Synthesis, Characterization, and Anti-diabetic Activity of Some Novel Vanadium-Folate-Amino Acid Materials
Abstract
1. Introduction
2. Materials and Methods
2.1. Chemical and Reagents
2.2. Synthesis of Vanadyl(IV)–Folate–Amino Acid Complexes
2.3. Instruments
2.4. Animal Experiments
2.5. Experimental Diabetes Induction
2.6. Blood and Organ Collections
2.7. Hematological Parameters
2.8. Insulin and Blood Glucose Levels
2.9. Lipid Profile
2.10. Liver and Kidney Functions
2.11. Determination of Blood SOD (Superoxide Dismutase)
2.12. Histopathological Examination
2.13. Statistical Analysis
3. Results and Discussion
3.1. Interpretations of the Chemical Structure
3.1.1. Microanalytical and Physical Data
3.1.2. Electronic, Magnetic, and Electron Spin Resonance Measurements
3.1.3. Infrared Spectra
3.1.4. Thermal Analysis Study
3.1.5. X-ray powder diffraction and Transmission Electron Microscopy Studies
3.2. Biological Investigation of Vanadyl(IV) Folate Amino Acids (AA1–AA6) Complexes on Diabetic Rats
3.2.1. Blood Glucose and Insulin Hormone Levels
3.2.2. Glutamate Pyruvate Transaminase (GPT) Enzyme Activity
3.2.3. Creatinine and Uric Acid Levels
3.2.4. Lactate Dehydrogenase and Glucose-6-Phosphate Dehydrogenase Activities
3.2.5. Levels of Hemoglobin
3.2.6. Superoxide Dismutase Enzyme (SOD)
3.2.7. Lipid Profile
3.2.8. Histopathology of Pancreas
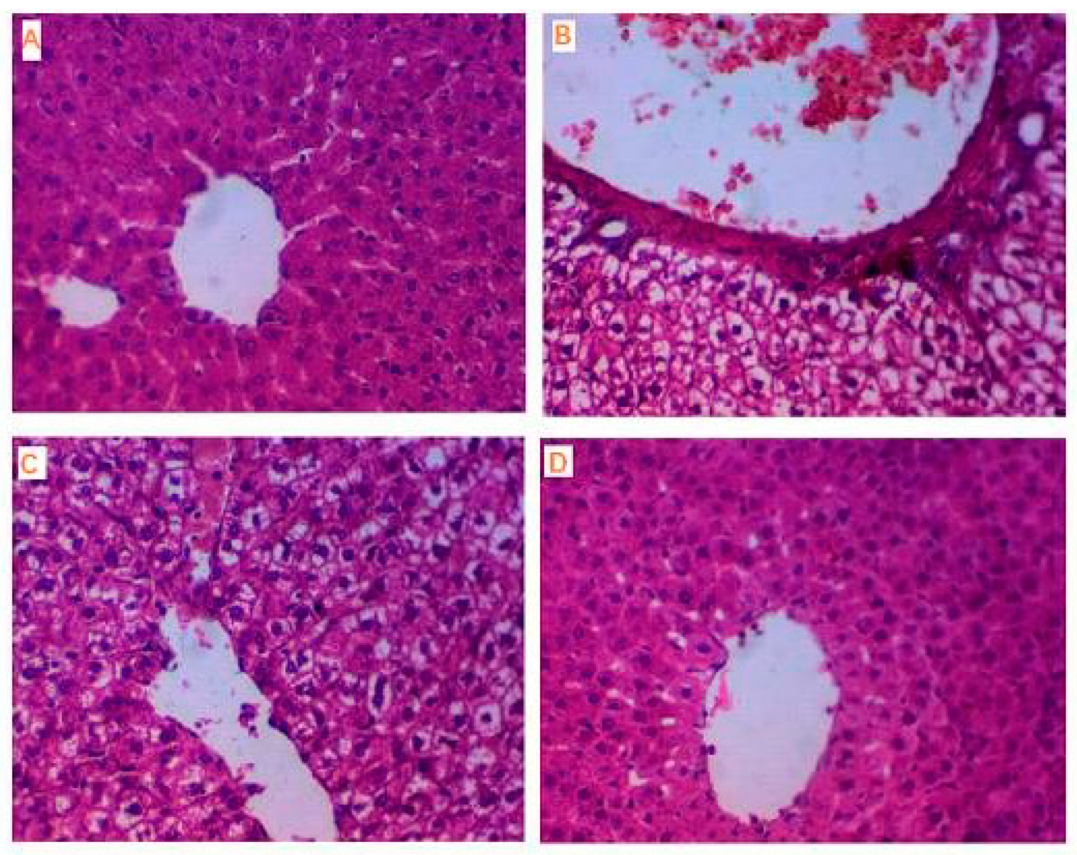
3.2.9. Histopathology of Liver
4. Conclusions
Author Contributions
Funding
Acknowledgments
Conflicts of Interest
References
- Refat, M.S.; El-Megharbel, S.M.; Kobeasy, M.I.; Mahamoud, G.I.; Al-Omar, M.A.; Naglah, A.M. Synthesis, spectroscopic characterizations and biological activities of vanadyl(II) folate compound as a new anti-DNA damage and antioxidant agent. J. Mol. Liq. 2016, 220, 468–477. [Google Scholar] [CrossRef]
- Adam, A.M.A.; Naglah, A.M.; Al-Omar, M.A.; Refat, M.S. Synthesis of a new insulin-mimetic anti-diabetic drug containing vitamin A and vanadium(IV) salt: Chemico-biological characterizations. Int. J. Immunopathol. Pharmacol. 2017, 30, 272–281. [Google Scholar] [CrossRef] [PubMed]
- Naglah, A.M.; Al-Omar, M.A.; Almehizia, A.A.; Bhat, M.A.; Afifi, W.M.; Al-Wasidi, A.S.; Al-Humaidi, J.Y.; Refat, M.S. A novel oxidovanadium(IV) orotate complex as an alternative anti-diabetic agent: Synthesis, characterization and biological assessments. BioMed Res. Int. 2018, 2018, 8108713. [Google Scholar]
- Naglah, A.M.; Al-Omar, M.A.; Kalmouch, A.; Alsuhaibani, A.M.A.; El-Didamony, A.M.; Hassan, N.; Taleb, S.A.; Refat, M.S.; Al-Shakliah, N.S.; Al-Humaidi, J.Y. Synthesis, characterization, and anti-diabetic effects of vanadyl(IV) adenosine monophosphate amino acid mixed ligand. Future Med. Chem. 2019, 11, 193–210. [Google Scholar] [CrossRef]
