Screening of Novel Laccase Producers—Isolation and Characterization of Cold-Adapted Laccase from Kabatiella bupleuri G3 Capable of Synthetic Dye Decolorization
Abstract
1. Introduction
2. Materials and Methods
2.1. Organism Selection and Culture Conditions
- Submerged culture of laccase producers selected during plate screening on the following media: (1) Olga medium [18], (2) modified Kirk medium (LMM) [19], (3) Sivakumar medium [20] and (4) mineral medium in order to select the most optimal medium for laccase production by the cold-adapted fungi. (1) The Olga medium contained (in g/L): 3.0 peptone, 10.0 glucose, 0.6 KH2PO4, 0.001 ZnSO4, 0.4 K2HPO4, 0.0005 FeSO4, 0.05 MnSO4 and 0.5 MgSO4 (pH 6.0); (2) LMM contained (in g/L): 10.0 glucose, 1.0 yeast extract, 2.0 ammonium tartrate, 1.0 KH2PO4, 0.5 MgSO4 × 7H2O, 0.5 KCl and 0.15 mM CuSO4 × 5H2O (pH 5.5–6.0); (3) Sivakumar medium contained (in g/L): 20.0 soluble starch, 2.5 yeast extract, 1.0 KH2PO4, 0.05 Na2HPO4, 0.5 MgSO4, 0.01 CaCl2, 0.01 FeSO4, 0.001 MnSO4, 0.001 ZnSO4 and 0.002 CuSO4 (pH 5.5); and (4) mineral medium contained (in g/L): 2.0 glucose, 1.0 (NH4)2SO4, 1.0 K2HPO4, 0.5 MgSO4 × 7H2O, 0.5 NaCl, 0.01 MnSO4, 0.001 CuSO4 × 5H2O (pH 5.5–6.0).
- Submerged culture of Kabatiella bupleuri strain in the Sivakumar medium with the addition of several potential inducers of laccase biosynthesis (concentrations specified in the Results) such as copper (II) ions, Tween 20, Tween 80, ABTS, guaiacol, syringaldazine, ethidium bromide, catechol, 2,5-xylidine, veratryl alcohol, vanillin and ascorbic acid, in order to find the inducer that causes the highest enzyme activity (U/L).
- Submerged culture in the modified Sivakumar medium with the selected inducers (copper (II) ions and Tween 80), in which the starch was replaced by waste products in concentrations of 20 and 100 g/L from the agri-food and brewing industry and compounds rich in lignocellulose (carrot pomace, apple pomace, potato pulp, spent grain from the brewery, lignin, rye straw, straw briquette).
2.2. Laccase Extraction from the Biomass
2.3. Genetic Identification of Laccase-Producing Strain
2.3.1. DNA Extraction
2.3.2. PCR Amplification of D1/D2 and ITS1–5,8S–ITS2 Regions
2.3.3. Data Analysis
2.4. Raw Materials
2.5. Purification of the Laccase by Ammonium Sulphate Fractioning
2.6. SDS-PAGE
2.7. Effect of Temperature and pH on Laccase Activity and Stability
2.8. Substrate Specificity of Laccase
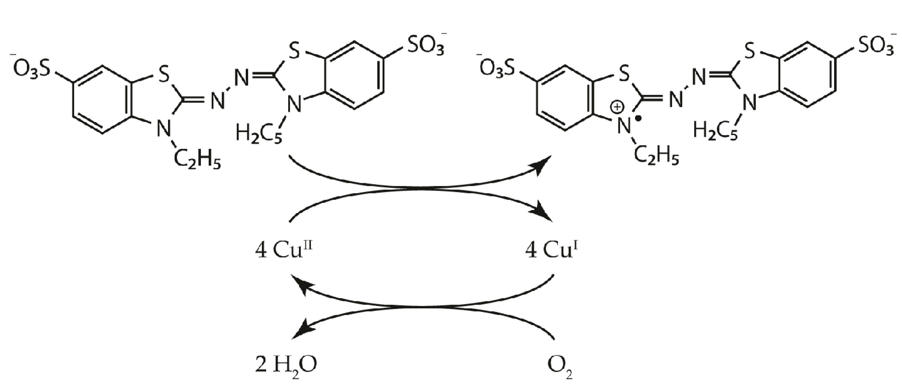
2.9. Decolorization of Synthetic Dyes
2.10. Analytical Methods
2.11. Statistical Analysis
3. Results and Discussion
3.1. Screening of Yeast and Yeast-Like Fungi for Laccase Activity
3.2. Genetic Identification of Strain G3 IBMiP
3.3. Optimization of Growth Conditions of K. bupleuri to Increase Laccase Biosynthesis
Inducers for Laccase Synthesis
3.4. Effect of Ascorbic Acid on Laccase Production
3.5. Waste Materials in Laccase Synthesis
3.6. Purification and Characterization of Laccase
3.6.1. Purification of the Laccase G3 by Ammonium Sulphate Fractionation
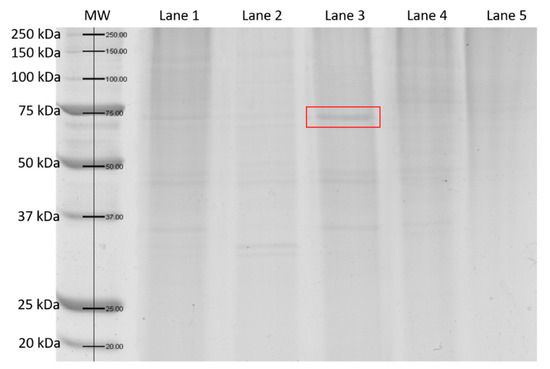
3.6.2. SDS-PAGE
3.6.3. Properties of the Preliminary Purified K. bupleuri Laccase G3
3.7. Application of Laccase in Synthetic Dye Decolorization Process
4. Conclusions
