Oxidative Stress, Energy Metabolism Disorder, Mitochondrial Damage, and miR-144 Participated in Molecular Mechanisms of 4-Octylphenol-Caused Cardiac Autophagic Damage in Common Carps (Cyprinus carpio L.)
Abstract
1. Introduction
2. Materials and Methods
2.1. Animal Ethics and Animal Sources
2.2. Animal Rearing and Experimental Design
2.2.1. Animal Rearing
2.2.2. Experimental Design
2.3. Observation of the Heart Microstructure with Hematoxylin and Eosin Staining
2.4. Observation of the Heart Ultrastructure with Transmission Electron Microscopy
2.5. Determination of Oxidative Stress Markers and ATPase Activities with Assay Kits
2.6. Quantitative Real-Time PCR (qRT-PCR) Analysis of Gene Expression
2.7. Western Blot Analysis of Protein Expression
2.8. Statistical Analysis
3. Results
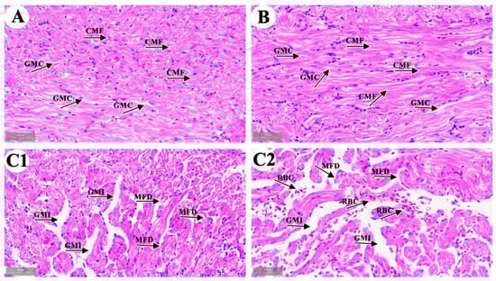
3.1. The Effect of 4-OP Exposure on Heart Tissue Microstructure
3.2. The Effect of 4-OP Exposure on Heart Tissue Ultrastructure
3.3. The Effect of 4-OP Exposure on Autophagy Factors
3.4. The Effect of 4-OP Exposure on miR-144 and Its Three Target Genes
3.5. The Effect of 4-OP Exposure on Mitochondrial Fission and Mitochondrial Fusion Factors
3.6. The Effect of 4-OP Exposure on Energy Metabolism Factors
3.7. The Effect of 4-OP Exposure on Oxidative Stress Indexes
4. Discussion
4.1. 4-OP Treatment Induced Heart Damage in Common Carp
4.2. 4-OP Exposure Induced Autophagy
4.3. miR-144 Mediated 4-OP-Induced Autophagy
4.4. 4-OP Exposure Caused Energy Metabolism Disorder
4.5. 4-OP Treatment Induced Mitochondrial Damage
4.6. Exposure to 4-OP Caused Oxidative Stress
5. Conclusions
Supplementary Materials
Author Contributions
Funding
Institutional Review Board Statement
Informed Consent Statement
Data Availability Statement
Conflicts of Interest
Abbreviations
| Abbreviations | Original words | 
| 4-OP | 4-Octylphenol | 
| HK1 | hexokinase 1 | 
| HK2 | hexokinase 2 | 
| LDHA | lactate dehydrogenase A | 
| PGK1 | phosphoglycerate kinase 1 | 
| PGAM2 | phosphoglycerate mutase 2 | 
| AMPK | AMP-activated protein kinases | 
| PI3K | phosphatidylinositol 3-kinase | 
| AKT | Akt kinase | 
| mTOR | mechanistic target of rapamycin kinase | 
| ULK1 | unc-51 like autophagy activating kinase 1 | 
| ATG13 | autophagy related 13 | 
| RB1CC1/FIP200 | RB1 inducible coiled-coil 1 | 
| P62/SQSTM1 | sequestosome 1 | 
| Beclin1 | beclin 1 | 
| ATG5 | autophagy related 5 | 
| ATG12 | autophagy related 12 | 
| LC3-I | Microtubule-associated protein 1A/1B-light chain 3-I | 
| LC3-II | Microtubule-associated protein 1A/1B-light chain 3-II | 
| Mfn1 | mitofusin 1 | 
| Mfn2 | mitofusin 2 | 
| Opa1 | OPA1 mitochondrial dynamin like GTPase | 
| Drp1 | Dynamin-related protein 1 | 
| Fis1 | fission, mitochondrial 1 | 
| Mff | mitochondrial fission factor | 
References
- Aborkhees, G.; Raina-Fulton, R.; Thirunavokkarasu, O. Determination of Endocrine Disrupting Chemicals in Water and Wastewater Samples by Liquid Chromatography-Negative Ion Electrospray Ionization-Tandem Mass Spectrometry. Molecules 2020, 25, 3906. [Google Scholar] [CrossRef] [PubMed]
