Gintonin Stimulates Glucose Uptake in Myocytes: Involvement of Calcium and Extracellular Signal-Regulated Kinase Signaling
Abstract
1. Introduction
2. Materials and Methods
2.1. Materials
2.2. Cell Culture
2.3. Cell Viability Assay
2.4. Measurement of [Ca2+]i in Cell Suspensions
2.5. ATP Assay
2.6. Glucose Uptake Assay
2.7. Glycogen Content Assay
2.8. Immunoblotting
2.9. GLUT4 Expression Assay
2.10. Statistical Analysis
3. Results
3.1. Intracellular Calcium Transient by Gintonin in C2C12 Myotubes
3.2. Gintonin-Induced Glucose Uptake in C2C12 Myotubes
3.3. Effect of Gintonin on ATP and Glycogen Content of C2C12 Myotubes
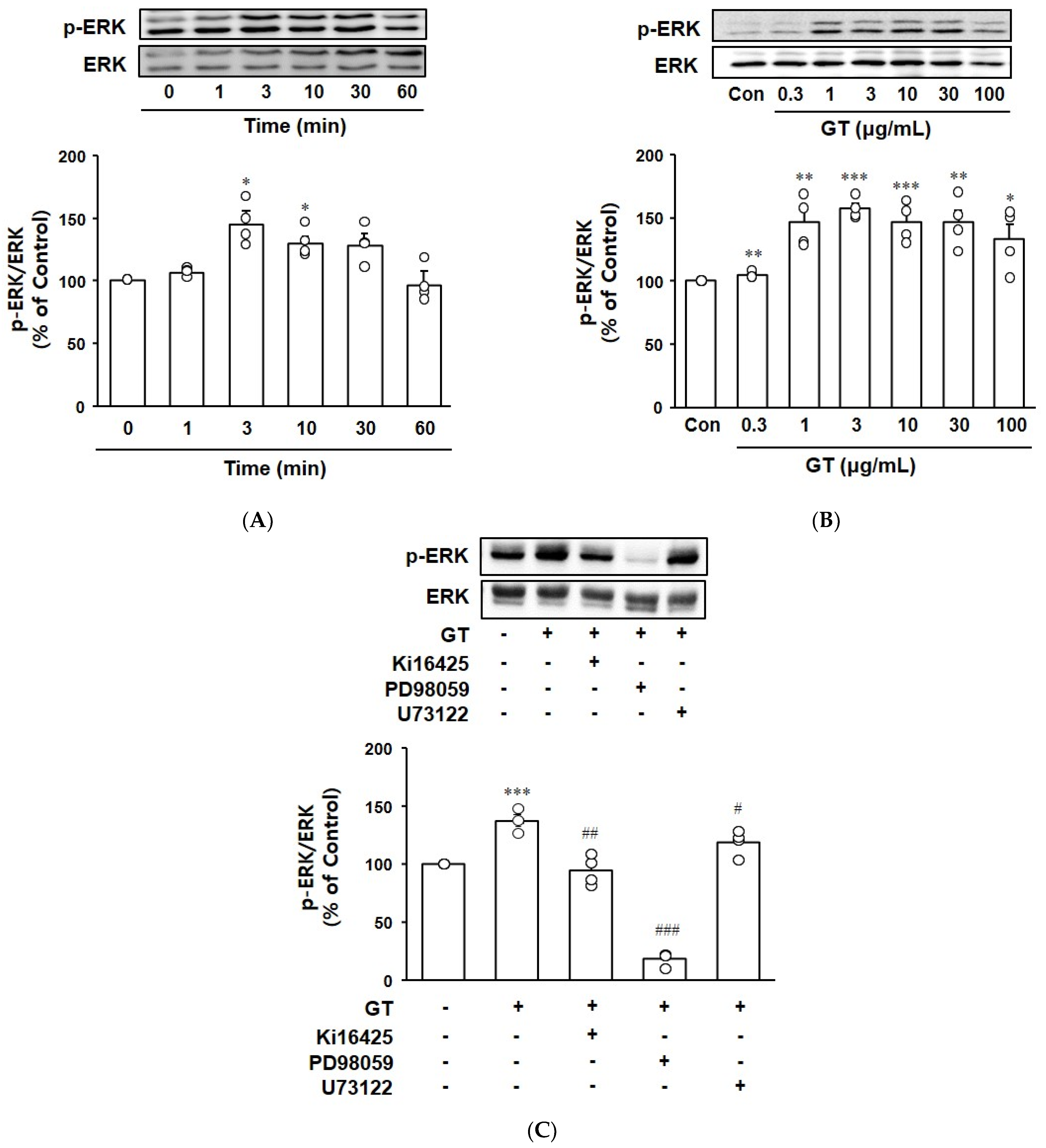
3.4. Effect of Gintonin on ERK Phosphorylation in C2C12 Myotubes
3.5. Effect of Gintonin on GLUT4 Expression and Translocation in C2C12 Myotubes
4. Discussion
Supplementary Materials
Author Contributions
Funding
Institutional Review Board Statement
Informed Consent Statement
Data Availability Statement
Conflicts of Interest
References
- Santilli, V.; Bernetti, A.; Mangone, M.; Paoloni, M. Clinical definition of sarcopenia. Clin. Cases Miner. Bone Metab. 2014, 11, 177–180. [Google Scholar] [CrossRef]
- Nishikawa, H.; Fukunishi, S.; Asai, A.; Yokohama, K.; Ohama, H.; Nishiguchi, S.; Higuchi, K. Sarcopenia, frailty and type 2 diabetes mellitus (Review). Mol. Med. Rep. 2021, 24, 854. [Google Scholar] [CrossRef]
- Daily, J.W.; Park, S. Sarcopenia is a cause and consequence of metabolic dysregulation in aging humans: Effects of gut dysbiosis, glucose dysregulation, diet and lifestyle. Cells 2022, 11, 338. [Google Scholar] [CrossRef]
- Chen, H.; Huang, X.; Dong, M.; Wen, S.; Zhou, L.; Yuan, X. The association between sarcopenia and diabetes: From pathophysiology mechanism to therapeutic strategy. Diabetes Metab. Syndr. Obes. 2023, 16, 1541–1554. [Google Scholar] [CrossRef]
- Galicia-Garcia, U.; Benito-Vicente, A.; Jebari, S.; Larrea-Sebal, A.; Siddiqi, H.; Uribe, K.B.; Ostolaza, H.; Martín, C. Pathophysiology of type 2 diabetes mellitus. Int. J. Mol. Sci. 2020, 21, 6275. [Google Scholar] [CrossRef]
- Chadt, A.; Al-Hasani, H. Glucose transporters in adipose tissue, liver, and skeletal muscle in metabolic health and disease. Pflugers Arch. 2020, 472, 1273–1298. [Google Scholar] [CrossRef]
- Evans, P.L.; McMillin, S.L.; Weyrauch, L.A.; Witczak, C.A. Regulation of skeletal muscle glucose transport and glucose metabolism by exercise training. Nutrients 2019, 11, 2432. [Google Scholar] [CrossRef]
- Merz, K.E.; Thurmond, D.C. Role of skeletal muscle in insulin resistance and glucose uptake. Compr. Physiol. 2020, 10, 785–809. [Google Scholar] [CrossRef]
