A Novel Perspective on Lead-Induced Protamine-like Protein-DNA Interactions in Mytilus galloprovincialis: A Molecular and Computational Study
Abstract
1. Introduction
2. Materials and Methods
2.1. Ethics Statement
2.2. Lead Quantification in M. galloprovincialis Gonads
2.3. Mussels Sampling and Pb Exposure
2.4. Spermatozoa Sampling and Processing
2.5. Extraction of PL Proteins from M. galloprovincialis Spermatozoa
2.6. Electrophoretic Analysis of PLs
2.7. Plasmid DNA Preparation
2.8. Analysis of the Effect of M. galloprovincialis PL Proteins on DNA Electrophoretic Mobility (EMSA)
2.9. DNA Protection Analysis
2.10. Salt-Induced Release of M. galloprovincialis Sperm Nuclear Basic Protein
2.11. Statistical Analyses
2.12. Computational Modeling of Protamine-like Proteins, DNA and Lead
2.13. Refinement of PL-II and PL-III by Molecular Dynamics
2.14. Docking Simulations
2.15. Structural Visualization and Image Editing
3. Results
3.1. Lead Bioaccumulation in the Gonads of M. galloprovincialis
3.2. Analyses of PLs by AU-PAGE and SDS-PAGE


3.3. Evaluation of the DNA–PLs Interaction by EMSA
3.4. DNA Protection Assays
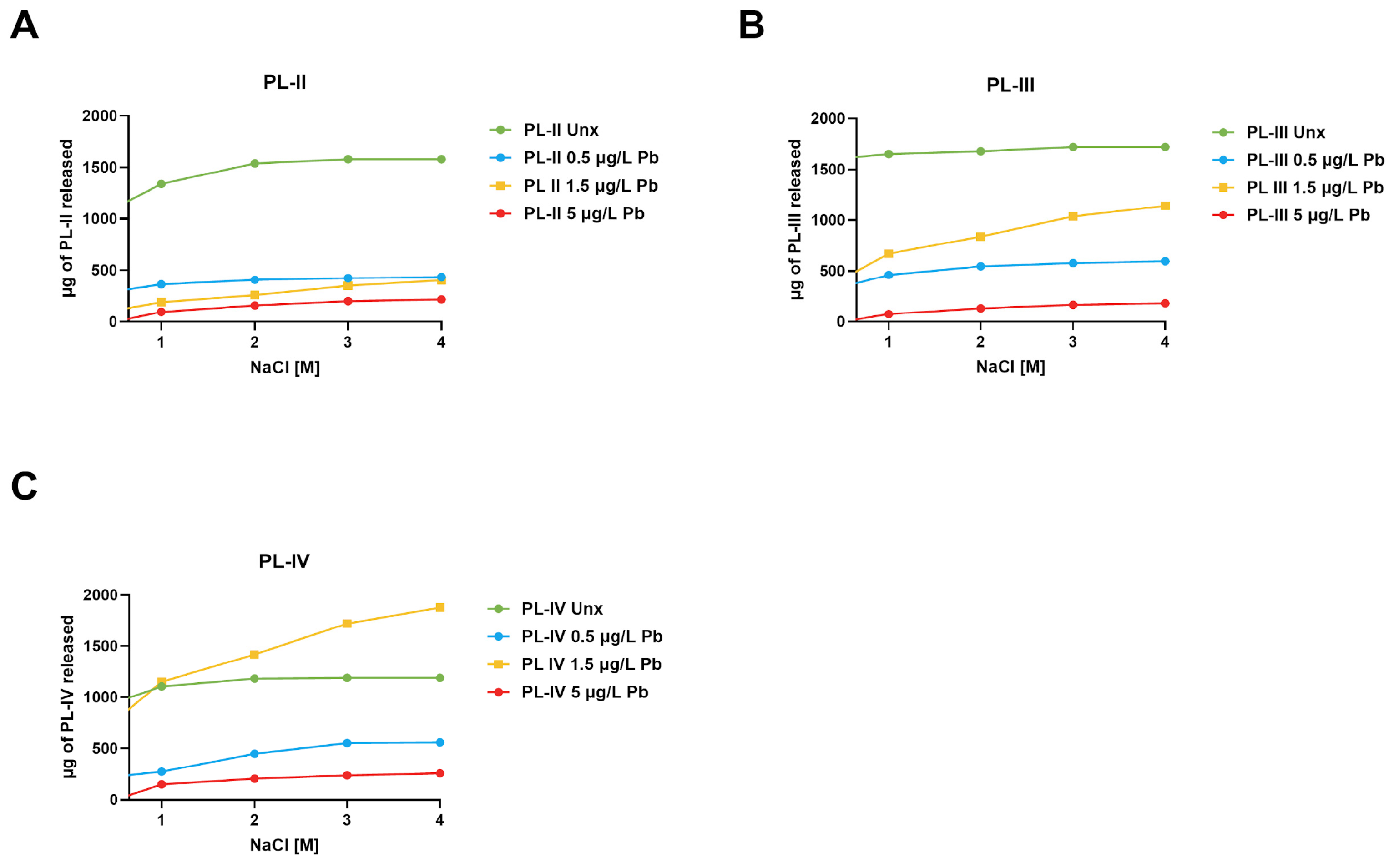
3.5. Salt-Induced Extraction of PLs
3.6. Computational Modeling of PL-II and PL-III
3.7. Computer-Aided Molecular Docking Studies
4. Discussion
5. Conclusions
Supplementary Materials
Author Contributions
Funding
Institutional Review Board Statement
Informed Consent Statement
Data Availability Statement
Acknowledgments
Conflicts of Interest
References
- Musu, I. The Interdependence between Environment and Development: Marine Pollution in the Mediterranean Sea. In The Economics of Transnational Commons; Dasgupta, P., Mäler, K.-G., Vercelli, A., Eds.; Oxford University Press: Oxford, UK, 1997; pp. 77–96. ISBN 978-0-19-829220-3. [Google Scholar]
- Ricolleau, A.; Floquet, N.; Devidal, J.-L.; Bodnar, R.J.; Perrin, J.; Garrabou, J.; Harmelin, J.-G.; Costantini, F.; Boavida, J.R.; Vielzeuf, D. Lead (Pb) Profiles in Red Coral Skeletons as High Resolution Records of Pollution in the Mediterranean Sea. Chem. Geol. 2019, 525, 112–124. [Google Scholar] [CrossRef]
- Tnoumi, A.; Angelone, M.; Armiento, G.; Caprioli, R.; Crovato, C.; De Cassan, M.; Montereali, M.R.; Nardi, E.; Parrella, L.; Proposito, M.; et al. Heavy Metal Content and Potential Ecological Risk Assessment of Sediments from Khnifiss Lagoon National Park (Morocco). Environ. Monit. Assess. 2022, 194, 356. [Google Scholar] [CrossRef] [PubMed]
- Garofalo, L.; Sala, M.; Focardi, C.; Pasqualetti, P.; Delfino, D.; D’Onofrio, F.; Droghei, B.; Pasquali, F.; Nicolini, V.; Galli, F.S.; et al. Monitoring of Cadmium, Lead, and Mercury Levels in Seafood Products: A Ten-Year Analysis. Foods 2025, 14, 451. [Google Scholar] [CrossRef]
- Annibaldi, A.; Truzzi, C.; Illuminati, S.; Scarponi, G. Recent Sudden Decrease of Lead in Adriatic Coastal Seawater during the Years 2000–2004 in Parallel with the Phasing out of Leaded Gasoline in Italy. Mar. Chem. 2009, 113, 238–249. [Google Scholar] [CrossRef]
- Nicolas, E.; Ruiz-Pino, D.; Buat-Ménard, P.; Bethoux, J.P. Abrupt Decrease of Lead Concentration in the Mediterranean Sea: A Response to Antipollution Policy. Geophys. Res. Lett. 1994, 21, 2119–2122. [Google Scholar] [CrossRef]
- Rusiecka, D.; Gledhill, M.; Milne, A.; Achterberg, E.P.; Annett, A.L.; Atkinson, S.; Birchill, A.; Karstensen, J.; Lohan, M.; Mariez, C.; et al. Anthropogenic Signatures of Lead in the Northeast Atlantic. Geophys. Res. Lett. 2018, 45, 2734–2743. [Google Scholar] [CrossRef]
- Lead from Fuels Still Present in European Shelf Seas. Available online: https://www.divessi.com/en/blog/lead-from-fuels-still-present-in-european-shelf-seas-3574.html (accessed on 11 February 2026).