- Wang, W.; Ndungu, A.W.; Wang, J. Monitoring of Endocrine-Disrupting Compounds in Surface Water and Sediments of the Three Gorges Reservoir Region, China. Arch. Environ. Contam. Toxicol. 2016, 71, 509–517. [Google Scholar] [CrossRef]
- Wacheski, T.; Hara, E.; Soares, B.; da Silva, B.; Abate, G.; Grassi, M. o-DGTDevices for the determination of emerging contaminants in aqueous matrices. J. Braz. Chem. Soc. 2021, 23, 72–82. [Google Scholar] [CrossRef]
- Gu, Y.; Yu, J.; Hu, X.; Yin, D. Characteristics of the alkylphenol and bisphenol A distributions in marine organisms and implications for human health: A case study of the East China Sea. Sci. Total Environ. 2016, 539, 460–469. [Google Scholar] [CrossRef]
- Nurulnadia, M.Y.; Zahid, B.M.; Yusof, K.M.K.K. Accumulation of octylphenol and nonylphenol in the fishes of Terengganu, Malaysia. Reg. Stud. Mar. Sci. 2025, 83, 104061. [Google Scholar] [CrossRef]
- Chen, G.W.; Ding, W.H.; Ku, H.Y.; Chao, H.R.; Chen, H.Y.; Huang, M.C.; Wang, S.L. Alkylphenols in human milk and their relations to dietary habits in central Taiwan. Food Chem. Toxicol. 2010, 48, 1939–1944. [Google Scholar] [CrossRef]
- Isidori, M.; Cangiano, M.; Palermo, F.A.; Parrella, A. E-screen and vitellogenin assay for the detection of the estrogenic activity of alkylphenols and trace elements. Comp. Biochem. Physiol. C Toxicol. Pharmacol. 2010, 152, 51–56. [Google Scholar] [CrossRef]
- Kaptaner, B. Cytotoxic effects of 4-octylphenol on fish hepatocytes. Cytotechnology 2016, 68, 1577–1583, Erratum in Cytotechnology 2016, 68, 175. [Google Scholar] [CrossRef][Green Version]
- Sun, Q.; Liu, Y.; Teng, X.; Luan, P.; Teng, X.; Yin, X. Immunosuppression participated in complement activation-mediated inflammatory injury caused by 4-octylphenol via TLR7/IκBα/NF-κB pathway in common carp (Cyprinus common carpio) gills. Aquat. Toxicol. 2022, 249, 106211. [Google Scholar] [CrossRef]
- Fu, X.; Xu, J.; Zhang, R.; Yu, J. The association between environmental endocrine disruptors and cardiovascular diseases: A systematic review and meta-analysis. Environ. Res. 2020, 187, 109464. [Google Scholar] [CrossRef]
- Yokota, H.; Seki, M.; Maeda, M.; Oshima, Y.; Tadokoro, H.; Honjo, T.; Kobayashi, K. Life-cycle toxicity of 4-nonylphenol to medaka (Oryzias latipes). Environ. Toxicol. Chem. 2001, 20, 2552–2560. [Google Scholar] [CrossRef] [PubMed]
- Saputra, F.; Yen, C.H.; Hsieh, C.Y.; Ou, T.Y.; Risjani, Y.; Cheah, W.K.; Hu, S.Y. Toxicity effects of the environmental hormone 4-tert-octylphenol in zebrafish (Danio rerio). Int. J. Mar. Sci. 2016, 6, 1–12. [Google Scholar] [CrossRef]
- Tao, Y.; Yang, Y.; Jiao, Y.; Wu, S.; Zhu, G.; Akindolie, M.S.; Zhu, T.; Qu, J.; Wang, L.; Zhang, Y. Monobutyl phthalate (MBP) induces energy metabolism disturbances in the gills of adult zebrafish (Danio rerio). Environ. Pollut. 2020, 266 Pt 1, 115288. [Google Scholar] [CrossRef] [PubMed]
- Liu, Y.; Lin, X.; Hao, Z.; Yu, M.; Tang, Y.; Teng, X.; Sun, W.; Kang, L. Cadmium exposure caused cardiotoxicity in common carps (Cyprinus carpio L.): miR-9-5p, oxidative stress, energetic impairment, mitochondrial division/fusion imbalance, inflammation, and autophagy. Fish Shellfish Immunol. 2023, 138, 108853. [Google Scholar] [CrossRef]
