Medial Temporal Lobe Involvement in Human Prion Diseases: Implications for the Study of Focal Non Prion Neurodegenerative Pathology
Abstract
1. Introduction
2. Materials and Methods
2.1. Neuropathological Procedures
2.2. Genotyping
2.3. Molecular Typing of PrPres
2.4. Case Series and Classification
2.5. Anatomical Regions and Morphological Variables
- Spongiosis, intensity (Si), scored from 0 to 4. For CA1–3 sectors of the hippocampus, intensity of spongiosis was registered separately for the pyramidal layer (stratum pyramidale) and for the superficial layers of the cortex (stratum lacunosum-moleculare, stratum radiatum, and stratum lucidum).
- Vacuolation (type): only small vacuoles (1), only medium size to large vacuoles (2), predominantly small vacuoles (3), predominantly medium size to large vacuoles (4), minimal vacuolation (5).
- Astrogliosis, intensity (Ag), scored from 0 to 4.
- Average intensity of involvement (Ai): Si + Ag/2. For CA sectors of the hippocampus, Si score for the pyramidal layer was selected.
- Ballooned neurons (frequency), scored from 0 to 3. This variable was only assessed in amygdala and entorhinal cortex sections.
- Laminar spongiosis: presence of laminar spongiosis, and cortical layers involved by spongiosis with a laminar distribution (assessment limited to the entorhinal cortex).
2.6. Statistics
2.7. Ethical and Legal Issues
3. Results
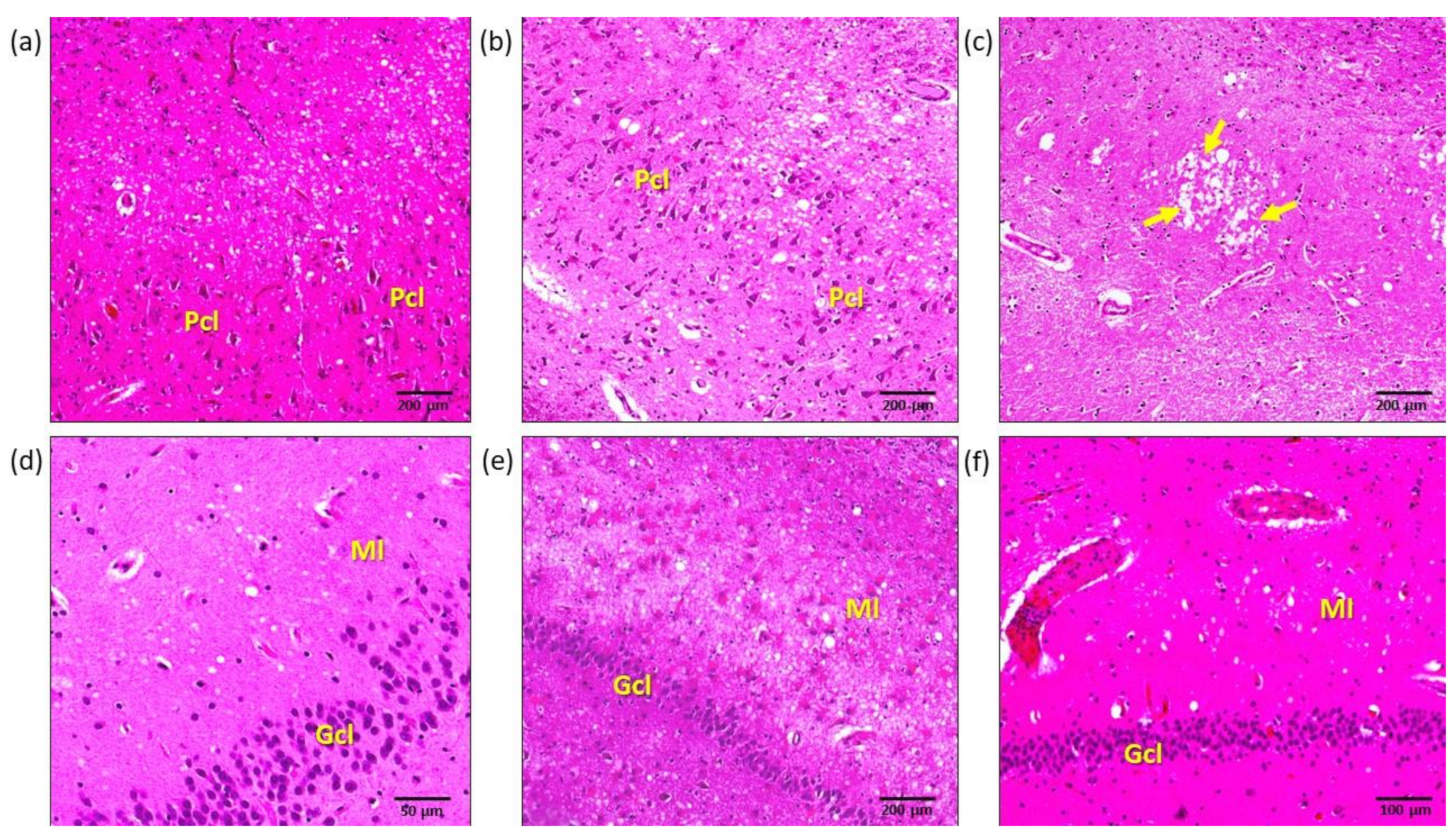
3.1. Amygdala
3.2. Entorhinal Cortex
3.3. Presubiculum and Subiculum
3.4. CA1 to CA4 Sectors of the Hippocampus
3.5. Dentate Gyrus
3.6. Vacuolation Pattern
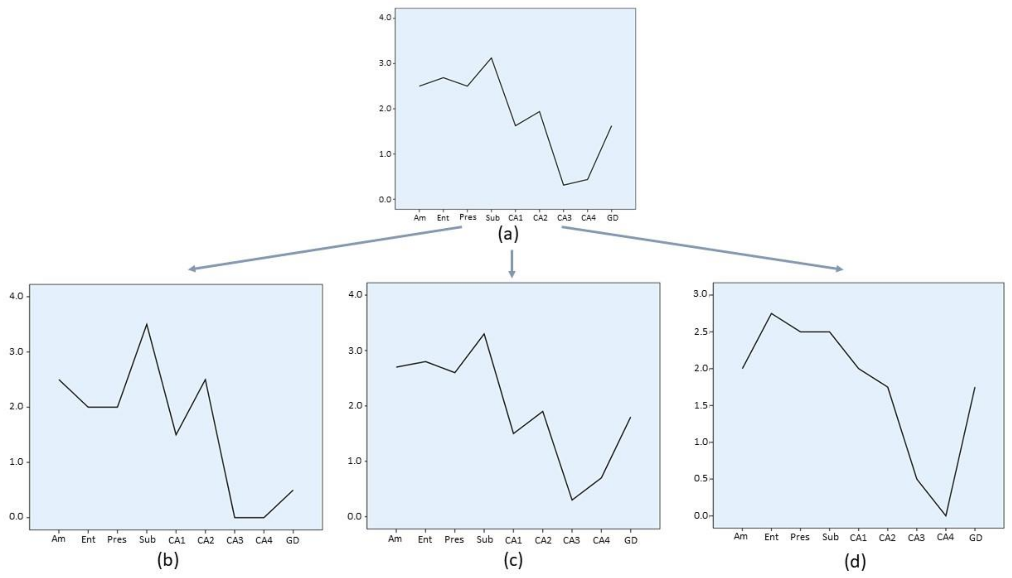
3.7. Lesion Profiles
4. Discussion
5. Conclusions
Author Contributions
Funding
Institutional Review Board Statement
Informed Consent Statement
Data Availability Statement
Acknowledgments
Conflicts of Interest
References
- Stopschinski, B.E.; Diamond, M.I. The prion model for progression and diversity of neurodegenerative diseases. Lancet Neurol. 2017, 16, 323–332. [Google Scholar] [CrossRef]
- Soto, C.; Pritzkow, S. Protein misfolding, aggregation, and conformational strains in neurodegenerative diseases. Nat. Neurosci. 2018, 21, 1332–1340. [Google Scholar] [CrossRef]
- Scheckel, C.; Aguzzi, A. Prions, prionoids and protein misfolding disorders. Nat. Rev. Genet. 2018, 19, 405–418. [Google Scholar] [CrossRef] [PubMed]