- Cutts, E. Ancient Greeks and Romans Laced the Aegean with Lead. Eos, 4 March 2025.
- Haydous, F.; Nehmeh, B.; Rebehmed, J.; Al-Alam, J.; Saab, C.; Sabbagh, S.; Hamieh, A.; Yassin, A.; Wazne, M.; Akoury, E. Unraveling the Levels of Emerging Contaminants along the Eastern Mediterranean Sea. Sci. Rep. 2025, 15, 4401. [Google Scholar] [CrossRef]
- Muralidharan, S.; Thompson, E.; Raftos, D.; Birch, G.; Haynes, P.A. Quantitative Proteomics of Heavy Metal Stress Responses in Sydney Rock Oysters. Proteomics 2012, 12, 906–921. [Google Scholar] [CrossRef]
- Cuomo, D.; Foster, M.J.; Threadgill, D. Systemic Review of Genetic and Epigenetic Factors Underlying Differential Toxicity to Environmental Lead (Pb) Exposure. Environ. Sci. Pollut. Res. Int. 2022, 29, 35583–35598. [Google Scholar] [CrossRef]
- Curpan, A.-S.; Impellitteri, F.; Plavan, G.; Ciobica, A.; Faggio, C. Review: Mytilus galloprovincialis: An Essential, Low-Cost Model Organism for the Impact of Xenobiotics on Oxidative Stress and Public Health. Comp. Biochem. Physiol. C Toxicol. Pharmacol. 2022, 256, 109302. [Google Scholar] [CrossRef]
- Marinaro, C.; Notariale, R.; Cardillo, M.; Guarnieri, M.G.; Trifuoggi, M.; Mottola, F.; Rocco, L.; Lettieri, G.; Montano, L.; Piscopo, M. Overview of the Effects of Heavy Metals on the Reproductive Health of Males in the Genus Mytilus spp. J. Trace Elem. Med. Biol. 2025, 89, 127672. [Google Scholar] [CrossRef] [PubMed]
- Piscopo, M.; Trifuoggi, M.; Scarano, C.; Gori, C.; Giarra, A.; Febbraio, F. Relevance of Arginine Residues in Cu(II)-Induced DNA Breakage and Proteinase K Resistance of H1 Histones. Sci. Rep. 2018, 8, 7414. [Google Scholar] [CrossRef] [PubMed]
- Tornero, V.; Ribera d’Alcalà, M. Contamination by Hazardous Substances in the Gulf of Naples and Nearby Coastal Areas: A Review of Sources, Environmental Levels and Potential Impacts in the MSFD Perspective. Sci. Total Environ. 2014, 466–467, 820–840. [Google Scholar] [CrossRef] [PubMed]
- Manzo, S.; Parrella, L.; Schiavo, S.; Spaziani, F.; Chiavarini, S.; Tebano, C.; De Maio, L.; Capone, S.; Siciliano, A.V.; Armiento, G. Gathering New Knowledge from Existing Monitoring Dataset of Campania Marine Coastal Area (Southern Italy). Environ. Sci. Pollut. Res. 2022, 29, 83291–83303. [Google Scholar] [CrossRef]
- Takano, T.; Okutomi, Y.; Mochizuki, M.; Ochiai, Y.; Yamada, F.; Mori, M.; Ueda, F. Biological Index of Environmental Lead Pollution: Accumulation of Lead in Liver and Kidney in Mice. Environ. Monit. Assess. 2015, 187, 744. [Google Scholar] [CrossRef]
- Botté, A.; Seguin, C.; Nahrgang, J.; Zaidi, M.; Guery, J.; Leignel, V. Lead in the Marine Environment: Concentrations and Effects on Invertebrates. Ecotoxicology 2022, 31, 194–207. [Google Scholar] [CrossRef]
- Boudammoussi, M.E.; Hammoudani, Y.E.; Haboubi, K.; Achoukhi, I.; Moudou, M.; Faiz, H.; Touzani, A.; Dimane, F. State of the Art of Trace Metal Detection in the Mediterranean Coastal Marine Environment, Combinatorial Approach Using Mytilus galloprovincialis and Surface Sediments. E3S Web. Conf. 2024, 527, 02009. [Google Scholar] [CrossRef]
- Mourabit, Y.E.; Agnaou, M.; Alla, A.A.; Moukrim, A. Assessment of the Marine Ecotoxic State in the Moroccan Coastal Area Anza-Taghazout Following the Installation of Two Wastewater Treatment Plants: A Multibiomarker Study Using Mytilus galloprovincialis. Environ. Sci. Pollut. Res. 2021, 29, 11718–11729. [Google Scholar] [CrossRef]
- Marinaro, C.; Lettieri, G.; Chianese, T.; Bianchi, A.R.; Zarrelli, A.; Palatucci, D.; Scudiero, R.; Rosati, L.; De Maio, A.; Piscopo, M. Exploring the Molecular and Toxicological Mechanism Associated with Interactions between Heavy Metals and the Reproductive System of Mytilus galloprovincialis. Comp. Biochem. Physiol. C Toxicol. Pharmacol. 2024, 275, 109778. [Google Scholar] [CrossRef]
