A Proteomic Approach to Identify Zein Proteins upon Eco-Friendly Ultrasound-Based Extraction
Abstract
1. Introduction
2. Materials and Methods
2.1. Materials
2.2. Zein Protein Extraction
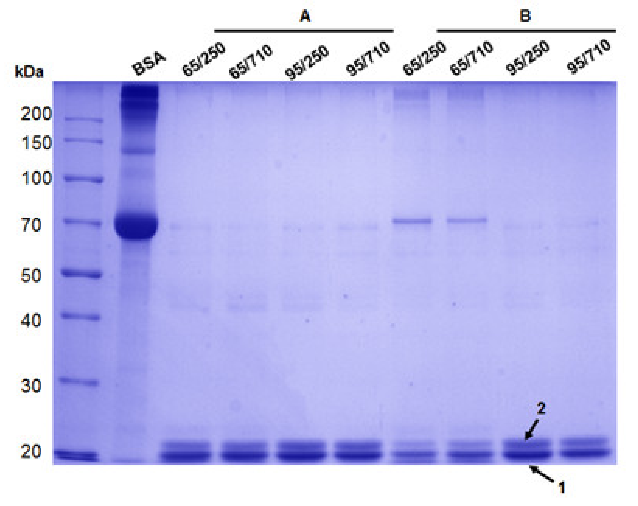
2.3. SDS-PAGE Analysis
2.4. In-Gel Digestion of Zein Proteins and Zip-Tip Procedure
2.5. Mass Spectrometric Analysis
2.6. Chemical Structure and Microtopography Analysis
3. Results
3.1. Proteomic Approach for Characterization of Zein Protein in Corn Flour Extraction
3.2. Chemical Structure and Microtopography Analysis
4. Discussion
Author Contributions
Funding
Institutional Review Board Statement
Informed Consent Statement
Data Availability Statement
Conflicts of Interest
References
- Gorham, J. Analysis of Indian corn. Quart. J. Sci. Lit. Art 1821, 2, 206–208. [Google Scholar]
- Yuan, L.; Dou, Y.; Kianian, S.F.; Zhang, C.; Holding, D.R. Deletion Mutagenesis Identifies a Haploinsufficient Role for α-Zein in opaque2 Endosperm Modification. Plant Physiol. 2014, 164, 119–130. [Google Scholar] [CrossRef] [PubMed]
- Bancila, S.; Ciobanu, C.I.; Murariu, M.; Drochioiu, G. Ultrasound-assisted zein extraction and determination in some patented maize flours. Rev. Roum. Chim. 2016, 61, 725–731. [Google Scholar]
- Coleman, C.E.; Larkins, B.A. The Prolamins of Maize. In Seed Proteins; Springer: Dordrecht, The Netherlands, 1999; pp. 109–139. [Google Scholar]
- Lawton, J.W. Zein: A History of Processing and Use. Cereal Chem. J. 2002, 79, 1–18. [Google Scholar] [CrossRef]
- Matsushima, N.; Danno, G.-I.; Takezawa, H.; Izumi, Y. Three-dimensional structure of maize α-zein proteins studied by small-angle X-ray scattering. Biochim. Biophys. Acta (BBA)-Protein Struct. Mol. Enzym. 1997, 1339, 14–22. [Google Scholar] [CrossRef]
- Ştefănescu, R.; Băncilă, S. MALDI-TOF Mass Spectrometric Analysis of Zeins Extracted from Maize Seeds. Acta Chem. Iasi 2017, 25, 73–86. [Google Scholar] [CrossRef][Green Version]
- Holding, D.R. Recent advances in the study of prolamin storage protein organization and function. Front. Plant Sci. 2014, 5, 276. [Google Scholar] [CrossRef] [PubMed]
- Tavares-Negrete, J.A.; Aceves-Colin, A.E.; Rivera-Flores, D.C.; Díaz-Armas, G.G.; Mertgen, A.-S.; Trinidad-Calderón, P.A.; Olmos-Cordero, J.M.; Gómez-López, E.G.; Pérez-Carrillo, E.; Escobedo-Avellaneda, Z.J.; et al. Three-Dimensional Printing Using a Maize Protein: Zein-Based Inks in Biomedical Applications. ACS Biomater. Sci. Eng. 2021, 7, 3964–3979. [Google Scholar] [CrossRef]
- Schmidt, G.; Hamaker, B.R.; Wilker, J.J. High Strength Adhesives from Catechol Cross-Linking of Zein Protein and Plant Phenolics. Adv. Sustain. Syst. 2018, 2, 1700159. [Google Scholar] [CrossRef]
- Lenzuni, M.; Suarato, G.; Miele, D.; Carzino, R.; Ruggeri, M.; Bertorelli, R.; Sandri, G.; Athanassiou, A. Development of biodegradable zein-based bilayer coatings for drug-eluting stents. RSC Adv. 2021, 11, 24345–24358. [Google Scholar] [CrossRef]
- Kansal, D.; Hamdani, S.S.; Ping, R.; Rabnawaz, M. Starch and Zein Biopolymers as a Sustainable Replacement for PFAS, Silicone Oil, and Plastic-Coated Paper. Ind. Eng. Chem. Res. 2020, 59, 12075–12084. [Google Scholar] [CrossRef]
