Identification of Early Salt-Stress-Responsive Proteins in In Vitro Prunus Cultured Excised Roots
Abstract
1. Introduction
2. Results
2.1. Growth in Presence of Different Salt Concentrations
2.2. Proline Synthesis
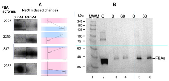
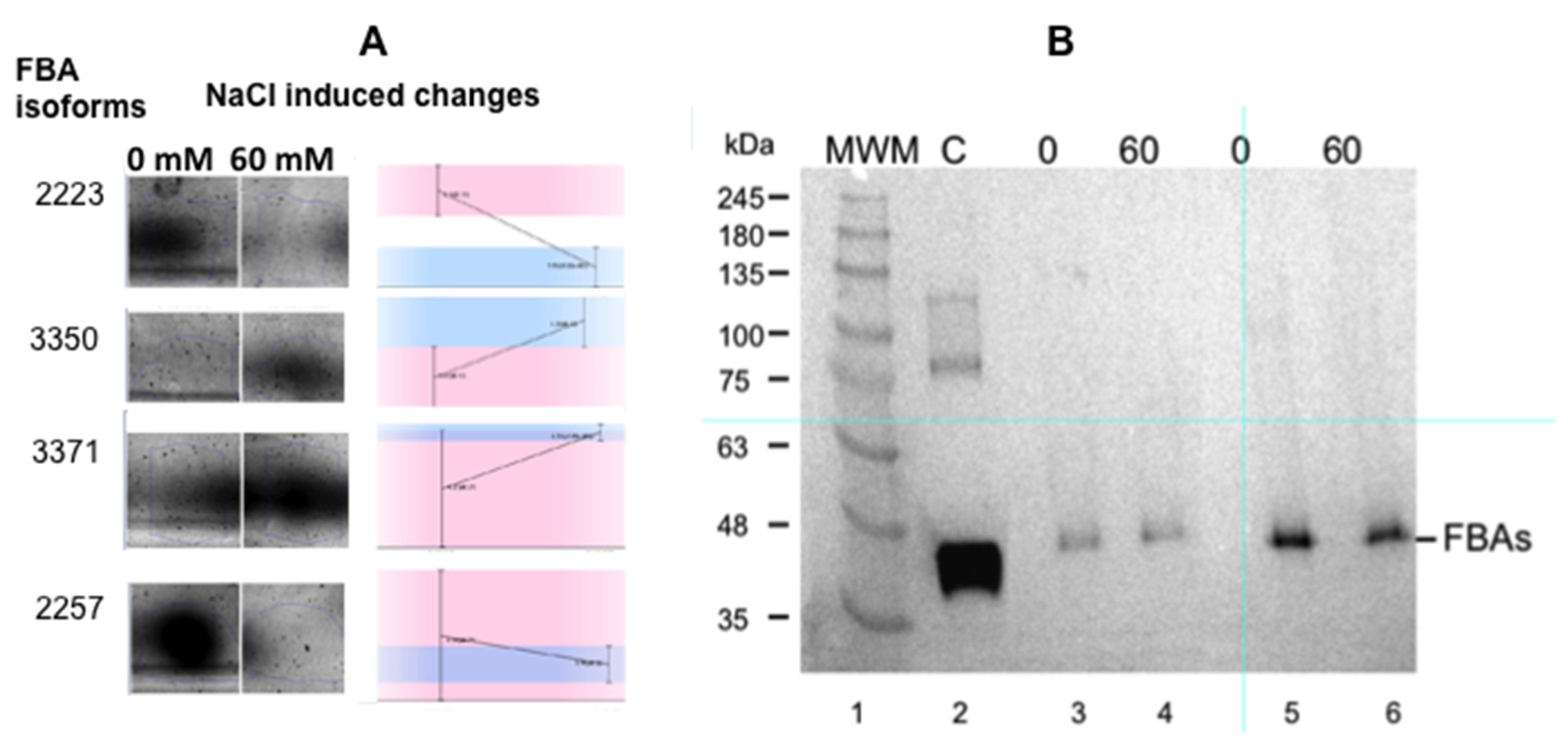
2.3. Identification of Differentially Expressed Proteins
3. Discussion
4. Materials and Methods
4.1. Plant Materials, Culture Media and Treatments
4.2. Proline Determination
4.3. Protein Extraction and Analytical Procedures
4.4. Protein Quantification and Analytical Procedures
4.5. D-Electrophoresis, Gel Image and Statistical Analysis
4.6. Protein Identification via MALDI TOF/TOF MS
5. Conclusions
Author Contributions
Funding
Data Availability Statement
Acknowledgments
Conflicts of Interest
Appendix A
| Protein or Related Pathway | Fold Change in This study | Increased | Decreased | |
|---|---|---|---|---|
| Fructose-bisphosphate aldolase cytoplasmic isoforms | 1.8 ↑ | 1.7 ↑ | [23,32,49] | [23,30] |
| 2.6 ↓ | 2.3 ↓ | |||
| Ferredoxin-NADP+ reductase, root isozyme, plastidial | 1.8 ↑ | [3,23] | ||
| D-3-phosphoglycerate dehydrogenase plastidial isoforms 1 | 1.5 ↑ | 1.6 ↓ | [50] | [50] |
| Formate dehydrogenase (mitochondrial) | 1.8 ↑ | [3] | ||
| (R)-mandelonitrile lyase 3 | 2.3 ↓ | [51] | ||
| S-adenosylmethionine synthase 5 | 1.6 ↑ | [3,52] | [3] | |
| Actin | 2.6 ↑ | [3,22] | [3] | |
| Glyceraldehyde-3-phosphate dehydrogenase | 1.5 ↑ | [3,36,53,54] | [22] | |
| Heat shock cognate 70 kDa protein 2-like | 1.8 ↑ | [55] | [54] | |
| V-type proton ATPase subunit B1 | 1.5 ↓ | [3,23,30] | ||
| E3 ubiquitin-protein ligase UPL4 isoform X1 | 2.5 ↓ | [3,23] | ||
| M20-dimer domain-containing protein → | 2.4 ↓ | [22] | ||
References
- Machado, R.M.A.; Serralheiro, R.P. Soil salinity: Effect on vegetable crop growth. management practices to prevent and mitigate soil salinization. Horticulturae 2017, 3, 30. [Google Scholar] [CrossRef]
- Munns, R.; Tester, M. Mechanisms of salinity tolerance. Annu. Rev. Plant Biol. 2008, 59, 651–681. [Google Scholar] [CrossRef]
- Zhao, Q.; Zhang, H.; Wang, T.; Chen, S.; Dai, S. Proteomics-based investigation of salt-responsive mechanisms in plant roots. J. Proteom. 2013, 8, 230–253. [Google Scholar] [CrossRef] [PubMed]
- Chourasia, K.N.; More, S.J.; Kumar, A.; Kumar, D.; Singh, B.; Bhardwaj, V.; Kumar, A.; Das, S.K.; Singh, R.K.; Zinta, G.; et al. Salinity responses and tolerance mechanisms in underground vegetable crops: An integrative review. Planta 2022, 255, 68. [Google Scholar] [CrossRef] [PubMed]