- Mukherjee, U.; Samanta, A.; Biswas, S.; Ghosh, S.; Das, S.; Banerjee, S.; Maitra, S. Chronic exposure to nonylphenol induces oxidative stress and liver damage in male zebrafish (Danio rerio): Mechanistic insight into cellular energy sensors, lipid accumulation and immune modulation. Chem. Biol. Interact. 2022, 351, 109762. [Google Scholar] [CrossRef]
- Mehinto, A.C.; Prucha, M.S.; Colli-Dula, R.C.; Kroll, K.J.; Lavelle, C.M.; Barber, D.S.; Vulpe, C.D.; Denslow, N.D. Gene networks and toxicity pathways induced by acute cadmium exposure in adult largemouth bass (Micropterus salmoides). Aquat. Toxicol. 2014, 152, 186–194. [Google Scholar] [CrossRef]
- Wei, P.; Jiang, G.; Wang, H.; Ru, S.; Zhao, F. Bisphenol AF exposure causes fasting hyperglycemia in zebrafish (Danio rerio) by interfering with glycometabolic networks. Aquat. Toxicol. 2021, 241, 106000. [Google Scholar] [CrossRef]
- Zhang, Y.; Jiang, Y.; Wang, Z.; Wang, J.; Zhu, M.; Yang, H. Effects of Dietary Resveratrol, Bile Acids, Allicin, Betaine, and Inositol on Recovering the Lipid Metabolism Disorder in the Liver of Rare Minnow Gobiocypris rarus Caused by Bisphenol A. Aquac. Nutr. 2022, 2022, 6082343. [Google Scholar] [CrossRef]
- Wang, Q.; Ma, W.; Zhang, S. Important roles of heme-regulated eIF-2α kinase in cadmium-induced glycolysis under acute exposure. Environ. Sci. Pollut. Res. Int. 2023, 30, 88444–88449. [Google Scholar] [CrossRef]
- Li, L.; Li, W.; Liu, Y.; Han, B.; Yu, Y.; Lin, H. MEHP induced mitochondrial damage by promoting ROS production in CIK cells, leading to apoptosis, autophagy, cell cycle arrest. Comp. Biochem. Physiol. C Toxicol. Pharmacol. 2025, 288, 110064. [Google Scholar] [CrossRef]
- Fan, X.; Zhang, D.; Hou, T.; Zhang, Q.; Tao, L.; Bian, C.; Wang, Z. Mitochondrial DNA Stress-Mediated Health Risk to Dibutyl Phthalate Contamination on Zebrafish (Danio rerio) at Early Life Stage. Environ. Sci. Technol. 2024, 58, 7731–7742. [Google Scholar] [CrossRef] [PubMed]
- Cui, J.; Zhou, Q.; Yu, M.; Liu, Y.; Teng, X.; Gu, X. 4-tert-butylphenol triggers common carp hepatocytes ferroptosis via oxidative stress, iron overload, SLC7A11/GSH/GPX4 axis, and ATF4/HSPA5/GPX4 axis. Ecotoxicol. Environ. Saf. 2022, 242, 113944. [Google Scholar] [CrossRef] [PubMed]
- Liang, J.; Lin, X.; Jiang, C.; Liu, Y.; Hao, Z.; Qiu, M.; Liu, X.; Chen, D.; Teng, X.; Tang, Y. Molecular mechanism of apoptosis induced by 4-tBP in common carp (Cyprinus carpio L.) head kidneys was explored from various angles: Hippo pathway, miR-203a, oxidative stress, ER stress, and mitochondrial pathway. Aquaculture 2024, 289, 740981. [Google Scholar] [CrossRef]
- Desai, J.K.; Trangadia, B.J.; Patel, U.D.; Patel, H.B.; Kalaria, V.A.; Kathiriya, J.B. Neurotoxicity of 4-nonylphenol in adult zebrafish: Evaluation of behaviour, oxidative stress parameters and histopathology of brain. Environ. Pollut. 2023, 334, 122206, Erratum in Environ. Pollut. 2024, 357, 124411. [Google Scholar] [CrossRef]
- Søfteland, L.; Holen, E.; Olsvik, P.A. Toxicological application of primary hepatocyte cell cultures of Atlantic cod (Gadus morhua)—effects of BNF, PCDD and Cd. Comp. Biochem. Physiol. C Toxicol. Pharmacol. 2010, 151, 401–411. [Google Scholar] [CrossRef]
