Expression of Matrix Metalloproteinases 7 and 9, Desmin, Alpha-Smooth Muscle Actin and Caldesmon, in Odontogenic Keratocyst Associated with NBCCS, Recurrent and Sporadic Keratocysts
Abstract
1. Introduction
2. Materials and Methods
2.1. Patients Selected for the Study
- -
- Sporadic OKCs (sp-OKCs, n = 19) were primary lesions never cured;
- -
- Recurrent OKCs (sr-OKCs, n = 9) in case of recurrence > 1 year after surgical removal;
- -
2.2. Histological Analysis
2.3. Immunohistochemical Analysis
2.4. Statistical Analysis
3. Results
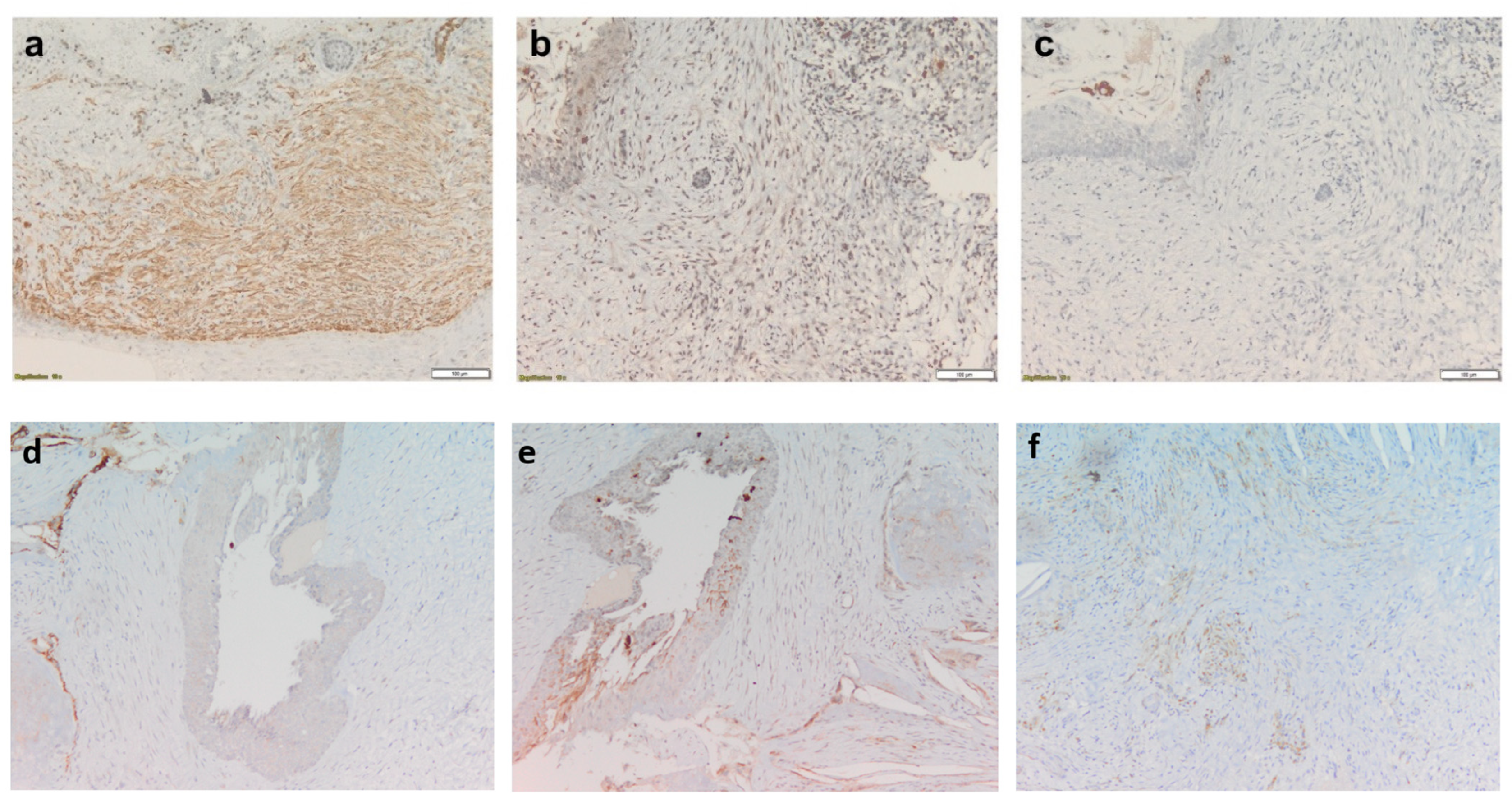
3.1. MMP-7 Expression
3.2. MMP-9 Expression
3.3. Desmin Expression
3.4. αSMA, Caldesmon and MF Expression
4. Discussion
5. Conclusions
Author Contributions
Funding
Institutional Review Board Statement
Informed Consent Statement
Data Availability Statement
Conflicts of Interest
References
- Chirapathomsakul, D.; Sastravaha, P.; Jansisyanont, P. A review of odontogenic keratocysts and the behavior of recurrences. Oral Surg. Oral Med. Oral Pathol. Oral Radiol. Endodontol. 2006, 101, 5–9. [Google Scholar] [CrossRef] [PubMed]
- Speight, P.M.; Takata, T. New tumour entities in the 4th edition of the World Health Organization Classification of Head and Neck tumours: Odontogenic and maxillofacial bone tumours. Virchows Arch. 2018, 472, 331–339. [Google Scholar] [CrossRef] [PubMed]
- Li, T.-J. The odontogenic keratocyst: A cyst, or a cystic neoplasm? J. Dent. Res. 2011, 90, 133–142. [Google Scholar] [CrossRef] [PubMed]
- de Oliveira Ramos, G.; Costa, A.; Meurer, M.I.; Vieira, D.S.; Rivero, E.R. Immunohistochemical analysis of matrix metalloproteinases (1, 2, and 9), K i-67, and myofibroblasts in keratocystic odontogenic tumors and pericoronal follicles. J. Oral Pathol. Med. 2014, 43, 282–288. [Google Scholar] [CrossRef] [PubMed]
- Hong, Y.-Y.; Yu, F.-Y.; Qu, J.-F.; Chen, F.; Li, T.-J. Fibroblasts regulate variable aggressiveness of syndromic keratocystic and non-syndromic odontogenic tumors. J. Dent. Res. 2014, 93, 904–910. [Google Scholar] [CrossRef] [PubMed]
- Leonardi, R.; Matthews, J.; Caltabiano, R.; Greco, M.; Lombardo, C.; Loreto, C.; Santarelli, A.; Lo Muzio, L. MMP-13 expression in keratocyst odontogenic tumour associated with NBCCS and sporadic keratocysts. Oral Dis. 2010, 16, 795–800. [Google Scholar] [CrossRef] [PubMed]
- de Andrade Santos, P.P.; de Aquino, A.R.L.; Barreto, A.O.; de Almeida Freitas, R.; Galvão, H.C.; de Souza, L.B. Immunohistochemical expression of nuclear factor κB, matrix metalloproteinase 9, and endoglin (CD105) in odontogenic keratocysts, dentigerous cysts, and radicular cysts. Oral Surg. Oral Med. Oral Pathol. Oral Radiol. Endodontol. 2011, 112, 476–483. [Google Scholar] [CrossRef][Green Version]