- Acharya, B.R.; Shandu, D.; Dueñas, C.; Dueñas, M.; Pudussery, M.; Kaundal, A.; Ferreira, J.-F.-S.; Suarez, D.L.; Skaggs, T. Morphologicasl, physiological, biochemical, and transcriptome studies reveal the importance of transporters and stress signalling pathways during salinity stress in Prunus. Sci. Rep. 2022, 12, 1274. [Google Scholar] [CrossRef]
- Marín, M.L.; Marín, J.A. Excised rootstock roots cultured in vitro. Plant Cell Rep. 1998, 18, 350–355. [Google Scholar] [CrossRef] [PubMed][Green Version]
- Marin, J.A.; Andreu, P.; Carrasco, A.; Arbeloa, A. Proline content in root tissues and root exudates as a response to salt stress of excised root cultures of prunus fruit tree rootstocks. ITEA 2009, 105, 282–290. [Google Scholar]
- Marín, J.A.; Andreu, P.; Carrasco, A.; Arbeloa, A. Determination of proline concentration, an abiotic stress marker, in root exudates of excised root cultures of fruit tree rootstocks under salt stress. Rev. Reg. Arid. 2010, 24, 722–727. [Google Scholar]
- Andreu, P.; Arbeloa, A.; Lorente, P.; Marín, J.A. Early Detection of salt stress tolerance of Prunus rootstocks by excised root culture. HortSci. Horts 2011, 46, 180–185. [Google Scholar] [CrossRef]
- Kotuby-Amacher, J.; Koenig, R.; Kitchen, B. Salinity and Plant Tolerance; AG-SO-03; Utah State University: Logan, UT, USA, 2000. [Google Scholar]
- Zhang, S.; Quartararo, A.; Betz, O.K.; Madahhosseini, S.; Heringer, A.S.; Le, T.; Shao, Y.; Caruso, T.; Ferguson, L.; Jernstedt, J.; et al. Root vacuolar sequestration and suberization are prominent responses of pistacia spp. rootstocks during salinity stress. Plant Direct 2021, 5, e00315. [Google Scholar] [CrossRef] [PubMed]
- Van der Linde, K.; Gutsche, N.; Leffers, H.M.; Lindermayr, C.; Müller, B.; Holtgrefe, S.; Scheibe, R. Regulation of plant cytosolic aldolase functions by redox-modifications. Plant Physiol. Biochem. 2011, 49, 946–957. [Google Scholar] [CrossRef] [PubMed]
- Mininno, M.; Brugiere, S.; Pautre, V.; Gilgen, A.; Ma, S.; Ferro, M.; Tardif, M.; Alban, C.; Ravanel, S. Characterization of chloroplastic fructose 1,6-bisphosphate aldolases as lysine-methylated proteins in plants. J. Biol. Chem. 2012, 287, 21034–21044. [Google Scholar] [CrossRef] [PubMed]
- Lu, W.; Tang, X.; Huo, Y.; Xu, R.; Qi, S.; Huang, J.; Zheng, C.; Wu, C.A. Identification and characterization of fructose 1,6-bisphosphate aldolase genes in arabidopsis reveal a gene family with diverse responses to abiotic stresses. Gene 2012, 503, 65–74. [Google Scholar] [CrossRef] [PubMed]
- Peng, Z.; He, S.; Sun, J.; Pan, Z.; Gong, W.; Lu, Y.; Du, X. Na+ Compartmentalization related to salinity stress tolerance in upland cotton (Gossypium hirsutum) Seedlings. Sci. Rep. 2016, 6, srep34548. [Google Scholar] [CrossRef] [PubMed]