- Alvim, R.O.; Cheuhen, M.R.; Machado, S.R.; Sousa, A.G.; Santos, P.C. General aspects of muscle glucose uptake. An. Acad. Bras. Cienc. 2015, 87, 351–368. [Google Scholar] [CrossRef]
- Kim, M.S.; Lee, J.; Ha, J.; Kim, S.S.; Kong, Y.; Cho, Y.H.; Baik, H.H.; Kang, I. ATP stimulates glucose transport through activation of P2 purinergic receptors in C2C12 skeletal muscle cells. Arch. Biochem. Biophys. 2002, 401, 205–214. [Google Scholar] [CrossRef]
- Huang, S.; Czech, M.P. The GLUT4 glucose transporter. Cell Metab. 2007, 5, 237–252. [Google Scholar] [CrossRef]
- Ma, C.J.; Nie, A.F.; Zhang, Z.J.; Zhang, Z.G.; Du, L.; Li, X.Y.; Ning, G. Genipin stimulates glucose transport in C2C12 myotubes via an IRS-1 and calcium-dependent mechanism. J. Endocrinol. 2013, 216, 353–362. [Google Scholar] [CrossRef]
- Klip, A.; Schertzer, J.D.; Bilan, P.J.; Thong, F.; Antonescu, C. Regulation of glucose transporter 4 traffic by energy deprivation from mitochondrial compromise. Acta Physiol. 2009, 196, 27–35. [Google Scholar] [CrossRef]
- Ahmad, S.S.; Chun, H.J.; Ahmad, K.; Choi, I. Therapeutic applications of ginseng for skeletal muscle-related disorder management. J. Ginseng Res. 2024, 48, 12–19. [Google Scholar] [CrossRef]
- Choi, S.H.; Lee, R.; Nam, S.M.; Kim, D.G.; Cho, I.H.; Kim, H.C.; Cho, Y.; Rhim, H.; Nah, S.Y. Ginseng gintonin, aging societies, and geriatric brain diseases. Integr. Med. Res. 2021, 10, 100450. [Google Scholar] [CrossRef]
- Hwang, S.H.; Shin, T.J.; Choi, S.H.; Cho, H.J.; Lee, B.H.; Pyo, M.K.; Lee, J.H.; Kang, J.; Kim, H.J.; Park, C.W.; et al. Gintonin, newly identified compounds from ginseng, is novel lysophosphatidic acids-protein complexes and activates G protein-coupled lysophosphatidic acid receptors with high affinity. Mol. Cells 2012, 33, 151–162. [Google Scholar] [CrossRef]
- Won, K.J.; Lee, R.; Choi, S.H.; Kim, J.H.; Hwang, S.H.; Nah, S.Y. Gintonin-induced wound-healing-related responses involve epidermal-growth-factor-like effects in keratinocytes. Int. J. Mol. Sci. 2023, 24, 14094. [Google Scholar] [CrossRef]
- Yea, K.; Kim, J.; Lim, S.; Park, H.S.; Park, K.S.; Suh, P.G.; Ryu, S.H. Lysophosphatidic acid regulates blood glucose by stimulating myotube and adipocyte glucose uptake. J. Mol. Med. 2008, 86, 211–220. [Google Scholar] [CrossRef]
- Cho, Y.J.; Choi, S.H.; Lee, R.; Hwang, H.; Rhim, H.; Cho, I.H.; Kim, H.C.; Lee, J.I.; Hwang, S.H.; Nah, S.Y. Ginseng gintonin contains ligands for GPR40 and GPR55. Molecules 2020, 25, 1102. [Google Scholar] [CrossRef]
- Jin, H.; Oh, H.J.; Nah, S.Y.; Lee, B.Y. Gintonin-enriched fraction protects against sarcopenic obesity by promoting energy expenditure and attenuating skeletal muscle atrophy in high-fat diet-fed mice. J. Ginseng Res. 2022, 46, 454–463. [Google Scholar] [CrossRef]
