In Vivo Autophagy Up-Regulation of Small Intestine Enterocytes in Chinese Soft-Shelled Turtles during Hibernation
Abstract
1. Introduction
2. Materials and Methods
2.1. Animals and Tissue Preparation
2.2. Immunohistochemistry
2.3. Immunofluorescence
2.4. Immunoblotting
2.5. Transmission Electron Microscopy
2.6. Statistical Analysis
3. Results
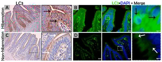
3.1. Cellular Localization of Different Autophagy Protein Markers in the Small Intestine During Hibernation
3.2. Ultrastructural Formation and Localization of Autophagosomes in Enterocytes of Small Intestine During Hibernation
4. Discussion
5. Conclusions
Author Contributions
Acknowledgments
Conflicts of Interest
References
- Pan, M. Hibernation induction in non-hibernating species. Biosci. Horiz. Int. J. Stud. Res. 2018, 11. [Google Scholar] [CrossRef]
- Hu, L.; Li, Q.; Yang, P.; Gandahi, J.A.; Arain, T.S.; Le, Y.; Zhang, Q.; Liu, T.; Y. Waqas, M.; Ahmad, N. Expression of TLR2/4 on epididymal spermatozoa of the Chinese Soft-Shelled Turtle Pelodiscus Sinensis during the hibernation season. Anat. Rec. 2016, 299, 1578–1584. [Google Scholar] [CrossRef]
- Vistro, W.A.; Tarique, I.; Haseeb, A.; Yang, P.; Huang, Y.; Chen, H.; Bai, X.; Fazlani, S.A.; Chen, Q. Seasonal exploration of ultrastructure and Na+/K+-ATPase, Na+/K+/2Cl–cotransporter of mitochondria-rich cells in the small intestine of turtles. Micron 2019, 102747. [Google Scholar] [CrossRef] [PubMed]
- Toole, L.; Belai, A.; Shochina, M.; Burnstock, G. The effects of hibernation on the myenteric plexus of the Golden Hamster small and large intestine. Cell Tissue Res. 1999, 296, 479–487. [Google Scholar] [CrossRef] [PubMed]
- Hume, I.; Beiglböck, C.; Ruf, T.; Frey-Roos, F.; Bruns, U.; Arnold, W. Seasonal changes in morphology and function of the gastrointestinal tract of free-living Alpine Marmots (Marmota marmota). J. Comp. Physiol. B 2002, 172, 197–207. [Google Scholar]
- Huang, Y.; Chen, H.; Yang, P.; Bai, X.; Shi, Y.; Vistro, W.A.; Tarique, I.; Haseeb, A.; Chen, Q. Hepatic lipid droplet breakdown through lipolysis during hibernation in Chinese Soft-Shelled Turtle (Pelodiscus sinensis). Aging (Albany NY) 2019, 11, 1990–2002. [Google Scholar] [CrossRef]
- Hu, G.; Gong, A.-Y.; Roth, A.L.; Huang, B.Q.; Ward, H.D.; Zhu, G.; LaRusso, N.F.; Hanson, N.D.; Chen, X.-M. Release of luminal exosomes contributes to TLR4-mediated epithelial antimicrobial defense. PLoS Pathog. 2013, 9, e1003261. [Google Scholar] [CrossRef]
- Ortmann, S.; Heldmaier, G. Regulation of body temperature and energy requirements of hibernating Alpine marmots (Marmota marmota). Am. J. Physiol. Regul. Integr. Comp. Physiol. 2000, 278, R698–R704. [Google Scholar] [CrossRef]
- Talaei, F. Modulation of mTOR and autophagy in hibernating hamster lung and the application of the potential mechanism to improve the recellularization process of decellularized lung scaffolds. J. Regen. Med. Tissue Eng. 2014, 3, 1. [Google Scholar] [CrossRef][Green Version]