- Naglah, A.M.; Refat, M.S.; Al-Omar, M.A.; Bhat, M.A.; Alkahtani, H.M.; Al-Wasidi, A.S. Synthesis of a vanadyl (IV) folate complex for the treatment of diabetes: Spectroscopic, structural, and biological characterization. Drug Des. Dev. Ther. 2019, 13, 1409–1420. [Google Scholar] [CrossRef]
- Naglah, A.M.; Al-Omar, M.A.; Abdelhameed, A.S.; Bhat, M.A.; El-Didamony, A.M.; Hassan, N.; Taleb, S.A.; Alsuhaibani, A.M.A.; Refat, M.S. A novel vanadyl (IV)-vitamin D3 complex shows potent activity against streptozotocin-induced diabetes in rats: Synthesis, characterization and biological assessments. J. Biobased Mat. Bioenergy 2019, 13, 820–829. [Google Scholar] [CrossRef]
- Naglah, A.M.; Al-Omar, M.A.; Bhat, M.A.; Al-Wasidi, A.; Alsuhaibani, A.M.A.; El-Didamony, A.M.; Hassan, N.; Taleb, S.A.; Refat, M.S. Synthesis and Biological Evaluations of a Novel Oxidovanadium(IV) Adenosine Monophosphate Complex as Anti-Diabetic Agent. Crystals 2019, 9, 208. [Google Scholar] [CrossRef]
- Moini, J. Epidemiology of Diabetes, 1st ed.; Elsevier: Cambridge, MA, USA, 2019; Chapter 8; pp. 115–145. [Google Scholar]
- Porter, A.C.; Amarah, A.; Cedillo-Couvert, E.; Lash, J.P. Hypertensive Chronic Kidney Disease, Chronic Kidney Disease, Dialysis, and Transplantation, 4th ed.; Elsevier: Philadelphia, PA, USA, 2019; pp. 62–72. [Google Scholar]
- Abdel-Hamid, A.A.; Firgany, A.E.-D.L. Increased mast cell number is associated with a decrease in beta-cell mass and regeneration in type 2 diabetic rats. Acta Histochem. 2019, 121, 508–515. [Google Scholar] [CrossRef]
- Shin, J.-S.; Kim, J.-M.; Min, B.-H.; Chung, H.; Park, C.-G. Absence of spontaneous regeneration of endogenous pancreatic β-cells after chemical-induced diabetes and no effect of GABA on α-to-β cell transdifferentiation in rhesus monkeys. Biochem. Biophys. Res. Commun. 2019, 508, 1056–1061. [Google Scholar] [CrossRef]
- Adeyemi, D.; Adewole, O. Hibiscus sabdariffa renews pancreatic β-cells in experimental type 1 diabetic model rats. Morphol. 2019, 103, 80–93. [Google Scholar] [CrossRef]
- Belardo, A.; Gevi, F.; Zolla, L. The concomitant lower concentrations of vitamins B6, B9 and B12 may cause methylation deficiency in autistic children. J. Nutr. Biochem. 2019, 70, 38–46. [Google Scholar] [CrossRef] [PubMed]
- Yadav, M.K.; Manoli, N.M.; Vimalraj, S.; Madhunapantula, S.V. Unmethylated promoter DNA correlates with p53 expression and apoptotic levels only in Vitamin B9 and B12 deficientmegaloblastic anemia but not in non-megaloblastic anemia controls. Int. J. Biol. Macromol. 2018, 109, 76–84. [Google Scholar] [CrossRef] [PubMed]
- Kasulanati, S.; Venkatesan, V. Understanding pluripotency under folic acid deficiency using embryonic stem cells as an in vitro model. Med Hypotheses 2018, 111, 24–26. [Google Scholar] [CrossRef] [PubMed]
- Farouk, S.; Qados, A.M.A. Enhancing seed quality and productivity as well as physio-anatomical responses of pea plants by folic acid and/or hydrogen peroxide application. Sci. Hortic. 2018, 240, 29–37. [Google Scholar] [CrossRef]
