Hyperspectral Imaging and Selected Biological Control Agents for the Management of Fusarium Head Blight in Spring Wheat
Abstract
:1. Introduction
2. Results
2.1. Spectral Signatures of Different Areas on the Spikes
2.2. Early Detection of FHB by HSI
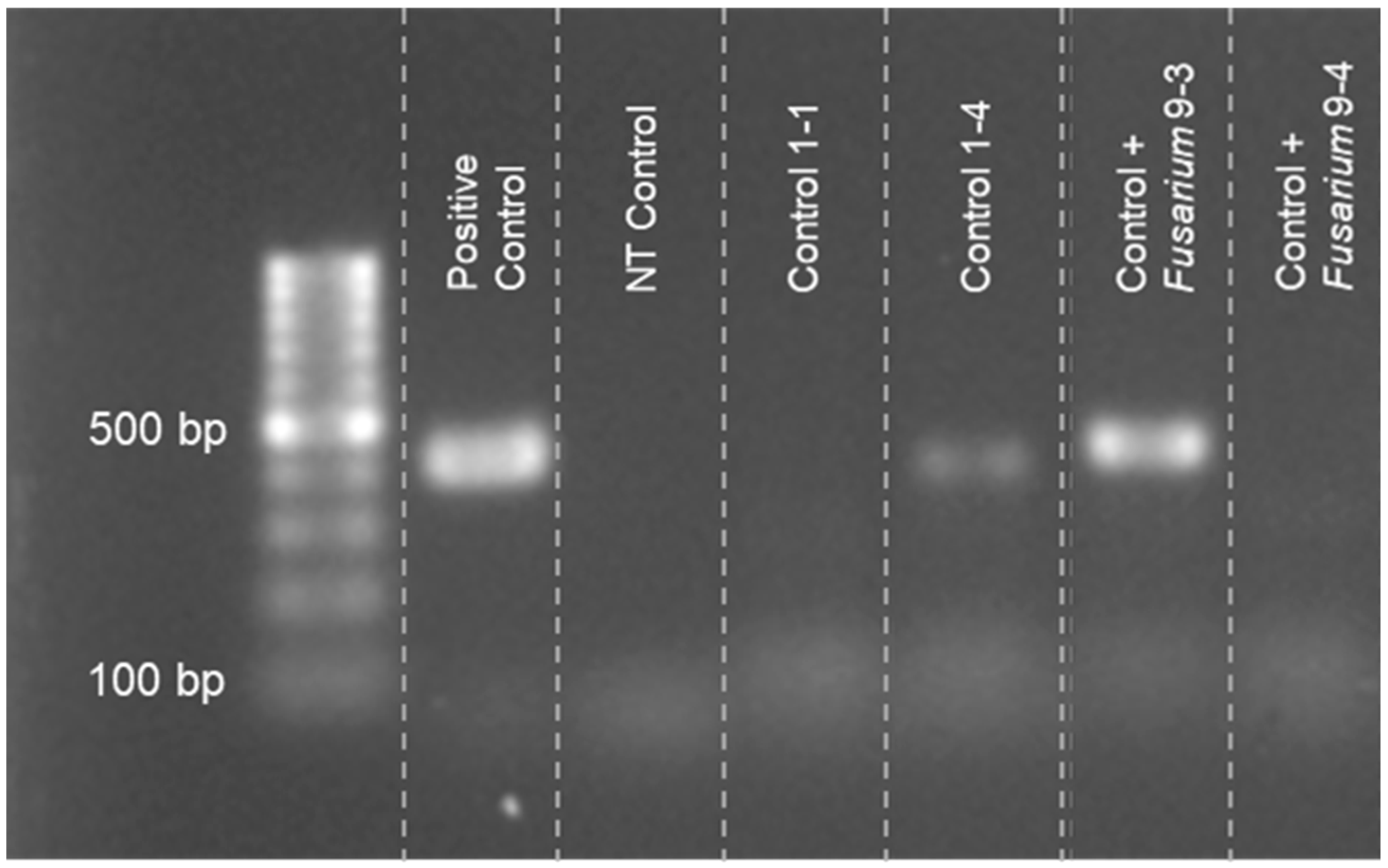
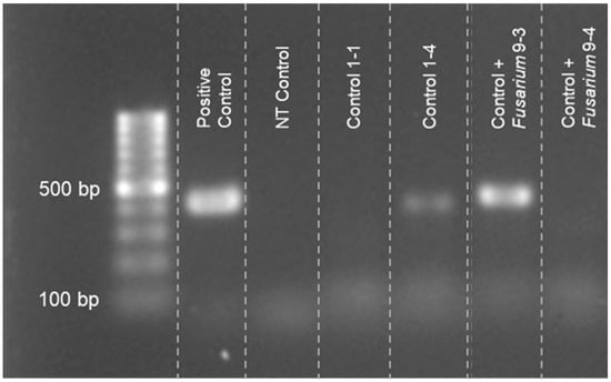
2.3. Validation of Hyperspectral Imaging by Molecular Analysis
2.4. Quantitative Evaluation of the Classification Methods
2.5. Visual Monitoring of FHB Symptoms
2.5.1. FHB Incidence and FHB Severity 13 dpi
2.5.2. FHB Incidence and FHB Severity 17 dpi
3. Discussion
3.1. Spectral Signatures for FHB Identification
3.2. Early Detection of FHB by HSI
3.3. Differentiation between FHB Symptoms and Maturity
3.4. Validation of Hyperspectral Imaging by Molecular Analysis
3.5. Evaluation of the Classification Methods
3.6. Visual Monitoring of FHB Symptoms
4. Materials and Methods
4.1. Plant Material
4.2. BCAs—Cultivation and Inoculation
4.3. Cultivation of Fusarium spp. and Inoculation
4.4. Monitoring of FHB Symptoms
4.5. Hyperspectral Measurement Series
4.6. Evaluation of the Hyperspectral Images
4.7. Quantitative Evaluation of the Classification Methods
4.8. Molecular Analysis with PCR
4.9. Data Analysis
5. Conclusions
Author Contributions
Funding
Data Availability Statement
Acknowledgments
Conflicts of Interest
Appendix A



References
- Gooding, M.J.; Shewry, P.R. Wheat: Environment, Food and Health, 1st ed.; Wiley: Hoboken, NJ, USA; Wiley: Chichester, UK, 2022; ISBN 978-1-119-65259-5. [Google Scholar]
- FAO. Crops and Livestock Products. Available online: https://www.fao.org/faostat/en/#data/QCL/visualize (accessed on 22 January 2023).
