An Effective Method of Ribes spp. Inoculation with Blackcurrant Reversion Virus under In Vitro Conditions
Abstract
1. Introduction
2. Results
2.1. Source of BRV for Inoculation In Vitro
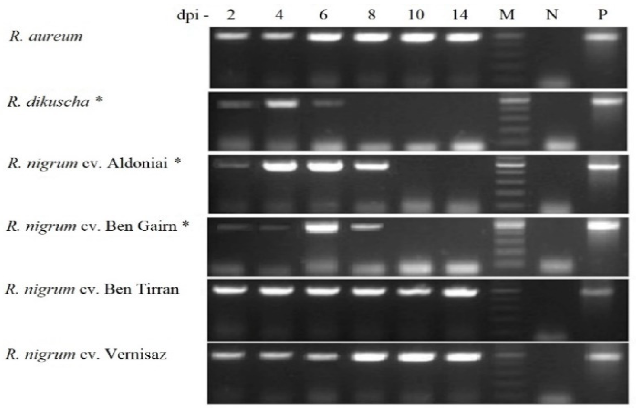
2.2. Reliability of the Inoculation In Vitro
2.3. Relative Gene Expression in Response to BRV Infection
3. Discussion
4. Materials and Methods
4.1. Plant Material
4.2. In Vitro Culture of Ribes spp.
4.3. Preparation of Inoculum
4.4. Evaluation of BRV Stability in the Inoculum
| Primer | Sequence 5′ to 3′ | Annealing T, °C | Length, bp | Purpose in Research | Reference |
|---|---|---|---|---|---|
| P1/P2 | GTAATACGCTGGTGTCTC/ GAAAGGACATTTCAGCTC | 49 | 215 | For detection of RNA2 plants | [15] |
| P5/P6 | AAACCAGACCCAGGTGAGTG/GGACACTTCCATATAAGTCGGC | 60 | 481 | For detection of RNA2 in plants and inoculum | [31] |
| BCP11/P6 | ATTTCGAGCTGTATGGTCG/CTCGGAAGCAGTAGACCT | 51 | 787 | For detection of RNA2 in inoculum | [15] |
| BCP11/P2 | ATTTCGAGCTGTATGGTCG/GAAAGGACATTTCAGACTC | 51 | ~1449 | For sequencing and genetic analysis of RNA2 | [15] |
4.5. Total RNA Isolation and cDNA Synthesis
4.6. BRV Detection by PCR
4.7. Purification, Cloning, Sequencing, and Digestion of RNA2 3′ NTR of BRV
4.8. Plant Inoculation In Vitro
4.9. Gene Expression Analysis in Inoculated Ribes Microplants
4.10. Statistical Analysis
Supplementary Materials
Author Contributions
Funding
Institutional Review Board Statement
Informed Consent Statement
Data Availability Statement
Conflicts of Interest
References
- Šutic, D.D.; Ford, R.E.; Tošic, M.T. Virus diseases of small fruits. In Handbook of Plant Virus Diseases; Šutic, D.D., Ford, R.E., Tošic, M.T., Eds.; CRC Press: Boca Raton, FL, USA, 1999; pp. 433–475. [Google Scholar]
- Šikšnianas, T.; Stanys, V.; Stanienė, G.; Sasnauskas, A.; Rugienius, R. American black currant as donor of leaf disease resistance in black currant breeding. Biologija 2005, 3, 65–68. [Google Scholar]
- Anderson, M.M. Resistance to gall mite (Phytoptus ribis Nal.) in the Eucoreosma section of Ribes. Euphytica 1971, 20, 422–426. [Google Scholar] [CrossRef]
- Adams, A.N.; Thresh, J.M. Reversion of black currant. In Virus Diseases of Small Fruits; Converse, R.H., Ed.; USDA Agriculture: Washington, DC, USA, 1987; pp. 133–136. [Google Scholar]
- Brennan, R.M. Currants and gooseberries. In Temperate Fruit Crop Breeding; Hancock, J.F., Ed.; Springer: Dordrecht, The Netherlands, 2008; pp. 177–196. [Google Scholar] [CrossRef]
- Zulģe, N.; Gospodaryka, A.; Moročko-Bičevska, I. Occurrence and genetic diversity of Blackcurrant reversion virus found on various cultivated and wild Ribes in Latvia. Plant Pathol. 2018, 67, 210–220. [Google Scholar] [CrossRef]
- Brennan, R.M.; Jorgensen, L.; Gordon, S.; Loades, K.; Hackett, C.; Russell, J. The development of a PCR-based marker linked to resistance to the blackcurrant gall mite (Cecidophyopsis ribis Acari: Eriophyidae). Theor. Appl. Genet. 2009, 118, 205–211. [Google Scholar] [CrossRef]
- Mazeikiene, I.; Bendokas, V.; Stanys, V.; Siksnianas, T. Molecular markers linked to resistance to the gall mite in blackcurrant. Plant Breed. 2012, 131, 762–766. [Google Scholar] [CrossRef]
