Spanish Spelt Wheat: From an Endangered Genetic Resource to a Trendy Crop
Abstract
1. Introduction
2. History of Spelt Cultivation and Use
3. The Past and Present Diversity of Spelt in the Iberian Peninsula
4. Spelt as a Source of Useful Genes for Breeding and as a Crop
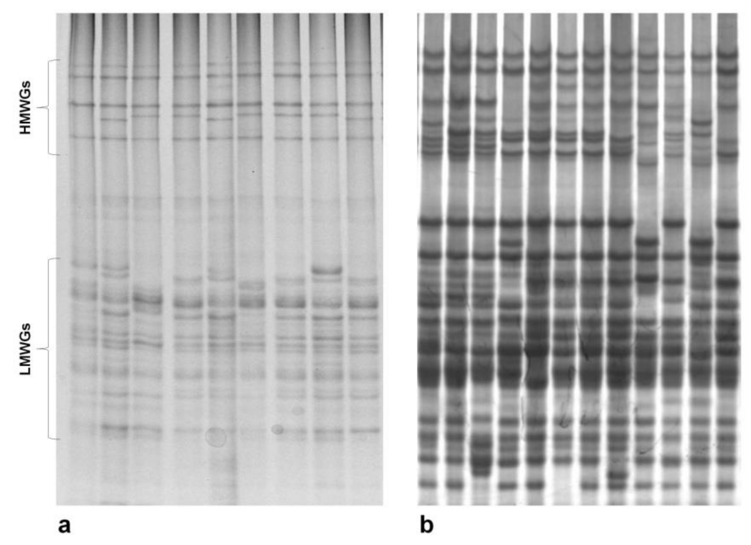
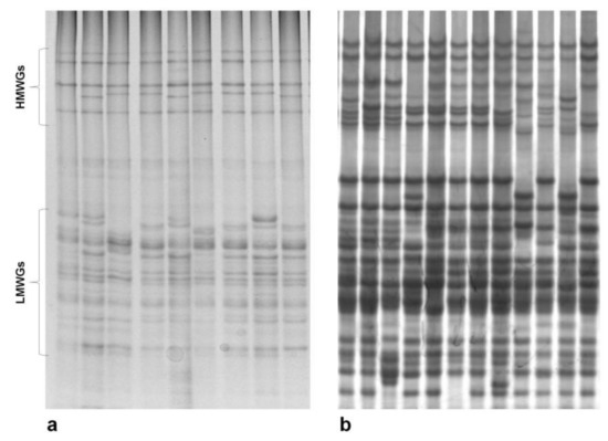
5. Variation for Quality Parameters
6. Recovery or Development of New Spelt Varieties
7. An Alternative Crop vs. a Miracle Crop
8. Final Remarks
Funding
Institutional Review Board Statement
Informed Consent Statement
Data Availability Statement
Conflicts of Interest
References
- Zohary, D.; Hopf, M. Domestication of Plants in the Old World: The Origin and Spread of Cultivated Plants in West Asia, Europe, and the Nile Valley; Oxford University Press: Oxford, UK, 2000. [Google Scholar]
- Harlan, J.R. Crops and Man; Crop Science Society of America and American Society of Agronomy: Madison, WI, USA, 1992. [Google Scholar]
- Giles, R.J.; Brown, T.A. GluDy allele variations in Aegilops tauschii and Triticum aestivum: Implications for the origins of hexaploid wheats. Theor. Appl. Genet. 2006, 112, 1563–1572. [Google Scholar] [CrossRef] [PubMed]
- McFadden, E.S.; Sears, E.R. The artificial synthesis of Triticum spelta. Genetics 1945, 30, 14. [Google Scholar]
- Salamini, F.; Ozkan, H.; Brandolini, A.; Schafer-Pregl, R.; Martin, W. Genetics and geography of wild cereal domestication in the near east. Nat. Rev. Genet. 2002, 3, 429–441. [Google Scholar] [CrossRef]
- Liu, Y.G.; Tsunewaki, K. Restriction-fragment-length-polymorphism (RFLP) analysis in wheat. 2. Linkage maps of the RFLP sites in common wheat. Jpn. J. Genet. 1991, 66, 617–633. [Google Scholar]
- Yan, Y.; Hsam, S.L.K.; Yu, J.Z.; Jiang, Y.; Ohtsuka, I.; Zeller, F.J. HMW and LMW glutenin alleles among putative tetraploid and hexaploid European spelt wheat (Triticum spelta L.) progenitors. Theor. Appl. Genet. 2003, 107, 1321–1330. [Google Scholar] [CrossRef] [PubMed]
- Blatter, R.H.E.; Jacomet, S.; Schlumbaum, A. About the origin of European spelt (Triticum spelta L.): Allelic differentiation of the HMW Glutenin B1-1 and A1-2 subunit genes. Theor. Appl. Genet. 2004, 108, 360–367. [Google Scholar] [CrossRef] [PubMed]
- Dedkova, O.S.; Badaeva, E.D.; Mitrofanova, O.P.; Zelenin, A.V.; Pukhalskiy, V.A. Analysis of intraspecific divergence of hexaploid wheat Triticum spelta L. by C-banding of chromosomes. Russ. J. Genet. 2004, 40, 1111–1126. [Google Scholar] [CrossRef]
- Elía, M.; Moralejo, M.; Rodriguez-Quijano, M.; Molina-Cano, J.L. Spanish spelt: A separate gene pool within the spelt germplasm. Plant Breed. 2004, 123, 297–299. [Google Scholar] [CrossRef]
- Muramatsu, M. Spike type in two cultivars of Triticum dicoccum with the spelta gene q compared with the Q-bearing variety liguliforme. Jpn. J. Breed. 1985, 35, 255–267. [Google Scholar] [CrossRef]
- Kato, K.; Miura, H.; Sawada, S. QTL mapping of genes controlling ear emergence time and plant height on chromosome 5A of wheat. Theor. Appl. Genet. 1999, 98, 472–477. [Google Scholar] [CrossRef]
- Kato, K.; Sonokawa, R.; Miura, H.; Sawada, S. Dwarfing effect associated with the threshability gene Q on wheat chromosome 5A. Plant Breed. 2003, 122, 489–492. [Google Scholar] [CrossRef]
- Simons, K.J.; Fellers, J.P.; Trick, H.N.; Zhang, Z.; Tai, Y.-S.; Gill, B.S.; Faris, J.D. Molecular characterization of the major wheat domestication gene Q. Genetics 2006, 172, 547–555. [Google Scholar] [CrossRef] [PubMed]
- Zhang, Z.C.; Belcram, H.; Gornicki, P.; Charles, M.; Just, J.; Huneau, C.; Magdelenat, G.; Couloux, A.; Samain, S.; Gill, B.S.; et al. Duplication and partitioning in evolution and function of homoeologous Q loci governing domestication characters in polyploid wheat. Proc. Natl. Acad. Sci. USA 2011, 108, 18737–18742. [Google Scholar] [CrossRef]
