Cardiac Aftermath of Gestational Diabetes—From Intrauterine Impact to Lifelong Complications: A Systematic Review
Abstract
1. Introduction
2. Materials and Methods
2.1. Eligibility Criteria
- Peer-reviewed observational (cohort, case–control, cross-sectional) or interventional (randomized controlled trials) studies.
- Population including pregnant individuals diagnosed with GDM based on established clinical criteria (either diagnosed during or prior to pregnancy).
- Studies assessing fetal heart anomalies, including structural defects and functional impairments resulting in fetal cardiomyopathy.
- Studies providing quantitative data on the prevalence or risk of fetal cardiac anomalies in pregnancies affected by GDM.
2.2. Study Selection
2.3. Data Extraction
2.4. Quality Assessment of Study Using GRADE and Newcastle–Ottawa Scale (NOS)
3. Results
3.1. PRISMA Flow Diagram
3.2. Quality Assessment Using GRADE and NOS System Evaluation
3.2.1. GRADE System Evaluation
3.2.2. New Ottawa Scale (NOS) Evaluation System
3.3. Main Findings
3.4. Fetal Myocardial Remodeling in Diabetic Pregnancies: Structural and Functional Insights
| Category | Study Objective | Study Group | Key Measurements | Main Findings |
|---|---|---|---|---|
| Bhorat et al., 2014 [12] | Assess cardiac function in fetuses of poorly controlled gestational diabetics and its impact on perinatal outcomes. | 29 pregnant women with severe gestational diabetes vs. 29 healthy controls. | Mod-MPI, E/A ratios via Doppler echocardiography. | There is significant impairment of cardiac function in fetuses of poorly controlled gestational diabetics. Mod-MPI and E/A ratio have the potential to improve fetal surveillance in diabetic pregnancies. |
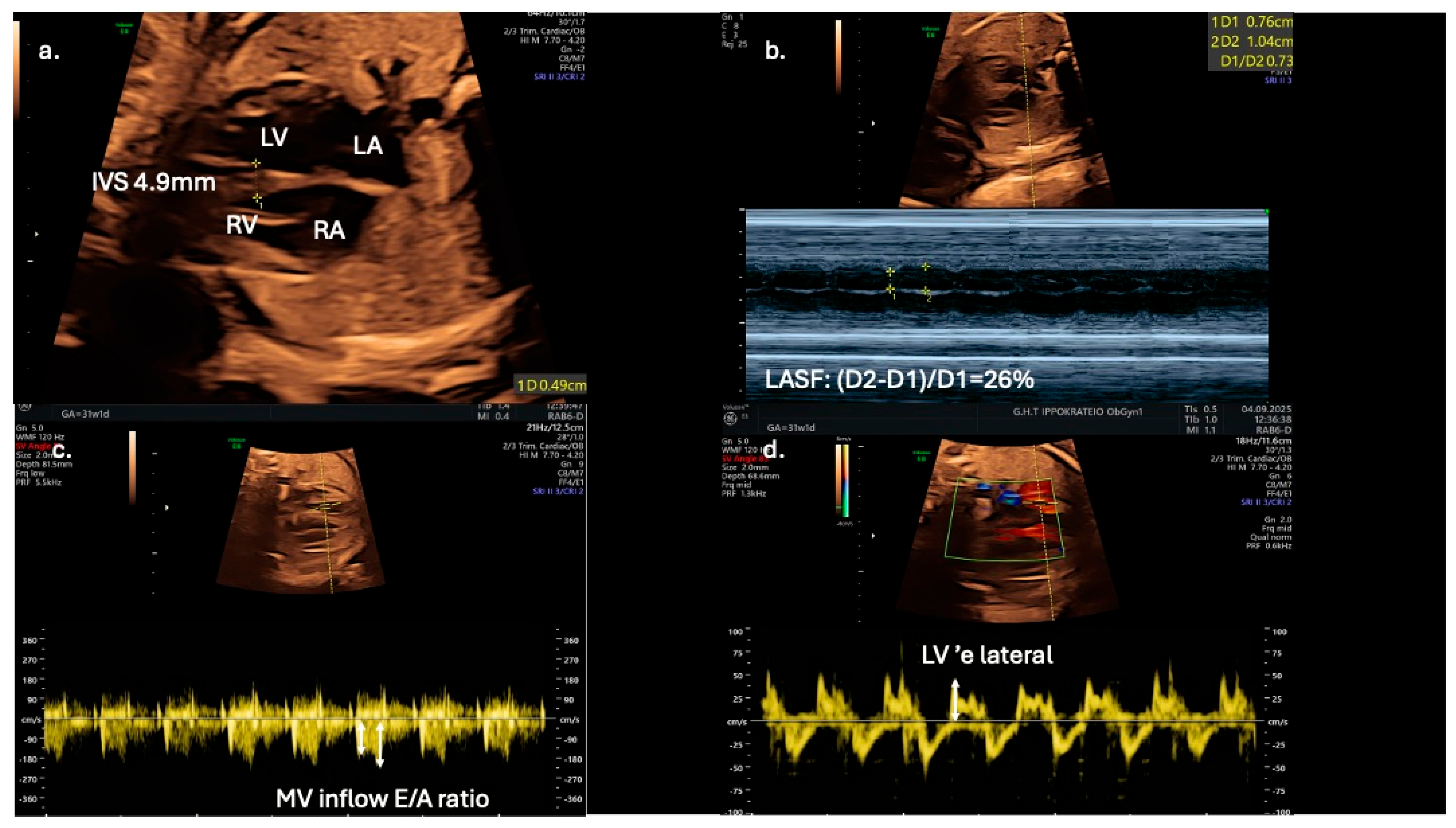
| Mohsin M. et al., 2019 [14] | The purpose of this study was to assess fetal cardiac function in normal fetuses (control group) compared to those who are exposed to gestational diabetes mellitus using different echocardiographic measurements, and to explore the application of left atrial shortening fractioning determination of fetal diastolic function with gestational diabetes mellitus. | 50 women with gestational diabetes and 50 women with a healthy pregnancy were included in the study. | Fetal echocardiography was performed and structural as well as functional fetal cardiac parameters were measured. | Fetuses of gestational diabetic mothers have altered cardiac function even in the absence of septal hypertrophy, and left atrial shortening fraction can be used as a reliable alternate parameter in the assessment of fetal diastolic function. |
| Bogo et al., 2016 [10] | To evaluate cardiac function and structural changes in children of diabetic mothers in the fetal and neonatal period using Doppler-echocardiographic data. | 48 children of mothers with clinically compensated GDM, single pregnancies, and no malformations. | Myocardial thickness, shortening fraction, left ventricular (LVMPI) and right ventricular (RVMPI) myocardial performance index, and mitral and tricuspid valve E/A ratio were evaluated in 96 echocardiographic exams with Doppler. | A decrease in the rate of myocardial hypertrophy and changes in cardiac function parameters were observed in the fetal and neonatal periods. |
