Assessment of Photo-Induced Cytotoxic Activity of Cachrys sicula and Cachrys libanotis Enriched-Coumarin Extracts against Human Melanoma Cells
Abstract
1. Introduction
2. Results
2.1. Phytochemical Profile
2.2. Photocytotoxic Activity
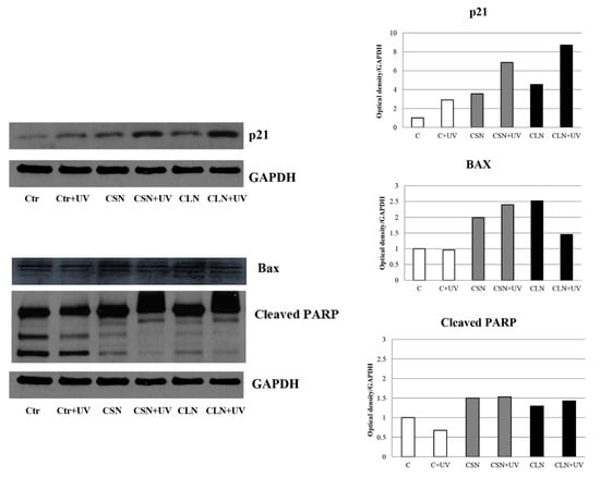
2.3. Apoptotic Responses on C32 Cells
2.4. In Vitro Antioxidant Activity
3. Discussion
4. Materials and Methods
4.1. Reagents
4.2. Plant Materials and Extraction Procedures
4.3. Determination of Total Phenolic and Flavonoid Content
4.4. GC-MS Analysis
4.5. Cellular Phototoxicity
4.6. Immunoblotting Analysis
4.7. Free Radical Scavenging Activity (FRSA) Assay
4.8. β-Carotene-Linoleate Bleaching Assay
4.9. Statistical Analysis
Author Contributions
Funding
Institutional Review Board Statement
Informed Consent Statement
Data Availability Statement
Conflicts of Interest
Abbreviations
| CSM | Cachrys sicula extracted through maceration |
| CSN | Cachrys sicula extracted with Naviglio extractor® |
| CLM | Cachrys libanotis extracted through maceration |
| CLN | Cachrys libanotis extracted with Naviglio extractor® |
| PCSL | Pressurized cyclic solid-liquid extraction |
| TM | Traditional maceration |
References
- Albuquerque, K.R.S.A.; Pacheco, N.M.; del Rosario Loyo Casao, T.; de Melo, F.C.S.A.; Novaes, R.D.; Gonçalves, R.V. Applicability of plant extracts in preclinical studies of melanoma: A systematic review. Mediat. Inflamm. 2018, 6797924. [Google Scholar] [CrossRef] [PubMed]
- Russo, A.; Cardile, V.; Graziano, A.C.E.; Avola, R.; Montenegro, I.; Cuellar, M.; Villena, J.; Madrid, A. Antigrowth activity and induction of apoptosis in human melanoma cells by Drymis winteri forst extract and its active components. Chem. Biol. Interact. 2019, 25, 79–85. [Google Scholar] [CrossRef] [PubMed]
- AlQathama, A.; Prieto, J.M. Natural products with therapeutic potential in melanoma metastasis. Nat. Prod. Rep. 2015, 32, 1170–1182. [Google Scholar] [CrossRef] [PubMed]
- Chinembiri, T.; du Plessis, L.; Gerber, M.; Hamman, J.; du Plessis, J. Review of natural compounds for potential skin cancer treatment. Molecules 2014, 19, 11679–11721. [Google Scholar] [CrossRef] [PubMed]
- De Oliveira Júnior, R.G.; Ferraz, C.A.A.; Silva, M.G.; de Lavor, É.M.; Rolim, L.A.; de Lima, J.T.; Fleury, A.; Picot, L.; de Souza Siqueira Quintans, J.; Quintans Junior, L.J.; et al. Flavonoids: Promising natural products for treatment of skin cancer (melanoma). In Natural Products and Cancer Drug Discovery; Badria, F.A., Ed.; InTech: Rijeka, Croatia, 2017; pp. 161–210. [Google Scholar]
- Mansoori, B.; Mohammadi, A.; Doustvandi, M.A.; Mohammadnejad, F.; Kamari, F.; Gjerstorff, M.F.; Baradaran, B.; Hamblin, M.R. Photodynamic therapy for cancer: Role of natural products. Photodiagnosis Photodyn. Ther. 2019, 26, 395–404. [Google Scholar] [CrossRef]
