Phytochemical Characterization and In Vitro Evaluation of the Anti-Sickle Cell Activity of Aqueous and Ethanolic Extracts of Two Medicinal Plants from Niger: Flueggea virosa (Roxb. ex Willd.) Royle and Kigelia africana (Lam.) Benth
Abstract
1. Introduction
2. Results
2.1. Extract Yield
2.2. Phytochemical Screening
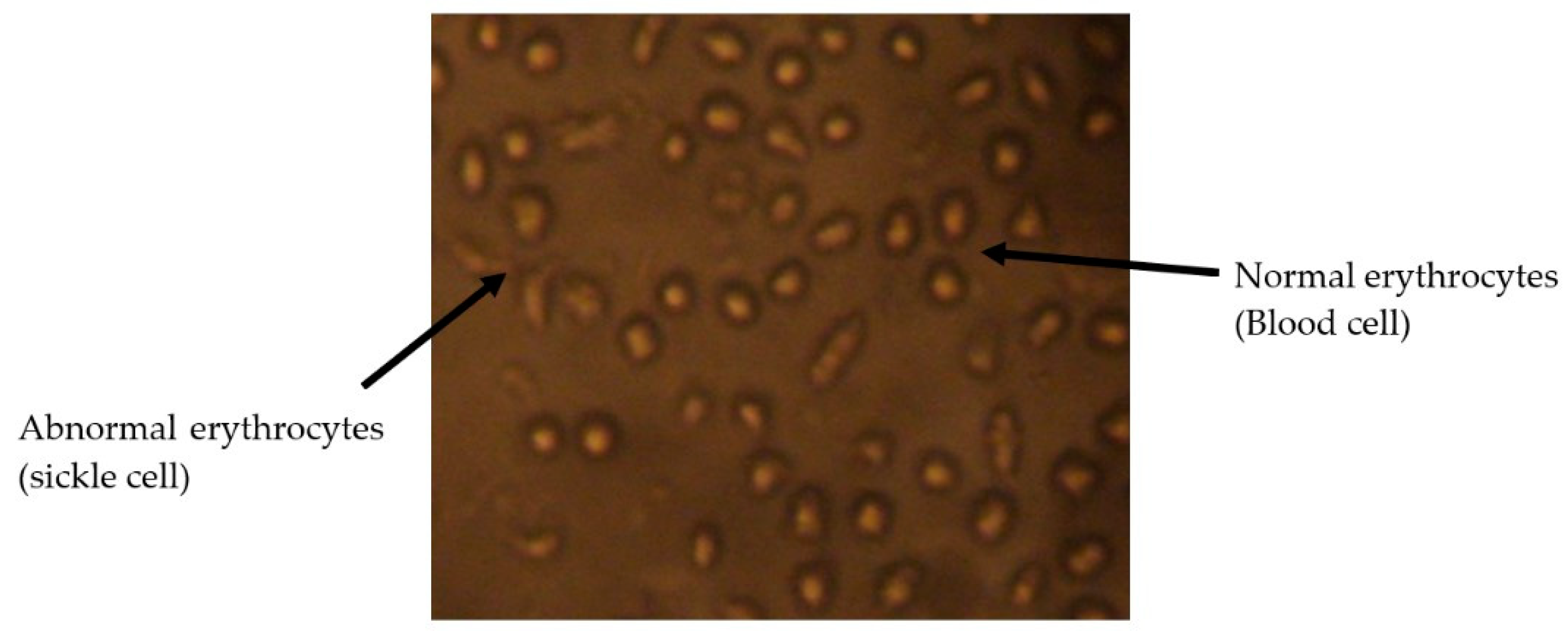
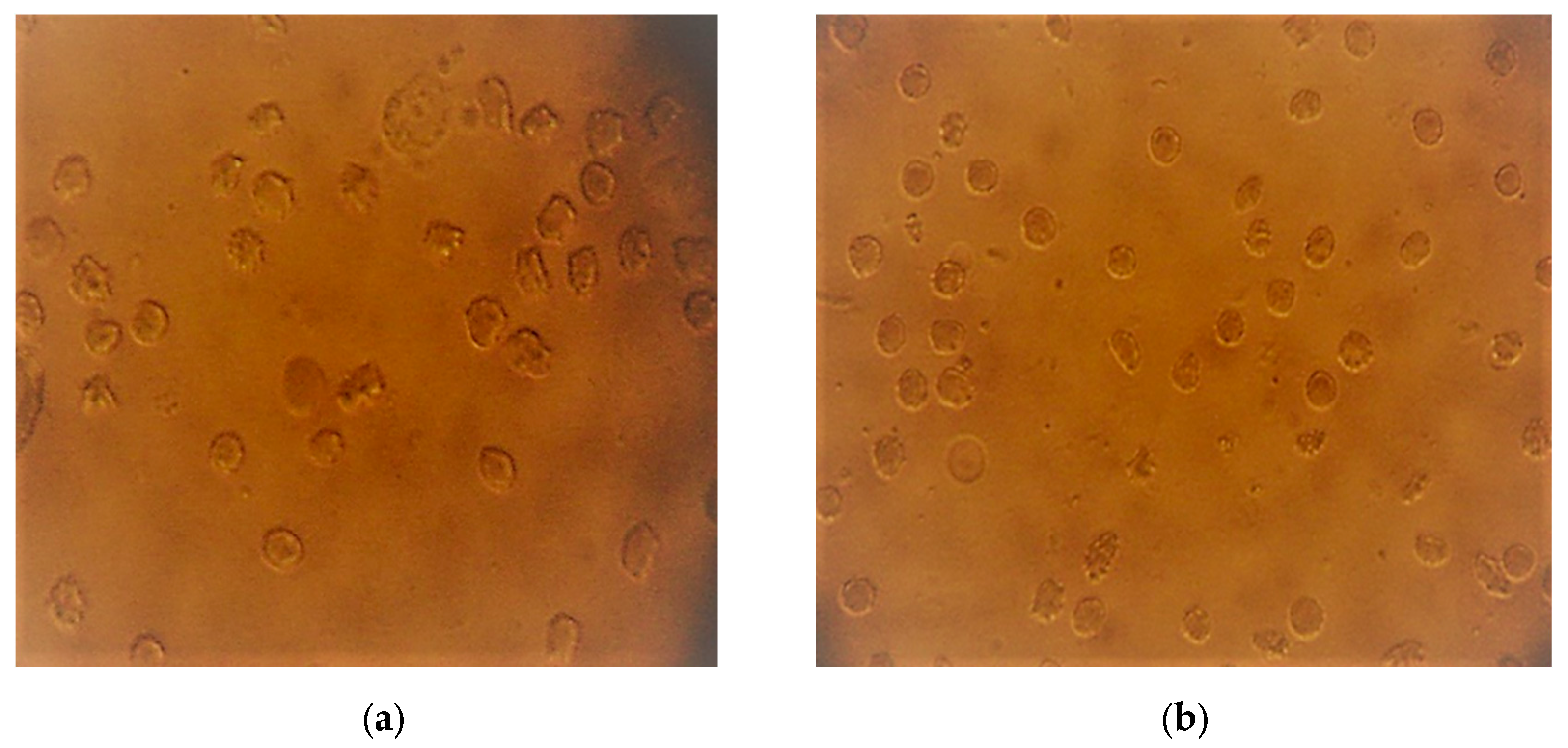
2.3. In Vitro Evaluation of the Antifalcemic Activity
3. Discussion
3.1. Phytochemical Screening
3.2. In Vitro Evaluation of the Antifalcemic Activity
4. Materials and Methods
4.1. Chemicals and Reagents
4.2. Biological Material
4.3. Plant Material and Preparation of Extracts
4.3.1. Plant Material and the Selection Criteria for the Two Plant Species
4.3.2. Preparation of the Crude Extracts of Both Plants
4.4. Phytochemical Screening
4.5. Evaluation of In Vitro Antifalcemic Activity
4.6. Statistical Analyses
5. Conclusions
Author Contributions
Funding
Data Availability Statement
Acknowledgments
Conflicts of Interest
References
- Mpiana, P.T.; Mudogo, V.; Tshibangu, D.S.T.; Shetonde, O.M.; Ngbolua, K.N.; Mbala, M.B. In vitro antisickling activity of anthocyanins extract of a Congolese plant: Alchornea cordifilia. M. Arg. J. Med. Sci. 2007, 7, 1182–1186. [Google Scholar] [CrossRef]
- Ibrahim, H.; Sani, F.S.; Danladi, B.H.; Ahmadu, A.A. Phytochemical and antisickling studies of the leaves of Hymenocardia acidaTul (Euphorbiaceae). Pak. J. Biol. Sci. 2007, 10, 788–791. [Google Scholar] [CrossRef] [PubMed]
- Organisation Mondiale de la Santé. Statistiques Sanitaires Mondiales; WHO: Geneva, Switzerland, 2014; p. 177. Available online: https://apps.who.int/iris/handle/10665/131954 (accessed on 9 November 2019).
