BAMBI and CHGA in Prion Diseases: Neuropathological Assessment and Potential Role as Disease Biomarkers
Abstract
1. Introduction
2. Materials and Methods
2.1. Animals and Samples
2.2. Gene Expression Analysis
2.3. Immunohistochemical Determination of BAMBI and CHGA
2.4. Western Blot Analysis
2.5. Histopathological Study of Central Nervous System Tissues
2.6. Quantification of BAMBI and CHGA in Cerebrospinal Fluid
3. Results
3.1. Dysregulation of BAMBI and CHGA in the Central Nervous System of Scrapie Animals
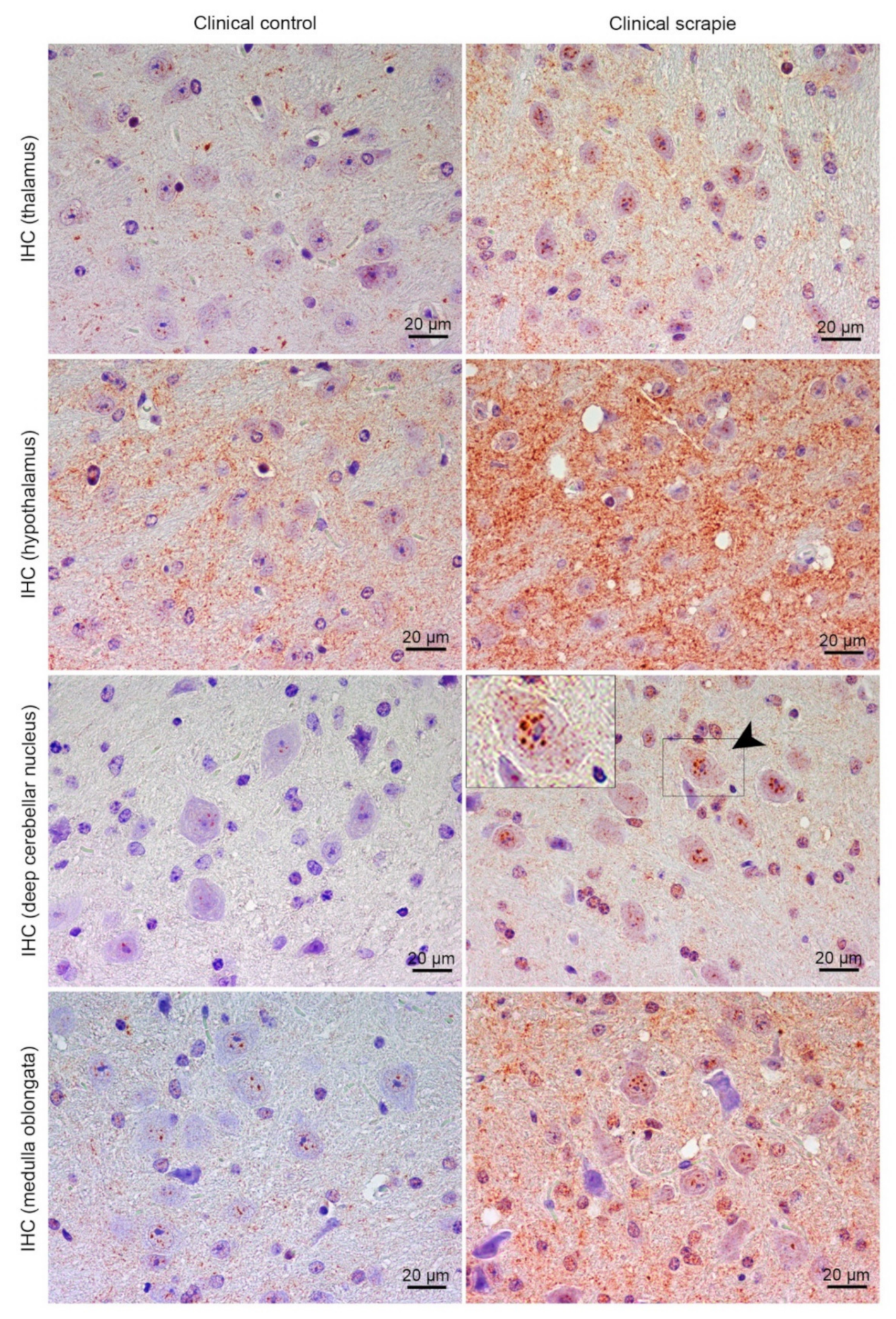
3.2. Overexpression of BAMBI and CHGA Proteins in the Central Nervous System of Scrapie Animals
3.3. Western Blot Quantification of BAMBI and CHGA Proteins in the Central Nervous System of Scrapie-Affected Sheep
3.4. BAMBI and CHGA Expression Positively Correlates with Prion Neuropathology in Scrapie
3.5. BAMBI Is Upregulated in CSF of Scrapie-Affected Sheep at Clinical Stage and CJD Patients
4. Discussion
5. Conclusions
Supplementary Materials
Author Contributions
Funding
Acknowledgments
Conflicts of Interest
References
- Prusiner, S. Novel proteinaceous infectious particles cause scrapie. Science 1982, 216, 136–144. [Google Scholar] [CrossRef] [PubMed]
- Pattison, I.; Jones, K. The possible nature of the transmissible agent of scrapie. Veter. Rec. 1967, 80, 2–9. [Google Scholar] [CrossRef] [PubMed]
- Basu, U.; Guan, L.L.; Moore, S. Functional Genomics Approach for Identification of Molecular Processes Underlying Neurodegenerative Disorders in Prion Diseases. Curr. Genom. 2012, 13, 369–378. [Google Scholar] [CrossRef] [PubMed][Green Version]
- Vanni, S. Omics of Prion Diseases. Prog. Mol. Biol. Transl. Sci. 2017, 150, 409–431. [Google Scholar] [PubMed]
- Xiang, W.; Windl, O.; Westner, I.M.; Neumann, M.; Zerr, I.; Lederer, R.M.; A Kretzschmar, H. Cerebral gene expression profiles in sporadic Creutzfeldt-Jakob disease. Ann. Neurol. 2005, 58, 242–257. [Google Scholar] [CrossRef]
- Filali, H.; Martin-Burriel, I.; Harders, F.; Varona, L.; Lyahyai, J.; Zaragoza, P.; Pumarola, M.; Badiola, J.J.; Bossers, A.; Bolea, R. Gene Expression Profiling and Association with Prion-Related Lesions in the Medulla Oblongata of Symptomatic Natural Scrapie Animals. PLOS ONE 2011, 6, e19909. [Google Scholar] [CrossRef]
- Filali, H.; Martin-Burriel, I.; Harders, F.; Varona, L.; Serrano, C.; Acin, C.; Díez, J.J.B.; Bossers, A.; Bolea, R. Medulla oblongata transcriptome changes during presymptomatic natural scrapie and their association with prion-related lesions. BMC Genom. 2012, 13, 399. [Google Scholar] [CrossRef]