- Jaunmuktane, Z.; Mead, S.; Ellis, M.; Wadsworth, J.D.F.; Nicoll, A.J.; Kenny, J.; Launchbury, F.; Linehan, J.M.; Richard-Loendt, A.; Walker, A.S.; et al. Evidence for human transmission of amyloid-β pathology and cerebral amyloid angiopathy. Nat. Cell Biol. 2015, 525, 247–250. [Google Scholar] [CrossRef]
- Cali, I.; Cohen, M.L.; Haïk, S.; Parchi, P.; Giaccone, G.; Collins, S.J.; Kofskey, D.; Wang, H.; McLean, C.A.; Brandel, J.-P.; et al. Iatrogenic Creutzfeldt-Jakob disease with Amyloid-β pathology: An international study. Acta Neuropathol. Commun. 2018, 6, 5. [Google Scholar] [CrossRef]
- Sigurdson, C.J.; Bartz, J.C.; Glatzel, M. Cellular and Molecular Mechanisms of Prion Disease. Annu. Rev. Pathol. Mech. Dis. 2019, 14, 497–516. [Google Scholar] [CrossRef]
- Baiardi, S.; Rossi, M.; Capellari, S.; Parchi, P. Recent advances in the histo-molecular pathology of human prion disease. Brain Pathol. 2018, 29, 278–300. [Google Scholar] [CrossRef]
- Fu, H.; Hardy, J.; Duff, K.E. Selective vulnerability in neurodegenerative diseases. Nat. Neurosci. 2018, 21, 1350–1358. [Google Scholar] [CrossRef] [PubMed]
- Warren, J.D.; Rohrer, J.D.; Schott, J.M.; Fox, N.C.; Hardy, J.; Rossor, M.N. Molecular nexopathies: A new paradigm of neurodegenerative disease. Trends Neurosci. 2013, 36, 561–569. [Google Scholar] [CrossRef] [PubMed]
- Squire, L.R.; Stark, C.E.L.; Clark, R.E. The medial temporal lobe. Annu. Rev. Neurosci. 2004, 27, 279–306. [Google Scholar] [CrossRef]
- Braak, H.; Alafuzoff, I.; Arzberger, T.; Kretzschmar, H.; Del Tredici, K. Staging of Alzheimer disease-associated neurofibrillary pathology using paraffin sections and immunocytochemistry. Acta Neuropathol. 2006, 112, 389–404. [Google Scholar] [CrossRef] [PubMed]
- Outeiro, T.F.; Koss, D.J.; Erskine, D.; Walker, L.; Kurzawa-Akanbi, M.; Burn, D.; Donaghy, P.; Morris, C.; Taylor, J.-P.; Thomas, A.; et al. Dementia with Lewy bodies: An update and outlook. Mol. Neurodegener. 2019, 14, 5. [Google Scholar] [CrossRef] [PubMed]
- Lace, G.; Savva, G.M.; Forster, G.; De Silva, R.; Brayne, C.; Matthews, F.E.; Barclay, J.J.; Dakin, L.; Ince, P.G.; Wharton, S.B. Hippocampal tau pathology is related to neuroanatomical connections: An ageing population-based study. Brain 2009, 132, 1324–1334. [Google Scholar] [CrossRef] [PubMed]