- Alonso, A.; Suárez, P.; Ruiz, Y.; Dobal, V.; San Juan, F. Gonadal Histopathological Disorders in Mytilus galloprovincialis Male Exposed to Tars Used in Mussel Farms. Front. Mar. Sci. 2019, 6, e00577. [Google Scholar] [CrossRef]
- Yang, Q.; Liu, X.; Chen, J.; Wen, Y.; Liu, H.; Peng, Z.; Yeerken, R.; Wang, L.; Li, X. Lead-Mediated Inhibition of Lysine Acetylation and Succinylation Causes Reproductive Injury of the Mouse Testis during Development. Toxicol. Lett. 2020, 318, 30–43. [Google Scholar] [CrossRef] [PubMed]
- Kanellis, V.G.; dos Remedios, C.G. A Review of Heavy Metal Cation Binding to Deoxyribonucleic Acids for the Creation of Chemical Sensors. Biophys. Rev. 2018, 10, 1401–1414. [Google Scholar] [CrossRef] [PubMed]
- Cangelosi, V.; Ruckthong, L.; Pecoraro, V.L. Lead(II) Binding in Natural and Artificial Proteins. In Lead: Its Effects on Environment and Health; De Gruyter Brill: Berlin, Germany, 2017; Volume 17. [Google Scholar] [CrossRef]
- Sigel, H. Interactions of Lead(II) with Nucleotides and Their Constituents. Coord. Chem. Rev. 2001, 219–221, 435–461. [Google Scholar] [CrossRef]
- Szymański, M. Molecular Mechanisms of Lead Toxicity. BioTechnologia 2015, 95, 137–149. [Google Scholar] [CrossRef]
- Kirberger, M.; Wong, H.C.; Jiang, J.; Yang, J.J. Metal Toxicity and Opportunistic Binding of Pb2+ in Proteins. J. Inorg. Biochem. 2013, 125, 40–49. [Google Scholar] [CrossRef]
- García-Lestón, J.; Méndez, J.; Pásaro, E.; Laffon, B. Genotoxic Effects of Lead: An Updated Review. Environ. Int. 2010, 36, 623–636. [Google Scholar] [CrossRef]
- Sánchez-Marín, P.; Fortin, C.; Campbell, P.G.C. Lead (Pb) and Copper (Cu) Share a Common Uptake Transporter in the Unicellular Alga Chlamydomonas Reinhardtii. Biometals 2014, 27, 173–181. [Google Scholar] [CrossRef]
- Michelle Ordemann, J.; Narehood Austin, R. Lead Neurotoxicity: Exploring the Potential Impact of Lead Substitution in Zinc-Finger Proteins on Mental Health. Metallomics 2016, 8, 579–588. [Google Scholar] [CrossRef]
- Barciszewska, M.Z.; Szymanski, M.; Wyszko, E.; Pas, J.; Rychlewski, L.; Barciszewski, J. Lead Toxicity through the Leadzyme. Mutat. Res. 2005, 589, 103–110. [Google Scholar] [CrossRef]
- Virgolini, M.B.; Aschner, M. Molecular Mechanisms of Lead Neurotoxicity. Adv. Neurotoxicol. 2021, 5, 159–213. [Google Scholar] [CrossRef]
- Hanas, J.S.; Rodgers, J.S.; Bantle, J.A.; Cheng, Y.G. Lead Inhibition of DNA-Binding Mechanism of Cys2His2 Zinc Finger Proteins. Mol. Pharmacol. 1999, 56, 982–988. [Google Scholar] [CrossRef]
- Zhang, H.; Wei, K.; Zhang, M.; Liu, R.; Chen, Y. Assessing the Mechanism of DNA Damage Induced by Lead through Direct and Indirect Interactions. J. Photochem. Photobiol. B 2014, 136, 46–53. [Google Scholar] [CrossRef] [PubMed]
- Generalova, A.; Davidova, S.; Satchanska, G. The Mechanisms of Lead Toxicity in Living Organisms. J. Xenobiotics 2025, 15, 146. [Google Scholar] [CrossRef] [PubMed]
- Kurhaluk, N.; Kamiński, P.; Tkaczenko, H. Oxidative Stress, Antioxidants, Gut Microbiota and Male Fertility. Cell. Physiol. Biochem. 2025, 59, 82–123. [Google Scholar] [CrossRef] [PubMed]
- Wang, W.-C.; Mao, H.; Ma, D.-D.; Yang, W.-X. Characteristics, Functions, and Applications of Metallothionein in Aquatic Vertebrates. Front. Mar. Sci. 2014, 1, 34. [Google Scholar] [CrossRef]
- Kushwaha, B.; Beniwal, R.; Mohanty, A.; Singh, A.K.; Yadav, R.K.; Garg, S.K.; Kushwaha, B.; Beniwal, R.; Mohanty, A.; Singh, A.K.; et al. Effect of Heavy Metals on Tyrosine Kinases Signaling during Sperm Capacitation. In Infertility and Assisted Reproduction; IntechOpen: London, UK, 2021; ISBN 978-1-83962-825-2. [Google Scholar]