- Xie, J.; Yin, Y.; Lin, B.; Li, X.; Li, Q.; Tang, X.; Pan, L.; Xiong, X. Autophagy and PPARs/NF-κB-associated inflammation are involved in hepatotoxicity induced by the synthetic phenolic antioxidant 2,4-di-tert-butylphenol in common carp (Cyprinus carpio). Ecotoxicol. Environ. Saf. 2024, 284, 116937. [Google Scholar] [CrossRef]
- Mahemuti, L.; Chen, Q.; Coughlan, M.C.; Qiao, C.; Chepelev, N.L.; Florian, M.; Dong, D.; Woodworth, R.G.; Yan, J.; Cao, X.L.; et al. Bisphenol A induces DSB-ATM-p53 signaling leading to cell cycle arrest, senescence, autophagy, stress response, and estrogen release in human fetal lung fibroblasts. Arch. Toxicol. 2018, 92, 1453–1469. [Google Scholar] [CrossRef]
- Li, S.; Xie, J.; Bai, Y.; Jiang, Z.; Li, K.; Wu, C. Synthetic phenolic antioxidants evoked hepatoxicity in grass carp (Ctenopharyngodon idella) through modulating the ROS-PI3K/mTOR/AKT pathway: Apoptosis-autophagy crosstalk. Fish Shellfish Immunol. 2023, 139, 108906. [Google Scholar] [CrossRef]
- Hao, Z.; Qiu, M.; Liu, Y.; Liu, Y.; Chang, M.; Liu, X.; Wang, Y.; Sun, W.; Teng, X.; Tang, Y. Co-exposure to ammonia and lipopolysaccharide-induced impaired energy metabolism via the miR-1599/HK2 axis and triggered autophagy, ER stress, and apoptosis in chicken cardiomyocytes. Poult. Sci. 2025, 104, 104965. [Google Scholar] [CrossRef]
- Cui, J.; Liang, Z.; Liu, Y.; Hao, Z.; Tang, Y.; Zhou, L.; Teng, X. Environmental endocrine disrupting chemical 4-tert-butylphenol induced calcium overload and subsequent autophagy impairment via miRNA-363/CACNA1D Axis in epithelioma papulosum cyprini cells. Comp. Biochem. Physiol. C Toxicol. Pharmacol. 2024, 283, 109968. [Google Scholar] [CrossRef]
- Zhou, Q.; Hao, Z.; Qiu, M.; Liu, Y.; Chang, M.; Liu, X.; Wang, Y.; Tang, Y.; Sun, W.; Teng, X.; et al. Amino acid metabolism disorder and oxidative stress took part in EGCG alleviating Mn-caused ferroptosis via miR-9-5p/got1 axis. J. Hazard. Mater. 2025, 489, 137656. [Google Scholar] [CrossRef] [PubMed]
- Qiu, M.; Hao, Z.; Liu, Y.; Liu, Y.; Chang, M.; Lin, X.; Liu, X.; Dong, N.; Sun, W.; Teng, X. ROS acted as an initial role in selenium nanoparticles alleviating insecticide chlorpyrifos-induced oxidative stress, pyroptosis, and intestinal barrier dysfunction in porcine intestinal epithelial cells. Pestic. Biochem. Physiol. 2025, 211, 106418. [Google Scholar] [CrossRef] [PubMed]
- Li, H.H.; Liu, X.; Wang, Y.P.; Xu, X.; Zhu, L.; Zhang, W.; Ren, K. Atractylenolide I Inhibits Nicotine-Induced Macrophage Pyroptosis and Alleviates Atherogenesis by Suppressing the TLR4/ROS/TXNIP/NLRP3 Pathway. Metabolites 2025, 15, 329. [Google Scholar] [CrossRef]
- Che, X.; Shang, X.; WeiXu Xing, M.; Wei, H.; Li, W.; Li, Z.; Teng, X.; Geng, L. Selenium-enriched Lactiplantibacillus plantarum alleviates alkalinity stress-induced selective hepatic insulin resistance in common carp. Int. J. Biol. Macromol. 2025, 305, 141204. [Google Scholar] [CrossRef]
- Wu, H.; Guo, J.; Yao, Y.; Xu, S. Polystyrene nanoplastics induced cardiomyocyte apoptosis and myocardial inflammation in common carp by promoting ROS production. Fish Shellfish Immunol. 2022, 125, 1–8. [Google Scholar] [CrossRef]