- Llorens, F.; Barrio, T.; Correia, A.; Villar-Pique, A.; Thüne, K.; Lange, P.; Díez, J.J.B.; Schmitz, M.; Lachmann, I.; Bolea, R.; et al. Cerebrospinal Fluid Prion Disease Biomarkers in Pre-clinical and Clinical Naturally Occurring Scrapie. Mol. Neurobiol. 2018, 55, 8586–8591. [Google Scholar] [CrossRef]
- Marbiah, M.M.; Harvey, A.; West, B.T.; Louzolo, A.; Banerjee, P.; Alden, J.; Grigoriadis, A.; Hummerich, H.; Kan, H.-M.; Cai, Y.; et al. Identification of a gene regulatory network associated with prion replication. EMBO J. 2014, 33, 1527–1547. [Google Scholar] [CrossRef]
- Muñoz-Gutiérrez, J.F.; Pierlé, S.A.; Schneider, D.A.; Baszler, T.V.; Stanton, J.B. Transcriptomic Determinants of Scrapie Prion Propagation in Cultured Ovine Microglia. PLoS ONE 2016, 11, e0147727. [Google Scholar] [CrossRef]
- D’Amico, M.A.; Ghinassi, B.; Izzicupo, P.; Manzoli, L.; Di Baldassarre, A. Biological function and clinical relevance of chromogranin A and derived peptides. Endocr. Connect. 2014, 3, R45–R54. [Google Scholar] [CrossRef] [PubMed]
- Bartolomucci, A.; Pasinetti, G.; Salton, S.R. Granins as disease-biomarkers: Translational potential for psychiatric and neurological disorders. Neuroscience 2010, 170, 289–297. [Google Scholar] [CrossRef] [PubMed]
- Rangon, C.-M.; Ha??k, S.; Faucheux, B.A.; Metz-Boutigue, M.-H.; Fierville, F.; Fuchs, J.-P.; Hauw, J.-J.; Aunis, M. Different chromogranin immunoreactivity between prion and a-beta amyloid plaque. NeuroReport 2003, 14, 755–758. [Google Scholar] [CrossRef] [PubMed]
- Onichtchouk, D.; Chen, Y.-G.; Dosch, R.; Gawantka, V.; Delius, H.; Massagué, J.; Niehrs, C.; Onichtchouk, D. Silencing of TGF-β signalling by the pseudoreceptor BAMBI. Nat. 1999, 401, 480–485. [Google Scholar] [CrossRef]
- Yan, X.; Lin, Z.; Chen, F.; Zhao, X.; Chen, H.; Ning, Y.; Chen, Y.-G. Human BAMBI Cooperates with Smad7 to Inhibit Transforming Growth Factor-β Signaling. J. Boil. Chem. 2009, 284, 30097–30104. [Google Scholar] [CrossRef]
- Tramullas, M.; Lantero, A.; Díaz, Á.; Morchón, N.; Merino, D.; Villar, A.V.; Buscher, D.; Merino, R.; Hurle, J.; Belmonte, J.C.I.; et al. BAMBI (Bone Morphogenetic Protein and Activin Membrane-Bound Inhibitor) Reveals the Involvement of the Transforming Growth Factor-β Family in Pain Modulation. J. Neurosci. 2010, 30, 1502–1511. [Google Scholar] [CrossRef]
- López-Pérez, Ó.; Otero, A.; Filali, H.; Sanz-Rubio, D.; Toivonen, J.M.; Zaragoza, P.; Badiola, J.J.; Bolea, R.; Martin-Burriel, I. Dysregulation of autophagy in the central nervous system of sheep naturally infected with classical scrapie. Sci. Rep. 2019, 9, 1911. [Google Scholar] [CrossRef]