Supplementary Materials
Author Contributions
Funding
Institutional Review Board Statement
Informed Consent Statement
Conflicts of Interest
References
- Viswanath, B.; Rajesh, B.; Janardhan, A.; Kumar, A.P.; Narasimha, G. Fungal laccases and their application in bioremediation. Enzyme Res. 2014, 2014, 163242. [Google Scholar] [CrossRef] [PubMed]
- Couto, S.R.; Herrera, J.L. Industrial and biotechnological applications of laccases: A review. Biotechnol. Adv. 2006, 24, 500–513. [Google Scholar] [CrossRef] [PubMed]
- Rodriguez, E.; Pickard, M.A.; Vazquez-Duhalt, R. Industrial dye decolorization by laccases from ligninolytic fungi. Curr. Microbiol. 1999, 38, 27–32. [Google Scholar] [CrossRef] [PubMed]
- Enayatizamir, N.; Tabandeh, F.; Rodriguez-Couto, S.; Yakhchali, B.; Alikhani, H.A.; Mohammadi, L. Biodegradation pathway and detoxification of the diazo dye Reactive Black 5 by Phanerochaete Chrysosporium. Bioresour. Technol. 2011, 102, 10359–10362. [Google Scholar] [CrossRef] [PubMed]
- Legerska, B.; Chmelova, D.; Ondrejovic, M. Degradation of synthetic dyes by laccases—A mini review. Nova Biotechnol. Chim. 2016, 15, 90–106. [Google Scholar] [CrossRef]
- Johannes, C.; Majcherczyk, A. Natural mediators in the oxidation of polycyclic aromatic hydrocarbons by laccase mediator systems. Appl. Environ. Microbiol. 2000, 66, 524–528. [Google Scholar] [CrossRef]
- Leelaruji, W.; Buathong, P.; Kanngan, P.; Piamtongkam, R.; Chulalaksananukul, S.; Wattayakorn, G.; Chulalaksananukul, W. Potential of laccase produced from microfungus Aureobasidium pullulans var. melanogenum to degrade polycyclic aromatic hydrocarbons. Eur. Chem. Bull. 2014, 3, 269–272. [Google Scholar]
- Riva, S. Laccases: Blue enzymes for green chemistry. Trends Biotechnol. 2006, 24, 219–226. [Google Scholar] [CrossRef]
- Rivera-Hoyos, C.M.; Morales-Alvarez, E.D.; Poutou-Pinales, R.A.; Pedroza-Rodriguez, A.M.; Rodriguez-Vazquez, R.; Delgado-Boada, J.M. Fungal laccases. Fungal Biol. Rev. 2013, 27, 67–82. [Google Scholar] [CrossRef]
- Ikehata, K.; Buchanan, I.D.; Smith, D.W. Recent developments in the production of extracellular fungal peroxidases and laccases for waste treatment. J. Environ. Eng. Sci. 2004, 3, 1–19. [Google Scholar] [CrossRef]
- Yoshida, H. Chemistry of lacquer (Urushi) part 1. J. Chem. Soc. 1883, 43, 472–486. [Google Scholar] [CrossRef]
- Bertrand, G. Sur la presence simultanee de la laccase et de la tyrosinase dans le suc de quelques champignons. CR Hebd Seances Acad. Sci. 1896, 123, 463–465. [Google Scholar]
- Wellington, K.W. Application of laccases in organic synthesis—A review. In Green Chemistry; Luque, R., Ed.; Nova Science Publishers, Inc.: New York, NY, USA, 2012; pp. 167–212. [Google Scholar]
- Rovati, J.I.; Pajot, H.F.; Ruberto, L.; Mac Cormack, W.; Figueroa, L.I.C. Polyphenolic substrates and dye degradation by yasts from 25 de Mayo/King George Island (Antarctica). Yeast 2013, 30, 459–470. [Google Scholar] [CrossRef]
- Singhal, A.; Choudhary, G.; Thakur, I.S. Characterization of laccase activity produced by Cryptococcus albidus. Prep. Biochem. Biotechnol. 2012, 42, 113–124. [Google Scholar] [CrossRef] [PubMed]
