of plant surfaces. Soft Matter 2008, 4, 1943–1963. [Google Scholar] [CrossRef]
- Koch, K.; Hartmann, K.D.; Schreiber, L.; Barthlott, W.; Neinhuis, C. Influences of air humidity during the cultivation of plants on wax chemical composition, morphology and leaf surface wettability. Env. Environ. Exp. Bot. 2006, 56, 1–9. [Google Scholar] [CrossRef]
- Barthlott, W.; Neinhuis, C.; Cutler, D.; Ditsch, F.; Meusel, I.; Theisen, I.; Wilhelmi, H. Classification and terminology of plant epicuticular waxes. Bot. J. Linn. Soc. 1998, 126, 237–260. [Google Scholar] [CrossRef]
- Jetter, R.; Schäffer, S.; Riederer, M. Leaf cuticular waxes are arranged in chemically and mechanically distinct layers: Evidence from Prunus laurocerasus L. Plant Cell Environ. 2000, 23, 619–628. [Google Scholar] [CrossRef]
- Jeffree, C.E. The fine structure of the plant cuticle. In Biology of the Plant Cuticle; Riederer, M., Müller, C., Eds.; Blackwell Publishing Ltd.: Oxford, UK, 2006; pp. 11–25. [Google Scholar]
- Casado, C.G.; Heredia, A. Ultrastructure of the cuticle during growth of the grape berry (Vitis vinifera). Physiol. Plant. 2001, 111, 220–224. [Google Scholar] [CrossRef]
- Sharma, V.; Crne, M.; Park, J.O.; Srinivasarao, M. Structural origin of circularly polarized iridescence in jeweled beetles. Science 2009, 325, 449–451. [Google Scholar] [CrossRef]
- Bausch, A.R.; Bowick, M.J.; Cacciuto, A.; Dinsmore, A.D.; Hsu, M.F.; Nelson, D.R.; Nikolaides, M.G.; Travesset, A.; Weitz, D.A. Grain boundary scars and spherical crystallography. Science 2003, 299, 1716–1718. [Google Scholar] [CrossRef] [PubMed]
- Vitelli, V.; Lucks, J.B.; Nelson, D.R. Crystallography on curved surfaces. Proc. Natl. Acad. Sci. USA 2006, 103, 12323–12328. [Google Scholar] [CrossRef] [PubMed]
- Osten, T. Fauna Europaea: Dasyscolia ciliata (Fabricius, 1787). In Fauna Europaea, Hymenoptera—Apocrita (excl. Ichneumonoidea); Mitroiu, M.-D., Ed.; Fauna Europaea ver. 2.6; Fauna Europaea: Dublin, Ireland, 2004. [Google Scholar]
- Kullenberg, B.; Bergström, G. Hymenoptera Aculeata males as pollinators of Ophrys orchids. Zool. Scr. 1976, 5, 13–23. [Google Scholar] [CrossRef]
- Sarrazin, M.; Vigneron, J.P.; Welch, V.; Rassart, M. Nanomorphology of the blue iridescent wings of a giant tropical wasp Megascolia procer javanensis (Hymenoptera). Phys. Rev. E 2008, 78, 051902. [Google Scholar] [CrossRef] [PubMed]
- Gaskett, A.C. Color and sexual deception in orchids: Progress toward understanding the functions and pollinator perception of floral color. In Darwin’s Orchids: Then and Now; Edens-Meier, R., Bernhardt, P., Eds.; The University of Chicago Press: Chicago, IL, USA, 2014; pp. 291–309. [Google Scholar]
- Pedersen, H.Æ.; Faurholdt, N. Ophrys, the Bee Orchids of Europe; Kew Publishing—Royal Botanic Gardens, Kew: London, UK, 2007. [Google Scholar]
- Lara Ruiz, J. Algunos polinizadores potenciales de Ophrys, L. 1753 (Orchidaceae) detectados en la sierra de Alcaraz (Albacete, SE península ibérica). Sabuco 2023, 17, 57–63. [Google Scholar] [CrossRef] [PubMed]
- Lara Ruiz, J. Polinizadores y visitantes de Ophrys L. en la Península Ibérica e Islas Baleares. Micobotánica-Jaén Año V 2010, 3, 189–195. Available online: http://www.micobotanicajaen.com/Revista/Articulos/JLaraR/Polinizadores/Ophrys.html (accessed on 20 July 2016).