- Mazeikiene, I.; Juskyte, A.D.; Stanys, V. Application of marker-assisted selection for resistance to gall mite and Blackcurrant reversion virus in Ribes genus. Zemdirbyste 2019, 106, 359–366. [Google Scholar] [CrossRef]
- Susi, P. Black currant reversion virus, a mite-transmitted nepovirus. Mol. Plant Pathol. 2004, 5, 167–173. [Google Scholar] [CrossRef]
- Thompson, J.R.; Dasgupta, I.; Fuchs, M.; Iwanami, T.; Karasev, A.V.; Petrzik, K.; Sanfaçon, H.; Tzanetakis, I.; van Der Vlugt, R.; Wetzel, T.; et al. ICTV virus taxonomy profile: Secoviridae. J. Gen. Virol. 2017, 98, 529–531. [Google Scholar] [CrossRef]
- Pacot-Hiriart, C.; Latvala-Kilby, S.; Lehto, K. Nucleotide sequence of black currant reversion associated nepovirus RNA1. Virus Res. 2001, 79, 145–152. [Google Scholar] [CrossRef]
- Latvala-Kilby, S.; Lehto, K. The complete nucleotide sequence of RNA2 of blackcurrant reversion nepovirus. Virus Res. 1999, 65, 87–92. [Google Scholar] [CrossRef]
- Karetnikov, A.; Keränen, M.; Lehto, K. Role of the RNA2 3′ non-translated region of Blackcurrant reversion nepovirus in translational regulation. Virology 2006, 354, 178–191. [Google Scholar] [CrossRef] [PubMed][Green Version]
- Lemmetty, A.; Latvala, K.S.; Lehto, K. Comparison of different isolates of black currant reversion virus. Acta Hortic. 2001, 551, 45–49. [Google Scholar] [CrossRef]
- Lehto, K.; Lemmetty, A.; Keränen, M. The long 3’ non-translated regions of Blackcurrant reversion virus RNAs are highly conserved between virus isolates representing different phenotypes and geographic origins. Arch. Virol. 2004, 149, 1867–1875. [Google Scholar] [CrossRef]
- Přibylová, J.; Špak, J.; Petrzik, K.; Kubelková, D.; Špaková, V. Sequence comparison and transmission of Blackcurrant reversion virus isolates in black, red and white currants with black currant reversion disease and full blossom disease symptoms. Eur. J. Plant Pathol. 2008, 121, 67–75. [Google Scholar] [CrossRef]
- Jones, A.T.; McGavin, W.J. Improved PCR detection of Blackcurrant reversion virus in Ribes and further evidence that it is the causal agent of reversion disease. Plant Dis. 2002, 86, 1333–1338. [Google Scholar] [CrossRef]
- Jones, A.T. Black currant reversion disease – the probable causal agent, eriophyid mite vectors, epidemiology and prospects for control. Virus Res. 2000, 71, 71–84. [Google Scholar] [CrossRef]
- Dolan, A.; MacFarlane, S.A.; McGavin, W.J.; Brennan, R.M.; McNicol, J.W. Blackcurrant reversion virus: Validation of an improved diagnostic test, accelerating testing in breeding and certification of blackcurrants. J. Berry Res. 2011, 1, 201–208. [Google Scholar] [CrossRef]
- Jacob, H. Investigations on symptomatology, transmission, etiology and host specificity of blackcurrant reversion virus. Acta Hortic. 1976, 66, 99–104. [Google Scholar] [CrossRef]
- Lemmetty, A.; Latvala, S.; Jones, A.T.; Susi, P.; McGavin, W.J.; Lehto, K. Purification and properties of a new virus from black currant, its affinities with nepoviruses, and its close association with black currant reversion disease. Phytopathology 1997, 87, 404–413. [Google Scholar] [CrossRef]
