Postoperative Electroacupuncture Boosts Cognitive Function Recovery after Laparotomy in Mice
Abstract
1. Introduction
2. Materials and Methods
2.1. Animal Husbandry
2.2. Grouping of Animals
2.3. Surgery
2.4. Electroacupuncture (EA) Protocol
2.5. Ibuprofen (IBU) Treatment
2.6. Body Weight Measurements
2.7. Behavioral Tests
2.7.1. Novel Object Recognition (NOR) Test
2.7.2. Open Field Test
2.7.3. Y-Maze Test
2.7.4. Puzzle Box Test
2.8. Biochemical Tests
2.8.1. Total RNA Extraction, Reverse Transcription, and Real-Time PCR
2.8.2. Brain Tissue Protein Extraction and Western Blot Analysis
2.8.3. Immunohistochemical (IHC) Staining
2.8.4. Milliplex Cytokine Assays
2.9. Statistical Analysis
3. Results
3.1. Laparotomy Led to Notable Weight Loss in Mice without Affecting General Locomotor Activity or Anxiety- and Depression-like Behaviors
3.2. EA Attenuated Cognitive Impairment Induced by Laparotomy
3.3. EA Attenuated Laparotomy-Induced Tau Phosphorylation and Associated Kinases
3.4. EA Did Not Produce a Noticeable Alteration in the Proteins Associated with Synaptic Transmission
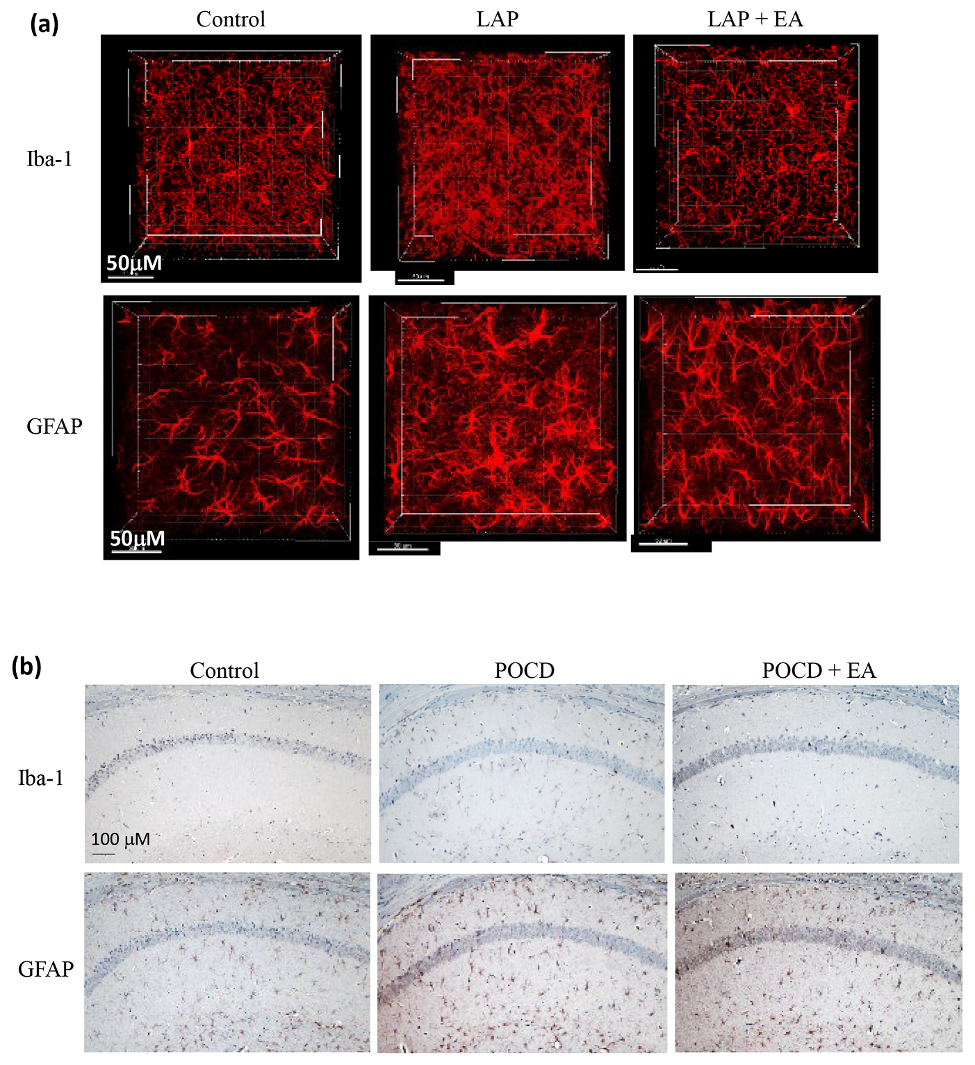
3.5. Inflammatory Response in the Central Nervous System after Laparotomy Was Suppressed by EA
3.6. The Protective Effects of EA Were Compared to Those of Ibuprofen
4. Discussion
5. Clinical Implications
- (i)
- Acupuncture administered pre- or post-surgery demonstrates effectiveness in managing POCD.
