Echinops spinosissimus Turra Root Methanolic Extract: Characterization of the Bioactive Components and Relative Wound Healing, Antimicrobial and Antioxidant Properties
Abstract
1. Introduction
2. Results and Discussion
2.1. Phenolic Profile
2.2. Total Phenolic, Flavonoid and Condensed Tannin Content
2.3. Antioxidant Activity
2.4. Antimicrobial Activity
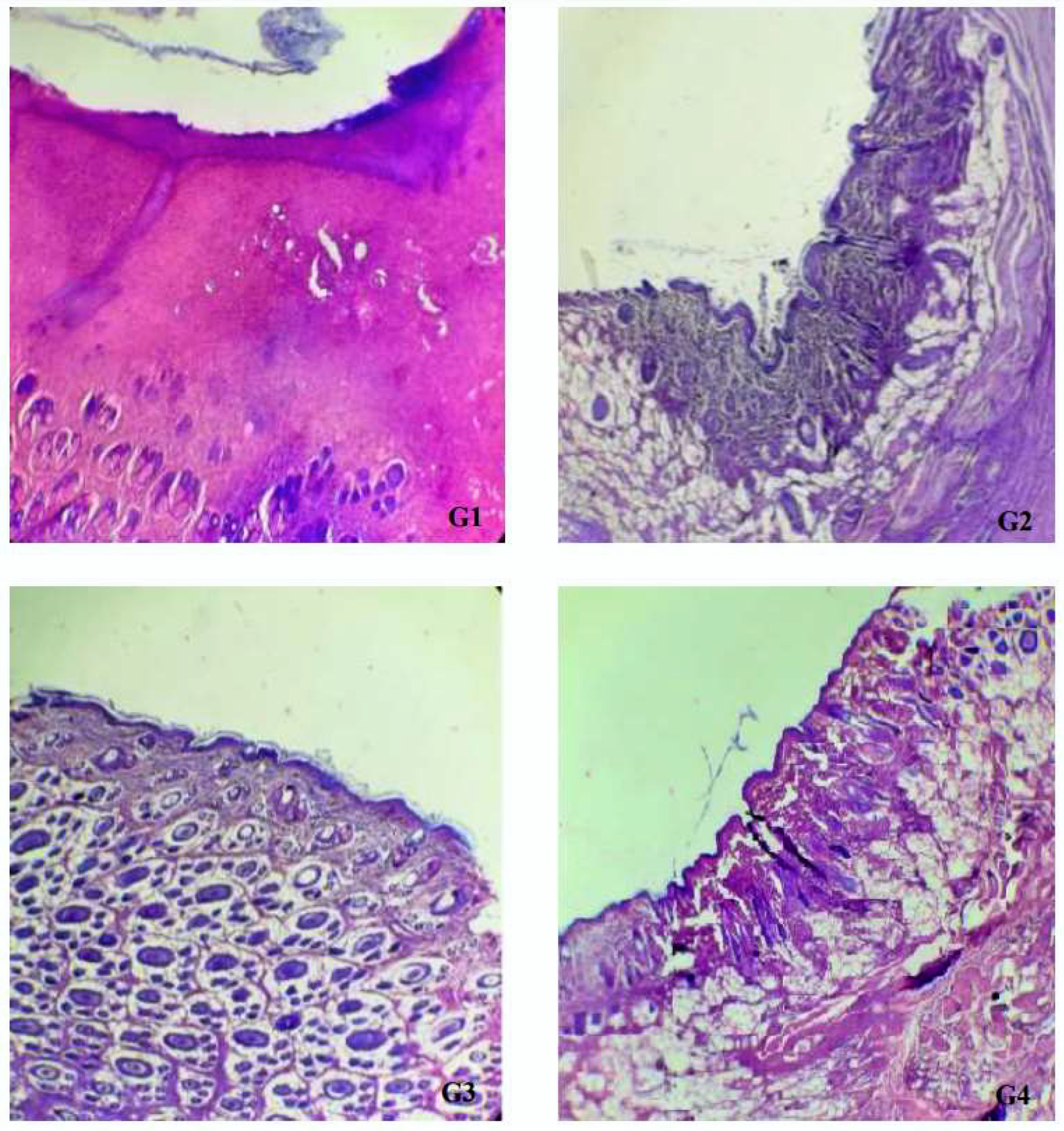
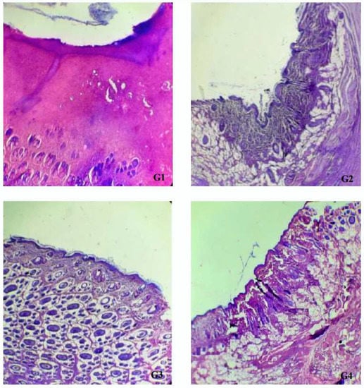
2.5. Wound-Healing Activity
3. Materials and Methods
3.1. Plant Material and Extraction Method
3.2. Phenolic Profiling by HPLC-PDA-ESI-MS
3.3. Total Phenolic Content
3.4. Total Flavonoid Contents
3.5. Condensed Tannin Content
3.6. Total Antioxidant Capacity
3.7. DPPH Assay
3.8. Antimicrobial Activity
3.8.1. Agar Disc Diffusion Method
3.8.2. MIC Determination
3.9. In Vivo Wound Healing Activity
3.10. Statistical Analysis
4. Conclusions
Author Contributions
Funding
Institutional Review Board Statement
Acknowledgments
Conflicts of Interest
Abbreviations
| DPPH | 2,2-Diphényl-1- Picrylhydrazyl |
| HPLC-PDA-ESI-MS | High-Performance Liquid Chromatography Photo Diode Array Mass Spectrometry. |
| IC50 | Inhibition Concentration 50 |
| MIC | Minimum Inhibitory Concentration |
| MEO | Methanolic Extract Ointment. |
| TAC | Total Antioxidant Capacity |
References
- Funk, V.A.; Bayer, R.J.; Keeley, S.; Chan, R.; Watson, L.; Gemeinholzer, B.; Schilling, E.; Panero, J.L.; Baldwin, B.G.; Garcia-Jacas, N.; et al. Everywhere but Antarctica: Using a supertree to understand the diversity and distribution of the Compositae. Biol. Skr. 2005, 55, 343–373. [Google Scholar]
- African Plant Database. Version 3.4.0. Conservatoire et Jardin botaniques de la Ville de Genève and South African National Biodiversity Institute, Pretoria. 2020. Available online: http://www.ville-ge.ch/musinfo/bd/cjb/africa/details.php?Langue=fr&id=137404 (accessed on 15 August 2020).
- The Plant List. Version 1.1. Jardins Botaniques Royaux de Kew et le Jardin Botanique du Missouri. 2020. Available online: http://www.theplantlist.org/ (accessed on 16 August 2020).
- Quezel, P.; Santa, S. Nouvelle Flore de l’Algérie et des Régions Désertiques Méridionale; Tome II; CNRS Editions: Paris, France, 1963; p. 995. [Google Scholar]
- Fokialakis, N.; Osbrink, W.L.; Mamonov, L.K.; Gemejieva, N.G.; Mims, A.B.; Skaltsounis, A.L.; Cantrell, C.L. Antifeedant and toxicity effects of thiophenes from four Echinops species against the Formosan subterranean termite, Coptotermes formosanus. Pest Manag. Sci. 2006, 62, 832–838. [Google Scholar] [CrossRef] [PubMed]
- Dong, M.; Cong, B.; Yu, S.H.; Sauriol, F.; Huo, C.H.; Shi, Q.W.; GU, Y.; Zamir, L.; Kiyota, H. Echinopines A and B: Sesquiterpenoids possessing an unprecedented skeleton from Echinops spinosus. Org. Lett. 2008, 10, 701–704. [Google Scholar] [CrossRef] [PubMed]
