Molecular Characterization, Expression Responses and Antipathogenic Bacterial Function of Interleukin-1β (IL-1β) in Asian Seabass (Lates calcarifer Bloch, 1790)
Abstract
1. Introduction
2. Materials and Methods
2.1. Experimental Asian Seabass
2.2. Identification of the Full-Length cDNA Encoding the LcIL-1β Molecule of Asian Seabass
2.3. Analysis of Homology and Evolutionary Tree Construction
2.4. Protein Structural Analysis of LcIL-1β
2.5. Tissue Expression Analysis of IL-1β mRNA in Normal Fish by Quantitative Reverse-Transcription Real-Time PCR (qRT–PCR)
2.5.1. Total RNA Isolation and First-Strand cDNA Synthesis
2.5.2. Expression Analysis via qRT–PCR
2.6. Immune Response Induction Analysis of LcIL-1β Stimulated with S. iniae and F. covae
2.6.1. Preparation of Pathogenic Bacteria
2.6.2. Challenge Procedure
2.6.3. Total RNA Extraction, First-Strand cDNA Synthesis and qRT–PCR Analyses
2.7. Recombinant LcIL-1β Protein (rLcIL-1β) Production
2.7.1. Design of Recombinant LcIL-1β DNA for Protein Overexpression
2.7.2. Protein Expression of rLcIL-1β
2.7.3. Purification and Quantitation of rLcIL-1β
2.7.4. Western Blotting
2.8. Biological Function of rLcIL-1β: In Vitro Analysis by Phagocytic Activity
2.9. Effectiveness of rLcIL-1β in Controlling Pathogenic Bacteria Revealed by the Minimum Inhibitory Concentration (MIC)
2.10. Efficacy of rLcIL-1β in Enhancing Disease Resistance Against S. iniae
2.10.1. Conditions and Designs
2.10.2. S. iniae Induction
2.11. Survival Curve Investigation and Statistical Analysis