- Uchikado, H.; Lin, W.-L.; DeLucia, M.W.; Dickson, D.W. Alzheimer Disease with Amygdala Lewy Bodies. J. Neuropathol. Exp. Neurol. 2006, 65, 685–697. [Google Scholar] [CrossRef] [PubMed]
- Braak, H.; Braak, E. Argyrophilic grains: Characteristic pathology of cerebral cortex in cases of adult onset dementia without Alzheimer changes. Neurosci. Lett. 1987, 76, 124–127. [Google Scholar] [CrossRef]
- Crary, J.F.; Trojanowski, J.Q.; Schneider, J.A.; Abisambra, J.F.; Abner, E.L.; Alafuzoff, I.; Arnold, S.E.; Attems, J.; Beach, T.G.; Bigio, E.H.; et al. Primary age-related tauopathy (PART): A common pathology associated with human aging. Acta Neuropathol. 2014, 128, 755–766. [Google Scholar] [CrossRef]
- Kovacs, G.G.; Ferrer, I.; Grinberg, L.T.; Alafuzoff, I.; Attems, J.; Budka, H.; Cairns, N.J.; Crary, J.F.; Duyckaerts, C.; Ghetti, B.; et al. Aging-related tau astrogliopathy (ARTAG): Harmonized evaluation strategy. Acta Neuropathol. 2016, 131, 87–102. [Google Scholar] [CrossRef]
- Nelson, P.T.; Dickson, D.W.; Trojanowski, J.Q.; Jack, C.R.; Boyle, P.A.; Arfanakis, K.; Rademakers, R.; Alafuzoff, I.; Attems, J.; Brayne, C.; et al. Limbic-predominant age-related TDP-43 encephalopathy (LATE): Consensus working group report. Brain 2019, 142, 1503–1527. [Google Scholar] [CrossRef]
- Parchi, P.; Giese, A.; Capellari, S.; Brown, P.; Schulz-Schaeffer, W.; Windl, O.; Zerr, I.; Budka, H.; Kopp, N.; Piccardo, P.; et al. Classification of sporadic Creutzfeldt-Jakob disease based on molecular and phenotypic analysis of 300 subjects. Ann. Neurol. 1999, 46, 224–233. [Google Scholar] [CrossRef]
- Guía de Creutzfeldt-Jakob y otras EETH. Available online: https://www.mscbs.gob.es/ciudadanos/enfLesiones/enfTransmisibles/vacasLocas/jakob.htm (accessed on 23 January 2021).
- Ritchie, D.L.; Ironside, J.W. Neuropathology of Human Prion Diseases. Prog. Mol. Biol. Transl. Sci. 2017, 150, 319–339. [Google Scholar] [CrossRef]
- Calero, O.; Hortigüela, R.; Albo, C.; De Pedro-Cuesta, J.; Calero, M. Allelic discrimination of genetic human prion diseases by real-time PCR genotyping. Prion 2009, 3, 146–150. [Google Scholar] [CrossRef][Green Version]
- Hill, A.F.; Joiner, S.; Beck, J.A.; Campbell, T.A.; Dickinson, A.; Poulter, M.; Wadsworth, J.D.F.; Collinge, J. Distinct glycoform ratios of protease resistant prion protein associated with PRNP point mutations. Brain 2006, 129, 676–685. [Google Scholar] [CrossRef] [PubMed]