- Thorne, R.F.; Yang, Y.; Wu, M.; Chen, S. TRIMming down autophagy in breast cancer. Autophagy 2022, 18, 2512–2513. [Google Scholar] [CrossRef]
- Liu, W.; Gan, Y.; Ding, Y.; Zhang, L.; Jiao, X.; Liu, L.; Cao, H.; Gu, Y.; Yan, L.; Wang, Y.; et al. Autophagy promotes GSDME-mediated pyroptosis via intrinsic and extrinsic apoptotic pathways in cobalt chloride-induced hypoxia reoxygenation-acute kidney injury. Ecotoxicol. Environ. Saf. 2022, 242, 113881. [Google Scholar] [CrossRef]
- Guney Eskiler, G.; Ozturk, M. Therapeutic potential of the PI3K inhibitor LY294002 and PARP inhibitor Talazoparib combination in BRCA-deficient triple negative breast cancer cells. Cell Signal. 2022, 91, 110229. [Google Scholar] [CrossRef]
- Zhao, H.; Zhang, X.; Wang, M.; Lin, Y.; Zhou, S. Stigmasterol Simultaneously Induces Apoptosis and Protective Autophagy by Inhibiting Akt/mTOR Pathway in Gastric Cancer Cells. Front. Oncol. 2021, 11, 629008. [Google Scholar] [CrossRef]
- Gui, D.; Cui, Z.; Zhang, L.; Yu, C.; Yao, D.; Xu, M.; Chen, M.; Wu, P.; Li, G.; Wang, L.; et al. Salidroside attenuates hypoxia-induced pulmonary arterial smooth muscle cell proliferation and apoptosis resistance by upregulating autophagy through the AMPK-mTOR-ULK1 pathway. BMC Pulm. Med. 2017, 17, 191. [Google Scholar] [CrossRef]
- Singh, N.P.; Miranda, K.; Singh, U.P.; Nagarkatti, P.; Nagarkatti, M. Diethylstilbestrol (DES) induces autophagy in thymocytes by regulating Beclin-1 expression through epigenetic modulation. Toxicology 2018, 410, 49–58. [Google Scholar] [CrossRef] [PubMed]
- Liu, Z.; Huang, Y.; Jin, X.; Liu, L.; Gu, H. PCB153 suppressed autophagy via PI3K/Akt/mTOR and RICTOR/Akt/mTOR signaling by the upregulation of microRNA-155 in rat primary chondrocytes. Toxicol. Appl. Pharmacol. 2022, 449, 116135. [Google Scholar] [CrossRef] [PubMed]
- Zhou, Q.; Jin, X.; Wang, J.; Li, H.; Yang, L.; Wu, W.; Chen, W. 4-vinylcyclohexene diepoxide induces premature ovarian insufficiency in rats by triggering the autophagy of granule cells through regulating miR-144. J. Reprod. Immunol. 2023, 157, 103928. [Google Scholar] [CrossRef]
- Ren, Y.F.; Zhang, T.H.; Zhong, S.; Zhao, Y.T.; Lv, Y.N. miR-144 suppresses proliferation and induces apoptosis of osteosarcoma cells via direct regulation of mTOR expression. Oncol. Lett. 2018, 15, 1163–1169. [Google Scholar] [CrossRef]
- Wang, K.Q.; Xing, Y.L.; Qiao, X.; Li, S.Z.; Gong, D.W.; Yu, Z.W.; Wu, Y.Q. Effects of miR-144 on proliferation, migration, invasion and PI3K pathway of pancreatic cancer SW1990 cells. Cancer Res. Prev. Treat. 2019, 46, 879–883. [Google Scholar] [CrossRef]
- Cui, J.; Hao, Z.; Zhou, Q.; Qiu, M.; Liu, Y.; Liu, Y.; Teng, X.; Kang, L. Chlorpyrifos induced autophagy and mitophagy in common carp livers through AMPK pathway activated by energy metabolism disorder. Ecotoxicol. Environ. Saf. 2023, 258, 114983. [Google Scholar] [CrossRef]
- Tseng, P.L.; Chen, C.W.; Hu, K.H.; Cheng, H.C.; Lin, Y.H.; Tsai, W.H.; Cheng, T.J.; Wu, W.H.; Yeh, C.W.; Lin, C.C.; et al. The decrease of glycolytic enzyme hexokinase 1 accelerates tumor malignancy via deregulating energy metabolism but sensitizes cancer cells to 2-deoxyglucose inhibition. Oncotarget 2018, 9, 18949–18969. [Google Scholar] [CrossRef][Green Version]
