Long-Term Aerobic Exercise Enhances Hepatoprotection in MAFLD by Modulating Exosomal miR-324 via ROCK1
Abstract
1. Introduction
2. Materials and Methods
2.1. Subjects
2.2. Dietary Habits
2.3. Animals
2.4. Training Protocol
2.5. MRIPDFF (Magnetic Resonance Imaging Proton Density Fat Fraction) Assessment
2.6. Positron Emission Tomography (PET) Combined with the Fat Metabolism Tracer [18F]-FTHA
2.7. Maximal Oxygen Uptake
2.8. Insulin Resistance Index (HOMA-IR) and Quantitative Insulin Sensitivity Check Index (QUICKI) [24,25,26]
2.9. Exosome Isolation from Plasma
2.10. Construction of the Insulin Resistance Cell Model
2.11. miRNA Library Construction and Sequencing
2.12. Primary Hepatocyte Isolation and Culture
2.13. Glycogen Assay
2.14. Glucose Detection
2.15. Pathway Analysis of miR-324 and ROCK1
2.16. Statistical Analysis
3. Results
3.1. Protective Effects of 12 Weeks of Aerobic Baduanjin Training on MAFLD Patients
3.2. Exercise Intervention Significantly Improves Glucose and Lipid Metabolism and Insulin Resistance in HFD-Fed Mice
3.3. Identification of Plasma-Derived Exosomes and In Vitro Functional Validation
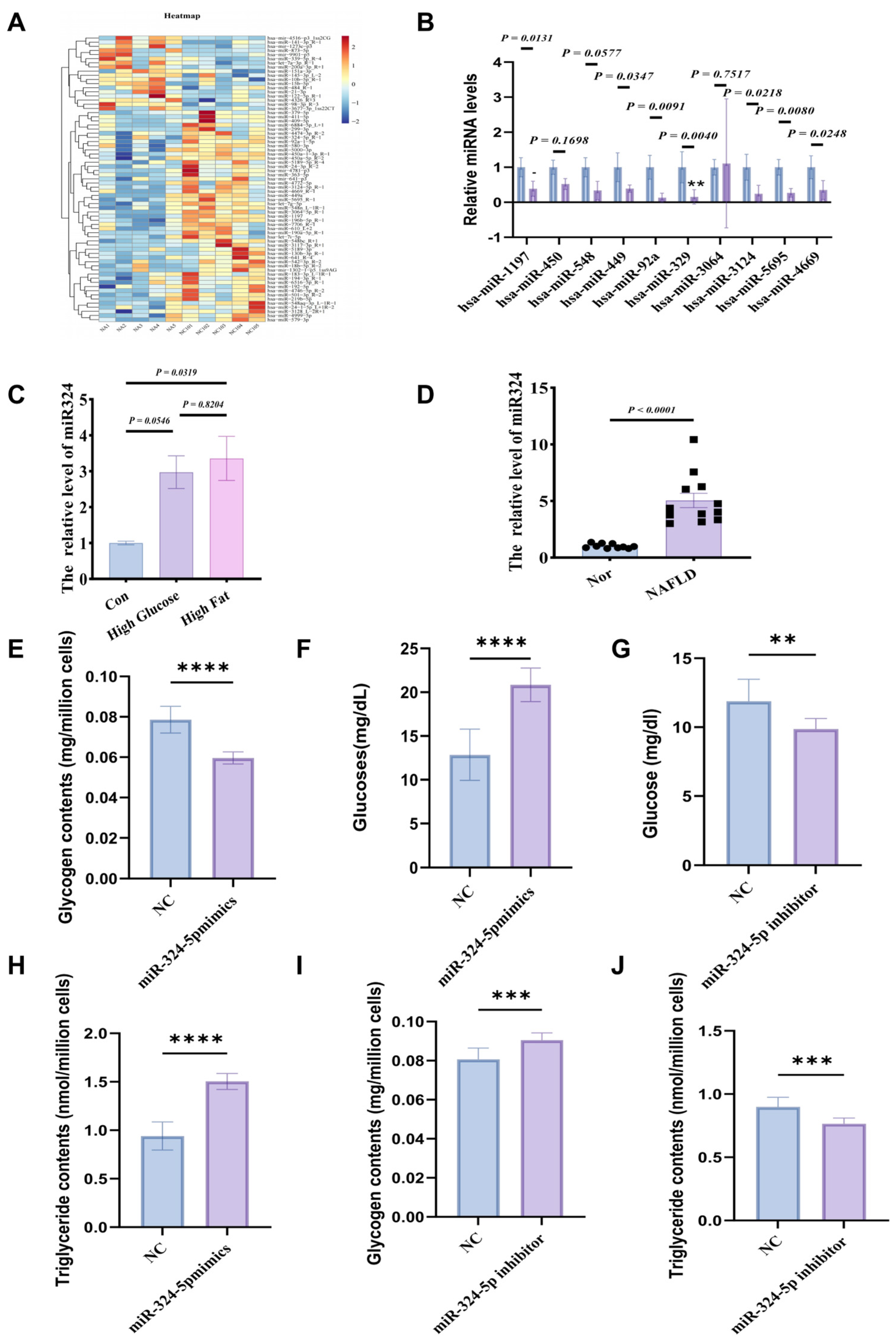
3.4. MiR-324 Is a Key Exogenous Factor in Protecting Against Insulin Resistance (IR) and Regulating Lipid and Glucose Metabolism
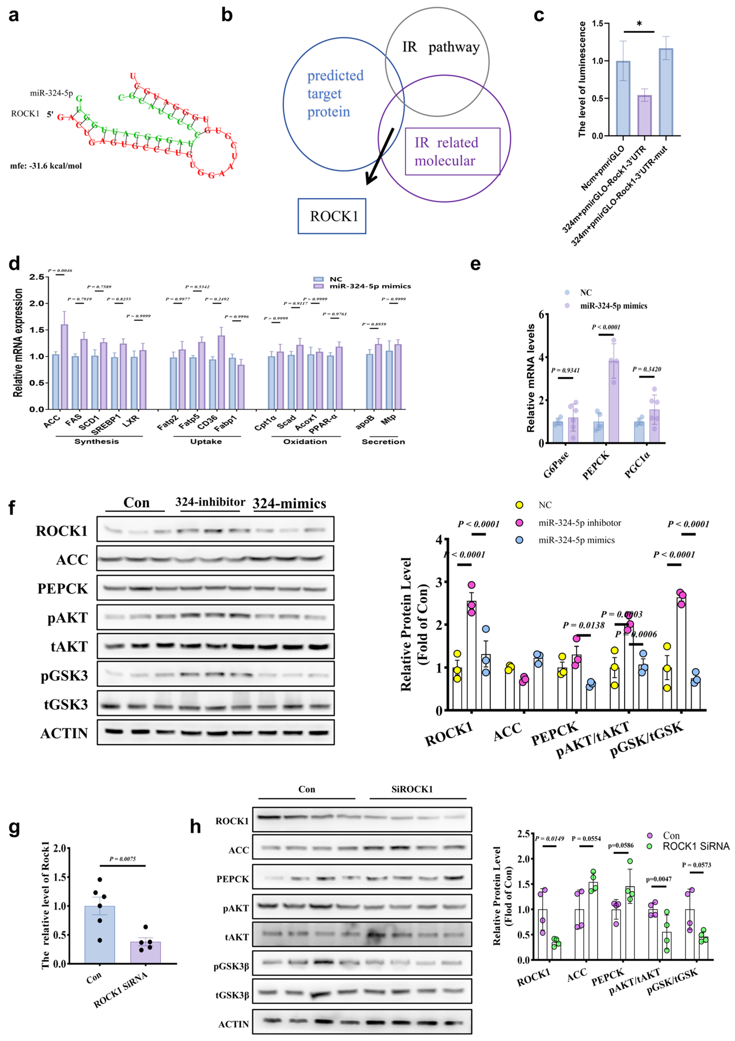
3.5. MiR-324 Targets ROCK1 and Modulates Insulin Signaling Pathway
3.6. Adipose Tissue as a Major Source of Exercise-Induced Exosomal miR-324-5p
3.7. Elevated Exosomal miR-324 Levels in Athletes Compared to Sedentary Controls
4. Discussion
5. Conclusions
Supplementary Materials
Author Contributions
Funding
Institutional Review Board Statement
Informed Consent Statement
Data Availability Statement
Acknowledgments
Conflicts of Interest
Correction Statement
References
- Eslam, M.; Fan, J.G.; Mendez-Sanchez, N.; Sanyal, A.J.; George, J. MAFLD: A consensus-driven proposed nomenclature for metabolic associated fatty liver disease. World J. Hepatol. 2023, 15, 123–128. [Google Scholar] [CrossRef] [PubMed]
- Arfianti, A.; Pok, S.; Barn, V.; Haigh, W.G.; Yeh, M.M.; Ioannou, G.N.; Teoh, N.C.H.; Farrell, G.C. Exercise retards hepatocarcinogenesis in obese mice independently of weight control. J. Hepatol. 2020, 73, 140–148. [Google Scholar] [CrossRef] [PubMed]
