Investigation of HoxB3 and Growth Factors Expression in Placentas of Various Gestational Ages
Abstract
:1. Introduction
2. Materials and Methods
2.1. Study Design and Participants
2.2. Anthropometric and Clinical Data
2.3. Sample Collection
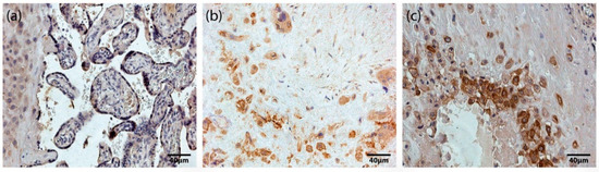
2.4. Immunohistochemistry
- HoxB3 (rabbit, polyclonal, working dilution 1:100, Santa Cruz Biotechnology, Inc., Dallas, TX, USA),
- TGFβ (mouse, monoclonal, working dilution 1:1000, Abcam, Cambridge, UK),
- HGF (goat, polyclonal, working dilution 1:300, R&D Systems, Wiesbaden, Germany),
- FGF-2 (rabbit, polyclonal, working dilution 1:200, Abcam, Cambridge, UK),
- FGFR1 (rabbit, polyclonal, working dilution 1:100, Abcam, Cambridge, UK).
2.5. Statistical Analysis
3. Results
4. Discussion
5. Conclusions
Author Contributions
Funding
Institutional Review Board Statement
Informed Consent Statement
Data Availability Statement
Acknowledgments
Conflicts of Interest
References
- Murthi, P.; Rajaraman, G.; Brennecke, S.P.; Kalionis, B. The role of placental homeobox genes in human fetal growth restriction. J. Pregnancy 2011, 2011, 548171. [Google Scholar] [CrossRef]
- Alharbi, R.A.; Pettengell, R.; Pandha, H.S.; Morgan, R. The role of HOX genes in normal hematopoiesis and acute leukemia. Leukemia 2012, 27, 1000–1008. [Google Scholar] [CrossRef] [PubMed] [Green Version]
- Bhatlekar, S.; Fields, J.Z.; Boman, B.M. Role of HOX Genes in Stem Cell Differentiation and Cancer. Stem Cells Int. 2018, 2018, 3569493. [Google Scholar] [CrossRef] [PubMed] [Green Version]
- Chen, J.; Zhu, S.; Jiang, N.; Chang, Z.; Quan, C.; Yuanjie, N. HoxB3 promotes prostate cancer cell progression by transactivating CDCA3. Cancer Lett. 2013, 330, 217–221. [Google Scholar] [CrossRef] [PubMed]
- Murthi, P. Review: Placental homeobox genes and their role in regulating human fetal growth. Placenta 2014, 35, 46–50. [Google Scholar] [CrossRef] [PubMed]
- Zhong, W.; Peng, H.; Tian, A.; Wei, Y.; Li, H.; Tian, J.; Zhao, X. Expression of miRNA-1233 in placenta from patients with hypertensive disorder complicating pregnancy and its role in disease pathogenesis. Int. J. Clin. Exp. Med. 2015, 8, 9121–9127. [Google Scholar]
- Chen, H.; Fan, Y.; Xu, W.; Chen, J.; Xu, C.; Wei, X.; Feng, Y. miR-10b Inhibits Apoptosis and Promotes Proliferation and Invasion of Endometrial Cancer Cells via Targeting HOXB3. Cancer Biother. Radiopharm. 2016, 31, 225–231. [Google Scholar] [CrossRef] [PubMed]
- Xu, K.; Qiu, C.; Pei, H.; Mehmood, M.A.; Wang, H.; Li, L.; Xia, Q. Homeobox B3 promotes tumor cell proliferation and invasion in glioblastoma. Oncol. Lett. 2018, 15, 3712–3718. [Google Scholar] [CrossRef] [Green Version]
- Cui, M.; Chen, M.; Shen, Z.; Wang, R.; Fang, X.; Song, B. LncRNA-UCA1 modulates progression of colon cancer through regulating the miR-28-5p/HOXB3 axis. J. Cell. Biochem. 2019, 120, 6926–6936. [Google Scholar] [CrossRef]
