Dietary Effect of Clostridium autoethanogenum Protein on Growth, Intestinal Histology and Flesh Lipid Metabolism of Largemouth Bass (Micropterus salmoides) Based on Metabolomics
Abstract
1. Introduction
2. Materials and Methods
2.1. Experimental Design
2.2. Experimental Fish and Feeding Management
2.3. Sample Collection
2.4. Analytical Methods
2.4.1. Growth Indicators
2.4.2. Proximate Composition of Diets and Whole Fish
2.4.3. Biochemical Analysis
2.4.4. The Histology of Anterior Intestine
2.4.5. Fatty Acid Composition of Flesh
2.4.6. Non-Targeted Metabolomic Analysis
2.5. Statistical Analysis
3. Results
3.1. Growth Performance
3.2. Body Composition and Nutrients Retention
3.3. Serum Biochemical Indices Analyses
3.4. Intestinal Digestive Enzymes
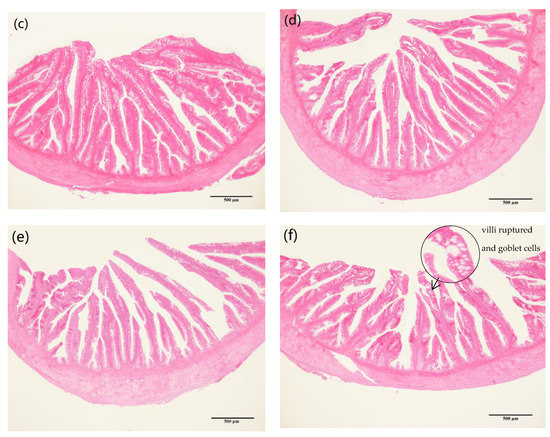
3.5. The Histology of Anterior Intestine
3.6. Fatty Acid Composition in Flesh
3.7. Flesh Metabolite Profiles
4. Discussion
4.1. Effect of CAP on the Growth of Largemouth Bass
4.2. Effect of CAP on Serum Biochemical Indexes of Largemouth Bass
4.3. Effects of CAP on Digestive Ability and Intestinal Structure of Largemouth Bass
4.4. Effects of CAP on Flesh Fatty Acid and Lipid Metabolism of Largemouth Bass
5. Conclusions
Author Contributions
Funding
Institutional Review Board Statement
Informed Consent Statement
Data Availability Statement
Acknowledgments
Conflicts of Interest
References
- Xu, T.; Peng, X.; Chen, Y.; Lin, S.; Huang, X.; Li, Y. Effects of replacing fish meal with fermented mulberry leaves on the growth, lipid metabolism and antioxidant capacity in largemouth bass (Micropterus salmoides). J. Fish. China 2016, 40, 1408–1415. [Google Scholar] [CrossRef]
- He, M.; Li, X.Q.; Poolsawa, L.; Guo, Z.H.; Yao, W.X.; Zhang, C.Y.; Leng, X.J. Effects of fish meal replaced by fermented soybean meal on growth performance, intestinal histology and microbiota of largemouth bass (Micropterus salmoides). Aquac. Nutr. 2020, 26, 1058–1071. [Google Scholar] [CrossRef]
- Zheng, Y.; Peng, C.; Wu, X.; Han, F.; Xue, M.; Wang, J.; Hu, L. Effects of hydrolyzed yeast on growth performance, lipids metabolism and intestinal structure of largemouth bass (Micropterus salmoides). Chin. J. Anim. Nutr. 2015, 27, 1605–1612. [Google Scholar] [CrossRef]
- Ren, X.; Wang, Y.; Chen, J.; Wu, Y.B.; Huang, D.; Jiang, D.L.; Li, P. Replacement of fishmeal with a blend of poultry by-product meal and soybean meal in diets for largemouth bass, Micropterus salmoides. J. World Aquac. Soc. 2018, 49, 155–164. [Google Scholar] [CrossRef]
- Aas, T.S.; Grisdale-Helland, B.; Terjesen, B.F.; Helland, S.J. Improved growth and nutrient utilisation in Atlantic salmon (Salmo salar) fed diets containing a bacterial protein meal. Aquaculture 2006, 259, 365–376. [Google Scholar] [CrossRef]
- Berge, G.M.; Baeverfjord, G.; Skrede, A.; Storebakken, T. Bacterial protein grown on natural gas as protein source in diets for Atlantic salmon, Salmo salar, in saltwater. Aquaculture 2005, 244, 233–240. [Google Scholar] [CrossRef]
- Utturkar, S.M.; Klingeman, D.M.; Bruno-Barcena, J.M.; Chinn, M.S.; Grunden, A.M.; Köpke, M.; Browna, S.D. Sequence data for Clostridium autoethanogenum using three generations of sequencing technologies. Sci. Data 2015, 2, 150014. [Google Scholar] [CrossRef]