- Wang, B.; Yan, Y.; Tian, Y.; Zhao, W.; Li, Z.; Gao, J.; Peng, R.; Yao, Q. Heterologous expression and characterization of a laccase from Colletotrichum lagenarium and decolourisation of different synthetic dyes. World J. Microbiol. Biotechnol. 2016, 32, 40. [Google Scholar] [CrossRef] [PubMed]
- Białkowska, A.M.; Szulczewska, K.M.; Krysiak, J.; Florczak, T.; Gromek, E.; Kassassir, H.; Kur, J.; Turkiewicz, M. Genetic and biochemical characterization of yeasts isolated from Antarctic soil samples. Polar Biol. 2017, 40, 1787–1803. [Google Scholar] [CrossRef]
- Koroljova-Skorobogat’ko, O.V.; Stepanova, E.V.; Gavrilova, V.P.; Morozova, O.V.; Lubimova, N.V.; Dzchafarova, A.N.; Jaropolov, A.I.; Makower, A. Purification and characterization of the constitutive form of laccase from the basidiomycete Coriolus hirsutus and effect of inducers on laccase synthesis. Biotechnol. Appl. Biochem. 1998, 28, 47–54. [Google Scholar] [PubMed]
- Dhouib, A.; Hamza, M.; Zouari, H.; Mechichi, T.; Hmidi, R.; Labat, M.; Martinez, M.J.; Sayadi, S. Screening for ligninolytic enzyme production by diverse fungi from Tunisia. World J. Microbiol. Biotechnol. 2005, 21, 1415–1423. [Google Scholar] [CrossRef]
- Sivakumar, R.; Rajendran, R.; Balakumar, C.; Tamilvendan, M. Isolation, screening and optimization of production medium for thermostable laccase production from Ganoderma sp. Int. J. Eng. Sci. Technol. 2010, 2, 7133–7141. [Google Scholar]
- Meneses, N.G.; Martins, S.; Teixeira, J.A.; Mussatto, S.I. Influence of extraction solvents on the recovery of antioxidant phenolic compounds from brewer’s spent grains. Sep. Purif. Technol. 2013, 108, 152–158. [Google Scholar] [CrossRef]
- Laemmli, U.K. Cleavage of structural proteins during the assembly of the head of bacteriophage T4. Nature 1970, 227, 680–685. [Google Scholar] [CrossRef]
- Bourbonnais, R.; Leech, D.; Paice, M.G. Electrochemical analysis of the interactions of laccase mediators with lignin model compounds. Biochim. Biophys. Acta 1998, 1379, 381–390. [Google Scholar] [CrossRef]
- Pointing, S.B.; Jones, E.B.; Vrijmoed, L.L. Optimization of laccase production by Pycnoporus sanguineus in submerged liquind culture. Mycologia 2000, 92, 139–144. [Google Scholar] [CrossRef]
- Bradford, M.M. A rapid and sensitive method for the quantitation of microgram quantities of protein utilizing the principle of protein dye binding. Anal. Biochem. 1976, 72, 248–254. [Google Scholar] [CrossRef]
- Bills, G.F.; Menendez, V.G.; Platas, G. Kabatiella bupleuri sp. nov. (Dothideales), a pleomorphic epiphyte and endophyte of the Mediterranean plant Bupleurum gibraltarium (Apiaceae). Mycologia 2012, 104, 962–973. [Google Scholar] [CrossRef] [PubMed]
- Peterson, S.W.; Manitchotpisit, P.; Leathers, T.D. Aureobasidium thilandense sp. nov. isolated from leaves and wooden surfaces. Int. J. Syst. Evol. Microbiol. 2013, 63, 790–795. [Google Scholar] [CrossRef]
- Chakroun, H.; Mechichi, T.; Martinez, M.J.; Dhouib, A.; Sayadi, S. Purification and characterization of a novel laccase from the ascomycete Trichoderma atroviride: Application on bioremediation of phenolic compounds. Process Biochem. 2010, 45, 507–513. [Google Scholar] [CrossRef]
- Sun, K.; Cheng, X.; Yu, J.; Chen, L.; Wei, J.; Chen, W.; Wang, J.; Li, S.; Liu, Q.; Si, Y. Isolation of Trametes hirsuta La-7 with high laccase-productivity and its application in metabolism of 17β-estradiol. Environ. Pollut. 2020, 263, 114381. [Google Scholar] [CrossRef]