- Ni, Z.Y.; Nagashima, Y.; Zhang, M.L.; Wang, Y.F.; Dong, M.; Sauriol, F.; Huo, C.H.; Shi, Q.W.; Gu, Y.C.; Kiyota, H. 11-Hydroxyisocom-2-en-5-one, a new sesquiterpenoid from Echinops spinosissimus. Chem. Nat. Compd. 2013, 49, 632–634. [Google Scholar] [CrossRef]
- Halim, A.F.; Afify, M.S.; Ahmed, A.F.; Mira, A.S. The Fact About Echinopsine and First Isolation Of Echinorine from Echinops spinosus L. J. Environ. Sci. 2011, 40, 173–181. [Google Scholar]
- Ibrahim, H.; Moaty, A. Chemical constituents of Echinops spinosissimus Turra. Int. J. Adv. Res. 2016, 4, 1129–1136. [Google Scholar]
- Boumaraf, M.; Benyahia, S.; Mekkiou, R.; Benayache, S.; Benayache, F. Flavonoids from ethyl acetate extract of Echinops spinosus (Asteraceae). Der Pharma Chem. 2016, 8, 158–160. [Google Scholar]
- Bouattour, E.; Fakhfakh, J.; Frikha Dammak, D.; Jabou, K.; Damak, M.; Mezghani Jarraya, R. Hexane extract of Echinops spinosissimus Turra subsp. spinosus from Tunisia: A potential source of acetylated sterols–investigation of its Biological Activities. Chem. Biodivers. 2016, 13, 1674–1684. [Google Scholar] [CrossRef]
- Bouattour, E.; Fakhafakh, J.; Affes, M.; Chawech, R.; Damak, M.; Jarray, R. Chemical constituents of Echinops spinosus from Tunisia. Chem. Nat. Coump. 2017, 5, 984–987. [Google Scholar] [CrossRef]
- Tsafantakis, N.; Zelianeos, K.; Termentzi, A.; Vontzalidou, A.; Aligiannis, N.; Fokialakis, N. Triterpenes from Echinops spinosissimus Turra subsp. spinosissimus. Phytochem. Lett. 2019, 30, 273–277. [Google Scholar] [CrossRef]
- Singh, R.P.; Pandey, V.B. Further flavonoids of Echinops niveus. Fitoterapia 1994, 65, 374. [Google Scholar]
- Singh, S.; Upadhyay, R.K.; Pandey, M.B.; Singh, J.P.; Pandey, V.B. Flavonoids from Echinops echinatus Note. J. Asian Nat. Prod. Res. 2006, 8, 197–200. [Google Scholar] [CrossRef] [PubMed]
- Senejoux, F.; Demougeot, C.; Karimov, U.; Muyard, F.; Kerram, P.; Aisa, H.A.; Girard-Thernier, C. Chemical constituents from Echinops integrifolius. Biochem. Syst. Ecol. 2013, 47, 42–44. [Google Scholar] [CrossRef]
- Kiyekbayeva, L.; Mohamed, N.M.; Yerkebulan, O.; Mohamed, E.I.; Ubaidilla, D.; Nursulu, A.; Ross, S.A. Phytochemical constituents and antioxidant activity of Echinops Albicaulis. Nat. Prod. Res. 2018, 32, 1203–1207. [Google Scholar] [CrossRef] [PubMed]
- Kheder, O.; Moussaoui, Y.; Bensalem, R. Solvent effects on phenolic contents and antioxidant activities of the Echinops spinosus and the Limoniastrum Monopeltatum. Res. J. Pharm. Biol. Chem. Sci. 2014, 5, 66–76. [Google Scholar]
- Gheffour, K.; Boucherit, K.; Boucherit-Otmani, Z. Etude phytochimique et évaluation de l’activité antioxydante des extraits d’Echinops spinosus. Rev. Phytother. 2015, 13, 288–294. [Google Scholar] [CrossRef]
