Co-Therapy of Albendazole and Dexamethasone Reduces Pathological Changes in the Cerebral Parenchyma of Th-1 and Th-2 Dominant Mice Heavily Infected with Angiostrongylus cantonensis: Histopathological and RNA-seq Analyses
Abstract
1. Introduction
2. Materials and Methods
2.1. Parasite and Laboratory Animals
2.2. Experimental Infection
2.3. Drug Administration
2.4. Histopathological Examination
2.5. RNA-seq
2.6. Statistical Analysis
3. Results
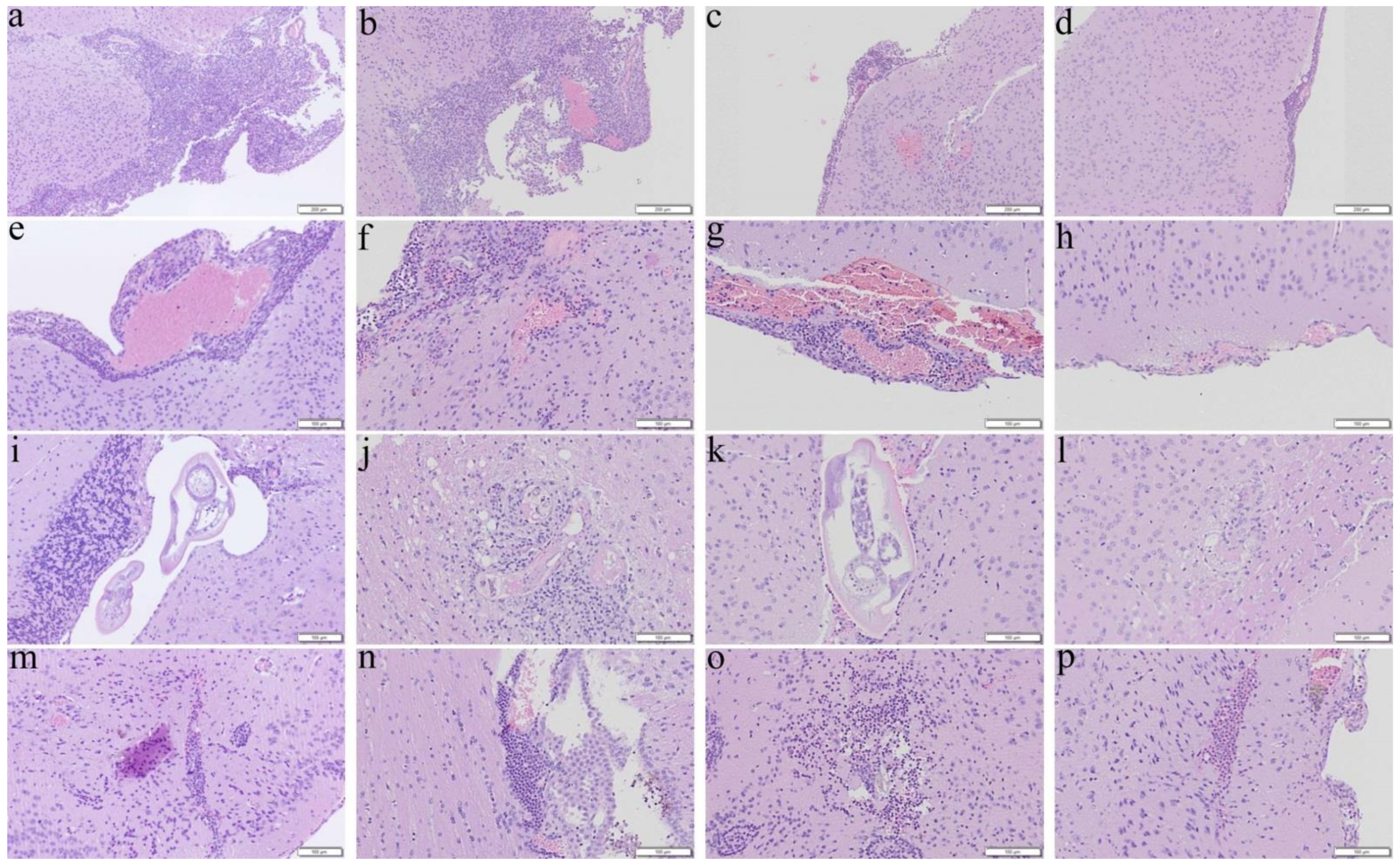
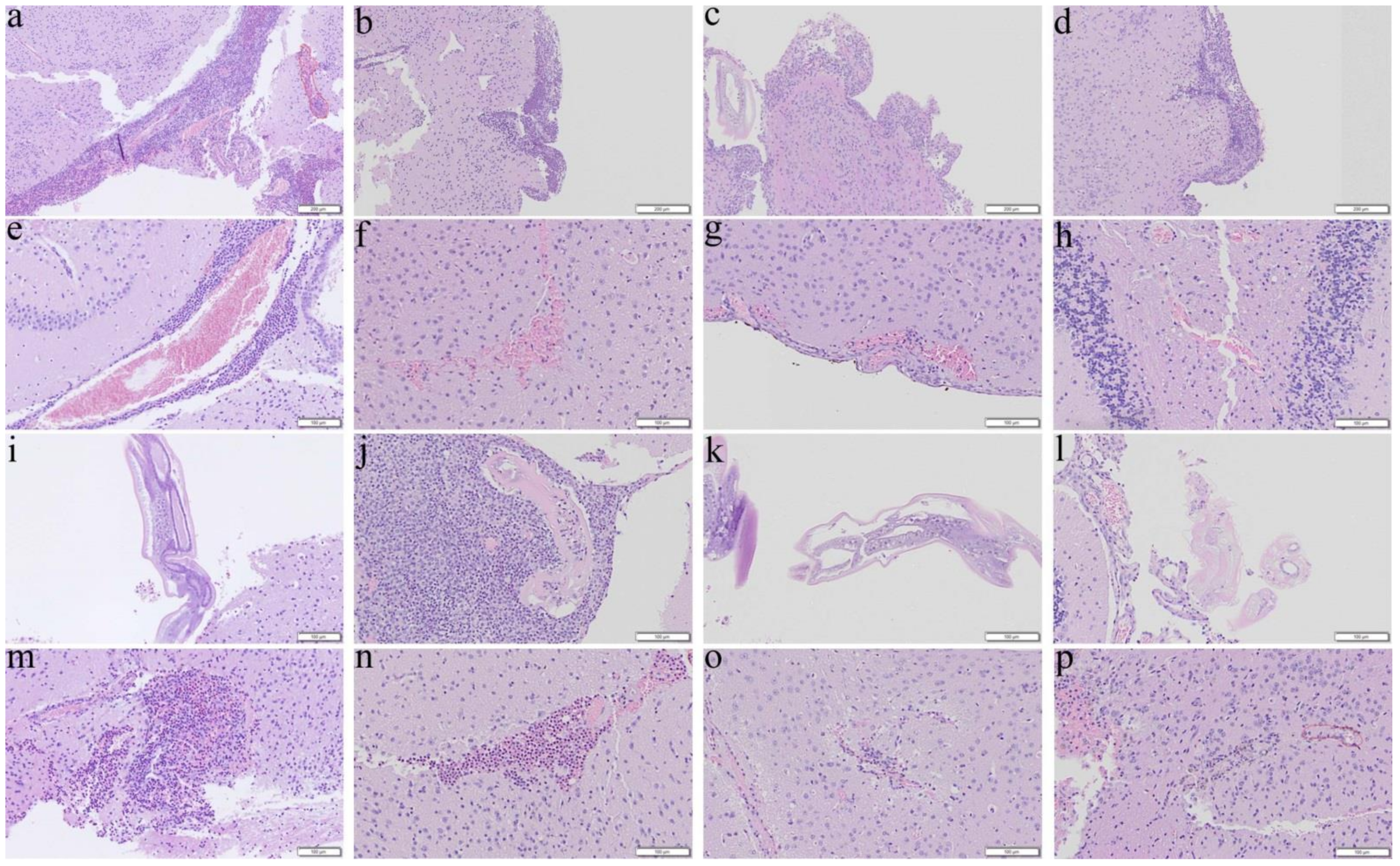
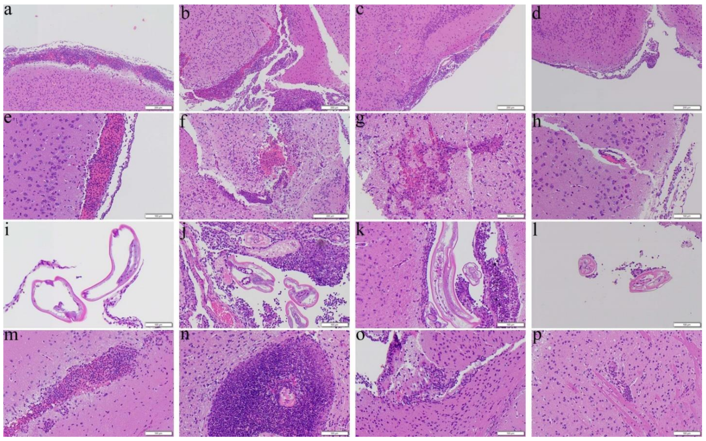
3.1. Pathological Changes
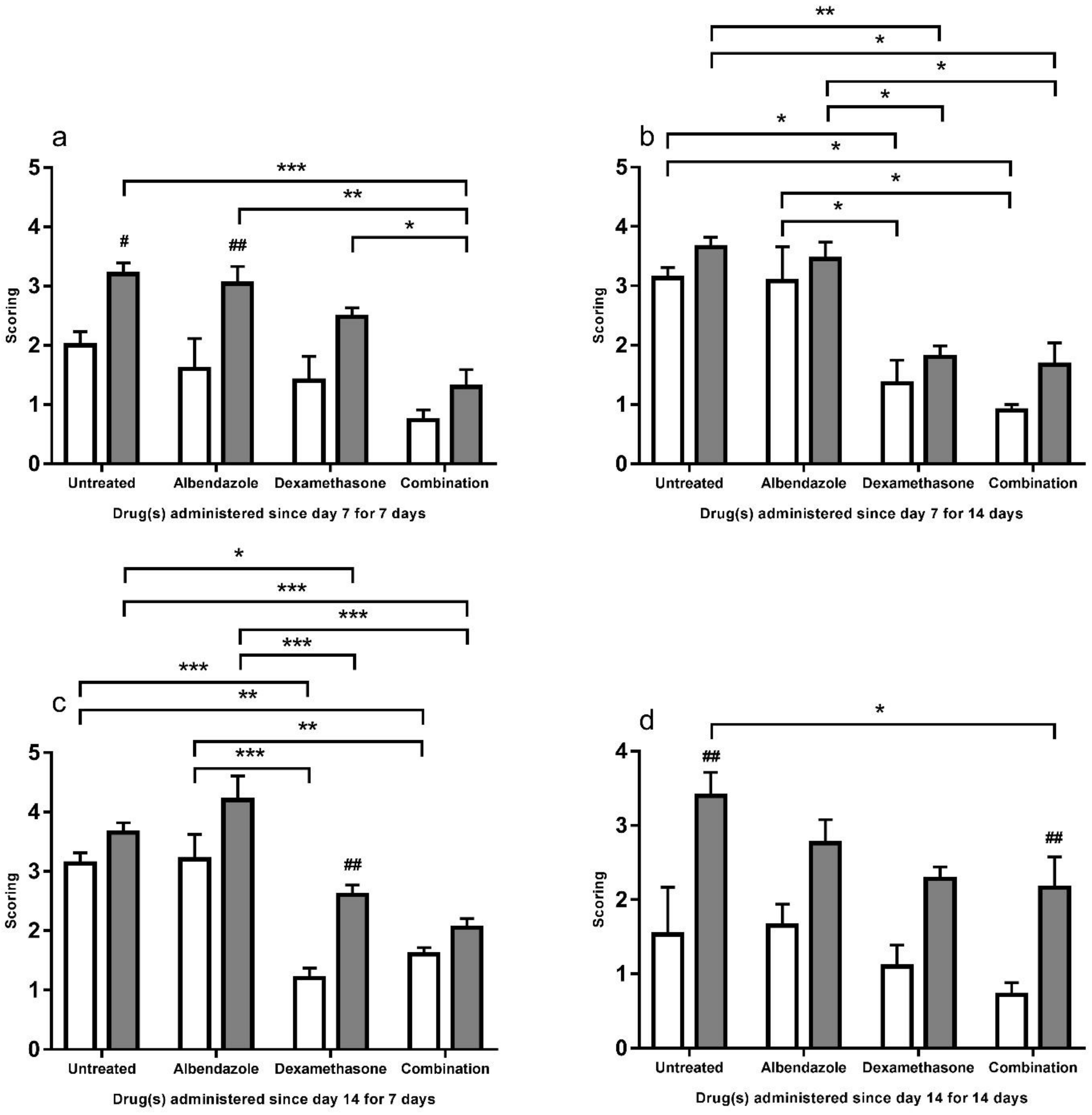
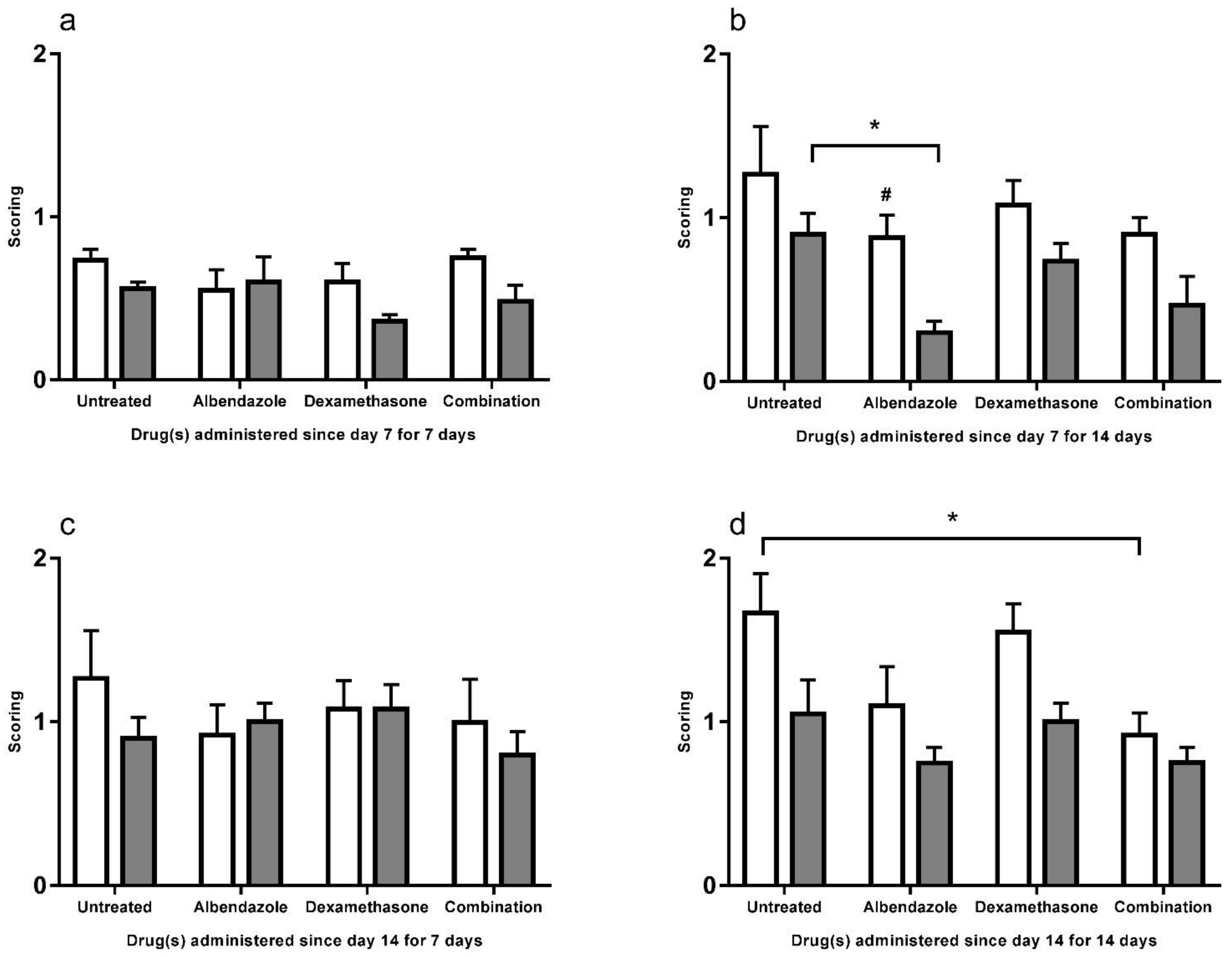
3.2. Scoring
3.3. RNA-seq
4. Discussion
5. Conclusions
Author Contributions
Funding
Institutional Review Board Statement
Data Availability Statement
Acknowledgments
Conflicts of Interest
References
- Wang, Q.P.; Lai, D.H.; Zhu, X.Q.; Chen, X.G.; Lun, Z.R. Human angiostrongyliasis. Lancet Infect. Dis. 2008, 8, 621–630. [Google Scholar] [CrossRef]
- Wang, Q.P.; Wu, Z.D.; Wei, J.; Owen, R.L.; Lun, Z.R. Human Angiostrongylus cantonensis: An update. Eur. J. Clin. Microbiol. Infect. Dis. 2012, 31, 389–395. [Google Scholar] [CrossRef] [PubMed]
- Barratt, J.; Chan, D.; Sandaradura, I.; Malik, R.; Spielman, D.; Lee, R.; Marriott, D.; Harkness, J.; Ellis, J.; Stark, D. Angiostrongylus cantonensis: A review of its distribution, molecular biology and clinical significance as a human pathogen. Parasitology 2016, 143, 1087–1118. [Google Scholar] [CrossRef] [PubMed]
- Murphy, G.S.; Johnson, S. Clinical aspects of eosinophilic meningitis and meningoencephalitis caused by Angiostrongylus cantonensis, the rat lungworm. Hawaii J. Med. Public Health 2013, 72 (Suppl. 2), 35–40. [Google Scholar]
- Hwang, K.P.; Chen, E.R. Larvicidal effect of albendazole against Angiostrongylus cantonensis in mice. Am. J. Trop. Med. Hyg. 1988, 39, 191–195. [Google Scholar] [CrossRef]
- Lan, K.P.; Wang, C.J.; Lai, S.C.; Chen, K.M.; Lee, S.S.; Hsu, J.D.; Lee, H.H. The efficacy of therapy with albendazole in mice with parasitic meningitis caused by Angiostrongylus cantonensis. Parasitol. Res. 2004, 93, 311–317. [Google Scholar] [CrossRef]