- Rubio, D.S.; López-Pérez, Ó.; Pablo, Á.D.A.; Bolea, R.; Osta, R.; Badiola, J.J.; Zaragoza, P.; Martin-Burriel, I.; Toivonen, J. Increased circulating microRNAs miR-342-3p and miR-21-5p in natural sheep prion disease. J. Gen. Virol. 2017, 98, 305–310. [Google Scholar] [CrossRef]
- Laude, H.; Vilette, D.; Le Dur, A.; Archer, F.; Soulier, S.; Besnard, N.; Essalmani, R.; Vilotte, J.-L. New in vivo and ex vivo models for the experimental study of sheep scrapie: Development and perspectives. Comptes Rendus Boil. 2002, 325, 49–57. [Google Scholar] [CrossRef]
- López-Pérez, Ó.; Toivonen, J.M.; Otero, A.; Solanas, L.; Zaragoza, P.; Badiola, J.J.; Osta, R.; Bolea, R.; Martin-Burriel, I. Impairment of autophagy in scrapie-infected transgenic mice at the clinical stage. Lab. Investig. 2019, 100, 52–63. [Google Scholar] [CrossRef]
- Vidal, E.; Acin, C.; Foradada, L.; Monzon, M.; Márquez, M.; Monleón, E.; Pumarola, M.; Badiola, J.; Bolea, R. Immunohistochemical Characterisation of Classical Scrapie Neuropathology in Sheep. J. Comp. Pathol. 2009, 141, 135–146. [Google Scholar] [CrossRef] [PubMed]
- Lyahyai, J.; Serrano, C.; Ranera, B.; Badiola, J.J.; Zaragoza, P.; Martin-Burriel, I. Effect of Scrapie on the Stability of Housekeeping Genes. Anim. Biotechnol. 2009, 21, 1–13. [Google Scholar] [CrossRef] [PubMed]
- Ruijter, J.M.; Ramakers, C.; Hoogaars, W.M.H.; Karlen, Y.; Bakker, O.; Hoff, M.J.B.V.D.; Moorman, A.F.M. Amplification efficiency: Linking baseline and bias in the analysis of quantitative PCR data. Nucleic Acids Res. 2009, 37, e45. [Google Scholar] [CrossRef] [PubMed]
- Fraser, H.; Dickinson, A. The sequential development of the brain lesions of scrapie in three strains of mice. J. Comp. Pathol. 1968, 78, 301–311. [Google Scholar] [CrossRef]
- E Bruce, M. TSE strain variation. Br. Med. Bull. 2003, 66, 99–108. [Google Scholar] [CrossRef]
- Vidal, E.; Márquez, M.; Tortosa, R.; Costa, C.; Serafin, A.; Pumarola, M. Immunohistochemical approach to the pathogenesis of bovine spongiform encephalopathy in its early stages. J. Virol. Methods 2006, 134, 15–29. [Google Scholar] [CrossRef]
- Jalland, C.M.O.; Scheffler, K.; Benestad, S.L.; Moldal, T.; Ersdal, C.; Gunnes, G.; Suganthan, P.N.; Bjørås, M.; Tranulis, M.A. Neil3 induced neurogenesis protects against prion disease during the clinical phase. Sci. Rep. 2016, 6, 37844. [Google Scholar] [CrossRef]
- Dot Blot Analysis. Available online: http://rsb.info.nih.gov/ij/docs/examples/dot-blot/index.html, (accessed on 30 April 2020).