- Al-Harbi, K.B.; El-Tigani-Asil, E.A.; Ahmed, A.F.; El-Ashmawy, I.M.; Al-Wabel, N.A. Wound healing potential of methanolic extracts of some plants native to Al Qassim Region, Saudi Arabia. J. Food Agri. Environ. 2016, 14, 3–4. [Google Scholar]
- Samir, H.; Abbas, M.S.; Soliman, A.S.; Lotfy, R.A. Phytochemical Screening, Antioxidant and Cytotoxic Activities Of Some Plants Species Derived from The Northwestern Coast of Egypt. Res. J. Pharm. Biol. Chem. Sci. 2018, 9, 82–94. [Google Scholar]
- Dammak, D.F.; Saad, H.B.; Bouattour, E.; Boudawara, O.; Jarraya, R.M. Improvement on high-cholesterol diet-induced atherosclerosis, lipid profile, oxidative stress and genotoxicity in the liver of mice by Echinops spinosissimus Turra subsp. spinosus. J. Health Popul. Nutr. 2020. [Google Scholar] [CrossRef]
- Bouba, A.; Njintang, Y.N.; Scher, J.; Mbofung, C.M.F. Phenolic compounds and radical scavenging potential of twenty Cameroonian spices. Agric. Biol. J. N. Am. 2010, 1, 213–224. [Google Scholar] [CrossRef]
- Erenler, R.; Yilmaz, S.; Aksit, H.; Sen, O.; Genc, N.; Elmastas, M.; Demirtas, I. Antioxidant activities of chemical constituents isolated from Echinops orientalis Trauv. Rec. Nat. Prod. 2014, 8, 32. [Google Scholar]
- Mustoe, T. Understanding chronic wounds: A unifying hypothesis on their pathogenesis and implications for therapy. Am. J. Surg. 2004, 187, S65–S70. [Google Scholar] [CrossRef] [PubMed]
- Rahman, S.A.; Abd-Ellatif, S.A.; Deraz, S.F.; Khalil, A.A. Antibacterial activity of some wild medicinal plants collected from western Mediterranean coast, Egypt: Natural alternatives for infectious disease treatment. Afr. J. Biotechnol. 2011, 10, 10733–10743. [Google Scholar]
- Abdallah Emad, M.; El-Ghazali Gamal, E. Screening for antimicrobial activity of some plants from Saudi folk medicine. Glob. J. Res. Med. Plants Indigen. Med. 2013, 2, 210–218. [Google Scholar]
- El-Mergawi, R.A.; Ibrahim, G.; Al-Humaid, A. Screening for Antifungal Potential of Plant Extracts of Fifteen Plant Species against Four Pathogenic Fungi Species. Gesunde Pflanz. 2018, 70, 217–224. [Google Scholar] [CrossRef]
- Gouda, Y.G.; Abdallah, Q.M.; Elbadawy, M.F.; Basha, A.A.; Alorabi, A.K.; Altowerqe, A.S.; Mohamed, K.M. Cytotoxic and antimicrobial activities of some Compositae plants growing in Taif area, Saudi Arabia. Int. J. Pharm. Sci. Invent. 2014, 3, 43–48. [Google Scholar]
- Mothana, R.A.; Kriegisch, S.; Harms, M.; Wende, K.; Lindequist, U. Assessment of selected Yemeni medicinal plants for their in vitro antimicrobial, anticancer, and antioxidant activities. Pharm. Biol. 2011, 49, 200–210. [Google Scholar] [CrossRef] [PubMed]