- Kidokoro, Y.; Sakabe, T.; Haruki, T.; Kadonga, T.; Nosaka, K.; Nakamura, H.; Umekita, Y. Gene expression profiling by targeted RNA sequencing in pathological stage I lung adenocarcinoma with a solid component. Lung Cancer 2020, 147, 56–63. [Google Scholar] [CrossRef]
- Zhu, L.; Yu, S.; Jiang, S.; Ge, G.; Yan, Y.; Zhou, Y.; Niu, L.; He, J.; Ren, Y.; Wang, B. Loss of HOXB3 correlates with the development of hormone receptor negative breast cancer. PeerJ 2020, 8, e10421. [Google Scholar] [CrossRef] [PubMed]
- Taylor, H.S. The role of HOX genes in the development and function of the female reproductive tract. Semin. Reprod. Med. 2000, 18, 81–89. [Google Scholar] [CrossRef] [PubMed]
- Cakmak, H.; Taylor, H.S. Molecular mechanisms of treatment resistance in endometriosis: The role of progesterone-hox gene interactions. Semin. Reprod. Med. 2010, 28, 69–74. [Google Scholar] [CrossRef] [PubMed] [Green Version]
- Zanatta, A.; Rocha, A.M.; Carvalho, F.M.; Pereira, R.M.A.; Taylor, H.S.; Motta, E.L.A.; Baracat, E.C.; Serafini, P.C. The role of the Hoxa10/HOXA10 gene in the etiology of endometriosis and its related infertility: A review. J. Assist. Reprod. Genet. 2010, 27, 701–710. [Google Scholar] [CrossRef] [PubMed] [Green Version]
- Vitiello, D.; Kodaman, P.H.; Taylor, H.S. HOX genes in implantation. Semin. Reprod. Med. 2007, 25, 431–436. [Google Scholar] [CrossRef] [PubMed]
- Lu, Z.; Hardt, J.; Kim, J.J. Global analysis of genes regulated by HOXA10 in decidualization reveals a role in cell proliferation. Mol. Hum. Reprod. 2008, 14, 357–366. [Google Scholar] [CrossRef] [Green Version]
- Amesse, L.S.; Moulton, R.; Zhang, Y.M.; Pfaff-Amesse, T. Expression of HOX gene products in normal and abnormal trophoblastic tissue. Gynecol. Oncol. 2003, 90, 512–518. [Google Scholar] [CrossRef]
- Zhang, Y.M.; Xu, B.; Rote, N.; Peterson, L.; Amesse, L.S. Expression of homeobox gene transcripts in trophoblastic cells. Am. J. Obstet. Gynecol. 2002, 187, 24–32. [Google Scholar] [CrossRef]
- Zhou, J.; Guo, X.; Sun, Y.; Ma, L.; Zhe, R. Levels of serum Hoxb3 and sFlt-1 in pre-eclamptic patients and their effects on pregnancy outcomes. J. Obstet. Gynaecol. Res. 2020, 46, 2010–2018. [Google Scholar] [CrossRef]
- Nova-Lampeti, E.; Aguilera, V.; Oporto, K.; Guzmán, P.; Ormazábal, V.; Zúñiga, F.; Escudero, C.; Aguayo, C. Hox Genes in Adult Tissues and Their Role in Endothelial Cell Differentiation and Angiogenesis. In Endothelial Dysfunction; Lenasi, H., Ed.; IntechOpen: London, UK, 2018; pp. 677–763. [Google Scholar]
- Xuan, Y.H.; Choi, Y.L.; Shin, Y.K.; Ahn, G.H.; Kim, K.H.; Kim, W.J.; Lee, H.C.; Kim, S.H. Expression of TGF-beta signaling proteins in normal placenta and gestational trophoblastic disease. Histol. Histopathol. 2007, 22, 227–234. [Google Scholar]
- Lafontaine, L.; Chaudhry, P.; Lafleur, M.-J.; Van Themsche, C.; Soares, M.J.; Asselin, E. Transforming growth factor beta regulates proliferation and invasion of rat placental cell lines. Biol. Reprod. 2011, 84, 553–559. [Google Scholar] [CrossRef] [PubMed]