- Zerr, I.; Bodemer, M.; Gefeller, O.; Otto, M.; Poser, S.; Wiltfang, J.; Windl, O.; Kretzschmar, H.A.; Weber, T. Detection of 14-3-3 protein in the cerebrospinal fluid supports the diagnosis of Creutzfeldt-Jakob disease. Ann. Neurol. 1998, 43, 32–40. [Google Scholar] [CrossRef]
- Metz-Boutigue, M.; Garcia-Sablone, P.; Hogue-Angeletti, R.; Aunis, M. Intracellular and extracellular processing of chromogranin A. Determination of cleavage sites. JBIC J. Boil. Inorg. Chem. 1993, 217, 247–257. [Google Scholar] [CrossRef]
- Taupenot, L.; Harper, K.L.; O’Connor, D.T. The Chromogranin–Secretogranin Family. New Engl. J. Med. 2003, 348, 1134–1149. [Google Scholar] [CrossRef]
- Lassmann, H.; Weiler, R.; Fischer, P.; Bancher, C.; Jellinger, K.; Floor, E.; Danielczyk, W.; Seitelberger, F.; Winkler, H. Synaptic pathology in alzheimer’s disease: Immunological data for markers of synaptic and large dense-core vesicles. Neuroscience 1992, 46, 1–8. [Google Scholar] [CrossRef]
- Weiler, R.; Lassmann, H.; Fischer, P.; Jellinger, K.; Winkler, H. A high ratio of chromogranin A to synaptin/synaptophysin is a common feature of brains in Alzheimer and Pick disease. FEBS Lett. 1990, 263, 337–339. [Google Scholar] [CrossRef]
- Willis, M.; Leitner, I.; Jellinger, K.A.; Marksteiner, J. Chromogranin peptides in brain diseases. J. Neural Transm. 2011, 118, 727–735. [Google Scholar] [CrossRef]
- Ciesielski-Treska, J.; Ulrich, G.; Taupenot, L.; Chasserot-Golaz, S.; Corti, A.; Aunis, D.; Bader, M.-F. Chromogranin A Induces a Neurotoxic Phenotype in Brain Microglial Cells. J. Boil. Chem. 1998, 273, 14339–14346. [Google Scholar] [CrossRef] [PubMed]
- Taupenot, L.; Ciesielski-Treska, J.; Ulrich, G.; Chasserot-Golaz, S.; Aunis, D.; Bader, M.-F. Chromogranin a triggers a phenotypic transformation and the generation of nitric oxide in brain microglial cells. Neuroscience 1996, 72, 377–389. [Google Scholar] [CrossRef]
- Heneka, M.T.; O’Banion, M.; Terwel, D.; Kummer, M. Neuroinflammatory processes in Alzheimer’s disease. J. Neural. Transm. 2010, 117, 919–947. [Google Scholar] [CrossRef] [PubMed]
- Venegas, C.; Heneka, M.T. Danger-associated molecular patterns in Alzheimer’s disease. J. Leukoc. Boil. 2016, 101, 87–98. [Google Scholar] [CrossRef]
- Nishimura, M.; Tomimoto, H.; Suenaga, T.; Nakamura, S.; Namba, Y.; Ikeda, K.; Akiguchi, I.; Kimura, J. Synaptophysin and chromogranin A immunoreactivities of Lewy bodies in Parkinson’s disease brains. Brain Res. 1994, 634, 339–344. [Google Scholar] [CrossRef]
- Yasuhara, O.; Kawamata, T.; Aimi, Y.; McGeer, E.G.; McGeer, P.L. Expression of chromogranin A in lesions in the central nervous system from patients with neurological diseases. Neurosci. Lett. 1994, 170, 13–16. [Google Scholar] [CrossRef]