- Das Dores Teixeira, A.; Fialho, M.d.C.Q.; Zanuncio, J.C.; de Souza Ramalho, F.; Serrão, J.E. Degeneration and cell regeneration in the midgut of Podisus nigrispinus (Heteroptera: Pentatomidae) during post-embryonic development. Arthropod Struct. Dev. 2013, 42, 237–246. [Google Scholar] [CrossRef]
- Rost-Roszkowska, M.; Janelt, K.; Poprawa, I. The role of autophagy in the midgut epithelium of Parachela (Tardigrada). Zoomorphology 2018, 137, 501–509. [Google Scholar] [CrossRef] [PubMed]
- Jiang, G.-M.; Tan, Y.; Wang, H.; Peng, L.; Chen, H.-T.; Meng, X.-J.; Li, L.-L.; Liu, Y.; Li, W.-F.; Shan, H. The relationship between autophagy and the immune system and its applications for tumor immunotherapy. Mol. Cancer 2019, 18, 17. [Google Scholar] [CrossRef] [PubMed]
- Benjamin, J.L.; Sumpter, R., Jr.; Levine, B.; Hooper, L.V. Intestinal epithelial autophagy is essential for host defense against invasive bacteria. Cell Host Microbe 2013, 13, 723–734. [Google Scholar] [CrossRef] [PubMed]
- Deretic, V.; Levine, B. Autophagy, immunity, and microbial adaptations. Cell Host Microbe 2009, 5, 527–549. [Google Scholar] [CrossRef]
- Baxt, L.A.; Xavier, R.J. Role of autophagy in the maintenance of intestinal homeostasis. Gastroenterology 2015, 149, 553–562. [Google Scholar] [CrossRef]
- Levine, B.; Kroemer, G. Autophagy in the pathogenesis of disease. Cell 2008, 132, 27–42. [Google Scholar] [CrossRef]
- Markaki, M.; Metaxakis, A.; Tavernarakis, N. The role of autophagy in aging: molecular mechanisms. In Autophagy: Cancer, Other Pathologies, Inflammation, Immunity, Infection, and Aging; Elsevier: Amsterdam, The Netherlands, 2017; pp. 123–138. [Google Scholar]
- Yun, C.W.; Lee, S.H. The Roles of Autophagy in Cancer. Int. J. Mol. Sci. 2018, 19, 3466. [Google Scholar] [CrossRef]
- Sakiyama, T.; Musch, M.W.; Ropeleski, M.J.; Tsubouchi, H.; Chang, E.B. Glutamine increases autophagy under basal and stressed conditions in intestinal epithelial cells. Gastroenterology 2009, 136, 924–932.e2. [Google Scholar] [CrossRef]
- Hampe, J.; Franke, A.; Rosenstiel, P.; Till, A.; Teuber, M.; Huse, K.; Albrecht, M.; Mayr, G.; De La Vega, F.M.; Briggs, J. A genome-wide association scan of nonsynonymous SNPs identifies a susceptibility variant for Crohn disease in ATG16L1. Nat. Genet. 2007, 39, 207–211. [Google Scholar] [CrossRef]
- Strisciuglio, C.; Duijvestein, M.; Verhaar, A.P.; Vos, A.C.W.; den Brink, G.R.v.; Hommes, D.W.; Wildenberg, M.E. Impaired autophagy leads to abnormal dendritic cell–epithelial cell interactions. J. Crohns Colitis 2013, 7, 534–541. [Google Scholar] [CrossRef]
- Cooney, R.; Baker, J.; Brain, O.; Danis, B.; Pichulik, T.; Allan, P.; Ferguson, D.J.; Campbell, B.J.; Jewell, D.; Simmons, A. NOD2 stimulation induces autophagy in dendritic cells influencing bacterial handling and antigen presentation. Nat. Med. 2010, 16, 90–97. [Google Scholar] [CrossRef] [PubMed]
- Levine, B.; Mizushima, N.; Virgin, H.W. Autophagy in immunity and inflammation. Nature 2011, 469, 323. [Google Scholar] [CrossRef] [PubMed]