- Mabiala, J.R.; Nzingoula, S.; Senga, P. Les crises vaso-occlusives drépanocytaires chez l’enfant et l’adolescent à Brazzaville, Congo. Étude rétrospective de 587 cas. Bull. Soc. Pathol. Exot. 2005, 98, 365–370. [Google Scholar]
- Labie, D.; Elion, J. La drépanocytose: Problème de l’Afrique. Med. Trop. 2010, 70, 449–453. [Google Scholar]
- Guide de la Prise en Charge de la Drépanocytose au Niger du Ministère de la Santé Publique. Available online: www.anpe.ne/article/drepanocytose (accessed on 9 November 2019).
- Wajcman, H.; Lantz, B.; Girot, R. Les Maladies du Globule Rouge. In Médecine-Science Flammarion; INSERM Edition; Flammarion: Paris, France, 1992; 1361p. [Google Scholar]
- Mehanna, A.S. Sickle Cell anaemia and antisickling agents: Then and now. Curr. Med. Chem. 2002, 8, 79–88. [Google Scholar] [CrossRef]
- Eliot, R.; Davies, M.; Harmse, D.J. Dermatomyositis-like eruption with long-term hydroxyurea. Dermatolog. Treat. 2006, 17, 56–60. [Google Scholar] [CrossRef]
- Jazy, M.A.; Karim, S.; Morou, B.; Sanogo, R.; Mahamane, S. Enquête Ethnobotanique Auprès des Tradipraticiens de Santé des Régions de Niamey et Tillaberi au Niger: Données 2012–2017. Eur. Sci. J. 2017, 13, 276–304. [Google Scholar] [CrossRef]
- Fagbohoun, L.; Gbaguidi, A.F.; Ayedoun, A.A.; Mathe, C.; Moudachirou, M.; Vieillescazes, C. Etudes ethnobotanique et phytochimique des plantes tinctoriales sources de colorants naturels et matériaux résineux traditionnels du Bénin dans le domaine artisanal (Ifangni/Bénin). Ethnopharmacologia 2014, 52, 56–66. [Google Scholar]
- Adnan, J.A.; Muhammad, Y.; Mohammad, S.A.; Volodymyr, S.; Xing-Cong, L.; Ilias, M.; Kamal, E.H. Chemical and biological study of Flueggea virosa native to Saudi Arabia. Chem. Nat. Compd. 2015, 51, 187–188. [Google Scholar]
- Peng, Y.L.; Zeng, N.; Yao, Q.Y.; Peng, C.Y.; Sheng, W.B.; Li, B.; Wang, W. A Review of the Medicinal Uses, Phytochemistry and Pharmacology of Genus Flueggea. Curr. Chin. Sci. 2023, 3, 213–241. [Google Scholar] [CrossRef]
- Li-She, G.; Jian-Min, Y. Alkaloids from the root of Flueggea virosa. Nat. Prod. Commun. 2006, 1, 819–823. [Google Scholar]
- Wang, G.; Liang, J.; Wang, Y.; Li, Q.; Ye, W. Chemical Constituents from Flueggea virosa. Chin. J. Nat. Med. 2008, 6, 251–253. [Google Scholar] [CrossRef]
- Ezeonwumelu, J.O.C.; Omar, A.N.; Ajayi, A.M.; Okoruwa, A.G.; Tanayen, J.K.; Kiplagat, D.M.; Okpanachi, O.A.; Abba, S.; Ezekiel, I.; Onchweri, A.N.; et al. Phytochemical screening, acute toxicity, anti-inflammatory and antipyretic studies of aqueous extract of the root of Flueggea virosa (Roxb. ex Willd.) in rats. Int. J. Pharm. Biomed. 2012, 3, 128–135. [Google Scholar]