- Lemmetty, A.; Lehto, K. Successful back-inoculation confirms the role of black currant reversion associated virus as the causal agent of reversion disease. Eur. J. Plant Pathol. 1999, 105, 297–301. [Google Scholar] [CrossRef]
- Russo, P.; Slack, S.A. Tissue culture methods for the screening and analysis of putative virus-resistant transgenic potato plants. Phytopathology 1998, 88, 437–441. [Google Scholar] [CrossRef] [PubMed][Green Version]
- Mazier, M.; German-Retana, S.; Flamain, F.; Dubois, V.; Botton, E.; Sarnette, V.; Le Gall, O.; Candresse, T.; Maisonneuve, B. A simple and efficient method for testing Lettuce mosaic virus resistance in in vitro cultivated lettuce. J. Virol. Methods 2004, 116, 123–131. [Google Scholar] [CrossRef]
- Al Abdallat, A.M.; Al Debei, H.S.; Asmar, H.; Misbeh, S.; Quraan, A.; Kvarnheden, A. An efficient in vitro-inoculation method for Tomato yellow leaf curl virus. Virol. J. 2010, 7, 84. [Google Scholar] [CrossRef] [PubMed]
- Magyar-Tábori, K.; Mendler-Drienyovszki, N.; Hanász, A.; Zsombik, L.; Dobránszki, J. Phytotoxicity and other adverse effects on the in vitro shoot cultures caused by virus elimination treatments: Reasons and solutions. Plants 2021, 10, 670. [Google Scholar] [CrossRef] [PubMed]
- Moročko-Bičevska, I.; Stalažs, A.; Lācis, G.; Laugale, V.; Baļķe, I.; Zuļģe, N.; Strautiņa, S. Cecidophyopsis mites and blackcurrant reversion virus on Ribes hosts: Current scientific progress and knowledge gaps. Ann. Appl. Biol. 2021, 180, 26–43. [Google Scholar] [CrossRef]
- Gelvonauskienė, D.; Šikšnianas, T.; Rugienius, R.; Stankienė, J.; Bendokas, V.; Stanys, V.; Sasnauskas, A. Distribution of gall mite and black currant reversion virus vectors in black currants. Sodinink. Daržinink. 2007, 26, 135–143. [Google Scholar]
- Latvala, S.; Susi, P.; Kalkkinen, N.; Lehto, K. Characterization of the coat protein gene of mite-transmitted blackcurrant reversion associated nepovirus. Virus Res. 1998, 53, 1–11. [Google Scholar] [CrossRef]
- Lemmetty, A.; Susi, P.; Latvala, S.; Lehto, K. Detection of the putative causal agent of Blackcurrant reversion disease. Acta Hortic. 1998, 471, 93–98. [Google Scholar] [CrossRef]
- Seitsonen, J.J.T.; Susi, P.; Lemmetty, A.; Butcher, S.J. Structure of the mite-transmitted Blackcurrant reversion nepovirus using electron cryo-microscopy. Virology 2008, 378, 162–168. [Google Scholar] [CrossRef]
- Hull, R. Mechanical inoculation of plant viruses. Curr Protoc Microbiol 2009, 13, 16B.6.1–16B.6.4. [Google Scholar] [CrossRef]
- Mažeikienė, I.; Stanys, V.; Juškytė, A.D.; Sasnauskas, A.; Šikšnianas, T. Black currant varieties ‘Aldoniai’ ir ‘Didikai’. Sodinink. Daržinink. 2017, 36, 3–14. [Google Scholar]
- Sundaresha, S.; Sreevathsa, R.; Balol, G.B.; Keshavareddy, G.; Rangaswamy, K.T.; Udayakumar, M. A simple, novel and high efficiency sap inoculation method to screen for tobacco streak virus. Physiol. Mol. Biol. Plants 2012, 18, 365–369. [Google Scholar] [CrossRef] [PubMed][Green Version]