- Choi, S.H.; Shin, T.J.; Lee, B.H.; Hwang, S.H.; Kang, J.; Kim, H.J.; Park, C.W.; Nah, S.Y. An edible gintonin preparation from ginseng. J. Ginseng Res. 2011, 35, 471–478. [Google Scholar] [CrossRef]
- Kim, S.; Go, G.W.; Imm, J.Y. Promotion of glucose uptake in C2C12 myotubes by cereal flavone tricin and its underlying molecular mechanism. J. Agric. Food Chem. 2017, 65, 3819–3826. [Google Scholar] [CrossRef]
- Meyer Zu Heringdorf, D. Lysophospholipid receptor-dependent and -independent calcium signaling. J. Cell Biochem. 2004, 92, 937–948. [Google Scholar] [CrossRef]
- Xu, Y.J.; Tappia, P.S.; Goyal, R.K.; Dhalla, N.S. Mechanisms of the lysophosphatidic acid-induced increase in [Ca(2+)](i) in skeletal muscle cells. J. Cell Mol. Med. 2008, 12, 942–954. [Google Scholar] [CrossRef]
- Riaz, A.; Huang, Y.; Johansson, S. G-protein-coupled lysophosphatidic acid receptors and their regulation of AKT signaling. Int. J. Mol. Sci. 2016, 17, 215. [Google Scholar] [CrossRef]
- Pan, C.Y.; Lee, H.; Chen, C.L. Lysophospholipids elevate [Ca2+]i and trigger exocytosis in bovine chromaffin cells. Neuropharmacology 2006, 51, 18–26. [Google Scholar] [CrossRef]
- Kim, K.; Kim, H.L.; Lee, Y.K.; Han, M.; Sacket, S.J.; Jo, J.Y.; Kim, Y.L.; Im, D.S. Lysophosphatidylserine induces calcium signaling through Ki16425/VPC32183-sensitive GPCR in bone marrow-derived mast cells and in C6 glioma and colon cancer cells. Arch. Pharm. Res. 2008, 31, 310–317. [Google Scholar] [CrossRef]
- Choi, S.H.; Lee, N.E.; Cho, H.J.; Lee, R.M.; Rhim, H.; Kim, H.C.; Han, M.; Lee, E.H.; Park, J.; Nah, S.Y. Gintonin facilitates brain delivery of donepezil, a therapeutic drug for Alzheimer disease, through lysophosphatidic acid 1/3 and vascular endothelial growth factor receptors. J. Ginseng Res. 2021, 45, 264–272. [Google Scholar] [CrossRef]
- Kim, J.H.; Lee, R.M.; Oh, H.B.; Kim, T.Y.; Rhim, H.; Choi, Y.K.; Kim, J.H.; Oh, S.; Kim, D.G.; Cho, I.H.; et al. Atypical formations of gintonin lysophosphatidic acids as new materials and their beneficial effects on degenerative diseases. J. Ginseng Res. 2024, 48, 1–11. [Google Scholar] [CrossRef]
- Henriksen, E.J.; Rodnick, K.J.; Holloszy, J.O. Activation of glucose transport in skeletal muscle by phospholipase C and phorbol ester. Evaluation of the regulatory roles of protein kinase C and calcium. J. Biol. Chem. 1989, 264, 21536–21543. [Google Scholar] [CrossRef]
- Wright, D.C.; Fick, C.A.; Olesen, J.B.; Craig, B.W. Evidence for the involvement of a phospholipase C-protein kinase C signaling pathway in insulin stimulated glucose transport in skeletal muscle. Life Sci. 2003, 73, 61–71. [Google Scholar] [CrossRef]