- Humphreys, C.M.; Mclean, S.; Chatschneider, S.; Millat, T.; Henstra, A.M.; Annan, F.J.; Breitkopf, R.; Pander, B.; Piatek, P.; Rowe, P.; et al. Whole genome sequence and manual annotation of Clostridium autoethanogenum, an relevant bacterium. BMC Genom. 2015, 16, 1085. [Google Scholar] [CrossRef]
- Wei, H.C.; Yu, H.H.; Chen, X.M.; Yao, W.; Zou, F.Q.; Chen, P.; Zheng, Y.H.; Wu, X.F.; Liang, X.F.; Xue, M. Effects of soybean meal replaced by Clostridium autoethanogenum protein on growth performances, plasma biochemical indexes and hepatopancreas and intestinal histopathology of grass carp (Ctenopharyngodon idllus). Chin. J. Anim. Nutr. 2018, 30, 4190–4201. [Google Scholar] [CrossRef]
- Zhu, S.; Gao, W.; Wen, Z.; Chi, S.; Shi, Y.; Hu, W.; Tan, B. Partial substitution of fish meal by Clostridium autoethanogenum protein in the diets of juvenile largemouth bass (Micropterus salmoides). Aquac. Rep. 2022, 22, 100938. [Google Scholar] [CrossRef]
- Yang, P.X.; Li, X.Q.; Song, B.W.; He, M.; Wu, C.Y.; Leng, X.J. The potential of Clostridium autoethanogenum, a new single cell protein, in substituting fish meal in the diet of largemouth bass (Micropterus salmoides): Growth, feed utilization and intestinal histology. Aquac. Fish. 2021, 26, 1–9. [Google Scholar] [CrossRef]
- Li, M.Y.; Lian, H.L.; Xie, J.; Chao, W.; Zou, F.; Ge, X.P.; Ren, M.C. Diet supplemented with a novel Clostridium autoethanogenum protein have a positive effect on the growth performance, antioxidant status and immunity in juvenile Jian carp (Cyprinus carpio var. Jian). Aquac. Rep. 2021, 19, 100572. [Google Scholar] [CrossRef]
- Chen, Y.; Sagada, G.; Xu, B.; Chao, W.; Zou, F.Q.; Ning, W.K.; Sun, Y.; Wang, L.; Zhong, Z.; Shao, Q.J. Partial replacement of fishmeal with Clostridium autoethanogenum single-cell protein in the diet for juvenile black sea bream (Acanthopagrus schlegelii). Aquac. Res. 2020, 51, 1000–1011. [Google Scholar] [CrossRef]
- Maulu, S.; Liang, H.; Ke, J.; Ren, M.; Ge, X.; Huang, D.Y.; Yu, H. Dietary clostridium autoethanogenum protein modulates intestinal absorption, antioxidant status, and immune response in gift (oreochromis niloticus) juveniles. Aquac. Res. 2021, 52, 5787–5799. [Google Scholar] [CrossRef]
- Yao, W.X.; Yang, P.X.; Zhang, X.; Xu, X.Y.; Zhang, C.Y.; Li, X.Q.; Leng, X.J. Effects of replacing dietary fish meal with Clostridium autoethanogenum protein on growth and flesh quality of Pacific white shrimp (Litopenaeus vannamei). Aquaculture 2022, 549, 737770. [Google Scholar] [CrossRef]
- Yang, P.X.; Yao, W.X.; Li, X.Q.; Li, M.L.; Wang, Y.Y.; Wang, P.; Leng, X.J. Dietary effects of fish meal substitution with Clostridium autoethanogenum on flesh quality and metabolomics of largemouth bass (Micropterus salmoides). Aquac. Rep. 2022, 23, 101012. [Google Scholar] [CrossRef]
- Escaffre, A.M.; Kaushik, S.; Mambrini, M. Morphometric evaluation of changes in the digestive tract of rainbow trout (Oncorhynchusmykiss) due to fish meal replacement with soy protein concentrate. Aquaculture 2007, 273, 127–138. [Google Scholar] [CrossRef]
- Song, Y.; Li, R.; Zhang, Y.; Wei, J.; Chen, W.; Chung, C.K.; Cai, Z.W. Mass spectrometry-based metabolomics reveals the mechanism of ambient fine particulate matter and its components on energy metabolic reprogramming in BEAS-2B cells. Sci. Total Environ. 2018, 651, 3139–3150. [Google Scholar] [CrossRef]