- Py, B.F.; Lipinski, M.M.; Yuan, J. Autophagy limits Listeria monocytogenes intracellular growth in the early phase of primary infection. Autophagy 2007, 3, 117–125. [Google Scholar] [CrossRef] [PubMed]
- Jia, K.; Thomas, C.; Akbar, M.; Sun, Q.; Adams-Huet, B.; Gilpin, C.; Levine, B. Autophagy genes protect against Salmonella typhimurium infection and mediate insulin signaling-regulated pathogen resistance. Proc. Natl. Acad. Sci. USA 2009, 106, 14564–14569. [Google Scholar] [CrossRef] [PubMed]
- Yang, P.; Ahmed, N.; Wang, L.; Chen, H.; Waqas, Y.; Liu, T.; Haseeb, A.; Bangulzai, N.; Huang, Y.; Chen, Q. In vivo autophagy and biogenesis of autophagosomes within male haploid cells during spermiogenesis. Oncotarget 2017, 8, 56791–56801. [Google Scholar] [CrossRef]
- Feng, Y.; Yao, Z.; Klionsky, D.J. How to control self-digestion: Transcriptional, post-transcriptional, and post-translational regulation of autophagy. Trends Cell Biol. 2015, 25, 354–363. [Google Scholar] [CrossRef]
- Yoshii, S.R.; Mizushima, N. Monitoring and measuring autophagy. Int. J. Mol. Sci. 2017, 18, 1865. [Google Scholar] [CrossRef]
- Tanida, I.; Ueno, T.; Kominami, E. LC3 conjugation system in mammalian autophagy. Int. J. Biochem. Cell Biol. 2004, 36, 2503–2518. [Google Scholar] [CrossRef]
- Tanida, I.; Ueno, T.; Kominami, E. LC3 and Autophagy. In Autophagosome and Phagosome; Springer: Berlin/Heidelberg, Germany, 2008; pp. 77–88. [Google Scholar]
- Liu, W.J.; Ye, L.; Huang, W.F.; Guo, L.J.; Xu, Z.G.; Wu, H.L.; Yang, C.; Liu, H.F. p62 links the autophagy pathway and the ubiqutin–proteasome system upon ubiquitinated protein degradation. Cell. Mol. Biol. Lett. 2016, 21, 29. [Google Scholar] [CrossRef]
- Ghosh, R.; Pattison, J.S. Macroautophagy and chaperone-mediated autophagy in heart failure: The known and the unknown. Oxid. Med. Cell. Longev. 2018, 2018, 8602041. [Google Scholar] [CrossRef]
- Wang, H.; Ni, H.-M.; Chao, X.; Ma, X.; Rodriguez, Y.A.; Chavan, H.; Wang, S.; Krishnamurthy, P.; Dobrowsky, R.; Xu, D.-X. Double deletion of PINK1 and Parkin impairs hepatic mitophagy and exacerbates acetaminophen-induced liver injury in mice. Redox Biol. 2019, 22, 101148. [Google Scholar] [CrossRef] [PubMed]
- Tamargo-Gómez, I.; Mariño, G. AMPK: Regulation of metabolic dynamics in the context of autophagy. Int. J. Mol. Sci. 2018, 19, 3812. [Google Scholar] [CrossRef] [PubMed]
- Krieg, S.; Lüscher, B.; Vervoorts, J.; Dohmen, M. Studying the role of AMPK in autophagy. In AMPK; Springer: Berlin/Heidelberg, Germany, 2018; pp. 373–391. [Google Scholar]
- Singh, R.; Kaushik, S.; Wang, Y.; Xiang, Y.; Novak, I.; Komatsu, M.; Tanaka, K.; Cuervo, A.M.; Czaja, M.J. Autophagy regulates lipid metabolism. Nature 2009, 458, 1131. [Google Scholar] [CrossRef] [PubMed]
- Chen, H.; Huang, Y.; Yang, P.; Liu, T.; Ahmed, N.; Wang, L.; Wang, T.; Bai, X.; Haseeb, A.; Chen, Q. Lipophagy contributes to long-term storage of spermatozoa in the epididymis of the Chinese soft-shelled turtle Pelodiscus sinensis. Reprod. Fertil. Dev. 2019, 31, 774–786. [Google Scholar] [CrossRef]
