Deletions of LPL and NKX3.1 in Prostate Cancer Progression: Game Changers or By-Standers in Tumor Evolution
Abstract
1. Introduction
2. Materials and Methods
2.1. Patients
2.2. Immunohistochemistry
2.3. FISH
2.4. Reanalysis of WGS Data
2.5. Statistical Analysis
3. Results
3.1. LPL (8p21.3) Deletion Is Associated with a Poor Gleason Score
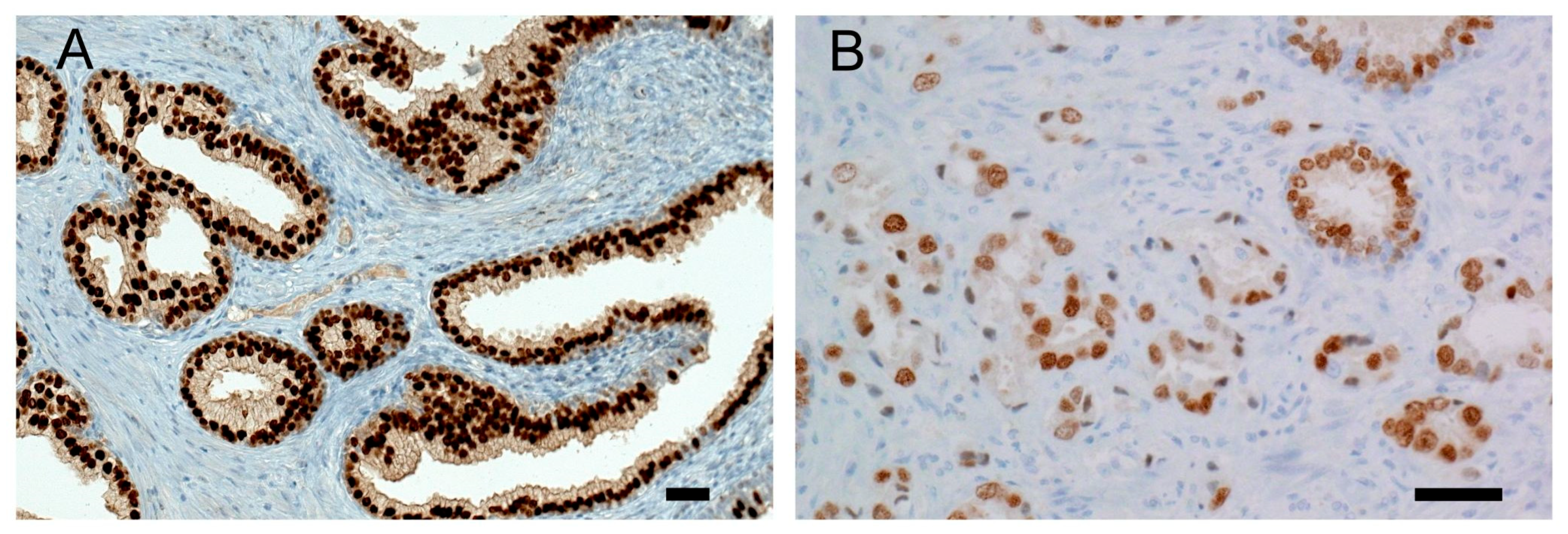
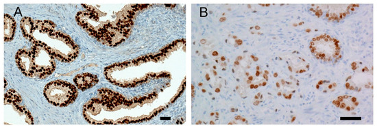
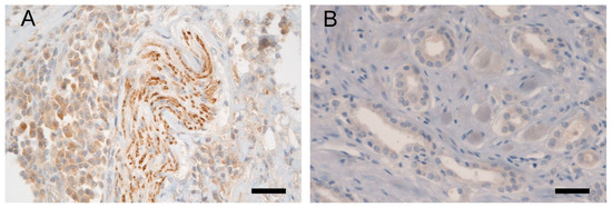
3.2. Expression of NKX3.1 Is Decreased in Cancer in Comparison to Benign Prostatic Hyperplasia, but Without Relation to 8p21.3 Deletion
3.3. Whole-Genome Copy Number Analysis Shows Co-Deletion of LPL and NKX3.1 Genes
4. Discussion
5. Conclusions
Supplementary Materials
Author Contributions
Funding
Institutional Review Board Statement
Informed Consent Statement
Data Availability Statement
Acknowledgments
Conflicts of Interest
Abbreviations
References
- Elias, M.; Bouchal, J.; Kral, M.; Kurfurstova, D. Contemporary Review of Prognostic Markers of Prostate Cancer from a Pathologist Perspective. Biomed. Pap. 2025, 169, 1–12. [Google Scholar] [CrossRef] [PubMed]
- Kral, M.; Kurfurstova, D.; Zemla, P.; Elias, M.; Bouchal, J. New Biomarkers and Multiplex Tests for Diagnosis of Aggressive Prostate Cancer and Therapy Management. Front. Oncol. 2025, 15, 1542511. [Google Scholar] [CrossRef]
- Antao, A.M.; Ramakrishna, S.; Kim, K.S. The Role of Nkx3.1 in Cancers and Stemness. Int. J. Stem Cells 2021, 14, 168–179. [Google Scholar] [CrossRef] [PubMed]
- Song, L.N.; Bowen, C.; Gelmann, E.P. Structural and Functional Interactions of the Prostate Cancer Suppressor Protein NKX3.1 with Topoisomerase I. Biochem. J. 2013, 453, 125–136. [Google Scholar] [CrossRef]
- Abate-Shen, C.; Shen, M.M.; Gelmann, E. Integrating Differentiation and Cancer: The Nkx3.1 Homeobox Gene in Prostate Organogenesis and Carcinogenesis. Differentiation 2008, 76, 717–727. [Google Scholar] [CrossRef] [PubMed]
- Wu, S.A.; Kersten, S.; Qi, L. Lipoprotein Lipase and Its Regulators: An Unfolding Story. Trends Endocrinol. Metab. 2021, 32, 48–61. [Google Scholar] [CrossRef]
- Li, Y.; He, P.P.; Zhang, D.W.; Zheng, X.L.; Cayabyab, F.S.; Yin, W.D.; Tang, C.K. Lipoprotein Lipase: From Gene to Atherosclerosis. Atherosclerosis 2014, 237, 597–608. [Google Scholar] [CrossRef]
- Gallucci, M.; Merola, R.; Farsetti, A.; Orlandi, G.; Sentinelli, S.; De Carli, P.; Leonardo, C.; Carlini, P.; Guadagni, F.; Sperduti, I.; et al. Cytogenetic Profiles as Additional Markers to Pathological Features in Clinically Localized Prostate Carcinoma. Cancer Lett. 2006, 237, 76–82. [Google Scholar] [CrossRef]