- Curtis, B.C.; Rajaram, S.; Gómez Macpherson, H. Bread Wheat: Improvement and Production; Food and Agriculture Organization of the United Nations (FAO): Rome, Italy, 2002; ISBN 92-5-104809-6. [Google Scholar]
- Lev-Yadun, S.; Gopher, A.; Abbo, S. Archaeology. The cradle of agriculture. Science 2000, 288, 1602–1603. [Google Scholar] [CrossRef] [PubMed]
- Börner, H.; Schlüter, K.; Aumann, J. Pflanzenkrankheiten und Pflanzenschutz, 8th ed.; Springer: Berlin/Heidelberg, Germany, 2009; ISBN 978-3-540-49067-8. [Google Scholar]
- Nyvall, R.F. Field Crop Diseases, 3rd ed.; Iowa State University Press: Ames, IA, USA, 1999; ISBN 0-8138-2079-0. [Google Scholar]
- Wegulo, S.N.; Baenziger, P.S.; Hernandez Nopsa, J.; Bockus, W.W.; Hallen-Adams, H. Management of Fusarium head blight of wheat and barley. Crop Prot. 2015, 73, 100–107. [Google Scholar] [CrossRef]
- Ma, L.-J.; Geiser, D.M.; Proctor, R.H.; Rooney, A.P.; O’Donnell, K.; Trail, F.; Gardiner, D.M.; Manners, J.M.; Kazan, K. Fusarium pathogenomics. Annu. Rev. Microbiol. 2013, 67, 399–416. [Google Scholar] [CrossRef] [PubMed]
- Heitefuss, R.; König, K.; Obst, A.; Reschke, M. Pflanzenkrankheiten und Schädlinge im Ackerbau, 4th ed.; Verlagsunion Agrar: Frankfurt (Main), Germany, 2000; ISBN 978-3-7690-0576-7. [Google Scholar]
- Tekauz, A.; McCallum, B.; Gilbert, J. Review: Fusarium head blight of barley in western Canada. Can. J. Plant Pathol. 2000, 22, 9–16. [Google Scholar] [CrossRef]
- Rossi, R. 1 A EUROPEAN GREEN DEAL: Farm to Fork Strategy on Sustainable Food System. Available online: https://www.europarl.europa.eu/legislative-train/carriage/farm-to-fork-strategy/report?sid=6501 (accessed on 14 January 2023).