- Damaris, R.N.; Li, M.; Liu, Y.; Chen, X.; Murage, H.; Yang, P. A Proteomic Analysis of Salt Stress Response in Seedlings of Two African Rice Cultivars. Biochim. Biophys. Acta (BBA)—Proteins Proteom. 2016, 1864, 1570–1578. [Google Scholar] [CrossRef]
- Dinneny, J.R. Developmental responses to water and salinity in root systems. Ann. Rev. Cell Develop. Biol. 2019, 35, 239–257. [Google Scholar] [CrossRef] [PubMed]
- Ghosh, D.; Xu, J. Abiotic stress responses in plant roots: A proteomics perspective. Front.Plant Sci. 2014, 5, 6. [Google Scholar] [CrossRef] [PubMed]
- Llanes, A.; Palchetti, M.V.; Vilo, C.; Ibañez, C. Molecular control to salt tolerance mechanisms of woody plants: Recent achievements and perspectives. Ann. For. Sci. 2021, 78, 96. [Google Scholar] [CrossRef]
- Pérez-Diez, J.; Batista-Silva, W.; Almada, R.; Medeiros, D.B.; Arrivault, S.; Correa, F.; Bastías, A.; Rojas, P.; Beltrán, M.F.; Pozo, M.F.; et al. Prunus Hexokinase 3 genes alter primary C-metabolism and promote drought and salt stress tolerance in Arabidopsos transgenic plants. Sci. Rep. 2021, 11, 7098. [Google Scholar] [CrossRef] [PubMed]
- Prinsi, B.; Failla, O.; Scienza, A.; Espen, L. Root proteomic analysis of two grapevine rootstock genotypes showing different susceptibility to salt stress. Int. J. Mol. Sci. 2020, 21, 1076. [Google Scholar] [CrossRef] [PubMed]
- Xiong, J.; Sun, Y.; Yang, Q.; Tian, H.; Zhang, H.; Liu, Y.; Chen, M. Proteomic analysis of early salt stress responsive proteins in alfalfa roots and shoots. Proteome Sci. 2017, 15, 19. [Google Scholar] [CrossRef] [PubMed]
- Sun, X.; Wang, Y.; Xu, L.; Li, C.; Zhang, W.; Luo, X.; Jiang, H.; Liu, L. Unraveling the root proteome changes and its relationship to molecular mechanism underlying salt stress response in radish (Raphanus sativus L.). Front. Plant Sci. 2017, 8, 1192. [Google Scholar] [CrossRef] [PubMed]
- Silveira, J.A.G.; Carvalho, F.E.L. Proteomics, photosynthesis and salt resistance in crops: An integrative view. J. Proteom. 2016, 143, 24–35. [Google Scholar] [CrossRef]
- Wang, X. Protein and Proteome atlas for plants under stresses: New Highlights and Ways for Integrated Omics in Post-Genomics Era. Int. J. Mol. Sci. 2019, 20, 5222. [Google Scholar] [CrossRef]
- Murad, A.M.; Molinari, H.B.; Magalhaes, B.S.; Franco, A.C.; Takahashi, F.S.; de Oliveira, N.G.; Franco, O.L.; Quirino, B.F. Physiological and proteomic analyses of Saccharum spp. grown under salt stress. PLoS ONE 2014, 9, e98463. [Google Scholar] [CrossRef]
- Gao, X.-H.; Li, L.; Parisien, M.; Wu, J.; Bederman, I.; Gao, Z.; Krokowski, D.; Chirieleison, S.M.; Abbott, D.; Wang, B. Discovery of a Redox Thiol Switch: Implications for Cellular Energy Metabolism. Mol. Cell. Proteom. 2020, 19, 852–870. [Google Scholar] [CrossRef]