- Ikhiri, K.; Boureima, D.; Dan Dicko, D.K. Chemical Screening of Medicinal Plants used in the Traditional Pharmacopoeia of Niger. Pharm. Biol. 1992, 30, 251–262. [Google Scholar] [CrossRef]
- Akunyili, D.; Houghton, P.; Raman, A. Antimicrobial activities of the stem bark of Kigelia pinnata. J. Ethnopharmacol. 1991, 35, 173–177. [Google Scholar] [CrossRef] [PubMed]
- Olatunji, A.G.; Atolani, O. Comprehensive scientific demystification of Kigelia africana: A review. African J. Pure Appl. Chem. 2009, 3, 158–164. [Google Scholar]
- Priya, B.; Menkudal, A.; Gahlot, M.; Joshi, P.; Agarwal, M. Pharmacognostical study, phytochemical analysis and phenolic content of Kigelia africana leaves. Int. J. Pharm. Pharm. Sci. 2013, 5, 163–166. [Google Scholar]
- Costa, R.; Albergamo, A.; Pellizzeri, V. Phytochemical screening by LC-MS and LC-PDA of ethanolic extracts from the fruits of Kigelia africana (Lam.) Benth. Nat. Prod. Res. 2016, 31, 1397–1402. [Google Scholar] [CrossRef]
- Sall, C.; Ndoye, S.F.; Dioum, M.D.; Seck, I.; Gueye, R.S.; Faye, B.; Thiam, C.T.; Seck, M.; Gueye, P.M.; Fall, D.; et al. Phytochemical study and in vitro activity evaluation of antisickling of two plants using in senegalese pharmacopeia. J. Chem. Pharm. Res. 2017, 9, 51–55. [Google Scholar]
- Mpiana, P.T.; Mudogo, V.; Ngbolua, K.N.; Tshibangu, D.S.T.; Atibu, E.K.; Mangwal, K.P.; Mbala, M.B.; Makelele, L.K.; Bokota, M.T. Antisickling activity and thermostability of anthocyanins extract from a congolese plant, Hymenocardia acida Tul. (Hymenocardiaceae). Int. J. Pharmacol. 2009, 5, 65–70. [Google Scholar] [CrossRef]
- Tshilanda, D.D.; Onyamboko, D.V.; Mwanangombo, D.T.; Tsalu, P.V.; Misengabu, N.K.; Tshibangu, D.S.T.; Ngbolua, K.N.; Mpiana, P.T. In vitro Antisickling Activity of Anthocyanins from Ocimum canun (Lamiacea). J. Adv. Med. Life Sci. 2015, 3, 6. [Google Scholar]
- Sawadogo, S.; Sanou, S.D.; Dabire, P.; Belemtougri, G.R.; Sawadogo, L.X.; Leiris, J.; Tanguy, S.; Boucher, S. Activité antifalcémiante d’extraits de trois plantes médicinales du Bukina Faso: Jatropha curcas, Khaya senegalensis et Dichrostachys cinerea. Int. J. Biol. Chem. Sci. 2017, 11, 2016–2027. [Google Scholar] [CrossRef]
- Sall, C.; Ndoye, S.F.; Dioum, M.D.; Seck, I.; Gueye, R.S.; Faye, B.; Thiam, C.T.; Seck, M.; Gueye, P.M.; Fall, D.; et al. Phytochemical Screening, Evaluation of Antioxidant and Anti-sickling Activities of Two Polar Extracts of Combretum glutinosum Leaves. Perr. ex DC. Br. J. Appl. Sci. Technol. 2017, 19, 1–11. [Google Scholar] [CrossRef]
- Moody, J.O.; Ojo, O.O.; Omotade, O.O.; Adeyemo, A.A.; Olumese, P.E.; Ogundipe, O.O. Antisickling potential of a Nigerian herbal formula (Ajawaron HF) and the major plant component (Cissus populnea L. CPK). Phytotherapy 2003, 10, 1173–1176. [Google Scholar] [CrossRef] [PubMed]