- Gause, B.; Trushenski, J. Replacement of fish meal with ethanol yeast in the diets of sunshine bass. North Am. J. Aquac. 2011, 73, 97–103. [Google Scholar] [CrossRef]
- Storebakken, T.; Baeverfjord, G.; Skrede, A.; Olli, J.J.; Marit Berge, G. Bacterial protein grown on natural gas in diets for Atlantic salmon, Salmo salar, in freshwater. Aquaculture 2004, 241, 413–425. [Google Scholar] [CrossRef]
- Cheng, Y.B.; Zhang, Y.X.; Dong, Z.Y.; Li, B.; Wang, Y. Effects of dietary replacement of fish meal and soy protein by wheat gluten on plasma biochemical indices and liver anti-oxidative indices of Nibea japonica and Sparus macrocephalus. Prog. Fish. Sci. 2017, 38, 106–114. [Google Scholar]
- Yun, B.; Ai, Q.; Mai, K.; Xu, W.; Qi, G.S.; Luo, Y.W. Synergistic effects of dietary cholesterol and taurine on growth performance and cholesterol metabolism in juvenile turbot (Scophthalmus maximus L.) fed high plant protein diets. Aquaculture 2012, 324–325, 85–91. [Google Scholar] [CrossRef]
- Takagi, S.; Murata, H.; Goto, T.; Endo, M.; Yamashita, H.; Ukawa, M. Taurine is an essential nutrient for yellowtail Seriola quinqueradiata fed non-fish meal diets based on soy protein concentrate. Aquaculture 2008, 280, 198–205. [Google Scholar] [CrossRef]
- Zeisel, S.H.; Warrier, M. Trimethylamine N-Oxide, the microbiome, and heart and kidney disease. Annu. Rev. Nutr. 2017, 37, 157–181. [Google Scholar] [CrossRef] [PubMed]
- Buentello, J.A.; Gatlin, D.M. The dietary arginine requirement of channel cafish (ctalrus punctaus) is influenced by endogenous synthesis of arginine from glutamic acid. Aquaculure 2000, 188, 311–321. [Google Scholar] [CrossRef]
- Zhou, F.; Shao, Q.J.; Xiao, J.X.; Peng, X.; Ngandzali, B.O.; Sun, Z.; Wing, K.N. Effects of dietary arginine and lysine levels on growth performance, nutrient utilization and tissue biochemical profile of black sea bream, Acanthopagrus schlegelii, fingerlings. Aquaculture 2011, 319, 72–80. [Google Scholar] [CrossRef]
- Murthy, H.S.; Varghese, T.J. Dietary requirement of juveniles of the Indian major carp, Labeo rohita, for the essential amino acid lysine. Isr. J. Aquac.-Bamidgeh 1997, 49, 19–24. [Google Scholar]
- Berge, G.E.; Sveier, H.; Lied, E. Effects of feeding Atlantic salmon (Salmo salar L.) imbalanced levels of lysine and arginine. Aquac. Nutr. 2002, 8, 239–248. [Google Scholar] [CrossRef]
- Li, M.; Lai, H.; Li, Q.; Gong, S.; Wang, R. Effects of dietary taurine on growth, immunity and hyperammonemia in juvenile yellow catfish Pelteobagrus fulvidraco fed all-plant protein diets. Aquaculture 2016, 450, 349–355. [Google Scholar] [CrossRef]
- Cheng, Z.; Buentello, A.; Gatlin, D.M. Effects of dietary arginine and glutamine on growth performance, immune responses and intestinal structure of red drum, Sciaenops ocellatus. Aquaculture 2011, 319, 247–252. [Google Scholar] [CrossRef]
- Chi, R.S.; Han, F.L.; Tan, B.P.; Dong, X.H.; Yang, Q.H.; Liu, H.Y.; Zhang, S. Effect of dietary arginine level ongrowth performance and intestine morphology of juvenile grouper (epinephelus coioides). Acta Hydrobiol. Sini. 2016, 40, 388–394. [Google Scholar] [CrossRef]