- Ribeiro, A.L.R.; Nobre, R.M.; Alves-Junior, S.M.; Kataoka, M.S.; Barroso, R.F.; Jaeger, R.G.; Pinheiro, J.J. Matrix metalloproteinases, tissue inhibitors of metalloproteinases, and growth factors regulate the aggressiveness and proliferative activity of keratocystic odontogenic tumors. Oral Surg. Oral Med. Oral Pathol. Oral Radiol. 2012, 114, 487–496. [Google Scholar] [CrossRef]
- Andric, M.; Jacimovic, J.; Jakovljevic, A.; Nikolic, N.; Milasin, J. Gene polymorphisms in odontogenic keratocysts and ameloblastomas: A systematic review. Oral Dis. 2021. [Google Scholar] [CrossRef]
- Cavalcante, R.B.; Pereira, K.M.A.; Nonaka, C.F.W.; Nogueira, R.L.M.; de Souza, L.B. Immunohistochemical expression of MMPs 1, 7, and 26 in syndrome and nonsyndrome odontogenic keratocysts. Oral Surg. Oral Med. Oral Pathol. Oral Radiol. Endodontol. 2008, 106, 99–105. [Google Scholar] [CrossRef]
- Scariot, R.; Morosini, I.C.; Torres-Pereira, C.C.; Amenabar, J.M.C.; Rebellato, N.L.B.; Gugisch, R.C. Immunohistochemical analysis of metalloproteases in dentigerous cysts, radicular cysts and keratocystic odontogenic tumors: Systematic review. Stomatos 2012, 18, 4–15. [Google Scholar]
- Yamaguchi, H.; Sakai, R. Direct interaction between carcinoma cells and cancer associated fibroblasts for the regulation of cancer invasion. Cancers 2015, 7, 2054–2062. [Google Scholar] [CrossRef] [PubMed]
- Gaitán-Cepeda, L.; Quezada-Rivera, D.; Tenorio-Rocha, F.; Leyva-Huerta, E. Reclassification of odontogenic keratocyst as tumour. Impact on the odontogenic tumours prevalence. Oral Dis. 2010, 16, 185–187. [Google Scholar] [CrossRef] [PubMed]
- Pinisetti, S.; Manyam, R.; Babburi Suresh, V.A. Myofibroblasts in oral lesions: A review. J. Oral Maxillofac. Pathol. JOMFP 2014, 18, 52. [Google Scholar] [CrossRef]
- Fuyuhiro, Y.; Yashiro, M.; Noda, S.; Kashiwagi, S.; Matsuoka, J.; Doi, Y.; Kato, Y.; Hasegawa, T.; Sawada, T.; Hirakawa, K. Upregulation of cancer-associated myofibroblasts by TGF-β from scirrhous gastric carcinoma cells. Br. J. Cancer 2011, 105, 996–1001. [Google Scholar] [CrossRef] [PubMed]
- Noma, K.; Smalley, K.S.; Lioni, M.; Naomoto, Y.; Tanaka, N.; El-Deiry, W.; King, A.J.; Nakagawa, H.; Herlyn, M. The essential role of fibroblasts in esophageal squamous cell carcinoma-induced angiogenesis. Gastroenterology 2008, 134, 1981–1993. [Google Scholar] [CrossRef]
- Sobral, L.M.; Bufalino, A.; Lopes, M.A.; Graner, E.; Salo, T.; Coletta, R.D. Myofibroblasts in the stroma of oral cancer promote tumorigenesis via secretion of activin A. Oral Oncol. 2011, 47, 840–846. [Google Scholar] [CrossRef] [PubMed]