- Klonowska, A.; Le Petit, J.; Tron, T. Enhancement of minor laccases production in the basidiomycete Marasmius quercophilus C30. FEMS Microbiol. Lett. 2001, 200, 25–30. [Google Scholar] [CrossRef][Green Version]
- Chen, S.; Ge, W.; Buswell, J.A. Biochemical and molecular characterization of a laccase from the edible straw mushroom, Volvariella volvacea. Eur. J. Biochem. 2004, 271, 318–328. [Google Scholar] [CrossRef]
- Wang, Z.; Cai, Y.; Liao, X.; Zhang, F.; Zhang, D.; Li, Z. Production and characterization of a novel laccase with cold adaptation and high thermal stability from an isolated fungus. Appl. Biochem. Biotechnol. 2010, 162, 280–294. [Google Scholar] [CrossRef]
- Cambria, M.T.; Ragusa, S.; Calabrese, V.; Cambria, A. Enhanced laccase production in white-rot fungus Rigidoporus lignosus by the addition of selected phenolic and aromatic compounds. Appl. Biochem. Biotechnol. 2011, 163, 415–422. [Google Scholar] [CrossRef]
- Dhillon, G.S.; Kaur, S.; Brar, S.K. In-vitro decolorization of recalcitrant dyes through an ecofriendly approach using laccase from Trametes versicolor grown on brewer’s spent grain. Int. Biodeterior.Biodegrad. 2012, 72, 67–75. [Google Scholar] [CrossRef]
- Daassi, D.; Zouari-Mechichi, H.; Prieto, A.; Martinez, M.J.; Nasri, M.; Mechichi, T. Purification and biochemical characterization of a new alkali-stable laccase from Trametes sp. isolated in Tunisia: Role of the enzyme in olive mill waste water treatment. World J. Microbiol. Biotechnol. 2013, 29, 2145–2155. [Google Scholar] [CrossRef] [PubMed]
- Gonzales, J.C.; Medina, S.C.; Rodriguez, A.; Osma, J.F.; Almeciga-Diaz, C.J.; Sanchez, O.F. Production of Trametes pubescens laccase under submerged and semi-solid culture conditions on agro-industrial wastes. PLoS ONE 2013, 8, e73721. [Google Scholar] [CrossRef]
- Guo, L.Q.; Lin, S.X.; Zheng, X.B.; Huang, Z.R.; Lin, J.F. Production, purification and characterization of a thermostable laccase from a tropical white-rot fungus. World J. Microbiol. Biotechnol. 2011, 27, 721–735. [Google Scholar] [CrossRef]
- Galhaup, C.; Haltrich, D. Enhanced formation of laccase activity by the white-rot fungus Trametes pubescens in the present of copper. Appl. Microbiol. Biotechnol. 2001, 56, 225–232. [Google Scholar] [CrossRef] [PubMed]
- Demkiv, O.M.; Gayda, G.Z.; Broda, D.; Gonchar, M.V. Extracellular laccase from Monilinia fructicola: Isolation, primary characterization and application. Cell Biol. Int. 2021, 45, 536–548. [Google Scholar] [CrossRef]
- Kruszewska, J.; Palamarczyk, G.; Kubicek, C.P. Stimulation of exoprotein secretion by choline and Tween 80 in Trichoderma reesei QM 9414 correlates with infcreased activities of dolichol phosphate mannose synthase. J. Gen. Microbiol. 1990, 136, 1293–1298. [Google Scholar] [CrossRef]
- Calado, C.R.; Brandao, M.; Biscaia, J.; Cabral, J.M.; Fonseca, L.P. Effect of Tween 80 on stability and secretion of hydrophobic tagged-cutinases. Chem. Biochem. Eng. Q. 2009, 23, 411–417. [Google Scholar] [CrossRef]
- Kiiskinen, L.L.; Ratto, M.; Kruus, K. Screening for novel laccase-producing microbes. J. Appl. Microbiol. 2004, 97, 640–646. [Google Scholar] [CrossRef] [PubMed]
