Evaluation of Endoplasmic Reticulum Stress in an Experimental Intestinal Ischemia–Reperfusion Model in Rats: The Role of Ozone Therapy and Trimetazidine
Abstract
1. Introduction
2. Materials and Methods
2.1. Animals and Experimental Design
2.2. Chemicals and Drugs
2.3. Ozone Therapy Procedure
2.4. Biochemical Analysis
2.4.1. Preparation of Tissue Homogenate
2.4.2. Determinations of Tissue Malondialdehyde (MDA) Levels (TBARS Assay)
2.4.3. Determination of Tissue Total Thiols (TTs), Glutathione (GSH) Levels
2.5. Histopathological Analysis
2.6. Immunohistochemical (IHC) Analysis
2.7. Semi-Quantitative Analysis
2.8. Statistical Analysis
3. Results
3.1. Biochemical Results
3.1.1. Results of Tissue Malondialdehyde (MDA) Levels (TBARS Assay)
3.1.2. Results of Tissue Total Thiol (TT) Levels
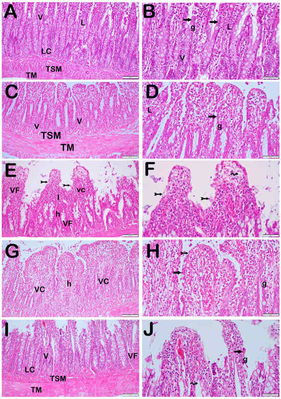
3.2. Histopathological Results
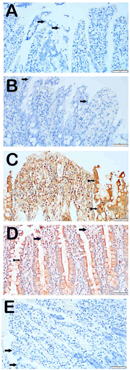
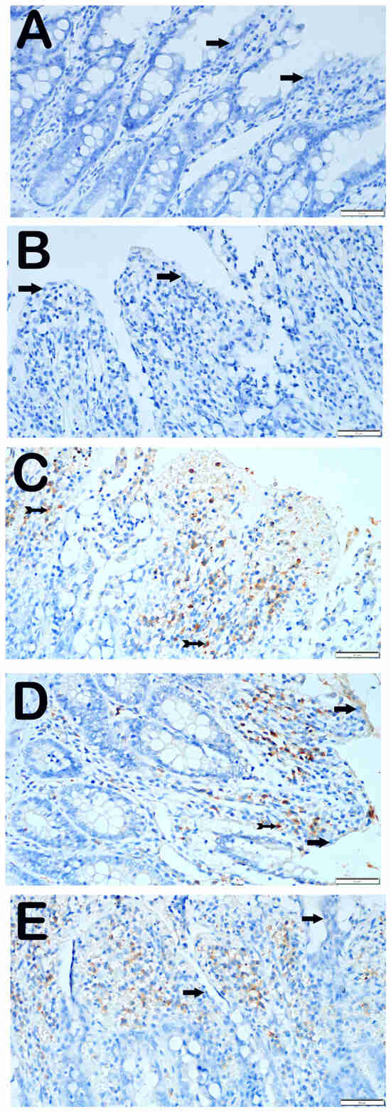
3.3. Immunohistochemical (IHC) Results
3.3.1. CHOP Positivity
3.3.2. GRP-78 Positivity
4. Discussion
5. Conclusions
Author Contributions
Funding
Institutional Review Board Statement
Informed Consent Statement
Data Availability Statement
Conflicts of Interest
References
- Zhang, Q.; Liu, X.M.; Hu, Q.; Liu, Z.R.; Liu, Z.Y.; Zhang, H.G.; Huang, Y.L.; Chen, Q.H.; Wang, W.X.; Zhang, X.K. Dexmedetomidine Inhibits Mitochondria Damage and Apoptosis of Enteric Glial Cells in Experimental Intestinal Ischemia/Reperfusion Injury via SIRT3-Dependent PINK1/HDAC3/P53 Pathway. J. Transl. Med. 2021, 19, 463. [Google Scholar] [CrossRef] [PubMed]
- Bala, M.; Catena, F.; Kashuk, J.; De Simone, B.; Gomes, C.A.; Weber, D.; Sartelli, M.; Coccolini, F.; Kluger, Y.; Abu-Zidan, F.M.; et al. Acute Mesenteric Ischemia: Updated Guidelines of the World Society of Emergency Surgery. World J. Emerg. Surg. 2022, 17, 54. [Google Scholar] [CrossRef] [PubMed]
- Eltarawy, I.G.; Etman, Y.M.; Zenati, M.; Simmons, R.L.; Rosengart, M.R. Acute Mesenteric Ischemia: The Importance of Early Surgical Consultation. Am. Surg. 2009, 75, 212–219. [Google Scholar] [CrossRef] [PubMed]
- Kühn, F.; Schiergens, T.S.; Klar, E. Acute Mesenteric Ischemia. Visc. Med. 2020, 36, 256–263. [Google Scholar] [CrossRef]
- Tian, Y.; Shu, R.; Lei, Y.; Xu, Y.; Zhang, X.; Luo, H. Somatostatin Attenuates Intestinal Epithelial Barrier Injury during Acute Intestinal Ischemia–Reperfusion through Tollip/Myeloiddifferentiationfactor 88/Nuclear Factor Kappa-B Signaling. Bioengineered 2022, 13, 5005–5020. [Google Scholar] [CrossRef] [PubMed]