- (ii)
- For patients unable to receive acupuncture before or during surgery, it remains a viable option following recovery from anesthesia and the return of consciousness.
- (iii)
- Postoperative acupuncture may require additional sessions to achieve comparable cognitive improvements to pre-operative treatments.
- (iv)
- Acupuncture may serve as a viable alternative to non-steroidal anti-inflammatory drugs for managing postoperative complications such as POCD.
6. Conclusions
Supplementary Materials
Author Contributions
Funding
Institutional Review Board Statement
Informed Consent Statement
Data Availability Statement
Acknowledgments
Conflicts of Interest
References
- Belrose, J.C.; Noppens, R.R. Anesthesiology and cognitive impairment: A narrative review of current clinical literature. BMC Anesthesiol. 2019, 19, 241. [Google Scholar] [CrossRef] [PubMed]
- Vu, T.; Smith, J.A. An Update on Postoperative Cognitive Dysfunction Following Cardiac Surgery. Front. Psychiatry 2022, 13, 884907. [Google Scholar] [CrossRef] [PubMed]
- Zhao, Q.; Wan, H.; Pan, H.; Xu, Y. Postoperative cognitive dysfunction—Current research progress. Front. Behav. Neurosci. 2024, 18, 1328790. [Google Scholar] [CrossRef] [PubMed]
- Monk, T.G.; Weldon, B.C.; Garvan, C.W.; Dede, D.E.; van der Aa, M.T.; Heilman, K.M.; Gravenstein, J.S. Predictors of cognitive dysfunction after major noncardiac surgery. Anesthesiology 2008, 108, 18–30. [Google Scholar] [CrossRef] [PubMed]
- Steinmetz, J.; Christensen, K.B.; Lund, T.; Lohse, N.; Rasmussen, L.S. Long-term consequences of postoperative cognitive dysfunction. Anesthesiology 2009, 110, 548–555. [Google Scholar] [CrossRef]
- Lin, X.; Chen, Y.; Zhang, P.; Chen, G.; Zhou, Y.; Yu, X. The potential mechanism of postoperative cognitive dysfunction in older people. Exp. Gerontol. 2020, 130, 110791. [Google Scholar] [CrossRef]
- Li, Z.; Zhu, Y.; Kang, Y.; Qin, S.; Chai, J. Neuroinflammation as the Underlying Mechanism of Postoperative Cognitive Dysfunction and Therapeutic Strategies. Front. Cell. Neurosci. 2022, 16, 843069. [Google Scholar] [CrossRef]
- Ho, Y.-S.; Zhao, F.-Y.; Yeung, W.-F.; Wong, G.T.; Zhang, H.-Q.; Chang, R.C. Application of Acupuncture to Attenuate Immune Responses and Oxidative Stress in Postoperative Cognitive Dysfunction: What Do We Know So Far? Oxidative medicine and cellular longevity. Oxidative Med. Cell. Longev. 2020, 2020, 9641904. [Google Scholar] [CrossRef] [PubMed]
- Liu, Y.; Chu, J.M.T.; Ran, Y.; Zhang, Y.; Chang, R.C.C.; Wong, G.T.C. Prehabilitative resistance exercise reduces neuroinflammation and improves mitochondrial health in aged mice with perioperative neurocognitive disorders. J. Neuroinflamm. 2022, 19, 150. [Google Scholar] [CrossRef]
- Huang, C.; Irwin, M.G.; Wong, G.T.C.; Chang, R.C.C. Evidence of the impact of systemic inflammation on neuroinflammation from a non-bacterial endotoxin animal model. J. Neuroinflamm. 2018, 15, 147. [Google Scholar] [CrossRef]
- He, H.; Wang, Y.; Le, Y.; Duan, K.; Yan, X.; Liao, Q.; Liao, Y.; Tong, J.; Terrando, N.; Ouyang, W. Surgery upregulates high mobility group box-1 and disrupts the blood–brain barrier causing cognitive dysfunction in aged rats. CNS Neurosci. Ther. 2012, 18, 994–1002. [Google Scholar] [CrossRef]