- Debernardi, J.M.; Lin, H.; Chuck, G.; Faris, J.D.; Dubcovsky, J. microRNA172 plays a crucial role in wheat spike morphogenesis and grain threshability. Development 2017, 144, 1966–1975. [Google Scholar] [PubMed]
- Greenwood, J.R.; Finnegan, E.J.; Watanabe, N.; Trevaskis, B.; Swain, S.M. New alleles of the wheat domestication gene Q reveal multiple roles in growth and reproductive development. Development 2017, 144, 1959–1965. [Google Scholar] [CrossRef] [PubMed]
- Kato, K.; Miura, H.; Akiyama, M.; Kuroshima, M.; Sawada, S. RFLP mapping of the three major genes, Vrn1, Q and B1, on the long arm of chromosome 5A of wheat. Euphytica 1998, 101, 91–95. [Google Scholar] [CrossRef]
- Kerber, E.R.; Rowland, G.G. Origin of the free threshing character in hexaploid wheat. Can. J. Genet. Cytol. 1974, 16, 145–154. [Google Scholar] [CrossRef]
- Simonetti, M.C.; Bellomo, M.P.; Laghetti, G.; Perrino, P.; Simeone, R.; Blanco, A. Quantitative trait loci influencing free-threshing habit in tetraploid wheats. Genet. Resour. Crop Evol. 1999, 46, 267–271. [Google Scholar] [CrossRef]
- Dvorak, J.; Deal, K.R.; Luo, M.C.; You, F.M.; von Borstel, K.; Dehghani, H. The origin of spelt and free-threshing hexaploid wheat. J. Hered. 2012, 103, 426–441. [Google Scholar] [CrossRef] [PubMed]
- Faris, J.; Zhang, Q.; Chao, S.; Zhang, Z.; Xu, S. Analysis of agronomic and domestication traits in a durum × cultivated emmer wheat population using a high-density single nucleotide polymorphism-based linkage map. Theor. Appl. Genet. 2014, 127, 2333–2348. [Google Scholar] [CrossRef] [PubMed]
- Campbell, K.G. Spelt: Agronomy, genetics, and breeding. Plant Breed. Rev. 1997, 15, 187–214. [Google Scholar]
- Jacomet, S. Identification of Cereal Remains from Archaeological Sites, 2nd ed.; IPAS: Basel, Switzerland, 2006. [Google Scholar]
- Brown, T.A.; Allaby, R.G.; Brown, K.A.; Odonoghue, K.; Sallares, R. DNA in wheat seeds from European archaeological sites. Experientia 1994, 50, 571–575. [Google Scholar] [CrossRef]
- Brown, T.A.; Cappellini, E.; Kistler, L.; Lister, D.L.; Oliveira, H.R.; Wales, N.; Schlumbaum, A. Recent advances in ancient DNA research and their implications for archaeobotany. Veget. Hist. Archaeobot. 2015, 24, 207–214. [Google Scholar] [CrossRef]
- Maron, L. Sequencing of ancient wheat genomes opens a window into the past. Plant J. 2019, 99, 199–200. [Google Scholar] [CrossRef]
- Harlan, J.R. The early history of wheat: Earliest traces to the sack of Rome. In Wheat Science-Today and Tomorrow; Evans, L.T., Peacock, W.J., Eds.; Cambridge University Press: Cambridge, UK, 1981; pp. 1–29. [Google Scholar]
- Nesbitt, M.; Samuel, D. From staple crop to extinction? The archaeology and history of hulled wheat. In Hulled Wheats; Padulosi, S., Hammer, K., Heller, J., Eds.; International Plant Genetic Resources Institute: Rome, Italy, 1996; pp. 41–100. [Google Scholar]
- Buxó i Capdevila, R.; Alonso, N.; Canal, D.; Echave, C.; Gonzalez, I. Archaeobotanical remains of hulled and naked cereals in the Iberian Peninsula. Veget. Hist. Archaeobot. 1997, 6, 15–23. [Google Scholar] [CrossRef]
- Peña-Chocarro, L.; Pérez- Jordà, G.; Alonso, N.; Antolín, F.; Teira-Brión, A.; Tereso, J.P.; Montes Moya, E.M.; López Reyes, D. Roman and medieval crops in the Iberian Peninsula: A first overview of seeds and fruits from archaeological sites. Quat. Int. 2019, 499, 49–66. [Google Scholar] [CrossRef]
- Peña-Chocarro, L. In situ conservation of hulled wheat species: The case of Spain. In Hulled Wheats; Padulosi, S., Hammer, K., Heller, J., Eds.; International Plant Genetic Resources Institute: Rome, Italy, 1996; pp. 129–146. [Google Scholar]
- Tellez-Molina, R.; Alonso-Peña, M. Los Trigos de la Ceres Hispanica de Lagasca y Clemente; Instituto Nacional de Investigaciones Agronómicas: Madrid, Spain, 1952. [Google Scholar]
- Alvargonzalez, C. La Escanda, su Origen y su Cultivo; Serida: Gijón, Spain, 1908. [Google Scholar]
- Caballero, L.; Martín, L.M.; Alvarez, J.B. Agrobiodiversity of hulled wheats in Asturias (North of Spain). Genet. Resour. Crop Evol. 2007, 54, 267–277. [Google Scholar] [CrossRef]