- Nwaoguikpe, R.N.; Braide, W. Some Fruit Juices as Environmental Sickling agents. World J. Med. Sci. 2011, 6, 61–67. [Google Scholar]
- Osoba, O.A.; Adesanya, S.A.; Durosimi, M.A. Effect of Lanthoxylum xantholoides and some substituted benzoic acids on glucose-6-phosphate and 6-phosphogluconate deshydrogenase in Hb ss red blood cells. Am. J. Hematol. 2001, 67, 1516. [Google Scholar]
- Akojie, F.O.; Fung, L.W. Antisickling activity of hydrobenzoic acids in Cajanus cajan. Planta Med. 1992, 58, 317–320. [Google Scholar] [CrossRef]
- Ouattara, B.; Angenot, L.; Guissou, P.; Fondu, P.; Dubois, J.; Frederich, M.; Jansen, O.; Van Heugen, J.C.; Wauters, J.N.; Tits, M. LC/MS/NMR analysis of divanilloylquinic acids form bark of Fagara zanthoxyloides Lam. Phytochemicals 2004, 65, 1145–1151. [Google Scholar] [CrossRef]
- Ekeke, G.I.; Shode, F.O. Phenylalanine is the predominant antisickling agent in Cajanus cajan seed extract. Plant Med. 1990, 56, 41–43. [Google Scholar] [CrossRef]
- Adejumo, O.E.; Kolapo, A.L.; Roleola, O.P.; Kasim, L.S. In vitro antisickling activities and phytochemical evaluation of Plumbago zeylanica and Uvaria. Afr. J. Biotechnol. 2010, 9, 9032–9036. [Google Scholar]
- Alabi, O.J.; Adegboyega, F.N.; Olawoyin, D.S.; Babatunde, O.A. Functional foods: Promising therapeutics for Nigerian Children with sickle cell diseases. Heliyon 2022, 8, e09630. [Google Scholar] [CrossRef] [PubMed]
- Mpiana, P.T.; Mudogo, V.; Tshibangu, D.S.T.; Shetonde, O.M.; Ngbolua, K.N.; Mbala, M.B. Antisicklingactivity of some Congolese plants. In Drug Discovery from African Flora, Proceedings of the 12th Symposium of the Natural Product Research Network for Eastern and Central Africa, Kampala, Uganda, 22–26 July 2007; University of Nairobi: Nairobi, Kenya, 2007; pp. 22–26. [Google Scholar]
- Mpiana, P.T.; Tshibangu, D.S.T.; Shetonde, O.M.; Ngobolwa, K.N. In vitro antidrepanocytary activity (anti-sickle cell anemia) of some Congolese plant. Phytomedecine 2007, 14, 192–194. [Google Scholar] [CrossRef] [PubMed]
- Mpiana, P.T.; Mudogo, V.; Tshibangu, D.S.T.; Ngbolua, K.N.; Tshilanda, D.D.; Atibu, E.K. Antisickling activity of anthocyanins of Jatropha curcas L. RPMP. Chem. Med. Val. 2008, 25, 101–108. [Google Scholar]
- Mpiana, P.T.; Makelele, L.K.; Oleko, R.W.; Bokota, M.T.; Tshibangu, D.S.T.; Ngbolua, K.N.; Mbala, M.B.; Atibu, E.K.; Nsimba, S.M. Antisickling activity of medicinal plants used in the management of Sickle cell Disease in Tshopo district, D.R. Congo. Aust. J. Med. Herb. 2010, 22, 132–137. [Google Scholar]