- Kohler, B.; Lin, L.; Ferraz-de-Souza, B.; Wieacker, P.; Heidemann, P.; Schroder, V.; Biebermann, H.; Schnabel, D.; Gruters, A.; Achermann, J.C. Five novel mutations in steroidogenic factor 1 (SF1, NR5A1) in 46,XY patients with severe underandrogenization but without adrenal insufficiency. Hum. Mutat. 2008, 29, 59–64. [Google Scholar] [CrossRef] [PubMed]
- Hansen, J.; Berge, G.M.; Hillestad, M.; Krogdahl, S.; Ruyter, B. Apparent digestion and apparent retention of lipid and fattyacids in Atlantic cod (Gadus morhua) fed increasing dietary lipid levels. Aquaculture 2008, 284, 159–166. [Google Scholar] [CrossRef]
- Martino, R.C.; Cyrino, J.P.; Portz, L.; Luiz, C.T. Performance and fatty acid composition of surubim (Pseudoplatystoma coruscans) fed diets with animal and plant lipids. Aquaculture 2002, 209, 233–246. [Google Scholar] [CrossRef]
- Torstensen, B.E.; Froyland, L.; Lie, O. Replacing dietary fish oil with increasing levels of rapeseed oil and olive oil—effects on Atlantic salmon (Salmo salar L.) tissue and lipoprotein lipid composition and lipogenic enzyme activities. Aquac. Nutr. 2015, 10, 175–192. [Google Scholar] [CrossRef]
- Yang, H.; Li, X.Q.; Xu, Z.; Cheng, Z.; Leng, X.J. Effects of three active components in Eucommia ulmoides on growth and flesh quality of grass carp (Ctenopharyngodon idellus) based on transcriptomics. Aquac. Nutr. 2020, 26, 1895–1907. [Google Scholar] [CrossRef]
- Arts, M.T.; Kohler, C.C. Health and condition in fish: The influence of lipids on membrane competency and immune response. In Lipids in Aquatic Ecosystems, 2nd ed.; Kainz, M.T., Brett, M.T., Eds.; Springer: New York, NY, USA, 2009; pp. 237–256. [Google Scholar]









| Ingredients 1 | CON | CAP-15 | CAP-30 | CAP-45 | CAP-70 | CAP-100 |
|---|---|---|---|---|---|---|
| Fish meal | 700.0 | 595.0 | 490.0 | 385.0 | 210.0 | 0.0 |
| CAP | 0.0 | 85.80 | 171.6 | 257.3 | 400.0 | 571.6 |
| Bone meal | 0.0 | 15.0 | 30.0 | 45.0 | 69.0 | 98.0 |
| Ca(H2PO3)2 | 19.0 | 19.0 | 19.0 | 19.0 | 19.0 | 19.0 |
| Wheat flour | 200.0 | 194.7 | 189.4 | 184.2 | 176.5 | 166.9 |
| Fish oil | 0.0 | 9.5 | 19.0 | 28.5 | 44.5 | 63.5 |
| Soybean oil | 25.0 | 25.0 | 25.0 | 25.0 | 25.0 | 25.0 |
| Soybean lecithin | 25.0 | 25.0 | 25.0 | 25.0 | 25.0 | 25.0 |
| Choline chloride | 1.0 | 1.0 | 1.0 | 1.0 | 1.0 | 1.0 |
| Premix 2 | 10.0 | 10.0 | 10.0 | 10.0 | 10.0 | 10.0 |
| Yeast extract | 20.0 | 20.0 | 20.0 | 20.0 | 20.0 | 20.0 |
| Total | 1000.0 | 1000.0 | 1000.0 | 1000.0 | 1000.0 | 1000.0 |
| Proximate composition | ||||||
| Crude protein | 503.8 | 498.8 | 498.9 | 500.0 | 498.2 | 497.8 |
| Crude lipid | 117.1 | 116.7 | 117.3 | 115.9 | 117.1 | 115.7 |
| Crude ash | 121.3 | 121.2 | 118.4 | 116.2 | 114.4 | 112.3 |
| Moisture | 81.4 | 81.6 | 80.9 | 81.1 | 79.7 | 78.1 |
| Amino Acid | CON | CAP-15 | CAP-30 | CAP-45 | CAP-70 | CAP-100 |
|---|---|---|---|---|---|---|
| Essential amino acid | ||||||
| Lys | 37.6 | 39.5 | 41.5 | 43.5 | 46.7 | 50.6 |
| Met | 14.6 | 14.4 | 14.2 | 14.0 | 13.7 | 13.4 |
| Arg | 30.3 | 28.9 | 27.4 | 26.0 | 23.7 | 20.8 |
| His | 15.2 | 14.5 | 13.7 | 13.0 | 11.7 | 10.2 |
| Phe | 26.2 | 25.2 | 24.3 | 23.3 | 21.7 | 19.8 |
| Trp | 5.4 | 5.2 | 4.96 | 4.8 | 4.4 | 4.0 |