- Kevin, K.; John, K.; Carolyn, N.; Derrick, S.; Lubega, A. In vitro antituberculosis activity of total crude extract of Echinops amplexicaulis against multi-drug resistant Mycobacterium tuberculosis. J. Health Sci. 2018, 6, 296–303. [Google Scholar]
- Wu, X.B.; Luo, X.Q.; Gu, S.Y.; Xu, J.H. The effects of Polygonum cuspidatum extract on wound healing in rats. J. Ethnopharmacol. 2012, 141, 934–937. [Google Scholar] [CrossRef]
- Kundu, A.; Ghosh, A.; Singh, N.K.; Singh, G.K.; Seth, A.; Maurya, S.K.; Laloo, D. Wound healing activity of the ethanol root extract and polyphenolic rich fraction from Potentilla fulgens. Pharm. Biol. 2016, 54, 2383–2393. [Google Scholar] [CrossRef]
- Suntar, I.P.; Akkol, E.K.; Yilmazer, D.; Baykal, T.; Kirmizibekmez, H.; Alper, M.; Yesilada, E. Investigations on the in vivo wound healing potential of Hypericum perforatum L. J. Ethnopharmacol. 2010, 127, 468–477. [Google Scholar] [CrossRef] [PubMed]
- Yeoh, S. The influence of iron and free radicals on chronic leg ulceration. Prim. Intent. 2000, 8, 47–56. [Google Scholar]
- Bessa, L.J.; Fazii, P.; Di Giulio, M.; Cellini, L. Bacterial isolates from infected wounds and their antibiotic susceptibility pattern: Some remarks about wound infection. Int. Wound J. 2015, 12, 47–52. [Google Scholar] [CrossRef] [PubMed]
- Souza, A.A.; Dias, N.A.A.; Piccoli, R.H.; Bertolucci, S.K.V. Determination of minimum bactericidal concentration of sixteen essential oils on enterotoxigenic Escherichia coli. Rev. Bras. De Plantas Med. 2016, 18, 105–112. [Google Scholar] [CrossRef][Green Version]
- Landis, S.J. Chronic wound infection and antimicrobial use. Adv. Ski. Wound Care 2008, 21, 531–540. [Google Scholar] [CrossRef]
- Houghton, P.J.; Hylands, P.J.; Mensah, A.Y.; Hensel, A.; Deters, A. In vitro tests and ethnopharmacological investigations: Wound healing as an example. J. Ethnopharmacol. 2005, 100, 100–107. [Google Scholar] [CrossRef]
- Trevisanato, S.I.; Kim, Y.I. Tea and health. Nutr. Rev. 2000, 58, 1–10. [Google Scholar] [CrossRef]
- Adhav, R.; Mantry, P.; Darwhekar, G.N. Wound healing medicinal plant of India: A Review. Int. J. Pharmacogn. 2015, 2, 6–10. [Google Scholar]
- Soni, H.; Singhai, A.K. A recent update of botanicals for wound healing activity. Int. Res. J. Pharm. 2012, 3, 1–7. [Google Scholar]
- Ambiga, S.; Narayanan, R.; Durga, G.; Sukumar, D.; Madhavan, S. Evaluation of wound healing activity of flavonoids from Ipomoea carnea Jacq. Anc. Sci. Life 2007, XXVI, 45–51. [Google Scholar]
- Clericuzio, M.; Tinello, S.; Burlando, B.; Ranzato, E.; Martinotti, S.; Cornara, L.; La Rocca, A. Flavonoid oligoglycosides from Ophioglossum vulgatum L. having wound healing properties. Planta Med. 2012, 78, 1639–1644. [Google Scholar] [CrossRef]