- Schaller, O.; Fatzer, R.; Stack, M.; Clark, J.; Cooley, W.; Biffiger, K.; Egli, S.; Doherr, M.; Vandevelde, M.; Heim, D.; et al. Validation of a western immunoblotting procedure for bovine PrP(Sc) detection and its use as a rapid surveillance method for the diagnosis of bovine spongiform encephalopathy (BSE). Acta Neuropathol. 1999, 98, 437–443. [Google Scholar] [CrossRef] [PubMed]
- Parchi, P.; Capellari, S.; Chen, S.G.; Petersen, R.B.; Gambetti, P.; Kopp, N.; Brown, P.D.; Kitamoto, T.; Tateishi, J.; Giese, A.; et al. Typing prion isoforms. Nat. Cell Biol. 1997, 386, 232–233. [Google Scholar] [CrossRef] [PubMed]
- Parchi, P.; Strammiello, R.; Notari, S.; Giese, A.; Langeveld, J.P.M.; Ladogana, A.; Zerr, I.; Roncaroli, F.; Cras, P.; Ghetti, B.; et al. Incidence and spectrum of sporadic Creutzfeldt–Jakob disease variants with mixed phenotype and co-occurrence of PrPSc types: An updated classification. Acta Neuropathol. 2009, 118, 659–671. [Google Scholar] [CrossRef]
- Jones, E.; Mead, S. Genetic risk factors for Creutzfeldt-Jakob disease. Neurobiol. Dis. 2020, 142, 104973. [Google Scholar] [CrossRef]
- Hill, A.F.; Joiner, S.; Wadsworth, J.D.F.; Sidle, K.C.L.; Bell, J.E.; Budka, H.; Ironside, J.W.; Collinge, J. Molecular classification of sporadic Creutzfeldt–Jakob disease. Brain 2003, 126, 1333–1346. [Google Scholar] [CrossRef] [PubMed]
- Masullo, C.; Macchi, G. Resistance of the hippocampus in Creutzfeldt-Jakob disease. Clin. Neuropathol. 1997, 16, 37–44. [Google Scholar] [PubMed]
- Kaneko, M.; Sugiyama, N.; Sasayama, D.; Yamaoka, K.; Miyakawa, T.; Arima, K.; Tsuchiya, K.; Hasegawa, K.; Washizuka, S.; Hanihara, T.; et al. Prion disease causes less severe lesions in human hippocampus than other parts of brain. Psychiatr. Clin. Neurosci. 2008, 62, 264–270. [Google Scholar] [CrossRef] [PubMed]
- Martinez-Saez, E.; Gelpi, E.; Rey, M.J.; Ferrer, I.; Ribalta, T.; Botta-Orfila, T.; Nos, C.; Yagüe, J.; Sánchez-Valle, R. Hirano body-rich subtypes of Creutzfeldt-Jakob disease. Neuropathol. Appl. Neurobiol. 2012, 38, 153–161. [Google Scholar] [CrossRef] [PubMed]
- Armstrong, R.A.; Cairns, N.J. Comparative quantitative study of ‘signature’ pathological lesions in the hippocampus and adjacent gyri of 12 neurodegenerative disorders. J. Neural Transm. 2015, 122, 1355–1367. [Google Scholar] [CrossRef][Green Version]