- Kaiserová, M.; Grambalova, Z.; Otruba, P.; Stejskal, D.; Vranova, H.P.; Mareš, J.; Mensikova, K.; Kanovsky, P. Cerebrospinal fluid levels of chromogranin A and phosphorylated neurofilament heavy chain are elevated in amyotrophic lateral sclerosis. Acta Neurol. Scand. 2017, 136, 360–364. [Google Scholar] [CrossRef]
- Bai, L.; Chu, G.; Mai, Y.; Zheng, J.; Wang, W.; Zhang, Q.; Yang, G. Identification and expression analyses of BAMBI mediated by FSH in swine luteinizing granulosa cells. Theriogenology 2014, 82, 1094–1101. [Google Scholar] [CrossRef] [PubMed]
- Pils, D.; Wittinger, M.; Petz, M.; Gugerell, A.; Gregor, W.; Alfanz, A.; Horvat, R.; Braicu, I.; Sehouli, J.; Zeillinger, R.; et al. BAMBI is overexpressed in ovarian cancer and co-translocates with Smads into the nucleus upon TGF-ß treatment. Gynecol. Oncol. 2010, 117, 189–197. [Google Scholar] [CrossRef] [PubMed]
- Villar, A.V.; Garcia, R.; Llano, M.; Cobo, M.; Merino, D.; Lantero, A.; Tramullas, M.; Hurle, J.; Hurlé, M.A.; Nistal, J.F. BAMBI (BMP and activin membrane-bound inhibitor) protects the murine heart from pressure-overload biomechanical stress by restraining TGF-β signaling. Biochim. et Biophys. Acta (BBA) - Mol. Basis Dis. 2013, 1832, 323–335. [Google Scholar] [CrossRef] [PubMed]
- Llorens, F.; López-González, I.; Thüne, K.; Carmona, M.; Zafar, S.; Andréoletti, O.; Zerr, I.; Ferrer, I.; López-González, I.; Thüne, K.; et al. Subtype and Regional-Specific Neuroinflammation in Sporadic Creutzfeldt-jakob Disease. Front. Aging Neurosci. 2014, 6. [Google Scholar] [CrossRef]
- Serrano, C.; Lyahyai, J.; Bolea, R.; Varona, L.; Monleón, E.; Badiola, J.J.; Zaragoza, P.; Martin-Burriel, I. Distinct spatial activation of intrinsic and extrinsic apoptosis pathways in natural scrapie: Association with prion-related lesions. Veter. Res. 2009, 40, 42. [Google Scholar] [CrossRef] [PubMed][Green Version]
- Almeida, L.M.; Basu, U.; Khaniya, B.; Taniguchi, M.; Williams, J.; Moore, S.; Guan, L.L. Gene Expression in the Medulla Following Oral Infection of Cattle with Bovine Spongiform Encephalopathy. J. Toxicol. Environ. Heal. Part A 2011, 74, 110–126. [Google Scholar] [CrossRef]
- Affram, K.O.; Mitchell, K.; Symes, A.J. Microglial Activation Results in Inhibition of TGF-β-Regulated Gene Expression. J. Mol. Neurosci. 2017, 63, 308–319. [Google Scholar] [CrossRef]








| Sheep | Tg338 Mice | |||||||
|---|---|---|---|---|---|---|---|---|
| Preclinical Stage | Clinical Stage | Total Set | Scrapie Clinical + Preclinical | |||||
| Control + Scrapie | Scrapie | Control + Scrapie | Scrapie | Control + Scrapie | Scrapie | |||