- Wang, L.C.; Jung, S.M.; Chen, C.C.; Wong, H.F.; Wan, D.P.; Wan, Y.L. Pathological changes in the brains of rabbits experimentally infected with Angiostrongylus cantonensis after albendazole treatment: Histopathological and magnetic resonance imaging studies. J. Antimicrob. Chemother. 2006, 57, 294–300. [Google Scholar] [CrossRef]
- Chen, K.M.; Lai, S.C. Biochemical and pathological evaluation of albendazole/thalidomide co-therapy against eosinophilic meningitis or meningoencephalitis induced by Angiostrongylus cantonensis. J. Antimicrob. Chemother. 2007, 59, 264–276. [Google Scholar] [CrossRef]
- He, H.J.; Lv, Z.Y.; Li, Z.Y.; Zhang, L.Y.; Liao, Q.; Zheng, H.Q.; Su, W.Y.; Rao, S.Q.; Yu, X.B.; Wu, Z.D. Efficacy of combined treatment with albendazole and baicalein against eosinophilic meningitis induced by Angiostrongylus cantonensis in mice. J. Helminthol. 2011, 85, 92–99. [Google Scholar] [CrossRef]
- Tu, W.C.; Lai, S.C. Angiostrongylus cantonensis: Efficacy of albendazole-dexamethasone co-therapy against infection-induced plasminogen activators and eosinophilic meningitis. Exp. Parasitol. 2006, 113, 8–15. [Google Scholar] [CrossRef]
- Tsai, H.C.; Lee, B.Y.; Yen, C.M.; Wann, S.R.; Lee, S.S.; Chen, Y.S. Dexamethasone inhibits brain apoptosis in mice with eosinophilic meningitis caused by Angiostrongylus cantonensis infection. Parasit. Vectors 2015, 8, 200. [Google Scholar] [CrossRef]
- Diao, Z.; Chen, X.; Yin, C.; Wang, J.; Qi, H.; Ji, A. Angiostrongylus cantonensis: Effect of combination therapy with albendazole and dexamethasone on Th cytokine gene expression in PBMC from patients with eosinophilic meningitis. Exp. Parasitol. 2009, 123, 1–5. [Google Scholar] [CrossRef]
- Diao, Z.; Wang, J.; Qi, H.; Li, X.; Zheng, X.; Yin, C. Treatment of angiostrongyliasis using a combination of albendazole and dexamethasone: The results of a retrospective and comparative study. Ann. Trop. Med. Parasitol. 2011, 105, 65–69. [Google Scholar] [CrossRef]
- Wang, L.C.; Jung, S.M.; Chen, K.Y.; Wang, T.Y.; Li, C.H. Temporal-spatial pathological changes in the brains of permissive and non-permissive hosts experimentally infected with Angiostrongylus cantonensis. Exp. Parasitol. 2015, 157, 177–184. [Google Scholar] [CrossRef]