- Secor, S.; Diamond, J. Adaptive responses of digestive physiology in frogs. Am. Zool 1996, 36, 17. [Google Scholar]
- Carey, H.V. Gut feelings about hibernation. Physiology 1995, 10, 55–61. [Google Scholar] [CrossRef]
- Secor, S.M. Evolutionary and cellular mechanisms regulating intestinal performance of amphibians and reptiles. Integr. Comp. Biol. 2005, 45, 282–294. [Google Scholar] [CrossRef]
- Talaei, F.; Hylkema, M.N.; Bouma, H.R.; Boerema, A.S.; Strijkstra, A.M.; Henning, R.H.; Schmidt, M. Reversible remodeling of lung tissue during hibernation in the Syrian hamster. J. Exp. Biol. 2011, 214, 1276–1282. [Google Scholar] [CrossRef][Green Version]
- Nighot, P.K.; Hu, C.-A.A.; Ma, T.Y. Autophagy enhances intestinal epithelial tight junction barrier function by targeting claudin-2 protein degradation. J. Biol. Chem. 2015, 290, 7234–7246. [Google Scholar] [CrossRef]
- Furuse, M.; Furuse, K.; Sasaki, H.; Tsukita, S. Conversion of zonulae occludentes from tight to leaky strand type by introducing claudin-2 into Madin-Darby canine kidney I cells. J. Cell Biol. 2001, 153, 263–272. [Google Scholar] [CrossRef]
- Amasheh, S.; Meiri, N.; Gitter, A.H.; Schöneberg, T.; Mankertz, J.; Schulzke, J.D.; Fromm, M. Claudin-2 expression induces cation-selective channels in tight junctions of epithelial cells. J. Cell Sci. 2002, 115, 4969–4976. [Google Scholar] [CrossRef] [PubMed]
- Lichtenstein, A.; Minogue, P.J.; Beyer, E.C.; Berthoud, V.M. Autophagy: A pathway that contributes to connexin degradation. J. Cell Sci. 2011, 124, 910–920. [Google Scholar] [CrossRef] [PubMed]
- Tarique, I.; Vistro, W.A.; Bai, X.; Yang, P.; Hong, C.; Huang, Y.; Haseeb, A.; Liu, E.; Gandahi, N.S.; Xu, M. LIPOPHAGY: A novel form of steroidogenic activity within the LEYDIG cell during the reproductive cycle of turtle. Reprod. Biol. Endocrinol. 2019, 17, 19. [Google Scholar] [CrossRef] [PubMed]
- Katsuragi, Y.; Ichimura, Y.; Komatsu, M. p62/SQSTM 1 functions as a signaling hub and an autophagy adaptor. FEBS J. 2015, 282, 4672–4678. [Google Scholar] [CrossRef]
- Liu, K.; Zhang, G.; Wang, Z.; Liu, Y.; Dong, J.; Dong, X.; Liu, J.; Cao, J.; Ao, L.; Zhang, S. The protective effect of autophagy on mouse spermatocyte derived cells exposure to 1800 MHz radiofrequency electromagnetic radiation. Toxicol. Lett. 2014, 228, 216–224. [Google Scholar] [CrossRef]
- Bjørkøy, G.; Lamark, T.; Brech, A.; Outzen, H.; Perander, M.; Øvervatn, A.; Stenmark, H.; Johansen, T. p62/SQSTM1 forms protein aggregates degraded by autophagy and has a protective effect on huntingtin-induced cell death. J. Cell Biol. 2005, 171, 603–614. [Google Scholar] [CrossRef]
- Ravikumar, B.; Vacher, C.; Berger, Z.; Davies, J.E.; Luo, S.; Oroz, L.G.; Scaravilli, F.; Easton, D.F.; Duden, R.; O’Kane, C.J. Inhibition of mTOR induces autophagy and reduces toxicity of polyglutamine expansions in fly and mouse models of Huntington disease. Nat. Genet. 2004, 36, 585. [Google Scholar] [CrossRef]