- Nakamura, T. Structure and function of hepatocyte growth factor. Prog. Growth Factor Res. 1991, 3, 67–85. [Google Scholar] [CrossRef]
- Uehara, Y.; Minowa, O.; Mori, C. Placental defect and embryonic lethality in mice lacking hepatocyte growth factor/scatter factor. Nature 1995, 373, 702–705. [Google Scholar] [CrossRef]
- Scarborough, J.E.; Smith, M.L.; Domkowski, P.W.; Diodato, L.H.; Pippen, A.M.; Smith, P.K.; Annex, B.H.; Landolfo, K.P. Basic fibroblast growth factor is upregulated in hibernating myocardium. J. Surg. Res. 2002, 107, 119–123. [Google Scholar] [CrossRef]
- Wei, P.; Yu, F.Q.; Chen, X.L.; Tao, S.X.; Han, C.S.; Liu, Y.X. VEGF, bFGF and their receptors at the fetal-maternal interface of the rhesus monkey. Placenta 2004, 25, 184–196. [Google Scholar] [CrossRef] [PubMed]
- Sun, H.J.; Cai, W.W.; Gong, L.L.; Wang, X.; Zhu, X.X.; Wan, M.Y.; Wang, P.Y.; Qiu, L.Y. FGF-2-mediated FGFR1 signaling in human microvascular endothelial cells is activated by vaccarin to promote angiogenesis. Biomed. Pharmacother. 2017, 95, 144–152. [Google Scholar] [CrossRef]
- Woodbury, M.E.; Ikezu, T. Fibroblast growth factor-2 signaling in neurogenesis and neurodegeneration. J. Neuroimmune. Phamacol. 2014, 9, 92–101. [Google Scholar] [CrossRef] [Green Version]
- Dell’Era, P.; Ronca, R.; Coco, L.; Nicoli, S.; Metra, M.; Presta, M. Fibroblast growth factor receptor-1 is essential for in vitro cardiomyocyte development. Circulation 2003, 93, 414–420. [Google Scholar] [CrossRef]
- Stefanini, M.; De Martino, C.; Zamboni, L. Fixation of ejaculated spermatozoa for electron microscopy. Nature 1967, 216, 173–174. [Google Scholar] [CrossRef]
- Hsu, S.M.; Raine, L.; Fanger, H. The use of antiavidin antibody and avidin-biotin-peroxidase complex in immunoperoxidase technics. Am. J. Clin. Pathol. 1981, 75, 816–821. [Google Scholar] [CrossRef]
- Pilmane, M.; Rumba, I.; Sundler, F.; Luts, A. Patterns of distribution and occurrence of neuroendocrine elements in lungs of humans with chronic lung diseases. Proc. Latv. Acad. Sci. Sect. B 1998, 52, 144–152. [Google Scholar]
- Riffenburgh, R.H.; Gillen, D.L. Equivalence testing. In Statistics in Medicine, 4th ed.; Elsevier Inc.: San Diego, CA, USA, 2020; Chapter 12; pp. 295–309. [Google Scholar]
- Riffenburgh, R.H.; Gillen, D.L. Linear regression and correlation. In Statistics in Medicine, 4th ed.; Elsevier Inc.: San Diego, CA, USA, 2020; Chapter 15; pp. 375–390. [Google Scholar]
- Shehata, F.; Levin, I.; Shrim, A.; Ata, B.; Weisz, B.; Gamzu, R.; Almog, B. Placenta/birthweight ratio and perinatal outcome: A retrospective cohort analysis. BJOG 2011, 118, 741–747. [Google Scholar] [CrossRef] [PubMed]
- Roland, M.C.P.; Friis, C.M.; Voldner, N.; Godang, K.; Bollerslev, J.; Haugen, G.; Henriksen, T. Fetal growth versus birthweight: The role of placenta versus other determinants. PLoS ONE 2012, 7, e39324. [Google Scholar] [CrossRef] [PubMed]