- Armstrong, R.A.; Cairns, N.J.; Ironside, J.W.; Lantos, P.L. The spatial patterns of prion protein deposits in cases of variant Creutzfeldt-Jakob disease. Acta Neuropathol. 2002, 104, 665–669. [Google Scholar] [CrossRef] [PubMed]
- Insausti, R.; Muñoz-López, M.; Insausti, A.M.; Artacho-Pérula, E. The Human Periallocortex: Layer Pattern in Presubiculum, Parasubiculum and Entorhinal Cortex. A Review. Front. Neuroanat. 2017, 11, 84. [Google Scholar] [CrossRef]
- Kovacs, G.G. Tauopathies. In Handbook of Clinical Neurology; Elsevier: Amsterdam, The Netherlands, 2018; Volume 145, pp. 355–368. [Google Scholar] [CrossRef]
- Rábano, A.; Rodal, I.; Cuadros, R.; Calero, M.; Hernández, F.; Ávila, J. Argyrophilic Grain Pathology as a Natural Model of Tau Propagation. J. Alzheimer’s Dis. 2014, 40, S123–S133. [Google Scholar] [CrossRef] [PubMed]
- Gil, M.J.; Manzano, M.S.; Cuadrado, M.L.; Fernández, C.; Góméz, E.; Matesanz, C.; Calero, M.; Rábano, A. Argyrophilic Grain Pathology in Frontotemporal Lobar Degeneration: Demographic, Clinical, Neuropathological, and Genetic Features. J. Alzheimer’s Dis. 2018, 63, 1109–1117. [Google Scholar] [CrossRef]
- Gil, M.J.; Serrano, S.; Manzano, M.S.; Cuadrado, M.L.; Góméz, E.; Rábano, A. Argyrophilic grain disease presenting as behavioral frontotemporal dementia. Clin. Neuropathol. 2019, 38, 8–13. [Google Scholar] [CrossRef] [PubMed]
- Saito, Y.; Ruberu, N.N.; Sawabe, M.; Arai, T.; Tanaka, N.; Kakuta, Y.; Yamanouchi, H.; Murayama, S. Staging of Argyrophilic Grains: An Age-Associated Tauopathy. J. Neuropathol. Exp. Neurol. 2004, 63, 911–918. [Google Scholar] [CrossRef] [PubMed]
- Clavaguera, F.; Tolnay, M.; Goedert, M. The Prion-Like Behavior of Assembled Tau in Transgenic Mice. Cold Spring Harb. Perspect. Med. 2016, 7, a024372. [Google Scholar] [CrossRef] [PubMed]
- Raunio, A.; Kaivola, K.; Tuimala, J.; Kero, M.; Oinas, M.; Polvikoski, T.; Paetau, A.; Tienari, P.J.; Myllykangas, L. Lewy-related pathology exhibits two anatomically and genetically distinct progression patterns: A population-based study of Finns aged 85+. Acta Neuropathol. 2019, 138, 771–782. [Google Scholar] [CrossRef]
- Ubeda-Bañon, I.; Saiz-Sanchez, D.; Flores-Cuadrado, A.; Rioja-Corroto, E.; Gonzalez-Rodriguez, M.; Villar-Conde, S.; Astillero-Lopez, V.; La Rosa, J.P.C.-D.; Gallardo-Alcañiz, M.J.; Vaamonde-Gamo, J.; et al. The human olfactory system in two proteinopathies: Alzheimer’s and Parkinson’s diseases. Transl. Neurodegener. 2020, 9, 1–20. [Google Scholar] [CrossRef]