- Wang, T.Y.; Chen, K.Y.; Jhan, K.Y.; Li, C.H.; Jung, S.M.; Wang, L.C. Temporal-spatial expressions of interleukin-4, interleukin-10, and interleukin-13 in the brains of C57BL/6 and BALB/c mice infected with Angiostrongylus cantonensis: An immunohistochemical study. J. Microbiol. Immunol. Infect. 2020, 53, 592–603. [Google Scholar] [CrossRef]
- Chen, X.; Oppenheim, J.J.; Howard, O.M. BALB/c mice have more CD4+CD25+ T regulatory cells and show greater susceptibility to suppression of their CD4+CD25- responder T cells than C57BL/6 mice. J. Leukoc. Biol. 2005, 78, 114–121. [Google Scholar] [CrossRef]
- Jovicic, N.; Jeftic, I.; Jovanovic, I.; Radosavljevic, G.; Arsenijevic, N.; Lukic, M.L.; Pejnovic, N. Differential immunometabolic phenotype in Th1 and Th2 dominant mouse strains in response to high-fat feeding. PLoS One 2015, 10, e0134089. [Google Scholar] [CrossRef]
- Sahraeian, S.M.E.; Mohiyuddin, M.; Sebra, R.; Tilgner, H.; Afshar, P.T.; Au, K.F.; Bani Asadi, N.; Gerstein, M.B.; Wong, W.H.; Snyder, M.P.; et al. Gaining comprehensive biological insight into the transcriptome by performing a broad-spectrum RNA-seq analysis. Nat. Commun. 2017, 8, 59. [Google Scholar] [CrossRef]
- Saliba, A.E.; Santos, C.S.; Vogel, J. New RNA-seq approaches for the study of bacterial pathogens. Curr. Opin. Microbiol. 2017, 35, 78–87. [Google Scholar] [CrossRef]
- Cristinelli, S.; Ciuffi, A. The use of single-cell RNA-Seq to understand virus-host interactions. Curr. Opin. Virol. 2018, 29, 39–50. [Google Scholar] [CrossRef]
- Li, R.W.; Choudhary, R.K.; Capuco, A.V.; Urban, J.F., Jr. Exploring the host transcriptome for mechanisms underlying protective immunity and resistance to nematode infections in ruminants. Vet. Parasitol. 2012, 190, 1–11. [Google Scholar] [CrossRef] [PubMed]
- Ansell, B.R.; Schnyder, M.; Deplazes, P.; Korhonen, P.K.; Young, N.D.; Hall, R.S. Insights into the immuno-molecular biology of Angiostrongylus vasorum through transcriptomics—prospects for new interventions. Biotechnol. Adv. 2015, 31, 1486–1500. [Google Scholar] [CrossRef] [PubMed]
- Leprohon, P.; Fernandez-Prada, C.; Gazanion, É.; Monte-Neto, R.; Ouellette, M. Drug resistance analysis by next generation sequencing in Leishmania. Int. J. Parasitol. Drugs. Drug. Resist. 2014, 5, 26–35. [Google Scholar] [CrossRef] [PubMed]
- Kimenyi, K.M.; Wamae, K.; Ochola-Oyier, L.I. Understanding Plasmodium falciparum asymptomatic infections: A proposition for a transcriptomic approach. Front. Immunol. 2019, 10, 2398. [Google Scholar] [CrossRef]