- Gupta, K.; Metgud, R.; Gupta, J. Evaluation of stromal myofibroblasts in oral leukoplakia, oral submucous fibrosis, and oral squamous cell carcinoma-an immunohistochemical study. J. Cancer Res. Ther. 2015, 11, 893. [Google Scholar] [CrossRef] [PubMed]
- Sekhon, H.K.; Sircar, K.; Kaur, G.; Marwah, M. Evaluation of role of myofibroblasts in oral cancer: A systematic review. Int. J. Clin. Pediatric Dent. 2016, 9, 233. [Google Scholar] [CrossRef]
- High, A.; Zedan, W. Basal cell nevus syndrome. Curr. Opin. Oncol. 2005, 17, 160–166. [Google Scholar] [CrossRef]
- Pastorino, L.; Cusano, R.; Nasti, S.; Faravelli, F.; Forzano, F.; Baldo, C.; Barile, M.; Gliori, S.; Muggianu, M.; Ghigliotti, G.; et al. Molecular characterization of Italian nevoid basal cell carcinoma syndrome patients. Hum. Mutat. 2005, 25, 322–323. [Google Scholar] [CrossRef] [PubMed]
- El-Naggar, A.K.; Chan, J.K.; Grandis, J.R.; Takata, T.; Slootweg, P.J. WHO Classification of Head and Neck Tumours; International Agency for Research on Cancer (IARC): Lyon, France, 2017. [Google Scholar]
- Evans, D.G.; Farndon, P.A. Nevoid Basal Cell Carcinoma Syndrome. In GeneReviews((R)); Adam, M.P., Ardinger, H.H., Pagon, R.A., Wallace, S.E., Bean, L.J.H., Mirzaa, G., Amemiya, A., Eds.; University of Washington: Seattle, WA, USA, 1993. [Google Scholar]
- Leonardi, R.; Lanteri, E.; Stivala, F.; Travali, S. Immunolocalization of CD44 adhesion molecules in human periradicular lesions. Oral Surg. Oral Med. Oral Pathol. Oral Radiol. Endodontol. 2000, 89, 480–485. [Google Scholar] [CrossRef]
- Leonardi, R.; Caltabiano, R.; Loreto, C. Collagenase-3 (MMP-13) is expressed in periapical lesions: An immunohistochemical study. Int. Endod. J. 2005, 38, 297–301. [Google Scholar] [CrossRef] [PubMed]
- Leonardi, R.; Matthews, J.; Loreto, C.; Musumeci, G.; Campisi, G.; Lo Muzio, L.; Dos Santos, J.; Pastorino, L.; Bufo, P.; Pannone, G. Beta-catenin and survivin expression in keratocystic odontogenic tumor (KCOT). A comparative immunohistochemical study in primary, recurrent and nevoid basal cell carcinoma syndrome (NBCCS)-associated lesions. Histol. Histopathol. 2013, 28, 9. [Google Scholar]
- Joshi, P.S.; Patil, J.; Chougule, M.; Dudanakar, M.; Hongal, B.P. Evaluation of stromal myofibroblasts in epithelial dysplasia and oral squamous cell carcinoma: An immunohistochemical study. Clin. Cancer Investig. J. 2016, 5, 441. [Google Scholar] [CrossRef]
- Desmouliere, A.; Guyot, C.; Gabbiani, G. The stroma reaction myofibroblast: A key player in the control of tumor cell behavior. Int. J. Dev. Biol. 2004, 48, 509–517. [Google Scholar] [CrossRef]