- Assi, M.A.; Hezmee, M.N.M.; Haron, A.W.; Sabri, M.Y.M.; Rajion, M.A. The Detrimental Effects of Lead on Human and Animal Health. Vet. World 2016, 9, 660–671. [Google Scholar] [CrossRef]
- Lettieri, G.; Marinaro, C.; Notariale, R.; Perrone, P.; Lombardi, M.; Trotta, A.; Troisi, J.; Piscopo, M. Impact of Heavy Metal Exposure on Mytilus galloprovincialis Spermatozoa: A Metabolomic Investigation. Metabolites 2023, 13, 943. [Google Scholar] [CrossRef]
- Yadav, R.S.; Kushawaha, B.; Dhariya, R.; Swain, D.K.; Yadav, B.; Anand, M.; Kumari, P.; Rai, P.K.; Singh, D.; Yadav, S.; et al. Lead and Calcium Crosstalk Tempted Acrosome Damage and Hyperpolarization of Spermatozoa: Signaling and Ultra-Structural Evidences. Biol. Res. 2024, 57, 44. [Google Scholar] [CrossRef]
- Azil, S.; Errafii, K.; Benkhalifa, M.; Louanjli, N.; Ghazi, B.; Hamdi, S. A Narrative Review of Heavy Metals and Sperm Quality: The Interplay with Antioxidant Imbalance and Reactive Oxygen Species. Curr. Issues Mol. Biol. 2025, 47, 650. [Google Scholar] [CrossRef]
- Xu, G.; Kong, H.; Chang, X.; Dupont, S.; Chen, H.; Deng, Y.; Hu, M.; Wang, Y. Gonadal Antioxidant Responses to Seawater Acidification and Hypoxia in the Marine Mussel Mytilus coruscus. Environ. Sci. Pollut. Res. 2021, 28, 53847–53856. [Google Scholar] [CrossRef]
- de Cerio, O.D.; Reina, L.; Squatrito, V.; Etxebarria, N.; Gonzalez-Gaya, B.; Cancio, I. Gametogenesis-Related Fluctuations in Ovothiol Levels in the Mantle of Mussels from Different Estuaries: Fighting Oxidative Stress for Spawning in Polluted Waters. Biomolecules 2020, 10, 373. [Google Scholar] [CrossRef]
- Mijošek Pavin, T.; Kračun Kolarević, M.; Kolarević, S.; Simčič, T.; Martinović, R.; Bajt, O.; Kalčíková, G.; Ramšak, A. Multilevel Toxicity Assessment of Polypropylene Microplastics and Pyrene on Mussels: DNA Damage, Oxidative Stress, and Physiological Effects. Mar. Pollut. Bull. 2026, 222, 118880. [Google Scholar] [CrossRef] [PubMed]
- Gallo, A.; Esposito, M.C.; Tosti, E.; Boni, R. Sperm Motility, Oxidative Status, and Mitochondrial Activity: Exploring Correlation in Different Species. Antioxidants 2021, 10, 1131. [Google Scholar] [CrossRef] [PubMed]
- Kjelland, M.E.; López-Fernández, C.; Perez-García, C.; Gosálvez, J. DNA Fragmentation in Blue Mussel (Mytilus edulis) Sperm: Aquaculture and Fisheries Implications. Aquac. Res. 2017, 48, 2973–2980. [Google Scholar] [CrossRef]
- Borges, F.; Freitas, R.; Silva, A.L.P.; Rojas, D.L.S.; González, G.P.; Solé, M. Could Mussel Populations Be Differentially Threatened by the Presence of Microplastics and Related Chemicals? Toxics 2025, 13, 181. [Google Scholar] [CrossRef]
- Vassalli, Q.A.; Caccavale, F.; Avagnano, S.; Murolo, A.; Guerriero, G.; Fucci, L.; Ausió, J.; Piscopo, M. New Insights into Protamine-like Component Organization in Mytilus galloprovincialis’ Sperm Chromatin. DNA Cell Biol. 2015, 34, 162–169. [Google Scholar] [CrossRef]
- Marinaro, C.; Lettieri, G.; Verrillo, M.; Morelli, M.; Carraturo, F.; Guida, M.; Piscopo, M. Possible Molecular Mechanisms Underlying the Decrease in the Antibacterial Activity of Protamine-Like Proteins After Exposure of Mytilus galloprovincialis to Chromium and Mercury. Int. J. Mol. Sci. 2023, 24, 9345. [Google Scholar] [CrossRef]
- Marinaro, C.; Marino, A.; Bianchi, A.R.; Berman, B.; Trifuoggi, M.; Marano, A.; Palumbo, G.; Chianese, T.; Scudiero, R.; Rosati, L.; et al. Molecular and Toxicological Mechanisms behind the Effects of Chromium (VI) on the Male Reproductive System of Mytilus galloprovincialis: First Evidence for Poly-ADP-Ribosylation of Protamine-like II. Chem. Biol. Interact. 2024, 401, 111186. [Google Scholar] [CrossRef]