- Caballero, L.; Martín, L.M.; Alvarez, J.B. Genetic diversity in Spanish populations of Triticum spelta L. (escanda): Example of an endangered genetic resource. Genet. Resour. Crop Evol. 2008, 55, 675–682. [Google Scholar] [CrossRef]
- Alvarez, J.B.; Caballero, L.; Martín, L.M. Variability for morphological traits and high molecular weight glutenin subunits in Spanish spelt lines. Plant Genet. Resour.-Charact. Util. 2007, 5, 128–130. [Google Scholar] [CrossRef]
- McFadden, E.S.; Sears, E.R. The origin of Triticum spelta and its free-threshing hexaploid relatives. J. Hered. 1946, 37, 81–89. [Google Scholar] [CrossRef] [PubMed]
- McFadden, E.S.; Sears, E.R. The origin of Triticum spelta and its free-threshing hexaploid relatives. J. Hered. 1946, 37, 107–116. [Google Scholar] [CrossRef]
- Zeven, A.C.; Turkenst, L.J.; Stubbs, R.W. Spelt (Triticum spelta L.) as a possible source of race-non-specific resistance to yellow rust (Puccinia striiformis West.). Euphytica 1968, 17, 381–384. [Google Scholar] [CrossRef]
- Zeller, F.J.; Felsenstein, F.G.; Lutz, J.; Holzerland, A.; Katzhammer, M.; Kellermann, A.; Kunzler, J.; Stephan, U.; Oppitz, K. Studies on the resistance of several spelt wheat (Triticum aestivum (L.) Thell. ssp. spelta (L.) Thell.) cultivars against wheat powdery mildew (Erysiphe graminis f. sp. tritici) and leaf rust of wheat (Puccinia recondita f. sp. tritici). Bodenkultur 1994, 45, 147–154. [Google Scholar]
- Dyck, P.L.; Sykes, E.E. Genetics of leaf-rust resistance in three spelt wheats. Can. J. Plant Sci. 1994, 74, 231–233. [Google Scholar] [CrossRef]
- Singh, D.; Mohler, V.; Park, R.F. Discovery, characterisation and mapping of wheat leaf rust resistance gene Lr71. Euphytica 2013, 190, 131–136. [Google Scholar] [CrossRef]
- Peng, F.; Song, N.; Shen, H.; Wu, H.; Dong, H.; Zhang, J.; Li, Y.; Peng, H.; Ni, Z.; Liu, Z.; et al. Molecular mapping of a recessive powdery mildew resistance gene in spelt wheat cultivar Hubel. Mol. Breed. 2014, 34, 491–500. [Google Scholar] [CrossRef]
- Mohler, V.; Singh, D.; Singrun, C.; Park, R.F. Characterization and mapping of Lr65 in spelt wheat ‘Altgold Rotkorn’. Plant Breed. 2012, 131, 252–257. [Google Scholar] [CrossRef]
- Dinkar, V.; Jha, S.K.; Mallick, N.; Niranjana, M.; Agarwal, P.; Sharma, J.B. Vinod, Molecular mapping of a new recessive wheat leaf rust resistance gene originating from Triticum spelta. Sci. Rep. 2020, 10, 22113. [Google Scholar] [CrossRef]
- McVey, D.V.; Leonard, K.J. Resistance to wheat stem rust in spring spelts. Plant Dis. 1990, 74, 966–969. [Google Scholar] [CrossRef]
- Goriewa-Duba, K.; Duba, A.; Suchowilska, E.; Wiwart, M. An analysis of the genetic diversity of bread wheat × spelt breeding lines in terms of their resistance to powdery mildew and leaf rust. Agronomy 2020, 10, 658. [Google Scholar] [CrossRef]
- Singh, P.K.; Mergoum, M.; Ali, S.; Adhikari, T.B.; Elias, E.M.; Hughes, G.R. Identification of new sources of resistance to tan spot, Stagonospora nodorum blotch, and Septoria tritici blotch of wheat. Crop Sci. 2006, 46, 2047–2053. [Google Scholar] [CrossRef]
- Simon, M.R.; Khlestkina, E.K.; Castillo, N.S.; Borner, A. Mapping quantitative resistance to septoria tritici blotch in spelt wheat. Eur. J. Plant Pathol. 2010, 128, 317–324. [Google Scholar] [CrossRef]
- Trichopoulou, A.; Lagiou, P. Healthy traditional Mediterranean diet: An expression of culture, history, and lifestyle. Nutr. Rev. 1997, 55, 383–389. [Google Scholar] [CrossRef] [PubMed]
- Arzani, A.; Ashraf, M. Cultivated ancient wheats (Triticum spp.): A potential source of health-beneficial food products. Compr. Rev. Food Sci. Food Saf. 2017, 16, 477–488. [Google Scholar] [CrossRef]
- Lăcătușu, C.-M.; Grigorescu, E.-D.; Floria, M.; Onofriescu, A.; Mihai, B.-M. The Mediterranean diet: From an environment-driven food culture to an emerging medical prescription. Int. J. Environ. Res. Public Health 2019, 16, 942. [Google Scholar] [CrossRef] [PubMed]