- Adolph, T.E.; Tomczak, M.F.; Niederreiter, L.; Ko, H.-J.; Böck, J.; Martinez-Naves, E.; Glickman, J.N.; Tschurtschenthaler, M.; Hartwig, J.; Hosomi, S. Paneth cells as a site of origin for intestinal inflammation. Nature 2013, 503, 272. [Google Scholar] [CrossRef]
- Tsuboi, K.; Nishitani, M.; Takakura, A.; Imai, Y.; Komatsu, M.; Kawashima, H. Autophagy protects against colitis by the maintenance of normal gut microflora and secretion of mucus. J. Biol. Chem. 2015, 290, 20511–20526. [Google Scholar] [CrossRef]
- Agarwal, A.K.; Kalraiya, R.D. Glycosylation regulates the expression of Lysosome Associated Membrane Protein-1 (LAMP1) on the cell surface. J. Biosci. Tech. 2014, 5, 556–563. [Google Scholar]
- He, C.; Klionsky, D.J. Regulation mechanisms and signaling pathways of autophagy. Annu. Rev. Genet. 2009, 43, 67–93. [Google Scholar] [CrossRef] [PubMed]
- Klionsky, D.J.; Abdelmohsen, K.; Abe, A.; Abedin, M.J.; Abeliovich, H.; Acevedo Arozena, A.; Adachi, H.; Adams, C.M.; Adams, P.D.; Adeli, K. Guidelines for the use and interpretation of assays for monitoring autophagy. Autophagy 2016, 12, 1–222. [Google Scholar] [CrossRef] [PubMed]
- Jang, M.; Park, R.; Kim, H.; Namkoong, S.; Jo, D.; Huh, Y.H.; Jang, I.-S.; Lee, J.I.; Park, J. AMPK contributes to autophagosome maturation and lysosomal fusion. Sci. Rep. 2018, 8, 12637. [Google Scholar] [CrossRef] [PubMed]
- Shibutani, S.T.; Yoshimori, T. A current perspective of autophagosome biogenesis. Cell Res. 2014, 24, 58–68. [Google Scholar] [CrossRef]
- Rost-Roszkowska, M.M.; Poprawa, I.; Klag, J.; Migula, P.; Mesjasz-Przybyłowicz, J.; Przybyłowicz, W. Degeneration of the midgut epithelium in Epilachna cf. nylanderi (Insecta, Coccinellidae): Apoptosis, autophagy, and necrosis. Can. J. Zool. 2008, 86, 1179–1188. [Google Scholar] [CrossRef]
- Wohlgemuth, S.; Ramirez-Lee, Y.; Tao, S.; Monteiro, A.; Ahmed, B.; Dahl, G. Effect of heat stress on markers of autophagy in the mammary gland during the dry period. J. Dairy Sci. 2016, 99, 4875–4880. [Google Scholar] [CrossRef]
- Youle, R.J.; Narendra, D.P. Mechanisms of mitophagy. Nat. Rev. Mol. Cell Biol. 2011, 12, 9. [Google Scholar] [CrossRef]
- Twig, G.; Elorza, A.; Molina, A.J.; Mohamed, H.; Wikstrom, J.D.; Walzer, G.; Stiles, L.; Haigh, S.E.; Katz, S.; Las, G. Fission and selective fusion govern mitochondrial segregation and elimination by autophagy. EMBO J. 2008, 27, 433–446. [Google Scholar] [CrossRef]
- Huang, Y.; Yang, P.; Chen, H.; Bai, X.; Wang, X.; Vistro, W.A.; Haseeb, A.; Shi, Y.; Chen, Q. A “Lamellar structure” contributes to autophagosome biogenesis and mitophagy in zebrafish hepatocytes. Fish Shellfish Immunol. 2018, 81, 83–91. [Google Scholar] [CrossRef]
- Fader, C.; Colombo, M. Autophagy and multivesicular bodies: Two closely related partners. Cell Death Differ. 2009, 16, 70–78. [Google Scholar] [CrossRef]
- Bai, X.; Guo, Y.; Shi, Y.; Lin, J.; Tarique, I.; Wang, X.; Vistro, W.A.; Huang, Y.; Chen, H.; Haseeb, A. In vivo multivesicular bodies and their exosomes in the absorptive cells of the zebrafish (Danio Rerio) gut. Fish Shellfish Immunol. 2019, 88, 578–586. [Google Scholar] [CrossRef] [PubMed]