- Hu, Y.; Cao, K.; Wang, F.; Wu, W.; Mai, W.; Qiu, L.; Luo, Y.; Ge, W.P.; Sun, B.; Shi, L.; et al. Dual roles of hexokinase 2 in shaping microglial function by gating glycolytic flux and mitochondrial activity. Nat. Metab. 2022, 4, 1756–1774. [Google Scholar] [CrossRef]
- Mikawa, T.; Shibata, E.; Shimada, M.; Ito, K.; Ito, T.; Kanda, H.; Takubo, K.; Shimada, A.; Lleonart, M.E.; Inagaki, N.; et al. Characterization of genetically modified mice for phosphoglycerate mutase, a vitally-essential enzyme in glycolysis. PLoS ONE 2021, 16, e0250856. [Google Scholar] [CrossRef]
- Zhang, W.; Wang, G.; Xu, Z.G.; Tu, H.; Hu, F.; Dai, J.; Chang, Y.; Chen, Y.; Lu, Y.; Zeng, H.; et al. Lactate Is a Natural Suppressor of RLR Signaling by Targeting MAVS. Cell 2019, 178, 176–189.e15. [Google Scholar] [CrossRef]
- Cao, W.; Feng, Z.; Zhu, D.; Li, S.; Du, M.; Ye, S.; Qi, D.; Li, P.; Chen, Y.; Fang, Y. The Role of PGK1 in Promoting Ischemia/Reperfusion Injury-Induced Microglial M1 Polarization and Inflammation by Regulating Glycolysis. Neuromol. Med. 2023, 25, 301–311. [Google Scholar] [CrossRef] [PubMed]
- Yin, H.; Zhao, L.; Li, S.; Xu, L.; Wang, Y.; Chen, H. Impaired Cellular Energy Metabolism Contributes to Duck-Enteritis-Virus-Induced Autophagy via the AMPK-TSC2-MTOR Signaling Pathway. Front. Cell Infect. Microbiol. 2017, 7, 423. [Google Scholar] [CrossRef] [PubMed]
- Zhu, M.; Shen, W.; Li, J.; Jia, N.; Xiong, Y.; Miao, J.; Xie, C.; Chen, Q.; Shen, K.; Meng, P.; et al. AMPK Activator O304 Protects Against Kidney Aging Through Promoting Energy Metabolism and Autophagy. Front. Pharmacol. 2022, 13, 836496. [Google Scholar] [CrossRef] [PubMed]
- Hsiao, Y.T.; Shimizu, I.; Wakasugi, T.; Yoshida, Y.; Ikegami, R.; Hayashi, Y.; Suda, M.; Katsuumi, G.; Nakao, M.; Ozawa, T.; et al. Cardiac mitofusin-1 is reduced in non-responding patients with idiopathic dilated cardiomyopathy. Sci. Rep. 2021, 11, 6722. [Google Scholar] [CrossRef]
- Fu, D.; Luo, J.; Wu, Y.; Zhang, L.; Li, L.; Chen, H.; Wen, T.; Fu, Y.; Xiong, W. Angiotensin II-induced calcium overload affects mitochondrial functions in cardiac hypertrophy by targeting the USP2/MFN2 axis. Mol. Cell Endocrinol. 2023, 571, 111938. [Google Scholar] [CrossRef]
- Sessions, D.T.; Kim, K.B.; Kashatus, J.A.; Churchill, N.; Park, K.S.; Mayo, M.W.; Sesaki, H.; Kashatus, D.F. Opa1 and Drp1 reciprocally regulate cristae morphology, ETC function, and NAD+ regeneration in KRas-mutant lung adenocarcinoma. Cell Rep. 2022, 41, 111818. [Google Scholar] [CrossRef]
- Ma, Y.; Du, M.; Yang, F.; Mai, Z.; Zhang, C.; Qu, W.; Wang, B.; Wang, X.; Chen, T. Quantifying the inhibitory effect of Bcl-xl on the action of Mff using live-cell fluorescence imaging. FEBS Open Bio 2019, 9, 2041–2051. [Google Scholar] [CrossRef]
- Zhou, Y.; Li, M.; Wang, Z.; Lin, X.; Xu, Y.; Feng, S.; Miao, J. AMPK/Drp1 pathway mediates Streptococcus uberis-Induced mitochondrial dysfunction. Int. Immunopharmacol. 2022, 113 Pt A, 109413. [Google Scholar] [CrossRef]
- Luo, L.; Wu, Q.; Xiao, Q.; Chen, Y.; Deng, Z.; Cen, C.; Lin, J. Lipotoxicity-induced upregulation of FIS1 exacerbates mitochondrial fragmentation and promotes NLRP3-dependent pyroptosis in diabetic cardiomyopathy. Free Radic. Biol. Med. 2025, 228, 183–196. [Google Scholar] [CrossRef]