- Golia, M.T.; Poggini, S.; Alboni, S.; Garofalo, S.; Albanese, N.C.; Viglione, A.; Ajmone-Cat, M.A.; St-Pierre, A.; Brunello, N.; Limatola, C.; et al. Interplay between inflammation and neural plasticity: Both immune activation and suppression impair LTP and BDNF expression. Brain, Behav. Immun. 2019, 81, 484–494. [Google Scholar] [CrossRef] [PubMed]
- Skvarc, D.R.; Berk, M.; Byrne, L.K.; Dean, O.M.; Dodd, S.; Lewis, M.; Marriott, A.; Moore, E.M.; Morris, G.; Page, R.S.; et al. Post-operative cognitive dysfunction: An exploration of the inflammatory hypothesis and novel therapies. Neurosci. Biobehav. Rev. 2018, 84, 116–133. [Google Scholar] [CrossRef]
- Lu, S.-M.; Yu, C.-J.; Liu, Y.-H.; Dong, H.-Q.; Zhang, X.; Zhang, S.-S.; Hu, L.-Q.; Zhang, F.; Qian, Y.-N.; Gui, B. S100A8 contributes to postoperative cognitive dysfunction in mice undergoing tibial fracture surgery by activating the TLR4/MyD88 pathway. Brain Behav. Immun. 2015, 44, 221–234. [Google Scholar] [CrossRef] [PubMed]
- Zhang, X.; Dong, H.; Li, N.; Zhang, S.; Sun, J.; Zhang, S.; Qian, Y. Activated brain mast cells contribute to postoperative cognitive dysfunction by evoking microglia activation and neuronal apoptosis. J. Neuroinflamm. 2016, 13, 1–15. [Google Scholar] [CrossRef] [PubMed]
- Xu, F.; Han, L.; Wang, Y.; Deng, D.; Ding, Y.; Zhao, S.; Zhang, Q.; Ma, L.; Chen, X. Prolonged anesthesia induces neuroinflammation and complement-mediated microglial synaptic elimination involved in neurocognitive dysfunction and anxiety-like behaviors. BMC Med. 2023, 21, 7. [Google Scholar] [CrossRef] [PubMed]
- Geng, C.; Hu, B.; Jiang, J.; Zhang, Y.; Tang, W.; Pan, M.; Sun, L.; Chen, P.; Wang, H. The effect of intravenous lidocaine on postoperative cognitive dysfunction: A systematic review and meta-analysis. BMC Anesthesiol. 2023, 23, 299. [Google Scholar] [CrossRef]
- Zhu, Y.Z.; Yao, R.; Zhang, Z.; Xu, H.; Wang, L.W. Parecoxib prevents early postoperative cognitive dysfunction in elderly patients undergoing total knee arthroplasty: A double-blind, randomized clinical consort study. Medicine 2016, 95, e4082. [Google Scholar] [CrossRef]
- Zhao, F.-Y.; Spencer, S.J.; Kennedy, G.A.; Zheng, Z.; Conduit, R.; Zhang, W.-J.; Xu, P.; Yue, L.-P.; Wang, Y.-M.; Xu, Y.; et al. Acupuncture for primary insomnia: Effectiveness, safety, mechanisms and recommendations for clinical practice. Sleep Med. Rev. 2024, 74, 101892. [Google Scholar] [CrossRef]
- Zhang, J.; Cairen, Z.; Shi, L.; Zhang, M.; Yang, M.; Wang, Y.; Lu, Z. Acupuncture-related techniques for postoperative cognitive complications: A systemic review and meta-analysis. Perioper. Med. 2023, 12, 14. [Google Scholar] [CrossRef]
- Acar, H.V.; Yilmaz, A.; Demir, G.; Eruyar, S.G.; Dikmen, B. Capsicum plasters on acupoints decrease the incidence of emergence agitation in pediatric patients. Paediatr. Anaesth. 2012, 22, 1105–1109. [Google Scholar] [CrossRef]
- Hijikata, T.; Mihara, T.; Nakamura, N.; Miwa, T.; Ka, K.; Goto, T. Electrical stimulation of the heart 7 acupuncture site for preventing emergence agitation in children: A randomised controlled trial. Eur. J. Anaesthesiol. 2016, 33, 535–542. [Google Scholar] [CrossRef] [PubMed]