- Panno, M.L.; Giordano, F. Effects of psoralens as anti-tumoral agents in breast cancer cells. World J. Clin. Oncol. 2014, 5, 348–358. [Google Scholar] [CrossRef]
- Panno, M.L.; Giordano, F.; Palma, M.G.; Bartella, V.; Rago, V.; Maggiolini, M.; Sisci, D.; Lanzino, M.; De Amicis, F.; Andò, S. Evidence that bergapten, independently of its photoactivation, enhances p53 gene expression and induces apoptosis in human breast cancer cells. Curr. Cancer Drug Targets 2009, 9, 469–481. [Google Scholar] [CrossRef]
- Panno, M.L.; Giordano, F.; Mastroianni, F.; Palma, M.G.; Bartella, V.; Carpino, A.; Aquila, S.; Andò, S. Breast cancer cell survival signal is affected by bergapten combined with an ultraviolet irradiation. FEBS Lett. 2010, 584, 2321–2326. [Google Scholar] [CrossRef]
- Nawrot-Hadzik, I.; Choromańska, A.; Abel, R.; Preissner, R.; Saczko, J.; Matkowski, A.; Hadzik, J. Cytotoxic effect of vanicosides A and B from Reynoutria sachalinensis against melanotic and amelanotic melanoma cell lines and in silico evaluation for inhibition of BRAFV600E and MEK1. Int. J. Mol. Sci. 2020, 21, 4611. [Google Scholar] [CrossRef]
- Strzemski, M.; Wojnicki, K.; Sowa, I.; Wojas-Krawczyk, K.; Krawczyk, P.; Kocjan, R.; Such, J.; Latalski, M.; Wnorowski, A.; Wójciak-Kosior, M. In vitro antiproliferative activity of extracts of Carlina acaulis subsp. caulescens and Carlina acanthifolia subsp. utzka. Front. Pharmacol. 2017, 8, 371. [Google Scholar] [CrossRef]
- Menichini, G.; Alfano, C.; Provenzano, E.; Marrelli, M.; Statti, G.A.; Menichini, F.; Conforti, F. Cachrys pungens Jan inhibits human melanoma cell proliferation through photo-induced cytotoxic activity. Cell Prolif. 2012, 45, 39–47. [Google Scholar] [CrossRef] [PubMed]
- Pignatti, S. Flora d’Italia, 1st ed.; Edagricole: Bologna, Italy, 1982. [Google Scholar]
- Grande, M.; Aguado, M.T.; Mancheño, B.; Piera, F. Coumarins and ferulol esters from Cachrys sicula. Phytochemistry 1986, 25, 505–507. [Google Scholar] [CrossRef]
- Le Leo, M.; D’Ambola, M.; Germanò, M.P.; Venturella, F. Coumarins from Cachrys sicula L. Pharmacologyonline 2017, 2, 213–217. [Google Scholar]
- Palá-Paúl, J.; Velasco-Negueruela, A.; Perez-Alonso, M.J.; Sanz, J. Essential oil composition of the aerial parts of Cachrys sicula L. Flavour Fragr. J. 2002, 17, 64–68. [Google Scholar] [CrossRef]
- Pinar, M.; Alemany, A. N-N’-di-o-tolylethylendiamine from Cachrys sicula. Phytochemistry 1975, 14, 313–314. [Google Scholar] [CrossRef]
- Ena, P.; Cerri, R.; Dessi, G.; Manconi, P.M.; Atzei, A.D. Phototoxicity due to Cachrys libanotis. Contact Dermat. 1991, 24, 1–5. [Google Scholar] [CrossRef]
- Bouderdara, N.; Elomri, A.; Djarri, L.; Medjroubi, K.; Seguin, E.; Verite, P. Chemical composition of the essential oil of Cachrys libanotis from Algeria. Nat. Prod. Commun. 2011, 6, 115–117. [Google Scholar] [CrossRef]