- Gallucci, M.; Merola, R.; Leonardo, C.; De Carli, P.; Farsetti, A.; Sentinelli, S.; Sperduti, I.; Mottolese, M.; Carlini, P.; Vico, E.; et al. Genetic Profile Identification in Clinically Localized Prostate Carcinoma. Urol. Oncol. Semin. Orig. Investig. 2009, 27, 502–508. [Google Scholar] [CrossRef]
- Zeković, M.; Bumbaširević, U.; Živković, M.; Pejčić, T. Alteration of Lipid Metabolism in Prostate Cancer: Multifaceted Oncologic Implications. Int. J. Mol. Sci. 2023, 24, 1391. [Google Scholar] [CrossRef]
- Martin, F.J.; Amode, M.R.; Aneja, A.; Austine-Orimoloye, O.; Azov, A.G.; Barnes, I.; Becker, A.; Bennett, R.; Berry, A.; Bhai, J.; et al. Ensembl 2023. Nucleic Acids Res. 2023, 51, D933–D941. [Google Scholar] [CrossRef] [PubMed]
- König, J.J.; Teubel, W.; van Steenbrugge, G.J.; Romijn, J.C.; Hagemeijer, A. Characterization of chromosome 8 aberrations in the prostate cancer cell line LNCaP-FGC and sublines. Urol. Res. 1999, 27, 3–8. [Google Scholar] [CrossRef] [PubMed]
- Qian, J.; Hirasawa, K.; Bostwick, D.G.; Bergstralh, E.J.; Slezak, J.M.; Anderl, K.L.; Borell, T.J.; Lieber, M.M.; Jenkins, R.B. Loss of p53 and c-myc overrepresentation in stage T(2-3)N(1-3)M(0) prostate cancer are potential markers for cancer progression. Mod. Pathol. 2002, 15, 35–44. [Google Scholar] [CrossRef] [PubMed][Green Version]
- Zhang, Y.; Perez, T.; Blondin, B.; Du, J.; Liu, P.; Escarzaga, D.; Coon, J.S.; Morrison, L.E.; Pestova, K. Identification of FISH Biomarkers to Detect Chromosome Abnormalities Associated with Prostate Adenocarcinoma in Tumour and Field Effect Environment. BMC Cancer 2014, 14, 129. [Google Scholar] [CrossRef]
- Camacho, N.; Van Loo, P.; Edwards, S.; Kay, J.D.; Matthews, L.; Haase, K.; Clark, J.; Dennis, N.; Thomas, S.; Kremeyer, B.; et al. Appraising the Relevance of DNA Copy Number Loss and Gain in Prostate Cancer Using Whole Genome DNA Sequence Data. PLoS Genet. 2017, 13, e1007001. [Google Scholar] [CrossRef] [PubMed]
- Ramesh, R.G.; Bigdeli, A.; Rushton, C.; Rosenbaum, J.N. CNViz: An R/Shiny Application for Interactive Copy Number Variant Visualization in Cancer. J. Pathol. Inform. 2022, 13, 100089. [Google Scholar] [CrossRef]
- Wilkinson, L. Ggplot2: Elegant Graphics for Data Analysis by WICKHAM, H. Biometrics 2011, 67, 678–679. [Google Scholar] [CrossRef]