3. Results
3.1. Structural Characterization of LcIL-1β cDNA and Protein
3.2. Phylogenetic Tree Comparative Analysis of LcIL-1β and Various IL-1β Genes in Vertebrates
3.3. Transcriptional-Level Analysis of the LcIL-1β Gene in 12 Tissues from 4 Healthy Asian Seabass
3.4. Transcriptional Level Analysis of the LcIL-1β Gene in 6 Different Tissues of Healthy Asian Seabass Induced with F. covae
3.5. Transcriptional Level Analysis of the LcIL-1β Gene in 6 Different Tissues of Healthy Asian Seabass Induced with S. iniae
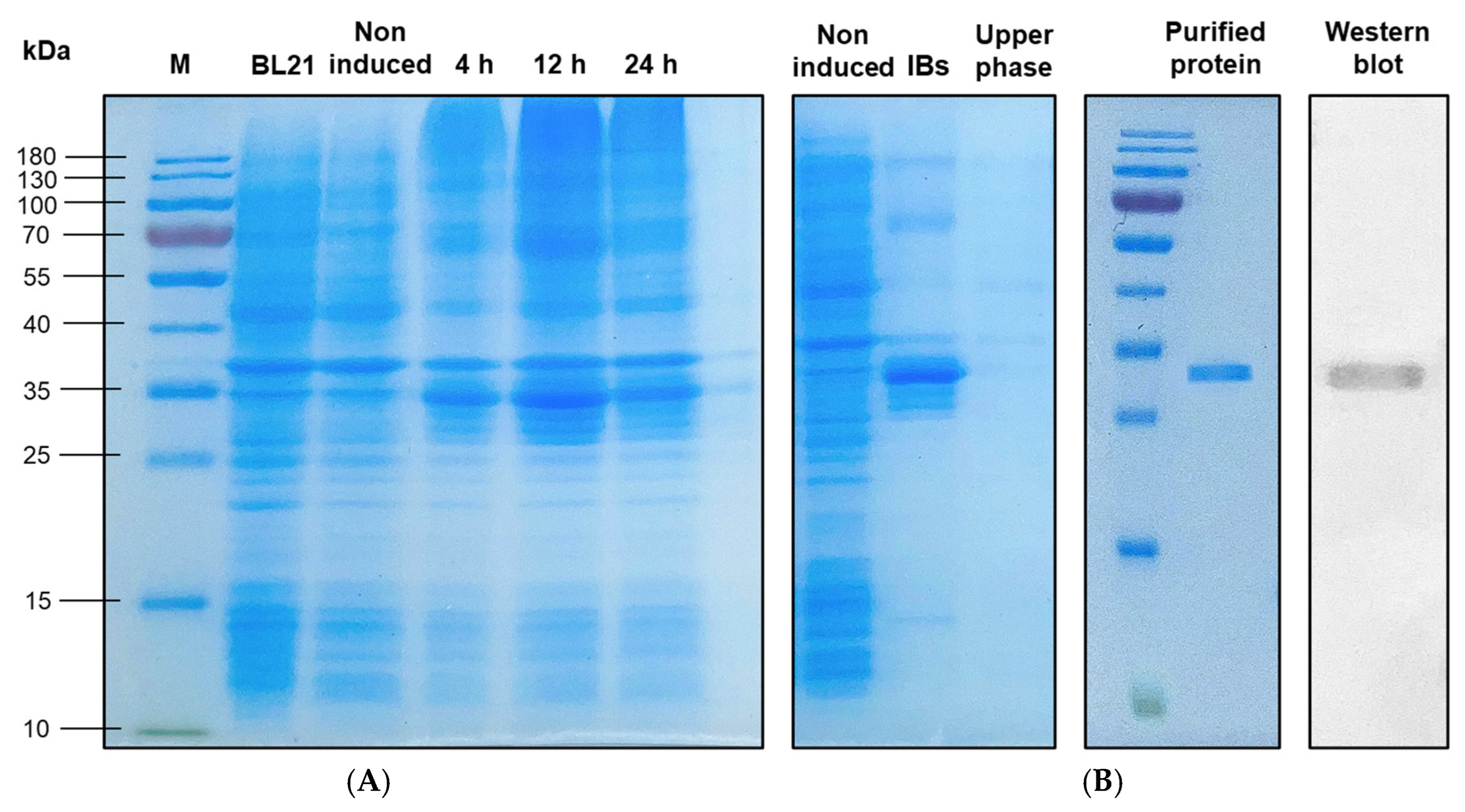
3.6. Production and Purification of the rLcIL-1β Protein
3.7. Biological Effects of rLcIL-1β on Phagocytosis Activity
3.8. Analyses of the Inhibitory Effects of rLcIL-1β on F. covae and S. iniae
3.9. Efficacy of rLcIL-1β in Preventing S. iniae Infection in Asian Seabass (In Vivo)
4. Discussion
5. Conclusions
Supplementary Materials
Author Contributions
Funding
Institutional Review Board Statement
Informed Consent Statement
Data Availability Statement
Acknowledgments
Conflicts of Interest
References
- Mahmud, M.N.; Ansary, A.A.; Ritu, F.Y.; Hasan, N.A.; Haque, M.M. An Overview of fish disease diagnosis and treatment in aquaculture in Bangladesh. Aquac. J. 2025, 5, 18. [Google Scholar] [CrossRef]
- The Organization for Economic Co-Operation and Development. Aquaculture production: Species Barramundi (Lates calcarifer). 2022. Available online: https://stats.oecd.org/Index.aspx?DataSetCode=FISH_AQUA (accessed on 7 April 2025).