- Mahlein, A.-K.; Kuska, M.T.; Behmann, J.; Polder, G.; Walter, A. Hyperspectral Sensors and Imaging Technologies in Phytopathology: State of the Art. Annu. Rev. Phytopathol. 2018, 56, 535–558. [Google Scholar] [CrossRef]
- El-Hasan, A.; Ngatia, G.; Link, T.I.; Voegele, R.T. Isolation, Identification, and Biocontrol Potential of Root Fungal Endophytes Associated with Solanaceous Plants against Potato Late Blight (Phytophthora infestans). Plants 2022, 11, 1605. [Google Scholar] [CrossRef]
- Bock, C.H.; Barbedo, J.G.A.; Del Ponte, E.M.; Bohnenkamp, D.; Mahlein, A.-K. From visual estimates to fully automated sensor-based measurements of plant disease severity: Status and challenges for improving accuracy. Phytopathol. Res. 2020, 2, 9. [Google Scholar] [CrossRef]
- Thomas, S.; Kuska, M.T.; Bohnenkamp, D.; Brugger, A.; Alisaac, E.; Wahabzada, M.; Behmann, J.; Mahlein, A.-K. Benefits of hyperspectral imaging for plant disease detection and plant protection: A technical perspective. J. Plant Dis. Prot. 2018, 125, 5–20. [Google Scholar] [CrossRef]
- Bock, C.H.; Chiang, K.-S.; Del Ponte, E.M. Plant disease severity estimated visually: A century of research, best practices, and opportunities for improving methods and practices to maximize accuracy. Trop. Plant Pathol. 2022, 47, 25–42. [Google Scholar] [CrossRef]
- Malorny, B.; Tassios, P.T.; Rådström, P.; Cook, N.; Wagner, M.; Hoorfar, J. Standardization of diagnostic PCR for the detection of foodborne pathogens. Int. J. Food Microbiol. 2003, 83, 39–48. [Google Scholar] [CrossRef]
- Khan, M.J.; Khan, H.S.; Yousaf, A.; Khurshid, K.; Abbas, A. Modern Trends in Hyperspectral Image Analysis: A Review. IEEE Access 2018, 6, 14118–14129. [Google Scholar] [CrossRef]
- Arens, N.; Backhaus, A.; Döll, S.; Fischer, S.; Seiffert, U.; Mock, H.-P. Non-invasive Presymptomatic Detection of Cercospora beticola Infection and Identification of Early Metabolic Responses in Sugar Beet. Front. Plant Sci. 2016, 7, 1377. [Google Scholar] [CrossRef]
- Thomas, S.; Behmann, J.; Rascher, U.; Mahlein, A.-K. Evaluation of the benefits of combined reflection and transmission hyperspectral imaging data through disease detection and quantification in plant–pathogen interactions. J. Plant Dis. Prot. 2022, 129, 505–520. [Google Scholar] [CrossRef]
- Senthilkumar, T.; Jayas, D.S.; White, N. Detection of different stages of fungal infection in stored canola using near-infrared hyperspectral imaging. J. Stored Prod. Res. 2015, 63, 80–88. [Google Scholar] [CrossRef]
- Qin, J.; Burks, T.F.; Ritenour, M.A.; Bonn, W.G. Detection of citrus canker using hyperspectral reflectance imaging with spectral information divergence. J. Food Eng. 2009, 93, 183–191. [Google Scholar] [CrossRef]
- Bauriegel, E.; Giebel, A.; Geyer, M.; Schmidt, U.; Herppich, W.B. Early detection of Fusarium infection in wheat using hyper-spectral imaging. Comput. Electron. Agric. 2011, 75, 304–312. [Google Scholar] [CrossRef]
- Barbedo, J.G.; Tibola, C.S.; Fernandes, J.M. Detecting Fusarium head blight in wheat kernels using hyperspectral imaging. Biosyst. Eng. 2015, 131, 65–76. [Google Scholar] [CrossRef]