- Kallistratos, M.S.; Poulimenos, L.E.; Giannitsi, S.; Tsinivizov, P.; Manolis, A.J. Trimetazidine in the Prevention of Tissue Ischemic Conditions. Angiology 2019, 70, 291–298. [Google Scholar] [CrossRef]
- Pulathan, Z.; Altun, G.; Hemşinli, D.; Menteşe, A.; Yuluǧ, E.; Civelek, A. Role of Ethyl Pyruvate in Systemic Inflammatory Response and Lung Injury in an Experimental Model of Ruptured Abdominal Aortic Aneurysm. BioMed Res. Int. 2014, 2014, 857109. [Google Scholar] [CrossRef]
- Al-Maghrebi, M.; Alnajem, A.S.; Esmaeil, A. Epigallocatechin-3-Gallate Modulates Germ Cell Apoptosis through the SAFE/Nrf2 Signaling Pathway. Naunyn-Schmiedeberg’s Arch. Pharmacol. 2020, 393, 663–671. [Google Scholar] [CrossRef]
- Yang, H.; Jin, Y.; Wang, C.; Tang, C. Role of Mesenteric Lymph Pathway in the Effects of Exogenous Somatostatin against Early Intestinal Injury after Ischemia-Reperfusion in Rats. Neuropeptides 2013, 47, 237–243. [Google Scholar] [CrossRef] [PubMed]
- Erginel, B.; Yanar, F.; Ilhan, B.; Yüksel, S.; Mikailo, P.; Berker, N.; Keskin, E.; Gün Soysal, F. Is the Increased Ozone Dosage Key Factor for Its Anti-Inflammatory Effect in an Experimental Model of Mesenteric Ischemia? Ulus. Travma Acil Cerrahi Derg. 2023, 29, 1069–1074. [Google Scholar] [CrossRef]
- Haj, B.; Sukhotnik, I.; Shaoul, R.; Pollak, Y.; Coran, A.G.; Bitterman, A.; Matter, I. Effect of Ozone on Intestinal Recovery Following Intestinal Ischemia-Reperfusion Injury in a Rat. Pediatr. Surg. Int. 2014, 30, 181–188. [Google Scholar] [CrossRef] [PubMed]
- Zhang, X.; Zhou, J.; Hu, Q.; Liu, Z.; Chen, Q.; Wang, W.; Zhang, H.; Zhang, Q.; Huang, Y. The Role of Janus Kinase/Signal Transducer and Activator of Transcription Signalling on Preventing Intestinal Ischemia/Reperfusion Injury with Dexmedetomidine. J. Nanosci. Nanotechnol. 2019, 20, 3295–3302. [Google Scholar] [CrossRef] [PubMed]
- Isik, A.; Peker, K.; Gursul, C.; Sayar, I.; Firat, D.; Yilmaz, I.; Demiryilmaz, I. The Effect of Ozone and Naringin on Intestinal Ischemia/Reperfusion Injury in an Experimental Model. Int. J. Surg. 2015, 21, 38–44. [Google Scholar] [CrossRef]
- Onal, O.; Yetisir, F.; Sarer, A.E.S.; Zeybek, N.D.; Onal, C.O.; Yurekli, B.; Celik, H.T.; Sirma, A.; Kĺc, M. Prophylactic Ozone Administration Reduces Intestinal Mucosa Injury Induced by Intestinal Ischemia-Reperfusion in the Rat. Mediat. Inflamm. 2015, 2015, 792016. [Google Scholar] [CrossRef]
- Kim, H.K.; Yadav, R.K.; Bhattarai, K.R.; Jung, H.W.; Kim, H.R.; Chae, H.J. Transmembrane BAX Inhibitor Motif-6 (TMBIM6) Protects against Cisplatin-Induced Testicular Toxicity. Hum. Reprod. 2018, 33, 378–389. [Google Scholar] [CrossRef] [PubMed]