- Sorrentino, Z.A.; Goodwin, M.S.; Riffe, C.J.; Dhillon, J.-K.S.; Xia, Y.; Gorion, K.-M.; Vijayaraghavan, N.; McFarland, K.N.; Golbe, L.I.; Yachnis, A.T.; et al. Unique α-synuclein pathology within the amygdala in Lewy body dementia: Implications for disease initiation and progression. Acta Neuropathol. Commun. 2019, 7, 1–22. [Google Scholar] [CrossRef] [PubMed]
- Jellinger, K.A. Different patterns of hippocampal tau pathology in Alzheimer’s disease and PART. Acta Neuropathol. 2018, 136, 811–813. [Google Scholar] [CrossRef]
- Walker, J.M.; Richardson, T.E.; Farrell, K.; Iida, M.A.; Foong, C.; Shang, P.; Attems, J.; Ayalon, G.; Beach, T.G.; Bigio, E.H.; et al. Early Selective Vulnerability of the CA2 Hippocampal Subfield in Primary Age-Related Tauopathy. J. Neuropathol. Exp. Neurol. 2020, 80, 102–111. [Google Scholar] [CrossRef]
- Amador-Ortiz, C.; Lin, W.-L.; Ahmed, Z.; Ms, D.P.; Davies, P.; Duara, R.; Graff-Radford, N.R.; Hutton, M.L.; Dickson, D.W. TDP-43 immunoreactivity in hippocampal sclerosis and Alzheimer’s disease. Ann. Neurol. 2007, 61, 435–445. [Google Scholar] [CrossRef] [PubMed]
- Neumann, M.; Frick, P.; Paron, F.; Kosten, J.; Buratti, E.; MacKenzie, I.R. Antibody against TDP-43 phosphorylated at serine 375 suggests conformational differences of TDP-43 aggregates among FTLD–TDP subtypes. Acta Neuropathol. 2020, 140, 645–658. [Google Scholar] [CrossRef] [PubMed]
- Nelson, P.T.; Abner, E.L.; Patel, E.; Anderson, S.; Wilcock, D.M.; Kryscio, R.J.; Van Eldik, L.J.; Jicha, G.A.; Gal, Z.; Nelson, R.S.; et al. The Amygdala as a Locus of Pathologic Misfolding in Neurodegenerative Diseases. J. Neuropathol. Exp. Neurol. 2018, 77, 2–20. [Google Scholar] [CrossRef] [PubMed]







| Disease Type | Subtype | n | Sex (% Female) | Age at Death 1 | Dementia at Onset (%) |
|---|---|---|---|---|---|
| Sporadic CJD | MM/MV1 | 56 | 46.4 | 67.5 (10.1) | 52.9 |
| (pure) | VV2 | 20 | 60 | 69.2 (7.2) | 50 |
| MV2K | 2 | 50 | 67.5 (9.2) | 50 | |
| MM/MV2C | 4 | 50 | 66.3 (4.7) | 50 | |
| VV1 | 2 | 0 | 46 (13) | 50 | |
| Sporadic CJD | MM/MV (1 + 2) | 31 | 51.6 | 69.1 (1.6) | 53.3 |
| (mixed) | MM/MV2C + 1 | 2 | 50 | 70 (7.1) | 100 |
| MV2K + 1 | 3 | 66.7 | 70.3 (8) | 66.6 | |