- Davis, S.; Wang, J.; Ferro-Novick, S. Crosstalk between the secretory and autophagy pathways regulates autophagosome formation. Dev. Cell 2017, 41, 23–32. [Google Scholar] [CrossRef] [PubMed]
- Baixauli, F.; López-Otín, C.; Mittelbrunn, M. Exosomes and autophagy: Coordinated mechanisms for the maintenance of cellular fitness. Front. Immunol. 2014, 5, 403. [Google Scholar] [CrossRef] [PubMed]
- Fader, C.M.; Sánchez, D.; Furlán, M.; Colombo, M.I. Induction of autophagy promotes fusion of multivesicular bodies with autophagic vacuoles in k562 cells. Traffic 2008, 9, 230–250. [Google Scholar] [CrossRef] [PubMed]









| Primary Antibody | Species | Catalog No. | Dilution | Source |
|---|---|---|---|---|
| ATG7 | Rabbit | 10,088-2-AP | 1:75 | Proteintech |
| LC3 | Rabbit | 12,135-1-AP | 1:75 | Proteintech |
| P62 | Rabbit | 51,145 | 1:75 | Cell signaling Tech |
| LAMP1 | Rabbit | 55,273-1-AP | 1:75 | Proteintech |
| PINK1 | Rabbit | ab174775 | 1:1000 | Abcam, USA |
| AMPK | Rabbit | Ab3759 | 1:1000 | Abcam, USA |
| ATG7 | LC3 | p62 | LAMP1 | ||||
|---|---|---|---|---|---|---|---|
| IHC | IF | IHC | IF | IF | IHC | ||
| Hibernation | AC | ++ | +++ | +++ | +++ | + | ++ |
| BC | ++ | +++ | +++ | +++ | + | ++ | |
| Non-hibernation | AC | + | + | ++ | + | +++ | + |
| BC | + | + | + | + | +++ | - | |
| Enterocyte | Hibernation | Nonhibernation |
|---|---|---|
| Phagophore | ++ | + |
| Cytoplasmic Autophagosome | ++ | + |
| Luminal Autophagosome | + | - |
| Autophagolysosome | + | - |
| Mitophagy | ++ | - |
| Amphisome | + | - |
© 2019 by the authors. Licensee MDPI, Basel, Switzerland. This article is an open access article distributed under the terms and conditions of the Creative Commons Attribution (CC BY) license (http://creativecommons.org/licenses/by/4.0/).
Share and Cite
Vistro, W.A.; Zhang, Y.; Bai, X.; Yang, P.; Huang, Y.; Qu, W.; Baloch, A.S.; Wu, R.; Tarique, I.; Chen, Q. In Vivo Autophagy Up-Regulation of Small Intestine Enterocytes in Chinese Soft-Shelled Turtles during Hibernation. Biomolecules 2019, 9, 682. https://doi.org/10.3390/biom9110682
Vistro WA, Zhang Y, Bai X, Yang P, Huang Y, Qu W, Baloch AS, Wu R, Tarique I, Chen Q. In Vivo Autophagy Up-Regulation of Small Intestine Enterocytes in Chinese Soft-Shelled Turtles during Hibernation. Biomolecules. 2019; 9(11):682. https://doi.org/10.3390/biom9110682
Chicago/Turabian StyleVistro, Waseem Ali, Yue Zhang, Xuebing Bai, Ping Yang, Yufei Huang, Wenjia Qu, Abdul Sattar Baloch, Ruizhi Wu, Imran Tarique, and Qiusheng Chen. 2019. "In Vivo Autophagy Up-Regulation of Small Intestine Enterocytes in Chinese Soft-Shelled Turtles during Hibernation" Biomolecules 9, no. 11: 682. https://doi.org/10.3390/biom9110682
APA StyleVistro, W. A., Zhang, Y., Bai, X., Yang, P., Huang, Y., Qu, W., Baloch, A. S., Wu, R., Tarique, I., & Chen, Q. (2019). In Vivo Autophagy Up-Regulation of Small Intestine Enterocytes in Chinese Soft-Shelled Turtles during Hibernation. Biomolecules, 9(11), 682. https://doi.org/10.3390/biom9110682