- Békro, Y.A.; Békro, J.A.M.; Boua, B.B.; Tra, B.F.H.; Ehilé, E.E. Etude ethnobotanique et screening phytochimique de Caesalpinia benthamiana (Baill.) Herend. et Zarucchi (Caesalpiniaceae). Rev. Sci. Nat. 2007, 4, 217–225. [Google Scholar] [CrossRef]
- N’Guessan, K.; Kadja, B.; Zirihi, G.; Traoré, D.; Aké-Assi, L. Screening phytochimique de quelques plantes médicinales ivoiriennes utilisées en pays Krobou (Agboville, Côte-d’Ivoire). Sci. Nat. 2009, 6, 1–15. [Google Scholar] [CrossRef]
- Caquet, R. 250 Examens de Laboratoire, 11th ed.; Masson: Paris, France, 2004; p. 480. [Google Scholar]
- Yuma, P.M.; Mpiana, P.T.; Bokota, M.T.; Wakenge, I.B.; Muanishay, C.L.; Gbolo, B.Z.; Di Mathina, G.M.; Tshibangu, D.S.T.; et Ngbolua, K.N. Étude de l’activitéantifalcemiante et de la thermo- et photo-dégradation des anthocyanes de Centella asiatica, Thomandersiahensii et Maesopsis eminii. Int. J. Biol. Chem. Sci. 2013, 7, 1892–1901. [Google Scholar] [CrossRef][Green Version]





| Plants | Family | Organ Used | Extraction Mode | Plants Yield (%) | 
|---|---|---|---|---|
| Flueggea virosa (Rxb. ex Wild.) Voigt | Euphorbiaceae | Aerial part | Aqueous | 12.4 | 
| Ethanolic | 19.8 | |||
| Kigelia Africana (Lam.) Benth. | Bignoniaceae | Leaves | Aqueous | 11.3 | 
| Ethanolic | 5.5 | 
| Plants | Organ | Extract | Alc. | Ster. | Fla. | Sap. | Qui. | Tan. | An. | Suc. | AA. | |
|---|---|---|---|---|---|---|---|---|---|---|---|---|
| Flueggea virosa (Rxb. ex Wild.) Voigt | D | W | ||||||||||
| Aerial part | H2O | + | + | + | + | + | + | + | + | + | ||
| EtOH | + | + | + | − | + | + | + | + | + | |||
| Kigelia Africana (Lam.) Benth. | Leaves | H2O | − | + | + | + | + | + | + | + | + | |
| EtOH | + | + | + | + | + | + | + | + | + | |||
| Plants | Type of Extract | Rate of Normalization | 
|---|---|---|
| Flueggea virosa (Rxb. ex Wild.) Voigt | Aqueous | 90% | 
| Ethanolic | 95% | |
| Kigelia africana (Lam.) Benth. | Aqueous | 85% | 
| Ethanolic | 93% | 
| Compound Name | Compound Class | 
|---|---|
| (−)-securinine | Alkaloid | 
| Virosecurinine | Alkaloid | 
| (+)-norsecurinine | Alkaloid | 
| (−)-virosine B | Alkaloid | 
| (+)-virosine B | Alkaloid | 
| Flueggine A | Alkaloid | 
| Flueggine B | Alkaloid | 
| Flueggether A | Alkaloid | 
| Flueggether B | Alkaloid | 
| Flueggether C | Alkaloid | 
| Rutin | Flavonoid | 
| Isoquercitrin | Flavonoid | 
| Kaempferol | Flavonoid | 
| Quercetin | Flavonoid | 
| Gallocatechin | Flavonoid | 
| Epi-gallocatechin | Flavonoid | 
| (+)-catechin | Flavonoid | 
| p-hydroxybenzoic acid | Phenolic acid | 
| Vanillic acid | Phenolic acid | 
| Bergenin | Polyphenol | 
| Glucogallin | Polyphenol | 
| Corilagin | Polyphenol | 
| Compound | mg/kg | 
|---|---|
| Caffeic acid glucoside | 38.51 ± 1.20 | 
| p-Coumaroyl glucose | 21.40 ± 0.92 | 