- Gilbert, J.; Haber, S. Overview of some recent research developments in fusarium head blight of wheat. Can. J. Plant Pathol. 2013, 35, 149–174. [Google Scholar] [CrossRef]
- Alfiky, A.; Weisskopf, L. Deciphering Trichoderma-Plant-Pathogen Interactions for Better Development of Biocontrol Applications. J. Fungi 2021, 7, 61. [Google Scholar] [CrossRef]
- Heimpel, G.E.; Mills, N.J. Biological Control: Ecology and Applications; Cambridge University Press: Cambridge, UK, 2017; ISBN 9781139029117. [Google Scholar]
- Turc, E.; Pressecq, T.; Nicot, P.C.; Bardin, M. Modes of Action of Microbial Biocontrol Agents against Plant Diseases. In Microbial Biocontrol Agents: Developing Effective Biopesticides; Puopolo, G., Ed.; CABI: Wallingford, UK; CABI: Boston, MA, USA, 2022; pp. 45–68. ISBN 978-1-78924-919-4. [Google Scholar]
- Zhang, D.; Wang, Q.; Lin, F.; Yin, X.; Gu, C.; Qiao, H. Development and Evaluation of a New Spectral Disease Index to Detect Wheat Fusarium Head Blight Using Hyperspectral Imaging. Sensors 2020, 20, 2260. [Google Scholar] [CrossRef] [PubMed]
- Kior, A.; Sukhov, V.; Sukhova, E. Application of Reflectance Indices for Remote Sensing of Plants and Revealing Actions of Stressors. Photonics 2021, 8, 582. [Google Scholar] [CrossRef]
- Yuan, L.; Zhang, H.; Zhang, Y.; Xing, C.; Bao, Z. Feasibility assessment of multi-spectral satellite sensors in monitoring and discriminating wheat diseases and insects. Optik 2017, 131, 598–608. [Google Scholar] [CrossRef]
- Swapnil, P.; Meena, M.; Singh, S.K.; Dhuldhaj, U.P.; Harish; Marwal, A. Vital roles of carotenoids in plants and humans to deteriorate stress with its structure, biosynthesis, metabolic engineering and functional aspects. Curr. Plant Biol. 2021, 26, 100203. [Google Scholar] [CrossRef]
- Pirgozliev, S.; Ray, R.; Edwards, S.; Hare, M.; Jenkinson, P. Effect of timing of fungicide application on the development of Fusarium head blight and the accumulation of deoxynivalenol (DON) in winter wheat grain. Cereal Res. Commun. 2008, 36, 289–299. [Google Scholar] [CrossRef]
- Usama, M.; Qadir, J.; Raza, A.; Arif, H.; Yau, K.A.; Elkhatib, Y.; Hussain, A.; Al-Fuqaha, A. Unsupervised Machine Learning for Networking: Techniques, Applications and Research Challenges. IEEE Access 2019, 7, 65579–65615. [Google Scholar] [CrossRef]
- Nollet, L.M.L. Linear Discriminant Analysis. In Hyperspectral Imaging Analysis and Applications for Food Quality, 1st ed.; Basantia, N.C., Nollet, L.M.L., Kamruzzaman, M., Eds.; CRC Press Taylor & Francis Group: Boca Raton, FL, USA, 2018; pp. 115–118. ISBN 9781315209203. [Google Scholar]
- Delwiche, S.R.; Rodriguez, I.T.; Rausch, S.R.; Graybosch, R.A. Estimating percentages of fusarium-damaged kernels in hard wheat by near-infrared hyperspectral imaging. J. Cereal Sci. 2019, 87, 18–24. [Google Scholar] [CrossRef]
- Huang, L.; Wu, Z.; Huang, W.; Ma, H.; Zhao, J. Identification of Fusarium Head Blight in Winter Wheat Ears Based on Fisher’s Linear Discriminant Analysis and a Support Vector Machine. Appl. Sci. 2019, 9, 3894. [Google Scholar] [CrossRef]
- Di Pinto, A.; Forte, V.; Guastadisegni, M.C.; Martino, C.; Schena, F.P.; Tantillo, G. A comparison of DNA extraction methods for food analysis. Food Control 2007, 18, 76–80. [Google Scholar] [CrossRef]