- Yi, Y.; Qu, Y.; Lv, S.; Zhang, G.; Rong, Y.; Li, M. Comparative efficacy and safety of non-pharmacological interventions as adjunctive treatment for vascular dementia: A systematic review and network meta-analysis. Front. Neurol. 2024, 15, 1397088. [Google Scholar] [CrossRef] [PubMed]
- Lam, W.C.; Wei, D.; Li, H.; Yao, L.; Zhang, S.; Lai, M.X.Y.; Zheng, Y.; Yeung, J.W.F.; Lau, A.Y.L.; Lyu, A.; et al. The use of acupuncture for addressing neurological and neuropsychiatric symptoms in patients with long COVID: A systematic review and meta-analysis. Front. Neurol. 2024, 15, 1406475. [Google Scholar] [CrossRef] [PubMed]
- Martín Pérez, S.E.; Martín Pérez, I.M.; Sánchez-Romero, E.A.; Sosa Reina, M.D.; Muñoz Fernández, A.C.; Alonso Pérez, J.L.; Villafañe, J.H. Percutaneous Electrical Nerve Stimulation (PENS) for Infrapatellar Saphenous Neuralgia Management in a Patient with Myasthenia gravis (MG). Int. J. Environ. Res. Public Health 2023, 20, 2617. [Google Scholar] [CrossRef]
- Liu, N.; Liu, G.; Chang, X.; Xu, Y.; Hou, Y.; Zhang, D.; Wang, L.; Chen, S. Combining various acupuncture therapies with multimodal analgesia to enhance postoperative pain management following total knee arthroplasty: A network meta-analysis of randomized controlled trials. Front. Neurol. 2024, 15, 1361037. [Google Scholar] [CrossRef]
- Ding, Y.Y.; Xu, F.; Wang, Y.F.; Han, L.L.; Huang, S.Q.; Zhao, S.; Ma, L.-L.; Zhang, T.-H.; Zhao, W.-J.; Chen, X.-D. Electroacupuncture alleviates postoperative pain through inhibiting neuroinflammation via stimulator of interferon genes/type-1 interferon pathway. J. Integr. Med. 2023, 21, 496–508. [Google Scholar] [CrossRef]
- Safari, S.; Ahmadi, N.; Mohammadkhani, R.; Ghahremani, R.; Khajvand-Abedeni, M.; Shahidi, S.; Komaki, A.; Salehi, I.; Karimi, S.A. Sex differences in spatial learning and memory and hippocampal long-term potentiation at perforant pathway-dentate gyrus (PP-DG) synapses in Wistar rats. Behav. Brain Funct. 2021, 17, 9. [Google Scholar] [CrossRef]
- Saucier, D.M.; Shultz, S.R.; Keller, A.J.; Cook, C.M.; Binsted, G. Sex differences in object location memory and spatial navigation in Long-Evans rats. Anim. Cogn. 2008, 11, 129–137. [Google Scholar] [CrossRef]
- Tucker, L.B.; Fu, A.H.; McCabe, J.T. Performance of Male and Female C57BL/6J Mice on Motor and Cognitive Tasks Commonly Used in Pre-Clinical Traumatic Brain Injury Research. J. Neurotrauma 2016, 33, 880–894. [Google Scholar] [CrossRef] [PubMed]
- Zhao, W.; Zou, W. Effects of electroacupuncture on postoperative cognitive dysfunction and its underlying mechanisms: A literature review of rodent studies. Front. Aging Neurosci. 2024, 16, 1384075. [Google Scholar] [CrossRef] [PubMed]
- Ho, Y.-S.; Lau, C.-F.; Lee, K.; Tan, J.-Y.; Lee, J.; Yung, S.; Chang, R.C.-C. Impact of unilateral ureteral obstruction on cognition and neurodegeneration. Brain Res. Bull. 2021, 169, 112–127. [Google Scholar] [CrossRef] [PubMed]
- You, R.; Liu, Y.; Chang, R.C. A Behavioral Test Battery for the Repeated Assessment of Motor Skills, Mood, and Cognition in Mice. J. Vis. Exp. JoVE 2019, 145, e58973. [Google Scholar]