- Chandracharya, P.L.; Alva, R.; Hosapatna, M.; Konuri, A.; Kumar, A.; Prasanna, L.C. Role of folic acid supplementation and/ or its absence during pregnancy on implantation of embryos—An experimental study of Wistar rats. J. Anat. Soc. India 2018, 67, 80–85. [Google Scholar] [CrossRef]
- Qiu, J.; Zhang, H.; Wang, Z. Auriculariaauriculajudae polysaccharide-cisplatin complexes conjugated with folic acid as new tumor targeting agents. Int. J.Biol. Macromol. 2018, 120, 966–974. [Google Scholar] [CrossRef] [PubMed]
- Min, D.-J.; Vural, S.; Krushkal, J. Association of transcriptional levels of folate-mediated one-carbon metabolism-related genes in cancer cell lines with drug treatment response. Cancer Genet. 2019, 237, 19–38. [Google Scholar] [CrossRef]
- Rosenthal, Y.S.; Chodick, G.; Grossman, Z.; Shalev, V.; Koren, G. The incidence of infantile hypertrophic pyloric stenosis and its association with folic acid supplementation during pregnancy: A nested case–control study. J. Pediatr. Surg. 2019, 54, 701–706. [Google Scholar] [CrossRef]
- Ting, P.-C.; Lee, W.-R.; Huo, Y.-N.; Hsu, S.-P.; Lee, W.-S. Folic acid inhibits colorectal cancer cell migration. J. Nutr. Biochem. 2019, 63, 157–164. [Google Scholar] [CrossRef]
- Voet, V.; Voet, J. Biochemistry, 4th ed.; Wiley: New York, NY, USA, 1993; p. 59. [Google Scholar]
- Pisarewicz, K.; Mora, D.; Pflueger, F.C.; Fields, G.B.; Mari, F. Polypeptide Chains Containing d-γ-Hydroxyvaline. J. Am. Chem. Soc. 2005, 127, 6207–6215. [Google Scholar] [CrossRef]
- Hounsom, L.; Horrobin, D.; Tritschler, H.; Corder, R.; Tomlinson, D. A lipoic acid-gamma linolenic acid conjugate is effective against multiple indices of experimental diabetic neuropathy. Diabetologia 1998, 41, 839–843. [Google Scholar] [CrossRef] [PubMed]
- Hussain, A.M. The Relationship between Diabetes Mellitus and Periodontitis. Am. Eng. J. Med. Sci. 2011, 4, 84–86. [Google Scholar]
- Hajduch, E.; Darakhshan, F.; Hundal, H. Fructose uptake in rat adipocytes: GLUT5 expression and the effects of streptozotocin-induced diabetes. Diabetologia 1998, 41, 821–828. [Google Scholar] [CrossRef]
- Siddiqui, M.R.; Taha, A.; Moorthy, K.; Hussain, M.E.; Basir, S.F.; Baquer, N.Z. Amelioration of altered antioxidant status and membrane linked functions by vanadium andTrigonella in alloxan diabetic rat brains. J. Biosci. 2005, 30, 101–108. [Google Scholar] [CrossRef]
- Sanford, H.S. Method for obtaining venous blood from orbital sinus of the rat or mouse. Science 1954, 119, 100–102. [Google Scholar]
- Woodhead, O.; Otton, P.; Spake, L. Radioimmunoassay of insulin. Clin. Pharmacol. 1947, 21, 11–15. [Google Scholar]
- Carleton, H.M. Carleton’s Histological Technique, 4th ed.; Oxford University Press: New York, NY, USA, 1967. [Google Scholar]
- Campbell, R.C.; Snedecor, G.W.; Cochran, W.G. Statistical Methods. Biometric 1982, 38, 292. [Google Scholar] [CrossRef]