- Thomas, S.; Wahabzada, M.; Kuska, M.T.; Rascher, U.; Mahlein, A.-K. Observation of plant-pathogen interaction by simultaneous hyperspectral imaging reflection and transmission measurements. Funct. Plant Biol. 2017, 44, 23–34. [Google Scholar] [CrossRef] [PubMed]
- Pane, C.; Manganiello, G.; Nicastro, N.; Carotenuto, F. Early Detection of Wild Rocket Tracheofusariosis Using Hyperspectral Image-Based Machine Learning. Remote Sens. 2022, 14, 84. [Google Scholar] [CrossRef]
- Bock, C.H.; Poole, G.H.; Parker, P.E.; Gottwald, T.R. Plant Disease Severity Estimated Visually, by Digital Photography and Image Analysis, and by Hyperspectral Imaging. Crit. Rev. Plant Sci. 2010, 29, 59–107. [Google Scholar] [CrossRef]
- Mahlein, A.-K.; Alisaac, E.; Al Masri, A.; Behmann, J.; Dehne, H.-W.; Oerke, E.-C. Comparison and Combination of Thermal, Fluorescence, and Hyperspectral Imaging for Monitoring Fusarium Head Blight of Wheat on Spikelet Scale. Sensors 2019, 19, 2281. [Google Scholar] [CrossRef]
- Swinscow, T.D.; Campbell, M.J. Statistics at Square One, 9th ed.; BMJ Publishing Group: London, UK, 2002. [Google Scholar]
- El-Hasan, A.; Walker, F.; Schöne, J.; Buchenauer, H. Antagonistic effect of 6-pentyl-alpha-pyrone produced by Trichoderma harzianum toward Fusarium moniliforme. J. Plant Dis. Prot. 2007, 114, 62–68. [Google Scholar] [CrossRef]
- El-Hasan, A.; Schöne, J.; Höglinger, B.; Walker, F.; Voegele, R.T. Assessment of the antifungal activity of selected biocontrol agents and their secondary metabolites against Fusarium graminearum. Eur. J. Plant Pathol. 2018, 150, 91–103. [Google Scholar] [CrossRef]
- Xue, A.G.; Voldeng, H.D.; Savard, M.E.; Fedak, G.; Tian, X.; Hsiang, T. Biological control of fusarium head blight of wheat with Clonostachys rosea strain ACM941. Can. J. Plant Pathol. 2009, 31, 169–179. [Google Scholar] [CrossRef]
- Taheri, E.; Tarighi, S.; Taheri, P. An endophytic bacterium with biocontrol activity against important wheat pathogens. Biol. Control 2023, 183, 105243. [Google Scholar] [CrossRef]
- Khan, M.R.; Doohan, F.M. Comparison of the efficacy of chitosan with that of a fluorescent pseudomonad for the control of Fusarium head blight disease of cereals and associated mycotoxin contamination of grain. Biol. Control 2009, 48, 48–54. [Google Scholar] [CrossRef]
- Wang, L.-Y.; Xie, Y.-S.; Cui, Y.-Y.; Xu, J.; He, W.; Chen, H.-G.; Guo, J.-H. Conjunctively screening of biocontrol agents (BCAs) against fusarium root rot and fusarium head blight caused by Fusarium graminearum. Microbiol. Res. 2015, 177, 34–42. [Google Scholar] [CrossRef]
- Karuppiah, V.; Sun, J.; Li, T.; Vallikkannu, M.; Chen, J. Co-cultivation of Trichoderma asperellum GDFS1009 and Bacillus amyloliquefaciens 1841 Causes Differential Gene Expression and Improvement in the Wheat Growth and Biocontrol Activity. Front. Microbiol. 2019, 10, 1068. [Google Scholar] [CrossRef]
- Bundessortenamt. Beschreibende Sortenliste Getreide, Mais, Öl- und Faserpflanzen, Leguminosen, Rüben, Zwischenfrüchte. Available online: https://www.bundessortenamt.de/bsa/media/Files/BSL/bsl_getreide_2021.pdf (accessed on 12 January 2023).