| MV2K + C | 6 | 66.7 | 67.7 (14.2) | 40 | |
| Familial CJD | 8 | 25 | 61.1 (7.9) | 37.5 | |
| FFI 2 | 4 | 50 | 52.5 (13) | 33.3 | |
| iCJD 3 | 2 | 50 | 41.5 (6.4) | 0 | |
| Variant CJD | 3 | 33.3 | 39 (12.6) | 33.3 |
| Disease Type | Subtype | Amy | Ent | Pres | Sub | CA1 | CA2 | CA3 | CA4 | DG |
|---|---|---|---|---|---|---|---|---|---|---|
| sCJD | MM/MV1 | 1.71 (1.3) | 2.39 (0.88) | 2.82 (0.8) | 1.15 (0.65) | 0.39 (0.55) | 0.41 (0.47) | 0.16 (0.35) | 0.25 (0.52) | 0.84 (0.75) |
| (pure) | VV2 | 2.75 (0.43) | 2.86 (0.45) | 3.03 (0.65) | 2.92 (0.55) | 2.81 (0.42) | 2.47 (0.58) | 1.14 (1.01) | 1.72 (0.75) | 2.06 (0.99) |
| MV2K | - | 2.25 (0.35 | 2.5 (0.71) | 3.25 (0.35) | 2.25 (1.06) | 2.75 (0.35) | 0.25 (0.35) | 0.5 (0.71) | 1 (0.71) | |
| MM/MV2C | 1.25 (0.5) | 2.38 (0.48) | 2.5 (0.41) | 1.13 (0.48) | 0.88 (0.75) | 0.38 (0.25) | - | 0.13 (0.25) | 0.63 (0.25) | |
| VV1 | 3 (1.41) | 2.5 (2.12) | - | 2.75 (1.77) | 1 (0.71) | 1 (0.71) | 1 (0.71) | 0.75 (1.06) | 2.25 (1.06) | |
| sCJD | MM/MV (1 + 2) | 1.3 (0.93) | 1.99 (0.83) | 2.73 (0.88) | 0.97 (0.61) | 0.27 (0.54) | 0.18 (0.38) | 0.67 (0.36) | 0.17 (0,09) | 0.52 (0.64) |
| (mixed) | MM/MV2C + 1 | 1.5 (1.41) | - | - | - | - | - | - | - | - |
| MV2K + 1 | 2 (0.71) | 2.5 (1.32) | 2.5 (1.41) | 2 (1.32) | 1.67 (1.61) | 1.5 (1.8) | 0.33 (0.58) | - | 1.33 (1.04) | |
| MV2K + C | 2.33 (1.21) | 2.67 (0.52) | 2.17 (1.29) | 3.17 (0.41) | 1.25 (1.37) | 1.58 (1.28) | 0.3 (0.45) | 0.7 (0.45) | 1.8 (0.84) | |
| Familial CJD | 1.71 (1.07) | 1.83 (1.25) | 2.36 (0.89) | 1.86 (0.89 | 1.21 (0.99) | 1 (1) | 0.43 (0.61) | 0.64 (0.89) | 1.14 (1.14) | |
| FFI 1 | 0.63 (0.48) | 0.67 (0.29) | 1.5 (0.58) | 0.25 (0.5) | 0.16 (0.25) | - | - | - | 0.38 (0.48) | |
| iCJD 2 | 3.25 (0.75) | 2.75 (1.06) | 3.5 (0.71) | 1.25 (0.35) | 0.25 (0.35) | - | - | 1 (1.41) | 1.25 (1.06) | |
| Variant CJD | 1.75 (1.77) | 1 (1.41) | 1.33 (1.15) | 1.33 (1.26) | - | - | - | - | 0.33 (0.58) |
| Disease Type | Subtype | Amy | Ent | Pres | Sub | CA1 | CA2 | CA3 | CA4 | DG |
|---|---|---|---|---|---|---|---|---|---|---|
| sCJD | MM/MV1 | 1 > 5 > 2 | 1 > 5 > 2 | 1 > 5 > 2 | 1 > 5 > 2 | 5 > 1 | 1 > 5 | 5 > 1 | 5 > 1 | 1 > 5 > 2 |
| (pure) | VV2 | 2 > 1 | 2 > 1 | 2 > 1 > 5 | 2 > 1 | 2 > 1 | 2 > 1 | 2 > 5 > 1 | 2 > 1 > 5 | 2 > 1 > 5 |
| MV2K | 2 | 1; 2 | 1; 2 | 1; 2 | 1; 2 | 1; 2 | 5 | 1; 5 | 1 | |