- Han, B.; Zheng, Z.; Ren, J.; Qiu, W.; Li, X. Analysis of methylation datasets identified significantly changed genes and functional pathways in osteoarthritis. Clin. Rheumatol. 2019, 38, 3529–3538. [Google Scholar] [CrossRef] [PubMed]
- Timirci-Kahraman, O.; Karaaslan, Z.; Tuzun, E.; Kurtuncu, M.; Maykal, A.T.; Gunduz, T.; Tuzuner, M.B.; Akung, E.; Gurel, B.; Eraksoy, M.; et al. Identification of candidate biomarkers in converting and non-converting clinically isolated syndrome by proteomics analysis of cerebrospinal fluid. Acta Neurol. Belg. 2019, 119, 101–111. [Google Scholar] [CrossRef]
- Tamam, Y.; Gunes, B.; Akbayir, E.; Kizilay, T.; Karaaslan, Z.; Koral, G.; Duzel, B.; Kucukali, C.I.; Gunduz, T.; Kurtuncu, M.; et al. CSF levels of HoxB3 and YKL-40 may predict conversion from clinically isolated syndrome to relapsing remitting multiple sclerosis. Mult. Scler. Relat. Disord. 2020, 48, 102697. [Google Scholar] [CrossRef] [PubMed]
- Zhang, J.; Chen, R.; Shi, F.; Yang, P.; Sun, K.; Yang, X.; Jin, Y. Genome-wide data mining to construct a competing endogenous RNA network and reveal the pivotal therapeutic targets of Parkinson’s disease. J. Cell. Mol. Med. 2020, 25, 5912–5923. [Google Scholar] [CrossRef]
- de Sousa Lopess, S.M.C.; Alexdottir, M.S.; Vladimarsdottir, G. The TGFβ family in human placental development at the fetal-maternal interface. Biomolecules 2020, 10, 453. [Google Scholar] [CrossRef] [Green Version]
- Singh, M.; Orazulike, N.C.; Ashmore, J.; Konje, J.C. Changes in maternal serum transforming growth factor beta-1 during pregnancy: A cross-sectional study. BioMed Res. Intern. 2013, 318464. [Google Scholar] [CrossRef] [Green Version]
- Hernandez-Valencia, M.; Zarate, A.; Ochoa, R.; Fonseca, M.E.; Amato, D.; De Jesus Ortiz, M. Insulin-like growth factor I, epidermal growth factor and transforming growth factor beta expression and their association with intrauterine fetal growth retardation, such as development during human pregnancy. Diabetes Obes. Metab. 2001, 3, 457–462. [Google Scholar] [CrossRef]
- Dai, C.; Saleem, M.A.; Holzman, L.B.; Mathieson, P.; Liu, Y. Hepatocyte growth factor signaling ameliorates podocyte injury and proteinuria. Kidney Intern. 2010, 77, 962–973. [Google Scholar] [CrossRef] [PubMed] [Green Version]
- Mungunsukh, O.; McCart, E.A.; Day, R.M. Hepatocyte growth factor isoforms in tissue repair, cancer, and fibrotic remodeling. Biomedicines 2014, 2, 301–326. [Google Scholar] [CrossRef] [Green Version]
- Travaglino, A.; Raffone, A.; Saccone, G.; Migliorini, S.; Maruotti, G.M.; Esposito, G.; Mollo, A.; Martinelli, P.; Zullo, F.; D’Armiento, M. Placental morphology, apoptosis, angiogenesis and epithelial mechanisms in early-onset preeclampsia. Eur. J. Obstet. Gynecol. Reprod. Biol. 2019, 234, 200–206. [Google Scholar] [CrossRef] [PubMed]
- Ueno, M.; Lee, L.K.; Chhabra, A.; Kim, Y.J.; Sasidharan, R.; Handel, B.; Wang, Y.; Kamata, P.; Sereti, K.; Ardehali, R.; et al. c-Met-dependent multipotent labyrinth trophoblast progenitors establish placental exchange interface. Dev. Cell 2014, 27, 373–386. [Google Scholar] [CrossRef] [PubMed] [Green Version]