- Tarhan, L.; Bistline, J.; Chang, J.; Galloway, B.; Hanna, E.; Weitz, E. Single Cell Portal: An Interactive Home for Single-Cell Genomics Data. bioRxiv 2023. [Google Scholar] [CrossRef]
- He, M.X.; Cuoco, M.S.; Crowdis, J.; Bosma-Moody, A.; Zhang, Z.; Bi, K.; Kanodia, A.; Su, M.J.; Ku, S.Y.; Garcia, M.M.; et al. Transcriptional Mediators of Treatment Resistance in Lethal Prostate Cancer. Nat. Med. 2021, 27, 426–433. [Google Scholar] [CrossRef]
- Trock, B.J.; Fedor, H.; Gurel, B.; Jenkins, R.B.; Knudsen, B.S.; Fine, S.W.; Said, J.W.; Carter, H.B.; Lotan, T.L.; De Marzo, A.M. PTEN Loss and Chromosome 8 Alterations in Gleason Grade 3 Prostate Cancer Cores Predicts the Presence of Un-Sampled Grade 4 Tumor: Implications for Active Surveillance. Mod. Pathol. 2016, 29, 764–771. [Google Scholar] [CrossRef]
- Kluth, M.; Amschler, N.N.; Galal, R.; Möller-Koop, C.; Barrow, P.; Tsourlakis, M.C.; Jacobsen, F.; Hinsch, A.; Wittmer, C.; Steurer, S.; et al. Deletion of 8p is an independent prognostic parameter in prostate cancer. Oncotarget 2017, 8, 379–392. [Google Scholar] [CrossRef]
- Bethel, C.R.; Faith, D.; Li, X.; Guan, B.; Hicks, J.L.; Lan, F.; Jenkins, R.B.; Bieberich, C.J.; De Marzo, A.M. Decreased NKX3.1 Protein Expression in Focal Prostatic Atrophy, Prostatic Intraepithelial Neoplasia, and Adenocarcinoma: Association with Gleason Score and Chromosome 8p Deletion. Cancer Res. 2006, 66, 10683–10690. [Google Scholar] [CrossRef] [PubMed]
- Kurfurstova, D.; Bartkova, J.; Vrtel, R.; Mickova, A.; Burdova, A.; Majera, D.; Mistrik, M.; Kral, M.; Santer, F.R.; Bouchal, J.; et al. DNA Damage Signalling Barrier, Oxidative Stress and Treatment-Relevant DNA Repair Factor Alterations during Progression of Human Prostate Cancer. Mol. Oncol. 2016, 10, 879–894. [Google Scholar] [CrossRef] [PubMed]
- Howat, W.J.; Wilson, B.A. Tissue Fixation and the Effect of Molecular Fixatives on Downstream Staining Procedures. Methods 2014, 70, 12–19. [Google Scholar] [CrossRef] [PubMed]
- Asatiani, E.; Huang, W.X.; Wang, A.; Rodriguez Ortner, E.; Cavalli, L.R.; Haddad, B.R.; Gelmann, E.P. Deletion, methylation, and expression of the NKX3.1 suppressor gene in primary human prostate cancer. Cancer Res. 2005, 65, 1164–1173. [Google Scholar] [CrossRef]
- Anderson, P.D.; McKissic, S.A.; Logan, M.; Roh, M.; Franco, O.E.; Wang, J.; Doubinskaia, I.; Van Der Meer, R.; Hayward, S.W.; Eischen, C.M.; et al. Nkx3.1 and Myc Crossregulate Shared Target Genes in Mouse and Human Prostate Tumorigenesis. J. Clin. Investig. 2012, 122, 1907–1919. [Google Scholar] [CrossRef]