- Chitteti, B.R.; Peng, Z. Proteome and phosphoproteome differential expression under salinity stress in rice (Oryza sativa) roots. J. Proteome Res. 2007, 6, 1718–1727. [Google Scholar] [CrossRef]
- Sobhanian, H.; Aghaei, K.; Komatsu, S. Changes in the plant proteome resulting from salt stress: Toward the creation of salt-tolerant crops? J. Proteom. 2011, 74, 1323–1337. [Google Scholar] [CrossRef]
- Huerta-Ocampo, J.A.; Barrera-Pacheco, A.; Mendoza-Hernández, C.S.; Espitia-Rangel, E.; Mock, H.P.; Barba de la Rosa, A.P. Salt stress-induced alterations in the root proteome of Amaranthus cruentus L. J. Proteome Res. 2014, 13, 3607–3627. [Google Scholar] [CrossRef]
- Vera-Estrella, R.; Barkla, B.J.; Pantoja, O. Comparative 2d-Dige analysis of salinity responsive microsomal proteins from leaves of salt-sensitive Arabidopsis thaliana and salt-tolerant Thellungiella salsuginea. J. Proteom. 2014, 111, 113–127. [Google Scholar] [CrossRef]
- Bai, J.; Liu, J.; Jiao, W.; Sa, R.; Zhang, N.; Jia, R. Proteomic analysis of salt-responsive proteins in oat roots (Avena sativa L.). J. Sci. Food Agric. 2016, 96, 3867–3875. [Google Scholar] [CrossRef] [PubMed]
- Paez-Valencia, J.; Valencia-Mayoral, P.; Sanchez-Gomez, C.; Contreras-Ramos, A.; Hernandez-Lucas, I.; Martinez-Barajas, E.; Gamboa-DeBuen, A. Identification of fructose-1,6-bisphosphate aldolase cytosolic class I as an Nmh7 mads domain associated protein. Biochem. Biophys. Res. Commun. 2008, 376, 700–705. [Google Scholar] [CrossRef] [PubMed]
- Barkla, B.J.; Vera-Estrella, R.; Hernández-Coronado, M.; Pantoja, O. Quantitative proteomics of the tonoplast reveals a role for glycolytic enzymes in salt tolerance. Plant Cell 2009, 21, 4044–4058. [Google Scholar] [CrossRef] [PubMed]
- Zhao, Z.; Zhang, G.; Zhou, S.; Ren, Y.; Wang, W. The improvement of salt tolerance in transgenic tobacco by overexpression of wheat f-box gene Tafba1. Plant Sci. 2017, 259, 71–85. [Google Scholar] [CrossRef]
- Wang, G.; Tian, C.; Wang, Y.; Wan, F.; Hu, L.; Xiong, A.; Tian, J. Selection of reliable reference genes for quantitative rt-pcr in garlic under salt stress. Peer J. 2019, 7, e7319. [Google Scholar] [CrossRef]
- Toujani, W.; Muñoz-Bertomeu, J.; Flores-Tornero, M.; Rosa-Téllez, S.; Anoman, A.D.; Alseekh, S.; Fernie, A.R.; Ros, R. Functional characterization of the plastidial 3-phosphoglycerate dehydrogenase family in Arabidopsis. Plant Physiol. 2013, 163, 1164–1178. [Google Scholar] [CrossRef]