- Mucinski, J.M.; Salvador, A.F.; Moore, M.P.; Fordham, T.M.; Anderson, J.M.; Shryack, G.; Cunningham, R.P.; Lastra, G.; Gaballah, A.H.; Diaz-Arias, A.; et al. Histological improvements following energy restriction and exercise: The role of insulin resistance in resolution of MASH. J. Hepatol. 2024, 81, 781–793. [Google Scholar] [CrossRef] [PubMed]
- Davis, C.L.; Pollock, N.K.; Waller, J.L.; Allison, J.D.; Dennis, B.A.; Bassali, R.; Meléndez, A.; Boyle, C.A.; Gower, B.A. Exercise dose and diabetes risk in overweight and obese children: A randomized controlled trial. JAMA 2012, 308, 1103–1112. [Google Scholar] [CrossRef]
- Middelbeek, R.; Richard, J.J.; Prince, N.B.; Rowland, L.; Dreyfuss, J.; Pan, H.; Goodyear, L.J. Exercise regulates the concentration of novel circulating factors in humans. Diabetes 2018, 67 (Suppl. S1), 66-OR. [Google Scholar] [CrossRef]
- Liu, J.; Chen, L.; Chen, X.; Hu, K.; Tu, Y.; Lin, M.; Huang, J.; Liu, W.; Wu, J.; Zhang, Z. Modulatory effects of different exercise modalities on the functional connectivity of the periaqueductal grey and ventral tegmental area in patients with knee osteoarthritis: A randomised multimodal magnetic resonance imaging study. Br. J. Anaesth. 2019, 123, 494–504. [Google Scholar] [CrossRef]
- Yu, X.; Chau, J.P.C.; Huo, L. The effectiveness of traditional Chinese medicine-based lifestyle interventions on biomedical, psychosocial, and behavioral outcomes in individuals with type 2 diabetes: A systematic review with meta-analysis. Int. J. Nurs. Stud. 2018, 80, 106–117. [Google Scholar] [CrossRef]
- Uhlemann, M.; Möbius-Winkler, S.; Fikenzer, S.; Adam, J.; Redlich, M.; Möhlenkamp, S.; Hilberg, T.; Schuler, G.C.; Adams, V. Circulating microRNA-126 increases after different forms of endurance exercise in healthy adults. Eur. J. Prev. Cardiol. 2014, 21, 484–491. [Google Scholar] [CrossRef]
- Harrison, S.A.; Day, C.P. Benefits of lifestyle modification in MAFLD. Gut 2007, 56, 1760–1769. [Google Scholar] [CrossRef]
- Merchant, N.; Rahman, S.T.; Ferdinand, K.C.; Umpierrez, G.E.; Khan, B.V. Effects of nebivolol on levels of markers of inflammation and obesity in response to exercise-induced stress: Studies in obese African-American patients with stage I hypertension. J. Am. Coll. Cardiol. 2010, 55, A54.E515. [Google Scholar] [CrossRef][Green Version]
- Rocha, K.C.; Ying, W.; Olefsky, J.M. Exosome-mediated impact on systemic metabolism. Annu. Rev. Physiol. 2024, 86, 225–253. [Google Scholar] [CrossRef] [PubMed]