- Pridgeon, A.M.; Stern, W.L. Ultrastructure of osmophores in Restrepia (Orchidaceae). Am. J. Bot. 1983, 70, 1233–1243. [Google Scholar] [CrossRef]
- Pridgeon, A.M.; Stern, W.L. Osmophores of Scaphosepalum (Orchidaceae). Bot. Gaz. 1985, 146, 115–123. [Google Scholar] [CrossRef]
- Vogel, S.; Hadacek, F. Contributions to the functional anatomy and biology of Nelumbo nucifera (Nelumbonaceae) III. An ecological reappraisal of floral organs. Plant Syst. Evol. 2004, 249, 173–189. [Google Scholar] [CrossRef]
- Pansarin, L.M.; Pansarin, E.R.; Sazima, M. Osmophore structure and phylogeny of Cirrhaea (Orchidaceae, Stanhopeinae). Bot. J. Linn. Soc. 2014, 176, 369–383. [Google Scholar] [CrossRef]
- Possobom, C.C.F.; Guimarães, E.; Machado, S.R. Structure and secretion mechanisms of floral glands in Diplopterys pubipetala (Malpighiaceae), a neotropical species. Flora 2015, 211, 26–39. [Google Scholar] [CrossRef]
- Fahn, A. Secretory tissues in vascular plants. New Phytol. 1988, 108, 229–257. [Google Scholar] [CrossRef] [PubMed]
- Sanguinetti, A.; Buzatto, C.R.; Pedron, M.; Davies, K.L.; Ferreira, P.M.A.; Maldonado, S.; Singer, R.B. Floral features, pollination biology and breeding system of Chloraea membranacea Lindl. (Orchidaceae: Chloraeinae). Ann. Bot. 2012, 110, 1607–1621. [Google Scholar] [CrossRef] [PubMed]
- El-Sayed, A.M. The Pherobase: Database of Pheromones and Semiochemicals. Floral Volatiles of Ophrys speculum. Available online: http://www.pherobase.com/database/floral/floral-taxa-species-Ophrys-speculum.php (accessed on 20 July 2016).
- Skubatz, H.; Kunkel, D.D.; Howald, W.N.; Trenkle, R.; Mookherjee, B. The Sauromatum guttatum appendix as an osmophore: Excretory pathways, composition of volatiles and attractiveness to insects. New Phytol. 1996, 134, 631–640. [Google Scholar] [CrossRef] [PubMed]
- van der Niet, T.; Hansen, D.M.; Johnson, S.D. Carrion mimicry in a South African orchid: Flowers attract a narrow subset of the fly assemblage on animal carcasses. Ann. Bot. 2011, 107, 981–992. [Google Scholar] [CrossRef] [PubMed]
- Stpiczyńska, M. Osmophores of the fragrant orchid Gymnadenia conopsea L. (Orchidaceae). Acta Soc. Bot. Pol. 2001, 70, 91–96. [Google Scholar] [CrossRef]
- Wiemer, A.P.; Moré, M.; Benitez-Vieyra, S.; Cocucci, A.A.; Raguso, R.A.; Sérsic, A.N. A simple floral fragrance and unusual osmophore structure in Cyclopogon elatus (Orchidaceae). Plant Biol. 2009, 11, 506–514. [Google Scholar] [CrossRef] [PubMed]