- Wojtera-Kwiczor, J.; Gross, F.; Leffers, H.M.; Kang, M.; Schneider, M.; Scheibe, R. Transfer of a redox-signal through the cytosol by redox-dependent microcompartmentation of glycolytic enzymes at mitochondria and actin cytoskeleton. Front. Plant Sci. 2012, 3, 284. [Google Scholar] [CrossRef]
- Hachiya, T.; Ueda, N.; Kitagawa, M.; Hanke, G.; Suzuki, A.; Hase, T.; Sakakibara, H. Arabidopsis Root-Type Ferredoxin:NADP(H) Oxidoreductase 2 is Involved in Detoxification of Nitrite in Roots. Plant Cell Physiol. 2016, 57, 2440–2450. [Google Scholar] [CrossRef]
- Aliverti, A.; Pandini, V.; Pennati, A.; de Rosa, M.; Zanetti, G. Structural and Functional diversity of ferredoxin-Nadp(+) reductases. Archiv. Biochem. Biophys. 2008, 474, 283–291. [Google Scholar] [CrossRef]
- Kozuleva, M.; Goss, T.; Twachtmann, M.; Rudi, K.; Trapka, J.; Selinski, J.; Ivanov, B.; Prashanth, G.; Steinhoff, H.J.; Hase, T.; et al. Ferredoxin:Nadp(H) Oxidoreductase abundance and location influences redox poise and stress tolerance. Plant Physiol. 2016, 172, 1480–1493. [Google Scholar] [CrossRef]
- Andreu, P.; Marín, J.A. In vitro culture establishment and multiplication of the Prunus rootstock ‘Adesoto 101′(P. insititia L.) as affected by the type of propagation of the donor plant and by the culture medium composition. Sci. Hortic 2005, 106, 258–267. [Google Scholar] [CrossRef]
- Murashige, T.; Skoog, F. A revised medium for rapid growth and bio assays with tobacco tissue cultures. Physiol. Plant. 1962, 15, 473–497. [Google Scholar] [CrossRef]
- Bates, L.S.; Waldren, R.P.; Teare, I.D. Rapid determination of free proline for water-stress studies. Plant Soil 1973, 39, 205–207. [Google Scholar] [CrossRef]
- Towbin, H.; Staehelin, T.; Gordon, J. Electrophoretic transfer of proteins from polyacrylamide gels to nitrocellulose sheets: Procedure and some applications. Proc. Natl. Acad. Sci. USA 1979, 76, 4350–4354. [Google Scholar] [CrossRef]
- Hernandez, J.A.; Bes, M.T.; Fillat, M.F.; Neira, J.L.; Peleato, M.L. Biochemical analysis of the recombinant Fur (Ferric Uptake Regulator) protein from Anabaena Pcc 7119: Factors affecting its oligomerization state. Biochem. J. 2002, 366, 315–322. [Google Scholar] [CrossRef]
- Sancho, J.; Peleato, M.L.; Gomezmoreno, C.; Edmondson, D.E. Purification and Properties of Ferredoxin-Nadp+ Oxidoreductase from the Nitrogen-Fixing Cyanobacteria Anabaena-Variabilis. Archiv. Biochem. Biophys. 1980, 260, 200–207. [Google Scholar] [CrossRef]
- Krawitzky, M.; Orera, I.; Lopez-Millan, A.F.; Oria, R.; Val, J. Identification of bitter pit protein markers in Malus domestica using differential in-gel electrophoresis (Dige) and Lc–Ms/Ms. Postharvest Biol. Technol. 2016, 111, 224–239. [Google Scholar] [CrossRef]