- Théry, C.; Witwer, K.W.; Aikawa, E.; Alcaraz, M.J.; Anderson, J.D.; Andriantsitohaina, R.; Antoniou, A.; Arab, T.; Archer, F.; Atkin-Smith, G.K.; et al. Minimal information for studies of extracellular vesicles 2018 (MISEV2018). J. Extracell. Vesicles 2018, 7, 1535750. [Google Scholar] [CrossRef] [PubMed]
- Kalluri, R.; LeBleu, V.S. The biology, function, and biomedical applications of exosomes. Science 2020, 367, eaau6977. [Google Scholar] [CrossRef] [PubMed]
- Isaac, R.; Reis, F.C.G.; Ying, W.; Olefsky, J.M. Exosomes as mediators of intercellular crosstalk in metabolism. Cell Metab. 2021, 33, 1744–1762. [Google Scholar] [CrossRef]
- Li, Y.; Yin, Z.; Fan, J.; Zhang, S.; Yang, W. The roles of exosomal miRNAs and lncRNAs in lung diseases. Signal Transduct. Target. Ther. 2019, 4, 47. [Google Scholar] [CrossRef]
- Marbán, E. The secret life of exosomes: What bees can teach us about next-generation therapeutics. J. Am. Coll. Cardiol. 2018, 71, 193–200. [Google Scholar] [CrossRef]
- D’souza, R.F.; Woodhead, J.S.T.; Zeng, N.; Blenkiron, C.; Merry, T.L.; Cameron-Smith, D.; Mitchell, C.J. Circulatory exosomal miRNA following intense exercise is unrelated to muscle and plasma miRNA abundances. Am. J. Physiol. Endocrinol. Metab. 2018, 315, E723–E733. [Google Scholar] [CrossRef]
- Du, W.; Zhao, S.; Gao, F.; Wei, M.; An, J.; Jia, K.; Li, F.; Zhu, L.; Hao, J. Exosomes derived from adipose mesenchymal stem cells ameliorate myocardial injury through delivering miR-342-5p. J. Cell. Physiol. 2020, 235, 6124–6135. [Google Scholar] [CrossRef]
- Lee, E.; Korf, H.; Vidal-Puig, A. An adipocentric perspective on the development and progression of non-alcoholic fatty liver disease. J. Hepatol. 2023, 78, 1048–1062. [Google Scholar] [CrossRef]
- Pafili, K.; Kahl, S.; Mastrototaro, L.; Strassburger, K.; Pesta, D.; Herder, C.; Pützer, J.; Dewidar, B.; Hendlinger, M.; Granata, C.; et al. Mitochondrial respiration is decreased in visceral but not subcutaneous adipose tissue in obese individuals with fatty liver disease. J. Hepatol. 2022, 77, 1504–1514. [Google Scholar] [CrossRef]
- Kang, M.; Jordan, V.; Blenkiron, C.; Chamley, L.W. Biodistribution of extracellular vesicles following administration into animals: A systematic review. J. Extracell. Vesicles 2021, 10, e12085. [Google Scholar] [CrossRef] [PubMed]
- Ortega, F.J.; Mercader, J.M.; Catalán, V.; Moreno-Navarrete, J.M.; Pueyo, N.; Sabater, M.; Gomez-Ambrosi, J.; Anglada, R.; Fernandez-Formoso, J.A.; Ricart, W.; et al. Targeting the circulating microRNA signature of obesity. Clin. Chem. 2013, 59, 781–792. [Google Scholar] [CrossRef] [PubMed]