- Department of Fisheries (DOF). Fisheries Statistics of Thailand 2020 No. 4/2022. Fisheries Development Policy and Planning Division; Department of Fisheries, Ministry of Agriculture and Cooperatives: Bangkok, Thailand, 2022. [Google Scholar]
- Suanyuk, N.; Sukkasame, N.; Tanmark, N.; Yoshida, T.; Itami, T.; Thune, R.L.; Tantikitti, C.; Supamattaya, K. Streptococcus iniae infection in cultured Asian seabass (Lates calcarifer) and red tilapia (Oreochromis sp.) in southern Thailand. Warasan Songkhla Nakharin 2010, 32, 341–348. [Google Scholar]
- Gazal, L.E.D.S.; Brito, K.C.T.D.; Kobayashi, R.K.T.; Nakazato, G.; Cavalli, L.S.; Otutumi, L.K.; Brito, B.G.D. Antimicrobials and resistant bacteria in global fish farming and the possible risk for public health. Arq. Inst. Biol. 2020, 87, e0362019. [Google Scholar] [CrossRef]
- Xu, T.; Wang, Z.; Gao, Y.; Su, J. Genome-wide identification and evolution of interleukins and their potential roles in response to GCRV and Aeromonas hydrophila challenge in grass carp (Ctenopharyngodon idella). Aquaculture 2022, 556, 738266. [Google Scholar] [CrossRef]
- Garlanda, C.; Di Ceglie, I.; Jaillon, S. IL-1 family cytokines in inflammation and immunity. Cell. Mol. Immunol. 2025, 22, 1345–1362. [Google Scholar] [CrossRef]
- Lopez-Castejon, G.; Brough, D. Understanding the mechanism of IL-1β secretion. Cytokine Growth Factor Rev. 2011, 22, 189–195. [Google Scholar] [CrossRef]
- Dinarello, C.A. An expanding role for interleukin-1 blockade from gout to cancer. Mol. Med. 2014, 20, S43–S58. [Google Scholar] [CrossRef]
- Su, J. Toll-like receptor signaling in teleosts. Sci. China Life Sci. 2025, 68, 1889–1911. [Google Scholar] [CrossRef]
- Bent, R.; Moll, L.; Grabbe, S.; Bros, M. Interleukin-1 beta-A friend or foe in malignancies? Int. J. Mol. Sci. 2018, 19, 2155. [Google Scholar] [CrossRef] [PubMed]
- Hasegawa, M.; Kamada, N.; Jiao, Y.; Liu, M.Z.; Núñez, G.; Inohara, N. Protective role of commensals against Clostridium difficile infection via an IL-1β–mediated positive-feedback loop. J. Immunol. 2012, 189, 3085–3091. [Google Scholar] [CrossRef] [PubMed]
- Ramos, H.J.; Lanteri, M.C.; Blahnik, G.; Negash, A.; Suthar, M.S.; Brassil, M.M.; Sodhi, K.; Treuting, P.M.; Busch, M.P.; Norris, P.J. IL-1β signaling promotes CNS-intrinsic immune control of West Nile virus infection. PLoS Pathog. 2012, 8, e1003039. [Google Scholar] [CrossRef] [PubMed]
- Burns, K.; Martinon, F.; Tschopp, J. New insights into the mechanism of IL-1beta maturation. Curr. Opin. Immunol. 2003, 15, 26–30. [Google Scholar] [CrossRef]
- Joo, M.-S.; Choi, K.-M.; Kang, G.; Woo, W.-S.; Kim, K.-H.; Sohn, M.-Y.; Son, H.-J.; Han, H.-J.; Choi, H.-S.; Kim, D.-H.; et al. Red sea bream interleukin (IL)-1β and IL-8 expression, subcellular localization, and antiviral activity against red sea bream iridovirus (RSIV). Fish Shellfish Immunol. 2022, 128, 360–370. [Google Scholar] [CrossRef]
- Wu, M.S.; Chen, C.W.; Lin, C.H.; Tzeng, C.S.; Chang, C.Y. Differential expression profiling of orange-spotted grouper larvae, Epinephelus coioides (Hamilton), that survived a betanodavirus outbreak. J. Fish Dis. 2012, 35, 215–225. [Google Scholar] [CrossRef] [PubMed]