- Wang, R.-P.; Huang, J.; Chan, K.-W.-Y.; Leung, W.-K.; Goto, T.; Ho, Y.-S.; Chang, R.-C.C. IL-1β and TNF-α play an important role in modulating the risk of periodontitis and Alzheimer’s disease. J. Neuroinflamm. 2023, 20, 71. [Google Scholar] [CrossRef] [PubMed]
- O’Connor, A.M.; Burton, T.J.; Leamey, C.A.; Sawatari, A. The use of the puzzle box as a means of assessing the efficacy of environ-mental enrichment. J. Vis. Exp. JoVE 2014, 94, 52225. [Google Scholar]
- Lee, K.; Lai, H.M.; Soerensen, M.H.; Hui, E.S.; Ma, V.W.; Cho, W.C.; Ho, Y.; Chang, R.C. Optimised tissue clearing minimises distortion and destruction during tissue delipidation. Neuropathol. Appl. Neurobiol. 2020, 47, 441–453. [Google Scholar] [CrossRef]
- Guidelines for the Care and Use of Mammals in Neuroscience and Behavioral Research, 1st ed.; The National Academies Press: Washington, DC, USA, 2003.
- Yuan, S.; Zhang, X.; Bo, Y.; Li, W.; Zhang, H.; Jiang, Q. The effects of electroacupuncture treatment on the postoperative cognitive function in aged rats with acute myocardial ischemia–reperfusion. Brain Res. 2014, 1593, 19–29. [Google Scholar] [CrossRef]
- Wang, Y.; Qiu, G.; Li, Y. The effects of hepatic ischemia/reperfusion injury on postoperative cognitive function in aged rats. Arch. Med. Sci. 2022, 15, 1357–1363. [Google Scholar] [CrossRef]
- Liu, P.-R.; Zhou, Y.; Zhang, Y.; Diao, S. Electroacupuncture alleviates surgery-induced cognitive dysfunction by increasing α7-nAChR expression and inhibiting inflammatory pathway in aged rats. Neurosci. Lett. 2017, 659, 1–6. [Google Scholar] [CrossRef]
- Zhang, Q.; Li, Y.; Yin, C.; Yu, J.; Zhao, J.; Yan, L.; Wang, Q. Electro-Acupuncture Pretreatment Ameliorates Anesthesia and Surgery-Induced Cognitive Dysfunction Via Inhibiting Mitochondrial Injury and nEuroapoptosis in Aged Rats. Neurochem. Res. 2022, 47, 1751–1764. [Google Scholar] [CrossRef]
- Sun, L.; Yong, Y.; Wei, P.; Wang, Y.; Li, H.; Zhou, Y.; Ruan, W.; Li, X.; Song, J. Electroacupuncture ameliorates postoperative cognitive dysfunction and associated neuroinflammation via NLRP3 signal inhibition in aged mice. CNS Neurosci. Ther. 2022, 28, 390–400. [Google Scholar] [CrossRef] [PubMed]
- Feng, P.-P.; Deng, P.; Liu, L.-H.; Ai, Q.; Yin, J.; Liu, Z.; Wang, G.-M. Electroacupuncture Alleviates Postoperative Cognitive Dysfunction in Aged Rats by Inhibiting Hippocampal Neuroinflammation Activated via Microglia/TLRs Pathway. Evidence-Based Complement. Altern. Med. 2017, 2017, 6421260. [Google Scholar] [CrossRef] [PubMed]
- Liu, P.R.; Cao, F.; Zhang, Y.; Peng, S. Electroacupuncture reduces astrocyte number and oxidative stress in aged rats with sur-gery-induced cognitive dysfunction. J. Int. Med. Res. 2019, 47, 3860–3873. [Google Scholar] [CrossRef] [PubMed]
- Wang, X.-F.; Lin, Q.; Wang, G.-H.; Zhan, G.-M.; Liu, W.; Lin, Z.-W. Electroacupuncture Stimulation Suppresses Postoperative Inflammatory Response and Hippocampal Neuronal Injury. Mediat. Inflamm. 2022, 2022, 3288262. [Google Scholar] [CrossRef]
- Tsai, T.L.; Sands, L.P.; Leung, J.M. An Update on Postoperative Cognitive Dysfunction. Adv. Anesthesia 2010, 28, 269–284. [Google Scholar] [CrossRef]