- Burger, K. Coordination Chemistry: Experimental Methods; Butterworth Group: London, UK, 1973. [Google Scholar]
- Geary, W.J. The use of conductivity measurements in organic solvents for the characterisation of coordination compounds. Coord. Chem. Rev. 1971, 7, 81–122. [Google Scholar] [CrossRef]
- Refat, M.S. Complexes of uranyl(II), vanadyl(II) and zirconyl(II) with orotic acid “vitamin B13”: Synthesis, spectroscopic, thermal studies and antibacterial activity. J. Mol. Struct. 2007, 842, 24–37. [Google Scholar] [CrossRef]
- Lever, A.B.P.; Rice, S.A. Inorganic Electronic Spectroscopy. Phys. Today 1969, 22, 77. [Google Scholar] [CrossRef]
- Tsuchimoto, M.; Hoshina, G.; Yoshioka, N.; Inoue, H.; Nakajima, K.; Kamishima, M.; Kojima, M.; Ohba, S. Mechanochemical Reaction of Polymeric Oxovanadium(IV) Complexes with Schiff Base Ligands Derived from 5-Nitrosalicylaldehyde and Diamines. J. Solid State Chem. 2000, 153, 9–15. [Google Scholar] [CrossRef]
- Valentina, U.; Stefania Felicia, B.; Victoria, A.; Corina-Cristina, A.; Mihaela, B.; Rodica, O.; Dana, M. Synthesis, Spectral and Thermal Studies of New Rutin Vanadyl Complexes. Molecules 2010, 15, 1578–1589. [Google Scholar]
- El-Wahed, M.G.A.; Refat, M.S.; El-Megharbel, S.M. Synthesis, spectroscopic and thermal characterization of some transition metal complexes of folic acid. Spectrochim. Acta A 2008, 70, 916–922. [Google Scholar] [CrossRef] [PubMed]
- Kolev, T.; Koleva, B.B.; Zareva, S.Y.; Spiteller, M. Au(III)-complexes of the alanyl-containing peptides glycylalanine and glycylalanylalanine—Synthesis, spectroscopic and structural characterization. Inorg. Chim. Acta 2006, 359, 4367–4376. [Google Scholar] [CrossRef]
- Koleva, B.B.; Kolev, T.; Zareva, S.Y.; Spiteller, M. The dipeptide alanylphenylalanine (H-Ala-Phe-OH)—Protonation and coordination ability with Au(III). J. Mol. Struct. 2007, 831, 165–173. [Google Scholar] [CrossRef]
- Ivanova, B.B.; Todorov, S.T.; Arnaudov, M.G. Structural and IR-Spectroscopic Elucidation of Dipeptide L-Threonyl-LMethionine in Solid State. J. Coord. Chem 2006, 59, 1749–1755. [Google Scholar] [CrossRef]
- Mesubi, M.A. An infrared study of zinc, cadmium, and lead salts of some fatty acids. J. Mol. Struct. 1982, 81, 61–71. [Google Scholar] [CrossRef]
- Deacon, G.B.; Phillips, R.J. Relationships between the carbon-oxygen stretching frequencies of carboxylato complexes and the type of carboxylate coordination. Coord. Chem. Rev. 1980, 33, 227–250. [Google Scholar] [CrossRef]
- Dendrinou-Samara, C.; Tsotsou, G.; Ekateriniadou, L.V.; Kortsaris, A.H.; Raptopoulou, C.P.; Terzis, A.; Kyriakidis, D.A.; Kessissoglou, D.P. Anti-inflammatory drugs interacting with Zn(II), Cd(II) and Pt(II) metal ions. J. Inorg. Biochem. 1998, 71, 171–179. [Google Scholar] [CrossRef]
- Nakamoto, K. Infrared and Raman Spectra of Inorganic and Coordination Compounds, 4th ed.; Wiley: New York, NY, USA, 1986. [Google Scholar]