- Muangrerk, C.; Uchuwittayakul, A.; Srisapoome, P. Identification, expression and antimicrobial functional analysis of interleukin-8 (IL-8) in response to Streptococcus iniae and Flavobacterium covae in Asian seabass (Lates calcarifer Bloch, 1790). Animals 2024, 14, 475. [Google Scholar] [CrossRef]
- Livak, K.J.; Schmittgen, T.D. Analysis of relative gene expression data using real-time quantitative PCR and the 2−ΔΔCₜ method. Methods 2001, 25, 402–408. [Google Scholar] [CrossRef]
- Puangkaew, J.; Kiron, V.; Somamoto, T.; Okamoto, N.; Satoh, S.; Takeuchi, T.; Watanabe, T. Nonspecific immune response of rainbow trout (Oncorhynchus mykiss Walbaum) in relation to the different status of vitamin E and highly unsaturated fatty acids. Fish Shellfish Immunol. 2004, 16, 25–39. [Google Scholar] [CrossRef]
- Carriero, M.M.; Henrique-Silva, F.; Meira, C.M.; Gato, I.M.Q.; Caetano, A.R.; Lobo, F.P.; Alves, A.L.; Varela, E.S.; Maia, A.A.M. Molecular characterization and gene expression analysis of the pro-inflammatory cytokines IL-1β and IL-8 in the South American fish Piaractus mesopotamicus challenged with Aeromonas dhakensis. Genet. Mol. Biol. 2020, 43, e20200006. [Google Scholar] [CrossRef] [PubMed]
- Bo, Y.X.; Song, X.H.; Wu, K.; Hu, B.; Sun, B.Y.; Liu, Z.J.; Fu, J.G. Characterization of interleukin-1β as a proinflammatory cytokine in grass carp (Ctenopharyngodon idella). Fish Shellfish Immunol. 2015, 46, 584–595. [Google Scholar] [CrossRef]
- Wangkahart, E.; Jumpalueang, S.; Ardprachan, S.; Phudkliang, J.; Sunthamala, P.; Pholchamat, S.; Qi, Z. Molecular characterization and expression analysis of novel interleukin-1 family member (nIL-1Fm) gene in Nile tilapia (Oreochromis niloticus). J. Mar. Sci. Eng. 2022, 10, 1272. [Google Scholar] [CrossRef]
- Bird, S.; Wang, T.; Zou, J.; Cunningham, C.; Secombes, C.J. The first cytokine sequence within cartilaginous fish: IL-1β in the small spotted catshark (Scyliorhinus canicula). J. Immunol. 2002, 168, 3329–3340. [Google Scholar] [CrossRef]
- Wang, T.; Bird, S.; Koussounadis, A.; Holland, J.W.; Carrington, A.; Zou, J.; Secombes, C.J. Identification of a novel IL-1 cytokine family member in teleost fish. J. Immunol. 2009, 183, 962–974. [Google Scholar] [CrossRef]
- Yao, F.; Yang, X.; Wang, X.; Wei, H.; Zhang, A.; Zhou, H. Molecular and functional characterization of an IL-1β receptor antagonist in grass carp (Ctenopharyngodon idella). Dev. Comp. Immunol. 2015, 49, 207–216. [Google Scholar] [CrossRef]
- Garlanda, C.; Dinarello, C.A.; Mantovani, A. The interleukin-1 family: Back to the future. Immunity 2013, 39, 1003–1018. [Google Scholar] [CrossRef]
- Scapigliati, G.; Buonocore, F.; Bird, S.; Zou, J.; Pelegrin, P.; Falasca, C.; Prugnoli, D.; Secombes, C.J. Phylogeny of cytokines: Molecular cloning and expression analysis of sea bass Dicentrarchus labrax interleukin-1 beta. Fish Shellfish Immunol. 2001, 11, 711–726. [Google Scholar] [CrossRef]
- Liu, L.; Fujiki, K.; Dixon, B.; Sundick, R.S. Cloning of a novel rainbow trout (Oncorhynchus mykiss) CC chemokine with a fractalkine-like stalk and a TNF decoy receptor using cDNA fragments containing AU-rich elements. Cytokine 2002, 17, 71–81. [Google Scholar] [CrossRef]