- Wang, W.; Chen, C.; Wang, Q.; Ma, J.G.; Li, Y.S.; Guan, Z.; Wang, R.; Chen, X. Electroacupuncture pretreatment preserves telomerase reverse tran-scriptase function and alleviates postoperative cognitive dysfunction by suppressing oxidative stress and neuroinflammation in aged mice. CNS Neurosci. Ther. 2024, 30, e14373. [Google Scholar] [CrossRef]
- Muñoz-Fernández, A.C.; Barragán-Carballar, C.; Villafañe, J.H.; Martín-Pérez, S.; Alonso-Pérez, J.L.; Díaz-Meco, R.; Jiménez, D.G.; Romero, E.A. A new ultrasound-guided percutaneous electrolysis and exercise treatment in patellar tendinopathy: Three case reports. Front. Biosci. 2021, 26, 1166–1175. [Google Scholar]
- Li, Z.; Li, H.; Yao, S.; Cheng, M.; Chen, J. Effects of dexmedetomidine doses on postoperative cognitive dysfunction and serum β- amyloid and cytokine levels in elderly patients after spine surgery: A randomized controlled trial. Nan Fang Yi Ke Da Xue Xue Bao 2021, 41, 600–606. [Google Scholar]
- Li, X.-M.; Shao, M.-T.; Wang, J.-J.; Wang, Y.-L. Relationship between post-operative cognitive dysfunction and regional cerebral oxygen saturation and β-amyloid protein. J. Zhejiang Univ. B 2014, 15, 870–878. [Google Scholar] [CrossRef]
- Evered, L.; Silbert, B.; Scott, D.A.; Zetterberg, H.; Blennow, K. Association of Changes in Plasma Neurofilament Light and Tau Levels with Anesthesia and Surgery: Results from the CAPACITY and ARCADIAN Studies. JAMA Neurol. 2018, 75, 542–547. [Google Scholar] [CrossRef]
- Feinstein, I.; Wilson, E.N.; Swarovski, M.S.; Andreasson, K.I.; Angst, M.S.; Greicius, M.D. Plasma Biomarkers of Tau and Neurodegen-eration During Major Cardiac and Noncardiac Surgery. JAMA Neurol. 2021, 78, 1407–1409. [Google Scholar] [CrossRef] [PubMed]
- Wiberg, S.; Holmgaard, F.; Zetterberg, H.; Nilsson, J.-C.; Kjaergaard, J.; Wanscher, M.; Langkilde, A.R.; Hassager, C.; Rasmussen, L.S.; Blennow, K.; et al. Biomarkers of Cerebral Injury for Prediction of Postoperative Cognitive Dysfunction in Patients Undergoing Cardiac Surgery. J. Cardiothorac. Vasc. Anesthesia 2022, 36, 125–132. [Google Scholar] [CrossRef] [PubMed]
- Huang, C.; Chu, J.M.-T.; Liu, Y.; Chang, R.C.-C.; Wong, G.T.-C. Varenicline reduces DNA damage, tau mislocalization and post surgical cognitive impairment in aged mice. Neuropharmacology 2018, 143, 217–227. [Google Scholar] [CrossRef] [PubMed]
- Yan, J.; Luo, A.; Sun, R.; Tang, X.; Zhao, Y.; Zhang, J.; Zhou, B.; Zheng, H.; Yu, H.; Li, S. Resveratrol Mitigates Hippocampal Tau Acetylation and Cognitive Deficit by Activation SIRT1 in Aged Rats following Anesthesia and Surgery. Oxidative Med. Cell. Longev. 2020, 2020, 1–14. [Google Scholar] [CrossRef] [PubMed]
- Yang, Y.; Hu, S.; Lin, H.; He, J.; Tang, C. Electroacupuncture at GV24 and bilateral GB13 improves cognitive ability via influences the levels of Aβ, p-tau (s396) and p-tau (s404) in the hippocampus of Alzheimer’s disease model rats. Neuroreport 2020, 31, 1072–1083. [Google Scholar] [CrossRef]
- Xu, A.; Zeng, Q.; Tang, Y.; Wang, X.; Yuan, X.; Zhou, Y.; Li, Z. Electroacupuncture Protects Cognition by Regulating Tau Phosphorylation and Glucose Metabolism via the AKT/GSK3β Signaling Pathway in Alzheimer’s Disease Model Mice. Front. Neurosci. 2020, 14, 585476. [Google Scholar] [CrossRef]