- Özay, Y.; Güzel, S.; Yumrutaş, Ö.; Pehlivanoğlu, B.; Erdoğdu, İ.H.; Yildirim, Z.; Darcan, S. Wound healing effect of kaempferol in diabetic and nondiabetic rats. J. Sur. Res. 2019, 233, 284–296. [Google Scholar] [CrossRef]
- Lee, J.-H.; Zhou, H.Y.; Cho, S.Y.; Kim, Y.S.; Lee, Y.S.; Jeong, C.S. Antiinflammatory mechanisms of apigenin: Inhibition of cyclooxygenase-2 expression, adhesion of monocytes to human umbilical vein endothelial cells, and expression of cellular adhesion molecules. Arch. Pharm. Res. 2007, 30, 1318–1327. [Google Scholar] [CrossRef] [PubMed]
- Wang, J.; Liu, Y.T.; Xiao, L.; Zhu, L.; Wang, Q.; Yan, T. Anti-inflammatory effects of apigenin in lipopolysaccharide-induced inflammatory in acute lung injury by suppressing COX-2 and NF-kB pathway. Inflammation 2014, 37, 2085–2090. [Google Scholar] [CrossRef] [PubMed]
- Zhang, X.; Wang, G.; Gurley, E.C.; Zhou, H. Flavonoid apigenin inhibits lipopolysaccharide-induced inflammatory response through multiple mechanisms in Macrophages. PLoS ONE 2014, 9, e107072. [Google Scholar] [CrossRef] [PubMed]
- El Shoubaky, G.A.; Abdel-Daim, M.M.; Mansour, M.H.; Salem, E.A. Isolation and identification of flavone apigenin from marine red alga Acanthophora spicifera with antinociceptive and anti-inflammatory activities. J. Exp. Neurosci. 2016, 10, 21–29. [Google Scholar] [CrossRef] [PubMed]
- Manivannan, R. Isolation of apigenin-7-O-(6″-OE-caffeoyl)-β-D-glucopyranoside from Leucas aspera L. with anti-inflammatory and wound healing activities. J. Pharm. Pharmacogn. Res. 2016, 4, 54–61. [Google Scholar]
- Choi, S.; Youn, J.; Kim, K.; Joo, D.H.; Shin, S.; Lee, J.; Ahn, K.J. Apigenin inhibits UVA-induced cytotoxicity in vitro and prevents signs of skin aging in vivo. Int. J. Mol. Med. 2016, 38, 627–634. [Google Scholar] [CrossRef]
- Dorjsembe, B.; Lee, H.J.; Kim, M.; Dulamjav, B.; Jigjid, T.; Nho, C.W. Achillea asiatica extract and its active compounds induce cutaneous wound healing. J. Ethnopharmacol. 2017, 206, 306–314. [Google Scholar] [CrossRef]
- Tu, F.; Pang, Q.; Chen, X.; Huang, T.; Liu, M.; Zhai, Q. Angiogenic effects of apigenin on endothelial cells after hypoxia-reoxygenation via the caveolin-1 pathway. Int. J. Mol. Med. 2017, 40, 1639–1648. [Google Scholar] [CrossRef]
- Che Zain, M.S.; Lee, S.Y.; Sarian, M.N.; Fakurazi, S.; Shaari, K. In Vitro Wound Healing Potential of Flavonoid C-Glycosides from Oil Palm (Elaeis guineensis Jacq.) Leaves on 3T3 Fibroblast Cells. Antioxidants 2020, 9, 326. [Google Scholar] [CrossRef] [PubMed]
- Youssef, F.; Ashour, M.; Ebada, S.; Sobeh, M.; El-Beshbishy, H.; Singab, A.; Wink, M. Antihyperglycaemic activity of the methanol extract from leaves of Eremophila maculata (Scrophulariaceae) in streptozotocin-induced diabetic rats. J. Pharm. 2017, 69, 733–742. [Google Scholar] [CrossRef] [PubMed]