- Fan, W.; Zhang, Z.; Zhang, Y. Cloning and molecular characterization of Fructose-1,6-Bisphosphate Aldolase gene regulated by high-salinity and drought in Sesuvium portulacastrum. Plant Cell Rep. 2009, 28, 975–984. [Google Scholar] [CrossRef]
- Kunihide, K.; Tsutsumi, K.; Rai, V.; Theerawitaya, C.; Cha-Um, S.; Yamada-Kato, N.; Sakakibara, S.; Tanaka, Y.; Takabe, T. Isolation and Functional characterization of 3-Phosphoglycerate Dehydrogenase involved in salt responses in sugar beet. Protoplasma 2017, 254, 2305–2313. [Google Scholar]
- Sarhadi, E.; Bazargani, M.M.; Sajise, A.G.; Abdolahi, S.; Vispo, N.A.; Arceta, M.; Nejad, G.M.; Singh, R.K.; Salekdeh, G.H. Proteomic analysis of rice anthers under salt stress. Plant Physiol. Biochem. 2012, 58, 280–287. [Google Scholar] [CrossRef]
- Zhang, X.; Bao, Z.; Gong, B.; Shi, Q. S-Adenosylmethionine synthetase 1 confers drought and salt tolerance in transgenic tomato. Environ. Exp. Bot. 2020, 179, 104226. [Google Scholar] [CrossRef]
- Yuan, H.; Cai, L.; Wang, P.; Sun, B.; Xu, S.; Xia, B.; Wang, R. Molecular cloning and functional characterization of a Glyceraldehyde-3-Phosphate Dehydrogenase gene from Spartina alterniflora reveals its involvement in salt stress response. Acta Physiol. Plant. 2019, 41, 127. [Google Scholar] [CrossRef]
- Liu, Y.; Yan, C.; Song, Z.; Zhou, S. Comparative proteomic analysis of two manilkara species leaves under NaCl stress. Iran. J. Biotech. 2019, 17, e2219. [Google Scholar] [CrossRef] [PubMed]
- Kumari, A.; Das, P.; Parida, A.K.; Agarwal, P.K. Proteomics, metabolomics, and ionomics perspectives of salinity tolerance in halophytes. Front. Plant Sci. 2015, 6, 537. [Google Scholar] [CrossRef]




| Masto de Montañana | 0 mM NaCl | 60 mM NaCl | % of Control (0 mM) |
|---|---|---|---|
| FW (g) | 0.6279 ± 0.0137 | 0.2911 ± 0.0127 (***) | 46.36 |
| Proline µmol/g | 0.7068 ± 0.015 | 2.7634 ± 0.084 (***) | 390.97 |
| FW | Df | Sum Sq | Mean Sq | F value | Pr (>F) | |
|---|---|---|---|---|---|---|
| NaCl | 1 | 0.17008 | 0.17008 | 325.2 | 5.56 × 10−5 | *** |
| Residuals | 4 | 0.00209 | 0.00052 | |||
| Proline | ||||||
| NaCl | 1 | 6.344 | 6.344 | 580.9 | 1.76 × 10−5 | *** |
| Residuals | 4 | 0.044 | 0–011 |
| Spot No | Protein Identification | Fold Change | Functional Category and Biological Function | ANOVA (p) |
|---|---|---|---|---|
| 3350 | Fructose-bisphosphate aldolase cytoplasmic isozyme | 1.8 ↑ | Carbon metabolism; energy metabolism | 0.013 |
| 2223 | Fructose-bisphosphate aldolase cytoplasmic isozyme | 2.3 ↓ | Carbon metabolism; energy metabolism | 0.002 |
| 3371 | Fructose-bisphosphate aldolase cytoplasmic isozyme | 1.7 ↑ | Carbon metabolism; energy metabolism | 0.045 |