- Singh, A.; Banerjee, P.; Anas, M.; Singh, N.; Qamar, I. Traditional nutritional and health practices targeting lifestyle behavioral changes in humans. J. Lifestyle Med. 2020, 10, 67–73. [Google Scholar] [CrossRef]
- Geisslitz, S.; Scherf, K.A. Rediscovering ancient wheats. Cereal Foods World 2020, 65, 13. [Google Scholar]
- Longin, C.F.H.; Würschum, T. Genetic variability, heritability and correlation among agronomic and disease resistance traits in a diversity panel and elite breeding material of spelt wheat. Plant Breed. 2014, 133, 459–464. [Google Scholar] [CrossRef]
- Konvalina, P.; Capouchová, I.; Stehno, Z.; Moudrý, J. Agronomic characteristics of the spring forms of the wheat landraces (einkorn, emmer, spelt, intermediate bread wheat) grown in organic farming. J. Agrobiol. 2010, 27, 9–17. [Google Scholar] [CrossRef]
- Krystyna, Ż.-G.; Katarzyna, M.; Józef, T.; Janusz, G. Physical and technological properties of kernels and flour made from spelt grown in an organic farming system in north-eastern Poland. J. Cereal Sci. 2018, 79, 501–507. [Google Scholar] [CrossRef]
- Ugrenovic, V.; Bodroza-Solarov, M.; Pezo, L.; Djisalov, J.; Popovic, V.; Maric, B.; Filipovic, V. Analysis of spelt variability (Triticum spelta L.) grown in different conditions of Serbia by organic conditions. Genetika 2018, 50, 635–646. [Google Scholar] [CrossRef]
- Engert, N.; Honermeier, B. Characterization of grain quality and phenolic acids in ancient wheat species (Triticum sp.). J. Appl. Bot. Food Qual. 2012, 84, 33–39. [Google Scholar]
- Rachoń, L.; Bobryk-Mamczarz, A.; Kiełtyka-Dadasiewicz, A. Hulled wheat productivity and quality in modern agriculture against conventional wheat species. Agriculture 2020, 10, 275. [Google Scholar] [CrossRef]
- Biel, W.; Jaroszewska, A.; Stankowski, S.; Sobolewska, M.; Kępińska-Pacelik, J. Comparison of yield, chemical composition and farinograph properties of common and ancient wheat grains. Eur. Food Res. Technol. 2021, 247, 1525–1538. [Google Scholar] [CrossRef]
- Kulathunga, J.; Reuhs, B.L.; Zwinger, S.; Simsek, S. Comparative study on kernel quality and chemical composition of ancient and modern wheat species: Einkorn, emmer, spelt and hard red spring wheat. Foods 2021, 10, 761. [Google Scholar] [CrossRef] [PubMed]
- Kulathunga, J.; Reuhs, B.L.; Simsek, S. A review: Novel trends in hulled wheat processing for value addition. Trends Food Sci. Technol. 2020, 106, 232–241. [Google Scholar] [CrossRef]
- Cubadda, R.; Marconi, E. Spelt wheat. In Pseudocereals and Less Common Cereals: Grain Properties and Utilization Potential; Belton, P.S., Taylor, J.R.N., Eds.; Springer: Berlin/Heidelberg, Germany, 2002; pp. 153–175. [Google Scholar]
- Cubadda, R.; Marconi, E. Technological and nutritional aspects in emmer and spelt. In Hulled Wheats; Padulosi, S., Hammer, K., Heller, J., Eds.; International Plant Genetic Resources Institute: Rome, Italy, 1996; pp. 203–211. [Google Scholar]
- White, P.J.; Broadley, M.R. Biofortifying crops with essential mineral elements. Trends Plant Sci. 2005, 10, 586–593. [Google Scholar] [CrossRef]
- Bouis, H.E.; Hotz, C.; McClafferty, B.; Meenakshi, J.V.; Pfeiffer, W.H. Biofortification: A new tool to reduce micronutrient malnutrition. Food Nutr. Bull. 2011, 32, S31–S40. [Google Scholar] [CrossRef] [PubMed]
- Abdel-Aal, E.S.M.; Hucl, P.; Sosulski, F.W. Compositional and nutritional characteristics of spring einkorn and spelt wheats. Cereal Chem. 1995, 72, 621–624. [Google Scholar]
- Piergiovanni, A.R.; Rizzi, R.; Pannacciulli, E.; Della Gatta, C. Mineral composition in hulled wheat grains: A comparison between emmer (Triticum dicoccon Schrank) and spelt (T. spelta L.) accessions. Int. J. Food Sci. Nutr. 1997, 48, 381–386. [Google Scholar] [CrossRef]
- Grela, E.R. Nutrient composition and content of antinutritional factors in spelt (Triticum spelta L.) cultivars. J. Sci. Food Agric. 1996, 71, 399–404. [Google Scholar] [CrossRef]