- Yu, C.-C.; Wang, J.; Ye, S.-S.; Gao, S.; Li, J.; Wang, L.; Jiang, T.; Wang, X.-S.; Li, B.-C.; Shu, Q.; et al. Preventive Electroacupuncture Ameliorates D-Galactose-Induced Alzheimer’s Disease-like Pathology and Memory Deficits Probably via Inhibition of GSK3β/mTOR Signaling Pathway. Evid. Based Complement. Alternat. Med. 2020, 2020, 1428752. [Google Scholar] [CrossRef]
- Yarza, R.; Vela, S.; Solas, M.; Ramirez, M.J. c-Jun N-terminal Kinase (JNK) Signaling as a Therapeutic Target for Alzheimer’s Disease. Front. Pharmacol. 2015, 6, 321. [Google Scholar] [CrossRef]
- Lauretti, E.; Dincer, O.; Praticò, D. Glycogen synthase kinase-3 signaling in Alzheimer’s disease. Biochim. Biophys. Acta Mol. Cell Res. 2020, 1867, 118664. [Google Scholar] [CrossRef]
- Zhang, Y.; Ding, N.; Hao, X.; Zhao, J.; Zhao, Y.; Li, Y.; Li, Z. Manual acupuncture benignly regulates blood-brain barrier disruption and reduces lipopolysaccharide loading and systemic inflammation, possibly by adjusting the gut microbiota. Front. Aging Neurosci. 2022, 14, 1018371. [Google Scholar] [CrossRef]
- Shen, J.; Hao, C.; Yuan, S.; Chen, W.; Tong, T.; Chen, Y.; Aslam, M.S.; Yan, S.; Li, J.; Zeng, J.; et al. Acupuncture alleviates CUMS-induced depression-like behaviors of rats by regulating oxidative stress, neuroinflammation and ferroptosis. Brain Res. 2024, 1826, 148715. [Google Scholar] [CrossRef] [PubMed]









Disclaimer/Publisher’s Note: The statements, opinions and data contained in all publications are solely those of the individual author(s) and contributor(s) and not of MDPI and/or the editor(s). MDPI and/or the editor(s) disclaim responsibility for any injury to people or property resulting from any ideas, methods, instructions or products referred to in the content. |
© 2024 by the authors. Licensee MDPI, Basel, Switzerland. This article is an open access article distributed under the terms and conditions of the Creative Commons Attribution (CC BY) license (https://creativecommons.org/licenses/by/4.0/).
Share and Cite
Ho, Y.-S.; Cheng, W.-Y.; Lai, M.S.-L.; Lau, C.-F.; Wong, G.T.-C.; Yeung, W.-F.; Chang, R.C.-C. Postoperative Electroacupuncture Boosts Cognitive Function Recovery after Laparotomy in Mice. Biomolecules 2024, 14, 1274. https://doi.org/10.3390/biom14101274
Ho Y-S, Cheng W-Y, Lai MS-L, Lau C-F, Wong GT-C, Yeung W-F, Chang RC-C. Postoperative Electroacupuncture Boosts Cognitive Function Recovery after Laparotomy in Mice. Biomolecules. 2024; 14(10):1274. https://doi.org/10.3390/biom14101274
Chicago/Turabian StyleHo, Yuen-Shan, Wai-Yin Cheng, Michael Siu-Lun Lai, Chi-Fai Lau, Gordon Tin-Chun Wong, Wing-Fai Yeung, and Raymond Chuen-Chung Chang. 2024. "Postoperative Electroacupuncture Boosts Cognitive Function Recovery after Laparotomy in Mice" Biomolecules 14, no. 10: 1274. https://doi.org/10.3390/biom14101274
APA StyleHo, Y.-S., Cheng, W.-Y., Lai, M. S.-L., Lau, C.-F., Wong, G. T.-C., Yeung, W.-F., & Chang, R. C.-C. (2024). Postoperative Electroacupuncture Boosts Cognitive Function Recovery after Laparotomy in Mice. Biomolecules, 14(10), 1274. https://doi.org/10.3390/biom14101274