- Bateman, R.M.; Guy, J.J.; Rudall, P.J.; Leitch, I.J.; Pellicer, J.; Leitch, A.R. Evolutionary and functional potential of ploidy increase within individual plants: Somatic ploidy mapping of the complex labellum of sexually deceptive bee orchids. Ann. Bot. 2018, 122, 133–150. [Google Scholar] [CrossRef] [PubMed]
- Stökl, J.; Schlüter, P.M.; Stuessy, T.F.; Paulus, H.F.; Fraberger, R.; Erdmann, D.; Schulz, C.; Francke, W.; Assum, G.; Ayasse, M. Speciation in sexually deceptive orchids: Pollinator-driven selection maintains discrete odour phenotypes in hybridizing species. Biol. J. Linn. Soc. 2009, 98, 439–451. [Google Scholar] [CrossRef]
- Vereecken, N.J.; Cozzolino, S.; Schiestl, F.P. Hybrid floral scent novelty drives pollinator shift in sexually deceptive orchids. BMC Evol. Biol. 2010, 10, 103. [Google Scholar] [CrossRef]
- Mori, K. Pheromones in chemical communication. In The Chemistry and Biology of Volatiles; Herrmann, A., Ed.; John Wiley & Sons Ltd.: Chichester, UK, 2010; pp. 123–150. [Google Scholar]
- Buschhaus, C.; Jetter, R. Composition differences between epicuticular and intracuticular wax substructures: How do plants seal their epidermal surfaces? J. Exp. Bot. 2011, 62, 841–853. [Google Scholar] [CrossRef] [PubMed]
- Bateman, R.M.; Pridgeon, A.M.; Chase, M.W. Phylogenetics of subtribe Orchidinae (Orchidoideae, Orchidaceae) based on nuclear ITS sequences. 2. Infrageneric relationships and reclassification to achieve monophyly of Orchis sensu stricto. Lindleyana 1997, 12, 113–141. [Google Scholar]
- Inda, L.A.; Pimentel, M.; Chase, M.W. Phylogenetics of tribe Orchideae (Orchidaceae: Orchidoideae) based on combined DNA matrices: Inferences regarding timing of diversification and evolution of pollination syndromes. Ann. Bot. 2012, 110, 71–90. [Google Scholar] [CrossRef] [PubMed]
- Schiestl, F.P.; Cozzolino, S. Evolution of sexual mimicry in the orchid subtribe Orchidinae: The role of preadaptations in the attraction of male bees as pollinators. BMC Evol. Biol. 2008, 8, 27. [Google Scholar] [CrossRef] [PubMed]
- Barone Lumaga, M.R.; Pellegrino, G.; Bellusci, F.; Perrotta, E.; Perrotta, I.; Musacchio, A. Comparative floral micromorphology in four sympatric species of Serapias (Orchidaceae). Bot. J. Linn. Soc. 2012, 169, 714–724. [Google Scholar] [CrossRef]
- Kay, Q.O.N.; Daoud, H.S.; Stirton, C.H. Pigment distribution, light reflection and cell structure in petals. Bot. J. Linn. Soc. 1981, 83, 57–84. [Google Scholar] [CrossRef]
- Hymenoptera Anatomy Consortium. The Hymenoptera Glossary. Available online: http://glossary.hymao.org (accessed on 13 November 2015).