- Ranabhat, N.B.; Bruce, M.A.; Fellers, J.P.; Shoup Rupp, J.L. A reproducible methodology for absolute viral quantification and viability determination in mechanical inoculations of wheat streak mosaic virus. Trop. Plant Pathol. 2022, 1–9. [Google Scholar] [CrossRef]
- Sudisha, J.; Sharathchandra, R.G.; Amruthesh, K.N.; Kumar, A.; Shetty, H.S. Pathogenesis Related Proteins in Plant Defense Response. In Plant Defence: Biological Control; Merillon, J.M., Ramawat, K.G., Eds.; Springer: Dordrecht, The Netherlands, 2011; Volume 12, pp. 379–403. [Google Scholar]
- Juškytė, A.D.; Mažeikienė, I.; Stanys, V. Putative genes of pathogenesis-related proteins and coronatine-insensitive protein 1 in Ribes spp. Plants 2022, 11, 355. [Google Scholar] [CrossRef] [PubMed]
- Liu, L.; Sonbol, F.M.; Huot, B.; Gu, Y.; Withers, J.; Mwimba, M.; Yao, J.; He, S.Y.; Dong, X. Salicylic acid receptors activate jasmonic acid signalling through a non-canonical pathway to promote efector-triggered immunity. Nat. Commun. 2016, 7, 13099. [Google Scholar] [CrossRef]
- Murashige, T.; Skoog, F.A. A revised medium for rapid growth and bioassays with tobacco tissue cultures. Physiol. Plant 1962, 15, 473–497. [Google Scholar] [CrossRef]
- Guindon, S.; Dufayard, J.F.; Lefort, V.; Anisimova, M.; Hordijk, W.; Gascuel, O. New algorithms and methods to estimate maximum-likelihood phylogenies: Assessing the performance of PhyML 3.0. Syst. Biol. 2010, 59, 307–321. [Google Scholar] [CrossRef]
- Livak, K.; Schmittgen, T. Analysis of relative gene expression data using real-time quantitative PCR and the 2(-Delta Delta C (T)) Method. Methods 2001, 25, 402–408. [Google Scholar] [CrossRef]







| Identity, % | BRV_3-18_LT | BRV_1-18_LT | BRV_7-18_LT |
|---|---|---|---|
| BRV_3-18_LT | ***** | 94.64 | 94.64 |
| BRV_1-18_LT | ***** | 99.59 | |
| BRV_7-18_LT | ***** |
Publisher’s Note: MDPI stays neutral with regard to jurisdictional claims in published maps and institutional affiliations. |
© 2022 by the authors. Licensee MDPI, Basel, Switzerland. This article is an open access article distributed under the terms and conditions of the Creative Commons Attribution (CC BY) license (https://creativecommons.org/licenses/by/4.0/).
Share and Cite
Juškytė, A.D.; Mažeikienė, I.; Stanys, V. An Effective Method of Ribes spp. Inoculation with Blackcurrant Reversion Virus under In Vitro Conditions. Plants 2022, 11, 1635. https://doi.org/10.3390/plants11131635
Juškytė AD, Mažeikienė I, Stanys V. An Effective Method of Ribes spp. Inoculation with Blackcurrant Reversion Virus under In Vitro Conditions. Plants. 2022; 11(13):1635. https://doi.org/10.3390/plants11131635
Chicago/Turabian StyleJuškytė, Ana Dovilė, Ingrida Mažeikienė, and Vidmantas Stanys. 2022. "An Effective Method of Ribes spp. Inoculation with Blackcurrant Reversion Virus under In Vitro Conditions" Plants 11, no. 13: 1635. https://doi.org/10.3390/plants11131635
APA StyleJuškytė, A. D., Mažeikienė, I., & Stanys, V. (2022). An Effective Method of Ribes spp. Inoculation with Blackcurrant Reversion Virus under In Vitro Conditions. Plants, 11(13), 1635. https://doi.org/10.3390/plants11131635