| Val | 24.9 | 26.0 | 27.1 | 28.2 | 30.0 | 32.2 |
| Ile | 20.2 | 21.8 | 23.4 | 25.0 | 27.7 | 31.0 |
| Leu | 38.6 | 38.5 | 38.4 | 38.3 | 38.1 | 38.0 |
| Thr | 21.0 | 21.4 | 21.8 | 22.2 | 22.9 | 23.7 |
| Non-essential amino acid | ||||||
| Cys | 21.0 | 20.1 | 19.1 | 18.2 | 16.6 | 14.7 |
| Gly | 4.6 | 4.7 | 4.9 | 5.0 | 5.2 | 5.5 |
| Ser | 20.0 | 21.6 | 23.3 | 24.9 | 27.6 | 30.8 |
| Pro | 43.8 | 45.6 | 47.3 | 49.1 | 51.9 | 55.4 |
| Ala | 5.4 | 5.2 | 5.0 | 4.8 | 4.4 | 4.0 |
| Asp | 24.9 | 26.0 | 27.1 | 28.2 | 30.0 | 32.2 |
| Tyr | 29.9 | 28.9 | 27.9 | 26.8 | 25.1 | 23.0 |
| Glu | 66.2 | 59.3 | 56.9 | 54.1 | 46.8 | 40 |
| Total amino acids | 449.8 | 446.8 | 448.26 | 449.4 | 448.2 | 449.3 |
| Items | Con | CAP-15 | CAP-30 | CAP-45 | CAP-70 | CAP-100 |
|---|---|---|---|---|---|---|
| C14:0 | 4.20 | 4.68 | 5.23 | 5.10 | 5.34 | 5.61 |
| C15:0 | 0.46 | 0.55 | 0.66 | 0.75 | 0.92 | 1.12 |
| C16:0 | 15.31 | 15.20 | 17.40 | 19.20 | 22.68 | 25.48 |
| C17:0 | 0.71 | 0.61 | 0.52 | 0.42 | 0.27 | 0.08 |
| C18:0 | 2.83 | 2.74 | 2.66 | 2.57 | 2.42 | 2.25 |
| C20:0 | 0.29 | 0.25 | 0.21 | 0.17 | 0.11 | 0.03 |
| SFAs | 23.79 | 24.03 | 26.67 | 28.22 | 31.74 | 34.57 |
| C16:1 | 3.90 | 3.85 | 3.79 | 3.74 | 3.64 | 3.54 |
| C17:1 | 0.53 | 0.54 | 0.49 | 0.50 | 0.49 | 0.47 |
| C18:1 | 14.18 | 15.23 | 15.28 | 14.96 | 15.92 | 15.86 |
| C20:1 | 2.64 | 2.03 | 1.91 | 1.84 | 1.39 | 1.20 |
| MUFAs | 21.25 | 21.64 | 21.48 | 21.04 | 21.45 | 21.06 |
| C16:2 | 0.24 | 0.25 | 0.21 | 0.25 | 0.19 | 0.21 |
| C18:2 | 14.65 | 13.76 | 13.08 | 13.97 | 13.26 | 13.06 |
| C20:2 | 3.01 | 2.92 | 2.91 | 2.66 | 4.07 | 3.68 |
| C20:4 | 2.30 | 2.21 | 2.39 | 1.12 | 1.09 | 0.69 |
| n-6 PUFAs | 20.21 | 19.14 | 18.59 | 18.01 | 18.61 | 17.65 |
| C18:3 | 2.83 | 2.58 | 2.31 | 2.21 | 1.99 | 1.38 |
| C20:5 | 10.69 | 10.61 | 10.56 | 10.23 | 8.56 | 7.61 |
| C22:5 | 10.83 | 10.41 | 10.00 | 9.78 | 9.46 | 9.34 |
| C22:6 | 8.05 | 8.35 | 8.16 | 7.06 | 6.86 | 6.63 |
| n-3 PUFAs | 32.40 | 31.94 | 31.03 | 29.29 | 26.87 | 24.95 |
| n-3/n-6 | 1.60 | 1.67 | 1.67 | 1.63 | 1.44 | 1.41 |
| Parameters | Diets | Pr > F | |||||||
|---|---|---|---|---|---|---|---|---|---|
| Con | CAP-15 | CAP-30 | CAP-45 | CAP-70 | CAP-100 | ANOVA | Linear | Quadratic | |
| IBW/g | 80.1 ± 0.2 | 80.0 ± 0.2 | 80.2 ± 0.2 | 80.1 ± 0.2 | 80.0 ± 0.2 | 80.2 ± 0.2 | - | - | - |
| FBW/g | 253.1 ± 6.2 ab | 255.1 ± 7.9 ab | 264.5 ± 3.3 a | 246.8 ± 4.5 b | 240.5 ± 3.1 b | 198.1 ± 6.9 c | 0.000 | 0.000 | 0.000 |
| WG/% | 216.3 ± 7.6 ab | 218.8 ± 9.9 ab | 230.5 ± 3.9 a | 208.6 ± 5.6 b | 200.6 ± 3.7 b | 147.5 ± 8.6 c | 0.000 | 0.000 | 0.000 |
| FCR | 1.06 ± 0.02 bc | 1.04 ± 0.04 bc | 1.00 ± 0.01 c | 1.10 ± 0.03 b | 1.13 ± 0.00 b | 1.41 ± 0.01 a | 0.000 | 0.000 | 0.000 |
| FI/g/d/fish | 2.20 ± 0.03 a | 2.18 ± 0.01 a | 2.18 ± 0.03 a | 2.15 ± 0.04 a | 2.19 ± 0.7 a | 1.99 ± 0.10 b | 0.002 | 0.001 | 0.006 |
| CF/g/cm3 | 2.43 ± 0.07 abc | 2.55 ± 0.05 a | 2.49 ± 0.15 abc | 2.35 ± 0.03 bc | 2.28 ± 0.12 cd | 2.16 ± 0.02 d | 0.002 | 0.000 | 0.025 |
| VSI/% | 8.09 ± 0.17 a | 8.12 ± 0.18 a | 7.92 ± 0.10 ab | 7.65 ± 0.19 b | 7.70 ± 0.18 b | 7.78 ± 0.28 ab | 0.024 | 0.005 | 0.173 |
| HSI/% | 2.59 ± 0.18 a | 2.48 ± 0.09 ab | 2.49 ± 0.09 ab | 2.35 ± 0.13 ab | 2.28 ± 0.10 ab | 2.16 ± 0.17 b | 0.016 | 0.001 | 0.520 |