- Gutmann, M. Improved staining procedures for photographic documentation of phenolic deposits in semithin sections of plant tissue. J. Microsc. 1995, 179, 277–281. [Google Scholar] [CrossRef]
- Feder, N.; O’Brien, T.P. Plant microtechnique: Some principles and new methods. Am. J. Bot. 1968, 55, 123–142. [Google Scholar] [CrossRef]
- Parham, R.A.; Kaustinen, H.M. Differential staining of tannin in sections of epoxy-embedded plant cells. Stain Technol. 1976, 51, 237–240. [Google Scholar] [CrossRef]
- Pearse, A.G.E. Histochemistry: Theoretical and Applied. Volume 2, Analytical Technology; Churchill-Livingstone: Edinburgh, UK, 1985. [Google Scholar]
- Kirk, P.W. Neutral red as a lipid fluorochrome. Stain Technol. 1970, 45, 1–4. [Google Scholar] [CrossRef]
- David, R.; Carde, J.P. Coloration diférentielle des inclusions lipidiques et terpeniques des pseudophylles du Pin maritime au moyen du reactif Nadi. C. R. Acad. Sci. 1964, 258, 1338–1340. [Google Scholar]
- Harborne, J.B. Phytochemical Methods: A Guide to Modern Techniques of Plant Analysis; Chapman & Hall: London, UK, 1998. [Google Scholar]








| Dimensions | Age (Number of Days) | |||||
|---|---|---|---|---|---|---|
| (Length × Width; mm) | Before Anthesis/At Anthesis | |||||
| Early Bud a,* | Late Bud b,* | Open Flower c,T | Early Bud a,* | Late Bud b,* | Open Flower c,Y | |
| Ophrys speculum subsp. lusitanica | 5 × 3 to 6 × 4 | 7 × 4 to 8 × 6 | 13 (2) × 10 (1) | 4 to 6 | 1 to 3 | 1 to 10 (6) |
| Ophrys speculum subsp. speculum | 5 × 3 to 7 × 3 | 7 × 4 to 9 × 6 | 13 (2) × 11 (2) | 3 to 7 | 1 to 2 | 1 to 12 (5) |
| Morphologically Distinct Epidermal Cell Types | Surface Features of the Epidermal Cells | ||
|---|---|---|---|
| Curvature of the Outer Cell Wall | Cell Outline | Cuticular Ornamentation | |
| 1 | flat cells | elongated, polygonal outline | very dense, parallel cuticular striations |
| 2 | flat to lenticular cells | isodiametric, polygonal outline | no cuticular striations (smooth surface) |
| 3 | sub-conical to attenuate unicellular trichomes | n/a | fine cuticular striations |
| 4 | lenticular cells | isodiametric, polygonal outline | dense cuticular striations |
| 5 | long, contorted unicellular trichomes | n/a | fine cuticular striations |
| 6 | flat to slightly convex cells | isodiametric, hexagonal (occasionally pentagonal or heptagonal) outline | very fine, parallel cuticular striations |
| 7 | dome-shaped papillae | n/a | no cuticular striations (smooth surface) |
Disclaimer/Publisher’s Note: The statements, opinions and data contained in all publications are solely those of the individual author(s) and contributor(s) and not of MDPI and/or the editor(s). MDPI and/or the editor(s) disclaim responsibility for any injury to people or property resulting from any ideas, methods, instructions or products referred to in the content. |
© 2024 by the authors. Licensee MDPI, Basel, Switzerland. This article is an open access article distributed under the terms and conditions of the Creative Commons Attribution (CC BY) license (https://creativecommons.org/licenses/by/4.0/).
Share and Cite
Francisco, A.; Ascensão, L. Osmophore Structure and Labellum Micromorphology in Ophrys speculum (Orchidaceae): New Interpretations of Floral Features and Implications for a Specific Sexually Deceptive Pollination Interaction. Plants 2024, 13, 1413. https://doi.org/10.3390/plants13101413
Francisco A, Ascensão L. Osmophore Structure and Labellum Micromorphology in Ophrys speculum (Orchidaceae): New Interpretations of Floral Features and Implications for a Specific Sexually Deceptive Pollination Interaction. Plants. 2024; 13(10):1413. https://doi.org/10.3390/plants13101413
Chicago/Turabian StyleFrancisco, Ana, and Lia Ascensão. 2024. "Osmophore Structure and Labellum Micromorphology in Ophrys speculum (Orchidaceae): New Interpretations of Floral Features and Implications for a Specific Sexually Deceptive Pollination Interaction" Plants 13, no. 10: 1413. https://doi.org/10.3390/plants13101413
APA StyleFrancisco, A., & Ascensão, L. (2024). Osmophore Structure and Labellum Micromorphology in Ophrys speculum (Orchidaceae): New Interpretations of Floral Features and Implications for a Specific Sexually Deceptive Pollination Interaction. Plants, 13(10), 1413. https://doi.org/10.3390/plants13101413