- Munekata, P.; Franco, D.; Trindade, M.; Lorenzo, J. Characterization of phenolic composition in chestnut leaves and beer residue by LC-DAD-ESI-MS. LWT—Food Sci. Technol. 2016, 68, 52–58. [Google Scholar] [CrossRef]
- Singleton, V.L.; Rossi, J.A. Colorimetry of total phenolics with phosphomolybdic-phosphotungstic acid reagents. Am. J. Enol. Vitic. 1965, 16, 144–158. [Google Scholar]
- Zhishen, J.; Mengcheng, T.; Jianming, W. The determination of flavonoid contents in mulberry and their scavenging effects on superoxide radicals. Food Chem. 1999, 64, 555–559. [Google Scholar] [CrossRef]
- Julkunen-Tiitto, R. Phenolic constituents in the leaves of northern willows: Methods for the analysis of certain phenolics. J. Agric. Food Chem. 1985, 33, 213–217. [Google Scholar] [CrossRef]
- Prieto, P.; Pineda, M.; Aguilar, M. Spectrophotometric quantitation of antioxidant capacity through the formation of a phosphomolybdenum complex: Specific application to the determination of vitamin E. Anal. Biochem. 1999, 269, 337–341. [Google Scholar] [CrossRef] [PubMed]
- Sánchez-Moreno, C.; Larrauri, J.A.; Saura-Calixto, F. A procedure to measure the antiradical efficiency of polyphenols. J. Sci. Food Agric. 1998, 76, 270–276. [Google Scholar] [CrossRef]
- NCCLS. National Committee for Clinical Laboratory Standards. M100-S11; Performance Standards for Antimicrobial Susceptibility Testing: Eleventh Informational Supplement. NCCLS: Wayne, PA, USA, 2001. [Google Scholar]
- CLSI. M02-A12; Performance Standards for Antimicrobial Disk Susceptibility Tests. Approved Standardtwelfth Edition. CLSI Document. Clinical and Laboratory Standards Institute: Wayne, PA, USA, 2015. [Google Scholar]
- Vitali, L.A.; Beghelli, D.; Nya, P.C.B.; Bistoni, O.; Cappellacci, L.; Damiano, S.; Lupidi, G.; Maggi, F.; Orsomando, G.; Papa, F.; et al. Diverse biological effects of the essential oil from Iranian Trachyspermum ammi. Arab. J. Chem. 2016, 9, 775–786. [Google Scholar] [CrossRef]
- Prasad, A.; Sedlářová, M.; Kale, R.S.; Pospíšil, P. Lipoxygenase in singlet oxygen generation as a response to wounding: In vivo imaging in Arabidopsis thaliana. Sci. Rep. 2017, 7, 1–10. [Google Scholar] [CrossRef]
- Saiah, H.; Mokhtar, M.; Saiah, W.; Aichouni, A.; EL Kebir, F.Z.; Allem, R. In vivo wound healing potential and HPLC-PDA-ESI-MS profiling of Zizyphus lotus L. (Desf.) leaves methanol extract. J. Food Biochem. 2018, 42, e12570. [Google Scholar] [CrossRef]
- Nayak, B.S.; Sandiford, S.; Maxwell, A. Evaluation of the wound-healing activity of ethanolic extract of Morinda citrifolia L. leaf. Evid.-Based Complement Altern. Med. 2009, 6, 351–356. [Google Scholar] [CrossRef] [PubMed]