| MSI/% | 1.56 ± 0.13 a | 1.56 ± 0.07 ab | 1.52 ± 0.07 ab | 1.45 ± 0.10 ab | 1.48 ± 0.07 ab | 1.39 ± 0.07 b | 0.202 | 0.017 | 0.774 |
| SR/% | 100.0 | 100.0 | 100.0 | 100.0 | 100.0 | 100.0 | - | - | - |
| Parameters | Diets | Pr > F | |||||||
|---|---|---|---|---|---|---|---|---|---|
| Con | CAP-15 | CAP-30 | CAP-45 | CAP-70 | CAP-100 | ANOVA | Linear | Quadratic | |
| Moisture (g/kg) | 686.3 ± 4.1 b | 693.1 ± 3.8 ab | 694.3 ± 2.7 ab | 688.4 ± 5.1 b | 699.9 ± 4.5 a | 703.1 ± 2.1 a | 0.157 | 0.033 | 0.230 |
| Crude protein (g/kg) | 165.9 ± 6.2 b | 168.3 ± 3.1 ab | 172.9 ± 5.3 a | 171.5 ± 0.9 a | 172.7 ± 5.9 a | 170.1 ± 4.1 ab | 0.170 | 0.067 | 0.066 |
| Crude lipid (g/kg) | 56.1 ± 1.9 | 55.7 ± 0.5 | 50.8 ± 3.6 | 51.1 ± 2.9 | 51.2 ± 1.4 | 55.3 ± 2.7 | 0.032 | 0.173 | 0.027 |
| Crude ash (g/kg) | 43.4 ± 2.1 | 43.3 ± 3.0 | 47.0 ± 1.4 | 43.6 ± 1.5 | 46.4 ± 0.8 | 44.7 ± 2.5 | 0.096 | 0.132 | 0.322 |
| Protein retention (%) | 34.6 ± 0.1 | 34.6 ± 0.1 | 36.5 ± 0.1 | 37.2 ± 0.2 | 36.4 ± 0.1 | 35.6 ± 0.2 | 0.000 | 0.000 | 0.000 |
| Lipid retention (%) | 51.6 ± 2.2 a | 50.3 ± 1.4 ab | 45.3 ± 1.2 ab | 47.7 ± 0.6 ab | 43.8 ± 5.4 b | 51.7 ± 4.5 a | 0.000 | 0.067 | 0.001 |
| Parameters | Diets | Pr > F | |||||||
|---|---|---|---|---|---|---|---|---|---|
| Con | CAP-15 | CAP-30 | CAP-45 | CAP-70 | CAP-100 | ANOVA | Linear | Quadratic | |
| MDA (nmol/mL) | 161.1 ± 16.9 | 162.9 ± 1.3 | 150.1 ± 13.9 | 158.5 ± 12.0 | 170.8 ± 12.2 | 168.6 ± 2.1 | 0.566 | 0.313 | 0.295 |
| SOD (U/mL) | 146.9 ± 13.6 b | 145.1 ± 5.1 b | 164.0 ± 1.7 a | 165.0 ± 7.1 a | 144.1 ± 7.1 b | 137.8 ± 3.7 b | 0.016 | 0.239 | 0.012 |
| AKP (U/mL) | 123.4 ± 2.8 ab | 129.7 ± 2.5 a | 128.1 ± 2.5 a | 125.0 ± 3.6 ab | 120.0 ± 7.2 ab | 110.7 ± 5.2 b | 0.000 | 0.000 | 0.000 |
| TP (gprot/L) | 52.5 ± 3.8 | 53.7 ± 6.1 | 52.8 ± 2.3 | 53.33 ± 1.5 | 52.2 ± 4.0 | 50.5 ± 1.0 | 0.952 | 0.500 | 0.483 |
| ALB (gprot/L) | 19.1 ± 2.2 ab | 20.2 ± 0.4 a | 19.9 ± 0.9 a | 20.9 ± 0.9 a | 17.1 ± 0.9 b | 17.2 ± 1.5 b | 0.021 | 0.025 | 0.033 |
| GLU (mmol/L) | 7.30 ± 0.43 ab | 8.16 ± 0.15 a | 8.12 ± 0.72 a | 7.86 ± 0.61 ab | 7.13 ± 0.46 b | 7.30 ± 0.28 ab | 0.129 | 0.236 | 0.067 |
| TG (mmol/L) | 17.7 ± 0.6 | 18.3 ± 0.5 | 17.0 ± 0.9 | 18.4 ± 0.5 | 18.3 ± 0.9 | 18.3 ± 1.1 | 0.090 | 0.169 | 0.020 |
| CHO (mmol/L) | 13.6 ± 1.2 ab | 14.2 ± 0.2 a | 13.1 ± 0.9 ab | 13.0 ± 1.4 ab | 12.8 ± 0.7 ab | 11.6 ± 0.8 b | 0.259 | 0.028 | 0.443 |
| Parameters | Diets | Pr > F | |||||||
|---|---|---|---|---|---|---|---|---|---|
| Con | CAP-15 | CAP-30 | CAP-45 | CAP-70 | CAP-100 | ANOVA | Linear | Quadratic | |
| LPS (U/g prot) | 356.4 ± 8.8 bc | 365.5 ± 15.4 b | 367.0 ± 12.1 ab | 386.3 ± 5.2 a | 364.7 ± 8.0 b | 342.3 ± 6.8 c | 0.010 | 0.769 | 0.000 |
| Protease (U/mg prot) | 2074.4 ± 32.5 a | 2019.7 ± 98.3 ab | 2006.4 ± 92.8 ab | 2003.2 ± 76.8 ab | 1965.1 ± 89.7 ab | 1909.6 ± 62.1 b | 0.265 | 0.023 | 0.062 |
| Parameters | Diets | Pr > F | |||||||
|---|---|---|---|---|---|---|---|---|---|
| Con | CAP-15 | CAP-30 | CAP-45 | CAP-70 | CAP-100 | ANOVA | Linear | Quadratic | |
| Villus height | 1201.5 ± 72.9 a | 1192.7 ± 36.8 a | 1256.9 ± 39.8 a | 1240.2 ± 66.1 a | 1129.3 ± 37.7 ab | 939.9 ± 52.3 b | 0.000 | 0.001 | 0.000 |
| Villus width | 105.24 ± 5.9 a | 110.1 ± 4.6 a | 106.5 ± 3.7 a | 103.4 ± 2.8 a | 96.9 ± 3.5 b | 97.1 ± 5.1 b | 0.016 | 0.002 | 0.132 |