- Marinaro, C.; Scarciello, G.; Bianchi, A.R.; Berman, B.; Chianese, T.; Scudiero, R.; Rosati, L.; De Maio, A.; Lettieri, G.; Piscopo, M. Toxicological Effects and Potential Reproductive Risk of Microplastic-Induced Molecular Changes in Protamine-like Proteins and Their DNA Binding. Chem. Biol. Interact. 2025, 405, 111309. [Google Scholar] [CrossRef]
- Bradford, M.M. A Rapid and Sensitive Method for the Quantitation of Microgram Quantities of Protein Utilizing the Principle of Protein-Dye Binding. Anal. Biochem. 1976, 72, 248–254. [Google Scholar] [CrossRef]
- Carbone, A.; Fioretti, F.M.; Fucci, L.; Ausió, J.; Piscopo, M. High Efficiency Method to Obtain Supercoiled DNA with a Commercial Plasmid Purification Kit. Acta Biochim. Pol. 2012, 59, 275–278. [Google Scholar] [CrossRef]
- Ferrero, G.; Festa, R.; Follia, L.; Lettieri, G.; Tarallo, S.; Notari, T.; Giarra, A.; Marinaro, C.; Pardini, B.; Marano, A.; et al. Small Noncoding RNAs and Sperm Nuclear Basic Proteins Reflect the Environmental Impact on Germ Cells. Mol. Med. 2024, 30, 12. [Google Scholar] [CrossRef] [PubMed]
- Fioretti, F.M.; Febbraio, F.; Carbone, A.; Branno, M.; Carratore, V.; Fucci, L.; Ausió, J.; Piscopo, M. A Sperm Nuclear Basic Protein from the Sperm of the Marine Worm Chaetopterus variopedatus with Sequence Similarity to the Arginine-Rich C-Termini of Chordate Protamine-Likes. DNA Cell Biol. 2012, 31, 1392–1402. [Google Scholar] [CrossRef] [PubMed]
- Carbone, G.; Lettieri, G.; Marinaro, C.; Costabile, M.; Notariale, R.; Bianchi, A.R.; Maio, A.D.; Piscopo, M. A Molecular Mechanism to Explain the Nickel-Induced Changes in Protamine-like Proteins and Their DNA Binding Affecting Sperm Chromatin in Mytilus galloprovincialis: An In Vitro Study. Biomolecules 2023, 13, 520. [Google Scholar] [CrossRef] [PubMed]
- De Guglielmo, V.; Puoti, R.; Notariale, R.; Maresca, V.; Ausió, J.; Troisi, J.; Verrillo, M.; Basile, A.; Febbraio, F.; Piscopo, M. Alterations in the Properties of Sperm Protamine-like II Protein after Exposure of Mytilus galloprovincialis (Lamarck 1819) to Sub-Toxic Doses of Cadmium. Ecotoxicol. Environ. Saf. 2019, 169, 600–606. [Google Scholar] [CrossRef]
- Liu, H.; Gao, Y.; Mathivanan, J.; Shen, F.; Chen, X.; Li, Y.; Shao, Z.; Zhang, Y.; Shao, Q.; Sheng, J.; et al. Structure-Guided Development of Pb2+-Binding DNA Aptamers. Sci. Rep. 2022, 12, 460. [Google Scholar] [CrossRef]
- Peng, R.-P.; Xing, L.-B.; Wang, X.-J.; Wu, C.-J.; Chen, B.; Ji, H.-F.; Wu, L.-Z.; Tung, C.-H. Detection of Pb2+ in Aqueous Solution by Using a DNA-Modified Microcantilever. Anal. Sci. 2016, 32, 1065–1069. [Google Scholar] [CrossRef]
- Thompson, J.D.; Higgins, D.G.; Gibson, T.J. CLUSTAL W: Improving the Sensitivity of Progressive Multiple Sequence Alignment through Sequence Weighting, Position-Specific Gap Penalties and Weight Matrix Choice. Nucleic Acids Res. 1994, 22, 4673–4680. [Google Scholar] [CrossRef]
- Das, S.; Mandal, S.; Dhara, H.; Chatterjee, P.N. Dietary Amelioration of Lead Toxicity in Fish- A Review. Indian J. Anim. Health 2022, 61, 173–189. [Google Scholar] [CrossRef]
- Khan, J.; Pradhan, V. Chronic Lead Toxicity-Induced Alterations in Oxygen Uptake and Energy Metabolites of Rohu (Labeo rohita) Fingerlings. Int. J. Fish. Aquat. Stud. 2025, 13, 167–172. [Google Scholar] [CrossRef]
- Sarkar, O.; Dey, K.K.; Islam, S.; Chattopadhyay, A. Lead and Aquatic Ecosystems, Biomarkers, and Implications for Humankind. In Biomarkers in Toxicology; Springer: Cham, Switzerland, 2022; pp. 1–28. ISBN 978-3-030-87225-0. [Google Scholar]