- Ranhotra, G.S.; Gelroth, J.A.; Glaser, B.K.; Lorenz, K.J. Baking and nutritional qualities of a spelt wheat sample. Lebensm. Wiss. Technol. 1995, 28, 118–122. [Google Scholar] [CrossRef]
- Ruibal-Mendieta, N.L.; Delacroix, D.L.; Mignolet, E.; Pycke, J.M.; Marques, C.; Rozenberg, R.; Petitjean, G.; Habib-Jiwan, J.L.; Meurens, M.; Quetin-Leclercq, J.; et al. Spelt (Triticum aestivum ssp. spelta) as a source of breadmaking flours and bran naturally enriched in oleic acid and minerals but not phytic acid. J. Agric. Food Chem. 2005, 53, 2751–2759. [Google Scholar] [CrossRef] [PubMed]
- Gomez-Becerra, H.F.; Erdem, H.; Yazici, A.; Tutus, Y.; Torun, B.; Ozturk, L.; Cakmak, I. Grain concentrations of protein and mineral nutrients in a large collection of spelt wheat grown under different environments. J. Cereal Sci. 2010, 52, 342–349. [Google Scholar] [CrossRef]
- Srinivasa, J.; Arun, B.; Mishra, V.K.; Chand, R.; Sharma, D.; Bhardwaj, S.C.; Joshi, A.K. Accessing spelt gene pool to develop well-adapted zinc- and iron-rich bread wheat. Crop Sci. 2014, 54, 2000–2010. [Google Scholar] [CrossRef]
- Srinivasa, J.; Arun, B.; Mishra, V.; Singh, G.; Velu, G.; Babu, R.; Vasistha, N.; Joshi, A. Zinc and iron concentration QTL mapped in a Triticum spelta × T. aestivum cross. Theor. Appl. Genet. 2014, 127, 1643–1651. [Google Scholar] [CrossRef]
- Guzmán, C.; Medina-Larqué, A.S.; Velu, G.; González-Santoyo, H.; Singh, R.P.; Huerta-Espino, J.; Ortiz-Monasterio, I.; Peña, R.J. Use of wheat genetic resources to develop biofortified wheat with enhanced grain zinc and iron concentrations and desirable processing quality. J. Cereal Sci. 2014, 60, 617–622. [Google Scholar] [CrossRef]
- Rewers, M. Epidemiology of celiac disease: What are the prevalence, incidence, and progression of celiac disease? Gastroenterology 2005, 128, S47–S51. [Google Scholar] [CrossRef] [PubMed]
- Sapone, A.; Lammers, K.M.; Casolaro, V.; Cammarota, M.; Giuliano, M.T.; De Rosa, M.; Stefanile, R.; Mazzarella, G.; Tolone, C.; Russo, M.I.; et al. Divergence of gut permeability and mucosal immune gene expression in two gluten-associated conditions: Celiac disease and gluten sensitivity. BMC Med. 2011, 9, 23. [Google Scholar] [CrossRef]
- Ozuna, C.V.; Iehisa, J.C.M.; Giménez, M.J.; Alvarez, J.B.; Sousa, C.; Barro, F. Diversification of the celiac disease α-gliadin complex in wheat: A 33-mer peptide with six overlapping epitopes, evolved following polyploidization. Plant J. 2015, 82, 794–805. [Google Scholar] [CrossRef] [PubMed]
- Guzmán, C.; Alvarez, J.B. Wheat waxy proteins: Polymorphism, molecular characterization and effects on starch properties. Theor. Appl. Genet. 2016, 129, 1–16. [Google Scholar] [CrossRef]
- Wrigley, C.; Békés, F.; Bushuk, W. Gliadin and Glutenin: The Unique Balance of Wheat Quality; AACC International Press: St. Paul, MN, USA, 2006. [Google Scholar]
- Morris, C.F. Puroindolines: The molecular genetic basis of wheat grain hardness. Plant Mol. Biol. 2002, 48, 633–647. [Google Scholar] [CrossRef]
- Rodriguez-Quijano, M.; Vazquez, J.F.; Carrillo, J.M. Variation of high molecular weight glutenin subunits in Spanish landraces of Triticum aestivum ssp. vulgare and ssp. spelta. J. Genet. Breed. 1990, 44, 121–126. [Google Scholar]
- Caballero, L.; Martín, L.M.; Alvarez, J.B. Allelic variation of the HMW glutenin subunits in Spanish accessions of spelt wheat (Triticum aestivum ssp spelta L. em. Thell.). Theor. Appl. Genet. 2001, 103, 124–128. [Google Scholar] [CrossRef]
- Caballero, L.; Martín, L.M.; Alvarez, J.B. Genetic variability of the low-molecular-weight glutenin subunits in spelt wheat (Triticum aestivum ssp spelta L. em Thell.). Theor. Appl. Genet. 2004, 108, 914–919. [Google Scholar] [CrossRef]
- Caballero, L.; Martín, L.M.; Alvarez, J.B. Intra- and interpopulation diversity for HMW glutenin subunits in Spanish spelt wheat. Genet. Resour. Crop Evol. 2004, 51, 175–181. [Google Scholar] [CrossRef]