| Chen et al., 2022 [8] | Evaluate cardiac geometry and contractility abnormalities in fetuses of women with well-controlled GDM using Fetal HQ. | 80 fetuses of women with well-controlled GDM and 90 control fetuses. | Fetal HQ speckle-tracking technique measuring cardiac shape, global, transverse, and longitudinal contractility. | Despite good glycemic control, abnormal ventricular contractility was present in fetuses of women with GDM, but more frequent in the RV. For both the RV and LV, transverse ventricular contractility abnormality were more prevalent than abnormal global and longitudinal contractility. Fetuses of women with GDM should be evaluated for ventricular contractility abnormality and have more follow-ups despite good glycemic control. |
| Garcia-Flores J. et al., 2011 [15] | To make a global evaluation of the fetal myocardial changes in a well-controlled gestational diabetic population. | 24 well-controlled diabetic pregnant women with well-controlled GDM vs. 16 healthy control pregnancies. | IVS thickness, cardiothoracic index, valvular diameters, myocardial function parameters. | Tendency of interventricular septum hypertrophy was observed even in well-controlled diabetic pregnancies. Mild hypertrophic cardiac changes were not associated with abnormal cardiac function or signs of left ventricular outflow obstruction, although minor changes in right ventricular diastolic function were recorded. |
| Halse et al., 2013 [16] | Explore relationship between serological and morphological markers of cardiac dysfunction and abnormal fetal ECG changes during labor and delivery in diabetic pregnancies. | 99 pregnant women with diabetes (30 type 1, 9 type 2, and 60 GDM) and their newborn offspring. | Umbilical cord blood pro-BNP, neonatal interventricular septal thickness, fetal ECG via STAN technology. | Increased umbilical cord blood pro-BNP is associated with echocardiographic signs of cardiomyopathy and with lower umbilical cord blood pH. |
| Hou et al., 2021 [17] | Assess the ventricular diastolic function of fetuses exposed to GDM by looking into the diagnostic parameters using both the conventional method and Dual-gate Doppler (DD) method and to investigate the potential of DD in the early detection of fetal cardiac diastolic dysfunction. | 56 women diagnosed with GDM and 55 healthy pregnant women between 24 and 30 weeks of gestation. | E/A, e’/a’, and E/e’ ratios measured via Doppler methods. | High blood glucose of women with GDM will cause impaired diastolic function in the fetuses. To assess fetal diastolic function, RV is arguably key when detecting early impairment, since alterations and damage are more likely to happen in RV. Measurement of E/e’ ratio using the DD is considered a feasible and robust method to detect fetal diastolic function in fetal cardiac diastolic function assessment. Good or poor control of the GDM does not have a significant influence on the fetal diastolic function. The early detection of GDM and GDM-induced fetal cardiac dysfunction is necessary. |
| Kulkarni A. et al., 2017 [11] | Assess fetal myocardial deformation in maternal diabetes mellitus and obesity using 2D speckle-tracking echocardiography (2D-STE). | 178 fetuses: 82 fetuses of mothers with diabetes mellitus (FDM), 26 fetuses of mothers with obesity (FO), and 70 normal fetal controls (FC). | GLS, GCS, ALSR, ACSR using 2D-STE. | Fetal myocardial deformation was significantly altered. |