- Łuszczek-Trojnar, E.; Drąg-Kozak, E.; Socha, M.; Szczerbik, P.; Popek, W. Influence of Long-Term Exposure to Lead on Its Accumulation and Elimination from Tissues and on Selected Reproductive Parameters in the Prussian Carp (Carassius gibelio B.) in Pond Environment. Czech J. Anim. Sci. 2015, 60, 459–472. [Google Scholar] [CrossRef]
- Abdel-Warith, A.-W.A.; Younis, E.-S.M.I.; Al-Asgah, N.A.; Rady, A.M.; Allam, H.Y. Bioaccumulation of Lead Nitrate in Tissues and Its Effects on Hematological and Biochemical Parameters of Clarias gariepinus. Saudi J. Biol. Sci. 2020, 27, 840–845. [Google Scholar] [CrossRef] [PubMed]
- Abraham, M.J.; Murtola, T.; Schulz, R.; Páll, S.; Smith, J.C.; Hess, B.; Lindahl, E. GROMACS: High Performance Molecular Simulations through Multi-Level Parallelism from Laptops to Supercomputers. SoftwareX 2015, 1–2, 19–25. [Google Scholar] [CrossRef]
- Dominguez, C.; Boelens, R.; Bonvin, A.M.J.J. HADDOCK: A Protein−Protein Docking Approach Based on Biochemical or Biophysical Information. J. Am. Chem. Soc. 2003, 125, 1731–1737. [Google Scholar] [CrossRef]
- Schake, P.; Bolz, S.N.; Linnemann, K.; Schroeder, M. PLIP 2025: Introducing Protein–Protein Interactions to the Protein–Ligand Interaction Profiler. Nucleic Acids Res. 2025, 53, W463–W465. [Google Scholar] [CrossRef]
- Sisombath, N.S.; Jalilehvand, F.; Schell, A.C.; Wu, Q. Lead(II) Binding to the Chelating Agent d-Penicillamine in Aqueous Solution. Inorg. Chem. 2014, 53, 12459–12468. [Google Scholar] [CrossRef]
- Sigel, A.; Operschall, B.P.; Sigel, H. Complex Formation of Lead(II) with Nucleotides and Their Constituents. In Lead: Its Effects on Environment and Health; De Gruyter Brill: Berlin, Germany, 2017; Volume 17. [Google Scholar] [CrossRef]
- Guillaumont, S.; Tortajada, J.; Salpin, J.-Y.; Lamsabhi, A.M. Experimental and Computational Study of the Gas-Phase Interactions between Lead(II) Ions and Two Pyrimidic Nucleobases: Uracil and Thymine. Int. J. Mass Spectrom. 2005, 243, 279–293. [Google Scholar] [CrossRef]
- Kim, R.; Youn, Y.-S.; Kang, M.; Kim, E. Platform- and Label-Free Detection of Lead Ions in Environmental and Laboratory Samples Using G-Quadraplex Probes by Circular Dichroism Spectroscopy. Sci. Rep. 2020, 10, 20461. [Google Scholar] [CrossRef]
- Yadav, R.; Berlina, A.N.; Zherdev, A.V.; Gaur, M.S.; Dzantiev, B.B. Rapid and Selective Electrochemical Detection of Pb2+ Ions Using Aptamer-Conjugated Alloy Nanoparticles. SN Appl. Sci. 2020, 2, 2077. [Google Scholar] [CrossRef]
- Bordon, I.C.; Emerenciano, A.K.; Melo, J.R.C.; da Silva, J.R.M.C.; Favaro, D.I.T.; Gusso-Choueri, P.K.; de Campos, B.G.; Abessa, D.M.d.S. Implications on the Pb Bioaccumulation and Metallothionein Levels Due to Dietary and Waterborne Exposures: The Callinectes danae Case. Ecotoxicol. Environ. Saf. 2018, 162, 415–422. [Google Scholar] [CrossRef]
- Telisman, S.; Colak, B.; Pizent, A.; Jurasović, J.; Cvitković, P. Reproductive Toxicity of Low-Level Lead Exposure in Men. Environ. Res. 2007, 105, 256–266. [Google Scholar] [CrossRef] [PubMed]
- Adisa, V.I.; Ashonibare, P.J.; Adegbola, C.A.; Akhigbe, T.M.; Kolawole, O.R.; Omole, I.A.; Fidelis, F.B.; Adeogun, A.E.; Oluwole, R.P.; Akorede, B.A.; et al. Lead Exposure Is Associated with Increased Lead Bioaccumulation and a Decline in Semen Quality: A Systematic Review and Meta-Analysis. JBRA Assist. Reprod. 2025, 29, 764–782. [Google Scholar] [CrossRef] [PubMed]
- Wirth, J.J.; Mijal, R.S. Adverse Effects of Low Level Heavy Metal Exposure on Male Reproductive Function. Syst. Biol. Reprod. Med. 2010, 56, 147–167. [Google Scholar] [CrossRef] [PubMed]
- Passaro, D.; Rana, G.; Piscopo, M.; Viggiano, E.; De Luca, B.; Fucci, L. Epigenetic Chromatin Modifications in the Cortical Spreading Depression. Brain Res. 2010, 1329, 1–9. [Google Scholar] [CrossRef]