- Hamdani, S.S.; Li, Z.; Sirinakbumrung, N.; Rabnawaz, M. Zein and PVOH based bilayer approach for plastic-free, repulpable and biodegradable oil- and water-resistant paper as a replacement for single-use plastics. Ind. Eng. Chem. Res. 2020, 59, 17856–17866. [Google Scholar] [CrossRef]
- Corradini, E.; Curti, P.S.; Meniqueti, A.B.; Martins, A.F.; Rubira, A.F.; Muniz, E.C. Recent Advances in Food-Packing, Pharmaceutical and Biomedical Applications of Zein and Zein-Based Materials. Int. J. Mol. Sci. 2014, 15, 22438–22470. [Google Scholar] [CrossRef]
- Paliwal, R.; Palakurthi, S. Zein in controlled drug delivery and tissue engineering. J. Control. Release 2014, 189, 108–122. [Google Scholar] [CrossRef] [PubMed]
- Uan-on, T.; Baibang, C.; Shuwisitkul, D. Extraction and characterization of zein protein from corn for controlled drug release. Curr. Appl. Sci. Technol. 2018, 18, 167–178. [Google Scholar]
- Müller, V.; Piai, J.F.; Fajardo, A.R.; Fávaro, S.L.; Rubira, A.; Muniz, E. Preparation and Characterization of Zein and Zein-Chitosan Microspheres with Great Prospective of Application in Controlled Drug Release. J. Nanomater. 2011, 2011, 928728. [Google Scholar] [CrossRef]
- Zhang, Y.; Cui, L.; Che, X.; Zhang, H.; Shi, N.; Li, C.; Chen, Y.; Kong, W. Zein-based films and their usage for controlled delivery: Origin, classes and current landscape. J. Control. Release 2015, 206, 206–219. [Google Scholar] [CrossRef]
- Lai, H.-M.; Padua, G.W. Properties and Microstructure of Plasticized Zein Films. Cereal Chem. J. 1997, 74, 771–775. [Google Scholar] [CrossRef]
- Kaur, M.; Santhiya, D. UV-shielding antimicrobial zein films blended with essential oils for active food packaging. J. Appl. Polym. Sci. 2021, 138, 49832. [Google Scholar] [CrossRef]
- Kashiri, M.; Cerisuelo, J.P.; Domínguez, I.; López-Carballo, G.; Muriel-Gallet, V.; Gavara, R.; Hernandez-Munoz, P. Zein films and coatings as carriers and release systems of Zataria multiflora Boiss. essential oil for antimicrobial food packaging. Food Hydrocoll. 2017, 70, 260–268. [Google Scholar] [CrossRef]
- Zhang, Y.; Liang, S.; Zhang, J.; Chi, Y.; Tian, B.; Li, L.; Jiang, B.; Li, D.; Feng, Z.; Liu, C. Preparation of whey protein isolate nanofibrils by microwave heating and its application as carriers of lipophilic bioactive substances. LWT 2020, 125, 109213. [Google Scholar] [CrossRef]
- Ganju, S.; Gogate, P.R. A review on approaches for efficient recovery of whey proteins from dairy industry effluents. J. Food Eng. 2017, 215, 84–96. [Google Scholar] [CrossRef]
- Gao, Z.-M.; Zhu, L.-P.; Yang, X.-Q.; He, X.-T.; Wang, J.-M.; Guo, J.; Qi, J.-R.; Wang, L.-J.; Yin, S.-W. Soy lipophilic protein nanoparticles as a novel delivery vehicle for conjugated linoleic acid. Food Funct. 2014, 5, 1286–1293. [Google Scholar] [CrossRef] [PubMed]
- Nasrabadi, M.N.; Goli, S.A.H.; Doost, A.S.; Van der Meeren, P. Characterization and enhanced functionality of nanoparticles based on linseed protein and linseed gum biocomplexes. Int. J. Biol. Macromol. 2020, 151, 116–123. [Google Scholar] [CrossRef] [PubMed]
- Chen, G.; Dong, S.; Zhao, S.; Li, S.; Chen, Y. Improving functional properties of zein film via compositing with chitosan and cold plasma treatment. Ind. Crops Prod. 2019, 129, 318–326. [Google Scholar] [CrossRef]