| MM/MV2C | 3 > 1; 4 | 3 > 4 | 3 > 1 | 3 > 1 | 3 | 3 | 5 | 5 > 1 | 3 > 1 | |
| VV1 | 1; 5 | 1; 5 | 5 | 1; 5 | 1; 5 | 1; 5 | 1; 5 | 1; 5 | 1; 2 | |
| sCJD | MM/MV (1 + 2) | 1 > 5 > 3 > 4 > 2 | 1 > 3; 4 > 2; 5 | 1 > 5 > 3 > 4 > 2 | 1 > 3; 5 > 2; 4 | 5 > 1 > 2; 4 | 5 > 1 > 4 | 5 | 5 > 1 | 1 > 5 > 2; 3 |
| (mixed) | MM/MV2C + 1 | 1; 3 | 2 | - | 3 | 5 | 5 | 5 | 5 | 5 |
| MV2K + 1 | 2 | 1; 2; 3 | 1; 2 | 1; 2; 3 | 1; 2; 3 | 2; 3; 5 | 5 > 2 | 5 | 2 > 3 | |
| MV2K + C | 2 > 1 | 2 | 2 > 1; 5 | 2 | 2 > 5 | 2 > 1; 5 | 5 > 2 | 2 > 5 | 2 > 1; 4 | |
| Familial CJD | 1 > 2; 5 | 1 > 2 > 5 | 1 > 2; 5 | 1 > 2 | 1 > 2; 5 | 3 > 2; 5 | 5 > 2 > 1 | 5 > 2 > 1 | 1 > 2; 5 | |
| FFI 1 | 1 > 5 | 1 | 1 | 5 > 1 | 5 > 1 | 5 | 5 | 5 | 1; 5 | |
| iCJD 2 | 1; 5 | 1; 5 | 1; 5 | 1 | 1; 5 | 1 | 5 | 1; 5 | 1 | |
| Variant CJD | 2 | 2; 5 | 2 > 5 | 2 > 5 | 5 | 5 | 5 | 5 | 5 > 2 |
Publisher’s Note: MDPI stays neutral with regard to jurisdictional claims in published maps and institutional affiliations. |
© 2021 by the authors. Licensee MDPI, Basel, Switzerland. This article is an open access article distributed under the terms and conditions of the Creative Commons Attribution (CC BY) license (http://creativecommons.org/licenses/by/4.0/).
Share and Cite
Rábano, A.; Guerrero Márquez, C.; Juste, R.A.; Geijo, M.V.; Calero, M. Medial Temporal Lobe Involvement in Human Prion Diseases: Implications for the Study of Focal Non Prion Neurodegenerative Pathology. Biomolecules 2021, 11, 413. https://doi.org/10.3390/biom11030413
Rábano A, Guerrero Márquez C, Juste RA, Geijo MV, Calero M. Medial Temporal Lobe Involvement in Human Prion Diseases: Implications for the Study of Focal Non Prion Neurodegenerative Pathology. Biomolecules. 2021; 11(3):413. https://doi.org/10.3390/biom11030413
Chicago/Turabian StyleRábano, Alberto, Carmen Guerrero Márquez, Ramón A. Juste, María V. Geijo, and Miguel Calero. 2021. "Medial Temporal Lobe Involvement in Human Prion Diseases: Implications for the Study of Focal Non Prion Neurodegenerative Pathology" Biomolecules 11, no. 3: 413. https://doi.org/10.3390/biom11030413
APA StyleRábano, A., Guerrero Márquez, C., Juste, R. A., Geijo, M. V., & Calero, M. (2021). Medial Temporal Lobe Involvement in Human Prion Diseases: Implications for the Study of Focal Non Prion Neurodegenerative Pathology. Biomolecules, 11(3), 413. https://doi.org/10.3390/biom11030413