| Miranda et al., 2017 [9] | The aim of this study was to assess the biventricular systolic and diastolic function of fetuses exposed to maternal diabetes (MD) compared with control subjects using a comprehensive cardiac functional assessment and exploring the role of speckle-tracking to assess myocardial deformation. | 129 fetuses (76 exposed to maternal diabetes, 53 controls) with structurally normal hearts examined between 30 and 33 weeks of gestation. | Cardiac morphometry, myocardial performance index, deformation parameters. | Fetuses of mothers with diabetes present signs of biventricular diastolic dysfunction and right ventricular systolic dysfunction by deformation analysis in the third trimester of pregnancy. Two-dimensional speckle-tracking could offer an additional benefit over conventional echocardiography to detect unfavorable subclinical changes in myocardial function in this population |
| Tejaswia et al., 2020 [13] | Investigate fetal cardiac changes in diabetic mothers and controls from 24 weeks to the neonatal period correlating with maternal glycemic control and adverse perinatal/neonatal outcomes. | 185 pregnant women (83 diabetics: 17 overt DM, 66 GDM; 102 healthy controls), studied from 24 weeks to neonatal period with serial fetal echocardiography. | Echocardiographic assessment of IVS thickness, RV/LV structure, E/A ratio, Tei index, annular velocities. | Significant association between fetal myocardial hypertrophy and maternal glycemic control among GDM pregnancies. There is an association between fetal myocardial hypertrophy and some adverse perinatal events, including hypoglycemia. However, these newborns were not found to have clinically relevant cardiac comorbidities even though there was significant septal hypertrophy in utero. |
| Yu et al., 2019 [7] | Evaluate the associations between maternal diabetes diagnosed before or during pregnancy and early-onset cardiovascular disease (CVD) in offspring over four decades. | 2,432,000 liveborn children in Denmark (1977–2016), excluding congenital heart disease cases. | Early onset CVD diagnosis, hospital admission data, maternal diabetes history, Cox regression analysis. | Offspring of diabetic mothers had a 29% increased risk of early-onset CVD, especially those with maternal CVD or diabetic complications. |
3.5. Long-Term Cardiovascular Risks for Offspring of Diabetic Mothers
4. Discussion
4.1. Fetal Diagnostic Imaging Biomarkers
4.2. Biomarkers for Neonatal Cardiomyopathy
4.3. Optimal Maternal Glycemic Control
4.4. Limitations
4.5. Future Perspectives
5. Conclusions
Supplementary Materials
Funding
Institutional Review Board Statement
Informed Consent Statement
Data Availability Statement
Conflicts of Interest
References
- Retnakaran, R.; Qi, Y.; Sermer, M.; Connelly, P.W.; Zinman, B.; Hanley, A.J.G. Comparison of National Diabetes Data Group and American Diabetes Association Diagnostic Criteria for Gestational Diabetes in Their Identification of Postpartum Risk of Glucose Intolerance. Diabetes Res. Clin. Pract. 2009, 85, 40–46. [Google Scholar] [CrossRef] [PubMed]
- Metzger, B.E.; Gabbe, S.G.; Persson, B.; Lowe, L.P.; Dyer, A.R.; Oats, J.J.; Buchanan, T.A. International Association of Diabetes and Pregnancy Study Groups Recommendations on the Diagnosis and Classification of Hyperglycemia in Pregnancy. Diabetes Care 2010, 33, 676–682. [Google Scholar] [CrossRef] [PubMed]