- Lomascolo, A.; Cayol, J.L.; Roche, M.; Guo, L.; Robert, J.L.; Record, E.; Lesage-Meessen, L.; Ollivier, B.; Sigoillot, J.C.; Asther, M. Molecular clustering of Pycnoporus strain from various geographic origins and isolation of monokaryotic strains for laccase hyperproduction. Mycol. Res. 2002, 106, 1193–1203. [Google Scholar] [CrossRef]
- Dekker, R.F.; Barbosa, A.M. The effects of aeration and veratryl alcohol on the production of two laccases by the ascomycete Botryosphaeria sp. Enzyme Microb. Technol. 2001, 28, 81–88. [Google Scholar] [CrossRef]
- Da Cunha, M.A.A.; Barbosa, A.M.; Giese, E.C.; Dekker, R.F. The effect of carbohydrate carbon sources on the production of constitutive and inducible laccases by Botryosphaeria sp. J. Basic Microbiol. 2003, 43, 385–392. [Google Scholar] [CrossRef]
- Arora, D.S.; Gill, P.K. Effects of media and supplements on laccase production by some white rot fungi. Bioresour. Technol. 2001, 77, 89–91. [Google Scholar] [CrossRef]
- Jafari, N.; Rezaie, D.; Rezaei, R.; Dilmaghani, H.; Khoshayand, M.R.; Faramarzi, M.A. Improved production and characterization of a highly stable laccase from the halophilic bacterium Chromohalobacter salexigens for the efficient delignification of almond shell bio-waste. Int. J. Biol. Macromol. 2017, 105, 489–498. [Google Scholar] [CrossRef] [PubMed]
- Gorbatova, O.N.; Koroleva, O.V.; Landesman, E.O.; Stepanova, E.V.; Zherdev, A.V. Increase of the detoxification potential of basidiomycetes by induction of laccase biosynthesis. Appl. Biochem. Microbiol. 2006, 42, 414–419. [Google Scholar] [CrossRef]
- Dhawan, S.; Lal, R.; Kuhad, R.C. Ethidium bromide stimulated hyper laccase production from bird’s nest fungus Cyanthus bulleri. Lett. Appl. Microbiol. 2002, 36, 64–67. [Google Scholar] [CrossRef] [PubMed]
- Pazarlıog˘lu, N.K.; Sariis¸ik, M.; Telefoncu, A. Laccase: Production by Trametes versicolor and application to denim washing. Process Biochem. 2005, 40, 1673–1678. [Google Scholar] [CrossRef]
- Rich, J.O.; Manitchotpisit, P.; Peterson, S.W.; Leathers, T.D. Laccase production by diverse phylogenetic clades of Aureobasidium pullulans. RJAS 2011, 1, 41–47. [Google Scholar]
- Rich, J.O.; Leathers, T.D.; Anderson, A.M.; Bischoff, K.M.; Manitchotpisit, P. Laccases from Aureobasidium pullulans. Enzyme Microb. Technol. 2013, 53, 33–37. [Google Scholar] [CrossRef] [PubMed]
- Lo, S.C.; Ho, Y.S.; Buswell, J.A. Effect of phenolic monomers on the production of laccases by the edible mushroom Pleurotus sajo-caju, and partial characterization of a major laccase component. Mycologia 2001, 93, 421–431. [Google Scholar] [CrossRef]
- Linden, R.M.; Schilling, B.C.; Germann, U.A.; Lerch, K. Regulation of laccase synthesis in induced Neurospora crassa cultures. Curr. Genet. 1991, 19, 375–381. [Google Scholar] [CrossRef] [PubMed]
- Lee, I.Y.; Jung, K.H.; Lee, C.H.; Park, Y.H. Enhanced production of laccase in Trametes versicolor by the addition of ethanol. Biotechnol. Lett. 1999, 21, 965–968. [Google Scholar] [CrossRef]
- Dekker, R.F.; Vasconcelos, A.F.; Barbosa, A.M.; Giese, E.C.; Paccola-Meirelles, L. A new role for veratryl alcohol: Regulation of synthesis of lignocellulose-degrading enzymes in the ligninolytic ascomyceteous fungus, Botryosphaeria sp.; influence of carbon source. Biotechnol. Lett. 2001, 23, 1987–1993. [Google Scholar] [CrossRef]