- Cicchinelli, S.; Pignataro, G.; Gemma, S.; Piccioni, A.; Picozzi, D.; Ojetti, V.; Franceschi, F.; Candelli, M. PAMPs and DAMPs in sepsis: A review of their molecular features and potential clinical implications. Int. J. Mol. Sci. 2024, 25, 962. [Google Scholar] [CrossRef]
- Chen, J.; Xu, Q.; Wang, T.; Collet, B.; Corripio-Miyar, Y.; Bird, S.; Xie, P.; Nie, P.; Secombes, C.J.; Zou, J. Phylogenetic analysis of vertebrate CXC chemokines reveals novel lineage-specific groups in teleost fish. Dev. Comp. Immunol. 2013, 41, 137–152. [Google Scholar] [CrossRef] [PubMed]
- Liang, Q.; Li, W.; Guo, N.; Tong, C.; Zhou, Y.; Fang, W.; Li, X. Identification and functional analysis of Interleukin-1β in the Chinese soft-shelled turtle Pelodiscus sinensis. Genes 2016, 7, 18. [Google Scholar] [CrossRef] [PubMed]
- Jiang, S.; Zhang, D.; Li, J.; Liu, Z. Molecular characterization, recombinant expression and bioactivity analysis of the interleukin-1 beta from the yellowfin sea bream, Acanthopagrus latus (Houttuyn). Fish Shellfish Immunol. 2008, 24, 323–336. [Google Scholar] [CrossRef] [PubMed]
- Lu, X.J.; Chen, J.; He, Y.Q.; Shi, Y.H. Molecular characterization of an IL-1β gene from ayu, Plecoglossus altivelis. Fish Shellfish Immunol. 2013, 34, 1253–1259. [Google Scholar] [CrossRef]
- Pleić, I.L.; Secombes, C.J.; Bird, S.; Mladineo, I. Characterization of three major cytokines: IL1, TNF1 and TNF2 in reared Atlantic bluefin tuna Thunnus thynnus. Fish Shellfish Immunol. 2013, 6, 1718. [Google Scholar] [CrossRef]
- Pleić, I.L.; Secombes, C.J.; Bird, S.; Mladineo, I. Characterization of three pro-inflammatory cytokines, TNFα1, TNFα2 and IL-1β, in cage-reared Atlantic bluefin tuna Thunnus thynnus. Fish Shellfish Immunol. 2014, 36, 98–112. [Google Scholar] [CrossRef]
- Herath, H.M.L.P.B.; Elvitigala, D.A.S.; Godahewa, G.I.; Umasuthan, N.; Whang, I.; Noh, J.K.; Lee, J. Molecular characterization and comparative expression analysis of two teleostean pro-inflammatory cytokines, IL-1β and IL-8, from Sebastes schlegeli. Gene 2016, 575, 732–742. [Google Scholar] [CrossRef] [PubMed]
- Bjørgen, H.; Koppang, E.O. Anatomy of teleost fish immune structures and organs. Immunogenetics 2021, 73, 53–63. [Google Scholar] [CrossRef]
- Seppola, M.; Larsen, A.N.; Steiro, K.; Robertsen, B.; Jensen, I. Characterisation and expression analysis of the interleukin genes, IL-1beta, IL-8 and IL-10, in Atlantic cod (Gadus morhua L.). Mol. Immunol. 2008, 45, 887–897. [Google Scholar] [CrossRef] [PubMed]
- Liu, Y.; Han, X.; Chen, X.; Yu, S.; Chai, Y.; Zhai, T.; Zhu, Q. Molecular characterization and functional analysis of the hepcidin gene from rough skin sculpin (Trachidermus fasciatus). Fish Shellfish Immunol. 2017, 68, 349–358. [Google Scholar] [CrossRef] [PubMed]
- Neely, H.R.; Flajnik, M.F. Emergence and evolution of secondary lymphoid organs. Annu. Rev. Cell Dev. Biol. 2016, 32, 693–711. [Google Scholar] [CrossRef]
- Stosik, M.P.; Tokarz-Deptula, B.; Deptula, W. Specific humoral immunity in Osteichthyes. Cent. Eur. J. Immunol. 2018, 43, 335–340. [Google Scholar] [CrossRef]