- Karlovsky, P. Inhibition of Imidazolegly cerolphosphate Dehydratase of Phytophthora Parasitica by Aminotriazole in situ and after Cloning and Expression of the Respective Gene (HIS3) in Escherichia coli. J. Phytopathol. 1994, 141, 121–126. [Google Scholar] [CrossRef]
- Góral, T.; Wiśniewska, H.; Ochodzki, P.; Nielsen, L.K.; Walentyn-Góral, D.; Stępień, Ł. Relationship between Fusarium Head Blight, Kernel Damage, Concentration of Fusarium Biomass, and Fusarium Toxins in Grain of Winter Wheat Inoculated with Fusarium culmorum. Toxins 2019, 11, 2. [Google Scholar] [CrossRef]
- Liu, D.; Coloe, S.; Baird, R.; Pedersen, J. Rapid Mini-Preparation of Fungal DNA for PCR. J. Clin. Microbiol. 2000, 38, 471. [Google Scholar] [CrossRef]
- Arif, M.; Chawla, S.; Zaidi, M.W.; Rayar, J.K.; Variar, M.; Singh, U.S. Development of specific primers for genus Fusarium and F. solani using rDNA sub-unit and transcription elongation factor (TEF-1α) gene. Afr. J. Biotechnol. 2012, 11, 444–447. [Google Scholar] [CrossRef]











| Reference | SVM | DC | ||||
|---|---|---|---|---|---|---|
| Class | Count | Percentage | Count | Percentage | Count | Percentage |
| Healthy | 50,438 | 91.52 | 49,584 | 89.97 | 47,921 | 86.96 |
| Flower | 1007 | 1.83 | 196 | 0.36 | 747 | 1.36 |
| Maturity | 181 | 0.33 | 3 | 0.01 | 12 | 0.02 |
| Symptom | 3484 | 6.32 | 5327 | 9.67 | 6430 | 11.67 |
| Total | 55,110 | 100.00 | 55,110 | 100.00 | 55,110 | 100.00 |
| Reagents | Volume per Reaction (µL) |
|---|---|
| H2Opure | 13.00 |
| 10× Taq Buffer | 2.50 |
| MgCl2 | 2.50 |
| dNTPs | 2.50 |
| Primer forward | 1.25 |
| Primer reverse | 1.25 |
| Taq DNA Polymerase | 1.00 |
| DNA | 1.00 |
| Total | 25.00 |
| Step | Temperature (°C) | Duration (min:s) |
|---|---|---|
| Denaturation | 94 | 5:00 |
| Denaturation | 94 | 1:00 |
| Annealing | 58 | 1:00 |
| Elongation | 72 | 2:00 |
| Hybridization | 72 | 5:00 |
| Storage | 4 | ∞ |
Disclaimer/Publisher’s Note: The statements, opinions and data contained in all publications are solely those of the individual author(s) and contributor(s) and not of MDPI and/or the editor(s). MDPI and/or the editor(s) disclaim responsibility for any injury to people or property resulting from any ideas, methods, instructions or products referred to in the content. |
© 2023 by the authors. Licensee MDPI, Basel, Switzerland. This article is an open access article distributed under the terms and conditions of the Creative Commons Attribution (CC BY) license (https://creativecommons.org/licenses/by/4.0/).
Share and Cite
Rieker, M.E.G.; Lutz, M.A.; El-Hasan, A.; Thomas, S.; Voegele, R.T. Hyperspectral Imaging and Selected Biological Control Agents for the Management of Fusarium Head Blight in Spring Wheat. Plants 2023, 12, 3534. https://doi.org/10.3390/plants12203534
Rieker MEG, Lutz MA, El-Hasan A, Thomas S, Voegele RT. Hyperspectral Imaging and Selected Biological Control Agents for the Management of Fusarium Head Blight in Spring Wheat. Plants. 2023; 12(20):3534. https://doi.org/10.3390/plants12203534
Chicago/Turabian StyleRieker, Martin E. G., Maximilian A. Lutz, Abbas El-Hasan, Stefan Thomas, and Ralf T. Voegele. 2023. "Hyperspectral Imaging and Selected Biological Control Agents for the Management of Fusarium Head Blight in Spring Wheat" Plants 12, no. 20: 3534. https://doi.org/10.3390/plants12203534
APA StyleRieker, M. E. G., Lutz, M. A., El-Hasan, A., Thomas, S., & Voegele, R. T. (2023). Hyperspectral Imaging and Selected Biological Control Agents for the Management of Fusarium Head Blight in Spring Wheat. Plants, 12(20), 3534. https://doi.org/10.3390/plants12203534