- Lomascolo, A.; Record, E.; Herpoel-Gimbert, I.; Delattre, M.; Robert, J.L.; Georis, J.; Dauvrin, T.; Sigoillot, J.C.; Asther, M. Overproduction of laccase by a monokaryotic strain of Pycnoporus cinnabarinus using ethanol as inducer. J. Appl. Microbiol. 2003, 94, 618–624. [Google Scholar] [CrossRef]
- Dhakar, K.; Pandey, A. Laccase production from a temperature and pH tolerant fungal strain of Trametes hirsuta (MTCC 11397). Enzyme Res. 2013, 2013, 869062. [Google Scholar] [CrossRef]
- Mougin, C.; Kollmann, A.; Jolivalt, C. Enhanced production of laccase in the fungus Trametes versicolor by the addition of xenobiotics. Biotechnol. Lett. 2002, 24, 139–142. [Google Scholar] [CrossRef]
- Froehner, S.C.; Eriksson, K.E. Induction of Neurospora crassa laccase with protein synthesis inhibitors. J. Bacteriol. 1974, 120, 450–457. [Google Scholar] [CrossRef] [PubMed]
- Sethuraman, A.; Akin, D.E.; Eriksson, K.E. Production of ligninolytic enzymes and synthetic lignin mineralization by the bird’s nest fungus Cyathus stercoreus. App. Microbiol. Biotechnol. 1999, 52, 689–697. [Google Scholar] [CrossRef] [PubMed]
- Thurston, C.F. The structure and function of fungal laccases. Microbiology 1994, 140, 13–26. [Google Scholar] [CrossRef]
- Klaui, H.; Bauernfeind, J.C. Carotenoids as food color. In Carotenoids as Colorants and Vitamin A Precursors; Bauernfeind, J.C., Ed.; Academic Press: New York, NY, USA, 1981; pp. 48–319. [Google Scholar]
- Gassara, F.; Ajila, C.M.; Brar, S.K.; Tyagi, R.D.; Verma, M.; Valero, J. Influence of aeration and agitation modes on solid-state fermentation of apple pomace waste by Phanerochaete chrysosporium to produce ligninolytic enzymes and co-extract polyphenols. Int. J. Food Sci. Technol. 2013, 48, 2119–2126. [Google Scholar] [CrossRef]
- Dhillon, G.S.; Brar, S.K.; Kaur, S.; Metahni, S.; M’hamdi, N. Lactoserum as a moistening medium and crude inducer for fungal cellulase and hemicellulase induction through solid-state fermentation of apple pomace. Biomass Bioenergy 2012, 41, 165–174. [Google Scholar] [CrossRef]
- Dhillon, G.S.; Kaur, S.; Brar, S.K.; Gassara, F.; Verma, M. Improved xylanase production using apple pomace waste by Aspergillus niger in koji fermentation. Eng. Life Sci. 2012, 12, 198–208. [Google Scholar] [CrossRef]
- Tepe, O.; Dursun, A.Y. Exo-pectinase production by Bacillus pumilus using different agricultural wastes and optimizing of medium components using response surface methodology. Environ. Sci. Pollut. Res. 2014, 21, 9911–9920. [Google Scholar] [CrossRef]
- Dhillon, G.S.; Brar, S.K.; Valero, J.R. Bioproduction of hydrolytic enzymes using apple pomace waste by A. niger: Application in biocontrol formulations and hydrolysis of chitin/chitosan. Bioprocess Biosyst. Eng. 2011, 34, 1017–1026. [Google Scholar] [CrossRef]
- Kaur, S.; Dhillon, G.S.; Brar, S.K.; Chauhan, V.B. Carbohydrate degrading enzyme production by plant pathogenic mycelia and microsclerotia isolates of Macrophomina phaseolina through koji fermentation. Ind. Crops Prod. 2012, 36, 140–148. [Google Scholar] [CrossRef]