- Yang, H.W.; Jiang, Y.F.; Lee, H.G.; Jeon, Y.J.; Ryu, B. Ca2+-dependent glucose transport in skeletal muscle by diphlorethohydroxycarmalol, an Alga Phlorotannin: In vitro and in vivo study. Oxid. Med. Cell Longev. 2021, 2021, 8893679. [Google Scholar] [CrossRef]
- Saltiel, A.R.; Kahn, C.R. Insulin signalling and the regulation of glucose and lipid metabolism. Nature 2001, 414, 799–806. [Google Scholar] [CrossRef]
- Pershadsingh, H.A.; Gale, R.D.; McDonald, J.M. Chelation of intracellular calcium prevents stimulation of glucose transport by insulin and insulinomimetic agents in the adipocyte. Evidence for a common mechanism. Endocrinology 1987, 121, 1727–1732. [Google Scholar] [CrossRef]
- Mohankumar, S.K.; Taylor, C.G.; Zahradka, P. Domain-dependent modulation of insulin-induced AS160 phosphorylation and glucose uptake by Ca2+/calmodulin-dependent protein kinase II in L6 myotubes. Cell Signal. 2012, 24, 302–308. [Google Scholar] [CrossRef]
- Jean-Baptiste, G.; Yang, Z.; Khoury, C.; Greenwood, M.T. Lysophosphatidic acid mediates pleiotropic responses in skeletal muscle cells. Biochem. Biophys. Res. Commun. 2005, 335, 1155–1162. [Google Scholar] [CrossRef]
- Berchtold, M.W.; Brinkmeier, H.; Müntener, M. Calcium ion in skeletal muscle: Its crucial role for muscle function, plasticity, and disease. Physiol. Rev. 2000, 80, 1215–1265. [Google Scholar] [CrossRef]
- Richter, E.A.; Hargreaves, M. Exercise, GLUT4, and skeletal muscle glucose uptake. Physiol. Rev. 2013, 93, 993–1017. [Google Scholar] [CrossRef]
- Park, C.E.; Kim, M.J.; Lee, J.H.; Min, B.I.; Bae, H.; Choe, W.; Kim, S.S.; Ha, J. Resveratrol stimulates glucose transport in C2C12 myotubes by activating AMP-activated protein kinase. Exp. Mol. Med. 2007, 39, 222–229. [Google Scholar] [CrossRef]
- Wijaya, Y.T.; Setiawan, T.; Sari, I.N.; Nah, S.Y.; Kwon, H.Y. Amelioration of muscle wasting by gintonin in cancer cachexia. Neoplasia 2021, 23, 1307–1317. [Google Scholar] [CrossRef]
- Roskoski, R., Jr. ERK1/2 MAP kinases: Structure, function, and regulation. Pharmacol. Res. 2012, 66, 105–143. [Google Scholar] [CrossRef]
- Lavoie, H.; Gagnon, J.; Therrien, M. ERK signalling: A master regulator of cell behaviour, life and fate. Nat. Rev. Mol. Cell Biol. 2020, 21, 607–632. [Google Scholar] [CrossRef]
- Boyer, J.G.; Prasad, V.; Song, T.; Lee, D.; Fu, X.; Grimes, K.M.; Sargent, M.A.; Sadayappan, S.; Molkentin, J.D. ERK1/2 signaling induces skeletal muscle slow fiber-type switching and reduces muscular dystrophy disease severity. JCI Insight 2019, 5, e127356. [Google Scholar] [CrossRef]