- Gan, Q.; Joseph, C.T.; Guo, M.; Zhang, M.; Sun, X.; Gong, Y. Utility of NKX3.1 Immunostaining in the Detection of Metastatic Prostatic Carcinoma on Fine-Needle Aspiration Smears. Am. J. Clin. Pathol. 2019, 152, 495–501. [Google Scholar] [CrossRef]
- Tan, P.Y.; Chang, C.W.; Chng, K.R.; Wansa, K.D.; Sung, W.K.; Cheung, E. Integration of regulatory networks by NKX3-1 promotes androgen-dependent prostate cancer survival. Mol. Cell. Biol. 2012, 32, 399–414. [Google Scholar] [CrossRef]
- Inoue, K.; Fry, E.A. Haploinsufficient tumor suppressor genes. Adv. Med. Biol. 2017, 118, 83–122. [Google Scholar]
- Magee, J.A.; Abdulkadir, S.A.; Milbrandt, J. Haploinsufficiency at the Nkx3.1 locus. A paradigm for stochastic, dosage-sensitive gene regulation during tumor initiation. Cancer Cell 2003, 3, 273–283. [Google Scholar] [CrossRef]
- Neuwirt, H.; Bouchal, J.; Kharaishvili, G.; Ploner, C.; Jöhrer, K.; Pitterl, F.; Weber, A.; Klocker, H.; Eder, I.E. Cancer-Associated Fibroblasts Promote Prostate Tumor Growth and Progression through Upregulation of Cholesterol and Steroid Biosynthesis. Cell Commun. Signal. 2020, 18, 11. [Google Scholar] [CrossRef] [PubMed]
- Lazniewska, J.; Li, K.L.; Johnson, I.R.D.; Sorvina, A.; Logan, J.M.; Martini, C.; Moore, C.; Ung, B.S.Y.; Karageorgos, L.; Hickey, S.M.; et al. Dynamic Interplay between Sortilin and Syndecan-1 Contributes to Prostate Cancer Progression. Sci. Rep. 2023, 13, 13489. [Google Scholar] [CrossRef] [PubMed]
- Kim, J.W.; Cheng, Y.; Liu, W.; Li, T.; Yegnasubramanian, S.; Zheng, S.L.; Xu, J.; Isaacs, W.B.; Chang, B.L. Genetic and Epigenetic Inactivation of LPL Gene in Human Prostate Cancer. Int. J. Cancer 2009, 124, 734–738. [Google Scholar] [CrossRef]
- Kuemmerle, N.B.; Rysman, E.; Lombardo, P.S.; Flanagan, A.J.; Lipe, B.C.; Wells, W.A.; Pettus, J.R.; Froehlich, H.M.; Memoli, V.A.; Morganelli, P.M.; et al. Lipoprotein Lipase Links Dietary Fat to Solid Tumor Cell Proliferation. Mol. Cancer Ther. 2011, 10, 427–436. [Google Scholar] [CrossRef] [PubMed]
- Bova, G.S.; Carter, B.S.; Bussemakers, M.J.; Emi, M.; Fujiwara, Y.; Kyprianou, N.; Jacobs, S.C.; Robinson, J.C.; Epstein, J.I.; Walsh, P.C.; et al. Homozygous deletion and frequent allelic loss of chromosome 8p22 loci in human prostate cancer. Cancer Res. 1993, 53, 3869–3873. [Google Scholar] [PubMed]






| Total (n = 56) | With Deletion (n = 28) | Without (n = 28) | p | |
|---|---|---|---|---|