| Muscle thickness | 222.2 ± 12.2 | 191.5 ± 7.6 | 198.5 ± 5.6 | 213.5 ± 11.8 | 211.2 ± 13.4 | 198.5 ± 8.1 | 0.050 | 0.216 | 0.798 |
| Parameters | Diets | Pr > F | |||||||
|---|---|---|---|---|---|---|---|---|---|
| Con | CAP-15 | CAP-30 | CAP-45 | CAP-70 | CAP-100 | ANOVA | Linear | Quadratic | |
| C14:0 | 2.03 ± 0.07 | 1.93 ± 0.06 | 1.89 ± 0.09 | 1.90 ± 0.06 | 1.91 ± 0.07 | 2.09 ± 0.14 | 0.268 | 0.621 | 0.034 |
| C16:0 | 12.0 ± 0.9 | 11.6 ± 0.2 | 11.1 ± 0.2 | 10.7 ± 0.6 | 10.4 ± 0.3 | 11.9 ± 0.7 | 0.154 | 0.290 | 0.032 |
| C18:0 | 4.26 ± 0.05 | 4.11 ± 0.18 | 4.02 ± 0.24 | 4.13 ± 0.16 | 4.08 ± 0.07 | 4.42 ± 0.10 | 0.703 | 0.645 | 0.251 |
| SFA | 18.3 ± 0.9 a | 17.7 ± 0.1 ab | 16.9 ± 0.4 b | 16.7 ± 0.6 b | 16.7 ± 0.5 b | 18.3 ± 0.8 a | 0.135 | 0.338 | 0.0.24 |
| C16:1 | 5.49 ± 0.35 | 4.82 ± 0.40 | 5.57 ± 0.40 | 5.61 ± 0.11 | 5.18 ± 0.17 | 5.44 ± 0.34 | 0.373 | 0.707 | 0.968 |
| C18:1 | 19.1 ± 0.6 | 19.6 ± 0.6 | 19.1 ± 0.1 | 19.5 ± 1.1 | 19.1 ± 0.9 | 18.5 ± 0.8 | 0.877 | 0.466 | 0.470 |
| C20:1 | 0.84 ± 0.05 b | 0.85 ± 0.03 b | 1.05 ± 0.4 ab | 0.99 ± 0.05 ab | 1.12 ± 0.10 a | 1.16 ± 0.08 a | 0.064 | 0.006 | 0.806 |
| MUFA | 25.5 ± 1.1 | 25.3 ± 1.3 | 25.7 ± 0.5 | 26.1 ± 1.6 | 25.3 ± 1.2 | 25.1 ± 1.1 | 0.950 | 0.919 | 0.427 |
| C18:2 | 16.1 ± 0.4 | 16.3 ± 0.2 | 15.5 ± 0.6 | 15.9 ± 0.3 | 14.8 ± 0.5 | 15.9 ± 0.5 | 0.027 | 0.044 | 0246 |
| C20:2 | 0.63 ± 0.05 | 0.63 ± 0.3 | 0.63 ± 0.4 | 0.60 ± 0.3 | 0.60 ± 0.10 | 0.61 ± 0.15 | 0.688 | 0.212 | 0.789 |
| C20:3 | 1.65 ± 0.2 | 1.62 ± 0.2 | 1.63 ± 0.4 | 1.61 ± 0.02 | 1.62 ± 0.14 | 1.61 ± 0.02 | 0.617 | 0.164 | 0.601 |
| C20:4 | 0.23 ± 0.01 b | 0.26 ± 0.01 ab | 0.35 ± 0.05 a | 0.34 ± 0.03 a | 0.31 ± 0.06 a | 0.29 ± 0.02 ab | 0.133 | 0.116 | 0.035 |
| n-6PUFAs | 18.6 ± 0.2 a | 18.8 ± 0.1 a | 18.1 ± 0.5 ab | 18.5 ± 0.2 ab | 17.3 ± 0.4 b | 18.3 ± 0.1 ab | 0.017 | 0.029 | 0.303 |
| C20:5 | 3.54 ± 0.15 | 3.45 ± 0.25 | 3.22 ± 0.24 | 3.29 ± 0.21 | 2.83 ± 0.12 | 2.70 ± 0.04 | 0.208 | 0.023 | 0.622 |
| C20:5 | 2.48 ± 0.15 | 2.36 ± 0.19 | 2.46 ± 0.20 | 2.42 ± 0.08 | 2.48 ± 0.21 | 2.31 ± 0.08 | 0.911 | 0.656 | 0.745 |
| C22:6 | 20.1 ± 2.7 | 20.7 ± 1.5 | 20.4 ± 1.8 | 20.3 ± 1.7 | 19.4 ± 0.4 | 19.9 ± 0.8 | 0.975 | 0.612 | 0.776 |
| n-3PUFAs | 26.2 ± 2.3 | 26.5 ± 0.9 | 26.1 ± 1.8 | 26.0 ± 1.2 | 24.8 ± 0.3 | 24.9 ± 0.7 | 0.728 | 0.202 | 00617 |
| n-3/n-6 | 1.43 ± 0.08 a | 1.40 ± 0.05 ab | 1.44 ± 0.06 a | 1.40 ± 0.05 ab | 1.43 ± 0.03a | 1.33 ± 0.04 b | 0.874 | 0.554 | 0.386 |
| Metabolite | Formula | FC | p. Value | KEGG Pathway Description |
|---|---|---|---|---|
| CAP-30 vs Con | ||||
| LysoPC(22:1(13Z)) | C30H60NO7P | 2.59 | 0.02 | Glycerophospholipids |
| Cortolone | C21H34O5 | 1.99 | 0.02 | Lipid metabolism; steroid hormone biosynthesis |
| CAP-70 vs Con | ||||
| Uridine diphosphate glucose | C15H24N2O17P2 | 1.47 | 0.01 | Glycerolipid metabolism; amino sugar and nucleotide sugar metabolism |
| 9,10-DHOME | C18H34O4 | 1.19 | 0.01 | Linoleic acid metabolism |
| Cortolone | C21H34O5 | 1.16 | 0.01 | Lipid metabolism; steroid hormone biosynthesis |
| LysoPC(22:1(13Z)) | C30H60NO7P | 1.29 | 0.01 | Glycerophospholipid metabolism; choline metabolism in cancer |
| Eicosapentaenoic Acid | C20H30O2 | 1.03 | 0.03 | Biosynthesis of unsaturated fatty acids |