- Peng, F.; Jiang, D.; Xu, W.; Sun, Y.; Zha, Z.; Tan, X.; Yu, J.; Pan, C.; Zheng, Q.; Chen, W. AMPK/MFF Activation: Role in Mitochondrial Fission and Mitophagy in Dry Eye. Investig. Ophthalmol. Vis. Sci. 2022, 63, 18. [Google Scholar] [CrossRef]
- Yuan, Z.L.; Mo, Y.Z.; Li, D.L.; Xie, L.; Chen, M.H. Inhibition of ERK downregulates autophagy via mitigating mitochondrial fragmentation to protect SH-SY5Y cells from OGD/R injury. Cell Commun. Signal. 2023, 21, 204. [Google Scholar] [CrossRef] [PubMed]
- Plewes, M.R.; Przygrodzka, E.; Monaco, C.F.; Snider, A.P.; Keane, J.A.; Burns, P.D.; Wood, J.R.; Cupp, A.S.; Davis, J.S. Prostaglandin F2α regulates mitochondrial dynamics and mitophagy in the bovine corpus luteum. Life Sci. Alliance 2023, 6, e202301968. [Google Scholar] [CrossRef] [PubMed]
- Li, T.; Jin, M.; Huang, L.; Zhang, Y.; Zong, J.; Shan, H.; Kang, H.; Xu, M.; Liu, H.; Zhao, Y.; et al. Oxytetracycline-induced oxidative liver damage by disturbed mitochondrial dynamics and impaired enzyme antioxidants in largemouth bass (Micropterus salmoides). Aquat. Toxicol. 2023, 261, 106616. [Google Scholar] [CrossRef] [PubMed]
- Xu, D.; Zhang, K.; Qu, X.H.; Wang, T.; Yang, P.; Yang, Y.; Jiang, L.P.; Wan, Y.Y.; Tou, F.F.; Chen, Z.P.; et al. Curcumin protects retinal neuronal cells against oxidative stress-induced damage by regulating mitochondrial dynamics. Exp. Eye Res. 2022, 224, 109239. [Google Scholar] [CrossRef]
- Wei, L.; Chai, S.; Yue, C.; Zhang, H.; Li, J.; Qin, N. Resveratrol protects osteocytes against oxidative stress in ovariectomized rats through AMPK/JNK1-dependent pathway leading to promotion of autophagy and inhibition of apoptosis. Cell Death Discov. 2023, 9, 16. [Google Scholar] [CrossRef]








| Gene | Accession Number | Forward (5′→3′) | Reverse (5′→3′) | 
|---|---|---|---|
| U6 | XM_019117289 | CCTCGCTTCGGCAGCACATATAC | Provided by Tiangen Biotech Co., Ltd. | 
| miR-144 | MI0023330 | GCGGCGCCTACAGTATAGATGATGT | Provided by Tiangen Biotech Co., Ltd. | 
| β-actin | M24113 | ATGGACTCTGGTGATGGTGTGAC | TTTCTCTTTCGGCTGTGGTGGTG | 
| PI3K | BG936137 | AGTCAGTGCCTGTGGCTGAG | CGTGTCCATGACCTCAGAGC | 
| mTOR | XM_042758124 | AGCAGTATGGAGGGAGAGCGTATG | AGCAGTATGGAGGGAGAGCGTATG | 
| P62/SQSTM1 | XM_042737795 | AAGACCAAGGCAGTGATGAGGAATG | GCTTGTGCTGGAGTCGGTACTTAG | 
| AKT | XM_042727873 | CCTGGTGATGAAGGAGCTGA | CTGTCAGAGAGCCTCCAGCA | 
| ULK1 | XM_042748518 | GTCATGTGCCAGTAGTTACGCTCAG | CGACACTTGTAGGTTCTGCTCCATC | 
| ATG13 | XM_042727972 | CATCCTGTAGCAGCAAGGTGAAGAC | CTGGTTGTTGTCGCCTGAGTGG | 
| RB1CC1/FIP200 | XM_009302198 | CCAGCAGGTCCAGCAGAAGAATG | TTCATGCCGATCCACAAGTTCAGAG | 
| Beclin1 | XM_019078401 | AGCGTGGACAATCAGATGCGTTAC | TGTTCCAAACTGCCCACTATGCC | 
| ATG5 | XM_019082404 | ATGTGCGGAAGATGAGCCAAAGAG | GGTGCTGGGATGATGCTGATGTG | 
| ATG12 | XM_042740678 | ACAGTACAGTCACTCGCTCA | AAAACACTCGAAAAGCACACC | 
| LC3-I | XM_019109703 | TGTCAATCAGCACAGCATGGTCAG | AGGTCTCCTGGGAGGCGTAAAC | 
| LC3-II | NM_199604 | CTGGGCTCCACAGTACGAAG | CCGCTGCTCAAATGTCCTCC | 
| HK1 | XM_042736852 | GTCTCGCAGCGTCTCATC | TTTCCATTTCTGTTTCCCTA | 