| Age, years, median (range) | 63 (52; 73) | 62 (56; 72) | 65 (52; 73) | 0.297 |
| PSA, ng/mL, median (range) | 7.5 (2.4; 23.0) | 8.1 (2.6; 21.0) | 7.0 (2.4; 23.0) | 0.491 |
| Gleason Grade Groups, n (%) | 0.009 | |||
| GG1–GG2 | 38 (68) | 14 (50) | 24 (86) | |
| GG3–GG5 | 18 (32) | 14 (50) | 4 (14) | |
| pT, n (%) | 0.688 | |||
| 2 | 36 (64) | 16 (57) | 20 (71) | |
| 3 | 18 (32) | 11 (39) | 7 (25) | |
| 4 | 2 (4) | 1 (4) | 1 (4) | |
| Lymph node metastasis, n (%) | >0.999 | |||
| 0 | 53 (98) | 26 (100) | 27 (96) | |
| 1 | 1 (2) | 0 (0) | 1 (4) | |
| Not available | 2 | 2 | 0 |
Disclaimer/Publisher’s Note: The statements, opinions and data contained in all publications are solely those of the individual author(s) and contributor(s) and not of MDPI and/or the editor(s). MDPI and/or the editor(s) disclaim responsibility for any injury to people or property resulting from any ideas, methods, instructions or products referred to in the content. |
© 2025 by the authors. Licensee MDPI, Basel, Switzerland. This article is an open access article distributed under the terms and conditions of the Creative Commons Attribution (CC BY) license (https://creativecommons.org/licenses/by/4.0/).
Share and Cite
Vodičková, T.; Wozniaková, M.; Židlík, V.; Žmolíková, J.; Dvořáčková, J.; Kondé, A.; Schwarzerová, J.; Grepl, M.; Bouchal, J. Deletions of LPL and NKX3.1 in Prostate Cancer Progression: Game Changers or By-Standers in Tumor Evolution. Biomolecules 2025, 15, 758. https://doi.org/10.3390/biom15060758
Vodičková T, Wozniaková M, Židlík V, Žmolíková J, Dvořáčková J, Kondé A, Schwarzerová J, Grepl M, Bouchal J. Deletions of LPL and NKX3.1 in Prostate Cancer Progression: Game Changers or By-Standers in Tumor Evolution. Biomolecules. 2025; 15(6):758. https://doi.org/10.3390/biom15060758
Chicago/Turabian StyleVodičková, Tereza, Mária Wozniaková, Vladimír Židlík, Jana Žmolíková, Jana Dvořáčková, Adéla Kondé, Jana Schwarzerová, Michal Grepl, and Jan Bouchal. 2025. "Deletions of LPL and NKX3.1 in Prostate Cancer Progression: Game Changers or By-Standers in Tumor Evolution" Biomolecules 15, no. 6: 758. https://doi.org/10.3390/biom15060758
APA StyleVodičková, T., Wozniaková, M., Židlík, V., Žmolíková, J., Dvořáčková, J., Kondé, A., Schwarzerová, J., Grepl, M., & Bouchal, J. (2025). Deletions of LPL and NKX3.1 in Prostate Cancer Progression: Game Changers or By-Standers in Tumor Evolution. Biomolecules, 15(6), 758. https://doi.org/10.3390/biom15060758