- Ferrante, S.C.; Nadler, E.P.; Pillai, D.K.; Hubal, M.J.; Wang, Z.; Wang, J.M.; Gordish-Dressman, H.; Koeck, E.; Sevilla, S.; Wiles, A.A.; et al. Adipocyte-derived exosomal miRNAs: A novel mechanism for obesity-related disease. Pediatr. Res. 2015, 77, 447–454. [Google Scholar] [CrossRef] [PubMed]
- Ding, X.; He, X.; Tang, B.; Lan, T. Integrated traditional Chinese and Western medicine in the prevention and treatment of non-alcoholic fatty liver disease: Future directions and strategies. Chin. Med. 2024, 19, 21. [Google Scholar] [CrossRef] [PubMed]
- Yegutkin, G.G.; Samburski, S.S.; Mortensen, S.P.; Jalkanen, S.; González-Alonso, J. Intravascular ADP and soluble nucleotidases contribute to acute prothrombotic state during vigorous exercise in humans. J. Physiol. 2007, 579, 553–564. [Google Scholar] [CrossRef]
- Zhou, T.; Ye, J.; Luo, L.; Wang, W.; Feng, S.; Dong, Z.; Zhuo, S.; Zhong, B. Restoring skeletal muscle mass as an independent determinant of liver fat deposition improvement in MAFLD. Skelet. Muscle 2023, 13, 23. [Google Scholar] [CrossRef]
- Goodpaster, B.H.; Katsiaras, A.; Kelley, D.E. Enhanced fat oxidation through physical activity is associated with improvements in insulin sensitivity in obesity. Diabetes 2003, 52, 2191–2197. [Google Scholar] [CrossRef]
- Agabiti Rosei, E.; Rizzoni, D. Metabolic profile of nebivolol, a beta-adrenoceptor antagonist with unique characteristics. Drugs 2007, 67, 1097–1107. [Google Scholar] [CrossRef]
- Selvais, C.M.; Davis-López de Carrizosa, M.A.; Nachit, M.; Versele, R.; Dubuisson, N.; Noel, L.; Gillard, J.; Leclercq, I.A.; Brichard, S.M.; Abou-Samra, M. AdipoRon enhances healthspan in middle-aged obese mice: Striking alleviation of myosteatosis and muscle degenerative markers. J. Cachexia Sarcopenia Muscle 2023, 14, 464–478. [Google Scholar] [CrossRef]
- Bruce, C.R.; Anderson, M.J.; Carey, A.L.; Newman, D.G.; Bonen, A.; Kriketos, A.D.; Cooney, G.J.; Hawley, J.A. Muscle oxidative capacity is a better predictor of insulin sensitivity than lipid status. J. Clin. Endocrinol. Metab. 2003, 88, 5444–5451. [Google Scholar] [CrossRef]
- Holloszy, J.O. Biochemical adaptations in muscle. Effects of exercise on mitochondrial oxygen uptake and respiratory enzyme activity in skeletal muscle. J. Biol. Chem. 1967, 242, 2278–2282. [Google Scholar] [CrossRef] [PubMed]