- Naviglio, D. Naviglio’s principle and presentation of an innovative solid–liquid extraction technology: Extractor Naviglio®. Anal. Lett. 2003, 36, 1647–1659. [Google Scholar] [CrossRef]
- Naviglio, D.; Pizzolongo, F.; Romano, R.; Ferrara, L.; Naviglio, B.; Santini, A. An innovative solid-liquid extraction technology: Use of the Naviglio Extractor for the production of lemon liquor. Afr. J. Food Sci. 2007, 1, 042–050. [Google Scholar]
- Luke, J.J.; Flaherty, K.T.; Ribas, A.; Long, G.V. Targeted agents and immunotherapies: Optimizing outcomes in melanoma. Nat. Rev. Clin. Oncol. 2017, 14, 463–482. [Google Scholar] [CrossRef]
- Mitra, T.; Bhattacharya, R. Phytochemicals modulate cancer aggressiveness: A review depicting the anticancer efficacy of dietary polyphenols and their combinations. J. Cell Physiol. 2020. [Google Scholar] [CrossRef] [PubMed]
- Xiong, Y.; Hannon, G.J.; Zhang, H.; Casso, D.; Kobayashi, R.; Beach, D. p21 is a universal inhibitor of cyclin kinases. Nature 1993, 366, 701–704. [Google Scholar] [CrossRef] [PubMed]
- Conforti, F.; Marrelli, M.; Menichini, F.; Bonesi, M.; Statti, G.; Provenzano, E.; Menichini, F. Natural and synthetic furanocoumarins as treatment for vitiligo and psoriasis. Curr. Drug Ther. 2009, 4, 38–58. [Google Scholar] [CrossRef]
- Sumorek-Wiadro, J.; Zając, A.; Maciejczyk, A.; Jakubowicz-Gil, J.; Joanna, S.-W.; Adrian, Z.; Aleksandra, M.; Joanna, J.-G. Furanocoumarins in anticancer therapy-For and against. Fitoterapia 2020, 142, 104492. [Google Scholar] [CrossRef]
- Ahmed, S.; Khan, H.; Aschner, M.; Mirzae, H.; Küpeli Akkol, E.; Capasso, R. Anticancer potential of furanocoumarins: Mechanistic and therapeutic aspects. Int. J. Mol. Sci. 2020, 21, 5622. [Google Scholar] [CrossRef]
- Marrelli, M.; La Grotteria, S.; Araniti, F.; Conforti, F. Investigation of the potential health benefits as lipase inhibitor and antioxidant of Leopoldia comosa (L.) Parl.: Variability of chemical composition of wild and cultivated bulbs. Plant Foods Hum. Nutr. 2017, 72, 274–279. [Google Scholar] [CrossRef]
- Marrelli, M.; Menichini, F.; Conforti, F. A comparative study of Zingiber officinale Roscoe pulp and peel: Phytochemical composition and evaluation of antitumour activity. Nat. Prod. Res. 2015, 29, 2045–2049. [Google Scholar] [CrossRef]
- Conforti, F.; Marrelli, M.; Statti, G.; Menichini, F.; Uzunov, D.; Solimene, U.; Menichini, F. Comparative chemical composition and antioxidant activity of Calamintha nepeta (L.) Savi subsp. glandulosa (Req.) Nyman and Calamintha grandiflora (L.) Moench (Labiatae). Nat. Prod. Res. 2012, 26, 91–97. [Google Scholar]
- Menichini, G.; Alfano, C.; Marrelli, M.; Toniolo, C.; Provenzano, E.; Statti, G.A.; Nicoletti, M.; Menichini, F.; Conforti, F. Hypericum perforatum L. subsp. perforatum induces inhibition of free radicals and enhanced phototoxicity in human melanoma cells under ultraviolet light. Cell Prolif. 2013, 46, 193–202. [Google Scholar]