- Nagesh, H.; Basavanna, P.; Kishore, M. Evaluation of wound healing activity of ethanolic extract of Azadirachta indica leaves on incision and excision wound models in Wistar albino rats. Int. J. Basic Clin. Pharmacol. 2015, 4, 1178–1182. [Google Scholar] [CrossRef]
- Gutierrez, R.; Vargas, S. Evaluation of the wound healing properties of Acalypha langiana in diabetic rats. Fitoterapia 2006, 77, 286–289. [Google Scholar] [CrossRef] [PubMed]
- Garros, I.D.C.; Campos, A.C.L.; Tâmbara, E.M.; Tenório, S.B.; Torres, O.J.M.; Agulham, M.Â.; Arruda, E.C.D.M. Extrato de Passiflora edulis na cicatrização de feridas cutâneas abertas em ratos: Estudo morfológico e histológico. Acta Cir. Bras. 2006, 21, 55–65. [Google Scholar] [CrossRef] [PubMed]





| Peak Number | Rt (min) | UV (λ max) | Molecular Ion [M-H]–(m/z) | Identified Compound |
|---|---|---|---|---|
| 1 | 31.020 | 201–327 | 353 | Chlorogenic acid |
| 2 | 33.064 | 273 | 149 | Cinnamic acid |
| 3 | 33.607 | 271–335 | 593–271 | Apigenin-6,8-glucoside |
| 4 | 34.498 | 271–333 | 431–271 | Apigenin 7-O-glucoside |
| 5 | 35.310 | 272–334 | 431 | Apigenin-8-C-glucoside |
| 6 | 36.627 | 271–332 | 431–283 | Apigenin-6-C-glucoside |
| 7 | 37.369 | 268–295–315 | 739–285 | Kaempferol p-coumaroyl-diglycosided |
| 8 | 38.709 | 273–322 | 757 | Eriodictyol-4’-O-neohesperidoside-7-O-glucoside |
| 9 | 41.595 | 269–299–327 | 295 | Caffeic acid derivative |
| 10 | 42.082 | 269–296–349 | 463 | Quercetin-3-galactoside |
| 11 | 45.436 | 269–327 | 785–285 | Kaempferol 3-O-acyldiglycoside |
| 12 | 46.336 | 268–332 | 269 | Apigenin |
| 13 | 57.204 | 295–344 | 623 | Isorhamnetin-3-O-rutinoside |
| 14 | 66.645 | 197–275–315 | 901–285 | Kaempferol-7-O-rhamnosyl-glucoside |
| Total Phenolics (mg GAE/g DW) | Total Flavonoids (mg CE/g DW) | Condensed Tannins (mg CE/g DW) | TAC (mg AAE/g DW) | IC50 (DPPH) (mg/mL) | |
|---|---|---|---|---|---|
| Root methanolic extract | 95.31 ± 2.90 | 16.01 ± 0.16 | 8.30 ± 0.65 | 30.30 ± 0.54 | 7.99 ± 0.28 |
| Ascorbic Acid | / | / | / | / | 0.090 ± 0.002 |
| Concentration (mg/mL) | Inhibition Diameters (mm) | ||
|---|---|---|---|
| E. coli | P. aeruginosa | S. aureus | |
| 100 | 7 | 0 ± 0 | 0 ± 0 |
| 200 | 7 | 10.66 ± 0.58 | 0 ± 0 |
| 400 | 8 | 12.33 ± 0.58 | 0 ± 0 |
| Positive control | 27 ± 0.82 (Ticarciline) | 27.33 ± 0.47 (Ticarciline) | 34 ± 0.82 (Penicillin G) |
| MIC (mg/mL) | 50 ± 0 | 25 ± 0 | 25 ± 0 |
| Experimental Group | Wound Area (cm2) and Percentage of Wound Contraction | Epithelization Period (Days) | ||||
|---|---|---|---|---|---|---|
| Day 0 | Day 4 | Day 8 | Day 12 | Day 16 | ||
| Positive control (MEBO®) (G1) | 4.03 ± 0.70 *G3 | 3.43 ± 0.76 *G3 (15.33%) | 2.37 ± 0.40 *G3 (41.00%) | 0.56 ± 0.31 (86.50%) | 0.19 ± 0.12 (95.5%) | 11.50 ± 1.80 |