- Nakano, H.; Fajardo, V.M.; Nakano, A. The Role of Glucose in Physiological and Pathological Heart Formation. Dev. Biol. 2021, 475, 222–233. [Google Scholar] [CrossRef] [PubMed]
- Metzger, B.E.; Lowe, L.P.; Dyer, A.R.; Chaovarindr, U.; Hospital, R.; Coustan, D.R.; Hadden, D.R.; McCance, D.R.; Ireland, N.; Hod, M.; et al. Hyperglycemia and adverse pregnancy outcomes. N. Engl. J. Med. 2008, 358, 19. [Google Scholar] [CrossRef]
- Lowe, W.L.; Scholtens, D.M.; Lowe, L.P.; Kuang, A.; Nodzenski, M.; Talbot, O.; Catalano, P.M.; Linder, B.; Brickman, W.J.; Clayton, P.; et al. Association of Gestational Diabetes With Maternal Disorders of Glucose Metabolism and Childhood Adiposity. JAMA 2018, 320, 1005. [Google Scholar] [CrossRef] [PubMed]
- Tam, C.H.T.; Ma, R.C.W.; Yuen, L.Y.; Ozaki, R.; Li, A.M.; Hou, Y.; Chan, M.H.M.; Ho, C.S.; Yang, X.; Chan, J.C.N.; et al. The Impact of Maternal Gestational Weight Gain on Cardiometabolic Risk Factors in Children. Diabetologia 2018, 61, 2539–2548. [Google Scholar] [CrossRef] [PubMed]
- Yu, Y.; Arah, O.A.; Liew, Z.; Cnattingius, S.; Olsen, J.; Sørensen, H.T.; Qin, G.; Li, J. Maternal Diabetes during Pregnancy and Early Onset of Cardiovascular Disease in Offspring: Population Based Cohort Study with 40 Years of Follow-Up. BMJ 2019, 367, l6398. [Google Scholar] [CrossRef] [PubMed]
- Chen, Y.; Chen, Q.; Wu, Y.; Wang, H.; Fan, Q.; Lei, W.; Zhang, R.; Liang, Y.; Wang, H. Fetal Cardiac Geometry and Function in Pregnancies with Well-Controlled Gestational Diabetes Mellitus Using Fetal HQ. J. Matern.-Fetal Neonatal Med. 2022, 35, 8331–8337. [Google Scholar] [CrossRef] [PubMed]
- Miranda, J.O.; Cerqueira, R.J.; Ramalho, C.; Areias, J.C.; Henriques-Coelho, T. Fetal Cardiac Function in Maternal Diabetes: A Conventional and Speckle-Tracking Echocardiographic Study. J. Am. Soc. Echocardiogr. 2018, 31, 333–341. [Google Scholar] [CrossRef] [PubMed]
- Bogo, M.A.; Pabis, J.S.; Bonchoski, A.B.; Santos, D.C.D.; Pinto, T.J.F.; Simões, M.A.; Silva, J.C.; Pabis, F.C. Cardiomyopathy and Cardiac Function in Fetuses and Newborns of Diabetic Mothers. J. Pediatr. 2021, 97, 520–524. [Google Scholar] [CrossRef] [PubMed]
- Kulkarni, A.; Li, L.; Craft, M.; Nanda, M.; Lorenzo, J.M.M.; Danford, D.; Kutty, S. Fetal Myocardial Deformation in Maternal Diabetes Mellitus and Obesity. Ultrasound Obstet. Gynecol. 2017, 49, 630–636. [Google Scholar] [CrossRef] [PubMed]
- Bhorat, I.E.; Bagratee, J.S.; Pillay, M.; Reddy, T. Use of the Myocardial Performance Index as a Prognostic Indicator of Adverse Fetal Outcome in Poorly Controlled Gestational Diabetic Pregnancies. Prenat. Diagn. 2014, 34, 1301–1306. [Google Scholar] [CrossRef] [PubMed]
- Mrudhula Tejaswi, G.; Samanth, J.; Vasudeva, A.; Lewis, L.; Kumar, P.; Nayak, K.; Padmakumar, R. Fetal Echocardiography at Term in Diabetic Pregnancies Helps Predict the Adverse Neonatal Outcome—Results of a Prospective Observational Study from South India. Indian Heart J. 2020, 72, 576–581. [Google Scholar] [CrossRef] [PubMed]
- Mohsin, M.; Sadqani, S.; Younus, K.; Hoodbhoy, Z.; Ashiqali, S.; Atiq, M. Evaluation of Cardiac Function in Fetuses of Mothers with Gestational Diabetes. Cardiol. Young 2019, 29, 1264–1267. [Google Scholar] [CrossRef] [PubMed]
- Garcia-Flores, J.; Jañez, M.; Gonzalez, M.C.; Martinez, N.; Espada, M.; Gonzalez, A. Fetal Myocardial Morphological and Functional Changes Associated with Well-Controlled Gestational Diabetes. Eur. J. Obstet. Gynecol. Reprod. Biol. 2011, 154, 24–26. [Google Scholar] [CrossRef] [PubMed]