- Kunttu, H.M.T.; Jokinen, E.I.; Valtonen, E.I.; Sundberg, L.R. Virulent and nonvirulent Flavobacterium columnare colony morphologies: Characterization of chondroitin AC lyase activity and adhesion to polystyrene. J. Appl. Microbiol. 2011, 111, 1319–1326. [Google Scholar] [CrossRef]
- Decostere, A.; Haesebrouck, F.; Devriese, L.A. Characterization of four Flavobacterium columnare (Flexibacter columnaris) strains isolated from tropical fish. Vet. Microbiol. 1998, 62, 35–45. [Google Scholar] [CrossRef]
- Siegel, D.A.; Le Tonqueze, O.; Biton, A.; Zaitlen, N.; Erle, D.J. Massively parallel analysis of human 3′ UTRs reveals that AU-rich element length and registration predict mRNA destabilization. G3 2022, 12, jkab404. [Google Scholar] [CrossRef]
- Cao, H.; Wang, A.; Martin, B.; Koehler, D.R.; Zeitlin, P.L.; Tanawell, A.K.; Hu, J. Down-regulation of IL-8 expression in human airway epithelial cells through helper-dependent adenoviral-mediated RNA interference. Cell Res. 2005, 15, 111–119. [Google Scholar] [CrossRef]
- Hong, S.; Peddie, S.; Campos-Pérez, J.J.; Zou, J.; Secombes, C.J. The effect of intraperitoneally administered recombinant IL-1β on immune parameters and resistance to Aeromonas salmonicida in the rainbow trout (Oncorhynchus mykiss). Dev. Comp. Immunol. 2003, 27, 801–812. [Google Scholar] [CrossRef]
- Peddie, S.; Zou, J.; Secombes, C.J. A biologically active IL-1β derived peptide stimulates phagocytosis and bactericidal activity in rainbow trout, Oncorhynchus mykiss (Walbaum), head kidney leucocytes in vitro. J. Fish Dis. 2002, 25, 351–360. [Google Scholar] [CrossRef]
- Kusuda, R.; Kawai, K. Characteristics of Streptococcus sp. pathogenic to yellowtail. Fish Pathol. 1982, 17, 11–16. [Google Scholar] [CrossRef]
- Bernardet, J.F.; Nakagawa, Y.; Holmes, B. Proposed minimal standards for describing new taxa of the family Flavobacteriaceae and emended description of the family. Int. J. Syst. Evol. Micr. 2002, 52, 1049–1070. [Google Scholar]
- Weiss, D.I.; Ma, F.; Merleev, A.A.; Maverakis, E.; Gilliet, M.; Balin, S.J.; Bryson, B.D.; Ochoa, M.T.; Pellegrini, M.; Bloom, B.R.; et al. IL-1β induces the rapid secretion of the antimicrobial protein IL-26 from Th17 cells. J. Immunol. 2019, 203, 911–921. [Google Scholar] [CrossRef]
- Tehrani, F.A.; Modaresifar, K.; Azizian, S.; Niknejad, H. Induction of antimicrobial peptides secretion by IL-1β enhances human amniotic membrane for regenerative medicine. Sci. Rep. 2017, 7, 17022. [Google Scholar] [CrossRef]
- Guo, J.-J.; Wang, H.; Liu, J.-C.; Chang, X.-Y.; Li, J.-N.; Liu, X.-L. Interleukin-1β enhances the expression of two antimicrobial peptides in grass carp (Ctenopharyngodon idella) against Vibrio mimicus via activating NF-κB pathway. Fish Shellfish Immunol. 2022, 122, 334–344. [Google Scholar] [CrossRef] [PubMed]
- Jayaraman, P.; Sada-Ovalle, I.; Nishimura, T.; Anderson, A.C.; Kuchroo, V.K.; Remold, H.G.; Behar, S.M. IL-1β promotes antimicrobial immunity in macrophages by regulating TNFR signaling and caspase-3 activation. J. Immunol. 2013, 190, 4196–4204. [Google Scholar] [CrossRef]
- Geoffrey, A. The dual role of cytokines in immunity: Balancing pro-inflammatory and anti-inflammatory responses. INOSR Appl. Sci. 2025, 13, 28–34. [Google Scholar] [CrossRef]