- Marrelli, M.; Conforti, F.; Formisano, C.; Rigano, D.; Arnold, N.A.; Menichini, F.; Senatore, F. Composition, antibacterial, antioxidant and antiproliferative activities of essential oils from three Origanum species growing wild in Lebanon and Greece. Nat. Prod. Res. 2016, 30, 735–739. [Google Scholar] [CrossRef]
- Giordano, F.; Naimo, G.D.; Nigro, A.; Romeo, F.; Paolì, A.; De Amicis, F.; Vivacqua, A.; Morelli, C.; Mauro, L.; Panno, M.L. Valproic acid addresses neuroendocrine differentiation of LNCaP cells and maintains cell survival. Drug Des. Dev. Ther. 2019, 13, 4265–4274. [Google Scholar] [CrossRef] [PubMed]
- Conforti, F.; Marrelli, M.; Statti, G.; Menichini, F. Antioxidant and cytotoxic activities of methanolic extract and fractions from Senecio gibbosus subsp. gibbosus (GUSS) DC. Nat. Prod. Res. 2006, 20, 805–812. [Google Scholar] [CrossRef] [PubMed]
- Conforti, F.; Loizzo, M.R.; Marrelli, M.; Menichini, F.; Statti, G.A.; Uzunov, D.; Menichini, F. Quantitative determination of Amaryllidaceae alkaloids from Galanthus reginae-olgae subsp. vernalis and in vitro activities relevant for neurodegenerative diseases. Pharm. Biol. 2010, 48, 2–9. [Google Scholar] [PubMed]





| Sample | Extraction Technique | Abbreviation | Yield (%) | TP 1 | TF 2 |
|---|---|---|---|---|---|
| C. sicula L. | Maceration | CSM | 19.48 | 23.1 ± 0.7 b | 0.65 ± 0.04 b |
| Naviglio® | CSN | 7.05 | 11.4 ± 0.2 d | 0.41 ± 0.02 c | |
| C. libanotis L. | Maceration | CLM | 17.76 | 25.0 ± 0.2 a | 1.29 ± 0.04 a |
| Naviglio® | CLN | 12.56 | 12.8 ± 0.1 c | 0.09 ± 0.01 d |
| Compound | RT 1 | CSM | CSN | CLM | CLN |
|---|---|---|---|---|---|
| RAP 2 | |||||
| Furanocoumarins | |||||
| Xanthotoxin | 19.154 | 5.3 | 10.8 | 9.1 | 14.8 |
| Bergapten | 19.354 | 1.8 | 2.6 | 2.8 | 2.5 |
| Isopimpinellin | 20.571 | 1.6 | 3.1 | 3.4 | 3.0 |
| Pyranocoumarins | |||||
| Seselin | 19.462 | - | - | 0.6 | - |
| 2-Methyl-2-butenoic acid 9,10-dihydro-8,8-dimethyl-2-oxo-2H,8H-benzo[1,2-b:3,4-b′]dipyran-9-yl ester | 24.423 | - | 10.2 | - | 9.7 |
| Coumarins | |||||
| Osthol | 19.822 | - | - | 2.8 | - |
| Suberosin | 20.388 | - | - | 2.7 | - |
| Isogeijerin | 21.154 | - | - | 1.2 | 5.6 |
| Fatty acids | |||||
| Myristic acid | 16.496 | - | - | - | 0.2 |
| Palmitic acid | 18.085 | 1.4 | 0.8 | 2.2 | 1.8 |
| α-Linolenic acid | 19.897 | - | - | 0.7 | - |
| Terpenes | |||||
| Limonene | 8.506 | Tr 3 | 0.2 | - | - |
| Fenchone | 9.603 | - | 0.2 | - | - |
| Estragole | 11.141 | 0.2 | 0.8 | 0.1 | 0.7 |
| Anethole | 12.284 | - | 0.2 | - | - |
| Neophytadiene | 17.405 | 0.2 | - | - | - |
| Species | Extract | Xanthotoxin | Bergapten | Isopimpinellin |
|---|---|---|---|---|