- Freixo do Rosario, M.; Karmali, A.; Frazão, C.; Arteiro, J.M. Production of laccase and xylanase from Coriolus versicolor grown on tomato pomace and their chromatographic behaviour on immobilized metal chelates. Process Biochem. 2008, 43, 1265–1274. [Google Scholar] [CrossRef]
- Pan, K.; Zhao, N.; Yin, Q.; Zhang, T.; Xu, X.; Fang, W.; Hong, Y.; Fang, Z.; Xiao, Y. Induction of a laccase Lcc9 from Coprinopsis cinerea by fungal coculture and its application on indigo dye decolorization. Bioresour. Technol. 2014, 162, 45–52. [Google Scholar] [CrossRef]
- Yang, J.; Lin, Q.; Ng, T.B.; Ye, X.; Lin, J. Purification and characterization of a novel laccase from Cerrena sp. HYB07 with dye decolorizing ability. PLoS ONE 2014, 9, e110834. [Google Scholar] [CrossRef]
- Mtibaà, R.; de Eugenio, L.; Ghariani, B.; Louati, I.; Belbahri, L.; Nasri, M.; Mechichi, T. A halotolerant laccase from Chaetomium strain isolated from desert soil and its ability for dye decolourization. 3 Biotech 2017, 7, 329. [Google Scholar] [CrossRef]
- Mtibaà, R.; Barriuso, J.; de Eugenio, L.; Aranda, E.; Belbahri, L.; Nasri, M.; Martínez, M.J.; Mechichi, T. Purification and characterization of a fungal laccase from the ascomycete Thielavia sp. and its role in the decolorization of a recalcitrant dye. Int. J. Biol. Macromol. 2018, 120, 1744–1751. [Google Scholar] [CrossRef]
- Aung, T.; Jiang, H.; Chen, C.C.; Liu, G.L.; Hu, Z.; Chi, Z.M.; Chi, Z. Production, gene cloning and overexpression of a laccase in the marine-derived yeast Aureobasidium melanogenum strain 11-1 and characterization of the recombinant laccase. Mar. Biotechnol. 2019, 21, 76–87. [Google Scholar] [CrossRef] [PubMed]
- Ko, E.M.; Leem, Y.E.; Choi, H.T. Purification and characterization of laccase isozymes from white-rot basidiomycete Ganoderma lucidum. Appl. Microbiol. Biotechnol. 2001, 58, 98–102. [Google Scholar] [CrossRef]
- Kiiskinen, L.L.; Viikari, L.; Kruus, K. Purification and characterization of a novel laccase from the ascomycete Melanocarpus albomyces. Appl. Microbiol. Biotechnol. 2002, 59, 198–204. [Google Scholar] [CrossRef] [PubMed]
- Yang, Y.; Ding, Y.; Liao, X.; Cai, Y. Purification and characterization of a new laccase from Shiraia sp. SUPER-H168. Process Biochem. 2013, 48, 351–357. [Google Scholar] [CrossRef]
- Moturi, B.; Singara Charya, M.A. Decolourisation of crystl violet and malachite green by fungi. Sci. World J. 2009, 4, 28–33. [Google Scholar] [CrossRef]
- Kumar, M.; Mishra, A.; Singh, S.S.; Srivastava, S.; Thakur, I.S. Expression and characterization of novel laccase gene from Pandoraea sp. ISTKB and its application. Int. J. Biol. Macromol. 2018, 115, 308–316. [Google Scholar] [CrossRef]
- Zheng, F.; Cui, B.K.; Wu, X.J.; Meng, G.; Liu, H.X.; Si, J. Immobilization of laccase onto chitosan beads to enhance its capability to degrade synthetic dyes. Int. Biodeterior. Biodegrad. 2016, 110, 69–78. [Google Scholar] [CrossRef]
- Guo, X.; Zhou, S.; Wang, Y.; Song, J.; Wang, H.; Kong, D.; Zhu, J.; Dong, W.; He, M.; Hu, G.; et al. Characterization of highly thermostable and organic solvent-tolerant copper-containing polyphenol oxidase with dye-decolorizing ability from Kurthia huakuii LAM0618. PLoS ONE 2016, 11, e0164810. [Google Scholar] [CrossRef]