- Piscopo, M.; Conte, M.; Di Paola, F.; Conforti, S.; Rana, G.; De Petrocellis, L.; Fucci, L.; Geraci, G. Relevance of Arginines in the Mode of Binding of H1 Histones to DNA. DNA Cell Biol. 2010, 29, 339–347. [Google Scholar] [CrossRef]
- Alessio, L.; Cortesi, I.; Materzanini, P.; Barenghi, M. One Century of Studies on Lead Poisoning in Papers Published in La Medicina Del Lavoro. Am. J. Ind. Med. 2000, 38, 361–367. [Google Scholar] [CrossRef]
- Hernández-Ochoa, I.; Sánchez-Gutiérrez, M.; Solís-Heredia, M.J.; Quintanilla-Vega, B. Spermatozoa Nucleus Takes up Lead during the Epididymal Maturation Altering Chromatin Condensation. Reprod. Toxicol. 2006, 21, 171–178. [Google Scholar] [CrossRef]
- Li, C.; Zhao, K.; Zhang, H.; Liu, L.; Xiong, F.; Wang, K.; Chen, B. Lead Exposure Reduces Sperm Quality and DNA Integrity in Mice. Environ. Toxicol. 2018, 33, 594–602. [Google Scholar] [CrossRef]
- Hernberg, S. Lead Poisoning in a Historical Perspective. Am. J. Ind. Med. 2000, 38, 244–254. [Google Scholar] [CrossRef]
- Lettieri, G.; Notariale, R.; Ambrosino, A.; Bonito, A.D.; Giarra, A.; Trifuoggi, M.; Manna, C.; Piscopo, M. Spermatozoa Transcriptional Response and Alterations in PL Proteins Properties after Exposure of Mytilus galloprovincialis to Mercury. Int. J. Mol. Sci. 2021, 22, 1618. [Google Scholar] [CrossRef]
- Patra, R.C.; Rautray, A.K.; Swarup, D. Oxidative Stress in Lead and Cadmium Toxicity and Its Amelioration. Vet. Med. Int. 2011, 2011, 457327. [Google Scholar] [CrossRef] [PubMed]
- Oros, A.; Pantea, E.-D.; Ristea, E. Heavy Metal Concentrations in Wild Mussels Mytilus galloprovincialis (Lamarck, 1819) during 2001–2023 and Potential Risks for Consumers: A Study on the Romanian Black Sea Coast. Sci 2024, 6, 45. [Google Scholar] [CrossRef]
- Muñoz-Fariña, O.; Roman-Benn, A.; Lopez-Joven, C.; de Medina, L.G.-P.; Ravanal, M.C. Seasonal Variations in Heavy Metal Concentrations in Mussels (Mytilus chilensis) from Southern Chile: Health Risk Implications Associated with Their Consumption. Foods 2025, 14, 916. [Google Scholar] [CrossRef] [PubMed]
- Lettieri, G.; Notariale, R.; Carusone, N.; Giarra, A.; Trifuoggi, M.; Manna, C.; Piscopo, M. New Insights into Alterations in PL Proteins Affecting Their Binding to DNA after Exposure of Mytilus galloprovincialis to Mercury—A Possible Risk to Sperm Chromatin Structure? Int. J. Mol. Sci. 2021, 22, 5893. [Google Scholar] [CrossRef]
- García-Navarro, J.A.; Franco, L.; Romero, D. Differences in the Accumulation and Tissue Distribution of Pb, Cd, and Cu in Mediterranean Mussels (Mytilus galloprovincialis) Exposed to Single, Binary, and Ternary Metal Mixtures. Environ. Sci. Pollut. Res. 2017, 24, 6599–6610. [Google Scholar] [CrossRef]
- Lettieri, G.; Di Giovanni, C.; Amore, S.; del Gaudio, R.; Palumbo, G.; Montano, L.; Febbraio, F.; Piscopo, M. Exploring Human Sperm Nuclear Basic Protein–DNA Interactions: Could Hexavalent Chromium Play an Interfering Role? Chem.-Biol. Interact. 2025, 421, 111768. [Google Scholar] [CrossRef]
- Yoo, J.-W.; Cho, H.; Lee, K.-W.; Won, E.-J.; Lee, Y.-M. Combined Effects of Heavy Metals (Cd, As, and Pb): Comparative Study Using Conceptual Models and the Antioxidant Responses in the Brackish Water Flea. Comp. Biochem. Physiol. C Toxicol. Pharmacol. 2021, 239, 108863. [Google Scholar] [CrossRef]
- Arreguin-Rebolledo, U.; Castelhano Gebara, R.; Valencia-Castañeda, G.; Rico-Martínez, R.; Frías-Espericueta, M.G.; Longo, E.; Páez-Osuna, F. Toxicity of Binary-Metal Mixtures (As, Cd, Cu, Fe, Hg, Pb and Zn) in the Euryhaline Rotifer Proales similis: Antagonistic and Synergistic Effects. Mar. Pollut. Bull. 2024, 198, 115819. [Google Scholar] [CrossRef]