| mg/mL ± SD | ||||
| Cachrys sicula L. | CSM | 2.08 ± 0.04 c | 0.17 ± 0.01 b | 0.27 ± 0.01 a |
| CSN | 4.10 ± 0.23 b | 0.58 ± 0.04 a | 0.75 ± 0.03 a | |
| Cachrys libanotis L. | CLM | 2.23 ± 0.14 c | 0.27 ± 0.02 b | 0.46 ± 0.04 a |
| CLN | 4.98 ± 0.21 a | 0.59 ± 0.08 a | 0.42 ± 0.03 a | |
| Species | Extract | IC50 (μg/mL) | |
|---|---|---|---|
| Irradiated Cells | Unirradiated Cells | ||
| Cachrys sicula L. | CSM | 14.57 ± 0.95 c | >100 |
| CSN | 8.83 ± 0.20 b | 26.72 ± 1.18 d | |
| Cachrys libanotis L. | CLM | 18.18 ± 1.33 c | >100 |
| CLN | 3.16 ± 0.21 a | 55.20 ± 1.65 e | |
| Bergapten 1 | 0.191 ± 0.012 a | n.d. | |
| Species | Extract | IC50 (μg/mL) | ||
|---|---|---|---|---|
| DPPH Test | β-Carotene Bleaching Test | |||
| 30 min | 60 min | |||
| Cachrys sicula L. | CSM | 112.73 ± 0.88 b | 16.77 ± 1.43 b | 31.07 ± 1.71 c |
| CSN | 163.80 ± 2.63 c | 48.62 ± 4.05 d | 68.55 ± 2.33 e | |
| Cachrys libanotis L. | CLM | 102.13 ± 0.79 b | 19.22 ± 1.07 b,c | 27.52 ± 1.73 c |
| CLN | 212.80 ± 6.91 d | 81.20 ± 1.52 f | 92.44 ± 1.08 g | |
| Ascorbic acid 1 | 2.00 ± 0.01 a | - | - | |
| Propyl gallate 1 | - | 1.00 ± 0.02 a | 1.00 ± 0.02 a | |
Publisher’s Note: MDPI stays neutral with regard to jurisdictional claims in published maps and institutional affiliations. |
© 2021 by the authors. Licensee MDPI, Basel, Switzerland. This article is an open access article distributed under the terms and conditions of the Creative Commons Attribution (CC BY) license (http://creativecommons.org/licenses/by/4.0/).
Share and Cite
Marrelli, M.; Perri, M.R.; Amodeo, V.; Giordano, F.; Statti, G.A.; Panno, M.L.; Conforti, F. Assessment of Photo-Induced Cytotoxic Activity of Cachrys sicula and Cachrys libanotis Enriched-Coumarin Extracts against Human Melanoma Cells. Plants 2021, 10, 123. https://doi.org/10.3390/plants10010123
Marrelli M, Perri MR, Amodeo V, Giordano F, Statti GA, Panno ML, Conforti F. Assessment of Photo-Induced Cytotoxic Activity of Cachrys sicula and Cachrys libanotis Enriched-Coumarin Extracts against Human Melanoma Cells. Plants. 2021; 10(1):123. https://doi.org/10.3390/plants10010123
Chicago/Turabian StyleMarrelli, Mariangela, Maria Rosaria Perri, Valentina Amodeo, Francesca Giordano, Giancarlo A. Statti, Maria Luisa Panno, and Filomena Conforti. 2021. "Assessment of Photo-Induced Cytotoxic Activity of Cachrys sicula and Cachrys libanotis Enriched-Coumarin Extracts against Human Melanoma Cells" Plants 10, no. 1: 123. https://doi.org/10.3390/plants10010123
APA StyleMarrelli, M., Perri, M. R., Amodeo, V., Giordano, F., Statti, G. A., Panno, M. L., & Conforti, F. (2021). Assessment of Photo-Induced Cytotoxic Activity of Cachrys sicula and Cachrys libanotis Enriched-Coumarin Extracts against Human Melanoma Cells. Plants, 10(1), 123. https://doi.org/10.3390/plants10010123