- Caballero, L.; Martín, L.M.; Alvarez, J.B. Variation and genetic diversity for gliadins in Spanish spelt wheat accessions. Genet. Resour. Crop Evol. 2004, 51, 679–686. [Google Scholar] [CrossRef]
- Payne, P.I.; Holt, L.M.; Jackson, E.A.; Law, C.N. Wheat storage proteins: Their genetics and their potential for manipulation by plant breeding. Phil. Trans. R. Soc. Lond. Ser. B 1984, 304, 359–371. [Google Scholar]
- Payne, P.I.; Lawrence, G.J. Catalogue of alleles for the complex gene loci, Glu-A1, Glu-B1 and Glu-D1 which code for high-molecular-weight subunits of glutenin in hexaploid wheat. Cereal Res. Commun. 1983, 11, 29–35. [Google Scholar]
- Lawrence, G.J. The high-molecular-weight glutenin subunit composition of Australian wheat cultivars. Aust. J. Agric. Res. 1986, 37, 125–133. [Google Scholar] [CrossRef]
- Lukow, O.M.; Payne, P.I.; Tkachuk, R. The HMW glutenin subunit composition of Canadian wheat cultivars and their association with bread-making quality. J. Sci. Food Agric. 1989, 46, 451–460. [Google Scholar] [CrossRef]
- Ayala, M.; Guzmán, C.; Peña, R.J.; Alvarez, J.B. Diversity of phenotypic (plant and grain morphological) and genotypic (glutenin alleles in Glu-1 and Glu-3 loci) traits of wheat landraces (Triticum aestivum) from Andalusia (Southern Spain). Genet. Resour. Crop Evol. 2016, 63, 465–475. [Google Scholar] [CrossRef]
- Caballero, L.; Martín, L.M.; Alvarez, J.B. Relationships between the HMW- and LMW-glutenin subunits and SDS-sedimentation volume in spanish hulled wheat lines. Czech J. Genet. Plant Breed. 2008, 44, 114–117. [Google Scholar] [CrossRef]
- Dick, J.W.; Quick, J.S. A modified screening test for rapid estimation of gluten strength in early-generation durum wheat breeding lines. Cereal Chem. 1983, 60, 315–318. [Google Scholar]
- Rodríguez-Quijano, M.; Vargas-Kostiuk, M.-E.; Ribeiro, M.; Callejo, M.J. Triticum aestivum ssp. vulgare and ssp. spelta cultivars. 1. Functional evaluation. Eur. Food Res. Technol. 2019, 245, 1561–1570. [Google Scholar] [CrossRef]
- Callejo, M.J.; Vargas-Kostiuk, M.-E.; Ribeiro, M.; Rodríguez-Quijano, M. Triticum aestivum ssp. vulgare and ssp. spelta cultivars: 2. Bread-making optimisation. Eur. Food Res. Technol. 2019, 245, 1399–1408. [Google Scholar] [CrossRef]
- Rodriguez-Quijano, M.; Nieto-Taladriz, M.T.; Carrillo, J.M. Polymorphism of waxy proteins in Iberian hexaploid wheats. Plant Breed. 1998, 117, 341–344. [Google Scholar] [CrossRef]
- Guzmán, C.; Caballero, L.; Moral, A.; Alvarez, J.B. Genetic variation for waxy proteins and amylose content in Spanish spelt wheat (Triticum spelta L.). Genet. Resour. Crop Evol. 2010, 57, 721–725. [Google Scholar] [CrossRef]
- Yan, L.; Bhave, M.; Fairclough, R.; Konik, C.; Rahman, S.; Appels, R. The genes encoding granule-bound starch synthases at the waxy loci of the A, B, and D progenitors of common wheat. Genome 2000, 43, 264–272. [Google Scholar] [CrossRef]
- Guzmán, C.; Caballero, L.; Martín, L.M.; Alvarez, J.B. Waxy genes from spelt wheat: New alleles for modern wheat breeding and new phylogenetic inferences about the origin of this species. Ann. Bot. 2012, 110, 1161–1171. [Google Scholar] [CrossRef]
- Alvarez, J.B.; Castellano, L.; Huertas-García, A.B.; Guzmán, C. Molecular characterization of five novel Wx-A1 alleles in common wheat including one silent allele by transposon insertion. Plant Sci. 2021, 305, 110843. [Google Scholar] [CrossRef]
- Guzmán, C.; Caballero, L.; Yamamori, M.; Alvarez, J.B. Molecular characterization of a new waxy allele with partial expression in spelt wheat. Planta 2012, 235, 1331–1339. [Google Scholar] [CrossRef] [PubMed]
- Fischler, F. Commission Regulation (EC) No 1263/96 of 1 July 1996 supplementing the Annex to Regulation (EC) No 1107/96 on the registration of geographical indications and designations of origin under the procedure laid down in Article 17 of Regulation (EEC) No 2081/92. Off. J. Eur. Communities 1997, 163, 19–21. [Google Scholar]