- Oliveira, A.E.R.; Grazielle-Silva, V.; Ferreira, L.R.P.; Teixeira, S.M.R. Close encounters between Trypanosoma cruzi and the host mammalian cell: Lessons from genome-wide expression studies. Genomics 2020, 112, 990–997. [Google Scholar] [CrossRef]
- Chen, K.Y.; Chiu, C.H.; Wang, L.C. Anti-apoptotic effects of Sonic hedgehog signalling through oxidative stress reduction in astrocytes co-cultured with excretory-secretory products of larval Angiostrongylus cantonensis. Sci. Rep. 2017, 7, 41574. [Google Scholar] [CrossRef]
- Jones, A.R.; Overly, C.C.; Sunkin, S.M. The Allen Brain Atlas: 5 years and beyond. Nat. Rev. Neurosci. 2009, 10, 821–828. [Google Scholar] [CrossRef]
- Anders, S.; McCarthy, D.J.; Chen, Y.; Okoniewski, M.; Smyth, G.K.; Huber, W.; Robinson, M.D. Count-based differential expression analysis of RNA sequencing data using R and Bioconductor. Nat. Protoc. 2013, 8, 1765–1786. [Google Scholar] [CrossRef]
- Li, B.; Dong, C.; Li, P.; Ren, Z.; Wang, H.; Yu, F.; Ning, C.; Liu, K.; Wei, W.; Huang, R.; et al. Identification of candidate genes associated with porcine meat color traits by genome-wide transcriptome analysis. Sci. Rep. 2016, 6, 35224. [Google Scholar] [CrossRef]
- Maza, E. In papyro comparison of TMM (edgeR), RLE (DESeq2), and MRN normalization methods for a simple two-conditions-without-replicates RNA-seq experimental design. Front. Genet. 2016, 7, 164. [Google Scholar] [CrossRef]
- Rosen, L.; Chappell, R.; Laqueur, G.L.; Laqueur, G.L.; Wallace, G.D.; Weinstein, P.P. Eosinophilic meningoencephalitis caused by a metastrongylid lung-worm of rats. JAMA 1962, 179, 620–624. [Google Scholar] [CrossRef]
- Sonakul, D. Pathological findings in four cases of human angiostrongyliasis. Southeast Asian J. Trop. Med. Public Health 1978, 9, 220–227. [Google Scholar]
- Witoonpanich, R.; Chuahirun, S.; Soranastaporn, S.; Rojanasunan, P. Eosinophilic myelomeningo-encephalitis caused by Angiostrongylus cantonensis: A report of three cases. Southeast Asian J. Trop. Med. Public Health 1991, 22, 262–267. [Google Scholar]
- Cooke-Yarborough, C.M.; Kornberg, A.J.; Hogg, G.G.; Spratt, D.M.; Forsyth, J.R. A fatal case of angiostrongyliasis in an 11-month-old infant. Med. J. Aust. 1999, 170, 541–543. [Google Scholar] [CrossRef]