- Ezhilarasan, D.; Lakshmi, T. A Molecular Insight into the Role of Antioxidants in Nonalcoholic Fatty Liver Diseases. Oxida. Med. Cell. Longev. 2022, 2022, 9233650. [Google Scholar] [CrossRef]
- Zhan, Y.; Chen, Z.; Qiu, Y.; Deng, Q.; Huang, W.; Wen, S.; Shen, J. Dexmedetomidine Prevents Pdia3 Decrease by Activating A2-Adrenergic Receptor to Alleviate Intestinal I/R in Mice. Shock 2022, 58, 556–564. [Google Scholar] [CrossRef] [PubMed]
- Brozzi, F.; Nardelli, T.R.; Lopes, M.; Millard, I.; Barthson, J.; Igoillo-Esteve, M.; Grieco, F.A.; Villate, O.; Oliveira, J.M.; Casimir, M.; et al. Cytokines Induce Endoplasmic Reticulum Stress in Human, Rat and Mouse Beta Cells via Different Mechanisms. Diabetologia 2015, 58, 2307–2316. [Google Scholar] [CrossRef]
- Ge, Y.; Li, G.; Liu, B.; Guo, H.; Wang, D.; Jie, Q.; Che, W.; Hou, L.; Wei, Y. The Protective Effect of Lacidipine on Myocardial Remodeling Is Mediated by the Suppression in Expression of GRP78 and CHOP in Rats. Evid.-Based Complement. Altern. Med. 2015, 2015, 945076. [Google Scholar] [CrossRef] [PubMed]
- Zhao, Y.N.; Li, J.M.; Chen, C.X.; Zhang, P.; Li, S.X. Hypertension-Mediated Enhancement of JNK Activation in Association with Endoplasmic Reticulum Stress in Rat Model Hippocampus with Cerebral Ischemia-Reperfusion. Genet. Mol. Res. 2015, 14, 10980–10990. [Google Scholar] [CrossRef]
- Sharp, A.J.; Patel, N.; Reeves, B.C.; Angelini, G.D.; Fiorentino, F. Pharmacological Interventions for the Prevention of Contrast-Induced Acute Kidney Injury in High-Risk Adult Patients Undergoing Coronary Angiography: A Systematic Review and Meta-Analysis of Randomised Controlled Trials. Open Heart 2019, 6, e000864. [Google Scholar] [CrossRef] [PubMed]
- Mahfoudh-Boussaid, A.; Tka, K.H.A.; Zaouali, M.A.; Roselló-Catafau, J.; Ben Abdennebi, H. Effects of Trimetazidine on the Akt/ENOS Signaling Pathway and Oxidative Stress in an in Vivo Rat Model of Renal Ischemia-Reperfusion. Ren. Fail. 2014, 36, 1436–1442. [Google Scholar] [CrossRef]
- Park, J.H.; Jun, J.H.; Shim, J.K.; Shin, E.J.; Shin, E.; Kwak, Y.L. Effects of Post Ischemia-Reperfusion Treatment with Trimetazidine on Renal Injury in Rats: Insights on Delayed Renal Fibrosis Progression. Oxid. Med. Cell. Longev. 2018, 2018, 1072805. [Google Scholar] [CrossRef]
- Koçyiğit, A.; Gülmen, Ş.; Kurtoğlu, T.; Doğuç, D.K.; Meteoğlu, I.; Okutan, H.; Solmaz, F.A. The Effect of Ozone Treatment on Remote Organ Myocardial Injury in an Aortic Ischemia-Reperfusion Model. Turk. J. Thorac. Cardiovasc. Surg. 2018, 26, 207–213. [Google Scholar] [CrossRef]