- Terada, S.; Yokozeki, T.; Kawanaka, K.; Ogawa, K.; Higuchi, M.; Ezaki, O.; Tabata, I. Effects of high-intensity swimming training on GLUT-4 and glucose transport activity in rat skeletal muscle. J. Appl. Physiol. 2001, 90, 2019–2024. [Google Scholar] [CrossRef] [PubMed]
- Vaughan, R.A.; Gannon, N.P.; Barberena, M.A.; Garcia-Smith, R.; Bisoffi, M.; Mermier, C.M.; Conn, C.A.; Trujillo, K.A. Characterization of the metabolic effects of irisin on skeletal muscle in vitro. Diabetes Obes. Metab. 2014, 16, 711–718. [Google Scholar] [CrossRef] [PubMed]
- Little, J.P.; Safdar, A.; Wilkin, G.P.; Tarnopolsky, M.A.; Gibala, M.J. A practical model of low-volume high-intensity interval training induces mitochondrial biogenesis in human skeletal muscle: Potential mechanisms. J. Physiol. 2010, 588, 1011–1022. [Google Scholar] [CrossRef]
- Hood, D.A.; Memme, J.M.; Oliveira, A.N.; Triolo, M. Maintenance of skeletal muscle mitochondria in health, exercise, and aging. Annu. Rev. Physiol. 2019, 81, 19–41. [Google Scholar] [CrossRef]
- Eckardt, K.; Görgens, S.W.; Raschke, S.; Eckel, J. Myokines in insulin resistance and type 2 diabetes. Diabetologia 2014, 57, 1087–1099. [Google Scholar] [CrossRef]
- Hoffmann, C.; Weigert, C. Skeletal muscle as an endocrine organ: The role of myokines in exercise adaptations. Cold Spring Harb. Perspect. Med. 2017, 7, a029793. [Google Scholar] [CrossRef]
- Laurens, C.; Bergouignan, A.; Moro, C. Exercise-released myokines in the control of energy metabolism. Front. Physiol. 2020, 11, 91. [Google Scholar] [CrossRef]
- Takahashi, Y.; Soejima, Y.; Fukusato, T. Animal models of nonalcoholic fatty liver disease/non-alcoholic steatohepatitis. World J. Gastroenterol. 2012, 18, 2300–2308. [Google Scholar] [CrossRef]
- Farrell, G.C.; van Rooyen, D.; Gan, L.; Chitturi, S. NASH is an inflammatory disorder: Pathogenic, prognostic and therapeutic implications. Gut Liver 2012, 6, 149–171. [Google Scholar] [CrossRef]







| 12-Week Aerobic Exercise | ||||
|---|---|---|---|---|
| Baseline | EChowpoint | Change | p | |
| Age | 60.47 ± 3.76 | |||
| Height | 1.6 ± 0.03 | |||
| Weight | 68.55 ± 13.18 | 65.01 ± 11.84 | –3.54 | 0.2675 |
| BMI | 26.69 ± 4.50 | 25.31 ± 4.02 | –1.34 | 0.2161 |
| SBP | 133.47 ± 12.92 | 124.07 ± 11.78 | –9.4 | 0.06 |
| DBP | 85 ± 8.57 | 79.87 ± 8.23 | –5.13 | 0.139 |
| Total serum protein | 74.25 ± 5.07 | 74.4 ± 3.59 | 0.15 | 0.7086 |
| TRIG | 1.81 ± 0.73 | 1.46 ± 0.57 | –0.35 | 0.2733 |