- Lindo, J.F.; Escoffery, C.T.; Reid, B.; Codrington, G.; Cunningham-Myrie, C.; Eberhard, M.L. Fatal autochthonous eosinophilic meningitis in a Jamaican child caused by Angiostrongylus cantonensis. Am. J. Trop. Med. Hyg. 2004, 70, 425–428. [Google Scholar] [CrossRef]
- Morton, N.J.; Britton, P.; Palasanthiran, P.; Bye, A.; Sugo, E.; Kesson, A.; Marriott, D.; Harkness, J.; Ellis, J.; Stark, D. Severe hemorrhagic meningoencephalitis due to Angiostrongylus cantonensis among young children in Sydney, Australia. Clin. Infect. Dis. 2013, 57, 1158–1161. [Google Scholar] [CrossRef]
- Shibahara, T.; Kokuho, T.; Eto, M.; Haritani, M.; Hamaoka, T.; Shimura, K.; Nakamura, K.; Yokomizo, Y.; Yamane, I. Pathological and immunological findings of athymic nude and congenic wild type BALB/c mice experimentally infected with Neospora caninum. Vet. Pathol. 1999, 36, 321–327. [Google Scholar] [CrossRef]
- Grafe, M.R.; Woodworth, K.N.; Noppens, K.; Perez-Polo, J.R. Long-term histological outcome after post-hypoxic treatment with 100% or 40% oxygen in a model of perinatal hypoxic-ischemic brain injury. Int. J. Dev. Neurosci. 2008, 26, 119–124. [Google Scholar] [CrossRef]
- OuYang, L.; Wei, J.; Wu, Z.; Zeng, X.; Li, Y.; Jia, Y. Differences of larval development and pathological changes in permissive and nonpermissive rodent hosts for Angiostrongylus cantonensis infection. Parasitol Res. 2012, 111, 1547–1557. [Google Scholar] [CrossRef]
- Martins, Y.C.; Tanowitz, H.B.; Kazacos, K.R. Central nervous system manifestations of Angiostrongylus cantonensis infection. Acta Trop. 2015, 141, 46–53. [Google Scholar] [CrossRef]
- Hwang, K.P.; Chen, E.R. Anthelmintic effect of levamisole against Angiostrongylus cantonensis in mice. Kaohsiung. J. Med. Sci. 1994, 10, 536–542. [Google Scholar]
- Wang, J.; Wei, J.; Zeng, X.; Liang, J.Y.; Wu, F.; Li, Z.Y. Efficacy of tribendimidine against Angiostrongylus cantonensis infection in the mice. Parasitol. Res. 2013, 112, 1039–1046. [Google Scholar] [CrossRef] [PubMed]
- Maki, J.; Yanagisawa, T. Studies on anthelmintic effects of flubendazole and mebendazole on the rat lungworm Angiostrongylus cantonensis in mice and rats. J. Parasitol. 1986, 72, 512–516. [Google Scholar] [CrossRef] [PubMed]