| 1713 | D-3-phosphoglycerate dehydrogenase isozyme plastidial 1 | 1.5 ↑ | Amino acid metabolism | 0.041 |
| 3366 | Formate dehydrogenase (mitochondrial) | 1.8 ↑ | Carbon metabolism | 0.041 |
| 1231 | (R)-mandelonitrile lyase 3 | 2.3 ↓ | Stress responses; signalling | 0.050 |
| 3413 | Ferredoxin-NADP+ reductase, root isozyme, plastidial | 1.8 ↑ | Energy metabolism; electron transport | 0.2 |
| 2038 | S-adenosylmethionine synthase 5 | 1.6 ↑ | Metabolism; cysteine and methionine metabolism | 0.1 |
| 2066 | Actin | 2.6 ↑ | Cytoskelelum | 0.4 |
| 2224 | Glyceraldehyde-3-phosphate dehydrogenase | 1.5 ↑ | Carbon metabolism; energy metabolism | 0.1 |
| 2257 | Fructose-bisphosphate aldolase cytoplasmic isozyme | 2.6 ↓ | Carbon metabolism; energy metabolism | 0.2 |
| 3358 | Heat shock cognate 70 kDa protein 2-like | 1.8 ↑ | Stress responses; signalling; spliceosome | 0.1 |
| 3407 | V-type proton ATPase subunit B1 | 1.5 ↓ | Energy metabolism; transport | 0.1 |
| 2552 | E3 ubiquitin-protein ligase UPL4 isoform X1 | 2.5 ↓ | Gene processing; ubiquitin meditated proteolysis | 0.2 |
| 968 | M20-dimer domain-containing protein | 2.4 ↓ | Plant development; auxin metabolism | 0.3 |
| 3414 | D-3-phosphoglycerate dehydrogenase 1, plastidial | 1.6 ↓ | Amino acid metabolism | 0.3 |
Publisher’s Note: MDPI stays neutral with regard to jurisdictional claims in published maps and institutional affiliations. |
© 2022 by the authors. Licensee MDPI, Basel, Switzerland. This article is an open access article distributed under the terms and conditions of the Creative Commons Attribution (CC BY) license (https://creativecommons.org/licenses/by/4.0/).
Share and Cite
Sevilla, E.; Andreu, P.; Fillat, M.F.; Peleato, M.L.; Marín, J.A.; Arbeloa, A. Identification of Early Salt-Stress-Responsive Proteins in In Vitro Prunus Cultured Excised Roots. Plants 2022, 11, 2101. https://doi.org/10.3390/plants11162101
Sevilla E, Andreu P, Fillat MF, Peleato ML, Marín JA, Arbeloa A. Identification of Early Salt-Stress-Responsive Proteins in In Vitro Prunus Cultured Excised Roots. Plants. 2022; 11(16):2101. https://doi.org/10.3390/plants11162101
Chicago/Turabian StyleSevilla, Emma, Pilar Andreu, María F. Fillat, M. Luisa Peleato, Juan A. Marín, and Arancha Arbeloa. 2022. "Identification of Early Salt-Stress-Responsive Proteins in In Vitro Prunus Cultured Excised Roots" Plants 11, no. 16: 2101. https://doi.org/10.3390/plants11162101
APA StyleSevilla, E., Andreu, P., Fillat, M. F., Peleato, M. L., Marín, J. A., & Arbeloa, A. (2022). Identification of Early Salt-Stress-Responsive Proteins in In Vitro Prunus Cultured Excised Roots. Plants, 11(16), 2101. https://doi.org/10.3390/plants11162101