- Kimi, K.; Kumamoto, H.; Ooya, K.; Motegi, K. Immunohistochemical analysis of cell-cycle-and apoptosis-related factors in lining epithelium of odontogenic keratocysts. J. Oral Pathol. Med. 2001, 30, 434–442. [Google Scholar] [CrossRef]
- Vered, M.; Shohat, I.; Buchner, A.; Dayan, D. Myofibroblasts in stroma of odontogenic cysts and tumors can contribute to variations in the biological behavior of lesions. Oral Oncol. 2005, 41, 1028–1033. [Google Scholar] [CrossRef]
- Wahlgren, J.; Väänänen, A.; Teronen, O.; Sorsa, T.; Pirilä, E.; Hietanen, J.; Maisi, P.; Tjäderhane, L.; Salo, T. Laminin-5 gamma 2 chain is colocalized with gelatinase-A (MMP-2) and collagenase-3 (MMP-13) in odontogenic keratocysts. J. Oral Pathol. Med. 2003, 32, 100–107. [Google Scholar] [CrossRef]





Publisher’s Note: MDPI stays neutral with regard to jurisdictional claims in published maps and institutional affiliations. |
© 2022 by the authors. Licensee MDPI, Basel, Switzerland. This article is an open access article distributed under the terms and conditions of the Creative Commons Attribution (CC BY) license (https://creativecommons.org/licenses/by/4.0/).
Share and Cite
Loreto, C.; Polizzi, A.; Filetti, V.; Pannone, G.; Dos Santos, J.N.; Venezia, P.; Leonardi, R.; Isola, G. Expression of Matrix Metalloproteinases 7 and 9, Desmin, Alpha-Smooth Muscle Actin and Caldesmon, in Odontogenic Keratocyst Associated with NBCCS, Recurrent and Sporadic Keratocysts. Biomolecules 2022, 12, 775. https://doi.org/10.3390/biom12060775
Loreto C, Polizzi A, Filetti V, Pannone G, Dos Santos JN, Venezia P, Leonardi R, Isola G. Expression of Matrix Metalloproteinases 7 and 9, Desmin, Alpha-Smooth Muscle Actin and Caldesmon, in Odontogenic Keratocyst Associated with NBCCS, Recurrent and Sporadic Keratocysts. Biomolecules. 2022; 12(6):775. https://doi.org/10.3390/biom12060775
Chicago/Turabian StyleLoreto, Carla, Alessandro Polizzi, Veronica Filetti, Giuseppe Pannone, Jean Nunes Dos Santos, Pietro Venezia, Rosalia Leonardi, and Gaetano Isola. 2022. "Expression of Matrix Metalloproteinases 7 and 9, Desmin, Alpha-Smooth Muscle Actin and Caldesmon, in Odontogenic Keratocyst Associated with NBCCS, Recurrent and Sporadic Keratocysts" Biomolecules 12, no. 6: 775. https://doi.org/10.3390/biom12060775
APA StyleLoreto, C., Polizzi, A., Filetti, V., Pannone, G., Dos Santos, J. N., Venezia, P., Leonardi, R., & Isola, G. (2022). Expression of Matrix Metalloproteinases 7 and 9, Desmin, Alpha-Smooth Muscle Actin and Caldesmon, in Odontogenic Keratocyst Associated with NBCCS, Recurrent and Sporadic Keratocysts. Biomolecules, 12(6), 775. https://doi.org/10.3390/biom12060775