- Scassellati, C.; Ciani, M.; Galoforo, A.C.; Zanardini, R.; Bonvicini, C.; Geroldi, C. Molecular Mechanisms in Cognitive Frailty: Potential Therapeutic Targets for Oxygen-Ozone Treatment. Mech. Ageing Dev. 2020, 186, 111210. [Google Scholar] [CrossRef]
- Wen, Q.; Chen, Q. An Overview of Ozone Therapy for Treating Foot Ulcers in Patients with Diabetes. Am. J. Med. Sci. 2020, 360, 112–119. [Google Scholar] [CrossRef] [PubMed]
- Clavo, B.; Rodríguez-Esparragón, F.; Rodríguez-Abreu, D.; Martínez-Sánchez, G.; Llontop, P.; Aguiar-Bujanda, D.; Fernández-Pérez, L.; Santana-Rodríguez, N. Modulation of Oxidative Stress by Ozone Therapy in the Prevention and Treatment of Chemotherapy-Induced Toxicity: Review and Prospects. Antioxidants 2019, 8, 588. [Google Scholar] [CrossRef]
- Schwartz, A.; Martínez-Sánchez, G. Potential Use of Ozone in SARS-CoV-2/COVID-19; International Scientific Committee of Ozone Therapy: Madrid, Spain, 2020. [Google Scholar]
- Lacerda, A.C.; Grillo, R.; de Barros, T.E.P.; Martins, C.B.; de Carvalho Luposeli, F. Efficacy of biostimulatory ozone therapy: Case report and literature review. J. Cosmet. Dermatol. 2022, 21, 130–133. [Google Scholar] [CrossRef] [PubMed]
- Delgadillo-Valero, L.F.; Hernández-Cruz, E.Y.; Pedraza-Chaverri, J. The Protective Role of Ozone Therapy in Kidney Disease: A Review. Life 2023, 13, 752. [Google Scholar] [CrossRef]
- Al Mogbel, A.A.; Albarrak, M.I.; Al Numair, S.F. Ozone Therapy in the Management and Prevention of Caries. Cureus 2023, 15, 2–5. [Google Scholar] [CrossRef]
- de Souza, A.K.L.; Colares, R.R.; de Souza, A.C.L. The Main Uses of Ozone Therapy in Diseases of Large Animals: A Review. Res. Vet. Sci. 2021, 136, 51–56. [Google Scholar] [CrossRef]
- Galiè, M.; Covi, V.; Tabaracci, G.; Malatesta, M. The Role of Nrf2 in the Antioxidant Cellular Response to Medical Ozone Exposure. Int. J. Mol. Sci. 2019, 20, 4009. [Google Scholar] [CrossRef]
- Guven, A.; Gundogdu, G.; Vurucu, S.; Uysal, B.; Oztas, E.; Ozturk, H.; Korkmaz, A. Medical Ozone Therapy Reduces Oxidative Stress and Intestinal Damage in an Experimental Model of Necrotizing Enterocolitis in Neonatal Rats. J. Pediatr. Surg. 2009, 44, 1730–1735. [Google Scholar] [CrossRef]
- Jafari-Oori, M.; Vahedian-azimi, A.; Ghorbanzadeh, K.; Sepahvand, E.; Dehi, M.; Ebadi, A.; Izadi, M. Efficacy of Ozone Adjuvant Therapy in COVID-19 Patients: A Meta-Analysis Study. Front. Med. 2022, 9, 1037749. [Google Scholar] [CrossRef]
- Juchniewicz, H.; Lubkowska, A. Oxygen-Ozone (O2-O3) Therapy in Peripheral Arterial Disease (Pad): A Review Study. Ther. Clin. Risk Manag. 2020, 16, 579–594. [Google Scholar] [CrossRef]