- Forooranfar, H.; Moezzi, A.; Agheie-Khozani, M.; Mahmoudjanlou, Y.; Ameri, A.; Niknejad, F.; Faramarzi, M.A. Synthetic dye decolorization by three sources of fungal laccase. Iran. J. Environ. Health Sci. Eng. 2012, 9, 27. [Google Scholar] [CrossRef] [PubMed]
- Ademakinwa, A.N.; Agboola, F.K. Bioremediation of textile dye solutions, textile dye mixtures and textile effluents by laccase from Aureobasidium pullulans (de Bary) G. Arnaud (1918) (Fungi: Ascomycota). Braz. J. Biol. Sci. 2015, 2, 253–262. [Google Scholar]











| Name of Primers | Sequence (5′ → 3′) |
|---|---|
| For amplification | |
| ITS5 | GGAAGTAAAAGTCGTAACAAGG |
| LR6 | CGCCAGTTCTGCTTACC |
| RLR3 | GGTCCGTGTTTCAAGAC |
| V9 | TGCGTTGATTACGTCCCTGC |
| For sequencing | |
| NL1FWD | GCATATCAATAAGCGGAGGAAAAG |
| NL4REV | GGTCCGTGTTTCAAGACGG |
| ITS1 | TCCGTAGGTGAACCTGCGG |
| ITS4 | TCCTCCGCTTATTGATATGC |
| Sample | Total Activity (U) | Total Protein (mg) | Specific Activity (U/mg) | Yield (%) | Purification (fold) |
|---|---|---|---|---|---|
| Crude post-culture supernatant | 4.430 | 14.53 | 0.305 | 100% | - |
| 40% saturation of ammonium sulphate | 0.316 | 3.05 | 0.104 | 7% | 0.34 |
| 60% saturation of ammonium sulphate | 2.556 | 5.01 | 0.510 | 58% | 1.67 |
| 80% saturation of ammonium sulphate | 0.518 | 4.46 | 0.116 | 12% | 0.38 |
| Supernatant after salting out with 80% saturation | 0.189 | 1.03 | 0.184 | 4% | 0.60 |
| Dyes | Group | Chemical Structure | % Decolorization |
|---|---|---|---|
| Methylene blue | Heterocyclic/Thiazine dye | ![]() | 18.2 ± 2.5% |
| Alkaline fuchsin | Triphenylmethane dye and aniline dye | ![]() | 31.7 ± 3.3% |
| Crystal violet | Triphenylmethane dye | ![]() | 40.4 ± 7.0% |
| Coomassie Brilliant Blue R-250 | Triphenylmethane dye | ![]() | 19.8 ± 5.8% |
Publisher’s Note: MDPI stays neutral with regard to jurisdictional claims in published maps and institutional affiliations. |
© 2021 by the authors. Licensee MDPI, Basel, Switzerland. This article is an open access article distributed under the terms and conditions of the Creative Commons Attribution (CC BY) license (https://creativecommons.org/licenses/by/4.0/).
Share and Cite
Wiśniewska, K.M.; Twarda-Clapa, A.; Białkowska, A.M. Screening of Novel Laccase Producers—Isolation and Characterization of Cold-Adapted Laccase from Kabatiella bupleuri G3 Capable of Synthetic Dye Decolorization. Biomolecules 2021, 11, 828. https://doi.org/10.3390/biom11060828
Wiśniewska KM, Twarda-Clapa A, Białkowska AM. Screening of Novel Laccase Producers—Isolation and Characterization of Cold-Adapted Laccase from Kabatiella bupleuri G3 Capable of Synthetic Dye Decolorization. Biomolecules. 2021; 11(6):828. https://doi.org/10.3390/biom11060828
Chicago/Turabian StyleWiśniewska, Katarzyna M., Aleksandra Twarda-Clapa, and Aneta M. Białkowska. 2021. "Screening of Novel Laccase Producers—Isolation and Characterization of Cold-Adapted Laccase from Kabatiella bupleuri G3 Capable of Synthetic Dye Decolorization" Biomolecules 11, no. 6: 828. https://doi.org/10.3390/biom11060828
APA StyleWiśniewska, K. M., Twarda-Clapa, A., & Białkowska, A. M. (2021). Screening of Novel Laccase Producers—Isolation and Characterization of Cold-Adapted Laccase from Kabatiella bupleuri G3 Capable of Synthetic Dye Decolorization. Biomolecules, 11(6), 828. https://doi.org/10.3390/biom11060828