| TCHOL | 4.92 ± 0.89 | 4.43 ± 0.80 | –0.49 | 0.2112 |
| LDL-CH | 2.80 ± 0.81 | 2.52 ± 0.73 | –0.28 | 0.4405 |
| HDL-CH | 1.28 ± 0.23 | 1.40 ± 0.26 | 0.12 | 0.2744 |
| GLU | 5.58 ± 0.98 | 5.23 ± 0.75 | –0.35 | 0.3083 |
| ApoB | 0.99 ± 0.20 | 0.89 ± 0.18 | –0.1 | 0.305 |
| AST | 24.4 ± 9.11 | 22.2 ± 8.55 | –2.2 | 0.686 |
| ALT | 24.67 ± 13.57 | 22.4 ± 12.81 | –2.27 | 0.7739 |
| Fasting insulin | 20.8 ± 2.93 | 17.53 ± 2.23 | –3.27 | 0.001 |
| HOMA-IR | 5.21 ± 1.37 | 4.11 ± 0.95 | –1.1 | 0.0145 |
| QUICKI | 0.28 ± 0.01 | 0.29 ± 0.01 | 0.01 | 0.0136 |
| HbA1c | 6.61 ± 0.42 | 6.18 ± 0.31 | –0.43 | 0.0038 |
| Fasting C-peptide | 3.06 ± 0.46 | 2.57 ± 0.35 | –0.49 | 0.0024 |
| VO2 max | 22.7 ± 1.96 | 26.03 ± 2.47 | 3.33 | 0.0002 |
| Visceral fat percentage | 37.83 ± 1.74 | 32.73 ± 1.88 | –5.1 | |
| OGTT parameters | ||||
| Glucose AUC (mmol/L × 120 min) | 1228.53 ± 126.55 | 1070.38 ± 263.31 | –158.15 | 0.0004 |
Disclaimer/Publisher’s Note: The statements, opinions and data contained in all publications are solely those of the individual author(s) and contributor(s) and not of MDPI and/or the editor(s). MDPI and/or the editor(s) disclaim responsibility for any injury to people or property resulting from any ideas, methods, instructions or products referred to in the content. |
© 2024 by the authors. Licensee MDPI, Basel, Switzerland. This article is an open access article distributed under the terms and conditions of the Creative Commons Attribution (CC BY) license (https://creativecommons.org/licenses/by/4.0/).
Share and Cite
Zhang, Y.; Wei, Q.; Geng, X.; Fang, G. Long-Term Aerobic Exercise Enhances Hepatoprotection in MAFLD by Modulating Exosomal miR-324 via ROCK1. Metabolites 2024, 14, 692. https://doi.org/10.3390/metabo14120692
Zhang Y, Wei Q, Geng X, Fang G. Long-Term Aerobic Exercise Enhances Hepatoprotection in MAFLD by Modulating Exosomal miR-324 via ROCK1. Metabolites. 2024; 14(12):692. https://doi.org/10.3390/metabo14120692
Chicago/Turabian StyleZhang, Yang, Qiangman Wei, Xue Geng, and Guoliang Fang. 2024. "Long-Term Aerobic Exercise Enhances Hepatoprotection in MAFLD by Modulating Exosomal miR-324 via ROCK1" Metabolites 14, no. 12: 692. https://doi.org/10.3390/metabo14120692
APA StyleZhang, Y., Wei, Q., Geng, X., & Fang, G. (2024). Long-Term Aerobic Exercise Enhances Hepatoprotection in MAFLD by Modulating Exosomal miR-324 via ROCK1. Metabolites, 14(12), 692. https://doi.org/10.3390/metabo14120692