- Berti, L.; Gammeltoft, S. Leptin stimulates glucose uptake in C2C12 muscle cells by activation of ERK2. Mol. Cell Endocrinol. 1999, 157, 121–130. [Google Scholar] [CrossRef]
- Pu, J.; Peng, G.; Li, L.; Na, H.; Liu, Y.; Liu, P. Palmitic acid acutely stimulates glucose uptake via activation of Akt and ERK1/2 in skeletal muscle cells. J. Lipid Res. 2011, 52, 1319–1327. [Google Scholar] [CrossRef]
- Tsuka, S.; Aonuma, F.; Higashi, S.; Ohsumi, T.; Nagano, K.; Mizokami, A.; Kawakubo-Yasukochi, T.; Masaki, C.; Hosokawa, R.; Hirata, M.; et al. Promotion of insulin-induced glucose uptake in C2C12 myotubes by osteocalcin. Biochem. Biophys. Res. Commun. 2015, 459, 437–442. [Google Scholar] [CrossRef]
- Watt, M.J.; Hoy, A.J. Lipid metabolism in skeletal muscle: Generation of adaptive and maladaptive intracellular signals for cellular function. Am. J. Physiol. Endocrinol. Metab. 2012, 302, E1315–E1328. [Google Scholar] [CrossRef]






Disclaimer/Publisher’s Note: The statements, opinions and data contained in all publications are solely those of the individual author(s) and contributor(s) and not of MDPI and/or the editor(s). MDPI and/or the editor(s) disclaim responsibility for any injury to people or property resulting from any ideas, methods, instructions or products referred to in the content. |
© 2024 by the authors. Licensee MDPI, Basel, Switzerland. This article is an open access article distributed under the terms and conditions of the Creative Commons Attribution (CC BY) license (https://creativecommons.org/licenses/by/4.0/).
Share and Cite
Lee, R.; Won, K.-J.; Kim, J.-H.; Lee, B.-H.; Hwang, S.-H.; Nah, S.-Y. Gintonin Stimulates Glucose Uptake in Myocytes: Involvement of Calcium and Extracellular Signal-Regulated Kinase Signaling. Biomolecules 2024, 14, 1316. https://doi.org/10.3390/biom14101316
Lee R, Won K-J, Kim J-H, Lee B-H, Hwang S-H, Nah S-Y. Gintonin Stimulates Glucose Uptake in Myocytes: Involvement of Calcium and Extracellular Signal-Regulated Kinase Signaling. Biomolecules. 2024; 14(10):1316. https://doi.org/10.3390/biom14101316
Chicago/Turabian StyleLee, Rami, Kyung-Jong Won, Ji-Hun Kim, Byung-Hwan Lee, Sung-Hee Hwang, and Seung-Yeol Nah. 2024. "Gintonin Stimulates Glucose Uptake in Myocytes: Involvement of Calcium and Extracellular Signal-Regulated Kinase Signaling" Biomolecules 14, no. 10: 1316. https://doi.org/10.3390/biom14101316
APA StyleLee, R., Won, K.-J., Kim, J.-H., Lee, B.-H., Hwang, S.-H., & Nah, S.-Y. (2024). Gintonin Stimulates Glucose Uptake in Myocytes: Involvement of Calcium and Extracellular Signal-Regulated Kinase Signaling. Biomolecules, 14(10), 1316. https://doi.org/10.3390/biom14101316