- Battersby, A.J.; Khara, J.; Wright, V.J.; Levy, O.; Kampmann, B. Antimicrobial proteins and peptides in early life: Ontogeny and translational opportunities. Front. Immunol. 2016, 7, 309. [Google Scholar] [CrossRef] [PubMed]
- Buonocore, F.; Forlenza, M.; Randelli, E.; Benedetti, S.; Bossu, P.; Meloni, S.; Secombes, C.J.; Mazzini, M.; Scapigliati, G. Biological activity of sea bass (Dicentrarchus labrax L.) recombinant interleukin-1β. Mar. Biotechnol. 2005, 7, 609–617. [Google Scholar] [CrossRef] [PubMed]
- Lu, D.Q.; Bei, J.X.; Feng, L.N.; Zhang, Y.; Liu, X.C.; Wang, L.; Chen, J.L.; Lin, H.R. Interleukin-1β gene in orange-spotted grouper, Epinephelus coioides: Molecular cloning, expression, biological activities and signal transduction. Mol. Immunol. 2008, 45, 857–867. [Google Scholar] [CrossRef] [PubMed]











| Primer Code | Sequence Direction (5′–3′) | PCR Amplicon Size | Purpose |
|---|---|---|---|
| LcIL-1β F | CATATGATGGCATGCAACGTGAGCGAGATG | 732 bp | Protein overexpression |
| LcIL-1β R | CTCGAGTGCCTGTGTCAGATGCTGGATGGT | ||
| LcIL-1β qF | TTCAGAGACGAACACCTGCTCA | 234 bp | qRT–PCR |
| LcIL-1β qR | GGTCGACATGTTCAGGTGTACT | ||
| Lc-β-actin qF | TACCCCATTGAGCACGGTATTG | 150 bp | qRT–PCR |
| Lc-β-actin qR | TCTGGGTCATCTTCTCCCTGTT |
Disclaimer/Publisher’s Note: The statements, opinions and data contained in all publications are solely those of the individual author(s) and contributor(s) and not of MDPI and/or the editor(s). MDPI and/or the editor(s) disclaim responsibility for any injury to people or property resulting from any ideas, methods, instructions or products referred to in the content. |
© 2025 by the authors. Licensee MDPI, Basel, Switzerland. This article is an open access article distributed under the terms and conditions of the Creative Commons Attribution (CC BY) license.
Share and Cite
Srisapoome, P.; Muangrerk, C.; Uchuwittayakul, A.; Wongpanya, R. Molecular Characterization, Expression Responses and Antipathogenic Bacterial Function of Interleukin-1β (IL-1β) in Asian Seabass (Lates calcarifer Bloch, 1790). Biomolecules 2026, 16, 46. https://doi.org/10.3390/biom16010046
Srisapoome P, Muangrerk C, Uchuwittayakul A, Wongpanya R. Molecular Characterization, Expression Responses and Antipathogenic Bacterial Function of Interleukin-1β (IL-1β) in Asian Seabass (Lates calcarifer Bloch, 1790). Biomolecules. 2026; 16(1):46. https://doi.org/10.3390/biom16010046
Chicago/Turabian StyleSrisapoome, Prapansak, Chayanee Muangrerk, Anurak Uchuwittayakul, and Ratree Wongpanya. 2026. "Molecular Characterization, Expression Responses and Antipathogenic Bacterial Function of Interleukin-1β (IL-1β) in Asian Seabass (Lates calcarifer Bloch, 1790)" Biomolecules 16, no. 1: 46. https://doi.org/10.3390/biom16010046
APA StyleSrisapoome, P., Muangrerk, C., Uchuwittayakul, A., & Wongpanya, R. (2026). Molecular Characterization, Expression Responses and Antipathogenic Bacterial Function of Interleukin-1β (IL-1β) in Asian Seabass (Lates calcarifer Bloch, 1790). Biomolecules, 16(1), 46. https://doi.org/10.3390/biom16010046