- Schmid, J.; Winzeler, H. Genetic studies of crosses between common wheat (Triticum aestivum L.) and spelt (Triticum spelta L.). J. Genet. Breed. 1990, 44, 75–80. [Google Scholar]
- Winzeler, H.; Schmid, J.E.; Winzeler, M. Analysis of the yield potential and yield components of F1 and F2 hybrids of crosses between wheat (Triticum aestivum L.) and spelt (Triticum spelta L.). Euphytica 1994, 74, 211–218. [Google Scholar] [CrossRef]
- Watson, A.; Ghosh, S.; Williams, M.J.; Cuddy, W.S.; Simmonds, J.; Rey, M.D.; Asyraf Md Hatta, M.; Hinchliffe, A.; Steed, A.; Reynolds, D.; et al. Speed breeding is a powerful tool to accelerate crop research and breeding. Nat. Plants 2018, 4, 23–29. [Google Scholar] [CrossRef]
- Lantos, C.; Bóna, L.; Nagy, É.; Békés, F.; Pauk, J. Induction of in vitro androgenesis in anther and isolated microspore culture of different spelt wheat (Triticum spelta L.) genotypes. Plant Cell Tissue Organ Cult. 2018, 133, 385–393. [Google Scholar] [CrossRef]
- Lantos, C.; Purgel, S.; Ács, K.; Langó, B.; Bóna, L.; Boda, K.; Békés, F.; Pauk, J. Utilization of in vitro anther culture in spelt wheat breeding. Plants 2019, 8, 436. [Google Scholar] [CrossRef]
- Lantos, C.; Pauk, J. In vitro anther culture for doubled haploid plant production in spelt wheat. In Doubled Haploid Technology: Volume 1: General Topics, Alliaceae, Cereals; Segui-Simarro, J.M., Ed.; Springer: New York, NY, USA, 2021; pp. 257–266. [Google Scholar]
- Keller, M.; Karutz, C.; Schmid, J.E.; Stamp, P.; Winzeler, M.; Keller, B.; Messmer, M.M. Quantitative trait loci for lodging resistance in a segregating wheat × spelt population. Theor. Appl. Genet. 1999, 98, 1171–1182. [Google Scholar] [CrossRef]
- Longin, C.F.H.; Ziegler, J.; Schweiggert, R.; Koehler, P.; Carle, R.; Würschum, T. Comparative study of hulled (einkorn, emmer, and spelt) and naked wheats (durum and bread wheat): Agronomic performance and quality traits. Crop Sci. 2016, 56, 302–311. [Google Scholar] [CrossRef]
- Castillo, A.M.; Allue, S.; Costar, A.; Alvaro, F.; Valles, M.P. Doubled haploid production from Spanish and Central European spelt by anther culture. J. Agr. Sci. Technol. 2019, 21, 1313–1324. [Google Scholar]
- Dioscorides, P. De Materia Medica (Plantas y Remedios Medicinales); Valdés, M.G., Ed.; Gredos: Madrid, Spain, 1998. (In Spanish) [Google Scholar]
- Shewry, P.R.; Hey, S. Do “ancient” wheat species differ from modern bread wheat in their contents of bioactive components? J. Cereal Sci. 2015, 65, 236–243. [Google Scholar] [CrossRef]
- Dinu, M.; Whittaker, A.; Pagliai, G.; Benedettelli, S.; Sofi, F. Ancient wheat species and human health: Biochemical and clinical implications. J. Nutr. Biochem. 2018, 52, 1–9. [Google Scholar] [CrossRef]
- Shewry, P.R. Do ancient types of wheat have health benefits compared with modern bread wheat? J. Cereal Sci. 2018, 79, 469–476. [Google Scholar] [CrossRef]
- Vincentini, O.; Maialetti, F.; Gazza, L.; Silano, M.; Dessi, M.; De Vincenzi, M.; Pogna, N.E. Environmental factors of celiac disease: Cytotoxicity of hulled wheat species Triticum monococcum, T. turgidum ssp. dicoccum and T. aestivum ssp. spelta. J. Gastroenterol. Hepatol. 2007, 22, 1816–1822. [Google Scholar] [CrossRef] [PubMed]
- Šuligoj, T.; Gregorini, A.; Colomba, M.; Ellis, H.J.; Ciclitira, P.J. Evaluation of the safety of ancient strains of wheat in coeliac disease reveals heterogeneous small intestinal T cell responses suggestive of coeliac toxicity. Clin. Nutr. 2013, 32, 1043–1049. [Google Scholar] [CrossRef]
- Zanini, B.; Petroboni, B.; Not, T.; Di Toro, N.; Villanacci, V.; Lanzarotto, F.; Pogna, N.; Ricci, C.; Lanzini, A. Search for atoxic cereals: A single blind, cross-over study on the safety of a single dose of Triticum monococcum, in patients with celiac disease. BMC Gastroenterol. 2013, 13, 92. [Google Scholar] [CrossRef] [PubMed]