- Nakamato, K.; Mc Carthy, P.J. Spectroscopy and Structure of Metal Chelate Compounds; John Wiley: New York, NY, USA, 1968. [Google Scholar]
- Miyauchi, A.; Okabe, T.H. Production of metallic vanadium by preform reduction process. Mater. Trans. 2010, 51, 1102–1108. [Google Scholar] [CrossRef]
- Motkar, G.; Lonare, M.; Patil, O.; Mohanty, S. Self-assembly of folic acid in aqueous media. AIChE J. 2013, 59, 1360–1368. [Google Scholar] [CrossRef]
- Cullity, B.D. Elements of X-ray Diffraction; Addison-Wesley Publication Company: Massachusetts, MA, USA, 1978. [Google Scholar]
- Refat, M.S.; El-Shazly, S.A. Identification of a new anti-diabetic agent by combining VOSO4 and vitamin E In a single molecule: Studies on its spectral, thermal and pharmacological properties. Eur. J. Med. Chem. 2010, 45, 3070–3079. [Google Scholar] [CrossRef] [PubMed]
- Bolkent, S.; Bolkent, S.; Yanardag, R.; Tunali, S. Protective effect of vanadyl sulfate on the pancreas of streptozotocin-induced diabetic rats. Diabetes Res. Clin. Pract. 2005, 70, 103–109. [Google Scholar] [CrossRef] [PubMed]
- Akgun-Dar, K.; Bolkent, S.; Yanardag, R.; Tunali, S. Vanadyl sulfate protects against streptozotocin-induced morphological and biochemical changes in rat aorta. Cell Biochem. Funct. 2007, 25, 603–609. [Google Scholar] [CrossRef] [PubMed]
- Yoshikawa, Y.; Ueda, E.; Kawabe, K.; Miyake, H.; Takino, T.; Sakurai, H.; Kojima, Y.J. Development of new insulinomimetic zinc(II) picolinate complexes with a Zn(N2O2) coordination mode: Structure characterization, in vitro, and in vivo studies. Biol. Inorg. Chem. 2002, 7, 68–73. [Google Scholar] [CrossRef] [PubMed]
- Pratt, D.S. Harrison’s Principles of Internal Medicine; McGraw-Hill: New York, NY, USA, 2001; pp. 1711–1715. [Google Scholar]
- Ganong, W. Review of Medical Physiology, Lange Medical Books; McGraw-Hill: New York, NY, USA, 2003; Volume 13, pp. 912–978. [Google Scholar]
- Sh, A.A.; Zari, T.A. Effects of Nigella sativa L. and Cinnamomum zeylanicum Blume oils on some physiological parameters in streptozotocin-induced diabetic rats. Boletín Latinoamericanoy Caribe Plantas Medicinales Aromáticas 2009, 8, 86–96. [Google Scholar]
- Edwards, N.L. Crystal Deposition Diseases. In Goldman’s Cecil Medicine; Elsevier: Philadelphia, PA, USA, 2012; pp. 1737–1743. [Google Scholar]
- Park, J.; Lee, W.; Ha, J.-S.; Kwon, M.-K.; Lee, H.-J. Corrigendum to “Optical characterization of periodically polarity-inverted ZnO structures on (0001) Al2O3 substrates” [Curr. Appl. Phys. 13(7) (2013) 1213–1217]. Curr. Appl. Phys. 2013, 13, 1787. [Google Scholar] [CrossRef]
- Butt, A.A.; Michaels, S.; Greer, D.; Clark, R.; Kissinger, P.; Martin, D.H. Serum LDH level as a clue to the diagnosis of histoplasmosis. AIDS Read 2002, 12, 317–321. [Google Scholar]