- Rowen, R.J. Ozone and Oxidation Therapies as a Solution to the Emerging Crisis in Infectious Disease Management: A Review of Current Knowledge and Experience. Med. Gas Res. 2019, 9, 232–237. [Google Scholar] [CrossRef]
- Bahrami, M.H.; Raeissadat, S.A.; Nezamabadi, M.; Hojjati, F.; Rahimi-Dehgolan, S. Interesting Effectiveness of Ozone Injection for Carpal Tunnel Syndrome Treatment: A Randomized Controlled Trial. Orthop. Res. Rev. 2019, 11, 61–67. [Google Scholar] [CrossRef]
- Viebahn-Haensler, R.; León Fernández, O.S. Ozone as Redox Bioregulator in Preventive Medicine: The Molecular and Pharmacological Basis of the Low-Dose Ozone Concept—A Review. Int. J. Mol. Sci. 2023, 24, 15747. [Google Scholar] [CrossRef]
- Harapan, B.N.; Harapan, T. The Role of Ozone Therapy in Severe Acute Respiratory Syndrome Coronavirus 2 (SARS-CoV-2) Infection and Coronavirus Disease 2019 (COVID-19): A Review. Med. Gas Res. 2023, 13, 165–171. [Google Scholar] [CrossRef]
- Serra, M.E.G.; Baeza-Noci, J.; Mendes Abdala, C.V.; Luvisotto, M.M.; Bertol, C.D.; Anzolin, A.P. The Role of Ozone Treatment as Integrative Medicine. An Evidence and Gap Map. Front. Public Health 2023, 10, 1112296. [Google Scholar] [CrossRef]
- Serra, M.E.G.; Baeza-Noci, J.; Abdala, C.V.M.; Luvisotto, M.M.; Bertol, C.D.; Anzolin, A.P. Clinical Effectiveness of Medical Ozone Therapy in COVID-19: The Evidence and Gaps Map. Med. Gas Res. 2023, 13, 172–180. [Google Scholar] [CrossRef] [PubMed]
- Yu, Q.; Yang, X.; Zhang, C.; Zhang, X.; Wang, C.; Chen, L.; Liu, X.; Gu, Y.; He, X.; Hu, L.; et al. AMPK Activation by Ozone Therapy Inhibits Tissue Factor-Triggered Intestinal Ischemia and Ameliorates Chemotherapeutic Enteritis. FASEB J. 2020, 34, 13005–13021. [Google Scholar] [CrossRef]
- Clavo, B.; Martínez-Sánchez, G.; Rodríguez-Esparragón, F.; Rodríguez-Abreu, D.; Galván, S.; Aguiar-Bujanda, D.; Díaz-Garrido, J.A.; Cañas, S.; Torres-Mata, L.B.; Fabelo, H.; et al. Modulation by Ozone Therapy of Oxidative Stress in Chemotherapy-Induced Peripheral Neuropathy: The Background for a Randomized Clinical Trial. Int. J. Mol. Sci. 2021, 22, 2802. [Google Scholar] [CrossRef]
- de Sire, A.; Marotta, N.; Ferrillo, M.; Agostini, F.; Sconza, C.; Lippi, L.; Respizzi, S.; Giudice, A.; Invernizzi, M.; Ammendolia, A. Oxygen-Ozone Therapy for Reducing Pro-Inflammatory Cytokines Serum Levels in Musculoskeletal and Temporomandibular Disorders: A Comprehensive Review. Int. J. Mol. Sci. 2022, 23, 2528. [Google Scholar] [CrossRef]
- Travagli, V.; Iorio, E.L. The Biological and Molecular Action of Ozone and Its Derivatives: State-of-the-Art, Enhanced Scenarios, and Quality Insights. Int. J. Mol. Sci. 2023, 24, 8465. [Google Scholar] [CrossRef]