- Van den Broeck, H.C.; de Jong, H.C.; Salentijn, E.M.J.; Dekking, L.; Bosch, D.; Hamer, R.J.; Gilissen, L.J.W.J.; van der Meer, I.M.; Smulders, M.J.M. Presence of celiac disease epitopes in modern and old hexaploid wheat varieties: Wheat breeding may have contributed to increased prevalence of celiac disease. Theor. Appl. Genet. 2010, 121, 1527–1539. [Google Scholar] [CrossRef]
- Kucek, L.K.; Veenstra, L.D.; Amnuaycheewa, P.; Sorrells, M.E. A grounded guide to gluten: How modern genotypes and processing impact wheat sensitivity. Compr. Rev. Food Sci. Food Saf. 2015, 14, 285–302. [Google Scholar] [CrossRef]
- Guerrini, L.; Parenti, O.; Angeloni, G.; Zanoni, B. The bread making process of ancient wheat: A semi-structured interview to bakers. J. Cereal Sci. 2019, 87, 9–17. [Google Scholar] [CrossRef]
- Jones, J.M. Wheat belly—An analysis of selected statements and basic theses from the book. Cereal Foods World 2012, 57, 177–189. [Google Scholar] [CrossRef]
- Shewry, P.R.; Charmet, G.; Branlard, G.; Lafiandra, D.; Gergely, S.; Salgó, A.; Saulnier, L.; Bedő, Z.; Mills, E.N.C.; Ward, J.L. Developing new types of wheat with enhanced health benefits. Trends Food Sci. Technol. 2012, 25, 70–77. [Google Scholar] [CrossRef]
- Rapp, M.; Beck, H.; Gütler, H.; Heilig, W.; Starck, N.; Römer, P.; Cuendet, C.; Uhlig, F.; Kurz, H.; Würschum, T.; et al. Spelt: Agronomy, quality, and flavor of its breads from 30 varieties tested across multiple environments. Crop Sci. 2017, 57, 739–747. [Google Scholar] [CrossRef]
- Packa, D.; Załuski, D.; Graban, Ł.; Lajszner, W. An evaluation of spelt crosses for breeding new varieties of spring spelt. Agronomy 2019, 9, 167. [Google Scholar] [CrossRef]
- Ratajczak, K.; Sulewska, H.; Grażyna, S.; Matysik, P. Agronomic traits and grain quality of selected spelt wheat varieties versus common wheat. J. Crop Improv. 2020, 34, 654–675. [Google Scholar] [CrossRef]
- Suchowilska, E.; Wiwart, M.; Krska, R.; Kandler, W. Do Triticum aestivum L. and Triticum spelta L. hybrids constitute a promising source material for quality breeding of new wheat varieties? Agronomy 2020, 10, 43. [Google Scholar] [CrossRef]
- Takač, V.; Tóth, V.; Rakszegi, M.; Mikić, S.; Mirosavljević, M.; Kondić-Špika, A. Differences in processing quality traits, protein content and composition between spelt and bread wheat genotypes grown under conventional and organic production. Foods 2021, 10, 156. [Google Scholar] [CrossRef]







| Group | Glumes Types | Glumes Colour | Botanical Variety |
|---|---|---|---|
| mutica | Glabrous | White | var. album (Alef.) Körn. |
| Glabrous | Red | var. duhamelianum (Mazz.) Koern. | |
| aristata | Glabrous | White | var. arduinii (Mazz.) Körn. |
| Glabrous | Red | var. vulpinum (Alef.) Körn. | |
| Pubescent | White | var. albivelutinum Körn. | |
| Pubescent | Red | var. rubrivelutinum Körn. | |
| Pubescent | Black or Blue | var. caeruleum (Alef.) Körn. |
Publisher’s Note: MDPI stays neutral with regard to jurisdictional claims in published maps and institutional affiliations. |
© 2021 by the author. Licensee MDPI, Basel, Switzerland. This article is an open access article distributed under the terms and conditions of the Creative Commons Attribution (CC BY) license (https://creativecommons.org/licenses/by/4.0/).
Share and Cite
Alvarez, J.B. Spanish Spelt Wheat: From an Endangered Genetic Resource to a Trendy Crop. Plants 2021, 10, 2748. https://doi.org/10.3390/plants10122748
Alvarez JB. Spanish Spelt Wheat: From an Endangered Genetic Resource to a Trendy Crop. Plants. 2021; 10(12):2748. https://doi.org/10.3390/plants10122748
Chicago/Turabian StyleAlvarez, Juan B. 2021. "Spanish Spelt Wheat: From an Endangered Genetic Resource to a Trendy Crop" Plants 10, no. 12: 2748. https://doi.org/10.3390/plants10122748
APA StyleAlvarez, J. B. (2021). Spanish Spelt Wheat: From an Endangered Genetic Resource to a Trendy Crop. Plants, 10(12), 2748. https://doi.org/10.3390/plants10122748