- Karthik, D.; Ravikumar, S. A study on the protective effect of Cynodon dactylon leaves extract in diabetic rats. Biomed. Pharmacother. 2010, 10, 9–19. [Google Scholar]
- Zhang, H.; Yi, Y.; Feng, D.; Wang, Y.; Qin, S. Hypoglycemic properties of oxovanadium (IV) coordination compounds with carboxymethyl-carrageenan and carboxymethyl-chitosan in alloxan-induced diabetic mice. Evid. Based Complement. Altern. Med. 2011, 69, 67–70. [Google Scholar] [CrossRef]
- Ugochukwu, N.H.; Babady, N.E. The effect of Gongronema Latifolium extract on serum lipid profile. Life Sci. 2003, 73, 1925–1938. [Google Scholar] [CrossRef]
- Gad, Z.M.; Ehssan, A.N.; Ghiet, H.M.; Wahman, F.L. Effects of pioglitazone and metformin on carbohydrate metabolism in experimental models of glucose intolerance. Int. J. Diabetes Metab. 2010, 18, 132–138. [Google Scholar]
- Szudelski, T. The mechanism of alloxan and streptozotocin action in B cells of the rat pancreas. Physiol. Res. 2001, 50, 537–546. [Google Scholar]
- Rajasekaran, S.; Sivagnanam, K.; Subramanian, S. Mineral contents of aloe vera leaf gel and their role on streptozotocin-induced diabetic rats. Biol. Trace Elem. Res. 2005, 108, 185–195. [Google Scholar] [CrossRef]
- Pari, L.; Satheesh, M.A. Antidiabetic activity of Boerhaavia diffusa L.: Effect on hepatic key enzymes in experimental diabetes. J. Pharmacol. 2004, 91, 109–113. [Google Scholar] [CrossRef] [PubMed]
- Rajasekaran, S.; Sriram, N.; Arulselvan, P.; Subramanian, S. Effect of Aloe vera leaf gel extract on membrane bound phosphatases and lysosomal hydrolases in rats with streptozotocin diabetes. Diabetes 2006, 62, 221–225. [Google Scholar]
- Pushparaj, P.; Tan, C.; Tan, B. Effects of Averrhoa bilimbi leaf extract on blood glucose and lipids in streptozotocin-diabetic rats. J. Ethnopharmacol. 2000, 72, 69–76. [Google Scholar] [CrossRef]
- Gupta, D.; Raju, J.; Prakash, J.R.; Baquer, N.Z. Change in the lipid profile, lipogenic and related enzymes in the livers of experimental diabetic rats: Effect of insulin and vanadate. Diabetes Res. Clin. Pract. 1999, 46, 1–7. [Google Scholar] [CrossRef]
- Tunali, S.; Yanardag, R. Effect of vanadyl sulfate on the status of lipid parameters and on stomach and spleen tissues of streptozotocin-induced diabetic rats. Pharm. Res. 2006, 53, 271–277. [Google Scholar] [CrossRef]
- Eddouks, M.; Lemhadri, A.; Michel, J.B. Hypolipidemic activity of aqueous extract of Capparis spinosa L. in normal and diabetic rats. J. Ethnopharmacol. 2005, 98, 345–350. [Google Scholar] [CrossRef]
- Sharma, S.B.; Nasir, A.; Prabhu, K.M.; Murthy, P.S.; Dev, G. Hypoglycaemic and hypolipidemic effect of ethanolic extract of seeds of Eugenia jambolana in alloxan-induced diabetic rabbits. J. Ethnopharm. 2003, 85, 201–206. [Google Scholar] [CrossRef]
- Slater, H.L.; Packard, C.J.; Bicker, S.; Shephered, J. Effects of Cholestyramine on Receptor-mediated Plasma Clearance and Tissue Uptake of Human Low Density Lipoproteins in the Rabbit. J. Biol. Chem. 1980, 255, 10210–10213. [Google Scholar] [PubMed]