| LysoPC(24:0) | C32H66NO7P | 0.80 | 0.03 | Glycerophospholipid metabolism; choline metabolism in cancer |
| LysoPC(20:5(5Z,8Z,11Z,14Z,17Z)) | C28H48NO7P | 0.95 | 0.00 | Glycerophospholipid metabolism; choline metabolism in cancer |
| Acetylcholine | C7H15NO2 | 0.89 | 0.04 | Glycerophospholipid metabolism; regulation of actin cytoskeleton |
| CAP-100 vs Con | ||||
| 9,10-DHOME | C18H34O4 | 1.19 | 0.00 | Lipid metabolism; linoleic acid metabolism |
| LysoPC(20:1(11Z)) | C28H56NO7P | 1.06 | 0.01 | Glycerophospholipid metabolism; choline metabolism in cancer |
| 9(S)-HODE | C18H32O3 | 1.10 | 0.00 | Linoleic acid metabolism; PPAR signaling pathway |
| PC(22:6(4Z,7Z,10Z,13Z,16Z,19Z)/18:3(6Z,9Z,12Z)) | C48H78NO8P | 1.32 | 0.01 | Glycerophospholipid metabolism; arachidonic acid metabolism; linoleic acid metabolism; α-Linolenic acid metabolism |
| Galactosylsphingosine | C24H47NO7 | 0.83 | 0.01 | Sphingolipid metabolism |
| LysoPC(20:5(5Z,8Z,11Z,14Z,17Z)) | C28H48NO7P | 0.91 | 0.00 | Lipid metabolism |
| 11b,17a,21-Trihydroxypreg-nenolone | C21H32O5 | 0.94 | 0.00 | Lipid metabolism; steroid hormone biosynthesis |
| LysoPC(22:5(7Z,10Z,13Z,16Z,19Z)) | C30H52NO7P | 0.93 | 0.01 | Glycerophospholipid metabolism; choline metabolism in cancer |
| Acetylcholine | C7H15NO2 | 0.65 | 0.00 | Glycerophospholipid metabolism; regulation of actin cytoskeleton |
| PC(18:3(6Z,9Z,12Z)/20:5(5Z,8Z,11Z,14Z,17Z)) | C46H76NO8P | 0.91 | 0.00 | Glycerophospholipid metabolism; arachidonic acid metabolism; linoleic acid metabolism; α-Linolenic acid metabolism |
Publisher’s Note: MDPI stays neutral with regard to jurisdictional claims in published maps and institutional affiliations. |
© 2022 by the authors. Licensee MDPI, Basel, Switzerland. This article is an open access article distributed under the terms and conditions of the Creative Commons Attribution (CC BY) license (https://creativecommons.org/licenses/by/4.0/).
Share and Cite
Yang, P.; Li, X.; Yao, W.; Li, M.; Wang, Y.; Leng, X. Dietary Effect of Clostridium autoethanogenum Protein on Growth, Intestinal Histology and Flesh Lipid Metabolism of Largemouth Bass (Micropterus salmoides) Based on Metabolomics. Metabolites 2022, 12, 1088. https://doi.org/10.3390/metabo12111088
Yang P, Li X, Yao W, Li M, Wang Y, Leng X. Dietary Effect of Clostridium autoethanogenum Protein on Growth, Intestinal Histology and Flesh Lipid Metabolism of Largemouth Bass (Micropterus salmoides) Based on Metabolomics. Metabolites. 2022; 12(11):1088. https://doi.org/10.3390/metabo12111088
Chicago/Turabian StyleYang, Pinxian, Xiaoqin Li, Wenxiang Yao, Menglu Li, Yuanyuan Wang, and Xiangjun Leng. 2022. "Dietary Effect of Clostridium autoethanogenum Protein on Growth, Intestinal Histology and Flesh Lipid Metabolism of Largemouth Bass (Micropterus salmoides) Based on Metabolomics" Metabolites 12, no. 11: 1088. https://doi.org/10.3390/metabo12111088
APA StyleYang, P., Li, X., Yao, W., Li, M., Wang, Y., & Leng, X. (2022). Dietary Effect of Clostridium autoethanogenum Protein on Growth, Intestinal Histology and Flesh Lipid Metabolism of Largemouth Bass (Micropterus salmoides) Based on Metabolomics. Metabolites, 12(11), 1088. https://doi.org/10.3390/metabo12111088