| Caffeic acid | 83.01 ± 1.56 | 
| p-Coumaric acid | 27.82 ± 0.81 | 
| Ferulic acid | 19.40 ± 0.67 | 
| Verbascoside | 146.86 ± 3.14 | 
| Verminoside | 473.88 ± 5.37 | 
| Specioside | 44.39 ± 0.70 | 
| Minecoside | 12.98 ± 0.43 | 
| Disclaimer/Publisher’s Note: The statements, opinions and data contained in all publications are solely those of the individual author(s) and contributor(s) and not of MDPI and/or the editor(s). MDPI and/or the editor(s) disclaim responsibility for any injury to people or property resulting from any ideas, methods, instructions or products referred to in the content. | 
© 2023 by the authors. Licensee MDPI, Basel, Switzerland. This article is an open access article distributed under the terms and conditions of the Creative Commons Attribution (CC BY) license (https://creativecommons.org/licenses/by/4.0/).
Share and Cite
Souleymane, H.D.; Djibo, A.K.; Seyni, S.H.; Zakaria, O.; Botezatu, A.V.; Dinica, R.M.; Ibrahim Maman Laouali, A.; Kouakou, N.D.V. Phytochemical Characterization and In Vitro Evaluation of the Anti-Sickle Cell Activity of Aqueous and Ethanolic Extracts of Two Medicinal Plants from Niger: Flueggea virosa (Roxb. ex Willd.) Royle and Kigelia africana (Lam.) Benth. Plants 2023, 12, 3522. https://doi.org/10.3390/plants12203522
Souleymane HD, Djibo AK, Seyni SH, Zakaria O, Botezatu AV, Dinica RM, Ibrahim Maman Laouali A, Kouakou NDV. Phytochemical Characterization and In Vitro Evaluation of the Anti-Sickle Cell Activity of Aqueous and Ethanolic Extracts of Two Medicinal Plants from Niger: Flueggea virosa (Roxb. ex Willd.) Royle and Kigelia africana (Lam.) Benth. Plants. 2023; 12(20):3522. https://doi.org/10.3390/plants12203522
Chicago/Turabian StyleSouleymane, Harouna Dieté, Alfa Keita Djibo, Sabo Haoua Seyni, Ousseini Zakaria, Andreea Veronica Botezatu, Rodica Mihaela Dinica, Adamou Ibrahim Maman Laouali, and N’goran David Vincent Kouakou. 2023. "Phytochemical Characterization and In Vitro Evaluation of the Anti-Sickle Cell Activity of Aqueous and Ethanolic Extracts of Two Medicinal Plants from Niger: Flueggea virosa (Roxb. ex Willd.) Royle and Kigelia africana (Lam.) Benth" Plants 12, no. 20: 3522. https://doi.org/10.3390/plants12203522
APA StyleSouleymane, H. D., Djibo, A. K., Seyni, S. H., Zakaria, O., Botezatu, A. V., Dinica, R. M., Ibrahim Maman Laouali, A., & Kouakou, N. D. V. (2023). Phytochemical Characterization and In Vitro Evaluation of the Anti-Sickle Cell Activity of Aqueous and Ethanolic Extracts of Two Medicinal Plants from Niger: Flueggea virosa (Roxb. ex Willd.) Royle and Kigelia africana (Lam.) Benth. Plants, 12(20), 3522. https://doi.org/10.3390/plants12203522
 
        



 
       