- Khanna, K.; Rizvi, F.; Chander, R. Lipid lowering activity of Phyllanthus niruriin hyperlipemic rats. J. Ethnopharmacol. 2002, 82, 19–22. [Google Scholar] [CrossRef]
- Subash, P.B.; Prabuseenivasan, S.; Ignacimuthu, S. Cinnamaldehyde—A potential antidiabetic agent. Phytomedicine 2007, 14, 15–22. [Google Scholar] [CrossRef] [PubMed]








| Complex | M. wt. g/mol | % C | % H | % N | % V | μeff BM | Λm (Ω−1cm2 mol−1) |
|---|---|---|---|---|---|---|---|
| (calcd.)/found | |||||||
| NH4[(VO)(FA)(AA1)] (C25H33N9O9V), I | 654 | (45.87) 45.81 | (5.04) 4.98 | (19.26) 19.11 | (7.79) 7.71 | 2.1 | 19 |
| NH4[(VO)(FA)(AA2)] (C23H29N9O10V), II | 642 | (42.99) 42.45 | (4.51) 4.42 | (19.62) 19.44 | (7.94) 7.82 | 1.8 | 13 |
| NH4[(VO)(FA)(AA3)]·H2O (C24H31N9O10V), III | 656 | (43.90) 43.28 | (4.72) 4.66 | (19.20) 19.04 | (7.77) 7.72 | 1.7 | 24 |
| NH4[(VO)(FA)(AA4)]·6H2O (C28H43N9O15V), IV | 796 | (42.21) 42.10 | (5.40) 5.23 | (15.82) 15.76 | (6.40) 6.36 | 2.1 | 17 |
| NH4[(VO)(FA)(AA5)] (C25H34N10O9V), V | 669 | (44.84) 44.39 | (5.08) 5.04 | (20.92) 20.83 | (7.62) 7.54 | 2.2 | 21 |
| NH4[(VO)(FA)(AA6)]·H2O (C24H32N10O11V), VI | 687 | (41.92) 41.76 | (4.65) 4.59 | (20.37) 20.26 | (7.42) 7.31 | 2.2 | 23 |
| Compound | ν(O-H) ν(N-H) | ν(N-H) NH3 | ν(C=O) COOH | ν(COO−) | δ(NH3) | δ(NH2) | ν(V=O) | ν(M-O) | ν(M-N) | |
|---|---|---|---|---|---|---|---|---|---|---|
| Asym | Sym | |||||||||
| FAH2 | 3539 3417 3325 | -- | 1694 | -- | -- | -- | 1607 | -- | -- | -- |
| AA1 | -- | 3060 | -- | 1582 | 1463 | 1513 | -- | -- | -- | -- |
| AA2 | -- | 3170 | -- | 1631 | 1420 | 1474 | -- | -- | -- | -- |
| AA3 | -- | 3064 | -- | 1624 | 1413 | 1490 | -- | -- | -- | -- |
| AA4 | -- | 3150 | -- | 1626 | 1415 | 1502 | -- | -- | -- | -- |
| AA5 | -- | 3049 | -- | 1582 | 1412 | 1517 | -- | -- | -- | -- |
| AA6 | -- | 3178 | -- | 1633 | 1416 | 1484 | -- | -- | -- | -- |
| I | 3384 3191 | -- | 1688 | 1512 | 1409 | -- | 1609 | 1108 | 617 535 | 445 |
| II | 3387 3187 | -- | 1686 | 1483 | 1409 | -- | 1613 | 1114 | 617 565 | 450 |
| III | 3390 3250 3202 | -- | 1687 | 1509 | 1408 | -- | 1610 | 1108 | 616 517 | 440 |
| IV | 3398 3250 3195 | -- | 1688 | 1505 | 1408 | -- | 1613 | 1112 | 616 522 | 460 |
| V | 3389 3253 | -- | 1687 | 1509 | 1407 | -- | 1610 | 1112 | 617 517 | 455 |
| VI | 3400 3199 | -- | 1687 | 1506 | 1410 | -- | 1610 | 1106 | 617 513 | 452 |
| FAH2 | AA1 | Vanadium Metal |
|---|---|---|
| 14.996, 16.870, 18.185, 20.620, 21.548, 22.862, 25.664, 28.293, and 36.738° | 12.735, 19.113, 32.235, and 35.79° | 38.612° |
| Biological Test | Group I | Group II | Group III | Group IV1 | Group IV2 | Group IV3 | Group IV4 | Group IV5 | Group IV6 |
|---|---|---|---|---|---|---|---|---|---|
| Insulin (IU/mL) | 58 ± 2 | 24 ± 3 | 41 ± 1 | 53 ± 1 | 48 ± 2 | 48 ± 2 | 49 ± 2 | 47 ± 1 | 48 ± 2 |