- Angel, B.M.; Apte, S.C.; Batley, G.E.; Raven, M.D. Lead Solubility in Seawater: An Experimental Study. Environ. Chem. 2016, 13, 489–495. [Google Scholar] [CrossRef]
- Huang, Z.-X.; Li, Y.-L.; Peng, J.-C.; Ho, T.-T.; Huang, H.; Aschner, M.; Jiang, Y.-M. The Effects of Lead, Cadmium and Arsenic Exposure Alone or in Combination on Neurotoxicity Through Neural Signaling Pathways. In Biological Trace Element Research; Springer: Berlin/Heidelberg, Germany, 2025. [Google Scholar] [CrossRef]
- Zhou, F.; Xie, J.; Zhang, S.; Yin, G.; Gao, Y.; Zhang, Y.; Bo, D.; Li, Z.; Liu, S.; Feng, C.; et al. Lead, Cadmium, Arsenic, and Mercury Combined Exposure Disrupted Synaptic Homeostasis through Activating the Snk-SPAR Pathway. Ecotoxicol. Environ. Saf. 2018, 163, 674–684. [Google Scholar] [CrossRef]
- Fernandez-Leborans, G.; Herrero, Y.O. Toxicity and Bioaccumulation of Lead and Cadmium in Marine Protozoan Communities. Ecotoxicol. Environ. Saf. 2000, 47, 266–276. [Google Scholar] [CrossRef]
- Liu, M.; Deng, P.; Li, G.; Liu, H.; Zuo, J.; Cui, W.; Zhang, H.; Chen, X.; Yao, J.; Peng, X.; et al. Neurotoxicity of Combined Exposure to the Heavy Metals (Pb and As) in Zebrafish (Danio Rerio). Toxics 2024, 12, 282. [Google Scholar] [CrossRef]
- Saravanan, P.; Saravanan, V.; Rajeshkannan, R.; Arnica, G.; Rajasimman, M.; Baskar, G.; Pugazhendhi, A. Comprehensive Review on Toxic Heavy Metals in the Aquatic System: Sources, Identification, Treatment Strategies, and Health Risk Assessment. Environ. Res. 2024, 258, 119440. [Google Scholar] [CrossRef]








Disclaimer/Publisher’s Note: The statements, opinions and data contained in all publications are solely those of the individual author(s) and contributor(s) and not of MDPI and/or the editor(s). MDPI and/or the editor(s) disclaim responsibility for any injury to people or property resulting from any ideas, methods, instructions or products referred to in the content. |
© 2026 by the authors. Licensee MDPI, Basel, Switzerland. This article is an open access article distributed under the terms and conditions of the Creative Commons Attribution (CC BY) license.
Share and Cite
Marinaro, C.; Amore, S.; Garofalo, R.; Sebastiano, B.; Santaniello, G.; Cafaro, S.; Sansone, D.; Di Giovanni, C.; Lettieri, G.; Piscopo, M. A Novel Perspective on Lead-Induced Protamine-like Protein-DNA Interactions in Mytilus galloprovincialis: A Molecular and Computational Study. Biomolecules 2026, 16, 529. https://doi.org/10.3390/biom16040529
Marinaro C, Amore S, Garofalo R, Sebastiano B, Santaniello G, Cafaro S, Sansone D, Di Giovanni C, Lettieri G, Piscopo M. A Novel Perspective on Lead-Induced Protamine-like Protein-DNA Interactions in Mytilus galloprovincialis: A Molecular and Computational Study. Biomolecules. 2026; 16(4):529. https://doi.org/10.3390/biom16040529
Chicago/Turabian StyleMarinaro, Carmela, Simona Amore, Rosaria Garofalo, Barbara Sebastiano, Giulio Santaniello, Simona Cafaro, Donato Sansone, Carmen Di Giovanni, Gennaro Lettieri, and Marina Piscopo. 2026. "A Novel Perspective on Lead-Induced Protamine-like Protein-DNA Interactions in Mytilus galloprovincialis: A Molecular and Computational Study" Biomolecules 16, no. 4: 529. https://doi.org/10.3390/biom16040529
APA StyleMarinaro, C., Amore, S., Garofalo, R., Sebastiano, B., Santaniello, G., Cafaro, S., Sansone, D., Di Giovanni, C., Lettieri, G., & Piscopo, M. (2026). A Novel Perspective on Lead-Induced Protamine-like Protein-DNA Interactions in Mytilus galloprovincialis: A Molecular and Computational Study. Biomolecules, 16(4), 529. https://doi.org/10.3390/biom16040529