- Xu, W.; Reddy, N.; Yang, Y. Extraction, characterization and potential applications of cellulose in corn kernels and Distillers’ dried grains with solubles (DDGS). Carbohydr. Polym. 2009, 76, 521–527. [Google Scholar] [CrossRef]
- Drochioiu, G.; Ciobanu, C.I.; Bancila, S.; Ion, L.; Petre, B.A.; Andries, C.; Gradinaru, R.V.; Murariu, M. Ultrasound-based protein determination in maize seeds. Ultrason. Sonochem. 2016, 29, 93–103. [Google Scholar] [CrossRef] [PubMed]
- Anderson, T.J.; Lamsal, B.P. Development of New Method for Extraction of α-Zein from Corn Gluten Meal Using Different Solvents. Cereal Chem. J. 2011, 88, 356–362. [Google Scholar] [CrossRef]
- Carter, R.; Reck, D.R. Low Temperature Solvent Extraction Process for Producing High Purity Zein. U.S. Patent 3,535,305, 20 October 1970. [Google Scholar]
- Shukla, R.; Cheryan, M. Zein: The industrial protein from corn. Ind. Crops Prod. 2001, 13, 171–192. [Google Scholar] [CrossRef]
- Mojović, L.; Nikolić, S.; Rakin, M.; Vukasinović, M. Production of bioethanol from corn meal hydrolyzates. Fuel 2006, 85, 1750–1755. [Google Scholar] [CrossRef]
- Adams, W.R.; Huang, S.; Kriz, A.L.; Luethy, M.H. Matrix-Assisted Laser Desorption Ionization Time-of-Flight Mass Spectrometry Analysis of Zeins in Mature Maize Kernels. J. Agric. Food Chem. 2004, 52, 1842–1849. [Google Scholar] [CrossRef]
- Zhu, K.-X.; Sun, X.-H.; Zhou, H.-M. Optimization of ultrasound-assisted extraction of defatted wheat germ proteins by reverse micelles. J. Cereal Sci. 2009, 50, 266–271. [Google Scholar] [CrossRef]
- Postu, P.A.; Ion, L.; Drochioiu, G.; Petre, B.A.; Glocker, M.O. Mass spectrometric characterization of the zein protein composition in maize flour extracts upon protein separation by SDS-PAGE and 2D gel electrophoresis. Electrophoresis 2019, 40, 2747–2758. [Google Scholar] [CrossRef] [PubMed]
- Wang, J.-F.; Geil, P.H.; Kolling, D.R.J.; Padua, G.W. Analysis of Zein by Matrix-Assisted Laser Desorption/Ionization Mass Spectrometry. J. Agric. Food Chem. 2003, 51, 5849–5854. [Google Scholar] [CrossRef] [PubMed]
- Wang, Q.; Geil, P.; Padua, G. Role of Hydrophilic and Hydrophobic Interactions in Structure Development of Zein Films. J. Polym. Environ. 2004, 12, 197–202. [Google Scholar] [CrossRef]
- Wang, Q.; Xian, W.; Li, S.; Liu, C.; Padua, G.W. Topography and biocompatibility of patterned hydrophobic/hydrophilic zein layers. Acta Biomater 2008, 4, 844–851. [Google Scholar] [CrossRef] [PubMed]
- Panchapakesan, C.; Sozer, N.; Dogan, H.; Huang, Q.; Kokini, J.L. Effect of different fractions of zein on the mechanical and phase properties of zein films at nano-scale. J. Cereal Sci. 2012, 55, 174–182. [Google Scholar] [CrossRef]
- Laemmli, U.K. Cleavage of Structural Proteins during the Assembly of the Head of Bacteriophage T4. Nature 1970, 227, 680–685. [Google Scholar] [CrossRef] [PubMed]
- Sun, C.; Xiong, Z.; Zhang, J.; Fang, Y. Environmental parameters-dependent self-assembling behaviors of α-zein in aqueous ethanol solution studied by atomic force microscopy. Food Chem. 2020, 331, 127349. [Google Scholar] [CrossRef]