| Glucose (mg/dL) | 78 ± 5 | 410 ± 15 | 284 ± 9 | 191 ± 4 | 247 ± 6 | 249 ± 5 | 245 ± 5 | 225 ± 4 | 240 ± 5 |
| GPT (U/L) | 72 ± 7 | 112 ± 7 | 124 ± 11 | 90 ± 5 | 93 ± 6 | 91 ± 6 | 91 ± 4 | 90 ± 5 | 85 ± 4 |
| Creatinine (mg/dL) | 0.5 ± 0.1 | 1 ± 0.2 | 0.9 ± 0.2 | 0.6 ± 0.1 | 0.6 ± 0.2 | 0.6 ± 0.2 | 0.6 ± 0.2 | 0.6 ± 0.1 | 0.7 ± 0.2 |
| Uric Acid (mg/dL) | 4 ± 0.2 | 5 ± 0.4 | 4 ± 0.3 | 4 ± 0.3 | 4 ± 0.3 | 4 ± 0.3 | 4 ± 0.2 | 4 ± 0.2 | 4 ± 0.2 |
| LDH (U/L) | 295 ± 15 | 410 ± 13 | 435 ± 20 | 355 ± 18 | 340 ± 22 | 359 ± 20 | 356 ± 26 | 330 ± 25 | 367 ± 19 |
| G6PD (U/L) | 12 ± 0.6 | 8 ± 0.5 | 9 ± 0.4 | 11 ± 0.6 | 11 ± 0.3 | 11 ± 0.4 | 11 ± 0.4 | 11 ± 0.4 | 11 ± 0.5 |
| hemoglobin (gldL) | 13 ± 0.4 | 10 ± 0.4 | 11 ± 0.5 | 14 ± 0.7 | 14 ± 0.5 | 14 ± 0.4 | 13 ± 0.6 | 14 ± 0.6 | 14 ± 0.5 |
| SOD (U/mL) | 308 ± 15 | 259 ± 22 | 280 ± 19 | 297 ± 25 | 290 ± 16 | 300 ± 20 | 297 ± 18 | 295 ± 22 | 302 ± 19 |
| Cholesterol (mg/dL) | 76 ± 8 | 211 ± 10.6 | 130 ± 9 | 102 ± 8 | 106 ± 5 | 101 ± 5 | 105 ± 7 | 104 ± 4 | 108 ± 5 |
| Triglyceride (mg/dL) | 140 ± 9 | 197 ± 12 | 157 ± 11 | 145 ± 8 | 149 ± 8 | 143 ± 9 | 145 ± 8 | 143 ± 7 | 143 ± 8 |
| HDL-c (mg/dL) | 42 ± 3 | 21 ± 2 | 32 ± 2 | 35 ± 3 | 35 ± 2 | 36 ± 3 | 37 ± 2 | 36 ± 3 | 36 ± 3 |
| LDL-c (mg/dL) | 31 ± 4 | 53 ± 5 | 43 ± 5 | 38 ± 4 | 42 ± 5 | 39 ± 4 | 39 ± 5 | 39 ± 4 | 38 ± 4 |
© 2020 by the authors. Licensee MDPI, Basel, Switzerland. This article is an open access article distributed under the terms and conditions of the Creative Commons Attribution (CC BY) license (http://creativecommons.org/licenses/by/4.0/).
Share and Cite
M. Naglah, A.; Al-Omar, M.A.; Almehizia, A.A.; Obaidullah, A.J.; Bhat, M.A.; Kalmouch, A.; Al-Wasidi, A.S.; Al-Humaidi, J.Y.; Refat, M.S. Synthesis, Characterization, and Anti-diabetic Activity of Some Novel Vanadium-Folate-Amino Acid Materials. Biomolecules 2020, 10, 781. https://doi.org/10.3390/biom10050781
M. Naglah A, Al-Omar MA, Almehizia AA, Obaidullah AJ, Bhat MA, Kalmouch A, Al-Wasidi AS, Al-Humaidi JY, Refat MS. Synthesis, Characterization, and Anti-diabetic Activity of Some Novel Vanadium-Folate-Amino Acid Materials. Biomolecules. 2020; 10(5):781. https://doi.org/10.3390/biom10050781
Chicago/Turabian StyleM. Naglah, Ahmed, Mohamed A. Al-Omar, Abdulrahman A. Almehizia, Ahmad J. Obaidullah, Mashooq A. Bhat, Atef Kalmouch, Asma S. Al-Wasidi, Jehan Y. Al-Humaidi, and Moamen S. Refat. 2020. "Synthesis, Characterization, and Anti-diabetic Activity of Some Novel Vanadium-Folate-Amino Acid Materials" Biomolecules 10, no. 5: 781. https://doi.org/10.3390/biom10050781
APA StyleM. Naglah, A., Al-Omar, M. A., Almehizia, A. A., Obaidullah, A. J., Bhat, M. A., Kalmouch, A., Al-Wasidi, A. S., Al-Humaidi, J. Y., & Refat, M. S. (2020). Synthesis, Characterization, and Anti-diabetic Activity of Some Novel Vanadium-Folate-Amino Acid Materials. Biomolecules, 10(5), 781. https://doi.org/10.3390/biom10050781