- Romary, D.J.; Landsberger, S.A.; Bradner, K.N.; Ramirez, M.; Leon, B.R. Liquid Ozone Therapies for the Treatment of Epithelial Wounds: A Systematic Review and Meta-Analysis. Int. Wound J. 2023, 20, 1235–1252. [Google Scholar] [CrossRef]
- du Sert, N.P.; Ahluwalia, A.; Alam, S.; Avey, M.T.; Baker, M.; Browne, W.J.; Clark, A.; Cuthill, I.C.; Dirnagl, U.; Emerson, M.; et al. Reporting Animal Research: Explanation and Elaboration for the Arrive Guidelines 2.0. PLoS Biol. 2020, 18, e3000411. [Google Scholar]
- du Sert, N.P.; Hurst, V.; Ahluwalia, A.; Alam, S.; Avey, M.T.; Baker, M.; Browne, W.J.; Clark, A.; Cuthill, I.C.; Dirnagl, U.; et al. The Arrive Guidelines 2.0: Updated Guidelines for Reporting Animal Research. PLoS Biol. 2020, 18, e3000410. [Google Scholar] [CrossRef]
- Engin, S.; Barut, E.N.; Yaşar, Y.K.; Soysal, A.Ç.; Arıcı, T.; Kerimoğlu, G.; Kadıoğlu, M.; Sezen, S.F. Trimetazidine Attenuates Cyclophosphamide-Induced Cystitis by Inhibiting TLR4-Mediated NFκB Signaling in Mice. Life Sci. 2020, 15, 120590. [Google Scholar] [CrossRef]
- Wu, S.; Chang, G.; Gao, L.; Jiang, D.; Wang, L.; Li, G.; Luo, X.; Qin, S.; Guo, X.; Zhang, D. Trimetazidine Protects against Myocardial Ischemia/Reperfusion Injury by Inhibiting Excessive Autophagy. J. Mol. Med. 2018, 96, 791–806. [Google Scholar] [CrossRef]
- Ohkawa, H.; Ohishi, N.; Yagi, K. Assay for Lipid Peroxides in Animal Tissues by Thiobarbituric Acid Reaction. Anal. Biochem. 1979, 95, 351–358. [Google Scholar] [CrossRef] [PubMed]
- Sedlak, J.; Lindsay, R.H. Estimation of Total, Protein-Bound, and Nonprotein Sulfhydryl Groups in Tissue with Ellman’s Reagent. Anal. Biochem. 1968, 25, 192–205. [Google Scholar] [CrossRef] [PubMed]
- Chiu, C.J.; McArdle, A.H.; Brown, R.; Scott, H.J.; Gurd, F.N. Intestinal Mucosal Lesion in Low-Flow States: I. A Morphological, Hemodynamic, and Metabolic Reappraisal. Arch. Surg. 1970, 101, 478–483. [Google Scholar] [CrossRef] [PubMed]
- Park, P.O.; Haglund, U.; Bulkley, G.B.; Fält, K. The Sequence of Development of Intestinal Tissue Injury after Strangulation Ischemia and Reperfusion. Surgery 1990, 107, 574–580. [Google Scholar]
- Bar-Or, D.; Bar-Or, R.; Rael, L.T.; Brody, E.N. Oxidative Stress in Severe Acute Illness. Redox Biol. 2015, 4, 340–345. [Google Scholar] [CrossRef]
- Khalil, I.; Ghani, M.; Khan, M.R.; Akbar, F. Evaluation of Biological Activities and in Vivo Amelioration of CCl4 Induced Toxicity in Lung and Kidney with Abutilon Pannosum (G.Forst.) Schltdl. in Rat. J. Ethnopharmacol. 2020, 249, 112395. [Google Scholar] [CrossRef]