- Maki, J.; Yanagisawa, T. Larvicidal effect of flubendazole on Angiostrongylus cantonensis in mice with various worm burdens. J. Helminthol. 1985, 59, 301–302. [Google Scholar] [CrossRef] [PubMed]
- Venkatesan, P. Albendazole. J. Antimicrob. Chemother. 1998, 41, 145–147. [Google Scholar] [CrossRef] [PubMed]
- John, D.T.; Martinez, A.J. Animal model of human disease. Central nervous system infection with the nematode Angiostrongylus cantonenis. Animal model: Eosinophilic meningoencephalitis in mice infected with Angiostrongylus cantonensis. Am. J. Pathol. 1975, 80, 345–348. [Google Scholar] [PubMed]
- Lan, K.P.; Wang, C.J.; Hsu, J.D.; Chen, K.M.; Lai, S.C.; Lee, H.H. Induced eosinophilia and proliferation in Angiostrongylus cantonensis-infected mouse brain are associated with the induction of JAK/STAT1, IAP/NF-kappaB and MEKK1/JNK signals. J. Helminthol. 2004, 78, 311–317. [Google Scholar] [CrossRef]
- Feng, F.; Feng, Y.; Liu, Z.; Li, W.H.; Wang, W.C.; Wu, Z.D.; Lv, Z. Effects of albendazole combined with TSII-A (a Chinese herb compound) on optic neuritis caused by Angiostrongylus cantonensis in BALB/c mice. Parasit. Vectors 2015, 8, 1–8. [Google Scholar] [CrossRef]
- Rothenberg, M.E. Eosinophilia. N. Engl. J. Med. 1998, 338, 1592–1600. [Google Scholar] [CrossRef]
- Chotmongkol, V.; Sawanyawisuth, K.; Thavornpitak, Y. Corticosteroid treatment of eosinophilic meningitis. Clin. Infect. Dis. 2000, 31, 660–662. [Google Scholar] [CrossRef]
- Sawanyawisuth, K.; Limpawattana, P.; Busaracome, P.; Ninpaitoon, B.; Chotmongkol, V.; Intapan, P.M.; Tanawirattananit, S. A 1-week course of corticosteroids in the treatment of eosinophilic meningitis. Am. J. Med. 2004, 117, 802–803. [Google Scholar] [CrossRef]
- Liu, Z.; Wu, Y.; Feng, Y.; Wu, F.; Liu, R.F.; Wang, L.F.; Liang, J.Y.; Liu, J.H.; Sun, X.; Wu, Z.D. Spleen atrophy related immune system changes attributed to infection of Angiostrongylus cantonensis in mouse model. Parasitol. Res. 2016, 116, 577–587. [Google Scholar] [CrossRef]
- Chen, A.L.; Sun, X.; Wang, W.; Liu, J.F.; Zeng, X.; Qiu, J.F.; Liu, X.J.; Wang, Y. Activation of the hypothalamic-pituitary-adrenal (HPA) axis contributes to the immunosuppression of mice infected with Angiostrongylus cantonensis. J. Neuroinflamm. 2016, 13, 266. [Google Scholar] [CrossRef]