| HK2 | XM_042753262 | CATGCAGAGCGTCAGCGTATCC | AAGCCTCGGTTCATCTCCTCCTC | 
| LDHA | XM_042722014 | AAGAACCTACGCAAGTGTCATCCAG | GCAAGGCACGCTGAGGAAGAC | 
| PGK1 | XM_042747513 | CCAGACCCATCCATCCTG | ATTGGCACTTCCCTATTCG | 
| PGAM2 | XM_042747782 | ACCACGCAGGCTGTTTCC | CATCCCACCTCCACCCAT | 
| AMPK | XM_019104472 | ACCAAGTTATCAGCACACCGACAG | ACGCCTGCTCTCCTTCTCATCC | 
| Mfn1 | XM_019102515 | AGAGACGGGTAAGAGCGTGA | TCCTCCAGAGAAACCACCCT | 
| Mfn2 | XM_019065714 | ACGTCACCACCTAGCCAAC | TAGCCATCAAATGTGGGCG | 
| Opa1 | XM_019105838 | CAGTGGGATGCCGCTATACAGTTC | GGTGTGCTGCTCTGGTGTTCG | 
| Drp1 | XM_019076184 | CGAACTACGTTGTTGCGCT | GAACCCGACTCTGCGTTCTC | 
| Fis1 | XM_019093606 | CGTACTCTGCTGAAGAATGAACCAG | ACACCTAATCCGATACCGCCAAC | 
| Mff | XM_019117476 | CGGCGTTCTCTCTTTCATCCAGTC | GGCTTGCTGCGGTGGTTCTC | 
| Nrf2 | XM_042730726 | ACATCCCTCTATGCTCCTGACACC | CGTTGCCTCTACAGCCTCAGATTG | 
| HO-1 | XM_042757461 | ACCAGAAAGGACAGATCACGCAAAC | TGAGGGAAGTAGATGGGCTGAACC | 
| Disclaimer/Publisher’s Note: The statements, opinions and data contained in all publications are solely those of the individual author(s) and contributor(s) and not of MDPI and/or the editor(s). MDPI and/or the editor(s) disclaim responsibility for any injury to people or property resulting from any ideas, methods, instructions or products referred to in the content. | 
© 2025 by the authors. Licensee MDPI, Basel, Switzerland. This article is an open access article distributed under the terms and conditions of the Creative Commons Attribution (CC BY) license (https://creativecommons.org/licenses/by/4.0/).
Share and Cite
Qiu, M.; Jiang, C.; Liang, J.; Zhou, Q.; Liu, Y.; Hao, Z.; Liu, Y.; Liu, X.; Teng, X.; Sun, W.; et al. Oxidative Stress, Energy Metabolism Disorder, Mitochondrial Damage, and miR-144 Participated in Molecular Mechanisms of 4-Octylphenol-Caused Cardiac Autophagic Damage in Common Carps (Cyprinus carpio L.). Metabolites 2025, 15, 391. https://doi.org/10.3390/metabo15060391
Qiu M, Jiang C, Liang J, Zhou Q, Liu Y, Hao Z, Liu Y, Liu X, Teng X, Sun W, et al. Oxidative Stress, Energy Metabolism Disorder, Mitochondrial Damage, and miR-144 Participated in Molecular Mechanisms of 4-Octylphenol-Caused Cardiac Autophagic Damage in Common Carps (Cyprinus carpio L.). Metabolites. 2025; 15(6):391. https://doi.org/10.3390/metabo15060391
Chicago/Turabian StyleQiu, Minna, Chunyu Jiang, Jiatian Liang, Qin Zhou, Yuhao Liu, Zhiyu Hao, Yuhang Liu, Xiumei Liu, Xiaohua Teng, Wei Sun, and et al. 2025. "Oxidative Stress, Energy Metabolism Disorder, Mitochondrial Damage, and miR-144 Participated in Molecular Mechanisms of 4-Octylphenol-Caused Cardiac Autophagic Damage in Common Carps (Cyprinus carpio L.)" Metabolites 15, no. 6: 391. https://doi.org/10.3390/metabo15060391
APA StyleQiu, M., Jiang, C., Liang, J., Zhou, Q., Liu, Y., Hao, Z., Liu, Y., Liu, X., Teng, X., Sun, W., & Tang, Y. (2025). Oxidative Stress, Energy Metabolism Disorder, Mitochondrial Damage, and miR-144 Participated in Molecular Mechanisms of 4-Octylphenol-Caused Cardiac Autophagic Damage in Common Carps (Cyprinus carpio L.). Metabolites, 15(6), 391. https://doi.org/10.3390/metabo15060391
 
        



 
       