- Sedky, A.; Famurewa, A.C. Anti-Ischemic Drug Trimetazidine Blocks Mercury Nephrotoxicity by Suppressing Renal Redox Imbalance, Inflammatory Stress and Caspase-Dependent Apoptosis in Rats. Drug Chem. Toxicol. 2023, 1–8. [Google Scholar] [CrossRef]
- Tetik, C.; Özden, A.; Çalli, N.; Bilgihan, A.; Bostanci, B.; Yis, Ö.; Bayramoǧlu, H. Cytoprotective Effect of Trimetazidine on 60 Minutes of Intestinal Ischemia-Reperfusion Injury in Rats. Transpl. Int. 1999, 12, 108–112. [Google Scholar] [CrossRef]
- Dai, Y.-Y.; Ba, X.-H. Effects of Exogenous Vitamin D on Endoplasmic Reticulum Stress-Related Factors in the Vitamin D Deficiency Rats with Cerebral Ischemia. Neurosci. Lett. 2021, 761, 136115. [Google Scholar] [CrossRef]
- Günal, Y.D.; Türer, Ö.B.; Atasoy, P.; Kısa, Ü.; Aslan, M.K. The Effects of Ozone on the Acute Phase of Intestinal Ischemia-Reperfusion Injury in Rats. Ulus. Travma Acil Cerrahi Derg. 2020, 26, 651–656. [Google Scholar] [CrossRef]
- Nazarov, E.; Khlusov, I.; Noda, M. Homeostatic and Endocrine Responses as the Basis for Systemic Therapy with Medical Gases: Ozone, Xenon and Molecular Hydrogen. Med. Gas Res. 2021, 11, 174–186. [Google Scholar] [CrossRef] [PubMed]





| Score | Findings |
|---|---|
| Villus Epithelial Cell Necrosis | |
| 0 | ≤5% |
| 1 | 6–25% |
| 2 | 26–50% |
| 3 | ≤50% |
| Villus Fusion | |
| 0 | ≤5% |
| 1 | 6–25% |
| 2 | 26–50% |
| 3 | ≥50% |
| Lamina Propria Inflammation | |
| 0 | ≤5% |
| 1 | 6–25% |
| 2 | 26–50% |
| 3 | ≥50% |
| Gruenhagens Space Extension with Capillary Congestion | |
| 0 | ≤5% |
| 1 | 6–25% |
| 2 | 26–50% |
| 3 | ≥50% |
| Hemorrhage | |
| 0 | ≤5% |
| 1 | 6–25% |
| 2 | 26–50% |
| 3 | ≥50% |
| Score | |
|---|---|
| None (less than 5%) | |
| 1 | Mild (from 6–25%) |
| 2 | Moderate (from 26–50%) |
| 3 | Severe (from 51–75%) |
| 4 | Very Severe (more than 76%) |
| Groups | MDA Levels (nmol/mg) (Mean ± Std. Deviation) | GSH Levels (nmol/mg) (Mean ± Std. Deviation) |
|---|---|---|
| Control | 3.86 ± 0.52 | 34.97 ± 0.86 |
| O3 | 3.86 ± 0.47 | 36.02 ± 0.59 |
| I/R | 6.78 ± 0.13 a,b | 26.54 ± 0.70 a,b |
| I/R + TMZ | 4.04 ± 0.47 c | 28.63 ± 0.93 d |
| IR + O3 | 3.96 ± 0.93 c | 30.54 ± 1.22 c,e |
| Groups | Villus Epithelial Cell Necrosis | Villus Fusion | Lamina Propria Inflammation | Gruenhagens Space Extension with Capillary Congestion | Hemorrhage | IHDS |
|---|---|---|---|---|---|---|
| Control | 0 (0–0) | 0 (0–0) | 0 (0–0) | 0 (0–0) | 0 (0–0) | 1 (0–1) |
| O3 | 0 (0–0.5) | 0 (0–0.5) | 0 (0–0.5) | 0 (0–0) | 0 (0–0) | 1 (1–2) |
| I/R | 2 (2–3) a,b | 3 (2–3) a,b | 1 (1–2) a,b | 2 (1–2) a,b | 1 (0.5–1) a | 9 (9–11) a,b |