- Howe, K. A severe case of rat lungworm disease in Hawa’i. Hawaii J. Med. Public Health 2013, 72 (Suppl. 2), 46–48. [Google Scholar]
- Jung, H.; Hurtado, M.; Medina, M.T.; Sanchez, M.; Sotelo, J. Dexamethasone increases plasma levels of albendazole. J. Neurol. 1990, 237, 279–280. [Google Scholar] [CrossRef]
- Yoshimura, K.; Sugaya, H.; Ishigooka, S. The influence of Mesocestoides corti on subsequent Angiostrongylus cantonensis infections in mice. Int. J. Parasitol. 1992, 22, 739–746. [Google Scholar] [CrossRef]
- Sugaya, H.; Aoki, M.; Abe, T.; Ishida, K.; Yoshimura, K. Cytokine responses in mice infected with Angiostrongylus cantonensis. Parasitol. Res. 1997, 83, 10–15. [Google Scholar] [CrossRef]
- Aoki, M.; Sugaya, H.; Ishida, K.; Yoshimura, K. The role of CD4+ and CD8+ T-cells in host morbidity and innate resistance to Angiostrongylus cantonensis in the mouse. Parasitol. Res. 1998, 84, 91–99. [Google Scholar] [CrossRef]
- Torshizi, A.D.; Wang, W. Next-generation sequencing in drug development: Target identification and genetically stratified clinical trials. Drug Discov. Today 2018, 23, 1776–1783. [Google Scholar] [CrossRef]
- Tessema, S.K.; Raman, J.; Duffy, C.W.; Ishengoma, D.S.; Amambua-Ngwa, A.; Greenhouse, B. Applying next-generation sequencing to track falciparum malaria in sub-Saharan Africa. Malar. J. 2019, 18, 268. [Google Scholar] [CrossRef]
- Ishengoma, D.S.; Saidi, Q.; Sibley, C.H.; Roper, C.; Alifrangis, M. Deployment and utilization of next-generation sequencing of Plasmodium falciparum to guide anti-malarial drug policy decisions in sub-Saharan Africa: Opportunities and challenges. Malar. J. 2019, 18, 267. [Google Scholar] [CrossRef]
- Salouci, M.; Antoine, N.; Sook, M.K.S.A.; Piret, J.; Mignon, Y.; Kirschvink, N.; Gabriel, A. Developmental profiles of GFAP-positive astrocytes in sheep cerebellum. Vet. Res. Commun. 2014, 38, 279–285. [Google Scholar] [CrossRef]
- Chung, L.Y.; Chen, C.H.; Wang, L.C.; Chang, S.J.; Yen, C.M. Oxidative stress in mice infected with Angiostrongylus cantonensis coincides with enhanced glutathione-dependent enzymes activity. Exp. Parasitol. 2010, 126, 178–183. [Google Scholar] [CrossRef]
- Yu, L.; Wu, X.; Wei, J.; Liao, Q.; Xu, L.; Luo, S.; Zeng, X.; Zhao, Y.; Lv, Z.; Wu, Z. Preliminary expression profile of cytokines in brain tissue of BALB/c mice with Angiostrongylus cantonensis infection. Parasit. Vectors 2015, 8, 328. [Google Scholar] [CrossRef]