- Halse, K.G.; Lindegaard, M.L.S.; Amer-Wahlin, I.; Hertel, S.; Johansen, M.; Nielsen, L.B.; Goetze, J.P.; Mathiesen, E.R.; Damm, P. Cardiac Function in Offspring of Women with Diabetes Using Fetal ECG, Umbilical Cord Blood pro-BNP, and Neonatal Interventricular Septal Thickness. Cardiovasc. Endocrinol. 2013, 2, 55–59. [Google Scholar] [CrossRef]
- Hou, Q.; Yan, F.; Dong, X.; Liu, H.; Wu, J.; Li, J.; Ding, Y.; Perovic, M. Assessment of Fetal Cardiac Diastolic Function of Gestational Diabetes Mellitus Using Dual-Gate Doppler. Medicine 2021, 100, e26645. [Google Scholar] [CrossRef] [PubMed]
- Chaudhari, M.; Brodlie, M.; Hasan, A. Hypertrophic cardiomyopathy and transposition of great arteries associated with maternal diabetes and presumed gestational diabetes. Acta Paediatr. Int. J. Paediatr. 2008, 97, 1755–1757. [Google Scholar] [CrossRef] [PubMed]




| Component | Description |
|---|---|
| P | Pregnant individuals diagnosed with gestational diabetes mellitus (GDM) |
| I | Presence of GDM as diagnosed by established clinical criteria |
| C | Pregnancies without GDM |
| O | Fetal heart anomalies, including structural defects and functional impairments resulting in fetal cardiomyopathy |
Disclaimer/Publisher’s Note: The statements, opinions and data contained in all publications are solely those of the individual author(s) and contributor(s) and not of MDPI and/or the editor(s). MDPI and/or the editor(s) disclaim responsibility for any injury to people or property resulting from any ideas, methods, instructions or products referred to in the content. |
© 2025 by the authors. Licensee MDPI, Basel, Switzerland. This article is an open access article distributed under the terms and conditions of the Creative Commons Attribution (CC BY) license (https://creativecommons.org/licenses/by/4.0/).
Share and Cite
Tsokkou, S.; Konstantinidis, I.; Keramas, A.; Anastasiou, V.; Matsas, A.; Florou, M.; Arvanitaki, A.; Peteinidou, E.; Karamitsos, T.; Giannakoulas, G.; et al. Cardiac Aftermath of Gestational Diabetes—From Intrauterine Impact to Lifelong Complications: A Systematic Review. J. Dev. Biol. 2025, 13, 44. https://doi.org/10.3390/jdb13040044
Tsokkou S, Konstantinidis I, Keramas A, Anastasiou V, Matsas A, Florou M, Arvanitaki A, Peteinidou E, Karamitsos T, Giannakoulas G, et al. Cardiac Aftermath of Gestational Diabetes—From Intrauterine Impact to Lifelong Complications: A Systematic Review. Journal of Developmental Biology. 2025; 13(4):44. https://doi.org/10.3390/jdb13040044
Chicago/Turabian StyleTsokkou, Sophia, Ioannis Konstantinidis, Antonios Keramas, Vasileios Anastasiou, Alkis Matsas, Maria Florou, Alexandra Arvanitaki, Emmanouela Peteinidou, Theodoros Karamitsos, George Giannakoulas, and et al. 2025. "Cardiac Aftermath of Gestational Diabetes—From Intrauterine Impact to Lifelong Complications: A Systematic Review" Journal of Developmental Biology 13, no. 4: 44. https://doi.org/10.3390/jdb13040044
APA StyleTsokkou, S., Konstantinidis, I., Keramas, A., Anastasiou, V., Matsas, A., Florou, M., Arvanitaki, A., Peteinidou, E., Karamitsos, T., Giannakoulas, G., Dagklis, T., Papamitsou, T., Ziakas, A., & Kamperidis, V. (2025). Cardiac Aftermath of Gestational Diabetes—From Intrauterine Impact to Lifelong Complications: A Systematic Review. Journal of Developmental Biology, 13(4), 44. https://doi.org/10.3390/jdb13040044