| I/R + TMZ | 1 (1–1) c | 2 (2–2) c | 0 (0–0) c | 0 (0–1) c | 1 (0–1) d | 4 (4–5.5) a,c |
| I/R + O3 | 1 (0–1) c | 1 (1–1) c,f | 0 (0–0) c | 0 (0–0.5) c | 0 (0–0.5) c | 1 (0–1) a,e,f |
| Groups | CHOP/DDIT3 Positivity Score | GRp-78 Positivity Score |
|---|---|---|
| Control | 0 (0–0) | 0 (0–0.5) |
| O3 | 0 (0–0) | 0 (0–1) |
| I/R | 2 (2–3) a,b | 2 (1–2) a,b |
| I/R + TMZ | 0.5 (0–1) c | 1 (0–1) c |
| I/R + O3 | 0 (0–1) c | 0 (0–1) c |
Disclaimer/Publisher’s Note: The statements, opinions and data contained in all publications are solely those of the individual author(s) and contributor(s) and not of MDPI and/or the editor(s). MDPI and/or the editor(s) disclaim responsibility for any injury to people or property resulting from any ideas, methods, instructions or products referred to in the content. |
© 2024 by the authors. Licensee MDPI, Basel, Switzerland. This article is an open access article distributed under the terms and conditions of the Creative Commons Attribution (CC BY) license (https://creativecommons.org/licenses/by/4.0/).
Share and Cite
Demiral, G.; Mercantepe, T.; Altuntas, G.; Pergel, A.; Kalcan, S.; Ozdemir, A.; Tumkaya, L.; Mataraci Karakas, S.; Ozturk, A.; Yilmaz, A. Evaluation of Endoplasmic Reticulum Stress in an Experimental Intestinal Ischemia–Reperfusion Model in Rats: The Role of Ozone Therapy and Trimetazidine. Biomolecules 2024, 14, 1051. https://doi.org/10.3390/biom14091051
Demiral G, Mercantepe T, Altuntas G, Pergel A, Kalcan S, Ozdemir A, Tumkaya L, Mataraci Karakas S, Ozturk A, Yilmaz A. Evaluation of Endoplasmic Reticulum Stress in an Experimental Intestinal Ischemia–Reperfusion Model in Rats: The Role of Ozone Therapy and Trimetazidine. Biomolecules. 2024; 14(9):1051. https://doi.org/10.3390/biom14091051
Chicago/Turabian StyleDemiral, Gokhan, Tolga Mercantepe, Gurkan Altuntas, Ahmet Pergel, Suleyman Kalcan, Ali Ozdemir, Levent Tumkaya, Sibel Mataraci Karakas, Aykut Ozturk, and Adnan Yilmaz. 2024. "Evaluation of Endoplasmic Reticulum Stress in an Experimental Intestinal Ischemia–Reperfusion Model in Rats: The Role of Ozone Therapy and Trimetazidine" Biomolecules 14, no. 9: 1051. https://doi.org/10.3390/biom14091051
APA StyleDemiral, G., Mercantepe, T., Altuntas, G., Pergel, A., Kalcan, S., Ozdemir, A., Tumkaya, L., Mataraci Karakas, S., Ozturk, A., & Yilmaz, A. (2024). Evaluation of Endoplasmic Reticulum Stress in an Experimental Intestinal Ischemia–Reperfusion Model in Rats: The Role of Ozone Therapy and Trimetazidine. Biomolecules, 14(9), 1051. https://doi.org/10.3390/biom14091051