| Negative control (untreated group) (G2) | 3.82 ± 0.33 | 2.86 ± 0.48 (25.33%) | 2.13 ± 0.48 *G3 (44.17%) | 0.52 ± 0.53 (85.33%) | 0.19 ± 0.18 (94.67%) | 12.33 ± 1.88 |
| Ointment base control (G3) | 2.47 ± 0.36 *G1,G4,G2 | 2.13 ± 0.51 *G1,G4 (12.17%) | 1.41 ± 0.12 *G1,G2 (41.83%) | 0.23 ± 0.05 (90.17%) | 0.15 ± 0.09 (94.00%) | 11 ± 1 |
| MEO 2% (G4) | 3.56 ± 0.77 *G3 | 3.17 ± 0.42 *G3 (9.83%) | 2.11 ± 0.5 (40.83%) | 0.44 ± 0.12 (87.50%) | 0.17 ± 0.06 (95.00%) | 11.83 ± 1.07 |
Publisher’s Note: MDPI stays neutral with regard to jurisdictional claims in published maps and institutional affiliations. |
© 2022 by the authors. Licensee MDPI, Basel, Switzerland. This article is an open access article distributed under the terms and conditions of the Creative Commons Attribution (CC BY) license (https://creativecommons.org/licenses/by/4.0/).
Share and Cite
Zitouni-Nourine, S.H.; Belyagoubi-Benhammou, N.; El-Houaria Zitouni-Haouar, F.; Douahi, O.; Chenafi, F.; Fetati, H.; Chabane Sari, S.; Benmahieddine, A.; Zaoui, C.; Mekaouche, F.Z.N.; et al. Echinops spinosissimus Turra Root Methanolic Extract: Characterization of the Bioactive Components and Relative Wound Healing, Antimicrobial and Antioxidant Properties. Plants 2022, 11, 3440. https://doi.org/10.3390/plants11243440
Zitouni-Nourine SH, Belyagoubi-Benhammou N, El-Houaria Zitouni-Haouar F, Douahi O, Chenafi F, Fetati H, Chabane Sari S, Benmahieddine A, Zaoui C, Mekaouche FZN, et al. Echinops spinosissimus Turra Root Methanolic Extract: Characterization of the Bioactive Components and Relative Wound Healing, Antimicrobial and Antioxidant Properties. Plants. 2022; 11(24):3440. https://doi.org/10.3390/plants11243440
Chicago/Turabian StyleZitouni-Nourine, Saida Hanane, Nabila Belyagoubi-Benhammou, Fatima El-Houaria Zitouni-Haouar, Omar Douahi, Faouzia Chenafi, Habiba Fetati, Siham Chabane Sari, Assia Benmahieddine, Chahinez Zaoui, Fatima Zohra Nadjet Mekaouche, and et al. 2022. "Echinops spinosissimus Turra Root Methanolic Extract: Characterization of the Bioactive Components and Relative Wound Healing, Antimicrobial and Antioxidant Properties" Plants 11, no. 24: 3440. https://doi.org/10.3390/plants11243440
APA StyleZitouni-Nourine, S. H., Belyagoubi-Benhammou, N., El-Houaria Zitouni-Haouar, F., Douahi, O., Chenafi, F., Fetati, H., Chabane Sari, S., Benmahieddine, A., Zaoui, C., Mekaouche, F. Z. N., Atik Bekkara, F., Kambouche, N., Gismondi, A., & Toumi, H. (2022). Echinops spinosissimus Turra Root Methanolic Extract: Characterization of the Bioactive Components and Relative Wound Healing, Antimicrobial and Antioxidant Properties. Plants, 11(24), 3440. https://doi.org/10.3390/plants11243440