| BAMBI | ||||||||
| Spongiosis | 0.362 *** | 0.563 *** | 0.379 *** | 0.545 *** | 0.559 *** | 0.709 *** | 0.483 *** | 0.648 *** |
| Intraneuronal vacuolation | 0.392 *** | 0.447 *** | ---- | ---- | ---- | ---- | ---- | ---- |
| PrPSc deposition | 0.409 *** | 0.540 *** | ---- | N.S. | ---- | 0.454 ** | ---- | 0.327 * |
| Microgliosis | 0.313 *** | 0.489 *** | 0.487 *** | 0.515 ** | 0.371 *** | 0.535 *** | 0.422 *** | 0.575 *** |
| CHGA | ||||||||
| Spongiosis | 0.431 *** | 0.564 *** | 0.518 *** | 0.625 *** | 0.668 *** | 0.694 *** | 0.594 *** | 0.694 *** |
| Intraneuronal vacuolation | 0.345 *** | 0.476 *** | ---- | ---- | ---- | ---- | ---- | ---- |
| PrPSc deposition | 0.507 *** | 0.530 *** | ---- | N.S. | ---- | 0.454 ** | ---- | 0.550 *** |
| Microgliosis | 0.360 *** | 0.451 *** | 0.559 *** | 0.543 *** | 0.724 *** | 0.609 *** | 0.644 *** | 0.662 *** |
| BAMBI/CHGA | 0.702 *** | 0.765 *** | 0.603 *** | 0.637 *** | 0.520 *** | 0.613 *** | 0.545 *** | 0.645 *** |
© 2020 by the authors. Licensee MDPI, Basel, Switzerland. This article is an open access article distributed under the terms and conditions of the Creative Commons Attribution (CC BY) license (http://creativecommons.org/licenses/by/4.0/).
Share and Cite
López-Pérez, Ó.; Bernal-Martín, M.; Hernaiz, A.; Llorens, F.; Betancor, M.; Otero, A.; Toivonen, J.M.; Zaragoza, P.; Zerr, I.; Badiola, J.J.; et al. BAMBI and CHGA in Prion Diseases: Neuropathological Assessment and Potential Role as Disease Biomarkers. Biomolecules 2020, 10, 706. https://doi.org/10.3390/biom10050706
López-Pérez Ó, Bernal-Martín M, Hernaiz A, Llorens F, Betancor M, Otero A, Toivonen JM, Zaragoza P, Zerr I, Badiola JJ, et al. BAMBI and CHGA in Prion Diseases: Neuropathological Assessment and Potential Role as Disease Biomarkers. Biomolecules. 2020; 10(5):706. https://doi.org/10.3390/biom10050706
Chicago/Turabian StyleLópez-Pérez, Óscar, Marcos Bernal-Martín, Adelaida Hernaiz, Franc Llorens, Marina Betancor, Alicia Otero, Janne Markus Toivonen, Pilar Zaragoza, Inga Zerr, Juan José Badiola, and et al. 2020. "BAMBI and CHGA in Prion Diseases: Neuropathological Assessment and Potential Role as Disease Biomarkers" Biomolecules 10, no. 5: 706. https://doi.org/10.3390/biom10050706
APA StyleLópez-Pérez, Ó., Bernal-Martín, M., Hernaiz, A., Llorens, F., Betancor, M., Otero, A., Toivonen, J. M., Zaragoza, P., Zerr, I., Badiola, J. J., Bolea, R., & Martín-Burriel, I. (2020). BAMBI and CHGA in Prion Diseases: Neuropathological Assessment and Potential Role as Disease Biomarkers. Biomolecules, 10(5), 706. https://doi.org/10.3390/biom10050706