- Chen, Y.; Ye, R.; Liu, J. Effects of different concentrations of ethanol and isopropanol on physicochemical properties of zein-based films. Ind. Crops Prod. 2014, 53, 140–147. [Google Scholar] [CrossRef]
- Zhong, Q.; Jin, M. Zein nanoparticles produced by liquid–liquid dispersion. Food Hydrocoll. 2009, 23, 2380–2387. [Google Scholar] [CrossRef]
- Yu, X.; Afreen, S.; Kong, Q.; Wang, J. Study on Self-Assembled Morphology and Structure Regulation of α-Zein in Ethanol–Water Mixtures. Langmuir 2020, 36, 11975–11984. [Google Scholar] [CrossRef] [PubMed]
- Kim, S.; Xu, J. Aggregate formation of zein and its structural inversion in aqueous ethanol. J. Cereal Sci. 2008, 47, 153–161. [Google Scholar] [CrossRef]
- Liu, Y.Y.; Zeng, X.A.; Deng, Z.; Yu, S.J.; Yamasaki, S. Effect of pulsed electric field on the secondary structure and thermal properties of soy protein isolate. Eur. Food Res. Technol. 2011, 233, 841–850. [Google Scholar] [CrossRef]
- Jain, A.; Sharma, G.; Kushwah, V.; Ghoshal, G.; Jain, A.; Singh, B.; Shivhare, U.S.; Jain, S.; Katare, O.P. Beta carotene-loaded zein nanoparticles to improve the biopharmaceutical attributes and to abolish the toxicity of methotrexate: A preclinical study for breast cancer. Artif. Cells Nanomed. Biotechnol. 2018, 46, 402–412. [Google Scholar] [CrossRef] [PubMed]






| Extraction Method | Maize Sample | Flour Granulation (µm) | Ethanol Concentration (%) | Protein Concentration (mg/mL) |
|---|---|---|---|---|
| Ultrasonic homogenizer | 65/250 | 250 | 65 | 1.58 |
| 65/710 | 710 | 65 | 2.09 | |
| 95/250 | 250 | 95 | 1.44 | |
| 95/710 | 710 | 95 | 1.90 | |
| Ultrasonic bath | 65/250 | 250 | 65 | 0.79 |
| 65/710 | 710 | 65 | 0.63 | |
| 95/250 | 250 | 95 | 0.44 | |
| 95/710 | 710 | 95 | 0.28 |
Publisher’s Note: MDPI stays neutral with regard to jurisdictional claims in published maps and institutional affiliations. |
© 2021 by the authors. Licensee MDPI, Basel, Switzerland. This article is an open access article distributed under the terms and conditions of the Creative Commons Attribution (CC BY) license (https://creativecommons.org/licenses/by/4.0/).
Share and Cite
Darie-Ion, L.; Jayathirtha, M.; Hitruc, G.E.; Zaharia, M.-M.; Gradinaru, R.V.; Darie, C.C.; Pui, A.; Petre, B.A. A Proteomic Approach to Identify Zein Proteins upon Eco-Friendly Ultrasound-Based Extraction. Biomolecules 2021, 11, 1838. https://doi.org/10.3390/biom11121838
Darie-Ion L, Jayathirtha M, Hitruc GE, Zaharia M-M, Gradinaru RV, Darie CC, Pui A, Petre BA. A Proteomic Approach to Identify Zein Proteins upon Eco-Friendly Ultrasound-Based Extraction. Biomolecules. 2021; 11(12):1838. https://doi.org/10.3390/biom11121838
Chicago/Turabian StyleDarie-Ion, Laura, Madhuri Jayathirtha, Gabriela Elena Hitruc, Marius-Mihai Zaharia, Robert Vasile Gradinaru, Costel C. Darie, Aurel Pui, and Brindusa Alina Petre. 2021. "A Proteomic Approach to Identify Zein Proteins upon Eco-Friendly Ultrasound-Based Extraction" Biomolecules 11, no. 12: 1838. https://doi.org/10.3390/biom11121838
APA StyleDarie-Ion, L., Jayathirtha, M., Hitruc, G. E., Zaharia, M.-M., Gradinaru, R. V., Darie, C. C., Pui, A., & Petre, B. A. (2021). A Proteomic Approach to Identify Zein Proteins upon Eco-Friendly Ultrasound-Based Extraction. Biomolecules, 11(12), 1838. https://doi.org/10.3390/biom11121838