- Wan, S.; Sun, X.; Feng, W.; Yu, Z.; Wang, L.; Lin, D.; Li, Z.; Wu, Z.; Sun, X. Chi3l3: A potential key orchestrator of eosinophil recruitment in meningitis induced by Angiostrongylus cantonensis. J. Neuroinflammation 2018, 15, 31. [Google Scholar] [CrossRef]
















Publisher’s Note: MDPI stays neutral with regard to jurisdictional claims in published maps and institutional affiliations. |
© 2021 by the authors. Licensee MDPI, Basel, Switzerland. This article is an open access article distributed under the terms and conditions of the Creative Commons Attribution (CC BY) license (https://creativecommons.org/licenses/by/4.0/).
Share and Cite
Jhan, K.-Y.; Cheng, C.-J.; Jung, S.-M.; Lai, Y.-J.; Chen, K.-Y.; Wang, L.-C. Co-Therapy of Albendazole and Dexamethasone Reduces Pathological Changes in the Cerebral Parenchyma of Th-1 and Th-2 Dominant Mice Heavily Infected with Angiostrongylus cantonensis: Histopathological and RNA-seq Analyses. Biomolecules 2021, 11, 536. https://doi.org/10.3390/biom11040536
Jhan K-Y, Cheng C-J, Jung S-M, Lai Y-J, Chen K-Y, Wang L-C. Co-Therapy of Albendazole and Dexamethasone Reduces Pathological Changes in the Cerebral Parenchyma of Th-1 and Th-2 Dominant Mice Heavily Infected with Angiostrongylus cantonensis: Histopathological and RNA-seq Analyses. Biomolecules. 2021; 11(4):536. https://doi.org/10.3390/biom11040536
Chicago/Turabian StyleJhan, Kai-Yuan, Chien-Ju Cheng, Shih-Ming Jung, Yi-Jen Lai, Kuang-Yao Chen, and Lian-Chen Wang. 2021. "Co-Therapy of Albendazole and Dexamethasone Reduces Pathological Changes in the Cerebral Parenchyma of Th-1 and Th-2 Dominant Mice Heavily Infected with Angiostrongylus cantonensis: Histopathological and RNA-seq Analyses" Biomolecules 11, no. 4: 536. https://doi.org/10.3390/biom11040536
APA StyleJhan, K.-Y., Cheng, C.-J., Jung, S.-M., Lai, Y.-J., Chen, K.-Y., & Wang, L.-C. (2021). Co-Therapy of Albendazole and Dexamethasone Reduces Pathological Changes in the Cerebral Parenchyma of Th-1 and Th-2 Dominant Mice Heavily Infected with Angiostrongylus cantonensis: Histopathological and RNA-seq Analyses. Biomolecules, 11(4), 536. https://doi.org/10.3390/biom11040536