- Feng, L.; Zhang, H.; Wang, W.; Zheng, J.; Chen, D. Compartmentalizing proximal FGFR1 signaling in ovine placental artery endothelial cell caveolae. Biol. Reprod. 2012, 87, 1–9. [Google Scholar] [CrossRef] [PubMed]
- Barut, F.; Barut, A.; Gun, B.D.; Kandemir, N.O.; Harma, M.I.; Harma, M.; Aktunc, E.; Ozdamar, S.O. Intrauterine growth restriction and placental angiogenesis. Diagn. Pathol. 2010, 5, 24. [Google Scholar] [CrossRef] [PubMed] [Green Version]
- Ozawa, M.; Yang, Q.; Ealy, A.D. The expression of fibroblast growth factor receptors during early bovine conceptus development and pharmacological analysis of their actions on trophoblast growth in vitro. Reproduction 2013, 142, 191–201. [Google Scholar] [CrossRef]
- Ozkan, S.; Vural, B.; Filiz, S.; Costur, P.; Dalcik, H. Placental expression of insulin-like growth factor-I, fibroblast growth factor-basic, and neural cell adhesion molecule in preeclampsia. J. Matern. Fetal. Neonatal. Med. 2008, 21, 831–838. [Google Scholar] [CrossRef]
- Denans, N.; Iimura, T.; Pourquié, O. Hox genes control vertebrate body elongation by collinear Wnt repression. Elife 2015, 26, e04379. [Google Scholar] [CrossRef]


| Parameter | Minimum | Maximum | Mean ± Standard Deviation |
|---|---|---|---|
| Weight before pregnancy (kg) | 46 | 109 | 65.82 ± 12.75 |
| Body height (cm) | 150 | 182 | 166.33 ± 7.025 |
| BMI before pregnancy (kg/m2) | 17.20 | 42.60 | 23.74 ± 4.74 |
| Weight gain during pregnancy (kg) | 0 | 26 | 10.90 ± 5.81 |
| Pregnancy | 1 | 7 | 2.59 ± 1.64 |
| Delivery | 1 | 6 | 1.75 ± 0.98 |
Publisher’s Note: MDPI stays neutral with regard to jurisdictional claims in published maps and institutional affiliations. |
© 2021 by the authors. Licensee MDPI, Basel, Switzerland. This article is an open access article distributed under the terms and conditions of the Creative Commons Attribution (CC BY) license (https://creativecommons.org/licenses/by/4.0/).
Share and Cite
Kreicberga, I.; Junga, A.; Pilmane, M. Investigation of HoxB3 and Growth Factors Expression in Placentas of Various Gestational Ages. J. Dev. Biol. 2022, 10, 2. https://doi.org/10.3390/jdb10010002
Kreicberga I, Junga A, Pilmane M. Investigation of HoxB3 and Growth Factors Expression in Placentas of Various Gestational Ages. Journal of Developmental Biology. 2022; 10(1):2. https://doi.org/10.3390/jdb10010002
Chicago/Turabian StyleKreicberga, Ilze, Anna Junga, and Māra Pilmane. 2022. "Investigation of HoxB3 and Growth Factors Expression in Placentas of Various Gestational Ages" Journal of Developmental Biology 10, no. 1: 2. https://doi.org/10.3390/jdb10010002
APA StyleKreicberga, I., Junga, A., & Pilmane, M. (2022). Investigation of HoxB3 and Growth Factors Expression in Placentas of Various Gestational Ages. Journal of Developmental Biology, 10(1), 2. https://doi.org/10.3390/jdb10010002

